Bone Changes During Growth in Patients with Osteogenesis Imperfecta
Abstract
1. Introduction
2. Materials and Methods
2.1. Ethical Aspects
2.2. Study Design
2.3. Study and Control Samples
- Mild OI: 45.5%, n = 30
- Moderate OI: 31.8%, n = 21
- Severe OI: 22.7%, n = 15
2.4. Systematics of the Investigation
- Mandibular Cortical Index (MCI) classified into three categories: C1 (normal cortex with continuous and flat endosteal margin), C2 (endosteal cortical sediments on one or both mandibular sides, or semilunar deficiencies in the endosteal margin), C3 (porous cortex with endosteal defects).
- Visual estimation of cortical width (SVE), classified as normal (>3 mm) or thin (<3 mm).
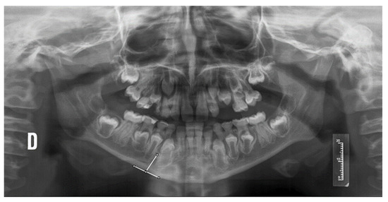
- Mandibular cortical width (MCW), measured from a tangential to the mandibular border and another parallel to the ascending ramus, obtaining a tangent through the mental foramen (Figure 1).
2.5. Statistical Analysis
3. Results
3.1. BMD in the Overall Sample
3.2. Influence of the Presence of OI on BMD
3.3. Influence of Medication on BMD
- 27.3% (n = 18) received no treatment.
- 15.2% received treatment with pamidronate (n = 10).
- 16.7% received treatment with zoledronic (n = 11).
- 40.9% were treated with both medications (n = 27).
3.4. Influence of the Severity of OI with BMD
4. Discussion
5. Conclusions
Author Contributions
Funding
Institutional Review Board Statement
Informed Consent Statement
Data Availability Statement
Acknowledgments
Conflicts of Interest
Abbreviations
| OI | Osteogenesis Imperfecta |
| BMD | Bone Mineral Density |
| SVE | Visual estimation of cortical width |
| MCI | Mandibular Cortical Index |
| MCW | Mandibular Cortical Width |
References
- Chetty, M.; Roberts, T.S.; Stephen, L.; Beighton, P. Craniofacial manifestations in osteogenesis imperfecta type III in South Africa. BDJ Open 2017, 3, 17021. [Google Scholar] [CrossRef][Green Version]
- Huber, M.A. Osteogenesis Imperfecta. Oral. Surg. Oral. Med. Oral. Pathol. Oral. Radiol. Endod. 2007, 103, 314–320. [Google Scholar] [CrossRef] [PubMed]
- Herdea, A.; Ulici, A.; Qirjako, D.; Toma, A.; Derihaci, R.P.; Lungu, C.N.; Charkaoui, A. Evaluating the Functional Outcomes and the Quality of Life for Pediatric Patients with Osteogenesis Imperfecta After Fracture Treatment with Intramedullary Rodding. Children 2021, 8, 1066. [Google Scholar] [CrossRef] [PubMed]
- Mortier, G.R.; Cohn, D.H.; Cormier-Daire, V.; Hall, C.; Krakow, D.; Mundlos, S.; Nishimura, G.; Robertson, S.; Sangiorgi, L.; Savarirayan, R.; et al. Nosology and classification of genetic skeletal disorders: 2019 revision. Am. J. Med. Genet. Part A 2019, 179, 2393–2419. [Google Scholar] [CrossRef] [PubMed]
- Bregou, B.; Aubry-Rozier, B.; Bonafé, L.; Laurent-Applegate, L.; Pioletti, D.; Zambelli, P. Osteogenesis imperfecta: From diagnosis and multidisciplinary treatment to future perspectives. Swiss Med. Wkly. 2016, 146, w14322. [Google Scholar] [CrossRef]
- Foster, B.L.; Ramnitz, M.S.; Gafni, R.I.; Burke, A.B.; Boyce, A.M.; Lee, J.S.; Wright, J.; Akintoye, S.; Somerman, M.; Collins, M. Rare bone diseases and their dental, oral, and craniofacial manifestations. J. Dent. Res. 2014, 93 (Suppl. S7), 7S–19S. [Google Scholar] [CrossRef]
- Chang, P.C.; Lin, S.Y.; Hsu, K.H. The craniofacial characteristics of osteogenesis imperfecta patients. Eur. J. Orthod. 2007, 29, 232–237. [Google Scholar] [CrossRef]
- Klemetti, E.; Kolmakov, S.; Heiskanen, P.; Vainio, P.; Lassila, V. Panoramic mandibular index and bone mineral densities in postmenopausal women. Oral. Surg. Oral. Med. Oral. Pathol. 1993, 75, 774–779. [Google Scholar] [CrossRef]
- Alonso, M.B.; Cortes, A.R.; Camargo, A.J.; Arita, E.S.; Haiter-Neto, F.; Watanabe, P.C. Assessment of panoramic radiomorphometric indices of the mandible in a brazilian population. Int. Sch. Res. Not. 2011, 2011, 854287. [Google Scholar] [CrossRef]
- Dutra, V.; Yang, J.; Devlin, H.; Susin, C. Radiomorphometric indices and their relation to gender, age, and dental status. Oral. Surg. Oral. Med. Oral. Pathol. Oral. Radiol. Endod. 2005, 99, 479–484. [Google Scholar] [CrossRef]
- Dutra, V.; Susin, C.; da Costa, N.P.; Veeck, E.B.; Bahlis, A.; Ada, R.F. Measuring cortical thickness on panoramic radiographs: A validation study of the Mental Index. Oral. Surg. Oral. Med. Oral. Pathol. Oral. Radiol. Endod. 2007, 104, 686–691. [Google Scholar] [CrossRef]
- Yaşar, F.; Akgünlü, F. The differences in panoramic mandibular indices and fractal dimension between patients with and without spinal osteoporosis. Dentomaxillofac. Radiol. 2006, 35, 1–9. [Google Scholar] [CrossRef]
- White, S.C. Oral radiographic predictors of osteoporosis. Dentomaxillofac. Radiol. 2002, 31, 84–92. [Google Scholar] [CrossRef] [PubMed]
- Devlin, H.; Horner, K. Mandibular radiomorphometric indices in the diagnosis of reduced skeletal bone mineral density. Osteoporos. Int. 2002, 13, 373–378. [Google Scholar] [CrossRef]
- Taguchi, A.; Suei, Y.; Ohtsuka, M.; Otani, K.; Tanimoto, K.; Ohtaki, M. Usefulness of panoramic radiography in the diagnosis of postmenopausal osteoporosis in women. Width and morphology of inferior cortex of the mandible. Dentomaxillofac. Radiol. 1996, 25, 263–267. [Google Scholar] [CrossRef] [PubMed]
- Camargo, A.J.; Arita, E.S.; De Fernández, M.C.C.; Watanabe, P.C.A.; Camargo, A.J. Comparison of Two Radiological Methods for Evaluation of Bone Density in Postmenopausal Women. Int. J. Morphol. 2015, 33, 732–736. [Google Scholar] [CrossRef]
- Pachêco-Pereira, C.; Almeida, F.T.; Chavda, S.; Major, P.W.; Leite, A.; Guerra, E.N.S. Dental imaging of trabecular bone structure for systemic disorder screening: A systematic review. Oral. Dis. 2019, 25, 1009–1026. [Google Scholar] [CrossRef]
- Rocha-Claros, J.J. Osteoporosis of the Jaws and Its Diagnostic Methods: Review of the Literature. Odovtos Int. J. Dent. Sci. 2021, 21, 55–63. [Google Scholar] [CrossRef]
- Apolinário, A.C.; Figueiredo, P.T.; Guimarães, A.T.; Acevedo, A.C.; Castro, L.C.; Paula, A.P.; Paula, L.M.; Melo, N.S.; Leite, A.F. Pamidronate affects the mandibular cortex of children with osteogenesis imperfecta. J. Dent. Res. 2015, 94 (Suppl. S3), 95S–102S. [Google Scholar] [CrossRef]
- Rossi, V.; Lee, B.; Marom, R. Osteogenesis imperfecta: Advancements in genetics and treatment. Curr. Opin. Pediatr. 2019, 31, 708–715. [Google Scholar] [CrossRef]
- Liu, W.; Lee, B.; Nagamani, S.C.S.; Nicol, L.; Rauch, F.; Rush, E.T.; Sutton, V.R.; Orwoll, E. Approach to the Patient: Pharmacological Therapies for Fracture Risk Reduction in Adults with Osteogenesis Imperfecta. J. Clin. Endocrinol. Metab. 2023, 108, 1787–1796. [Google Scholar] [CrossRef] [PubMed]
- Rauch, F.; Glorieux, F.H. Osteogenesis imperfecta. Lancet 2004, 363, 1377–1385. [Google Scholar] [CrossRef] [PubMed]
- Thomas, I.H.; DiMeglio, L.A. Advances in the Classification and Treatment of Osteogenesis Imperfecta. Curr. Osteoporos. Rep. 2016, 14, 1–9. [Google Scholar] [CrossRef]
- Rauch, F.; Plotkin, H.; Travers, R.; Zeitlin, L.; Glorieux, F.H. Osteogenesis imperfecta types I, III, and IV: Effect of pamidronate therapy on bone and mineral metabolism. J. Clin. Endocrinol. Metab. 2003, 88, 986–992. [Google Scholar] [CrossRef] [PubMed]
- Zeitlin, L.; Rauch, F.; Plotkin, H.; Glorieux, F.H. Height and weight development during four years of therapy with cyclical intravenous pamidronate in children and adolescents with osteogenesis imperfecta types I, III, and IV. Pediatrics 2003, 111, 1030–1036. [Google Scholar] [CrossRef]
- Cho, T.J.; Choi, I.H.; Chung, C.Y.; Yoo, W.J.; Park, M.S.; Park, Y.K. Efficacy of oral alendronate in children with osteogenesis imperfecta. J. Pediatr. Orthop. 2005, 25, 607–612. [Google Scholar] [CrossRef]
- Palomo, T.; Fassier, F.; Ouellet, J.; Sato, A.; Montpetit, K.; Glorieux, F.H.; Rauch, F. Intravenous Bisphosphonate Therapy of Young Children with Osteogenesis Imperfecta: Skeletal Findings During Follow Up Throughout the Growing Years. J. Bone Miner. Res. 2015, 30, 2150–2157. [Google Scholar] [CrossRef]
- Zavala, R.G.; Bou-Torrent, R.; Mir-Perelló, C.; Regueira, S.M.; Magallares-López, B.; López-Corbeto, M. Effectiveness and safety of bisphosphonates therapy in secondary osteoporosis in children. An. Pediatr. 2022, 97, 190–198. [Google Scholar] [CrossRef]
- Gulec, M.; Tassoker, M.; Ozcan, S.; Orhan, K. Evaluation of the mandibular trabecular bone in patients with bruxism using fractal analysis. Oral. Radiol. 2021, 37, 36–45. [Google Scholar] [CrossRef]
- Cesur, E.; Bayrak, S.; Kursun-Çakmak, E.Ş.; Arslan, C.; Köklü, A.; Orhan, K. Evaluating the effects of functional orthodontic treatment on mandibular osseous structure using fractal dimension analysis of dental panoramic radiographs. Angle Orthod. 2020, 90, 783–793. [Google Scholar] [CrossRef]
- Kolcakoglu, K.; Amuk, M.; Sirin Sarıbal, G. Evaluation of mandibular trabecular bone by fractal analysis on panoramic radiograph in paediatric patients with sleep bruxism. Int. J. Paediatr. Dent. 2022, 32, 776–784. [Google Scholar] [CrossRef] [PubMed]
- Temur, K.T.; Magat, G.; Coskunarslan, A.; Önsüren, A.S.; Özcan, S. Evaluation of Mandibular Trabecular Bone by Fractal Analysis in Pediatric Patients with Hypodontia. 2022. Available online: https://www.researchsquare.com/article/rs-2007598/v1 (accessed on 10 September 2023).
- Gulsahi, A.; Yüzügüllü, B.; Imirzalioglu, P.; Genç, Y. Assessment of panoramic radiomorphometric indices in Turkish patients of different age groups, gender and dental status. Dentomaxillofac. Radiol. 2008, 37, 288–292. [Google Scholar] [CrossRef]
- Leite, A.F.; de Souza Figueiredo, P.T.; Barra, F.R.; de Melo, N.S.; de Paula, A.P. Relationships between mandibular cortical indexes, bone mineral density, and osteoporotic fractures in Brazilian men over 60 years old. Oral. Surg. Oral. Med. Oral. Pathol. Oral. Radiol. Endod. 2011, 112, 648–656. [Google Scholar] [CrossRef]
- Pantoja, L.L.Q.; Lustosa, M.; Yamaguti, P.M.; Rosa, L.S.; Leite, A.F.; Figueiredo, P.T.S.; Castro, L.C.; Acevedo, A.C. Pamidronate Therapy Increases Trabecular Bone Complexity of Mandibular Condyles in Individuals with Osteogenesis Imperfecta. Calcif. Tissue Int. 2022, 110, 303–312. [Google Scholar] [CrossRef]
- Sindeaux, R.; Figueiredo, P.T.; de Melo, N.S.; Guimarães, A.T.; Lazarte, L.; Pereira, F.B.; de Paula, A.P.; Leite, A.F. Fractal dimension and mandibular cortical width in normal and osteoporotic men and women. Maturitas 2014, 77, 142–148. [Google Scholar] [CrossRef]
- Taguchi, A.; Sugino, N.; Miki, M.; Kozai, Y.; Mochizuki, N.; Osanai, H.; Yamada, S.; Kuroiwa, H.; Fujiki, T.; Uchida, K.; et al. Detecting young Japanese adults with undetected low skeletal bone density using panoramic radiographs. Dentomaxillofac. Radiol. 2011, 40, 154–159. [Google Scholar] [CrossRef] [PubMed]
- Govindraju, P.; Chandra, P. Radiomorphometric indices of the mandible—An indicator of osteoporosis. J. Clin. Diagn. Res. 2014, 8, 195–198. [Google Scholar] [CrossRef] [PubMed]
- Hastar, E.; Yilmaz, H.H.; Orhan, H. Evaluation of mental index, mandibular cortical index and panoramic mandibular index on dental panoramic radiographs in the elderly. Eur. J. Dent. 2011, 5, 60–67. [Google Scholar] [CrossRef]
- Alkurt, M.T.; Peker, I.; Sanal, O. Assessment of repeatability and reproducibility of mental and panoramic mandibular indices on digital panoramic images. Int. Dent. J. 2007, 57, 433–438. [Google Scholar] [CrossRef]
- Prado, H.V.; Debossan, S.A.T.; Loayza, K.S.; Abreu, L.G.; Brasileiro, C.B.; Borges-Oliveira, A.C. Radiomorphometric indices and fractal dimension of the mandible in individuals with osteogenesis imperfecta: A matched cross-sectional study. Oral. Surg. Oral. Med. Oral. Pathol. Oral. Radiol. 2023, 136, 102–111. [Google Scholar] [CrossRef]
- Apolinário, A.C.; Sindeaux, R.; de Souza Figueiredo, P.T.; Guimarães, A.T.; Acevedo, A.C.; Castro, L.C.; de Paula, A.P.; de Paula, L.M.; de Melo, N.S.; Leite, A.F. Dental panoramic indices and fractal dimension measurements in osteogenesis imperfecta children under pamidronate treatment. Dentomaxillofac. Radiol. 2016, 45, 20150400. [Google Scholar] [CrossRef] [PubMed]



| Overall Sample (n = 132) | OI Sample (n = 66) | Control Sample (n = 66) | |
|---|---|---|---|
| AGE | |||
| Mean (SD) | 9.88 (±3.92) | 9.88 (±3.92) | 9.88 (±3.92) |
| Median | 9.00 (5–23) | 9.00 (5–23) | 9.00 (5–23) |
| SEX | |||
| Girls | 57.6% (76) | 57.6% (38) | 57.6% (38) |
| Boys | 42.4% (56) | 42.4% (28) | 42.4% (28) |
| OI TYPE | |||
| OI I | - | 45.5% (30) | - |
| OI II | - | 1.5% (1) | - |
| OI III | - | 21.2% (14) | - |
| OI IV | - | 22.7% (15) | - |
| OI V | - | 9.1% (6) | - |
| Variable | Rate (Frequency) | Contrast Test (Mc Nemar) | Effect Size R2 | ||
|---|---|---|---|---|---|
| OI (n) | Control (n) | Statistical | p-Value | ||
| SVE | 0.45 | 0.824 | 0.009 | ||
| Thin | 57.6% (38) | 60.6% (40) | |||
| Not Thin | 42.4% (28) | 39.4% (26) | |||
| MCI | 5.06 | 0.000 | 0.220 | ||
| C1 | 22.7% (15) | 62.1% (41) | |||
| C2 | 54.5% (36) | 37.9% (25) | |||
| C3 | 22.7% (15) | 0.0 % | |||
| MCW | 2.89 (±1.21) | 2.91 (±0.93) | t = 0.09 | 0.927 | 0.000 |
| Variable | Rate (Frequency) | Contrast Test (Mc Nemar) | Effect Size R2 | ||
|---|---|---|---|---|---|
| OI | Control Group | Statistical | p-Value | ||
| SVE | 0.08 | 0.990 | 0.000 | ||
| Thin | 55.6% | 44.4% | |||
| Not Thin | 50.0% | 50.0% | |||
| MCI | 2.65 | 0.008 | 0.021 | ||
| C1 | 16.7% | 55.6% | |||
| C2 | 61.1% | 44.4% | |||
| C3 | 22.2% | 0.0% | |||
| MCW | 3.28 (±1.35) | 3.09 (±0.79) | ZW = 0.76 | 0.468 | 0.021 |
| Variable | Rate (Frequency) | Contrast Test (Chi-Square) | Size Effect R2 | |||
|---|---|---|---|---|---|---|
| Pamidronate and Zoledronic Acid (n = 27) | Pamidronate (n = 10) | Zoledronic Acid (n = 11) | Statistical | p-Value | ||
| SVE | 0.22 | 0.894 | 0.005 | |||
| Thin | 55.6% (15) | 60.0% (6) | 63.6% (7) | |||
| Not Thin | 44.4% (12) | 40.0% (4) | 36.4% (4) | |||
| MCI | 7.34 | 0.119 | 0.077 | |||
| C1 | 29.6% (8) | 10.0% (1) | 27.3% (3) | |||
| C2 | 51.9% (14) | 80.0% (8) | 27.3% (3) | |||
| C3 | 18.5% (5) | 10.0% (1) | 45.5% (5) | |||
| MCW | 2.93 (±1.16) | 2.52 (±0.80) | 2.52 (±1.34) | F = 0.76 | 0.476 | 0.032 |
| Variable | Rate (Frequency) | Contrast Test (Chi-Cuadrado) | Size Effect R2 | |||
|---|---|---|---|---|---|---|
| Mild OI (n = 30) | Moderate OI (n = 21) | Severe OI (n = 15) | Statistical | p-Value | ||
| SVE | 0.18 | 0.912 | 0.002 | |||
| Thin | 60.0% (18) | 57.1% (12) | 53.3% (8) | |||
| Not thin | 40.0% (12) | 42.9% (9) | 46.7% (7) | |||
| MCI | 5.37 | 0.252 | 0.041 | |||
| C1 | 13.3% (4) | 23.8% (5) | 40.0% (6) | |||
| C2 | 56.7% (17) | 61.9% (13) | 40.0% (6) | |||
| C3 | 30.0% (9) | 14.3% (3) | 20.0% (3) | |||
| MCW | 2.83 (±1.32) | 2.88 (±0.98) | 3.03 (±1.35) | F = 0.12 | 0.885 | 0.004 |
Disclaimer/Publisher’s Note: The statements, opinions and data contained in all publications are solely those of the individual author(s) and contributor(s) and not of MDPI and/or the editor(s). MDPI and/or the editor(s) disclaim responsibility for any injury to people or property resulting from any ideas, methods, instructions or products referred to in the content. |
© 2025 by the authors. Licensee MDPI, Basel, Switzerland. This article is an open access article distributed under the terms and conditions of the Creative Commons Attribution (CC BY) license (https://creativecommons.org/licenses/by/4.0/).
Share and Cite
Burgueño-Torres, L.; García-Boedo, L.; de Nova-García, M.J. Bone Changes During Growth in Patients with Osteogenesis Imperfecta. J. Clin. Med. 2025, 14, 1764. https://doi.org/10.3390/jcm14051764
Burgueño-Torres L, García-Boedo L, de Nova-García MJ. Bone Changes During Growth in Patients with Osteogenesis Imperfecta. Journal of Clinical Medicine. 2025; 14(5):1764. https://doi.org/10.3390/jcm14051764
Chicago/Turabian StyleBurgueño-Torres, Laura, Lara García-Boedo, and Manuel Joaquín de Nova-García. 2025. "Bone Changes During Growth in Patients with Osteogenesis Imperfecta" Journal of Clinical Medicine 14, no. 5: 1764. https://doi.org/10.3390/jcm14051764
APA StyleBurgueño-Torres, L., García-Boedo, L., & de Nova-García, M. J. (2025). Bone Changes During Growth in Patients with Osteogenesis Imperfecta. Journal of Clinical Medicine, 14(5), 1764. https://doi.org/10.3390/jcm14051764

