Multiple Myeloma Laboratory Diagnostics Made Simple: Practical Insights and Key Recommendations
Abstract
1. Introduction
2. Immunoglobulins in Multiple Myeloma
3. Laboratory Methodologies
3.1. Serum Protein Electrophoresis
3.2. Serum Immunofixation Electrophoresis and Immunosubtraction
3.3. Urine Immunofixation Electrophoresis and Urine Protein Electrophoresis
3.4. Serum Free Light Chains Measurements
3.5. Immunoglobulin Measurements
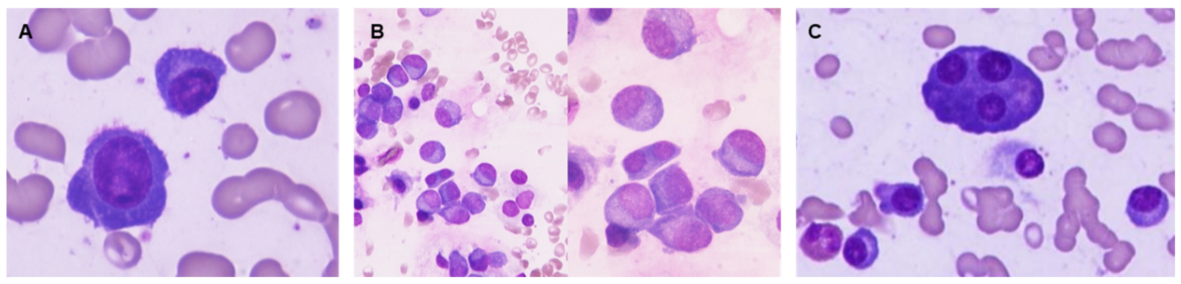
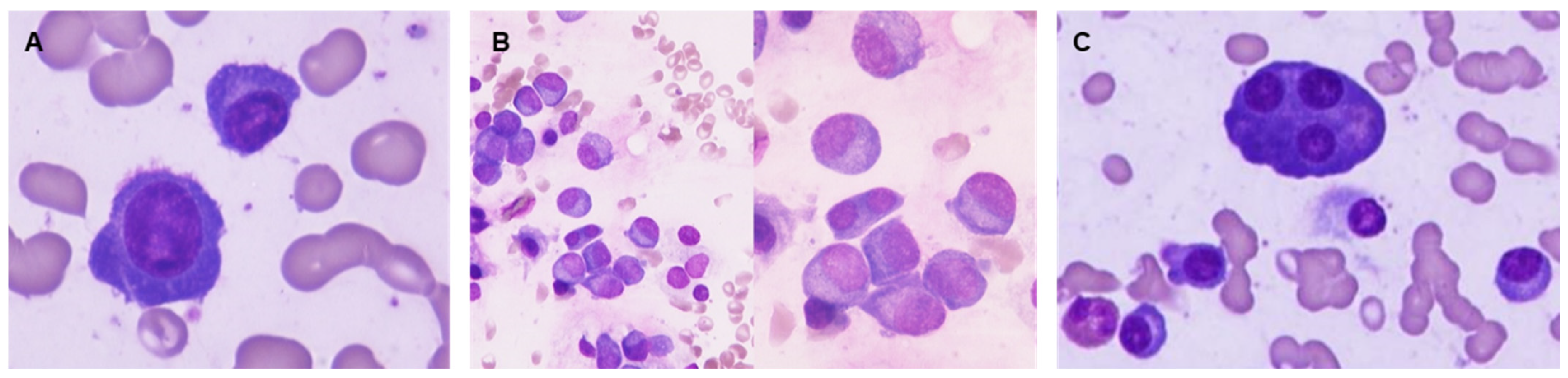
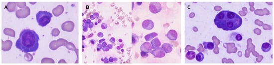
3.6. Morphological Examination
3.7. Flow Cytometry
3.8. Cytogenetics
- t(4;14)(p16;q32), deregulating the expression of FGFR3 and NSD2;
- t(14;16)(q32;q23), deregulating the expression of MAF;
- t(11;14)(q13;q32), deregulating the expression of CCND1;
- t(6;14)(p21;q32), deregulating the expression of CCND3;
- t(14;20)(q32;q11), deregulating the expression of MAFB.
3.9. Molecular Genetics
4. Discussion
5. Conclusions
Author Contributions
Funding
Institutional Review Board Statement
Informed Consent Statement
Data Availability Statement
Acknowledgments
Conflicts of Interest
Abbreviations
| MM | Multiple myeloma |
| PC | Plasma cells |
| BM | Bone marrow |
| MGUS | Monoclonal gammopathy of undetermined significance |
| SMM | Smoldering multiple myeloma |
| MP | Monoclonal protein |
| SPE | Serum protein electrophoresis |
| sIFE | Serum immunofixation electrophoresis |
| uIFE | Urine immunofixation electrophoresis |
| sFLC | Serum free light chains |
| FC | Flow cytometry |
| FISH | Fluorescence in situ hybridization |
| NGF | Next-generation flow |
| MRD | Measurable residual disease |
| NGS | Next-generation sequencing |
| Ig | Immunoglobulins |
| HC | Heavy chains |
| LC | Light chains |
| FLC | Free light chains |
| rFLC | Free light chain ratio |
| CE | Capillary electrophoresis |
| AGE | Agarose gel electrophoresis |
| PD | Perpendicular drop |
| TS | Tangential skimming |
| LOQ | Limit of quantification |
| IMWG | International Myeloma Working Group |
| LOD | Limit of detection |
| MoAbs | Monoclonal Antibodies |
| ISUB | Immunosubtraction |
| CR | Complete response |
| VGPR | Very good partial response |
| DIRA | Daratumumab-specific immunofixation electrophoresis reflex assay |
| uIFE | Urine immunofixation eletrophoresis |
| UPE | Urine protein electrophoresis |
| dFLC | Difference between involved and uninvolved FLC |
| HLC | Heavy/light chain |
| EMN | European Myeloma Network |
| EHA | European Hematology Association |
| EDTA | Ethylene diaminetetraacetic acid |
| PFS | Progression-free survival |
| OS | Overall survival |
| CTPC | Circulating tumor plasma cells |
| CA | Cytogenetic abnormalities |
| IgH | Immunoglobulin heavy chain |
| MACS | Magnetic-activated cell sorting |
| FACS | Fluorescence-activated cell sorting |
| R2-ISS | Second Revision of the International Staging System |
| IMS | International Myeloma Society |
| GEP | Gene expression profiling |
| SNP | Single-nucleotide polymorphism |
| DNA | Deoxyribonucleic acid |
Appendix A
| Methodology | Analytical Sensitivity 1 |
|---|---|
| SPE | 1.0 g/L |
| sIFE | 0.1 g/L |
| sFLC | 0.25–3 mg/L |
| UPE | 20 mg/L |
| uIFE | 3–5 mg/L |
References
- Kumar, S.K.; Rajkumar, V.; Kyle, R.A.; van Duin, M.; Sonneveld, P.; Mateos, M.-V.; Gay, F.; Anderson, K.C. Multiple Myeloma. Nat. Rev. Dis. Primers 2017, 3, 17046. [Google Scholar] [CrossRef]
- Rajkumar, S.V.; Dimopoulos, M.A.; Palumbo, A.; Blade, J.; Merlini, G.; Mateos, M.-V.; Kumar, S.; Hillengass, J.; Kastritis, E.; Richardson, P.; et al. International Myeloma Working Group Updated Criteria for the Diagnosis of Multiple Myeloma. Lancet Oncol. 2014, 15, e538–e548. [Google Scholar] [CrossRef]
- Graziani, G.; Herget, G.W.; Ihorst, G.; Zeissig, M.; Chaidos, A.; Auner, H.W.; Duyster, J.; Wäsch, R.; Engelhardt, M. Time from First Symptom Onset to the Final Diagnosis of Multiple Myeloma (MM)—Possible Risks and Future Solutions: Retrospective and Prospective “Deutsche Studiengruppe MM” (DSMM) and “European Myeloma Network” (EMN) Analysis. Leuk. Lymphoma 2020, 61, 875–886. [Google Scholar] [CrossRef] [PubMed]
- Koshiaris, C.; Oke, J.; Abel, L.; Nicholson, B.D.; Ramasamy, K.; Van den Bruel, A. Quantifying Intervals to Diagnosis in Myeloma: A Systematic Review and Meta-Analysis. BMJ Open 2018, 8, e019758. [Google Scholar] [CrossRef] [PubMed]
- Zorlu, T.; Kayer, M.A.; Okumus, N.; Ulaş, T.; Dal, M.S.; Altuntas, F. Challenges, Difficulties, and Delayed Diagnosis of Multiple Myeloma. Diagnostics 2025, 15, 1708. [Google Scholar] [CrossRef] [PubMed]
- Caers, J.; Garderet, L.; Kortüm, K.M.; O’dwyer, M.E.; van de Donk, N.W.C.J.; Binder, M.; Dold, S.M.; Gay, F.; Corre, J.; Beguin, Y.; et al. European Myeloma Network Recommendations on Tools for the Diagnosis and Monitoring of Multiple Myeloma: What to Use and When. Haematologica 2018, 103, 1772–1784. [Google Scholar] [CrossRef]
- Rawstron, A.C.; Orfao, A.; Beksac, M.; Bezdickova, L.; Brooimans, R.A.; Bumbea, H.; Dalva, K.; Fuhler, G.; Gratama, J.; Hose, D.; et al. Report of the European Myeloma Network on Multiparametric Flow Cytometry in Multiple Myeloma and Related Disorders. Haematologica 2008, 93, 431–438. [Google Scholar] [CrossRef]
- Ross, F.M.; Avet-Loiseau, H.; Ameye, G.; Gutierrez, N.C.; Liebisch, P.; O’Connor, S.; Dalva, K.; Fabris, S.; Testi, A.M.; Jarosova, M.; et al. Report from the European Myeloma Network on Interphase FISH in Multiple Myeloma and Related Disorders. Haematologica 2012, 97, 1272–1277. [Google Scholar] [CrossRef]
- Sonneveld, P.; Avet-Loiseau, H.; Lonial, S.; Usmani, S.; Siegel, D.; Anderson, K.C.; Chng, W.-J.; Moreau, P.; Attal, M.; Kyle, R.A.; et al. Treatment of Multiple Myeloma with High-Risk Cytogenetics: A Consensus of the International Myeloma Working Group. Blood 2016, 127, 2955–2962. [Google Scholar] [CrossRef]
- Sonneveld, P.; Dimopoulos, M.A.; Boccadoro, M.; Quach, H.; Ho, P.J.; Beksac, M.; Hulin, C.; Antonioli, E.; Leleu, X.; Mangiacavalli, S.; et al. Daratumumab, Bortezomib, Lenalidomide, and Dexamethasone for Multiple Myeloma. N. Engl. J. Med. 2024, 390, 301–313. [Google Scholar] [CrossRef]
- Shah, V.; Sherborne, A.L.; Walker, B.A.; Johnson, D.C.; Boyle, E.M.; Ellis, S.; Begum, D.B.; Proszek, P.Z.; Jones, J.R.; Pawlyn, C.; et al. Prediction of Outcome in Newly Diagnosed Myeloma: A Meta-Analysis of the Molecular Profiles of 1905 Trial Patients. Leukemia 2018, 32, 102–110. [Google Scholar] [CrossRef]
- McPherson, R.A.; Massey, H.D. Laboratory Evaluation of Immunoglobulin Function and Humoral Immunity. In Henry’s Clinical Diagnosis and Management by Laboratory Methods; Elsevier: Amsterdam, The Netherlands, 2011; pp. 899–913. [Google Scholar]
- Nakano, T.; Matsui, M.; Inoue, I.; Awata, T.; Katayama, S.; Murakoshi, T. Free Immunoglobulin Light Chain: Its Biology and Implications in Diseases. Clin. Chim. Acta 2011, 412, 843–849. [Google Scholar] [CrossRef] [PubMed]
- Katzmann, J.A.; Clark, R.J.; Abraham, R.S.; Bryant, S.; Lymp, J.F.; Bradwell, A.R.; Kyle, R.A. Serum Reference Intervals and Diagnostic Ranges for Free κ and Free λ Immunoglobulin Light Chains: Relative Sensitivity for Detection of Monoclonal Light Chains. Clin. Chem. 2002, 48, 1437–1444. [Google Scholar] [CrossRef] [PubMed]
- Hutchison, C.A.; Basnayake, K.; Cockwell, P. Serum Free Light Chain Assessment in Monoclonal Gammopathy and Kidney Disease. Nat. Rev. Nephrol. 2009, 5, 621–628. [Google Scholar] [CrossRef] [PubMed]
- McCudden, C.R.; Mathews, S.P.; Hainsworth, S.A.; Chapman, J.F.; Hammett-Stabler, C.A.; Willis, M.S.; Grenache, D.G. Performance Comparison of Capillary and Agarose Gel Electrophoresis for the Identification and Characterization of Monoclonal Immunoglobulins. Am. J. Clin. Pathol. 2008, 129, 451–458. [Google Scholar] [CrossRef]
- Bossuyt, X. Separation of Serum Proteins by Automated Capillary Zone Electrophoresis. Clin. Chem. Lab. Med. 2003, 41, 762–772. [Google Scholar] [CrossRef]
- Lissoir, B.; Wallemacq, P.; Maisin, D. Serum Protein Electrophoresis: Comparison of Capillary Zone Electrophoresis Capillarys (Sebia) and Agarose Gel Electrophoresis Hydrasys (Sebia). Ann. Biol. Clin. 2003, 61, 557–562. [Google Scholar]
- Willrich, M.A.V.; Katzmann, J.A. Laboratory Testing Requirements for Diagnosis and Follow-up of Multiple Myeloma and Related Plasma Cell Dyscrasias. Clin. Chem. Lab. Med. (CCLM) 2016, 54, 907–919. [Google Scholar] [CrossRef]
- Keren, D.F.; Schroeder, L. Challenges of Measuring Monoclonal Proteins in Serum. Clin. Chem. Lab. Med. (CCLM) 2016, 54, 947–961. [Google Scholar] [CrossRef]
- Turner, K.A.; Frinack, J.L.; Ettore, M.W.; Tate, J.R.; Graziani, M.S.; Jacobs, J.F.M.; Booth, R.A.; McCudden, C.R.; Keren, D.F.; Delgado, J.C.; et al. An International Multi-Center Serum Protein Electrophoresis Accuracy and M-Protein Isotyping Study. Part I: Factors Impacting Limit of Quantitation of Serum Protein Electrophoresis. Clin. Chem. Lab. Med. (CCLM) 2020, 58, 533–546. [Google Scholar] [CrossRef]
- Katzmann, J.A.; Snyder, M.R.; Rajkumar, S.V.; Kyle, R.A.; Therneau, T.M.; Benson, J.T.; Dispenzieri, A. Long-Term Biological Variation of Serum Protein Electrophoresis M-Spike, Urine M-Spike, and Monoclonal Serum Free Light Chain Quantification: Implications for Monitoring Monoclonal Gammopathies. Clin. Chem. 2011, 57, 1687–1692. [Google Scholar] [CrossRef]
- Jacobs, J.F.M.; Turner, K.A.; Graziani, M.S.; Frinack, J.L.; Ettore, M.W.; Tate, J.R.; Booth, R.A.; McCudden, C.R.; Keren, D.F.; Delgado, J.C.; et al. An International Multi-Center Serum Protein Electrophoresis Accuracy and M-Protein Isotyping Study. Part II: Limit of Detection and Follow-up of Patients with Small M-Proteins. Clin. Chem. Lab. Med. (CCLM) 2020, 58, 547–559. [Google Scholar] [CrossRef]
- Bossuyt, X. Interferences in Clinical Capillary Zone Electrophoresis of Serum Proteins. Electrophoresis 2004, 25, 1485–1487. [Google Scholar] [CrossRef]
- McCudden, C.R.; Jacobs, J.F.M.; Keren, D.; Caillon, H.; Dejoie, T.; Andersen, K. Recognition and Management of Common, Rare, and Novel Serum Protein Electrophoresis and Immunofixation Interferences. Clin. Biochem. 2018, 51, 72–79. [Google Scholar] [CrossRef] [PubMed]
- Kumar, S.; Paiva, B.; Anderson, K.C.; Durie, B.; Landgren, O.; Moreau, P.; Munshi, N.; Lonial, S.; Bladé, J.; Mateos, M.-V.; et al. International Myeloma Working Group Consensus Criteria for Response and Minimal Residual Disease Assessment in Multiple Myeloma. Lancet Oncol. 2016, 17, e328–e346. [Google Scholar] [CrossRef] [PubMed]
- Genzen, J.R.; Murray, D.L.; Abel, G.; Meng, Q.H.; Baltaro, R.J.; Rhoads, D.D.; Delgado, J.C.; Souers, R.J.; Bashleben, C.; Keren, D.F.; et al. Screening and Diagnosis of Monoclonal Gammopathies: An International Survey of Laboratory Practice. Arch. Pathol. Lab. Med. 2018, 142, 507–515. [Google Scholar] [CrossRef] [PubMed]
- Thoren, K.L.; McCash, S.I.; Murata, K. Immunotyping Provides Equivalent Results to Immunofixation in a Population with a High Prevalence of Monoclonal Gammopathies. J. Appl. Lab. Med. 2021, 6, 1551–1560. [Google Scholar] [CrossRef]
- Tovar, N.; de Larrea, C.F.; Arostegui, J.I.; Cibeira, M.T.; Rosinol, L.; Rovira, M.; Elena, M.; Filella, X.; Yague, J.; Blade, J. Natural History and Prognostic Impact of Oligoclonal Humoral Response in Patients with Multiple Myeloma after Autologous Stem Cell Transplantation: Long-Term Results from a Single Institution. Haematologica 2013, 98, 1142–1146. [Google Scholar] [CrossRef]
- Hall, S.L.; Tate, J.; Gill, D.; Mollee, P. Significance of Abnormal Protein Bands in Patients with Multiple Myeloma Following Autologous Stem Cell Transplantation. Clin. Biochem. Rev. 2009, 30, 113–118. [Google Scholar]
- Sheldon, J.; Wheeler, R.D.; Powles, R. Electrophoretic Patterns Post Daratumumab. Ann. Clin. Biochem. Int. J. Lab. Med. 2018, 55, 299–301. [Google Scholar] [CrossRef]
- Wheeler, R.D.; Costa, M.V.; Crichlow, A.; Willis, F.; Reyal, Y.; Linstead, S.E.; Morris, J.E. Case Report: Interference from Isatuximab on Serum Protein Electrophoresis Prevented Demonstration of Complete Remission in a Myeloma Patient. Ann. Clin. Biochem. Int. J. Lab. Med. 2022, 59, 144–148. [Google Scholar] [CrossRef]
- Durie, B.G.M.; Miguel, J.F.S.; Blade, J.; Rajkumar, S.V. Clarification of the Definition of Complete Response in Multiple Myeloma. Leukemia 2015, 29, 2416–2417. [Google Scholar] [CrossRef]
- Caillon, H.; Irimia, A.; Simon, J.S.; Axel, A.; Sasser, K.; Scullion, M.J.; Ligneel, T.; Nouadje, G.; Moreau, P.; Dejoie, T. Overcoming the Interference of Daratumumab with Immunofixation Electrophoresis (IFE) Using an Industry-Developed Dira Test: Hydrashift 2/4 Daratumumab. Blood 2016, 128, 2063. [Google Scholar] [CrossRef]
- Thoren, K.; Menad, S.; Nouadje, G.; Macé, S. Isatuximab-Specific Immunofixation Electrophoresis Assay to Remove Interference in Serum M-Protein Measurement in Patients with Multiple Myeloma. J. Appl. Lab. Med. 2024, 9, 661–671. [Google Scholar] [CrossRef]
- Nowrousian, M.R.; Brandhorst, D.; Sammet, C.; Kellert, M.; Daniels, R.; Schuett, P.; Poser, M.; Mueller, S.; Ebeling, P.; Welt, A.; et al. Serum Free Light Chain Analysis and Urine Immunofixation Electrophoresis in Patients with Multiple Myeloma. Clin. Cancer Res. 2005, 11, 8706–8714. [Google Scholar] [CrossRef]
- Tschautscher, M.; Rajkumar, V.; Dispenzieri, A.; Lacy, M.; Gertz, M.; Buadi, F.; Dingli, D.; Hwa, L.; Fonder, A.; Hobbs, M.; et al. Serum Free Light Chain Measurements to Reduce 24-h Urine Monitoring in Patients with Multiple Myeloma with Measurable Urine Monoclonal Protein. Am. J. Hematol. 2018, 93, 1207–1210. [Google Scholar] [CrossRef] [PubMed]
- Dejoie, T.; Corre, J.; Caillon, H.; Moreau, P.; Attal, M.; Loiseau, H.A. Responses in Multiple Myeloma Should Be Assigned According to Serum, Not Urine, Free Light Chain Measurements. Leukemia 2019, 33, 313–318. [Google Scholar] [CrossRef] [PubMed]
- Dejoie, T.; Attal, M.; Moreau, P.; Harousseau, J.-L.; Avet-Loiseau, H. Comparison of Serum Free Light Chain and Urine Electrophoresis for the Detection of the Light Chain Component of Monoclonal Immunoglobulins in Light Chain and Intact Immunoglobulin Multiple Myeloma. Haematologica 2016, 101, 356–362. [Google Scholar] [CrossRef] [PubMed]
- Katzmann, J.A.; Kyle, R.A.; Benson, J.; Larson, D.R.; Snyder, M.R.; Lust, J.A.; Rajkumar, S.V.; Dispenzieri, A. Screening Panels for Detection of Monoclonal Gammopathies. Clin. Chem. 2009, 55, 1517–1522. [Google Scholar] [CrossRef]
- Dimopoulos, M.A.; Merlini, G.; Bridoux, F.; Leung, N.; Mikhael, J.; Harrison, S.J.; Kastritis, E.; Garderet, L.; Gozzetti, A.; van de Donk, N.W.C.J.; et al. Management of Multiple Myeloma-Related Renal Impairment: Recommendations from the International Myeloma Working Group. Lancet Oncol. 2023, 24, e293–e311. [Google Scholar] [CrossRef]
- Kyrtsonis, M.; Vassilakopoulos, T.P.; Kafasi, N.; Sachanas, S.; Tzenou, T.; Papadogiannis, A.; Galanis, Z.; Kalpadakis, C.; Dimou, M.; Kyriakou, E.; et al. Prognostic Value of Serum Free Light Chain Ratio at Diagnosis in Multiple Myeloma. Br. J. Haematol. 2007, 137, 240–243. [Google Scholar] [CrossRef]
- Zamarin, D.; Giralt, S.; Landau, H.; Lendvai, N.; Lesokhin, A.; Chung, D.; Koehne, G.; Chimento, D.; Devlin, S.M.; Riedel, E.; et al. Patterns of Relapse and Progression in Multiple Myeloma Patients after Auto-SCT: Implications for Patients’ Monitoring after Transplantation. Bone Marrow Transplant. 2013, 48, 419–424. [Google Scholar] [CrossRef] [PubMed]
- Rajkumar, S.V.; Kyle, R.A.; Therneau, T.M.; Melton, L.J.; Bradwell, A.R.; Clark, R.J.; Larson, D.R.; Plevak, M.F.; Dispenzieri, A.; Katzmann, J.A. Serum Free Light Chain Ratio Is an Independent Risk Factor for Progression in Monoclonal Gammopathy of Undetermined Significance. Blood 2005, 106, 812–817. [Google Scholar] [CrossRef] [PubMed]
- Bossuyt, X.; Delforge, M.; Reynders, M.; Dillaerts, D.; Sprangers, B.; Fostier, K.; Poesen, K.; Vercammen, M. Antigen Excess Detection by Automated Assays for Free Light Chains. Clin. Chem. Lab. Med. 2018, 59, e235–e238. [Google Scholar] [CrossRef] [PubMed]
- Bradwell, A.R.; Carr-Smith, H.D.; Mead, G.P.; Tang, L.X.; Showell, P.J.; Drayson, M.T.; Drew, R. Highly Sensitive, Automated Immunoassay for Immunoglobulin Free Light Chains in Serum and Urine. Clin. Chem. 2001, 47, 673–680. [Google Scholar] [CrossRef]
- Hansen, C.T.; Pedersen, P.T.; Nielsen, L.C.; Abildgaard, N. Evaluation of the Serum Free Light Chain (SFLC) Analysis in Prediction of Response in Symptomatic Multiple Myeloma Patients: Rapid Profound Reduction in Involved FLC Predicts Achievement of VGPR. Eur. J. Haematol. 2014, 93, 407–413. [Google Scholar] [CrossRef]
- Hutchison, C.A.; Plant, T.; Drayson, M.; Cockwell, P.; Kountouri, M.; Basnayake, K.; Harding, S.; Bradwell, A.R.; Mead, G. Serum Free Light Chain Measurement Aids the Diagnosis of Myeloma in Patients with Severe Renal Failure. BMC Nephrol. 2008, 9, 11. [Google Scholar] [CrossRef]
- Long, T.E.; Indridason, O.S.; Palsson, R.; Rognvaldsson, S.; Love, T.J.; Thorsteinsdottir, S.; Sverrisdottir, I.S.; Vidarsson, B.; Onundarson, P.T.; Agnarsson, B.A.; et al. Defining New Reference Intervals for Serum Free Light Chains in Individuals with Chronic Kidney Disease: Results of the IStopMM Study. Blood Cancer J. 2022, 12, 133. [Google Scholar] [CrossRef]
- Kyle, R.A.; Larson, D.R.; Therneau, T.M.; Dispenzieri, A.; Kumar, S.; Cerhan, J.R.; Rajkumar, S.V. Long-Term Follow-up of Monoclonal Gammopathy of Undetermined Significance. N. Engl. J. Med. 2018, 378, 241–249. [Google Scholar] [CrossRef]
- Mateos, M.-V.; Kumar, S.; Dimopoulos, M.A.; González-Calle, V.; Kastritis, E.; Hajek, R.; De Larrea, C.F.; Morgan, G.J.; Merlini, G.; Goldschmidt, H.; et al. International Myeloma Working Group Risk Stratification Model for Smoldering Multiple Myeloma (SMM). Blood Cancer J. 2020, 10, 102. [Google Scholar] [CrossRef]
- Palladini, G.; Dispenzieri, A.; Gertz, M.A.; Kumar, S.; Wechalekar, A.; Hawkins, P.N.; Schönland, S.; Hegenbart, U.; Comenzo, R.; Kastritis, E.; et al. New Criteria for Response to Treatment in Immunoglobulin Light Chain Amyloidosis Based on Free Light Chain Measurement and Cardiac Biomarkers: Impact on Survival Outcomes. J. Clin. Oncol. 2012, 30, 4541–4549. [Google Scholar] [CrossRef]
- Kumar, S.; Dispenzieri, A.; Lacy, M.Q.; Hayman, S.R.; Buadi, F.K.; Colby, C.; Laumann, K.; Zeldenrust, S.R.; Leung, N.; Dingli, D.; et al. Revised Prognostic Staging System for Light Chain Amyloidosis Incorporating Cardiac Biomarkers and Serum Free Light Chain Measurements. J. Clin. Oncol. 2012, 30, 989–995. [Google Scholar] [CrossRef] [PubMed]
- Sabatino, R.; Perrone, A.; Cuomo, M.; Liotti, S.; Barchiesi, V.; Cantile, M.; Cavalcanti, E. Analytical Criticalities Associated to Different Immunological Methods for Serum Free Light Chain Detection in Plasma Cell Dyscrasias: A Description of Particular Clinical Cases. Int. J. Mol. Sci. 2017, 18, 804. [Google Scholar] [CrossRef] [PubMed]
- Cigliana, G.; Gulli, F.; Napodano, C.; Pocino, K.; De Santis, E.; Colacicco, L.; Cordone, I.; Conti, L.; Basile, U. Serum Free Light Chain Quantitative Assays: Dilemma of a Biomarker. J. Clin. Lab. Anal. 2018, 32, e22243. [Google Scholar] [CrossRef] [PubMed]
- Yun, S.Y.; Rim, J.H.; Park, H.; Kang, H.; Lee, S.-G.; Lim, J.-B. Clinical Implication by Differential Analytical Performances of Serum Free Light Chain Quantitation Analysis Using Fully Automated Analyzers. Clin. Chem. Lab. Med. (CCLM) 2023, 61, 1288–1299. [Google Scholar] [CrossRef]
- Dispenzieri, A.; Kyle, R.; Merlini, G.; Miguel, J.S.; Ludwig, H.; Hajek, R.; Palumbo, A.; Jagannath, S.; Blade, J.; Lonial, S.; et al. International Myeloma Working Group Guidelines for Serum-Free Light Chain Analysis in Multiple Myeloma and Related Disorders. Leukemia 2009, 23, 215–224. [Google Scholar] [CrossRef]
- Jacobs, J.F.M.; Haagen, I.-A.; Lodder, A.; van der Kroft, C.; de Kat Angelino, C.M.; Croockewit, S.; Nieuwenhuys, E.; Gelderman, K.A. Analytical Validation of the Hevylite Assays for M-Protein Quantification. Clin. Chem. Lab. Med. (CCLM) 2018, 56, 1169–1175. [Google Scholar] [CrossRef]
- Bradwell, A.R.; Harding, S.J.; Fourrier, N.J.; Wallis, G.L.F.; Drayson, M.T.; Carr-Smith, H.D.; Mead, G.P. Assessment of Monoclonal Gammopathies by Nephelometric Measurement of Individual Immunoglobulin κ/λ Ratios. Clin. Chem. 2009, 55, 1646–1655. [Google Scholar] [CrossRef]
- Katzmann, J.A.; Willrich, M.A.V.; Kohlhagen, M.C.; Kyle, R.A.; Murray, D.L.; Snyder, M.R.; Rajkumar, S.V.; Dispenzieri, A. Monitoring IgA Multiple Myeloma: Immunoglobulin Heavy/Light Chain Assays. Clin. Chem. 2015, 61, 360–367. [Google Scholar] [CrossRef]
- Harutyunyan, N.M.; Vardanyan, S.; Ghermezi, M.; Gottlieb, J.; Berenson, A.; Andreu-Vieyra, C.; Berenson, J.R. Levels of Uninvolved Immunoglobulins Predict Clinical Status and Progression--free Survival for Multiple Myeloma Patients. Br. J. Haematol. 2016, 174, 81–87. [Google Scholar] [CrossRef]
- Ludwig, H.; Milosavljevic, D.; Berlanga, O.; Zojer, N.; Hübl, W.; Fritz, V.; Harding, S. Suppression of the Noninvolved Pair of the Myeloma Isotype Correlates with Poor Survival in Newly Diagnosed and Relapsed/Refractory Patients with Myeloma. Am. J. Hematol. 2016, 91, 295–301. [Google Scholar] [CrossRef] [PubMed]
- Ríos-Tamayo, R.; Puig, N.; Algarín, M.; García de Veas Silva, J.L.; Barbosa, N.; Encinas, C.; Hernández, J.Á.; Alonso, R.; Campos, M.L.; Rodríguez, T.; et al. The Current Role of the Heavy/Light Chain Assay in the Diagnosis, Prognosis and Monitoring of Multiple Myeloma: An Evidence-Based Approach. Diagnostics 2021, 11, 2020. [Google Scholar] [CrossRef]
- Michallet, M.; Chapuis-Cellier, C.; Lombard, C.; Sobh, M.; Dejoie, T.; Caillon, H.; Attal, M.; Moreau, P.; Avet-Loiseau, H. Response Assignment Using Hevylite Correlates With Clinical Outcome in Multiple Myeloma. Clin. Lymphoma Myeloma Leuk. 2017, 17, e44–e45. [Google Scholar] [CrossRef]
- Palumbo, A.; Anderson, K. Multiple Myeloma. N. Engl. J. Med. 2011, 364, 1046–1060. [Google Scholar] [CrossRef] [PubMed]
- Fernández de Larrea, C.; Kyle, R.; Rosiñol, L.; Paiva, B.; Engelhardt, M.; Usmani, S.; Caers, J.; Gonsalves, W.; Schjesvold, F.; Merlini, G.; et al. Primary Plasma Cell Leukemia: Consensus Definition by the International Myeloma Working Group According to Peripheral Blood Plasma Cell Percentage. Blood Cancer J. 2021, 11, 192. [Google Scholar] [CrossRef]
- Bain, B.J.; Clark, D.M.; Wilkins, B.S. Bone Marrow Pathology; Wiley: Hoboken, NJ, USA, 2019; ISBN 9781119398127. [Google Scholar]
- Ribourtout, B.; Zandecki, M. Plasma Cell Morphology in Multiple Myeloma and Related Disorders. Morphologie 2015, 99, 38–62. [Google Scholar] [CrossRef]
- Landgren, O.; Rajkumar, S.V. New Developments in Diagnosis, Prognosis, and Assessment of Response in Multiple Myeloma. Clin. Cancer Res. 2016, 22, 5428–5433. [Google Scholar] [CrossRef]
- Lonial, S.; Kaufman, J.L. Non-Secretory Myeloma: A Clinician’s Guide. Oncology 2013, 27, 924–928,930. [Google Scholar]
- The International Myeloma Working Group. Criteria for the Classification of Monoclonal Gammopathies, Multiple Myeloma and Related Disorders: A Report of the International Myeloma Working Group. Br. J. Haematol. 2003, 121, 749–757. [Google Scholar] [CrossRef]
- Abdulrahman, A.A.; Patel, K.H.; Yang, T.; Koch, D.D.; Sivers, S.M.; Smith, G.H.; Jaye, D.L. Is a 500-Cell Count Necessary for Bone Marrow Differentials? Am. J. Clin. Pathol. 2018, 150, 84–91. [Google Scholar] [CrossRef]
- Ríos-Tamayo, R.; Sánchez, M.J.; Gómez-Rojas, S.; Rodríguez-Barranco, M.; Segura, G.P.; Redondo-Sánchez, D.; Carreño-Tarragona, G.; Nicolás, A.R.; Ruiz-Cabello, F.; Jiménez, P.; et al. Cell Count Differentials by Cytomorphology and Next-Generation Flow Cytometry in Bone Marrow Aspirate: An Evidence-Based Approach. Diagnostics 2023, 13, 1071. [Google Scholar] [CrossRef]
- Takakuwa, T.; Araki, T.; Nakamura, K.; Fukuyama, T.; Miura, A.; Fujitani, Y.; Hisanabe, A.; Kaieda, A.; Fukada, E.; Yamamura, R. Morphologic Classification Is an Important Prognostic Factor in Patients with Newly Diagnosed Multiple Myeloma Treated with Bortezomib or Lenalidomide. Ann. Clin. Lab. Sci. 2020, 50, 333–341. [Google Scholar] [PubMed]
- Lee, S.-H.; Erber, W.N.; Porwit, A.; Tomonaga, M.; Peterson, L.C. ICSH Guidelines for the Standardization of Bone Marrow Specimens and Reports. Int. J. Lab. Hematol. 2008, 30, 349–364. [Google Scholar] [CrossRef] [PubMed]
- Paiva, B.; Almeida, J.; Pérez--Andrés, M.; Mateo, G.; López, A.; Rasillo, A.; Vídriales, M.; López--Berges, M.; Miguel, J.F.S.; Orfao, A. Utility of Flow Cytometry Immunophenotyping in Multiple Myeloma and Other Clonal Plasma Cell-related Disorders. Cytom. B Clin. Cytom. 2010, 78B, 239–252. [Google Scholar] [CrossRef] [PubMed]
- Pérez-Persona, E.; Vidriales, M.-B.; Mateo, G.; García-Sanz, R.; Mateos, M.-V.; de Coca, A.G.; Galende, J.; Martín-Nuñez, G.; Alonso, J.M.; de las Heras, N.; et al. New Criteria to Identify Risk of Progression in Monoclonal Gammopathy of Uncertain Significance and Smoldering Multiple Myeloma Based on Multiparameter Flow Cytometry Analysis of Bone Marrow Plasma Cells. Blood 2007, 110, 2586–2592. [Google Scholar] [CrossRef]
- Mateo, G.; Montalbán, M.A.; Vidriales, M.-B.; Lahuerta, J.J.; Mateos, M.V.; Gutiérrez, N.; Rosiñol, L.; Montejano, L.; Bladé, J.; Martínez, R.; et al. Prognostic Value of Immunophenotyping in Multiple Myeloma: A Study by the PETHEMA/GEM Cooperative Study Groups on Patients Uniformly Treated With High-Dose Therapy. J. Clin. Oncol. 2008, 26, 2737–2744. [Google Scholar] [CrossRef]
- Dimopoulos, M.A.; Terpos, E.; Boccadoro, M.; Moreau, P.; Mateos, M.-V.; Zweegman, S.; Cook, G.; Engelhardt, M.; Delforge, M.; Hajek, R.; et al. EHA–EMN Evidence-Based Guidelines for Diagnosis, Treatment and Follow-up of Patients with Multiple Myeloma. Nat. Rev. Clin. Oncol. 2025, 22, 680–700. [Google Scholar] [CrossRef]
- van Dongen, J.J.M.; Lhermitte, L.; Böttcher, S.; Almeida, J.; van der Velden, V.H.J.; Flores-Montero, J.; Rawstron, A.; Asnafi, V.; Lécrevisse, Q.; Lucio, P.; et al. EuroFlow Antibody Panels for Standardized N-Dimensional Flow Cytometric Immunophenotyping of Normal, Reactive and Malignant Leukocytes. Leukemia 2012, 26, 1908–1975. [Google Scholar] [CrossRef]
- San Miguel, J.F.; García-Sanz, R.; González, M.; Moro, M.J.; Hernández, J.M.; Ortega, F.; Borrego, D.; Carnero, M.; Casanova, F.; Jiménez, R. A New Staging System for Multiple Myeloma Based on the Number of S-Phase Plasma Cells. Blood 1995, 85, 448–455. [Google Scholar] [CrossRef]
- Sędek, Ł.; Flores-Montero, J.; van der Sluijs, A.; Kulis, J.; te Marvelde, J.; Philippé, J.; Böttcher, S.; Bitter, M.; Caetano, J.; van der Velden, V.H.J.; et al. Impact of Pre-Analytical and Analytical Variables Associated with Sample Preparation on Flow Cytometric Stainings Obtained with EuroFlow Panels. Cancers 2022, 14, 473. [Google Scholar] [CrossRef]
- Nadav, L.; Katz, B.; Baron, S.; Yossipov, L.; Polliack, A.; Deutsch, V.; Geiger, B.; Naparstek, E. Diverse Niches within Multiple Myeloma Bone Marrow Aspirates Affect Plasma Cell Enumeration. Br. J. Haematol. 2006, 133, 530–532. [Google Scholar] [CrossRef] [PubMed]
- Munshi, N.C.; Avet-Loiseau, H.; Anderson, K.C.; Neri, P.; Paiva, B.; Samur, M.; Dimopoulos, M.; Kulakova, M.; Lam, A.; Hashim, M.; et al. A Large Meta-Analysis Establishes the Role of MRD Negativity in Long-Term Survival Outcomes in Patients with Multiple Myeloma. Blood Adv. 2020, 4, 5988–5999. [Google Scholar] [CrossRef] [PubMed]
- Landgren, O.; Prior, T.J.; Masterson, T.; Heuck, C.; Bueno, O.F.; Dash, A.B.; Einsele, H.; Goldschmidt, H.; Knop, S.; Li, C.; et al. EVIDENCE Meta-Analysis: Evaluating Minimal Residual Disease as an Intermediate Clinical End Point for Multiple Myeloma. Blood 2024, 144, 359–367. [Google Scholar] [CrossRef] [PubMed]
- Flores-Montero, J.; Sanoja-Flores, L.; Paiva, B.; Puig, N.; García-Sánchez, O.; Böttcher, S.; van der Velden, V.H.J.; Pérez-Morán, J.-J.; Vidriales, M.-B.; García-Sanz, R.; et al. Next Generation Flow for Highly Sensitive and Standardized Detection of Minimal Residual Disease in Multiple Myeloma. Leukemia 2017, 31, 2094–2103. [Google Scholar] [CrossRef]
- Arroz, M.; Came, N.; Lin, P.; Chen, W.; Yuan, C.; Lagoo, A.; Monreal, M.; de Tute, R.; Vergilio, J.; Rawstron, A.C.; et al. Consensus Guidelines on Plasma Cell Myeloma Minimal Residual Disease Analysis and Reporting. Cytom. B Clin. Cytom. 2016, 90, 31–39. [Google Scholar] [CrossRef]
- Puig, N.; Flores-Montero, J.; Burgos, L.; Cedena, M.-T.; Cordón, L.; Pérez, J.-J.; Sanoja-Flores, L.; Manrique, I.; Rodríguez-Otero, P.; Rosiñol, L.; et al. Reference Values to Assess Hemodilution and Warn of Potential False-Negative Minimal Residual Disease Results in Myeloma. Cancers 2021, 13, 4924. [Google Scholar] [CrossRef]
- Costa, E.S.; Pedreira, C.E.; Barrena, S.; Lecrevisse, Q.; Flores, J.; Quijano, S.; Almeida, J.; del Carmen García- Macias, M.; Bottcher, S.; Van Dongen, J.J.M.; et al. Automated Pattern-Guided Principal Component Analysis vs Expert-Based Immunophenotypic Classification of B-Cell Chronic Lymphoproliferative Disorders: A Step Forward in the Standardization of Clinical Immunophenotyping. Leukemia 2010, 24, 1927–1933. [Google Scholar] [CrossRef]
- Lhermitte, L.; Mejstrikova, E.; van der Sluijs-Gelling, A.J.; Grigore, G.E.; Sedek, L.; Bras, A.E.; Gaipa, G.; Sobral da Costa, E.; Novakova, M.; Sonneveld, E.; et al. Automated Database-Guided Expert-Supervised Orientation for Immunophenotypic Diagnosis and Classification of Acute Leukemia. Leukemia 2018, 32, 874–881. [Google Scholar] [CrossRef]
- Sanoja-Flores, L.; Flores-Montero, J.; Garcés, J.J.; Paiva, B.; Puig, N.; García-Mateo, A.; García-Sánchez, O.; Corral-Mateos, A.; Burgos, L.; Blanco, E.; et al. Next Generation Flow for Minimally-Invasive Blood Characterization of MGUS and Multiple Myeloma at Diagnosis Based on Circulating Tumor Plasma Cells (CTPC). Blood Cancer J. 2018, 8, 117. [Google Scholar] [CrossRef]
- Garcés, J.-J.; Cedena, M.-T.; Puig, N.; Burgos, L.; Perez, J.J.; Cordon, L.; Flores-Montero, J.; Sanoja-Flores, L.; Calasanz, M.-J.; Ortiol, A.; et al. Circulating Tumor Cells for the Staging of Patients With Newly Diagnosed Transplant-Eligible Multiple Myeloma. J. Clin. Oncol. 2022, 40, 3151–3161. [Google Scholar] [CrossRef]
- Li, J.; Wang, N.; Tesfaluul, N.; Gao, X.; Liu, S.; Yue, B. Prognostic Value of Circulating Plasma Cells in Patients with Multiple Myeloma: A Meta-Analysis. PLoS ONE 2017, 12, e0181447. [Google Scholar] [CrossRef]
- Gonsalves, W.I.; Rajkumar, S.V.; Gupta, V.; Morice, W.G.; Timm, M.M.; Singh, P.P.; Dispenzieri, A.; Buadi, F.K.; Lacy, M.Q.; Kapoor, P.; et al. Quantification of Clonal Circulating Plasma Cells in Newly Diagnosed Multiple Myeloma: Implications for Redefining High-Risk Myeloma. Leukemia 2014, 28, 2060–2065. [Google Scholar] [CrossRef] [PubMed]
- Kumar, S.K.; Rajkumar, S.V. The Multiple Myelomas—Current Concepts in Cytogenetic Classification and Therapy. Nat. Rev. Clin. Oncol. 2018, 15, 409–421. [Google Scholar] [CrossRef] [PubMed]
- Lu, X.; Andersen, E.F.; Banerjee, R.; Eno, C.C.; Gonzales, P.R.; Kumar, S.; Lager, A.M.; Miron, P.M.; Pugh, T.; Quintero-Rivera, F.; et al. Guidelines for the Testing and Reporting of Cytogenetic Results for Risk Stratification of Multiple Myeloma: A Report of the Cancer Genomics Consortium Plasma Cell Neoplasm Working Group. Blood Cancer J. 2025, 15, 86. [Google Scholar] [CrossRef] [PubMed]
- Fonseca, R.; Barlogie, B.; Bataille, R.; Bastard, C.; Bergsagel, P.L.; Chesi, M.; Davies, F.E.; Drach, J.; Greipp, P.R.; Kirsch, I.R.; et al. Genetics and Cytogenetics of Multiple Myeloma. Cancer Res. 2004, 64, 1546–1558. [Google Scholar] [CrossRef]
- Kumar, S.K.; Harrison, S.J.; Cavo, M.; de la Rubia, J.; Popat, R.; Gasparetto, C.; Hungria, V.; Salwender, H.; Suzuki, K.; Kim, I.; et al. Venetoclax or Placebo in Combination with Bortezomib and Dexamethasone in Patients with Relapsed or Refractory Multiple Myeloma (BELLINI): A Randomised, Double-Blind, Multicentre, Phase 3 Trial. Lancet Oncol. 2020, 21, 1630–1642. [Google Scholar] [CrossRef]
- Mellors, P.W.; Binder, M.; Ketterling, R.P.; Greipp, P.T.; Baughn, L.B.; Peterson, J.F.; Jevremovic, D.; Pearce, K.E.; Buadi, F.K.; Lacy, M.Q.; et al. Metaphase Cytogenetics and Plasma Cell Proliferation Index for Risk Stratification in Newly Diagnosed Multiple Myeloma. Blood Adv. 2020, 4, 2236–2244. [Google Scholar] [CrossRef]
- Frigyesi, I.; Adolfsson, J.; Ali, M.; Kronborg Christophersen, M.; Johnsson, E.; Turesson, I.; Gullberg, U.; Hansson, M.; Nilsson, B. Robust Isolation of Malignant Plasma Cells in Multiple Myeloma. Blood 2014, 123, 1336–1340. [Google Scholar] [CrossRef]
- Fonseca, R.; Bergsagel, P.L.; Drach, J.; Shaughnessy, J.; Gutierrez, N.; Stewart, A.K.; Morgan, G.; Van Ness, B.; Chesi, M.; Minvielle, S.; et al. International Myeloma Working Group Molecular Classification of Multiple Myeloma: Spotlight Review. Leukemia 2009, 23, 2210–2221. [Google Scholar] [CrossRef]
- D’Agostino, M.; Cairns, D.A.; Lahuerta, J.J.; Wester, R.; Bertsch, U.; Waage, A.; Zamagni, E.; Mateos, M.-V.; Dall’Olio, D.; van de Donk, N.W.C.J.; et al. Second Revision of the International Staging System (R2-ISS) for Overall Survival in Multiple Myeloma: A European Myeloma Network (EMN) Report Within the HARMONY Project. J. Clin. Oncol. 2022, 40, 3406–3418. [Google Scholar] [CrossRef]
- Dispenzieri, A.; Rajkumar, S.V.; Gertz, M.A.; Lacy, M.Q.; Kyle, R.A.; Greipp, P.R.; Witzig, T.E.; Lust, J.A.; Russell, S.J.; Hayman, S.R.; et al. Treatment of Newly Diagnosed Multiple Myeloma Based on Mayo Stratification of Myeloma and Risk-Adapted Therapy (MSMART): Consensus Statement. Mayo Clin. Proc. 2007, 82, 323–341. [Google Scholar] [CrossRef]
- Munshi, N.C.; Anderson, K.C.; Bergsagel, P.L.; Shaughnessy, J.; Palumbo, A.; Durie, B.; Fonseca, R.; Stewart, A.K.; Harousseau, J.-L.; Dimopoulos, M.; et al. Consensus Recommendations for Risk Stratification in Multiple Myeloma: Report of the International Myeloma Workshop Consensus Panel 2. Blood 2011, 117, 4696–4700. [Google Scholar] [CrossRef]
- Avet-Loiseau, H.; Davies, F.E.; Samur, M.K.; Corre, J.; D’Agostino, M.; Kaiser, M.F.; Raab, M.S.; Weinhold, N.; Gutierrez, N.C.; Paiva, B.; et al. International Myeloma Society/International Myeloma Working Group Consensus Recommendations on the Definition of High-Risk Multiple Myeloma. J. Clin. Oncol. 2025, 43, 2739–2751. [Google Scholar] [CrossRef]
- Rack, K.; Vidrequin, S.; Dargent, J.-L. Genomic Profiling of Myeloma: The Best Approach, a Comparison of Cytogenetics, FISH and Array-CGH of 112 Myeloma Cases. J. Clin. Pathol. 2016, 69, 82–86. [Google Scholar] [CrossRef]
- Martello, M.; Poletti, A.; Borsi, E.; Solli, V.; Dozza, L.; Barbato, S.; Zamagni, E.; Tacchetti, P.; Pantani, L.; Mancuso, K.; et al. Clonal and Subclonal TP53 Molecular Impairment Is Associated with Prognosis and Progression in Multiple Myeloma. Blood Cancer J. 2022, 12, 15. [Google Scholar] [CrossRef]
- Avet-Loiseau, H.; Li, C.; Magrangeas, F.; Gouraud, W.; Charbonnel, C.; Harousseau, J.-L.; Attal, M.; Marit, G.; Mathiot, C.; Facon, T.; et al. Prognostic Significance of Copy-Number Alterations in Multiple Myeloma. J. Clin. Oncol. 2009, 27, 4585–4590. [Google Scholar] [CrossRef]
- Anguiano, A.; Tuchman, S.A.; Acharya, C.; Salter, K.; Gasparetto, C.; Zhan, F.; Dhodapkar, M.; Nevins, J.; Barlogie, B.; Shaughnessy, J.D.; et al. Gene Expression Profiles of Tumor Biology Provide a Novel Approach to Prognosis and May Guide the Selection of Therapeutic Targets in Multiple Myeloma. J. Clin. Oncol. 2009, 27, 4197–4203. [Google Scholar] [CrossRef] [PubMed]
- Rosa-Rosa, J.M.; Cuenca, I.; Medina, A.; Vázquez, I.; Sánchez-delaCruz, A.; Buenache, N.; Sánchez, R.; Jiménez, C.; Rosiñol, L.; Gutiérrez, N.C.; et al. NGS-Based Molecular Karyotyping of Multiple Myeloma: Results from the GEM12 Clinical Trial. Cancers 2022, 14, 5169. [Google Scholar] [CrossRef] [PubMed]
- Perroud, C.; Thurian, D.; Andres, M.; Künzi, A.; Wiedemann, G.; Zeerleder, S.; Bacher, U.; Pabst, T.; Banz, Y.; Porret, N.; et al. Effect of MAPK Activation via Mutations in NRAS, KRAS and BRAF on Clinical Outcome in Newly Diagnosed Multiple Myeloma. Hematol. Oncol. 2023, 41, 912–921. [Google Scholar] [CrossRef]
- Dimopoulos, M.A.; Moreau, P.; Terpos, E.; Mateos, M.V.; Zweegman, S.; Cook, G.; Delforge, M.; Hájek, R.; Schjesvold, F.; Cavo, M.; et al. Multiple Myeloma: EHA-ESMO Clinical Practice Guidelines for Diagnosis, Treatment and Follow-Up†. Ann. Oncol. 2021, 32, 309–322. [Google Scholar] [CrossRef] [PubMed]
- Yao, Q.; Bai, Y.; Orfao, A.; Kumar, S.; Chim, C.S. Upgraded Standardized Minimal Residual Disease Detection by Next-Generation Sequencing in Multiple Myeloma. J. Mol. Diagn. 2020, 22, 679–684. [Google Scholar] [CrossRef]
- Landgren, O.; Rustad, E.H. Meeting Report: Advances in Minimal Residual Disease Testing in Multiple Myeloma 2018. Adv. Cell Gene Ther. 2019, 2, e26. [Google Scholar] [CrossRef][Green Version]
- Medina, A.; Puig, N.; Flores-Montero, J.; Jimenez, C.; Sarasquete, M.-E.; Garcia-Alvarez, M.; Prieto-Conde, I.; Chillon, C.; Alcoceba, M.; Gutierrez, N.C.; et al. Comparison of Next-Generation Sequencing (NGS) and next-Generation Flow (NGF) for Minimal Residual Disease (MRD) Assessment in Multiple Myeloma. Blood Cancer J. 2020, 10, 108. [Google Scholar] [CrossRef]
- ISO 15189:2022; Medical laboratories—Requirements for quality and competence. International Organization for Standardization: Geneva, Switzerland, 2022.
- Tate, J.; Caldwell, G.; Daly, J.; Gillis, D.; Jenkins, M.; Jovanovich, S.; Martin, H.; Steele, R.; Wienholt, L.; Mollee, P. Recommendations for Standardized Reporting of Protein Electrophoresis in Australia and New Zealand. Ann. Clin. Biochem. Int. J. Lab. Med. 2012, 49, 242–256. [Google Scholar] [CrossRef]








| Sample | Exams/Laboratory Parameters | Purpose/Findings |
|---|---|---|
| Peripheral blood (PB) | Complete Blood Count (CBC) | Commonly detects normocytic normochromic anemia; may also reveal leukopenia or thrombocytopenia due to bone marrow infiltration |
| Serum β2 microglobulin | Indicates tumor burden and renal function; incorporated into the International Staging System (ISS) | |
| Serum Calcium | Hypercalcemia is indicative of bone involvement | |
| Serum Albumin | Low albumin is associated with poor prognosis; incorporated into ISS | |
| Serum Creatinine | Evaluates renal function, which may be compromised in MM | |
| Serum Lactate Dehydrogenase (LDH) | High levels may indicate high tumor turnover; incorporated into the 1st Revision of the International Staging System (R-ISS) | |
| Serum Protein Electrophoresis (SPE) | Screens for the presence of a monoclonal protein (M-protein) appearing as a spike predominantly in gamma or beta region | |
| Serum Immunofixation Electrophoresis (sIFE)/Immunosubtraction (ISUB) | Identifies the type of monoclonal immunoglobulin (e.g., IgG kappa, IgA lambda) | |
| Serum Free Light Chain Assay (sFLC) | Quantifies free kappa and lambda light chains; important for diagnosing light chain MM and monitoring disease activity | |
| Urine | Urine Protein Electrophoresis (UPE) | Quantification of MP in a 24 h urine sample |
| Urine Immunofixation Electrophoresis (uIFE) | Identifies the type of monoclonal immunoglobulin in urine | |
| Bone marrow (BM) | Cytomorphology (aspirate) and Histology (biopsy) | Confirms diagnosis with ≥10% clonal plasma cells (PC) |
| Flow Cytometry | Characterizes the immunophenotype of PC | |
| Cytogenetics and fluorescence in situ hybridization (FISH) | Detects chromosomal abnormalities with prognostic significance; incorporated into R-ISS and 2nd Revision of the International Staging System (R2-ISS) | |
| Molecular | Provides deeper genomic profiling of clonal PC |
| Features | Comments |
|---|---|
| Abnormal PC | The most common morphology includes:
The cytoplasm may contain dense, crystalline inclusions, not exclusive to multiple myeloma, but potentially useful, such as:
|
| Plasmablasts | Cells with a mismatch between the nucleus and cytoplasm maturation (with a mature cytoplasm but dispersed chromatin and/or a prominent nucleolus). May be morphologically like myeloblasts. |
| Marker | Gene/Region Affected | Prognosis | Relevance |
|---|---|---|---|
| del(17p13) | TP53 | Very poor | Found in ~10% of newly diagnosed MM, more frequent in relapsed/refractory disease |
| t(4;14)(p16;q32) | FGFR3/NSD2 | Poor | Occurs in ~15% of MM cases; may respond better to proteasome inhibitors |
| t(14;16)(q32;q23)/ t(14;20)(q32;q11) | MAF/MAFB | Poor | Less common (~5% of MM cases); associated with high-risk disease, but prognostic significance debated due to low frequency |
| +1q21 | CKS1B and others | Poor | Occurs in ~30–40% of MM cases |
| del(1p) | Multiple genes | Poor | |
| del(13q14) | RB1 and others | Context-dependent | Common (~50%), especially present with t(4;14) (p16;q32); once considered an independent risk factor but now viewed as context-dependent, especially with other high-risk abnormalities |
| Hypodiploidy | Whole genome | Poor | Associated with aggressive disease |
| t(11;14)(q13;q32) | CCND1 | Favorable | Occurs in ~15–20% of MM cases; associated with an indolent disease course and good response to standard therapies (BCL-2 inhibitors) |
| Hyperdiploidy | +odd-numbered chromosomes | Favorable | Present in ~45–50% of MM cases; often associated with slower disease progression and better response to therapy |
| Normal cytogenetics | _ | _ | Absence of high-risk lesions (e.g., del(17p), t(4;14)(p16;q32), +1q21, etc.); indicates standard-risk or low-risk category |
Disclaimer/Publisher’s Note: The statements, opinions and data contained in all publications are solely those of the individual author(s) and contributor(s) and not of MDPI and/or the editor(s). MDPI and/or the editor(s) disclaim responsibility for any injury to people or property resulting from any ideas, methods, instructions or products referred to in the content. |
© 2025 by the authors. Licensee MDPI, Basel, Switzerland. This article is an open access article distributed under the terms and conditions of the Creative Commons Attribution (CC BY) license (https://creativecommons.org/licenses/by/4.0/).
Share and Cite
Pires, A.M.; Barreto, J.P.; Caetano, J.; Soares, M.J.; Geraldes, C.; Fernandes, B.; Coucelo, M.; Chacim, S.; Coelho, H.; Correia, C.; et al. Multiple Myeloma Laboratory Diagnostics Made Simple: Practical Insights and Key Recommendations. J. Clin. Med. 2025, 14, 7115. https://doi.org/10.3390/jcm14197115
Pires AM, Barreto JP, Caetano J, Soares MJ, Geraldes C, Fernandes B, Coucelo M, Chacim S, Coelho H, Correia C, et al. Multiple Myeloma Laboratory Diagnostics Made Simple: Practical Insights and Key Recommendations. Journal of Clinical Medicine. 2025; 14(19):7115. https://doi.org/10.3390/jcm14197115
Chicago/Turabian StylePires, Ana Marta, João Pedro Barreto, Joana Caetano, Maria José Soares, Catarina Geraldes, Bruno Fernandes, Margarida Coucelo, Sérgio Chacim, Henrique Coelho, Cecília Correia, and et al. 2025. "Multiple Myeloma Laboratory Diagnostics Made Simple: Practical Insights and Key Recommendations" Journal of Clinical Medicine 14, no. 19: 7115. https://doi.org/10.3390/jcm14197115
APA StylePires, A. M., Barreto, J. P., Caetano, J., Soares, M. J., Geraldes, C., Fernandes, B., Coucelo, M., Chacim, S., Coelho, H., Correia, C., Cruz, A. P., Cunha, M., Cunha, M. R., Cunha, N., Ferraz, P., Freitas, J. G., Henrique, R., Lisboa, S., Lúcio, P., ... on behalf of the Portuguese Multiple Myeloma Group. (2025). Multiple Myeloma Laboratory Diagnostics Made Simple: Practical Insights and Key Recommendations. Journal of Clinical Medicine, 14(19), 7115. https://doi.org/10.3390/jcm14197115

