Intra- and Inter-Rater Reliability of Ultrasound Imaging to Measure Tensor Fasciae Latae Muscle Size
Abstract
1. Introduction
2. Materials and Methods
2.1. Participants
2.2. Procedure
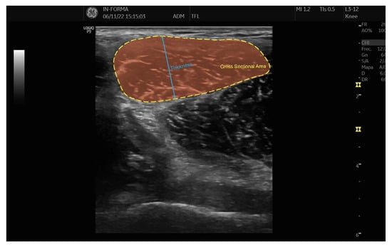
2.3. Measurement Protocol
2.4. Data Analysis
3. Results
4. Discussion
Limitations
5. Conclusions
Author Contributions
Funding
Institutional Review Board Statement
Informed Consent Statement
Data Availability Statement
Conflicts of Interest
References
- Mendis, M.D.; Wilson, S.J.; Hayes, D.A.; Hides, J.A. Hip muscle atrophy in patients with acetabular labral joint pathology. Clin. Anat. 2020, 33, 538–544. [Google Scholar] [CrossRef] [PubMed]
- Malloy, P.; Stone, A.V.; Kunze, K.N.; Neal, W.H.; Beck, E.C.; Nho, S.J. Patients With Unilateral Femoroacetabular Impingement Syndrome Have Asymmetrical Hip Muscle Cross-Sectional Area and Compensatory Muscle Changes Associated with Preoperative Pain Level. J. Arthrosc. Relat. Surg. 2019, 35, 1445–1453. [Google Scholar] [CrossRef] [PubMed]
- Momose, T.; Inaba, Y.; Choe, H.; Kobayashi, N.; Tezuka, T.; Saito, T. CT-based analysis of muscle volume and degeneration of gluteus medius in patients with unilateral hip osteoarthritis. BMC Musculoskelet. Disord. 2017, 18, 457. [Google Scholar] [CrossRef] [PubMed]
- Rasch, A.; Byström, A.H.; Dalén, N.; Martinez-Carranza, N.; Berg, H.E. Persisting muscle atrophy two years after replacement of the hip. J. Bone Jt. Surg. Br. 2009, 91, 583–588. [Google Scholar] [CrossRef]
- Walczak, B.E.; Blankenbaker, D.G.; Tuite, M.R.; Keene, J.S. Magnetic Resonance Imaging Appearance of the Hip Musculature After Arthroscopic Labral-Level Iliopsoas Tenotomies. Orthop. J. Sports Med. 2017, 5, 2325967117707498. [Google Scholar] [CrossRef]
- Zacharias, A.; Pizzari, T.; English, D.J.; Kapakoulakis, T.; Green, R.A. Hip abductor muscle volume in hip osteoarthritis and matched controls. Osteoarthr. Cartil. 2016, 24, 1727–1735. [Google Scholar] [CrossRef]
- Loureiro, A.; Constantinou, M.; Diamond, L.E.; Beck, B.; Barrett, R. Individuals with mild-to-moderate hip osteoarthritis have lower limb muscle strength and volume deficits. BMC Musculoskelet. Disord. 2018, 19, 303. [Google Scholar] [CrossRef]
- Arokoski, M.H.; Arokoski, J.P.; Haara, M.; Kankaanpää, M.; Vesterinen, M.; Niemitukia, L.H.; Helminen, H.J. Hip muscle strength and muscle cross sectional area in men with and without hip osteoarthritis. J. Rheumatol. 2002, 29, 2185–2195. [Google Scholar]
- Gellhorn, A.C.; Stumph, J.M.; Zikry, H.E.; Creelman, C.A.; Welbel, R. Ultrasound measures of muscle thickness may be superior to strength testing in adults with knee osteoarthritis: A cross-sectional study. BMC Musculoskelet. Disord. 2018, 19, 350. [Google Scholar] [CrossRef]
- ten Dam, L.; van der Kooi, A.J.; Verhamme, C.; Wattjes, M.P.; de Visser, M. Muscle imaging in inherited and acquired muscle diseases. Eur. J. Neurol. 2016, 23, 688–703. [Google Scholar] [CrossRef]
- Whittaker, J.L.; Teyhen, D.S.; Elliott, J.M.; Cook, K.; Langevin, H.M.; Dahl, H.H.; Stokes, M. Rehabilitative ultrasound imaging: Understanding the technology and its applications. J. Orthop. Sports Phys. Ther. 2007, 37, 434–439. [Google Scholar] [CrossRef]
- Perkin, H.M.; Bond, E.A.; Thompson, J.; Woods, E.C.; Smith, C. Real Time Ultrasound: An Objective Measure of Skeletal Muscle. Phys. Ther. Rev. 2013, 8, 99–108. [Google Scholar] [CrossRef]
- Koppenhaver, S.L.; Parent, E.C.; Teyhen, D.S.; Hebert, J.J.; Fritz, J.M. The effect of averaging multiple trials on measurement error during ultrasound imaging of transversus abdominis and lumbar multifidus muscles in individuals with low back pain. J. Orthop. Sports Phys. Ther. 2009, 39, 604–611. [Google Scholar] [CrossRef]
- Hides, J.A.; Richardson, C.A.; Jull, G.A. Magnetic resonance imaging and ultrasonography of the lumbar multifidus muscle. Comparison of two different modalities. Spine 1995, 20, 54–58. [Google Scholar] [CrossRef] [PubMed]
- Rankin, G.; Stokes, M.; Newham, D.J. Abdominal muscle size and symmetry in normal subjects. Muscle Nerve 2006, 34, 320–326. [Google Scholar] [CrossRef] [PubMed]
- Latey, P.J.; Burns, J.; Nightingale, E.J.; Clarke, J.L.; Hiller, C.E. Reliability and correlates of cross-sectional area of abductor hallucis and the medial belly of the flexor hallucis brevis measured by ultrasound. J. Foot Ankle Res. 2018, 11, 28. [Google Scholar] [CrossRef]
- Martinson, H.; Stokes, M.J. Measurement of anterior tibial muscle size using real-time ultrasound imaging. Eur. J. Appl. Physiol. Occup. Physiol. 1991, 63, 250–254. [Google Scholar] [CrossRef]
- Mechelli, F.; Arendt-Nielsen, L.; Stokes, M.; Agyapong-Badu, S. Validity of Ultrasound Imaging Versus Magnetic Resonance Imaging for Measuring Anterior Thigh Muscle, Subcutaneous Fat, and Fascia Thickness. Methods Protoc. 2019, 2, 58. [Google Scholar] [CrossRef]
- Mendis, M.D.; Wilson, S.J.; Stanton, W.; Hides, J.A. Validity of real-time ultrasound imaging to measure anterior hip muscle size: A comparison with magnetic resonance imaging. J. Orthop. Sports Phys. Ther. 2010, 40, 577–581. [Google Scholar] [CrossRef]
- Whittaker, J.L.; Emery, C.A. Sonographic measures of the gluteus medius, gluteus minimus, and vastus medialis muscles. J. Orthop. Sports Phys. Ther. 2014, 44, 627–632. [Google Scholar] [CrossRef]
- Tousignant-Laflamme, Y.; Boutin, N.; Dion, A.M.; Vallee, C.A. Reliability and criterion validity of two applications of the iPhone™ to measure cervical range of motion in healthy participants. J. Neuroeng. Rehabil. 2013, 10, 69. [Google Scholar] [CrossRef] [PubMed]
- Zacharias, A.; Green, R.A.; Semciw, A.; English, D.J.; Kapakoulakis, T.; Pizzari, T. Atrophy of hip abductor muscles is related to clinical severity in a hip osteoarthritis population. Clin. Anat. 2018, 31, 507–513. [Google Scholar] [CrossRef] [PubMed]
- Mosquera Morales, N.; López Hermoza, J.G.; Fernández Bravo, A. Tensor fascia lata unilateral hypertrophy: A case report. Rehabilitacion 2019, 53, 65–67. [Google Scholar] [CrossRef] [PubMed]
- Portney, L.; Watkins, M. Foundations of Clinical Research: Aplications to Practice; Appleton and Lange: Norwalk, CT, USA, 1993. [Google Scholar]
- Fukumoto, Y.; Ikezoe, T.; Taniguchi, M.; Yamada, Y.; Sawano, S.; Minani, S.; Asai, T.; Kimura, M.; Ichihashi, N. Cut-off values for lower limb muscle thickness to detect low muscle mass for sarcopenia in older adults. Clin. Interv. Aging 2021, 16, 1215–1222. [Google Scholar] [CrossRef]
- Simó-Servat, A.; Ibarra, M.; Libran, M.; Rodríguez, S.; Perea, V.; Quirós, C.; Orois, A.; Pérez, N.; Simó, R.; Barahona, M.-J. Usefulness of Muscle Ultrasound to Study Sarcopenic Obesity: A Pilot Case-Control Study. J. Clin. Med. 2022, 11, 2886. [Google Scholar] [CrossRef]
- Sanz-Paris, A.; González-Fernandez, M.; Hueso-Del Río, L.E.; Ferrer-Lahuerta, E.; Monge-Vazquez, A.; Losfablos-Callau, F.; Sanclemente-Hernández, T.; Sanz-Arque, A.; Arbones-Mainar, J.M. Muscle thickness and echogenicity measured by ultrasound could detect local sarcopenia and malnutrition in older patients hospitalized for hip fracture. Nutrients 2021, 13, 2401. [Google Scholar] [CrossRef]
- Rustani, K.; Kundisova, L.; Capecchi, P.L.; Nante, N.; Bicchi, M. Ultrasound measurement of rectus femoris muscle thickness as a quick screening test for sarcopenia assessment. Arch. Gerontol. Geriatr. 2019, 83, 151–154. [Google Scholar] [CrossRef]
- Payne, K.; Payne, J.; Larkin, T.A. Patellofemoral Pain Syndrome and Pain Severity Is Associated with Asymmetry of Gluteus Medius Muscle Activation Measured via Ultrasound. Am. J. Phys. Med. Rehabil. 2020, 99, 595–601. [Google Scholar] [CrossRef]
- Aubertin-Leheudre, M.; Martel, D.; Narici, M.; Bonnefoy, M. The usefulness of muscle architecture assessed with ultrasound to identify hospitalized older adults with physical decline. Exp. Gerontol. 2019, 125, 110678. [Google Scholar] [CrossRef]
- Bass, C.J.; Connell, D.A. Sonographic findings of tensor fascia lata tendinopathy: Another cause of anterior groin pain. Skelet. Radiol. 2002, 31, 143–148. [Google Scholar] [CrossRef]
- Deshmukh, S.; Abboud, S.F.; Grant, T.; Omar, I.M. High-resolution ultrasound of the fascia lata iliac crest attachment: Anatomy, pathology, and image-guided treatment. Skelet. Radiol. 2019, 48, 1315–1321. [Google Scholar] [CrossRef] [PubMed]
- Lueders, D.R.; Smith, J.; Sellon, J.L. Ultrasound-Guided Knee Procedures. Phys. Med. Rehabil. Clin. N. Am. 2016, 27, 631–648. [Google Scholar] [CrossRef] [PubMed]
- Jiménez Díaz, F.; Gitto, S.; Sconfienza, L.M.; Draghi, F. Ultrasound of iliotibial band syndrome. J. Ultrasound 2020, 23, 379–385. [Google Scholar] [CrossRef] [PubMed]
- Choi, Y.S.; Lee, S.M.; Song, B.Y.; Paik, S.H.; Yoon, Y.K. Dynamic sonography of external snapping hip syndrome. J. Ultrasound Med. 2002, 21, 753–758. [Google Scholar] [CrossRef]
- Chang, K.S.; Cheng, Y.H.; Wu, C.H.; Özçakar, L. Dynamic ultrasound imaging for the iliotibial band/snapping hip syndrome. Am. J. Phys. Med. Rehabil. 2015, 94, e55–e56. [Google Scholar] [CrossRef]
- Flato, R.; Passanante, G.J.; Skalski, M.R.; Patel, D.B.; White, E.A.; Matcuk, G.R. The iliotibial tract: Imaging, anatomy, injuries, and other pathology. Skelet. Radiol. 2017, 46, 605–622. [Google Scholar] [CrossRef]
- Rahemi, H.; Nigam, N.; Wakeling, J.M. The effect of intramuscular fat on skeletal muscle mechanics: Implications for the elderly and obese. J. R. Soc. Interface 2015, 12, 20150365. [Google Scholar] [CrossRef]
- Loureiro, A.; Mills, P.M.; Barrett, R.S. Muscle weakness in hip osteoarthritis: A systematic review. Arthritis Care Res. 2013, 65, 340–352. [Google Scholar] [CrossRef]
- Casartelli, N.C.; Maffiuletti, N.A.; Item-Glatthorn, J.F.; Staehli, S.; Bizzini, M.; Impellizzeri, F.M.; Leunig, M. Hip muscle weakness in patients with symptomatic femoroacetabular impingement. Osteoarthr. Cartil. 2011, 19, 816–821. [Google Scholar] [CrossRef]



| Examiner 1 Test | Examiner 1 Retest | Examiner 2 Test | Examiner 2 Retest | |
|---|---|---|---|---|
| CSA | 4.41 ± 1.66 | 4.32 ± 1.69 | 5.20 ± 1.68 | 5.26 ± 1.70 |
| Thickness | 15.81 ± 2.58 | 15.73 ± 2.80 | 17.70 ± 3.11 | 17.90 ± 3.44 |
| Intra-Rater 1 Reliability | Intra-Rater 2 Reliability | Inter-Rater Reliability | |||||||
|---|---|---|---|---|---|---|---|---|---|
| ICC3,1 (95% CI) | SEM | MDC | ICC3,1 (95% CI) | SEM | MDC | ICC3,1 (95% CI) | SEM | MDC | |
| CSA | 0.969 (0.934, 0.986) | 0.29 | 0.80 | 0.905 (0.794, 0.956) | 0.82 | 2.27 | 0.783 (0.436, 0.908) | 0.77 | 2.13 |
| Thickness | 0.985 (0.967, 0.993) | 0.20 | 0.55 | 0.965 (0.924, 0.984) | 0.60 | 1.66 | 0.445 (−0.093, 0.731) | 2.12 | 5.87 |
Disclaimer/Publisher’s Note: The statements, opinions and data contained in all publications are solely those of the individual author(s) and contributor(s) and not of MDPI and/or the editor(s). MDPI and/or the editor(s) disclaim responsibility for any injury to people or property resulting from any ideas, methods, instructions or products referred to in the content. |
© 2025 by the authors. Licensee MDPI, Basel, Switzerland. This article is an open access article distributed under the terms and conditions of the Creative Commons Attribution (CC BY) license (https://creativecommons.org/licenses/by/4.0/).
Share and Cite
Estébanez-de-Miguel, E.; Ceballos-Laita, L.; Gómez-Vallejo, J.; Jiménez-del-Barrio, S.; Malo-Urriés, M. Intra- and Inter-Rater Reliability of Ultrasound Imaging to Measure Tensor Fasciae Latae Muscle Size. J. Clin. Med. 2025, 14, 1731. https://doi.org/10.3390/jcm14051731
Estébanez-de-Miguel E, Ceballos-Laita L, Gómez-Vallejo J, Jiménez-del-Barrio S, Malo-Urriés M. Intra- and Inter-Rater Reliability of Ultrasound Imaging to Measure Tensor Fasciae Latae Muscle Size. Journal of Clinical Medicine. 2025; 14(5):1731. https://doi.org/10.3390/jcm14051731
Chicago/Turabian StyleEstébanez-de-Miguel, Elena, Luis Ceballos-Laita, Jesús Gómez-Vallejo, Sandra Jiménez-del-Barrio, and Miguel Malo-Urriés. 2025. "Intra- and Inter-Rater Reliability of Ultrasound Imaging to Measure Tensor Fasciae Latae Muscle Size" Journal of Clinical Medicine 14, no. 5: 1731. https://doi.org/10.3390/jcm14051731
APA StyleEstébanez-de-Miguel, E., Ceballos-Laita, L., Gómez-Vallejo, J., Jiménez-del-Barrio, S., & Malo-Urriés, M. (2025). Intra- and Inter-Rater Reliability of Ultrasound Imaging to Measure Tensor Fasciae Latae Muscle Size. Journal of Clinical Medicine, 14(5), 1731. https://doi.org/10.3390/jcm14051731

