Visceral Metastases of Osteosarcoma in the Hepatopancreatobiliary System
Abstract
1. Introduction
2. Materials and Methods
3. Results
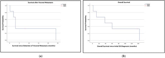
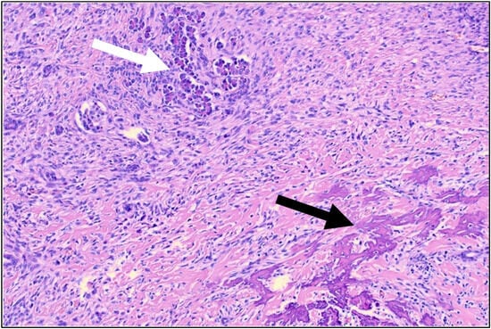
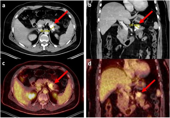
3.1. Retrospective Data Analysis
3.2. Review of the Literature
4. Discussion
5. Conclusions
Author Contributions
Funding
Institutional Review Board Statement
Informed Consent Statement
Data Availability Statement
Conflicts of Interest
Abbreviations
| AWD | Alive with Disease |
| BSG | British Sarcoma Group |
| CBD | Common Bile Duct |
| CT | Computer Tomography |
| ctDNA | Circulating tumor DNA |
| CTx | Chemotherapy |
| Diag | Diagnosis |
| DLP | Dose-length product |
| DOC | Died of other Cause |
| DOD | Died of Disease |
| ESMO | European Society for Medical Oncology |
| ESOS | Extraskeletal Osteosarcoma |
| EUS | Endosonographic Ultrasound |
| f | Female |
| FDG | FlDeoxyGlucose |
| FU | Follow-up |
| HE | hematoxylin–eosin |
| LR | Local recurrence |
| m | Male |
| mm | Millimeter |
| MRCP | Magnetic Resonance Cholangiopancreatography |
| MRI | Magnetic Resonance Imaging |
| n/a | Not available |
| NCCN | National Comprehensive Cancer Network |
| OP | Surgery |
| OS | Osteosarcoma |
| Pat. | Patient |
| PET | Positron Emission Tomography |
| RFA | Radiofrequency Ablation |
| RTx | Radiotherapy |
| US | Ultrasound |
References
- Klein, M.J.; Siegal, G.P. Osteosarcoma: Anatomic and histologic variants. Am. J. Clin. Pathol. 2006, 125, 555–581. [Google Scholar] [CrossRef]
- Jeffree, G.M.; Price, C.H.; Sissons, H.A. The metastatic patterns of osteosarcoma. Br. J. Cancer 1975, 32, 87–107. [Google Scholar] [CrossRef]
- Aarvold, A.; Bann, S.; Giblin, V.; Wotherspoon, A.; Mudan, S.S. Osteosarcoma metastasising to the duodenum and pancreas. J. Bone Jt. Surg. Br. 2007, 89, 542–544. [Google Scholar] [CrossRef] [PubMed]
- Avcu, S.; Akdeniz, H.; Arslan, H.; Toprak, N.; Unal, O. A case of primary vertebral osteosarcoma metastasizing to pancreas. JOP 2009, 10, 438–440. [Google Scholar] [PubMed]
- Cirotski, D.; Panicker, J. Parosteal Osteosarcoma with Pancreatic Metastasis and Multiple Relapses: A Case Report and Review of the Literature. Case Rep. Oncol. 2021, 2021, 983–988. [Google Scholar] [CrossRef] [PubMed]
- Rejin, K.; Aykan, O.A.; Omer, G.; Ensar, Y.; Bilge, B.; Inci, A.; Harzem, O. Intra-abdominal metastasis in osteosarcoma: Survey and literature review. Pediatr. Hematol. Oncol. 2011, 28, 609–615. [Google Scholar] [CrossRef]
- Yu, W.X.; Yao, Y. Metastatic osteosarcoma to the liver and the kidney: A case report and review of the literature. BMJ Case Rep. 2009, 2009, bcr0720080536. [Google Scholar] [CrossRef]
- Giuliano, A.E.; Feig, S.; Eilber, F.R. Changing metastatic patterns of osteosarcoma. Cancer 1984, 54, 2160–2164. [Google Scholar] [CrossRef]
- Jin, P.; Wang, W.; Su, H.; Sheng, J.Q. Osteosarcoma metastasizing to pancreas confirmed by endoscopic ultrasound-guided fine-needle aspiration. Endoscopy 2014, 46 (Suppl. S1), E109–E110. [Google Scholar] [CrossRef]
- Shi, H.Y.; Zhao, X.S.; Miao, F. Metastases to the Pancreas: Computed Tomography Imaging Spectrum and Clinical Features: A Retrospective Study of 18 Patients With 36 Metastases. Medicine 2015, 94, e913. [Google Scholar] [CrossRef]
- Ogose, A.; Hotta, T.; Emura, I.; Imaizumi, S.; Takeda, M.; Yamamura, S. Repeated dedifferentiation of low-grade intraosseous osteosarcoma. Hum. Pathol. 2000, 31, 615–618. [Google Scholar] [CrossRef]
- Piscitelli, D.; Sanguedolce, F.; Mattioli, E.; Parisi, G.; Fiore, M.G.; Resta, L. Unusual presentation of metastatic osteosarcoma as a giant duodenal polyp. A case report. Pathologica 2005, 97, 88–91. [Google Scholar]
- Lasithiotakis, K.; Petrakis, I.; Georgiadis, G.; Paraskakis, S.; Chalkiadakis, G.; Chrysos, E. Pancreatic resection for metastasis to the pancreas from colon and lung cancer, and osteosarcoma. JOP 2010, 11, 593–596. [Google Scholar]
- Badiu, D.C.; Manea, C.A.; Porojan, V.; Paraschiv, M.; Mehedintu, C.; Coman, I.S.; Grigorean, V.T. A rare cause of bowel obstruction: Peritoneal metastases in osteosarcoma at the tibia in a young female patient with brain metastasis. Case report. Chir. A J. Surg. 2016, 111, 274–278. [Google Scholar]
- Sordillo, P.P.; Hajdu, S.I.; Magill, G.B.; Golbey, R.B. Extraosseous osteogenic sarcoma. A review of 48 patients. Cancer 1983, 51, 727–734. [Google Scholar] [CrossRef] [PubMed]
- Lee, J.S.; Fetsch, J.F.; Wasdhal, D.A.; Lee, B.P.; Pritchard, D.J.; Nascimento, A.G. A review of 40 patients with extraskeletal osteosarcoma. Cancer 1995, 76, 2253–2259. [Google Scholar] [CrossRef]
- Mc Auley, G.; Jagannathan, J.; O’Regan, K.; Krajewski, K.M.; Hornick, J.L.; Butrynski, J.; Ramaiya, N. Extraskeletal osteosarcoma: Spectrum of imaging findings. AJR Am. J. Roentgenol. 2012, 198, W31–W37. [Google Scholar] [CrossRef]
- Jiang, R.D.; Zhang, Z.L.; Li, T. Abdominal Pain Caused by Spontaneous Rupture of a Liver Tumor. Gastroenterology 2015, 149, 35–36. [Google Scholar] [CrossRef]
- Zhang, J.; He, X.; Yu, W.; Ying, F.; Cai, J.; Deng, S. Primary Exophytic Extraskeletal Osteosarcoma of the Liver: A Case Report and Literature Review. Risk Manag. Healthc. Policy 2021, 14, 1009–1014. [Google Scholar] [CrossRef] [PubMed]
- Allan, C.J.; Soule, E.H. Osteogenic sarcoma of the somatic soft tissues. Clinicopathologic study of 26 cases and review of literature. Cancer 1971, 27, 1121–1133. [Google Scholar] [CrossRef] [PubMed]
- Wagh, M.S.; Goyal, V.; Chandramohan, K.; Subhash, R.; Jayadevan, N.; Rakesh, C.A. Surgical Resection of the Liver Mass with Impending Rupture: Primary Osteosarcoma of Liver-a Histological Surprise and Literature Review. Indian J. Surg. Oncol. 2024, 15, 325–330. [Google Scholar] [CrossRef] [PubMed]
- Yu, L.; Yang, S.J. Primary Osteosarcoma of the Liver: Case Report and Literature Review. Pathol. Oncol. Res. 2020, 26, 115–120. [Google Scholar] [CrossRef]
- Di, Q.Y.; Long, X.D.; Ning, J.; Chen, Z.H.; Mao, Z.Q. Relapsed primary extraskeletal osteosarcoma of liver: A case report and review of literature. World J. Clin. Cases 2023, 11, 662–668. [Google Scholar] [CrossRef]
- Goedhart, L.M.; Ho, V.K.Y.; Ploegmakers, J.J.W.; van der Geest, I.C.M.; van de Sande, M.A.J.; Bramer, J.A.; Stevens, M.; Jutte, P.C. Bone sarcoma follow-up; a nationwide analysis of oncological events after initial treatment. J. Bone Oncol. 2023, 38, 100466. [Google Scholar] [CrossRef]
- Damron, T.A.; Ward, W.G.; Stewart, A. Osteosarcoma, chondrosarcoma, and Ewing’s sarcoma: National Cancer Data Base Report. Clin. Orthop. Relat. Res. 2007, 459, 40–47. [Google Scholar] [CrossRef]
- Biermann, J.S.; Hirbe, A.; Ahlawat, S.; Bernthal, N.M.; Binitie, O.; Boles, S.; Brigman, B.; Callan, A.K.; Cipriano, C.; Cranmer, L.D.; et al. Bone Cancer, Version 2.2025, NCCN Clinical Practice Guidelines in Oncology. J. Natl. Compr. Cancer Netw. 2025, 23, e250017. [Google Scholar] [CrossRef]
- Strauss, S.J.; Frezza, A.M.; Abecassis, N.; Bajpai, J.; Bauer, S.; Biagini, R.; Bielack, S.; Blay, J.Y.; Bolle, S.; Bonvalot, S.; et al. Bone sarcomas: ESMO-EURACAN-GENTURIS-ERN PaedCan Clinical Practice Guideline for diagnosis, treatment and follow-up. Ann. Oncol. 2021, 32, 1520–1536. [Google Scholar] [CrossRef] [PubMed]
- Gerrand, C.; Amary, F.; Anwar, H.A.; Brennan, B.; Dileo, P.; Kalkat, M.S.; McCabe, M.G.; McCullough, A.L.; Parry, M.C.; Patel, A.; et al. UK guidelines for the management of bone sarcomas. Br. J. Cancer 2025, 132, 32–48. [Google Scholar] [CrossRef]
- Lee, M.; Song, J.S.; Hong, S.M.; Jang, S.J.; Kim, J.; Song, K.B.; Lee, J.H.; Cho, K.J. Sarcoma metastasis to the pancreas: Experience at a single institution. J. Pathol. Transl. Med. 2020, 54, 220–227. [Google Scholar] [CrossRef]
- Bohl, C.E.; Federico, S.M.; Robinson, G.W.; Bahrami, A.; Shulkin, B.L. FDG-PET CT in the evaluation of primary and secondary pancreatic malignancies. Pediatr. Blood Cancer 2018, 65, e27115. [Google Scholar] [CrossRef] [PubMed]
- Ikuta, K.; Kawamoto, T.; Hara, H.; Fukase, N.; Morishita, M.; Kuroda, R.; Akisue, T. Solitary pancreatic lesion as the initial metastasis from osteosarcoma: Report of a rare case. J. Orthop. Sci. 2020, 25, 724–728. [Google Scholar] [CrossRef]
- Toyama, H.; Asari, S.; Goto, T.; Terai, S.; Shirakawa, S.; Nanno, Y.; Mizumoto, T.; Fukumoto, T.; Ajiki, T.; Kido, M.; et al. A Case of Pancreatic Metastasis of Osteosarcoma Resected Using Laparoscopic Spleen Preserving Distal Pancreatectomy. Gan Kagaku Ryoho 2016, 43, 1988–1990. [Google Scholar]
- Khan, A.S.; Crowe, D.R.; Trevino, J.M.; Eloubeidi, M.A. Multiple metastases to the pancreas from primary maxillary osteosarcoma: Diagnosis with EUS-guided FNA. Gastrointest. Endosc. 2011, 73, 1320–1322. [Google Scholar] [CrossRef]
- Boo, S.J.; Kim, M.H.; Kim, Y.S.; Ryu, C.H.; Kim, H.J.; Park, D.H.; Lee, S.S.; Seo, D.W.; Lee, S.K.; Kim, S.C.; et al. Clinical characteristics of pancreatic metastases. Korean J. Gastroenterol. 2011, 57, 358–364. [Google Scholar] [CrossRef]
- Akpinar, B.; Obuch, J.; Fukami, N.; Pokharel, S.S. Unusual presentation of a pancreatic cyst resulting from osteosarcoma metastasis. World J. Gastroenterol. 2015, 21, 8452–8457. [Google Scholar] [CrossRef] [PubMed]
- Bertucci, F.; Araujo, J.; Giovannini, M. Pancreatic metastasis from osteosarcoma and Ewing sarcoma: Literature review. Scand. J. Gastroenterol. 2013, 48, 4–8. [Google Scholar] [CrossRef]
- Glass, R.J.; Eftekhari, F.; Kleinerman, E.S.; Jaffe, N.; Nachman, J. Osteosarcoma metastatic to the pancreas in young patients. Clin. Radiol. 1996, 51, 293–294. [Google Scholar] [CrossRef]
- Kim, S.J.; Choi, J.A.; Lee, S.H.; Choi, J.Y.; Hong, S.H.; Chung, H.W.; Kang, H.S. Imaging findings of extrapulmonary metastases of osteosarcoma. Clin. Imaging 2004, 28, 291–300. [Google Scholar] [CrossRef] [PubMed]
- Rubin, E.; Dunham, W.K.; Stanley, R.J. Pancreatic metastases in bone sarcomas: CT demonstration. J. Comput. Assist. Tomogr. 1985, 9, 886–888. [Google Scholar] [CrossRef] [PubMed]
- Darioosh, R.P.; Singhi, A.; Reeves, M.E.; Skef, W. Pancreatic metastasis of a primary osteosarcoma with genomic profiling analysis: Case report and review of the literature. Ann. Pancreat. Cancer 2023, 6, 2. [Google Scholar] [CrossRef]
- Gonakoti, S.; Dantey, K.; Kochhar, G.S. S1599 Not All Pancreatic Masses Are Pancreatic Adenocarcinoma—A Rare Presentation of Pancreatic and Duodenal Metastases From Primary Osteosarcoma. Off. J. Am. Coll. Gastroenterol. ACG 2021, 116, S720–S721. [Google Scholar] [CrossRef]
- Huddy, J.R.; Sodergren, M.H.; Deguara, J.; Thway, K.; Jones, R.L.; Mudan, S.S. Pancreaticoduodenectomy for the Management of Pancreatic or Duodenal Metastases from Primary Sarcoma. Anticancer Res. 2018, 38, 4041–4046. [Google Scholar] [CrossRef] [PubMed]
- Yoshida, K.; Nakamura, T.; Hagi, T.; Asanuma, K.; Sudo, A. Acute pancreatitis due to pancreatic metastasis of osteosarcoma: A report of two cases. Ann. Jt. 2019, 4, 41. [Google Scholar] [CrossRef]
- Serpico, R.; Brown, J.; Blank, A.; Jones, K.; Randall, R.L.; Groundland, J. Metastasis of Osteosarcoma to the Abdomen: A Report of Two Cases and a Review of the Literature. Case Rep. Oncol. 2021, 14, 647–658. [Google Scholar] [CrossRef]
- Panizo-Santos, A.; Sola, I.; Lozano, M.; de Alava, E.; Pardo, J. Metastatic osteosarcoma presenting as a small-bowel polyp. A case report and review of the literature. Arch. Pathol. Lab. Med. 2000, 124, 1682–1684. [Google Scholar] [CrossRef]
- Siddiqui, N.H.; Jani, J. Osteosarcoma metastatic to adrenal gland diagnosed by fine-needle aspiration. Diagn. Cytopathol. 2005, 33, 201–204. [Google Scholar] [CrossRef] [PubMed]
- Chan, H.H.; Chan, J.K.; Ng, W.M.; Shek, T.W.; Chan, F.L. Lace-like enhancement pattern of osteosarcoma of rib and liver metastasis in CT scans. Australas. Radiol. 2001, 45, 305–308. [Google Scholar] [CrossRef]
- Kadakia, S.C.; Parker, A.; Canales, L. Metastatic tumors to the upper gastrointestinal tract: Endoscopic experience. Am. J. Gastroenterol. 1992, 87, 1418–1423. [Google Scholar]
- Costa, C.M.; de Camargo, B.; Bagietto, R.; Alcantra, P.S.; Chojniak, R.; Sredni, S.T. Abdominal recurrence of osteogenic sarcoma: A case report. J. Pediatr. Hematol. Oncol. 1998, 20, 271–273. [Google Scholar] [CrossRef]
- Goyal, S.; Julka, P.K. Recurrent osteosarcoma with calcified liver metastases: Uncommon development of a common disease. J. Cancer Res. Ther. 2017, 13, 139–141. [Google Scholar] [CrossRef]
- Lin, J.T.; Yen, C.C.; Wang, W.S.; Chiou, T.J.; Liu, J.H.; Wu, H.T.; Chen, P.M. Case report: Unusual peritoneal spreading by metastatic osteosarcoma of the tibia. Br. J. Radiol. 2003, 76, 337–338. [Google Scholar] [CrossRef]
- Daw, N.C.; Kaste, S.C.; Hill, D.A.; Kun, L.E.; Pratt, C.B. Metastatic osteosarcoma to the liver after treatment for synovial sarcoma: A case report. Pediatr. Hematol. Oncol. 2001, 18, 123–128. [Google Scholar] [CrossRef] [PubMed]
- Gutierrez, D.; Sanchez, C.A.; Linares, F.B.; Messa, O. Retroperitoneal, Liver, and Lymph Node Metastasis from Proximal Tibial Osteosarcoma: A Case Report. Rev. Bras. Ortop. 2024, 59, e637–e640. [Google Scholar] [CrossRef]
- O’Mara, R.E.; Brettner, A.; Danigelis, J.A.; Gould, L.V. 18F uptake within metastatic osteosarcoma of the liver. A case report. Radiology 1971, 100, 113–114. [Google Scholar] [CrossRef]
- Shapiro, R.S.; Mendelson, D.S.; Norton, K.I.; Janus, C.; Gendal, E.S.; Hermann, G. Case report: Calcified liver metastases from osteosarcoma. J. Comput. Tomogr. 1988, 12, 196–198. [Google Scholar] [CrossRef]
- Imran, A.; Naeem, M.Q.; Fatima, N.; Muneer, K.; Siddique, K. Recurrent Osteosarcoma Presenting as Hepatic Metastasis: A Case Report. Cureus 2024, 16, e73087. [Google Scholar] [CrossRef]
- Cai, L.; Chen, Y.; Huang, Z.; Wu, J. Incidental Detection of Solitary Hepatic Metastasis by 99mTc-MDP and 18F-NaF PET/CT in a Patient With Osteosarcoma of the Tibia. Clin. Nucl. Med. 2015, 40, 759–761. [Google Scholar] [CrossRef] [PubMed]
- Ali, R.H.; Lee, C.H.; Hayes, M.M. Metastatic small cell osteosarcoma to the liver: A diagnostic pitfall for fine-needle aspiration cytology. Diagn. Cytopathol. 2014, 42, 161–164. [Google Scholar] [CrossRef]
- Mourra, N.; Arrive, L.; Balladur, P.; Flejou, J.F.; Tiret, E.; Paye, F. Isolated metastatic tumors to the pancreas: Hopital St-Antoine experience. Pancreas 2010, 39, 577–580. [Google Scholar] [CrossRef]
- Olavarría, P.S.; Ortega, A.G.; Ubegun, M.E.; Capella, V.U.; Vega, E.C.; García, D.R.C.; Gil, J.C. Acute pancreatitis due to osteosarcoma metastasis. Rev. Esp. Enferm. Dig. 2024, 16, 515–516. [Google Scholar]
- Lasserre, J.; Baudet. Skeletogenic Metastasis of the Liver Secondary to a Humeral Osteosarcoma. Bord. Chir. 1963, 4, 176–177. [Google Scholar]
- Sumiyoshi, A.; Niho, Y. Primary osteogenic sarcoma of the liver—Report of an autopsy case. Acta Pathol. Jpn. 1971, 21, 305–312. [Google Scholar] [CrossRef]
- Govender, D.; Rughubar, K.N. Primary hepatic osteosarcoma: Case report and literature review. Pathology 1998, 30, 323–325. [Google Scholar] [CrossRef]
- Tamang, T.G.; Shuster, M.; Chandra, A.B. Primary Hepatic Osteosarcoma: A Rare Cause of Primary Liver Tumor. Clin. Med. Insights Case Rep. 2016, 9, 31–33. [Google Scholar] [CrossRef]
- Kitayama, Y.; Sugimura, H.; Arai, T.; Nagamatsu, K.; Kino, I. Primary osteosarcoma arising from cirrhotic liver. Pathol. Int. 1995, 45, 320–325. [Google Scholar] [CrossRef] [PubMed]
- Boldt, C.; Pabst, U.; Nitsche, R.; Burrig, K.F. Primary osteosarcoma of the liver. Case report and literature review. Pathologe 1999, 20, 359–364. [Google Scholar] [CrossRef] [PubMed]
- Liony, C.; Lemarchand, P.; Manchon, N.D.; Becret, A.; Bercoff, E.; Pellerin, A.; Tayot, J.; Bourreille, J. A case of primary osteosarcoma of the liver. Gastroenterol. Clin. Biol. 1990, 14, 1003–1006. [Google Scholar] [PubMed]
- Nawabi, A.; Rath, S.; Nissen, N.; Forscher, C.; Colquhoun, S.; Lee, J.; Geller, S.; Wong, A.; Klein, A.S. Primary hepatic osteosarcoma. J. Gastrointest. Surg. 2009, 13, 1550–1553. [Google Scholar] [CrossRef]
- Maynard, J.H.; Fone, D.J. Haemochromatosis with osteogenic sarcoma in the liver. Med. J. Aust. 1969, 2, 1260–1263. [Google Scholar] [CrossRef]
- von Hochstetter, A.R.; Hattenschwiler, J.; Vogt, M. Primary osteosarcoma of the liver. Cancer 1987, 60, 2312–2317. [Google Scholar] [CrossRef]
- Park, S.H.; Choi, S.B.; Kim, W.B.; Song, T.J. Huge primary osteosarcoma of the liver presenting an aggressive recurrent pattern following surgical resection. J. Dig. Dis. 2009, 10, 231–235. [Google Scholar] [CrossRef]
- Krishnamurthy, V.N.; Casillas, V.J.; Bejarano, P.; Saurez, M.; Franceschi, D. Primary osteosarcoma of liver. Eur. J. Radiol. Extra 2004, 50, 31–36. [Google Scholar] [CrossRef]
- Craig, J.R.; Peters, R.L.; Edmondson, H.A. Tumors of the Liver and Intrahepatic Bile Ducts; Armed Forces Institute of Pathology: Washington, DC, USA, 1989. [Google Scholar]
- Zhou, H.; Wei, A. Primary hepatic fibroblastic osteosarcoma with the comorbidity of sigmoid adenocarcinoma. Asian J. Surg. 2023, 46, 3210–3211. [Google Scholar] [CrossRef]
- Liu, Y.; Tang, W.; Huang, Z. Correction: 99mTc-MDP Bone Scan and 18F-FDG PET/CT Imaging of Primary Hepatic Osteosarcoma. Nuklearmedizin 2024, 63, 226. [Google Scholar] [CrossRef] [PubMed]
- Yang, C.; Qin, L.H.; Chen, P.Y.; Chen, J.Q.; Liao, J.Y. A Case of Non-calcified Intrahepatic Primary Osteosarcoma: A Case Report and a Literature Review. Curr. Med. Imaging 2024, 20, e15734056326695. [Google Scholar] [CrossRef]
- Jiang, L.; Luan, L.; Yun, H.; Hou, Y.; Shi, H. Extraosseous Osteosarcoma of the Liver Demonstrated on 18F-FDG PET/CT Imaging. Clin. Nucl. Med. 2016, 41, 650–653. [Google Scholar] [CrossRef] [PubMed]
- Jeo, W.S.; Christina, S.; Zacharia, N.J.; Razi, K. Extraskeletal osteosarcoma infiltrating pancreas, spleen, gastric, and left kidney: A case report. J. Med. Case Rep. 2024, 18, 332. [Google Scholar] [CrossRef]
- Kim, Y.J.; Kim, H.T.; Won, C.H.; Chang, S.E.; Lee, M.W.; Choi, J.H.; Lee, W.J. Pancreatic Extraskeletal Osteosarcoma Metastasizing to the Scalp. Ann. Dermatol. 2018, 30, 351–355. [Google Scholar] [CrossRef]
- Khalaf, A.; Heller, M.T. Extra-skeletal osteosarcoma presenting as a peri-ampullary mass. J. Gastrointest. Cancer 2014, 45, 103–105. [Google Scholar] [CrossRef]
- Olgyai, G.; Horvath, V.; Banga, P.; Kocsis, J.; Buza, N.; Olah, A. Extraskeletal osteosarcoma located to the gallbladder. HPB 2006, 8, 65–66. [Google Scholar] [CrossRef]
- Zhang, H.J.; Yang, J.J.; Lu, J.P.; Sheng, J.; Yuan, M.; Jiang, X.; Li, Y.X.; Gupta, S. Retroperitoneal extraskeletal osteosarcoma: Imaging findings and transarterial chemoembolization. Cardiovasc. Interv. Radiol. 2010, 33, 430–434. [Google Scholar] [CrossRef]
- Gahlot, G.P.; Roy, M.; Jain, H.; Dash, N.R.; Madhusudhan, K.S.; Suri, V.; Yadav, R.; Das, P. Primary extraskeletal osteosarcoma of gall bladder. Trop. Gastroenterol. 2015, 36, 277–280. [Google Scholar] [CrossRef]
- Shankar, A.; Sahoo, R.K.; Malik, A.; Kakkar, A.; Rath, G.K. Extra skeletal osteosarcoma of gall bladder: A case report. J. Egypt. Natl. Cancer Inst. 2015, 27, 231–234. [Google Scholar] [CrossRef]
- Resch, T.R.; Hwang, S.S.; Norris, C.E.; Helmer, S.D.; Osborne, D.L. Extraskeletal osteosarcoma of the pancreatic head. Am. Surg. 2013, 79, E281–E283. [Google Scholar] [CrossRef]
- Kasahara, Y.; Takemoto, M.; Nakao, K.; Ueda, S.; Yamada, Y.; Kuyama, T. Extraosseous osteogenic sarcoma arising from the retroperitoneum: A case report. Jpn. J. Surg. 1985, 15, 488–494. [Google Scholar] [CrossRef] [PubMed]
- Phelip, J.M.; Sturm, N.; Roblin, X.; Baconnier, M.; Rebischung, C.; Chevallier, C.; Zarski, J.P. Osteosarcoma: A rare cause of primary liver tumor. Gastroenterol. Clin. Biol. 2007, 31, 836–837. [Google Scholar] [CrossRef] [PubMed]
- Widmer, A. Primary ossifying sarcoma of the duodenum. Schweiz. Rundsch. Med. Prax. 1982, 71, 1185–1187. [Google Scholar]
- Mushtaque, M.K.S. Extraskeletal Primary Osteosarcoma of the Gallbladder: A Rare Occurrence—A Case Report. World J. Lap. Surg. 2023, 16, 88–89. [Google Scholar]
- Sartorio Riganti, J.; Mieres, A.; Val, B. Osteogenic sarcoma of the gallbladder. Sem. Med. 1959, 115, 54–59. [Google Scholar]
- Strobel, O.; Hackert, T.; Hartwig, W.; Bergmann, F.; Hinz, U.; Wente, M.N.; Fritz, S.; Schneider, L.; Buchler, M.W.; Werner, J. Survival data justifies resection for pancreatic metastases. Ann. Surg. Oncol. 2009, 16, 3340–3349. [Google Scholar] [CrossRef] [PubMed]
- Liu, F.; Zhang, Q.; Zhou, D.; Dong, J. Effectiveness of 18F-FDG PET/CT in the diagnosis and staging of osteosarcoma: A meta-analysis of 26 studies. BMC Cancer 2019, 19, 323. [Google Scholar] [CrossRef] [PubMed]
- Oh, C.; Bishop, M.W.; Cho, S.Y.; Im, H.J.; Shulkin, B.L. 18F-FDG PET/CT in the Management of Osteosarcoma. J. Nucl. Med. 2023, 64, 842–851. [Google Scholar] [CrossRef] [PubMed]
- Quinn, B.; Dauer, Z.; Pandit-Taskar, N.; Schoder, H.; Dauer, L.T. Radiation dosimetry of 18F-FDG PET/CT: Incorporating exam-specific parameters in dose estimates. BMC Med. Imaging 2016, 16, 41. [Google Scholar] [CrossRef]
- Verfaillie, G.; Franck, C.; De Crop, A.; Beels, L.; D’Asseler, Y.; Bacher, K. A systematic review and meta-analysis on the radiation dose of computed tomography in hybrid nuclear medicine imaging. EJNMMI Phys. 2023, 10, 32. [Google Scholar] [CrossRef]
- Fu, Y.; Xu, Y.; Liu, W.; Zhang, J.; Wang, F.; Jian, Q.; Huang, G.; Zou, C.; Xie, X.; Kim, A.H.; et al. Tumor-informed deep sequencing of ctDNA detects minimal residual disease and predicts relapse in osteosarcoma. EClinicalMedicine 2024, 73, 102697. [Google Scholar] [CrossRef]
- Lyskjaer, I.; Kara, N.; De Noon, S.; Davies, C.; Rocha, A.M.; Strobl, A.C.; Usher, I.; Gerrand, C.; Strauss, S.J.; Schrimpf, D.; et al. Osteosarcoma: Novel prognostic biomarkers using circulating and cell-free tumour DNA. Eur. J. Cancer 2022, 168, 1–11. [Google Scholar] [CrossRef]
- Schuh, R.; Kaider, A.; Windhager, R.; Funovics, P.T. Does competing risk analysis give useful information about endoprosthetic survival in extremity osteosarcoma? Clin. Orthop. Relat. Res. 2015, 473, 900–906. [Google Scholar] [CrossRef] [PubMed]





| Pat. | Age at Visceral Metastasis | Sex | Type | Location | Treatment of Primary | Interval (OS Diag to Detection of Visceral Met) (Months) | Symptoms | Metastatic Site | Single/ Multiple | Size (mm) | Calcification in Imaging | Treatment | Local and Distant Relapse | Outcome | FU/Survival Since Visceral Met (Months) |
|---|---|---|---|---|---|---|---|---|---|---|---|---|---|---|---|
| 1 | 35 | m | osteoblastic (G3) | distal femur | CTx, OP, CTx (EURAMOS) | 129 | none | pancreas | single | 16 | yes | left pancreatectomy with splenectomy and gastric wedge resection | none | AWD | 8 |
| 2 | 25 | m | n/a | proximal humerus | CTx, OP, CTx (COSS-80) | 120 | recurrent fever episodes, occasional dyspnea | liver | single | 120 × 90 | n/a | right hemihepatectomy | lung (concurrent with liver met), LR 2 years after diag | DOD | 24 |
| 3 | 20 | m | chondroblastic (G3) | distal femur | CTx (protocol unknown), OP, dendritic cell therapy, RTx | 60 | ileus | liver | multiple | n/a | no | none | lung, pleura, bone, heart, soft tissue, adrenal gland, bowel | DOD | 0.17 |
| 4 | 21 | m | chondroblastic (G3) | distal femur | CTx, OP, CTx (EURAMOS) | 35 | n/a | liver | multiple | 20, 10 | no | none | lung, bone, spine, soft tissue | DOD | 3 |
| 5 | 33 | m | teleangiectatic (G3) | sternum | CTx, OP, CTx (EURAMOS) | 9 | n/a | liver | single | 25 × 20 | no | none | lung | DOD | 3 |
| 6 | 62 | m | osteoblastic (G3) | proximal femur | CTx, OP, CTx (COSS-86-C) | primarily metastasized | none | liver | multiple | n/a | n/a | none | lung, mediastinal, adrenal gland, soft tissue | DOD | 2 |
| Case | Sex | Age at Metastasis | Location | Interval (OS Diag to Detection of Visceral Met) (Months) | Symptoms | Metastatic Site | Size (mm) | Treatment | Other Metastases | Outcome | FU/Survival Since Visceral Met (Months) |
|---|---|---|---|---|---|---|---|---|---|---|---|
| 1 [29] | f | 57 | proximal femur | 15 prior to OS diagnosis | abdominal pain | pancreas tail | 25 | distal pancreatectomy | skin, bone, brain | DOD | 18 |
| 2 [5] | f | 35 | distal tibia | 44 | none | pancreas body | 3 | distal pancreatectomy and splenectomy | LR after 17 months, subsequently lung | AWD | 48 |
| 3 [10] | f | 38 | n/a | 43 | abdominal pain, jaundice | pancreas head | 57 | n/a | tumor thrombus in superior mesenteric vein | n/a | |
| 4 [30] | m | 21 | femur | n/a | n/a | pancreas body | n/a | n/a | lung, bone | DOD | n/a |
| 5 [30] | m | 17 | tibia | n/a | n/a | pancreas head (multiple) | n/a | n/a | lung, bone, lymph nodes, chest, kidney | DOD | n/a |
| 6 [30] | f | 13 | femur | n/a | n/a | pancreas tail | n/a | n/a | lung, bone | DOD | n/a |
| 7 [6] | f | 19 | distal femur | 48 | abdominal pain and swelling | pancreas tail | 150 (US) | partial resection of the pancreatic tail, drainage of ruptured cyst | lung, jejunum (LR) | DOD | n/a |
| 8 [31] | f | 44 | proximal fibula | 24 postoperative | none | pancreas tail | n/a | distal pancreatectomy | subsequently lung | AWD | 24 |
| 9 [9] | m | 18 | proximal tibia | 48 | abdominal pain, vomiting | pancreas head | 45 | pancreatoduodenectomy + CTx | lung | AWD | 7 |
| 10 [3] | f | 25 | distal femur | 77 | acute anemia, melena | pancreas, duodenum | n/a | pancreatoduodenectomy + CTx | lung | AWD | 11 |
| 11 [4] | m | 14 | spine | 18 | nausea, vomiting, diarrhea, melena, jaundice | pancreas head, adjacent duodenum | 80 | n/a | LR | DOD | 0.5 |
| 12 [32] | f | 47 | proximal fibula | 36 | none | pancreas tail | 13 | distal pancreatectomy + CTx | subsequently lung | AWD | 14 |
| 13 [33] | f | 54 | maxilla | 24 | n/a | pancreas neck and body (multiple) | body 22, neck 30 (EUS) | n/a | n/a | n/a | |
| 14 [34] | m | 27 | n/a | 20 | abdominal pain | pancreas body | n/a | resection | none | n/a | |
| 15 [35] | f | 53 | distal femur | 48 | abdominal pain, fullness, early satiety | pancreas genu, body, and tail, adjacent gallbladder fossa, duodenum, and liver hilum | pancreas 110 (EUS) | drainage | lung | AWD | n/a |
| 16 [36] | f | 33 | maxillary sinus | 42 | n/a | pancreas | n/a | CTx | lung | AWD | 5 |
| 17 [37] | f | 10 | distal femur | 18 | n/a | pancreas, liver (single) | n/a | laparotomy + CTx | lung, kidney | DOD | 2 |
| 18 [37] | f | 25 | distal femur | 132 | n/a | pancreas tail | n/a | resection | lung | AWD | 7 |
| 19 [13] | f | 13 | fibula | 14 | pyloric stenosis symptoms, vomiting | pancreas head, adjacent duodenum, liver (single) | pancreas 60 | pancreatoduodenectomy, chemoembolization of hepatic lesions | lung | DOD | 16 |
| 20 [38] | m | 60 | proximal femur | 36 | abdominal pain, jaundice | pancreas head, subsequently liver (multiple) | pancreas 25, liver < 20 | n/a | n/a | n/a | |
| 21 [38] | f | 39 | distal femur | 24 | abdominal pain | liver | unmeasurable (US) | n/a | lymph nodes paratracheal, small bowel | n/a | |
| 22 [39] | f | 69 | proximal femur | 36 | jaundice | pancreas head, subsequently liver (multiple) | n/a | cholecystojejunostomy | lung, bone | n/a | |
| 23 [40] | m | 20 | distal femur | 24 | none | pancreas tail | 68 (MRCP) | en-bloc resection with distal subtotal gastrectomy, en-bloc spleen-preserving distal pancreatectomy, en-bloc resection of transverse mesocolon and Roux-en-Y gastrojejunostomy reconstruction | lung | n/a | |
| 24 [41] | f | 63 | distal femur | n/a | n/a | pancreas head, subsequently adjacent duodenum | 19 | n/a | lung, brain | DOD | n/a |
| 25 [42] | f | 19 | distal femur | 66 | n/a | pancreas, adjacent duodenum, subsequently liver | 50 | pancreatoduodenectomy + CTx | lung, subsequently peritoneum | DOD | 25 |
| 26 [43] | f | 49 | distal femur | 24 | back pain | pancreas head | 70 | palliative RTx | lung, bone | DOD | 2 |
| 27 [43] | f | 42 | distal femur | 6 | abdominal and back pain | pancreas tail | n/a | palliative RTx | lung | DOD | 1 |
| 28 [11] | m | 15 | femur | 13 | none, gradually abdominal pain | liver, subsequently pancreas | n/a | none | lung, subsequently pancreas | DOD | 2 |
| 29 [11] | m | 50 | tibia | 17 | abdominal distension | liver | n/a | none | lung, brain | DOD | 6 |
| 30 [11] | m | 54 | clavicula | 31 | liver dysfunction, subsequently diabetes | liver, subsequently pancreas | n/a | none | lung, bone, subsequently pancreas | AWD | 4 |
| 31 [44] | m | 45 | distal femur | 27 | abdominal pain, fever, nausea, loose stools, decreased appetite, insomnia | liver (multiple) | n/a | n/a | lung, LR, colon, retroperitoneal space, adrenal gland, paracolic | DOC | 1 |
| 32 [45] | m | 24 | tibia | 42 | abdominal pain, nausea, vomiting, anorexia | liver (multiple) | 20–50 (OP) | partial hepatectomy, distal jejunum, and proximal ilium resection | lung, small bowel | n/a | |
| 33 [12] | m | 32 | tibia | 66 | acute anemia, melaena, hematemesis | duodenum, adjacent pancreas head | 90 (OP) | gastroduodenopancreatectomy, cholecystectomy | lung | DOC | 2 |
| 34 [46] | m | 37 | femur | 204 | n/a | pancreas | n/a | n/a | lung, brain, subsequently pancreas, and adrenal gland | n/a | |
| 35 [47] | f | 26 | 3rd rib | 12 | abdominal distension | liver (single) | n/a | n/a | lung | DOD | 6 |
| 36 [48] | m | 27 | femur | 48 | anorexia, nausea, vomiting, iron-deficiency anemia | duodenal papilla | 40 (Endoscopy) | n/a | none | n/a | |
| 37 [49] | m | 19 | distal femur | 29 | abdominal pain, vomiting, weight loss, symptoms of intestinal obstruction | liver (multiple) | n/a | none (refused CTx) | peritoneum, abdominal | DOD | n/a |
| 38 [50] | f | 28 | proximal humerus | 6 postoperative | n/a | liver (single) | n/a | none (best supportive care) | lung, LR (positive margins) | AWD | n/a |
| 39 [51] | m | 21 | proximal tibia | 50 | n/a | liver | n/a | CTx | lung, bone, retroperitoneal, subsequently omentum | DOC | 6 |
| 40 [52] | m | 24 | proximal tibia | primarily metastasized | n/a | liver (multiple) | n/a | CTx | lungs, mediastinum, later bone | DOD | 5 |
| 41 [53] | m | 47 | proximal tibia | 13 postoperative | n/a | liver (multiple) | n/a | n/a | lymph nodes, soft tissue, L5, pelvic bone, iliac psoas muscle | DOC | 11 |
| 42 [7] | m | 39 | humerus | primarily metastasized | n/a | liver (single) | 25 (2 months after diag) | RFA | lung, kidney | DOD | 13 |
| 43 [54] | n/a | 15 | distal femur | primarily metastasized | n/a | liver (multiple) | n/a | n/a | lung, bone, brain | DOD | 7–8 (after diag) |
| 44 [55] | f | 16 | femur | 7 | n/a | liver (single) | n/a | CTx | lung | n/a | |
| 45 [56] | m | 16 | proximal humerus | 19 after EOT | abdominal pain, fever | liver (multiple) | 162 | n/a | none | DOD | 3 |
| 46 [57] | f | 36 | tibia | 36 | abdominal pain | liver (single) | 37 | RTx | none | AWD | 3 |
| 47 [58] | f | 36 | distal femur | primarily metastasized | n/a | liver (multiple) | 35, 9, 7 | resection planned after CTx | none | AWD | 5 |
| 48 [59] | f | 23 | femur | 84 | n/a | pancreas | 170 | pancreatoduodenectomy | lung, LR in pancreatic tail 24 months postoperatively, died 9 months later | DOD | 33 |
| 49 [60] | m | 21 | tibia | during 3rd cycle of adjuvant CTx | abdominal pain | pancreas head | 13 (US) | continuation of ongoing CTx | lung | AWD | n/a |
| 50 [14] | f | 30 | proximal tibia | 84 | abdominal pain and distension, vomiting, lack of intestinal transit | liver (multiple) | 6 | resection | lung, subsequently brain, bowel | n/a | |
| 51 [61] | F | 14 | humerus | 0.3 | abdominal pain | liver (single) | 100 (X-ray, 1.5 months after diag) | antimitotic treatment with intramuscular injections of Endoxan | none | DOD | 5 |
| Case | Sex | Age at Diag | Site | Symptoms | Size (mm) | Treatment | Local and Distant Relapse | Outcome | FU/Survival (Months) |
|---|---|---|---|---|---|---|---|---|---|
| 1 [62] | m | 52 | liver | fatigue, back pain, meteorism | n/a | none (autopsy) | heart, small bowel | DOD | 1.6 |
| 2 [23] | m | 73 | liver | abdominal pain, discomfort | 170 | right hepatectomy | LR after 48 days | DOD | n/a |
| 3 [21] | m | 59 | liver | abdominal pain | 120 | right hepatectomy | none | AWD | n/a |
| 4 [19] | m | 62 | liver | abdominal pain, fever | 78 | partial hepatic lobectomy | none | AWD | n/a |
| 5 [22] | m | 70 | liver | abdominal discomfort, fever | 92 (US) | CTx | none | DOD | 4 |
| 6 [63] | m | 72 | liver/ pancreatic head/ duodenum | abdominal pain, distension, weight loss, loss of appetite | 250 * | none (autopsy) | none | DOD | 4 |
| 7 [64] | m | 50 | liver | abdominal pain | 48 | right hemihepatectomy | none | DOD | 2 |
| 8 [65] | m | 67 | liver | swelling | 100 * | CTx (autopsy) | n/a | DOD | n/a |
| 9 [66] | m | 72 | liver | abdominal pain, loss of appetite, weight gain | 130 * | none (autopsy) | lung | DOD | 0.2 |
| 10 [67] | m | 75 | liver | icterus, weight loss | 50 | none (autopsy) | omentum majus | DOD | 1 |
| 11 [68] | f | 19 | liver | abdominal discomfort, early satiety, anorexia | 150 (MRI) | left hepatic lobectomy with en-bloc cholecystectomy | none | AWD | 36 |
| 12 [69] | m | 64 | liver | abdominal distension and colic, constipation | 130 * | none (autopsy) | none | DOD | 0.7 |
| 13 [70] | m | 71 | liver | abdominal pain, signs of bowel obstruction | 250 | resection | subsequently peritoneum, stomach, bowel, and lung | DOD | 2 |
| 14 [71] | f | 69 | liver | dyspnea, right pleuritic chest pain, intermittent fever | 150 | hemihepatectomy with concomitant partial resection of the parietal peritoneum of the anterior abdominal wall and diaphragm | LR after 2 months | DOD | 2 (postoperatively) |
| 15 [72] | m | 45 | liver/ adrenal gland/ portal vein | abdominal pain, discomfort | 270 | hepatic trisegmentectomy (right lobe and medial segment of the left lobe) and cholecystectomy | none | AWD | 0.7 |
| 16 [73] | f | 73 | liver | abdominal pain | n/a | n/a | n/a | n/a | |
| 17 [18] | m | 47 | liver | abdominal pain | 110 | right hepatic lobectomy | n/a | AWD | 3 |
| 18 [74] | m | 79 | liver | abdominal pain, bloating | 171 | resection; transarterial chemoembolization after LR | LR after 1.5 months | DOD | 2 (after LR) |
| 19 [75] | m | 65 | liver | abdominal pain, bloating, nausea | n/a | none | lymph nodes, lung, Th3 | n/a | |
| 20 [76] | f | 61 | liver | n/a | 75 | resection | LR after 7 months, lung | DOD | 1.5 (after LR) |
| 21 [77] | f | 66 | liver | abdominal pain | n/a | liver transplantation | subsequently, pleura, lymph nodes, peritoneum, abdominal cavity | n/a | |
| 22 [78] | m | 50 | pancreas/ left kidney | back pain | n/a | distal pancreatectomy with partial gastrectomy, splenectomy, left nephrectomy | LR after 6 months, subsequently the renal bed, hepatogastric area, lymph nodes, lung, and peritoneum | DOD | 20 |
| 23 [79] | f | 56 | pancreatic tail | n/a | 27 | distal pancreatectomy with splenectomy + CTx; RTx planned | subsequently scalp | n/a | |
| 24 [80] | f | 75 | duodenum/ pancreatic head | fatigue, progressive muscle weakness, melena | 54 | pylorus-preserving pancreatoduodenectomy | subsequently liver (size 150 mm) | n/a | |
| 25 [81] | f | 61 | gallbladder | abdominal discomfort, nausea, subcostal tenderness | n/a | cholecystectomy | subsequently abdominal wall, peritoneal cavity, liver, intestines, omentum majus and minus, mesentery, and lung | DOD | 9 |
| 26 [82] | f | 74 | retroperitoneum/ left kidney/ pancreatic tail | flank pain, abdominal distension | 160 | chemoembolization | n/a | DOC | 18 |
| 27 [83] | f | 72 | gallbladder/liver | abdominal pain, weight loss, loss of appetite | 45 | cholecystectomy with partial CBD excision | none | AWD | n/a |
| 28 [84] | f | 45 | gallbladder | abdominal discomfort | 50 | cholecystectomy | none | AWD | 16 |
| 29 [85] | m | 64 | pancreas | abdominal pain, jaundice, weight loss | 70 | whipple procedure | none | AWD | 3.5 |
| 30 [86] | f | 44 | pancreas | abdominal discomfort | 100 (US) | splenectomy, removal of pancreatic tail, left renal capsule, and surrounding lymph nodes | LR after 1 year | n/a | |
| 31 [87] | m | 66 | liver | abdominal pain | 60 | CTx | lymph nodes | DOD | 6 |
| 32 [88] | m | 60 | duodenum | abdominal pain, anemia, melena, fatigue | n/a | duodenopancreatectomy | none | AWD | 96 |
| 33 [89] | f | 50 | gallbladder | abdominal pain | 35 (OP) | cholecystectomy | none | AWD | 6 |
| 34 [90] | f | 62 | gallbladder | abdominal pain, weight loss | 120 (OP) | cholecystectomy | n/a | DOD | 14 |
Disclaimer/Publisher’s Note: The statements, opinions and data contained in all publications are solely those of the individual author(s) and contributor(s) and not of MDPI and/or the editor(s). MDPI and/or the editor(s) disclaim responsibility for any injury to people or property resulting from any ideas, methods, instructions or products referred to in the content. |
© 2025 by the authors. Licensee MDPI, Basel, Switzerland. This article is an open access article distributed under the terms and conditions of the Creative Commons Attribution (CC BY) license (https://creativecommons.org/licenses/by/4.0/).
Share and Cite
Hohensteiner, A.; Kowalscheck, L.; Döring, K.; Hobusch, G.M.; Tanios, R.J.; Strobel, O.; Windhager, R.; Funovics, P.T. Visceral Metastases of Osteosarcoma in the Hepatopancreatobiliary System. J. Clin. Med. 2025, 14, 8702. https://doi.org/10.3390/jcm14248702
Hohensteiner A, Kowalscheck L, Döring K, Hobusch GM, Tanios RJ, Strobel O, Windhager R, Funovics PT. Visceral Metastases of Osteosarcoma in the Hepatopancreatobiliary System. Journal of Clinical Medicine. 2025; 14(24):8702. https://doi.org/10.3390/jcm14248702
Chicago/Turabian StyleHohensteiner, Anna, Lars Kowalscheck, Kevin Döring, Gerhard Martin Hobusch, Raphael Johannes Tanios, Oliver Strobel, Reinhard Windhager, and Philipp Theodor Funovics. 2025. "Visceral Metastases of Osteosarcoma in the Hepatopancreatobiliary System" Journal of Clinical Medicine 14, no. 24: 8702. https://doi.org/10.3390/jcm14248702
APA StyleHohensteiner, A., Kowalscheck, L., Döring, K., Hobusch, G. M., Tanios, R. J., Strobel, O., Windhager, R., & Funovics, P. T. (2025). Visceral Metastases of Osteosarcoma in the Hepatopancreatobiliary System. Journal of Clinical Medicine, 14(24), 8702. https://doi.org/10.3390/jcm14248702

