Simultaneous Correction of Juvenile Hallux Valgus and Flexible Flatfoot in Children: Outcomes of Combined First Metatarsal Hemiepiphysiodesis and Calcaneal-Stop Procedure
Abstract
1. Introduction
2. Materials and Methods
2.1. Study Design
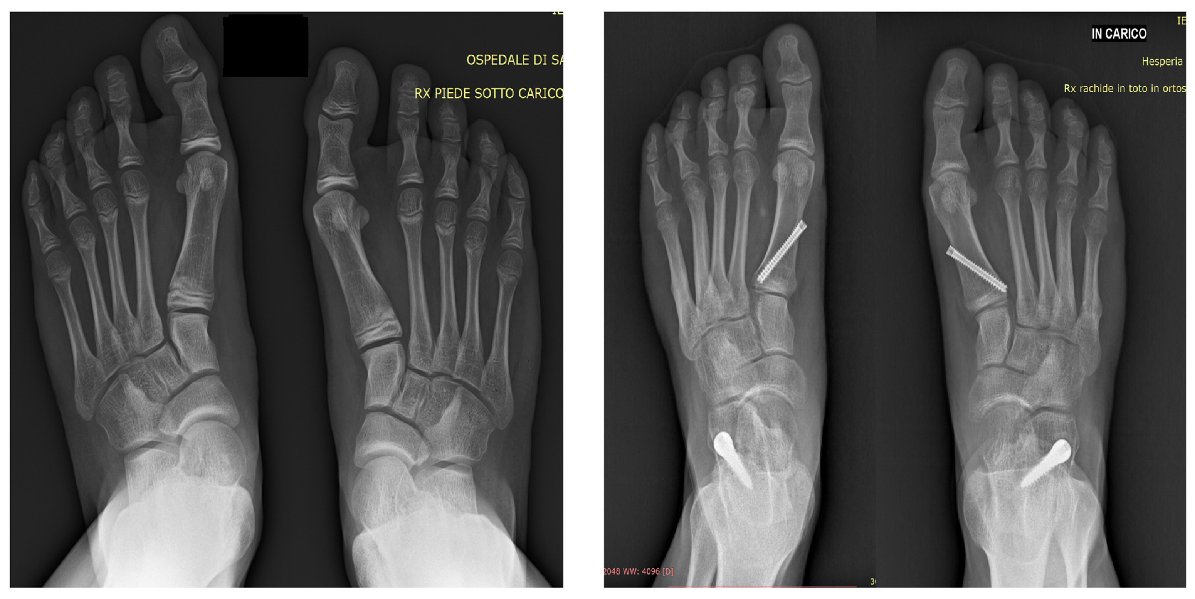
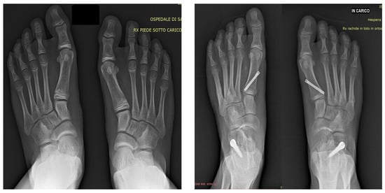
2.2. Surgical Technique
2.3. Baseline and Outcome Variables
2.4. Statistical Analysis
3. Results
4. Discussion
Strengths and Limitations
5. Conclusions
Supplementary Materials
Author Contributions
Funding
Institutional Review Board Statement
Informed Consent Statement
Data Availability Statement
Conflicts of Interest
Abbreviations
| LHFM | Lateral hemiepiphysiodesis of the first metatarsal |
| JHV | Juvenile hallux valgus |
| FFF | Flexible flatfoot |
| C-Stop | Calcaneal-stop |
| HVA | Hallux Valgus Angle |
| IMA | Intermetatarsal Angle |
| MA | Meary’s angle |
| tTCA | Transverse TaloCalcaneal Angle |
| FADI | Foot and Ankle Disability Index |
| TAS | Tegner Activity Scale |
References
- Kim, H.W.; Park, K.B.; Kwak, Y.H.; Jin, S.; Park, H. Radiographic Assessment of Foot Alignment in Juvenile Hallux Valgus and Its Relationship to Flatfoot. Foot Ankle Int. 2019, 40, 1079–1086. [Google Scholar] [CrossRef]
- Coughlin, M.J.; Jones, C.P. Hallux Valgus: Demographics, Etiology, and Radiographic Assessment. Foot Ankle Int. 2007, 28, 759–777. [Google Scholar] [CrossRef]
- Seidenstein, A.H.; Torrez, T.W.; Andrews, N.A.; Patch, D.A.; Conklin, M.J.; Shah, A. Pediatric Hallux Valgus: An Overview of History, Examination, Conservative, and Surgical Management. Paediatr. Child Health 2022, 27, 75–81. [Google Scholar] [CrossRef]
- Wong, D.W.-C.; Wang, Y.; Chen, T.L.-W.; Yan, F.; Peng, Y.; Tan, Q.; Ni, M.; Leung, A.K.-L.; Zhang, M. Finite Element Analysis of Generalized Ligament Laxity on the Deterioration of Hallux Valgus Deformity (Bunion). Front. Bioeng. Biotechnol. 2020, 8, 571192. [Google Scholar] [CrossRef]
- Galán-Olleros, M.; Del Baño Barragán, L.; Figueroa, M.J.; Prato de Lima, C.H.; Fraga-Collarte, M.; Torres-Izquierdo, B.; Hosseinzadeh, P.; Martínez-Caballero, I. Outcomes of the “Calcaneo-Stop” Procedure for Treating Symptomatic Flexible Flatfoot in Children: A Systematic Review and Meta-Analysis of 2394 Feet. Foot Ankle Surg. 2024, 30, 535–545. [Google Scholar] [CrossRef]
- Atbaşı, Z.; Erdem, Y.; Kose, O.; Demiralp, B.; Ilkbahar, S.; Tekin, H.O. Relationship Between Hallux Valgus and Pes Planus: Real or Fiction? J. Foot Ankle Surg. 2020, 59, 513–517. [Google Scholar] [CrossRef]
- Al-Mohrej, O.A.; Ade-Conde, A.M.; Ade-Conde, O.S.; Argan, M.; Khan, M.; Bouchard, M.; Al-Asiri, J. Hemiepiphysiodesis for Juvenile Hallux Valgus Deformity: A Systematic Review. Foot Ankle Surg. 2023, 29, 448–454. [Google Scholar] [CrossRef]
- Hung, W.-C.; Yao, S.-H.; Wang, T.-M.; Chen, C.-H. Transosseous Suturing for the Correction of Juvenile Hallux Valgus: A Preliminary Case Series Study. Medicina 2022, 58, 1679. [Google Scholar] [CrossRef]
- AlZeedi, M.; Park, J.P.; Marwan, Y.; Abu-Dalu, K.M.; Hamdy, R.; Janelle, C. Growth Modulation for the Treatment of Juvenile Hallux Valgus: A Systematic Review of Literature. Strateg. Trauma Limb Reconstr. 2023, 18, 51–55. [Google Scholar] [CrossRef]
- Sabah, Y.; Rosello, O.; Clement, J.L.; Solla, F.; Chau, E.; Oborocianu, I.; Rampalv, V. Lateral Hemiepiphysiodesis of the First Metatarsal for Juvenile Hallux Valgus. J. Orthop. Surg. 2018, 26, 2309499018801135. [Google Scholar] [CrossRef]
- Silva, S.; Tavernini, T.; Bruschi, A.; Andriolo, L.; Guizzardi, G.; Serra, M.; Rocca, G.; Filardo, G. Calcaneo-Stop for Paediatric Idiopathic Flexible Flatfoot: High Functional Results and Return to Sport in 644 Feet at Mid-Term Follow-Up. J. Exp. Orthop. 2025, 12, e70182. [Google Scholar] [CrossRef]
- Stichnoth, M.; Lüders, K.A.; Hell, A.K.; Stinus, H. Comparative Study of Subtalar Arthroereisis, Medializing Calcaneal Osteotomy and the Combination of Both Techniques for the Treatment of Symptomatic Adult Flatfeet. Foot Ankle Surg. 2025, 31, 239–246. [Google Scholar] [CrossRef]
- Faldini, C.; Nanni, M.; Traina, F.; Fabbri, D.; Borghi, R.; Giannini, S. Surgical Treatment of Hallux Valgus Associated with Flexible Flatfoot during Growing Age. Int. Orthop. 2016, 40, 737–743. [Google Scholar] [CrossRef]
- Artioli, E.; Mazzotti, A.; Langone, L.; Zielli, S.O.; Arceri, A.; Bonelli, S.; Faldini, C. First Metatarsal Hemiepiphysiodesis for the Treatment of Juvenile Hallux Valgus: A Systematic Review. J. Pediatr. Orthop. 2023, 43, 584–589. [Google Scholar] [CrossRef]
- Yang, F.; Wu, C.; Wang, J.; Mei, G.; Zou, J.; Xue, J.; Su, Y.; Ma, X.; Zhang, J.; Shi, Z. Subtalar Arthroereisis for Simultaneous Treatment of Flexible Pes Planus during Surgical Correction of Hallux Valgus. Eur. J. Med. Res. 2025, 30, 44. [Google Scholar] [CrossRef] [PubMed]
- Polichetti, C.; Borruto, M.I.; Lauriero, F.; Caravelli, S.; Mosca, M.; Maccauro, G.; Greco, T.; Perisano, C. Adult Acquired Flatfoot Deformity: A Narrative Review about Imaging Findings. Diagnostics 2023, 13, 225. [Google Scholar] [CrossRef]
- Di Gennaro, G.L.; Stallone, S.; Olivotto, E.; Zarantonello, P.; Magnani, M.; Tavernini, T.; Stilli, S.; Trisolino, G. Operative versus Nonoperative Treatment in Children with Painful Rigid Flatfoot and Talocalcaneal Coalition. BMC Musculoskelet. Disord. 2020, 21, 185. [Google Scholar] [CrossRef]
- Kuhn, J.; Alvi, F. Hallux Valgus. In StatPearls; StatPearls Publishing: Treasure Island, FL, USA, 2025. Available online: https://www.ncbi.nlm.nih.gov/books/nbk553092/ (accessed on 27 July 2025).
- Alsaidi, F.A.; Moria, K.M. Flatfeet Severity-Level Detection Based on Alignment Measuring. Sensors 2023, 23, 8219. [Google Scholar] [CrossRef]
- Meyr, A.J.; Wagoner, M.R. Descriptive Quantitative Analysis of Rearfoot Alignment Radiographic Parameters. J. Foot Ankle Surg. 2015, 54, 860–871. [Google Scholar] [CrossRef]
- Gong, X.-F.; Sun, N.; Li, H.; Li, Y.; Lai, L.-P.; Li, W.-J.; Wang, Y.; Wu, Y. Modified Chevron Osteotomy with Distal Soft Tissue Release for Treating Moderate to Severe Hallux Valgus Deformity: A Minimal Clinical Important Difference Values Study. Orthop. Surg. 2022, 14, 1369–1377. [Google Scholar] [CrossRef]
- Napoli, R.; Fortina, M.; Plebani, G.; Giannotti, S.; Pannone, A.; Rossi, A.; Visonà, E.; Tegner, Y.; Brindisino, F.; Vascellari, A.; et al. Cross Cultural Adaptation and Multi Centric Validation of The Italian Version of The Tegner Activity Scale. Muscles Ligaments Tendons J. 2023, 13, 156–162. [Google Scholar] [CrossRef]
- Moore, D.S.; Notz, W.I.; Fligner, M.A. The Basic Practice of Statistics; Freeman and Company: New York, NY, USA, 2013. [Google Scholar]
- Tan, J.H.I.; Tan, S.H.S.; Lim, A.K.S.; Hui, J.H. The Outcomes of Subtalar Arthroereisis in Pes Planus: A Systemic Review and Meta-Analysis. Arch. Orthop. Trauma Surg. 2021, 141, 761–773. [Google Scholar] [CrossRef] [PubMed]
- Smolle, M.A.; Svehlik, M.; Regvar, K.; Leithner, A.; Kraus, T. Long-Term Clinical and Radiological Outcomes Following Surgical Treatment for Symptomatic Pediatric Flexible Flat Feet: A Systematic Review. Acta Orthop. 2022, 93, 367–374. [Google Scholar] [CrossRef]
- De Pellegrin, M.; Moharamzadeh, D. Subtalar Arthroereisis for Surgical Treatment of Flexible Flatfoot. Foot Ankle Clin. 2021, 26, 765–805. [Google Scholar] [CrossRef]
- Sabry, A.O.; Genedy, M.K.A.; Hennidi, M.; Shebl, M.A.; Zaky, A.; Selim, O.E.M.; Shebl, M.A.; Hassan, M.T.G.; Almohani, O.; Arid, M.; et al. Endosinotarsal vs. Exosinotarsal Subtalar Arthroereisis in Treating Pediatric Flexible Flat Feet: A Systematic Review and Meta-Analysis of Comparative Studies. JBJS Rev. 2024, 12, e24.00178. [Google Scholar] [CrossRef]
- Smith, C.; Zaidi, R.; Bhamra, J.; Bridgens, A.; Wek, C.; Kokkinakis, M. Subtalar Arthroereisis for the Treatment of the Symptomatic Paediatric Flexible Pes Planus: A Systematic Review. EFORT Open Rev. 2021, 6, 118–129. [Google Scholar] [CrossRef]
- Vescio, A.; Testa, G.; Amico, M.; Lizzio, C.; Sapienza, M.; Pavone, P.; Pavone, V. Arthroereisis in Juvenile Flexible Flatfoot: Which Device Should We Implant? A Systematic Review of Literature Published in the Last 5 Years. World J. Orthop. 2021, 12, 433–444. [Google Scholar] [CrossRef]
- Vogt, B.; Toporowski, G.; Gosheger, G.; Rölfing, J.D.; Rosenbaum, D.; Schiedel, F.; Laufer, A.; Kleine-Koenig, M.-T.; Theil, C.; Roedl, R.; et al. Subtalar Arthroereisis for Flexible Flatfoot in Children-Clinical, Radiographic and Pedobarographic Outcome Comparing Three Different Methods. Children 2021, 8, 359. [Google Scholar] [CrossRef]
- Ali, A.; Walsh, M.; O’Brien, T.; Dimitrov, B.D. The Importance of Submalleolar Deformity in Determining Leg Length Discrepancy. Surgeon 2014, 12, 201–205. [Google Scholar] [CrossRef][Green Version]
- Lee, S.W.; Gabriel, D.; Lee, D.W.; Lin, W.T.H.; May, C. Minimally Invasive Surgery for Juvenile Hallux Valgus. J. Pediatr. Orthop. Soc. N. Am. 2025, 11, 100175. [Google Scholar] [CrossRef]
- Mazzotti, A.; Langone, L.; Zielli, S.O.; Artioli, E.; Arceri, A.; Brognara, L.; Traina, F.; Faldini, C. Do First Ray-Related Angles Change Following Subtalar Arthroereisis in Pediatric Patients? A Radiographic Study. Children 2024, 11, 760. [Google Scholar] [CrossRef]
- Chell, J.; Dhar, S. Pediatric Hallux Valgus. Foot Ankle Clin. 2014, 19, 235–243. [Google Scholar] [CrossRef]
- Dibello, D.; Dallan, G.; Di Carlo, V.; Pederiva, F. Quality of Life in Flexible Painful Flatfoot Treated by Anterograde Calcaneo-Stop Procedure: The Patient’s and Family’s Perspective. PLoS ONE 2023, 18, e0263763. [Google Scholar] [CrossRef] [PubMed]
- Spindler, F.T.; Ettinger, S.; Baumbach, S.F. Classification of Hallux Valgus Deformity-Is There a Standard? Arch. Orthop. Trauma. Surg. 2024, 144, 4737–4743. [Google Scholar] [CrossRef]
- Ray, J.J.; Friedmann, A.J.; Hanselman, A.E.; Vaida, J.; Dayton, P.D.; Hatch, D.J.; Smith, B.; Santrock, R.D. Hallux Valgus. Foot Ankle Orthop. 2019, 4, 2473011419838500. [Google Scholar] [CrossRef] [PubMed]
- Scott, G.; Menz, H.B.; Newcombe, L. Age-Related Differences in Foot Structure and Function. Gait Posture 2007, 26, 68–75. [Google Scholar] [CrossRef]
- Sung, K.H.; Kwon, S.-S.; Park, M.S.; Lee, K.M.; Ahn, J.; Lee, S.Y. Natural Progression of Radiographic Indices in Juvenile Hallux Valgus Deformity. Foot Ankle Surg. 2019, 25, 378–382. [Google Scholar] [CrossRef]
- McCluney, J.G.; Tinley, P. Radiographic Measurements of Patients with Juvenile Hallux Valgus Compared with Age-Matched Controls: A Cohort Investigation. J. Foot Ankle Surg. 2006, 45, 161–167. [Google Scholar] [CrossRef]
- Xie, Y.L.; Liang, J.Y.; Du, G.F.; Lu, H.J.; Luo, W.J.; Wu, J.H.; Sheng, Z.H. The Causal Relationship between Hallux Valgus and Endogenous Pathogenic Factors: A 2-Sample Mendelian Randomization. Medicine 2025, 104, e41647. [Google Scholar] [CrossRef]
- Jung, D.-Y.; Jung, S.-H.; Gwak, G.-T. Contributions of Age, Gender, Body Mass Index, and Normalized Arch Height to Hallux Valgus: A Decision Tree Approach. BMC Musculoskelet. Disord. 2023, 24, 278. [Google Scholar] [CrossRef] [PubMed]
- AlFarii, H.; Marwan, Y.; Algarni, N.; Addar, A.; Hamdy, R.; Janelle, C. Temporary Screw Lateral Hemiepiphysiodesis of the First Metatarsal for Juvenile Hallux Valgus Deformity: A Case Series of 23 Feet. J. Foot Ankle Surg. 2022, 61, 88–92. [Google Scholar] [CrossRef] [PubMed]
- Chiang, M.H.; Wang, T.M.; Kuo, K.N.; Huang, S.C.; Wu, K.W. Management of Juvenile Hallux Valgus Deformity: The role of combined Hemiepiphysiodesis. BMC Musculoskelet Disord. 2019, 20, 472. [Google Scholar] [CrossRef]
- Rocca, G.; De Venuto, A.; Mazzotti, A.; Zielli, S.O.; Artioli, E.; Brognara, L.; Traina, F.; Faldini, C. The Minimally Invasive SERI Osteotomy for Pediatric Hallux Valgus. Children 2023, 10, 94. [Google Scholar] [CrossRef]
- Fontyn, S.; Alatassi, R.; Benaroch, L.R.; Pirshahid, A.A.; Bartley, D.; Carey, T.; Del Balso, C.; Thornley, P. Treatment of Juvenile Hallux Valgus with a Simple, Effective, Rapid, and Inexpensive (SERI) Technique: A Systematic Review and Meta-Analysis. Foot 2025, 64, 102189. [Google Scholar] [CrossRef]
- Knörr, J.; Soldado, F.; Violas, P.; Sánchez, M.; Doménech, P.; de Gauzy, J.S. Treatment of Hallux Valgus in Children and Adolescents. Orthop. Traumatol. Surg. Res. 2022, 108, 103168. [Google Scholar] [CrossRef] [PubMed]
- Trisolino, G.; Ramella, M.; Pizzuti, V.; Todisco, M.; Parisi, S.C.; Cerasoli, T.; Rocca, G. Ten-Year Clinical and Functional Outcomes of Anterograde Calcaneo-Stop Arthroereisis for Idiopathic Flexible Flatfoot in Children: A Single-Center Cohort Study. Children 2025, 12, 1047. [Google Scholar] [CrossRef] [PubMed]


| Variable | Pre-Op | Post-Op | Mean-Difference (95% C.I.) |
|---|---|---|---|
| IMA (°) | 11.9 ± 1.3 | 9.3 ± 1.5 | 2.6 ± 1.7 (2.0–3.2) |
| HVA (°) | 22.0 ± 6.0 | 16.1 ± 3.6 | 5.9 ± 5.4 (3.8–7.9) |
| tTCA (°) | 27.3 ± 3.3 | 20.6 ± 3.5 | 6.7 ± 3.6 (5.2–8.3) |
| MA (°) | 18.8 ± 5.8 | 5.4 ± 4.8 | 13.3 ± 4.8 (11.4–15.3) |
Disclaimer/Publisher’s Note: The statements, opinions and data contained in all publications are solely those of the individual author(s) and contributor(s) and not of MDPI and/or the editor(s). MDPI and/or the editor(s) disclaim responsibility for any injury to people or property resulting from any ideas, methods, instructions or products referred to in the content. |
© 2025 by the authors. Licensee MDPI, Basel, Switzerland. This article is an open access article distributed under the terms and conditions of the Creative Commons Attribution (CC BY) license (https://creativecommons.org/licenses/by/4.0/).
Share and Cite
Di Gennaro, G.L.; Trisolino, G.; Viotto, M.; Todisco, M.; Cerasoli, T.; Rocca, G. Simultaneous Correction of Juvenile Hallux Valgus and Flexible Flatfoot in Children: Outcomes of Combined First Metatarsal Hemiepiphysiodesis and Calcaneal-Stop Procedure. J. Clin. Med. 2025, 14, 7330. https://doi.org/10.3390/jcm14207330
Di Gennaro GL, Trisolino G, Viotto M, Todisco M, Cerasoli T, Rocca G. Simultaneous Correction of Juvenile Hallux Valgus and Flexible Flatfoot in Children: Outcomes of Combined First Metatarsal Hemiepiphysiodesis and Calcaneal-Stop Procedure. Journal of Clinical Medicine. 2025; 14(20):7330. https://doi.org/10.3390/jcm14207330
Chicago/Turabian StyleDi Gennaro, Giovanni Luigi, Giovanni Trisolino, Marianna Viotto, Marco Todisco, Tosca Cerasoli, and Gino Rocca. 2025. "Simultaneous Correction of Juvenile Hallux Valgus and Flexible Flatfoot in Children: Outcomes of Combined First Metatarsal Hemiepiphysiodesis and Calcaneal-Stop Procedure" Journal of Clinical Medicine 14, no. 20: 7330. https://doi.org/10.3390/jcm14207330
APA StyleDi Gennaro, G. L., Trisolino, G., Viotto, M., Todisco, M., Cerasoli, T., & Rocca, G. (2025). Simultaneous Correction of Juvenile Hallux Valgus and Flexible Flatfoot in Children: Outcomes of Combined First Metatarsal Hemiepiphysiodesis and Calcaneal-Stop Procedure. Journal of Clinical Medicine, 14(20), 7330. https://doi.org/10.3390/jcm14207330

