A Novel Virtual Planned-Orthodontic-Surgical Approach for Proportional Condylectomy in Condylar Hyperplasia
Abstract
1. Introduction
2. Materials and Methods
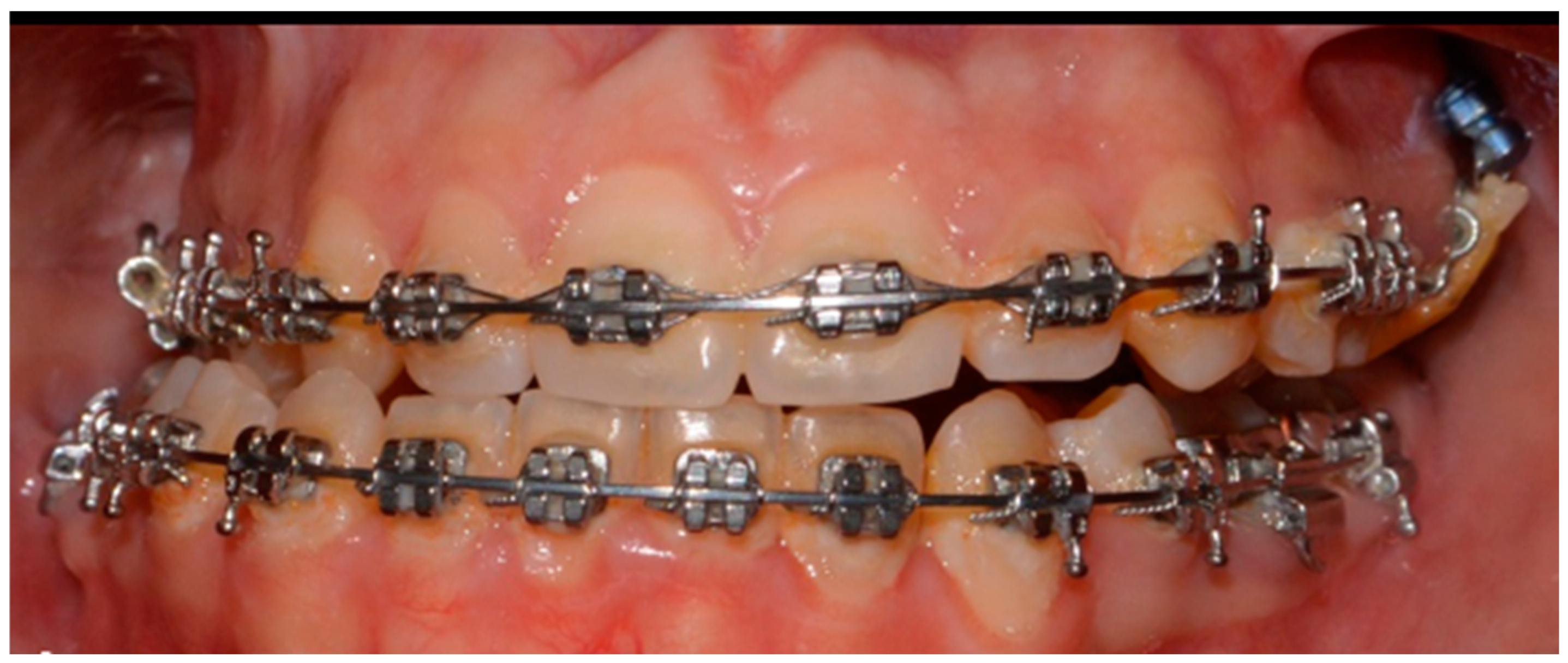
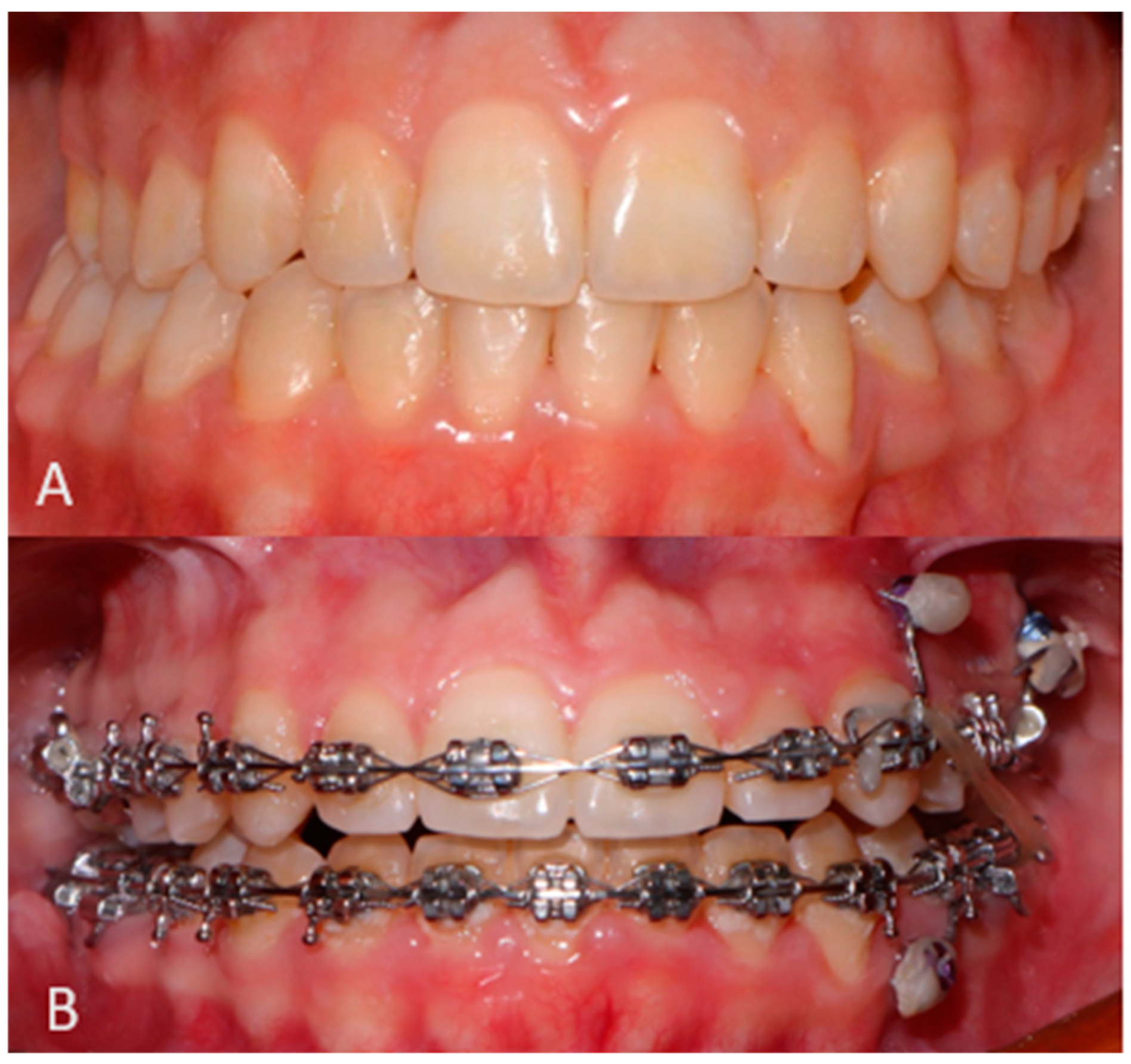
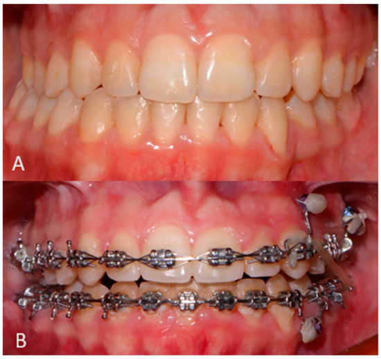
2.1. Pre-Operative Orthodontic Treatment
2.2. Virtual Planning
2.3. Surgical Procedure
2.4. Post-Operative Orthodontic Treatment
3. Results
4. Discussion
5. Conclusions
Author Contributions
Funding
Institutional Review Board Statement
Informed Consent Statement
Data Availability Statement
Acknowledgments
Conflicts of Interest
References
- Pessoa Neto, J.V.; Cetira Filho, E.L.; Sampaio, F.D.; Mello, M.J.R.; Menezes Junior, J.M.S. Removal of Foreign Bodies in Orbit-Zygomatic-Maxillary Complex. J. Craniofac. Surg. 2019, 30, e598–e600. [Google Scholar] [CrossRef] [PubMed]
- Abbate, V.; Romano, A.; AlQahtani, A.; Manfuso, A.; Hirt, B.; Castelnuovo, P.; Califano, L. Midcheek endoscopic anatomy. Head Neck 2016, 38, E268–E273. [Google Scholar] [CrossRef] [PubMed]
- Ayoub, A.; Pulijala, Y. The application of virtual reality and augmented reality in Oral & Maxillofacial Surgery. BMC Oral Health 2019, 19, 238. [Google Scholar] [CrossRef] [PubMed] [PubMed Central]
- Haas Junior, O.L.; Fariña, R.; Hernández-Alfaro, F.; de Oliveira, R.B. Minimally invasive intraoral proportional condylectomy with a three-dimensionally printed cutting guide. Int. J. Oral Maxillofac. Surg. 2020, 49, 1435–1438. [Google Scholar] [CrossRef] [PubMed]
- Wolford, L.M.; Movahed, R.; Dhameja, A.; Allen, W.R. Low condylectomy and orthognathic surgery to treat mandibular condylar osteochondroma: A retrospective review of 37 cases. J. Oral Maxillofac. Surg. 2014, 72, 1704–1728. [Google Scholar] [CrossRef] [PubMed]
- Vásquez, B.; Olate, S.; Cantín, M.; Sandoval, C.; Fariña, R.; Del Sol, M. Histopathological analysis of unilateral condylar hyperplasia: Difficulties in diagnosis and characterization of the disease. Int. J. Oral Maxillofac. Surg. 2016, 45, 601–609. [Google Scholar] [CrossRef] [PubMed]
- Cascone, P.; Runci Anastasi, M.; Maffia, F.; Vellone, V. Slice Functional Condylectomy and Piezosurgery: A Proposal in Unilateral Condylar Hyperplasia Treatment. J. Craniofac. Surg. 2021, 32, 1836–1837. [Google Scholar] [CrossRef] [PubMed]
- Du, W.; Yang, M.; Liu, H.; Ji, H.; Xu, C.; Luo, E. Treatment of hemimandibular hyperplasia by computer-aided design and computer-aided manufacturing cutting and drilling guides accompanied with pre-bent titanium plates. J. Craniomaxillofac. Surg. 2020, 48, 1–8. [Google Scholar] [CrossRef] [PubMed]
- Si, J.; Zhang, C.; Tian, M.; Jiang, T.; Zhang, L.; Yu, H.; Shi, J.; Wang, X. Intraoral Condylectomy with 3D-Printed Cutting Guide versus with Surgical Navigation: An Accuracy and Effectiveness Comparison. J. Clin. Med. 2023, 12, 3816. [Google Scholar] [CrossRef] [PubMed] [PubMed Central]
- Figueroa, A.A.; Harmon, K.A.; Arnold, S.; Xu, H.; Roy, T.; Reid, R.R.; Tragos, C. The Role of Digital Surgical Planning and Surgical Guides in the Treatment of Unilateral Condylar Hyperplasia. J. Craniofac Surg. 2024, 35, 223–227. [Google Scholar] [CrossRef] [PubMed]
- Sembronio, S.; Tel, A.; Costa, F.; Robiony, M. An Updated Protocol for the Treatment of Condylar Hyperplasia: Computer-Guided Proportional Condylectomy. J. Oral Maxillofac. Surg. 2019, 77, 1457–1465. [Google Scholar] [CrossRef] [PubMed]
- Han, B.; Wang, X.; Li, Z.; Yi, B.; Liang, C.; Wang, X. Hemimandibular Hyperplasia Correction by Simultaneous Orthognathic Surgery and Condylectomy Under Digital Guidance. J. Oral Maxillofac. Surg. 2018, 76, 1563.e1–1563.e18. [Google Scholar] [CrossRef] [PubMed]
- Al-Kayat, A.; Bramley, P. A modified pre-auricular approach to the temporomandibular joint and malar arch. Br. J. Oral Surg. 1979, 17, 91–103. [Google Scholar] [CrossRef] [PubMed]
- Delaire, J.; Gaillard, A.; Tulasne, J.F. La place de la condylectomie dans le traitement des hypercondylies [The place of condylectomy in the treatment of hypercondylosis]. Rev. Stomatol. Chir. Maxillofac. 1983, 84, 11–18. (In French) [Google Scholar] [PubMed]
- Obwegeser, H.L.; Makek, M.S. Hemimandibular hyperplasia--hemimandibular elongation. J. Maxillofac. Surg. 1986, 14, 183–208. [Google Scholar] [CrossRef] [PubMed]
- Wolford, L.M.; Movahed, R.; Perez, D.E. A classification system for conditions causing condylar hyperplasia. J. Oral Maxillofac. Surg. 2014, 72, 567–595. [Google Scholar] [CrossRef] [PubMed]
- Yang, Z.; Reed, T.; Longino, B. Bone Scintigraphy SPECT/CT Evaluation of Mandibular Condylar Hyperplasia. J. Nucl. Med. Technol. 2016, 44, 49–51. [Google Scholar] [CrossRef]
- Hamed, M.; AlAzzazy, M.; Basha, M. The validity of SPECT/CT in diagnosis of condylar hyperplasia. Egypt. J. Radiol. Nucl. Med. 2017, 48, 451–459. [Google Scholar] [CrossRef]
- López, D.F.; Botero, J.R.; Muñoz, J.M.; Cárdenas-Perilla, R.; Moreno, M. Are There Mandibular Morphological Differences in the Various Facial Asymmetry Etiologies? A Tomographic Three-Dimensional Reconstruction Study. J. Oral Maxillofac. Surg. 2019, 77, 2324–2338. [Google Scholar] [CrossRef] [PubMed]
- Xu, M.; Chan, F.C.; Jin, X.; Xu, J.; Lu, J.; Zhang, C.; Teng, L. Hemimandibular hyperplasia: Classification and treatment algorithm revisited. J. Craniofac. Surg. 2014, 25, 355–358. [Google Scholar] [CrossRef] [PubMed]
- Niño-Sandoval, T.C.; Maia, F.P.A.; Vasconcelos, B.C.E. Efficacy of proportional versus high condylectomy in active condylar hyperplasia—A systematic review. J. Craniomaxillofac. Surg. 2019, 47, 1222–1232. [Google Scholar] [CrossRef] [PubMed]
- Bertolini, F.; Bianchi, B.; De Riu, G.; Di Blasio, A.; Sesenna, E. Hemimandibular hyperplasia treated by early high condylectomy: A case report. Int. J. Adult Orthod. Orthognath. Surg. 2001, 16, 227–234. [Google Scholar] [PubMed]
- Wolford, L.M.; Mehra, P.; Reiche-Fischel, O.; Morales-Ryan, C.A.; García-Morales, P. Efficacy of high condylectomy for management of condylar hyperplasia. Am. J. Orthod. Dentofac. Orthop. 2002, 121, 136–150. [Google Scholar] [CrossRef] [PubMed]
- Fariña, R.; Olate, S.; Raposo, A.; Araya, I.; Alister, J.P.; Uribe, F. High condylectomy versus proportional condylectomy: Is secondary orthognathic surgery necessary? Int. J. Oral Maxillofac. Surg. 2016, 45, 72–77. [Google Scholar] [CrossRef] [PubMed]
- Mouallem, G.; Vernex-Boukerma, Z.; Longis, J.; Perrin, J.P.; Delaire, J.; Mercier, J.M.; Corre, P. Efficacy of proportional condylectomy in a treatment protocol for unilateral condylar hyperplasia: A review of 73 cases. J. Craniomaxillofac. Surg. 2017, 45, 1083–1093. [Google Scholar] [CrossRef] [PubMed]
- Nitzan, D.W. ‘Adaptable condylectomy’ for acquired facial asymmetry and malocclusion caused by temporomandibular joint condylar hyperplasia. Int. J. Oral Maxillofac. Surg. 2023, 52, 1145–1155. [Google Scholar] [CrossRef] [PubMed]
- Perrotta, S.; Lo Giudice, G.; Bocchino, T.; Califano, L.; Valletta, R. Orthodontics First in Hemimandibular Hyperplasia. “Mind the Gap”. Int. J. Environ. Res. Public Health 2020, 17, 7087. [Google Scholar] [CrossRef] [PubMed] [PubMed Central]










| Delaire | Obwegeser and Makek | Wolford |
|---|---|---|
| Horizontal (transverse) pattern growth | Type I (Hemimandibular Elongation) | Type IA |
| Type IB | ||
| Vertical pattern growth | Type II (Hemimandibular Hyperplasia) | Type IIA |
| Type III (Combination of Type I and Type II) | Type IIB | |
| Type III | ||
| Type IV | ||
Disclaimer/Publisher’s Note: The statements, opinions and data contained in all publications are solely those of the individual author(s) and contributor(s) and not of MDPI and/or the editor(s). MDPI and/or the editor(s) disclaim responsibility for any injury to people or property resulting from any ideas, methods, instructions or products referred to in the content. |
© 2025 by the authors. Licensee MDPI, Basel, Switzerland. This article is an open access article distributed under the terms and conditions of the Creative Commons Attribution (CC BY) license (https://creativecommons.org/licenses/by/4.0/).
Share and Cite
Perrotta, S.; Carraturo, E.; D’Antò, V.; Ludwig, B.; Bocchino, T.; Vaira, L.A.; De Riu, G.; Valletta, R.; Piombino, P. A Novel Virtual Planned-Orthodontic-Surgical Approach for Proportional Condylectomy in Condylar Hyperplasia. J. Clin. Med. 2025, 14, 752. https://doi.org/10.3390/jcm14030752
Perrotta S, Carraturo E, D’Antò V, Ludwig B, Bocchino T, Vaira LA, De Riu G, Valletta R, Piombino P. A Novel Virtual Planned-Orthodontic-Surgical Approach for Proportional Condylectomy in Condylar Hyperplasia. Journal of Clinical Medicine. 2025; 14(3):752. https://doi.org/10.3390/jcm14030752
Chicago/Turabian StylePerrotta, Stefania, Emanuele Carraturo, Vincenzo D’Antò, Björn Ludwig, Tecla Bocchino, Luigi Angelo Vaira, Giacomo De Riu, Rosa Valletta, and Pasquale Piombino. 2025. "A Novel Virtual Planned-Orthodontic-Surgical Approach for Proportional Condylectomy in Condylar Hyperplasia" Journal of Clinical Medicine 14, no. 3: 752. https://doi.org/10.3390/jcm14030752
APA StylePerrotta, S., Carraturo, E., D’Antò, V., Ludwig, B., Bocchino, T., Vaira, L. A., De Riu, G., Valletta, R., & Piombino, P. (2025). A Novel Virtual Planned-Orthodontic-Surgical Approach for Proportional Condylectomy in Condylar Hyperplasia. Journal of Clinical Medicine, 14(3), 752. https://doi.org/10.3390/jcm14030752

