Computer-Assisted Navigation in Shoulder Arthroplasty: A Narrative Review
Abstract
1. Introduction
2. Navigation Principles
3. When to Navigate
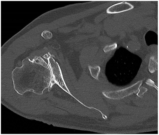
4. Preoperative Time: CT Scan and Planning
5. Intraoperative Navigation
6. Outcomes
7. Complications
8. Limitations
9. Future Perspectives
10. Conclusions
Author Contributions
Funding
Conflicts of Interest
References
- Dupley, L.; Briggs, S.; Trail, I.A. Future advances in shoulder arthroplasty surgery. J. Clin. Orthop. Trauma 2025, 63, 102880. [Google Scholar] [CrossRef] [PubMed]
- Wright, M.A.; O’Leary, M.; Johnston, P.; Murthi, A.M. Advances in Anatomic Total Shoulder Arthroplasty Glenoid Implant Design. J. Am. Acad. Orthop. Surg. 2024, 33, 56–64. [Google Scholar] [CrossRef]
- Kölbel, R.; Friedebold, G. Möglichkeiten der Alloarthroplastik an der Schulter. Arch Orthop Unf.-Chir. 1973, 76, 31–39. [Google Scholar] [CrossRef]
- Fenlin, J.M., Jr. Total Glenohumeral Joint Replacement. Orthop. Clin. North Am. 1975, 6, 565–583. [Google Scholar] [CrossRef] [PubMed]
- Grammont, P.M.; Baulot, E. Delta Shoulder Prosthesis for Rotator Cuff Rupture. Orthopedics 1993, 16, 65–68. [Google Scholar] [CrossRef]
- Frankle, M.; Siegal, S.; Pupello, D.; Saleem, A.; Mighell, M.; Vasey, M. The Reverse Shoulder Prosthesis for Glenohumeral Arthritis Associated with Severe Rotator Cuff DeficiencyA Minimum Two-Year Follow-up Study of Sixty Patients. J. Bone Jt. Surg. 2005, 87, 1697–1705. [Google Scholar] [CrossRef]
- Boileau, P.; Moineau, G.; Roussanne, Y.; O’shea, K. Bony Increased-offset Reversed Shoulder Arthroplasty: Minimizing Scapular Impingement While Maximizing Glenoid Fixation. Clin. Orthop. Relat. Res. 2011, 469, 2558–2567. [Google Scholar] [CrossRef]
- Iannotti, J.; Baker, J.; Rodriguez, E.; Brems, J.; Ricchetti, E.; Mesiha, M.; Bryan, J. Three-Dimensional Preoperative Planning Software and a Novel Information Transfer Technology Improve Glenoid Component Positioning. J. Bone Jt. Surg. 2014, 96, e71. [Google Scholar] [CrossRef]
- Villatte, G.; Muller, A.-S.; Pereira, B.; Mulliez, A.; Reilly, P.; Emery, R. Use of Patient-Specific Instrumentation (PSI) for glenoid component positioning in shoulder arthroplasty. A systematic review and meta-analysis. PLoS ONE 2018, 13, e0201759. [Google Scholar] [CrossRef]
- Kim, S.H.; Wise, B.L.; Zhang, Y.; Szabo, R.M. Increasing Incidence of Shoulder Arthroplasty in the United States. J. Bone Jt. Surg. 2011, 93, 2249–2254. [Google Scholar] [CrossRef]
- Xu, J.J.; Molokwu, B.O.; Shabbir-Hussain, R.; de Casson, F.B.; Elwell, J.; Polakovic, S.V.; Myerson, C.L.; Zuckerman, J.D.; Virk, M.S. Utilization Trends of the ExactechGPS® Computer-Assisted Navigation System in Total Shoulder Arthroplasty. J. Shoulder Elb. Surg. 2025. [Google Scholar] [CrossRef] [PubMed]
- Corso, K.A.; Smith, C.E.; Vanderkarr, M.F.; Debnath, R.; Goldstein, L.J.; Varughese, B.; Wood, J.; Chalmers, P.N.; Putnam, M. Postoperative revision, complication and economic outcomes of patients with reverse or anatomic total shoulder arthroplasty at one year: A retrospective, United States hospital billing database analysis. J. Shoulder Elb. Surg. 2024, 34, e59–e71. [Google Scholar] [CrossRef]
- Giovanoulis, V.; Pastamentzas, V.; Veizi, E.; Matzaroglou, C.; Naoum, S.; Samonis, G.; Piagkou, M.; Papadopoulos, D.V.; Tsantes, A.G.; Koutserimpas, C. Fungal Shoulder Periprosthetic Infections: A Systematic Review. J. Clin. Med. 2024, 13, 6128. [Google Scholar] [CrossRef]
- Koutserimpas, C.; Besiris, G.T.; Giannoulis, D.; Raptis, K.; Vlasis, K.; Dretakis, K.; Alpantaki, K. Double Ovarian Stimulation in the Same Ovarian Cycle. MAEDICA – a J. Clin. Med. 2021, 16, 97–101. [Google Scholar] [CrossRef]
- Australian Orthopaedic Association National Joint Replacement Registry. Hip, Knee and Shoulder Arthroplasty: 2024 Annual Report; Australian Orthopaedic Association National Joint Replacement Registry: Adelaide, Australia, 2024. [Google Scholar]
- Australian Orthopaedic Association National Joint Replacement Registry. Hip, Knee, and Shoulder Arthroplasty Annual Report 2019; Australian Orthopaedic Association National Joint Replacement Registry: Adelaide, Australia, 2019. [Google Scholar]
- Bohsali, K.I.; Bois, A.J.; Wirth, M.A. Complications of Shoulder Arthroplasty. J. Bone Jt. Surg. 2017, 99, 256–269. [Google Scholar] [CrossRef] [PubMed]
- Lo, E.Y.; Witt, A.; Ouseph, A.; Montemaggi, P.; Garofalo, R.; Sanders, A.; Majekodunmi, T.; Sodl, J.; Krishnan, S.G. Comparison of early and late aseptic baseplate failure in primary reverse shoulder arthroplasty with and without structural glenoid autograft. J. Shoulder Elb. Surg. 2024, 34, 820–827. [Google Scholar] [CrossRef] [PubMed]
- Franceschetti, E.; Giovannetti de Sanctis, E.; Gregori, P.; Paciotti, M.; Palumbo, A.; Franceschi, F. Angled BIO-RSA leads to better inclination and clinical outcomes compared to Standard BIO-RSA and eccentric reaming: A comparative study. Shoulder Elb. 2021, 15, 35–42. [Google Scholar] [CrossRef]
- Andriollo, L.; Pietramala, S.; Polizzi, A.; Niccoli, G.; Zattoni, G.; Morea, V. Computer-Assisted Navigation in Reverse Shoulder Arthroplasty: Surgical Experience and Clinical Outcomes. J. Clin. Med. 2024, 13, 2512. [Google Scholar] [CrossRef]
- Holzgrefe, R.E.; Hao, K.A.; Panther, E.J.; Schoch, B.S.; Roche, C.P.; King, J.J.; Wright, J.O.; Wright, T.W. Early clinical outcomes following navigation-assisted baseplate fixation in reverse total shoulder arthroplasty: A matched cohort study. J. Shoulder Elb. Surg. 2022, 32, 302–309. [Google Scholar] [CrossRef]
- Gregori, P.; Perricone, G.; Franceschetti, E.; Giurazza, G.; Papalia, G.F.; Zà, P.; Papalia, R. Allograft Prosthesis Composite (APC) for Proximal Humeral Bone Loss: Outcomes and Perspectives. J. Pers. Med. 2023, 13, 1301. [Google Scholar] [CrossRef]
- Morea, V.; Polizzi, A.; Niccoli, G.; Zattoni, G.; Andriollo, L. Reverse Shoulder Megaprosthesis for Massive Proximal Humeral Bone Loss in Fracture Outcome Settings: A Report of Two Cases and Literature Review. Cureus 2024, 16, e54276. [Google Scholar] [CrossRef] [PubMed]
- Bailey, K.N.; Aleem, A.W. Navigating the Complexities of Range of Motion in Reverse Shoulder Arthroplasty: Innovations and Future Directions. Curr. Rev. Musculoskelet. Med. 2025, 18, 94–101. [Google Scholar] [CrossRef] [PubMed]
- Yiannakopoulos, C.; Vlastos, I.; Koutserimpas, C.; Gianzina, E.; Dellis, S.; Kalinterakis, G. Comparison of Glenoid Dimensions Between 3D Computed Tomography and 3D Printing. Cureus 2024, 16, e53133. [Google Scholar] [CrossRef]
- Sperling, J.W.; Anderson, M.B.; Jobin, C.M.; Verborgt, O.; Duquin, T.R. Humeral and Glenoid Component Malposition in Revision Shoulder Arthroplasty: A Retrospective, Cross-Sectional Study. J. Shoulder Elb. Surg. 2025. [Google Scholar] [CrossRef]
- Levin, J.M.; Hurley, E.; Colasanti, C.A.; Roche, C.P.; Chalmers, P.N.; Zuckerman, J.D.; Wright, T.; Flurin, P.-H.; Anakwenze, O.; Klifto, C.S. Utility of superior augments in reverse shoulder arthroplasty (Exactech, Equinoxe GPS) without significant glenoid deformity. J. Shoulder Elb. Surg. 2024, 33, 2196–2201. [Google Scholar] [CrossRef]
- Shields, D.W.; Sewpaul, Y.; Sandeep, K.N.; Atherton, C.M.; Goffin, J.; Rashid, M.S. Current trends in shoulder arthroplasty - Are the trends backed by evidence? J. Clin. Orthop. Trauma 2024, 62, 102897. [Google Scholar] [CrossRef]
- Cheung, E.V.; Ramakrishnan, A. Computer navigation in shoulder arthroplasty. Semin. Arthroplast. JSES 2023, 33, 870–875. [Google Scholar] [CrossRef]
- Saraglis, G.; Singh, H.; Charfare, Z.; Olujinmi, G.J.; Devecseri, G.; Agbaje, A.; Malal, J.G. Mid-term Results Following Reverse Shoulder Arthroplasty and the Role of Navigation in the Management of Glenoid Bone Loss. Cureus 2024, 16, e54633. [Google Scholar] [CrossRef]
- Youderian, A.R.; Greene, A.T.; Polakovic, S.V.; Davis, N.Z.; Parsons, M.; Papandrea, R.F.; Jones, R.B.; Byram, I.R.; Gobbato, B.B.; Wright, T.W.; et al. Two-year clinical outcomes and complication rates in anatomic and reverse shoulder arthroplasty implanted with Exactech GPS intraoperative navigation. J. Shoulder Elb. Surg. 2023, 32, 2519–2532. [Google Scholar] [CrossRef]
- Boufadel, P.; Lopez, R.; Fares, M.Y.; Daher, M.; Dhytadak, D.; Gulotta, L.V.; Abboud, J.A. Intraoperative Navigation in Reverse Shoulder Arthroplasty: Advantages and Future Prospects. Clin. Orthop. Surg. 2024, 16, 679–687. [Google Scholar] [CrossRef]
- Pathirannehelage, N.R.K.; Jayaram, J.; Bamunuarachchi, I.S.; Malal, J.J.G.; Arachchige, I.B.; GeorgeMalal, J. Outcomes of Guided Personalized Surgery (GPS)-Navigated Reverse Polarity Total Shoulder Joint Replacement in a Low-Volume Hospital. Cureus 2023, 15, e50622. [Google Scholar] [CrossRef] [PubMed]
- Larose, G.; Greene, A.T.; Jung, A.; Polakovic, S.V.; Davis, N.Z.; Zuckerman, J.D.; Virk, M.S. High intraoperative accuracy and low complication rate of computer-assisted navigation of the glenoid in total shoulder arthroplasty. J. Shoulder Elb. Surg. 2023, 32, S39–S45. [Google Scholar] [CrossRef]
- Hones, K.M.; King, J.J.; Schoch, B.S.; Struk, A.M.; Farmer, K.W.; Wright, T.W. The in vivo impact of computer navigation on screw number and length in reverse total shoulder arthroplasty. J. Shoulder Elb. Surg. 2021, 30, e629–e635. [Google Scholar] [CrossRef] [PubMed]
- Sprowls, G.R.; Wilson, C.D.; Stewart, W.; Hammonds, K.A.; Baruch, N.H.; Ward, R.A.; Robin, B.N. Intraoperative navigation and preoperative templating software are associated with increased glenoid baseplate screw length and use of augmented baseplates in reverse total shoulder arthroplasty. JSES Int. 2021, 5, 102–108. [Google Scholar] [CrossRef]
- Giorgini, A.; Tarallo, L.; Novi, M.; Porcellini, G. Computer-Assisted Surgery in Reverse Shoulder Arthroplasty: Early Experience. Indian J. Orthop. 2021, 55, 1003–1008. [Google Scholar] [CrossRef]
- Franceschetti, E.; Gregori, P.; Giovannetti de Sanctis, E.; Palumbo, A.; Paciotti, M.; Maffulli, N.M.; Franceschi, F. Return to Sport After Total Shoulder Arthroplasty and Hemiarthroplasty: A Systematic Review. Sports Med. Arthrosc. Rev. 2023, 31, 27–32. [Google Scholar] [CrossRef]
- Nashikkar, P.S.; Scholes, C.J.; Haber, M.D. Computer navigation re-creates planned glenoid placement and reduces correction variability in total shoulder arthroplasty: An in vivo case-control study. J. Shoulder Elb. Surg. 2019, 28, e398–e409. [Google Scholar] [CrossRef] [PubMed]
- Tarallo, L.; Giorgini, A.; Micheloni, G.; Montanari, M.; Porcellini, G.; Catani, F. Navigation in reverse shoulder arthroplasty: How the lateralization of glenosphere can affect the clinical outcome. Arch. Orthop. Trauma Surg. 2023, 143, 5649–5656. [Google Scholar] [CrossRef]
- Tarallo, L.; Micheloni, G.M.; Giorgini, A.; Donà, A.; Porcellini, G. The use of computer navigation in reverse shoulder arthroplasty revision: A case report. Acta Bio-Medica Atenei Parm. 2023, 94, e2023176. [Google Scholar] [CrossRef]
- Rosenthal, Y.; Rettig, S.A.; Virk, M.S.; Zuckerman, J.D. Impact of preoperative 3-dimensional planning and intraoperative navigation of shoulder arthroplasty on implant selection and operative time: A single surgeon’s experience. J. Shoulder Elb. Surg. 2020, 29, 2564–2570. [Google Scholar] [CrossRef]
- Wang, A.W.; Hayes, A.; Gibbons, R.; Mackie, K.E. Computer navigation of the glenoid component in reverse total shoulder arthroplasty: A clinical trial to evaluate the learning curve. J. Shoulder Elb. Surg. 2019, 29, 617–623. [Google Scholar] [CrossRef] [PubMed]
- Franceschetti, E.; Gregori, P.; De Giorgi, S.; Martire, T.; Za, P.; Papalia, G.F.; Giurazza, G.; Longo, U.G.; Papalia, R. Machine learning can predict anterior elevation after reverse total shoulder arthroplasty: A new tool for daily outpatient clinic? Musculoskelet. Surg. 2024, 108, 163–171. [Google Scholar] [CrossRef] [PubMed]
- Abdic, S.; Van Osch, N.J.; Langohr, D.G.; Johnson, J.A.; Athwal, G.S. Mixed reality visualization in shoulder arthroplasty: Is it better than traditional preoperative planning software? Clin. Shoulder Elb. 2023, 26, 117–125. [Google Scholar] [CrossRef] [PubMed]




Disclaimer/Publisher’s Note: The statements, opinions and data contained in all publications are solely those of the individual author(s) and contributor(s) and not of MDPI and/or the editor(s). MDPI and/or the editor(s) disclaim responsibility for any injury to people or property resulting from any ideas, methods, instructions or products referred to in the content. |
© 2025 by the authors. Licensee MDPI, Basel, Switzerland. This article is an open access article distributed under the terms and conditions of the Creative Commons Attribution (CC BY) license (https://creativecommons.org/licenses/by/4.0/).
Share and Cite
Marescalchi, M.; El Motassime, A.; Andriollo, L.; Polizzi, A.; Niccoli, G.; Morea, V. Computer-Assisted Navigation in Shoulder Arthroplasty: A Narrative Review. J. Clin. Med. 2025, 14, 2763. https://doi.org/10.3390/jcm14082763
Marescalchi M, El Motassime A, Andriollo L, Polizzi A, Niccoli G, Morea V. Computer-Assisted Navigation in Shoulder Arthroplasty: A Narrative Review. Journal of Clinical Medicine. 2025; 14(8):2763. https://doi.org/10.3390/jcm14082763
Chicago/Turabian StyleMarescalchi, Marina, Alessandro El Motassime, Luca Andriollo, Alberto Polizzi, Giuseppe Niccoli, and Vincenzo Morea. 2025. "Computer-Assisted Navigation in Shoulder Arthroplasty: A Narrative Review" Journal of Clinical Medicine 14, no. 8: 2763. https://doi.org/10.3390/jcm14082763
APA StyleMarescalchi, M., El Motassime, A., Andriollo, L., Polizzi, A., Niccoli, G., & Morea, V. (2025). Computer-Assisted Navigation in Shoulder Arthroplasty: A Narrative Review. Journal of Clinical Medicine, 14(8), 2763. https://doi.org/10.3390/jcm14082763

