Prenatal Amnioinfusion as a Diagnostic Tool in Severe Oligo- and Anhydramnios: A Retrospective Single-Center Experience with Descriptive Perinatal Outcomes
Abstract
1. Introduction
2. Materials and Methods
2.1. Study Design and Population
2.2. Amnioinfusion Procedure
2.3. Diagnostic Assessment
2.4. Outcome and Statistical Analysis
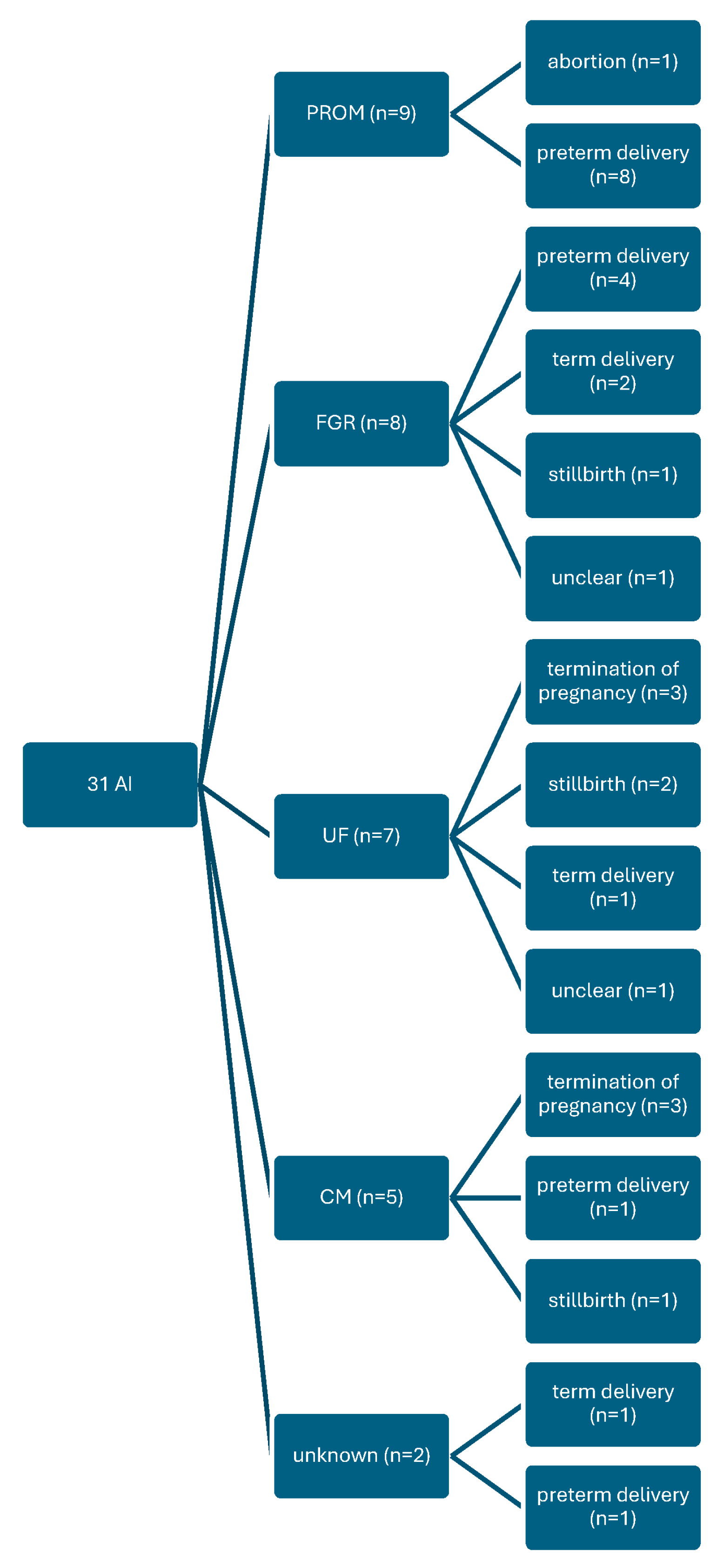
3. Results
3.1. Patient Characteristics
3.2. Diagnostic Impact
3.3. Outcomes by Etiology
3.3.1. PROM
3.3.2. Fetal Growth Restriction
3.3.3. Urogenital Malformations
3.3.4. Chromosomal Aberrations and Severe Malformations
4. Discussion
4.1. Diagnostic Value
4.2. Safety Aspects and General Outcomes
4.3. Preterm Rupture of the Membranes
4.4. Fetal Growth Restriction
4.5. Urogenital Malformations and Chromosomal Abnormalities
4.6. Technical Aspects of Amnioinfusion Fluids
4.7. Therapeutic Considerations and Emerging Approaches
4.8. Limitations
5. Conclusions
Author Contributions
Funding
Institutional Review Board Statement
Informed Consent Statement
Data Availability Statement
Acknowledgments
Conflicts of Interest
References
- Levine, D. Ultrasound versus magnetic resonance imaging in fetal evaluation. Top. Magn. Reson. Imaging 2001, 12, 25–38. [Google Scholar] [CrossRef]
- Reddy, U.M.; Filly, R.A.; Copel, J.A. Prenatal imaging: Ultrasonography and magnetic resonance imaging. Obstet. Gynecol. 2008, 112, 145–157. [Google Scholar] [CrossRef]
- Cluver, C.; Gyte, G.M.; Sinclair, M.; Dowswell, T.; Hofmeyr, G.J. Interventions for helping to turn term breech babies to head first presentation when using external cephalic version. Cochrane Database Syst. Rev. 2015, 2015, CD000184. [Google Scholar] [CrossRef] [PubMed]
- Fisk, N.M.; Ronderos-Dumit, D.; Soliani, A.; Nicolini, U.; Vaughan, J.; Rodeck, C.H. Diagnostic and therapeutic transabdominal amnioinfusion in oligohydramnios. Obstet. Gynecol. 1991, 78, 270–278. [Google Scholar]
- Gembruch, U.; Hansmann, M. Artificial instillation of amniotic fluid as a new technique for the diagnostic evaluation of cases of oligohydramnios. Prenat. Diagn. 1988, 8, 33–45. [Google Scholar] [CrossRef]
- Quetel, T.A.; Mejides, A.A.; Salman, F.A.; Torres-Rodriguez, M.M. Amnioinfusion: An aid in the ultrasonographic evaluation of severe oligohydramnios in pregnancy. Am. J. Obstet. Gynecol. 1992, 167, 333–336. [Google Scholar] [CrossRef]
- Shipp, T.D.; Bromley, B.; Pauker, S.; Frigoletto, F.D.; Benacerraf, B.R. Outcome of singleton pregnancies with severe oligohydramnios in the second and third trimesters. Ultrasound Obstet. Gynecol. 1996, 7, 108–113. [Google Scholar] [CrossRef] [PubMed]
- Patel, S.; Suchet, I. The role of color and power Doppler ultrasound in the prenatal diagnosis of sirenomelia. Ultrasound Obs. Gynecol. 2004, 24, 684–691. [Google Scholar] [CrossRef] [PubMed]
- Heyl, W.; Funk, A.; Grün, M.; Rath, W. Sirenomelia—prenatal diagnosis and clinical consequences of a rare abnormality. Z Geburtshilfe Neonatol. 1998, 202, 121–126. [Google Scholar]
- Vikraman, S.K.; Chandra, V.; Balakrishnan, B.; Batra, M.; Sethumadhavan, S.; Patil, S.N.; Nair, S.; Kannoly, G. Impact of antepartum diagnostic amnioinfusion on targeted ultrasound imaging of pregnancies presenting with severe oligo- and anhydramnios: An analysis of 61 cases. Eur. J. Obstet. Gynecol. Reprod. Biol. 2017, 212, 96–100. [Google Scholar] [CrossRef]
- Wenstrom, K.; Andrews, W.W.; Maher, J.E. Amnioinfusion survey: Prevalence, protocols, and complications. Obstet. Gynecol. 1995, 86, 572–576. [Google Scholar] [CrossRef]
- Hofmeyr, G.J.; Eke, A.C.; Lawrie, T.A. Amnioinfusion for third trimester preterm premature rupture of membranes. Cochrane Database Syst. Rev. 2014, 2014, CD000942. [Google Scholar] [CrossRef] [PubMed]
- Kohari, K.; Mehlhaff, K.; Merriam, A.; Abdel-Razeq, S.; Grechukhina, O.; Leon-Martinez, D.; Bahtiyar, M.O. A Novel Approach to Serial Amnioinfusion in a Case of Premature Rupture of Membranes Near the Limit of Viability. AJP Rep. 2018, 8, e180–e183. [Google Scholar] [CrossRef]
- Roberts, D.; Vause, S.; Martin, W.; Green, P.; Walkinshaw, S.; Bricker, L.; Beardsmore, C.; Shaw, N.; McKay, A.; Skotny, G.; et al. Amnioinfusion in very early preterm prelabor rupture of membranes (AMIPROM): Pregnancy, neonatal and maternal outcomes in a randomized controlled pilot study. Ultrasound Obstet. Gynecol. 2014, 43, 490–499. [Google Scholar] [CrossRef] [PubMed]
- Göbel, S.N.Y.; Seliger, G.; Tchirikov, M. Kontinuierliche Amnioninfusion über ein subkutan implantiertes Portsystem beim PPROM mit Anhydramnion < 28+0 SSW: Eine internationale prospektiv-randomisierte Studie. Geburtshilfe Frauenheilkd 2017, 77, 406–429. [Google Scholar]
- van Kempen, L.E.M.; van Teeffelen, A.S.; de Ruigh, A.A.; Oepkes, D.; Haak, M.C.; Van Leeuwen, E.; Woiski, M.; Porath, M.M.; Bax, C.J.; van Wassenaer-Leemhuis, A.G.; et al. Amnioinfusion Compared with No Intervention in Women with Second-Trimester Rupture of Membranes: A Randomized Controlled Trial. Obstet. Gynecol. 2019, 133, 129–136. [Google Scholar] [CrossRef]
- Tchirikov, M.; Haiduk, C.; Tchirikov, M.; Riemer, M.; Bergner, M.; Li, W.; Henschen, S.; Entezami, M.; Wienke, A.; Seliger, G. Treatment of Classic Mid-Trimester Preterm Premature Rupture of Membranes (PPROM) with Oligo/Anhydramnion between 22 and 26 Weeks of Gestation by Means of Continuous Amnioinfusion: Protocol of a Randomized Multicentric Prospective Controlled TRIAL and Review of the Literature. Life 2022, 12, 1351. [Google Scholar]
- Nowakowska, B.A.; Pankiewicz, K.; Nowacka, U.; Niemiec, M.; Kozłowski, S.; Issat, T. Genetic Background of Fetal Growth Restriction. Int. J. Mol. Sci. 2021, 23, 36. [Google Scholar] [CrossRef] [PubMed]
- Takahashi, Y.; Iwagaki, S.; Chiaki, R.; Iwasa, T.; Takenaka, M.; Kawabata, I.; Itoh, M. Amnioinfusion before 26 weeks’ gestation for severe fetal growth restriction with oligohydramnios: Preliminary pilot study. J. Obstet. Gynaecol. Res. 2014, 40, 677–685. [Google Scholar] [CrossRef]
- Katsura, D.; Takahashi, Y.; Iwagaki, S.; Chiaki, R.; Asai, K.; Koike, M.; Tsuji, S.; Kimura, F.; Murakami, T. Successful amnioinfusion for severe fetal growth restriction with umbilical cord complications: Two case reports. J. Med. Case Rep. 2021, 15, 416. [Google Scholar] [CrossRef]
- Sarno, A.P.; Polzin, W.J.; Feinstein, S.J.; Maslow, A. Transabdominal amnioinfusion in preterm pregnancies complicated by fetal growth restriction, oligohydramnios and umbilical cord compression. Fetal. Diagn. Ther. 1995, 10, 408–414. [Google Scholar] [CrossRef] [PubMed]
- Miyazaki, F.S.; Nevarez, F. Saline amnioinfusion for relief of repetitive variable decelerations: A prospective randomized study. Am. J. Obstet. Gynecol. 1985, 153, 301–306. [Google Scholar] [CrossRef] [PubMed]
- Nageotte, M.P.; Bertucci, L.; Towers, C.V.; Lagrew, D.L.; Modanlou, H. Prophylactic amnioinfusion in pregnancies complicated by oligohydramnios: A prospective study. Obstet. Gynecol. 1991, 77, 677–680. [Google Scholar] [PubMed]
- Butt, F.T.; Ahmed, B. The role of antepartum transabdominal amnioinfusion in the management of oligohydramnios in pregnancy. J. Matern.-Fetal Neonatal. Med. 2011, 24, 453–457. [Google Scholar] [CrossRef]
- Macri, C.J.; Schrimmer, D.B.; Leung, A.; Greenspoon, J.S.; Paul, R.H. Prophylactic amnioinfusion improves outcome of pregnancy complicated by thick meconium and oligohydramnios. Am. J. Obstet. Gynecol. 1992, 167, 117–121. [Google Scholar] [CrossRef]
- Miller, J.L.; Baschat, A.A.; Rosner, M.; Blumenfeld, Y.J.; Moldenhauer, J.S.; Johnson, A.; Schenone, M.H.; Zaretsky, M.V.; Chmait, R.H.; Gonzalez, J.M.; et al. Neonatal Survival after Serial Amnioinfusions for Bilateral Renal Agenesis: The Renal Anhydramnios Fetal Therapy Trial. JAMA 2023, 330, 2096–2105. [Google Scholar] [CrossRef]
- Cheng, J.M.; Baschat, A.A.; Atkinson, M.A.; Rosner, M.; Kush, M.L.; Wolfson, D.; Olson, S.; Voegtline, K.; Goodman, L.; Jelin, A.C.; et al. Comparison of Serial Amnioinfusion Strategies for Isolated Early-Onset Fetal Renal Anhydramnios. Fetal. Diagn. Ther. 2025, 52, 155–163. [Google Scholar] [CrossRef]






| Diagnosis | Treatment |
|---|---|
| Further human genetic examination | Prevention of pulmonary hypoplasia and skeletal deformation |
| Improvement of ultrasonographic conditions | Decompression of the umbilical cord |
| Improving postnatal outcomes |
| Fluid | Composition | Advantages | Disadvantages | Clinical Application | Evidence/Studies |
|---|---|---|---|---|---|
| NaCl 0.9% (Normal Saline) | Isotonic NaCl (154 mmol/L Na+, 154 mmol/L Cl) | Widely available, inexpensive, safe to use. | No buffering, lacks other electrolytes, not physiologically equivalent to amniotic fluid. | Standard for intrapartum amnioinfusion, especially in cases of variable decelerations. | Several RCTs support efficacy in reducing variable decelerations. (PMID: 2187344) [22]. |
| Ringer’s lactate | Na+, K+, Ca2+, Cl, lactate (closer to amniotic fluid) | More physiological electrolyte profile, buffered. | Slightly more expensive, contraindicated in hypercalcemia. | Alternative to saline, often used in prolonged infusion or oligohydramnios. | Comparable efficacy to saline (ScienceDirect: S0002937896800299) [25]. |
| Sterile water | Hypotonic, no electrolytes. | Occasionally usable in emergencies. | Risk of electrolyte shifts, edema; hypotonic—potentially harmful. | Not recommended; emergency or diagnostic use only. | Described in experimental contexts, not for routine use. |
| Ringer + Glucose | Ringer‘s solution with 5% glucose | Combines electrolytes and energy. | Risk of maternal hyperglycemia or fetal osmolar shifts. | Experimental; can be used as combined maternal-fetal therapy. | Anecdotal reports only, not established. |
| Amnion Flush Solution | Commercially prepared sterile solution designed to mimic natural amniotic fluid; varies by manufacturer. | Closer biochemical similarity to natural amniotic fluid; sterile and standardized. | Availability may be limited; more expensive than standard fluids. | Used in selected clinical centers for flushing or infusion, especially in therapeutic amnioinfusion. | Limited data; some reports support improved fetal visualization and comfort during intrauterine procedures [19]. |
Disclaimer/Publisher’s Note: The statements, opinions and data contained in all publications are solely those of the individual author(s) and contributor(s) and not of MDPI and/or the editor(s). MDPI and/or the editor(s) disclaim responsibility for any injury to people or property resulting from any ideas, methods, instructions or products referred to in the content. |
© 2026 by the authors. Licensee MDPI, Basel, Switzerland. This article is an open access article distributed under the terms and conditions of the Creative Commons Attribution (CC BY) license.
Share and Cite
Andresen, K.; Eckmann-Scholz, C.; Farrokh, A.; Pecks, U.; Maass, N.; Günther, V.; Alkatout, I.; Ackermann, J. Prenatal Amnioinfusion as a Diagnostic Tool in Severe Oligo- and Anhydramnios: A Retrospective Single-Center Experience with Descriptive Perinatal Outcomes. J. Clin. Med. 2026, 15, 511. https://doi.org/10.3390/jcm15020511
Andresen K, Eckmann-Scholz C, Farrokh A, Pecks U, Maass N, Günther V, Alkatout I, Ackermann J. Prenatal Amnioinfusion as a Diagnostic Tool in Severe Oligo- and Anhydramnios: A Retrospective Single-Center Experience with Descriptive Perinatal Outcomes. Journal of Clinical Medicine. 2026; 15(2):511. https://doi.org/10.3390/jcm15020511
Chicago/Turabian StyleAndresen, Kristin, Christel Eckmann-Scholz, Andre Farrokh, Ulrich Pecks, Nicolai Maass, Veronika Günther, Ibrahim Alkatout, and Johannes Ackermann. 2026. "Prenatal Amnioinfusion as a Diagnostic Tool in Severe Oligo- and Anhydramnios: A Retrospective Single-Center Experience with Descriptive Perinatal Outcomes" Journal of Clinical Medicine 15, no. 2: 511. https://doi.org/10.3390/jcm15020511
APA StyleAndresen, K., Eckmann-Scholz, C., Farrokh, A., Pecks, U., Maass, N., Günther, V., Alkatout, I., & Ackermann, J. (2026). Prenatal Amnioinfusion as a Diagnostic Tool in Severe Oligo- and Anhydramnios: A Retrospective Single-Center Experience with Descriptive Perinatal Outcomes. Journal of Clinical Medicine, 15(2), 511. https://doi.org/10.3390/jcm15020511

