Combined Multilayered Amniotic Membrane Graft and Fibrin Glue as a Surgical Management of Limbal Dermoid Cyst
Abstract
1. Introduction
2. Materials and Methods
Surgical Procedure
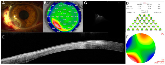
3. Results
4. Discussion
5. Conclusions
Author Contributions
Funding
Institutional Review Board Statement
Informed Consent Statement
Data Availability Statement
Conflicts of Interest
References
- Jeong, J.; Song, Y.J.; Jung, S.I.; Kwon, J.W. New surgical approach for limbal dermoids in children: Simple excision, corneal tattooing, and sutureless limboconjunctival autograft. Cornea 2015, 34, 720–723. [Google Scholar] [CrossRef] [PubMed]
- Arce Gonzalez, M.d.R.; Navas, A.; Haber, A.; Ramírez-Luquín, T.; Graue-Hernández, E.O. Ocular dermoids: 116 consecutive cases. Eye Contact Lens 2013, 39, 188–191. [Google Scholar] [CrossRef] [PubMed]
- AlGhadeer, H.; Kirat, O.; Vargas, J.; AlBadr, L.; Khandekar, R. Visual and surgical outcomes of limbal dermoid excision at a tertiary care eye hospital. Eur. J. Ophthalmol. 2023, 33, 587–594. [Google Scholar] [CrossRef] [PubMed]
- Zhong, J.; Wang, W.; Li, J.; Wang, Y.; Hu, X.; Feng, L.; Ye, Q.; Luo, Y.; Zhu, Z.; Li, J.; et al. Effects of perceptual learning on deprivation amblyopia in children with limbal dermoid: A randomized controlled trial. J. Clin. Med. 2022, 11, 1879. [Google Scholar] [CrossRef] [PubMed]
- Lang, S.J.; Böhringer, D.; Reinhard, T. Surgical management of corneal limbal dermoids: Retrospective study of different techniques and use of Mitomycin C. Eye 2014, 28, 857–862. [Google Scholar] [CrossRef] [PubMed]
- Liu, J.-L.; Ji, J.-Y.; Ye, Q.; Wei, L.-Q.; Zhong, X.; Jiang, L.-Z.; Zeng, J. Treatment of corneal dermoid with lenticules from small incision lenticule extraction surgery: A surgery assisted by fibrin glue. Int. J. Ophthalmol. 2023, 16, 547–553. [Google Scholar] [CrossRef] [PubMed]
- Scott, J.A.; Tan, D.T.H. Therapeutic lamellar keratoplasty for limbal dermoids. Ophthalmology 2001, 108, 1858–1867. [Google Scholar] [CrossRef]
- Shen, Y.D.; Chen, W.L.; Wang, I.J.; Hou, Y.C.; Hu, F.R. Full-thickness central corneal grafts in lamellar keratoscleroplasty to treat limbal dermoids. Ophthalmology 2005, 112, 1955. [Google Scholar] [CrossRef] [PubMed]
- Wan, Q.; Tang, J.; Han, Y.; Ye, H. Surgical Treatment of Corneal Dermoid by Using Intrastromal Lenticule Obtained from Small-Incision Lenticule Extraction. Int. Ophthalmol. 2019, 40, 43–49. [Google Scholar] [CrossRef]
- Cho, W.-H.; Sung, M.-T.; Lin, P.-W.; Yu, H.-J. Progressive Large Pediatric Corneal Limbal Dermoid Management with Tissue Glue-Assisted Monolayer Amniotic Membrane Transplantation. Medicine 2018, 97, e13084. [Google Scholar] [CrossRef] [PubMed]
- Hao, Y.; Zhu, B.; Wu, T.; Guo, X. Sutureless lamellar keratoplasty with lenticule from small incision lenticule extraction for treating limbal dermoid: A case report. Exp. Ther. Med. 2024, 27, 57. [Google Scholar] [CrossRef] [PubMed]
- Pirouzian, A.; Ly, H.; Holz, H.; Sudesh, R.S.; Chuck, R.S. Fibrin-glue assisted multilayered amniotic membrane transplantation in surgical management of pediatric corneal limbal dermoid: A novel approach. Graefes Arch. Clin. Exp. Ophthalmol. 2011, 249, 261–265. [Google Scholar] [CrossRef] [PubMed][Green Version]
- Cui, Y.; Yin, S.; Yin, X.; Liu, Y.; Zhao, B. Removal of a congenital corneal dermoid through tumor excision and lamellar keratoplasty in a young child: A case report. Medicine 2021, 100, e27981. [Google Scholar] [CrossRef] [PubMed]
- Robb, R.M. Astigmatic refractive errors associated with limbal dermoids. J. Pediatr. Ophthalmol. Strabismus 1996, 33, 241–243. [Google Scholar] [CrossRef] [PubMed]
- Panda, A.; Ghose, S.; Khokhar, S.; Das, H. Surgical outcomes of epibulbar dermoids. J. Pediatr. Ophthalmol. Strabismus 2002, 39, 20–25. [Google Scholar] [CrossRef]
- Panton, R.W.; Sugar, J. Excision of limbal dermoids. Ophthalmic Surg. 1991, 22, 85. [Google Scholar] [CrossRef] [PubMed]
- Mader, T.H.; Stulting, D. Technique for the removal of limbal dermoids. Cornea 1998, 17, 66–67. [Google Scholar] [CrossRef] [PubMed]
- Gomes, J.A.; Romano, A.; Santos, M.S.; Dua, H.S. Amniotic membrane use in ophthalmology. Curr. Opin. Ophthalmol. 2005, 16, 233–240. [Google Scholar] [CrossRef] [PubMed]
- Tseng, S.C.; Espana, E.M.; Kawakita, T.; Di Pascuale, M.A.; Li, W.; He, H.; Liu, T.S.; Cho, T.H.; Gao, Y.Y.; Yeh, L.K.; et al. How does amniotic membrane work? Ocul. Surface J. 2004, 2, 177–187. [Google Scholar] [CrossRef]
- Yildiz, E.H.; Nurozler, A.B.; Ozkan Aksoy, N.; Altiparmak, U.E.; Onat, M.; Karaguzel, H. Amniotic membrane transplantation: Indications and results. Eur. J. Ophthalmol. 2008, 18, 685–690. [Google Scholar] [CrossRef] [PubMed]
- Messina, M.; Poddi, M.; De Santi, N.; Bianchi, E.; Cagini, C. Combined superficial keratectomy, alcohol delamination and amniotic membrane patch with fibrin glue in Salzmann nodular degeneration. Eur. J. Ophthalmol. 2024, 34, 1281–1285. [Google Scholar] [CrossRef] [PubMed]
- Raiskup, F.; Solomon, A.; Landau, D.; Ilsar, M.; Frucht-Pery, J. Mitomycin C for pterygium: Long term evaluation. Br. J. Ophthalmol. 2004, 88, 1425–1428. [Google Scholar] [CrossRef] [PubMed][Green Version]
- Grossniklaus, H.E.; Aaberg, T.M. Mitomycin C Treatment of Conjunctival Intraepithelial Neoplasia. Am. J. Ophthalmol. 1997, 124, 381–383. [Google Scholar] [CrossRef] [PubMed]
- Cheng, H.-C.; Tseng, S.-H.; Kao, P.-L.; Chen, F.K. Low-dose Intraoperative Mitomycin C as Chemoadjuvant for Pterygium Surgery. Cornea 2001, 20, 24–29. [Google Scholar] [CrossRef]
- Kate, A.; Basu, S. A Review of the Diagnosis and Treatment of Limbal Stem Cell Deficiency. Front. Med. 2022, 9, 836009. [Google Scholar] [CrossRef]



| BCVA (LogMar) | Cylindrical Power (D) | Axis of Cylinder | Spherical Equivalent (D) | Root Means Square (µm) | Strehl Ratio | LOA (µm) | HOA (µm) | |
|---|---|---|---|---|---|---|---|---|
| Preoperative | 0.1 | 2.10 | 55° | −1.50 | 1.88 | 0.1192 | 1.58 | 1.03 |
| Postoperative | 0 | 1.49 | 60° | −1.00 | 1.48 | 0.1353 | 1.37 | 0.55 |
Disclaimer/Publisher’s Note: The statements, opinions and data contained in all publications are solely those of the individual author(s) and contributor(s) and not of MDPI and/or the editor(s). MDPI and/or the editor(s) disclaim responsibility for any injury to people or property resulting from any ideas, methods, instructions or products referred to in the content. |
© 2025 by the authors. Licensee MDPI, Basel, Switzerland. This article is an open access article distributed under the terms and conditions of the Creative Commons Attribution (CC BY) license (https://creativecommons.org/licenses/by/4.0/).
Share and Cite
Poddi, M.; Romano, V.; Borgia, A.; Porcaro, F.; Cagini, C.; Messina, M. Combined Multilayered Amniotic Membrane Graft and Fibrin Glue as a Surgical Management of Limbal Dermoid Cyst. J. Clin. Med. 2025, 14, 607. https://doi.org/10.3390/jcm14020607
Poddi M, Romano V, Borgia A, Porcaro F, Cagini C, Messina M. Combined Multilayered Amniotic Membrane Graft and Fibrin Glue as a Surgical Management of Limbal Dermoid Cyst. Journal of Clinical Medicine. 2025; 14(2):607. https://doi.org/10.3390/jcm14020607
Chicago/Turabian StylePoddi, Maria, Vito Romano, Alfredo Borgia, Floriana Porcaro, Carlo Cagini, and Marco Messina. 2025. "Combined Multilayered Amniotic Membrane Graft and Fibrin Glue as a Surgical Management of Limbal Dermoid Cyst" Journal of Clinical Medicine 14, no. 2: 607. https://doi.org/10.3390/jcm14020607
APA StylePoddi, M., Romano, V., Borgia, A., Porcaro, F., Cagini, C., & Messina, M. (2025). Combined Multilayered Amniotic Membrane Graft and Fibrin Glue as a Surgical Management of Limbal Dermoid Cyst. Journal of Clinical Medicine, 14(2), 607. https://doi.org/10.3390/jcm14020607

