A Practical, Short, [18F]F-DOPA PET/CT Acquisition Method for Distinguishing Recurrent Brain Metastases from Radionecrosis Following Radiotherapy
Abstract
1. Introduction
2. Materials and Methods
2.1. Study Population
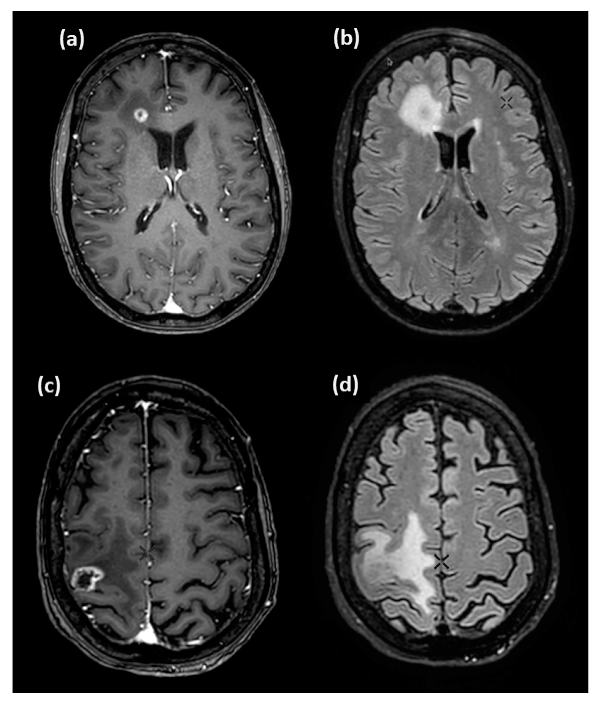
2.2. [18F]F-DOPA PET/CT Imaging
2.3. In-House MATLAB Software Tool
2.4. Experimental Volumes
2.5. The Clinical Volume
2.6. Measurement Analysis
2.7. Statistical Analysis
3. Results
3.1. Patient Characteristics
3.2. Dynamic Presentation of Concentrations and Counting Statistics
3.3. Quantitative Analysis of the Clinical and Experimental Volumes
- (i)
- 2.19 (1.58; 2.80) and 4.87 (3.16; 11.17) for RN and MP, respectively, with regard to the V120 volume;
- (ii)
- 1.96 (1.32; 2.30) and 4.56 (2.96; 11.46) for RN and MP, respectively, with regard to the V270 volume;
- (iii)
- 1.95 (1.27; 2.28) and 2.70 (2.22; 5.75) for RN and MP, respectively, with regard to the Vclin volume.
3.4. Assessment of Diagnostic Performance
4. Discussion
5. Conclusions
Author Contributions
Funding
Institutional Review Board Statement
Informed Consent Statement
Data Availability Statement
Conflicts of Interest
Abbreviations
| [18F]F-DOPA | 3,4-dihydroxy-6-[18F]fluoro-L-phenylalanine |
| AUC | Area under the curve |
| BM | Brain metastasis |
| CE-MRI | Contrast-enhanced magnetic resonance imaging |
| COV | Coefficient of variation |
| LM | List mode |
| LS | Lesion |
| LYSO | Lutetium–yttrium–orthosilicate |
| MP | Metastasis progression |
| RN | Radiation necrosis |
| SiPM-PET | Silicon photomultiplier-based PET scanner |
| SD | Standard deviation |
References
- Eichler, A.F.; Chung, E.; Kodack, D.P.; Loeffler, J.S.; Fukumura, D.; Jain, R.K. The biology of brain metastases-translation to new therapies. Nat. Rev. Clin. Oncol. 2011, 8, 344–356. [Google Scholar] [PubMed]
- Vogelbaum, M.A.; Brown, P.D.; Messersmith, H.; Brastianos, P.K.; Burri, S.; Cahill, D.; Dunn, I.F.; Gaspar, L.E.; Gatson, N.T.N.; Gondi, V.; et al. Treatment for Brain Metastases: ASCO-SNO-ASTRO Guideline. J. Clin. Oncol. 2022, 40, 492–516. [Google Scholar] [CrossRef]
- Gondi, V.; Bauman, G.; Bradfield, L.; Burri, S.H.; Cabrera, A.R.; Cunningham, D.A.; Eaton, B.R.; Hattangadi-Gluth, J.A.; Kim, M.M.; Kotecha, R.; et al. Radiation Therapy for Brain Metastases: An ASTRO Clinical Practice Guideline. Pract. Radiat. Oncol. 2022, 12, 265–282. [Google Scholar] [CrossRef]
- Achrol, A.S.; Rennert, R.C.; Anders, C.; Soffietti, R.; Ahluwalia, M.S.; Nayak, L.; Peters, S.; Arvold, N.D.; Harsh, G.R.; Steeg, P.S.; et al. Brain metastases. Nat. Rev. Dis. Primers 2019, 5, 5. [Google Scholar] [CrossRef] [PubMed]
- Rios-Hoyo, A.; Arriola, E. Immunotherapy and brain metastasis in lung cancer: Connecting bench side science to the clinic. Front. Immunol. 2023, 14, 1221097. [Google Scholar]
- Benkhaled, S.; Schiappacasse, L.; Awde, A.; Kinj, R. Stereotactic Radiosurgery and Stereotactic Fractionated Radiotherapy in the Management of Brain Metastases. Cancers 2024, 16, 1093. [Google Scholar] [CrossRef]
- Vellayappan, B.; Tan, C.L.; Yong, C.; Khor, L.K.; Koh, W.Y.; Yeo, T.T.; Detsky, J.; Lo, S.; Sahgal, A. Diagnosis and Management of Radiation Necrosis in Patients With Brain Metastases. Front. Oncol. 2018, 8, 395. [Google Scholar]
- Stockham, A.L.; Tievsky, A.L.; Koyfman, S.A.; Reddy, C.A.; Suh, J.H.; Vogelbaum, M.A.; Barnett, G.H.; Chao, S.T. Conventional MRI does not reliably distinguish radiation necrosis from tumor recurrence after stereotactic radiosurgery. J. Neurooncol. 2012, 109, 149–158. [Google Scholar] [PubMed]
- Tong, E.; McCullagh, K.L.; Iv, M. Advanced Imaging of Brain Metastases: From Augmenting Visualization and Improving Diagnosis to Evaluating Treatment Response. Front. Neurol. 2020, 11, 270. [Google Scholar]
- Aasen, S.N.; Espedal, H.; Keunen, O.; Adamsen, T.C.H.; Bjerkvig, R.; Thorsen, F. Current landscape and future perspectives in preclinical MR and PET imaging of brain metastasis. Neurooncol. Adv. 2021, 3, vdab151. [Google Scholar]
- Lee, D.; Riestenberg, R.A.; Haskell-Mendoza, A.; Bloch, O. Brain Metastasis Recurrence Versus Radiation Necrosis: Evaluation and Treatment. Neurosurg. Clin. N. Am. 2020, 31, 575–587. [Google Scholar] [CrossRef] [PubMed]
- Mitsuya, K.; Nakasu, Y.; Horiguchi, S.; Harada, H.; Nishimura, T.; Bando, E.; Okawa, H.; Furukawa, Y.; Hirai, T.; Endo, M. Perfusion weighted magnetic resonance imaging to distinguish the recurrence of metastatic brain tumors from radiation necrosis after stereotactic radiosurgery. J. Neurooncol. 2010, 99, 81–88. [Google Scholar] [CrossRef] [PubMed]
- Somme, F.; Bender, L.; Namer, I.J.; Noel, G.; Bund, C. Usefulness of (18)F-FDOPA PET for the management of primary brain tumors: A systematic review of the literature. Cancer Imaging 2020, 20, 70. [Google Scholar] [CrossRef]
- Patel, C.B.; Fazzari, E.; Chakhoyan, A.; Yao, J.; Raymond, C.; Nguyen, H.; Manoukian, J.; Nguyen, N.; Pope, W.; Cloughesy, T.F.; et al. (18)F-FDOPA PET and MRI characteristics correlate with degree of malignancy and predict survival in treatment-naive gliomas: A cross-sectional study. J. Neurooncol. 2018, 139, 399–409. [Google Scholar] [CrossRef] [PubMed]
- Youland, R.S.; Pafundi, D.H.; Brinkmann, D.H.; Lowe, V.J.; Morris, J.M.; Kemp, B.J.; Hunt, C.H.; Giannini, C.; Parney, I.F.; Laack, N.N. Prospective trial evaluating the sensitivity and specificity of 3,4-dihydroxy-6-[18F]-fluoro-L-phenylalanine (18F-DOPA) PET and MRI in patients with recurrent gliomas. J. Neurooncol. 2018, 137, 583–591. [Google Scholar] [CrossRef]
- Cicone, F.; Minniti, G.; Romano, A.; Papa, A.; Scaringi, C.; Tavanti, F.; Bozzao, A.; Maurizi Enrici, R.; Scopinaro, F. Accuracy of F-DOPA PET and perfusion-MRI for differentiating radionecrotic from progressive brain metastases after radiosurgery. Eur. J. Nucl. Med. Mol. Imaging 2015, 42, 103–111. [Google Scholar] [CrossRef]
- Law, I.; Albert, N.L.; Arbizu, J.; Boellaard, R.; Drzezga, A.; Galldiks, N.; la Fougere, C.; Langen, K.J.; Lopci, E.; Lowe, V.; et al. Joint EANM/EANO/RANO practice guidelines/SNMMI procedure standards for imaging of gliomas using PET with radiolabelled amino acids and [(18)F]FDG: Version 1.0. Eur. J. Nucl. Med. Mol. Imaging 2019, 46, 540–557. [Google Scholar] [CrossRef]
- Wagatsuma, K.; Miwa, K.; Sakata, M.; Oda, K.; Ono, H.; Kameyama, M.; Toyohara, J.; Ishii, K. Comparison between new-generation SiPM-based and conventional PMT-based TOF-PET/CT. Phys. Med. 2017, 42, 203–210. [Google Scholar] [CrossRef]
- Barrat, I.; Meyer, M.E.; Coutte, A.; Boone, M.; Bouzerar, R.; Bailly, P. A study method using early dynamic acquisition of [(18)F]fluorodopa positron emission tomography for the differential diagnosis between progression and radionecrosis of brain metastases after radiotherapy. EJNMMI Res. 2024, 14, 93. [Google Scholar] [CrossRef]
- Chicheportiche, A.; Marciano, R.; Orevi, M. Comparison of NEMA characterizations for Discovery MI and Discovery MI-DR TOF PET/CT systems at different sites and with other commercial PET/CT systems. EJNMMI Phys. 2020, 7, 4. [Google Scholar] [CrossRef]
- Hudson, H.M.; Larkin, R.S. Accelerated image reconstruction using ordered subsets of projection data. IEEE Trans. Med. Imaging 1994, 13, 601–609. [Google Scholar] [CrossRef]
- Bellur, S.; Khosla, A.A.; Ozair, A.; Kotecha, R.; McDermott, M.W.; Ahluwalia, M.S. Management of Brain Metastases: A Review of Novel Therapies. Semin. Neurol. 2023, 43, 845–858. [Google Scholar]
- Nickerson, L.D.; Narayana, S.; Lancaster, J.L.; Fox, P.T.; Gao, J.H. Estimation of the local statistical noise in positron emission tomography revisited: Practical implementation. Neuroimage 2003, 19, 442–456. [Google Scholar] [PubMed]
- Townsend, D.W. Physical principles and technology of clinical PET imaging. Ann. Acad. Med. Singap. 2004, 33, 133–145. [Google Scholar] [PubMed]
- Fonti, R.; Panico, M.; Pellegrino, S.; Pulcrano, A.; Vastarella, L.A.; Torbati, A.H.M.; Giuliano, M.; Palmieri, G.; De Placido, S.; Del Vecchio, S. Heterogeneity of SSTR2 Expression Assessed by (68)Ga-DOTATOC PET/CT Using Coefficient of Variation in Patients with Neuroendocrine Tumors. J. Nucl. Med. 2022, 63, 1509–1514. [Google Scholar] [CrossRef]
- Herrmann, K.; Czernin, J.; Cloughesy, T.; Lai, A.; Pomykala, K.L.; Benz, M.R.; Buck, A.K.; Phelps, M.E.; Chen, W. Comparison of visual and semiquantitative analysis of 18F-FDOPA-PET/CT for recurrence detection in glioblastoma patients. Neuro Oncol. 2014, 16, 603–609. [Google Scholar] [PubMed]
- Song, Y.; Meng, X.; Cao, Z.; Zhao, W.; Zhang, Y.; Guo, R.; Zhou, X.; Yang, Z.; Li, N. Harmonization of standard uptake values across different positron emission tomography/computed tomography systems and different reconstruction algorithms: Validation in oncology patients. EJNMMI Phys. 2023, 10, 19. [Google Scholar]
- Robinson, S.D.; de Boisanger, J.; Pearl, F.M.G.; Critchley, G.; Rosenfelder, N.; Giamas, G. A brain metastasis liquid biopsy: Where are we now? Neurooncol. Adv. 2024, 6, vdae066. [Google Scholar]







| Variable | Categories | Subjets Included, n (%) or Mean ± SD |
|---|---|---|
| Sex | Male | 6 (40%) |
| Female | 9 (60%) | |
| Age (years) | 67.5 ± 11.3 | |
| Body mass index (kg/m2) | 26.6 ± 4.1 | |
| Primary tumor | Lung | 7 (47%) |
| Breast | 3 (20%) | |
| Melanoma | 2 (13%) | |
| Kidney | 1 (7%) | |
| Undetermined | 2 (13%) | |
| Lesion site | Supratentorial | 11 (73%) |
| Infratentorial | 4 (27%) | |
| Time interval between MRI and PET (days) | 45.3 ± 35.0 | |
| Total number of lesions | 19 |
| PET Volume | Patient Group | Median [IQR 1] | Mean ± SD 2 | Difference [95% CI 3] |
|---|---|---|---|---|
| V120 | RN | 2.19 [1.61; 2.59] | 2.22 ± 0.82 | −2.91 5 [−7.17; −1.40] |
| MP | 4.87 [3.84; 8.35] | 6.22 ± 3.13 | ||
| V270 | RN | 1.96 [1.55; 2.22] | 2.01 ± 0.70 | −2.77 5 [−6.22; −1.33] |
| MP | 4.56 [3.59; 7.43] | 5.85 ± 3.12 | ||
| Vclin | RN | 1.95 [1.46; 2.12] | 1.89 ± 0.53 | −1.13 4 [−2.81; −0.43] |
| MP | 2.7 [2.65; 3.95] | 3.41 ± 1.32 |
| PET Volume | Accuracy (%) | Cutoff | Sensitivity (%) | Specificity (%) | AUC 1 (%) |
|---|---|---|---|---|---|
| V120 | 94.7 | 3.16 | 100 | 91.7 | 97.6 |
| V270 | 94.7 | 3.33 | 85.7 | 100 | 97.6 |
| Vclin | 84.2 | 2.22 | 100 | 75 | 90.5 |
Disclaimer/Publisher’s Note: The statements, opinions and data contained in all publications are solely those of the individual author(s) and contributor(s) and not of MDPI and/or the editor(s). MDPI and/or the editor(s) disclaim responsibility for any injury to people or property resulting from any ideas, methods, instructions or products referred to in the content. |
© 2025 by the authors. Licensee MDPI, Basel, Switzerland. This article is an open access article distributed under the terms and conditions of the Creative Commons Attribution (CC BY) license (https://creativecommons.org/licenses/by/4.0/).
Share and Cite
Bailly, P.; Bouzerar, R.; Barrat, I.; Boone, M.; Coutte, A.; Meyer, M.-E. A Practical, Short, [18F]F-DOPA PET/CT Acquisition Method for Distinguishing Recurrent Brain Metastases from Radionecrosis Following Radiotherapy. J. Clin. Med. 2025, 14, 2168. https://doi.org/10.3390/jcm14072168
Bailly P, Bouzerar R, Barrat I, Boone M, Coutte A, Meyer M-E. A Practical, Short, [18F]F-DOPA PET/CT Acquisition Method for Distinguishing Recurrent Brain Metastases from Radionecrosis Following Radiotherapy. Journal of Clinical Medicine. 2025; 14(7):2168. https://doi.org/10.3390/jcm14072168
Chicago/Turabian StyleBailly, Pascal, Roger Bouzerar, Ines Barrat, Mathieu Boone, Alexandre Coutte, and Marc-Etienne Meyer. 2025. "A Practical, Short, [18F]F-DOPA PET/CT Acquisition Method for Distinguishing Recurrent Brain Metastases from Radionecrosis Following Radiotherapy" Journal of Clinical Medicine 14, no. 7: 2168. https://doi.org/10.3390/jcm14072168
APA StyleBailly, P., Bouzerar, R., Barrat, I., Boone, M., Coutte, A., & Meyer, M.-E. (2025). A Practical, Short, [18F]F-DOPA PET/CT Acquisition Method for Distinguishing Recurrent Brain Metastases from Radionecrosis Following Radiotherapy. Journal of Clinical Medicine, 14(7), 2168. https://doi.org/10.3390/jcm14072168

