The Influence of Highly Aspherical Lenslets on Choroidal Thickness and Axial Length
Abstract
1. Introduction
2. Materials and Methods
2.1. Study Design and Participants
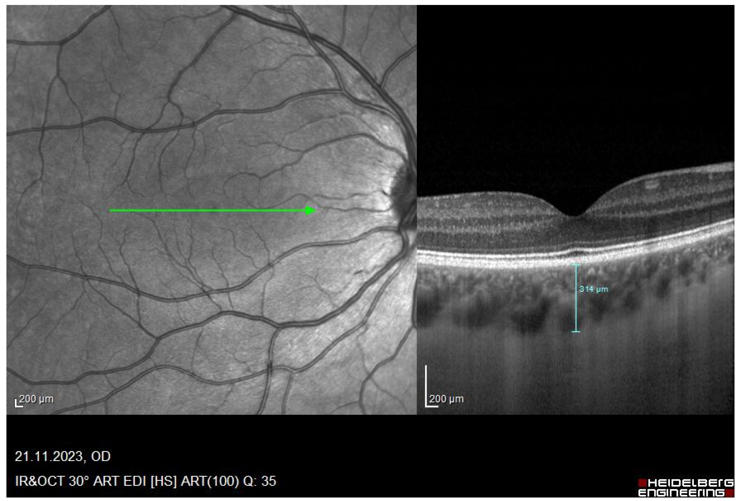
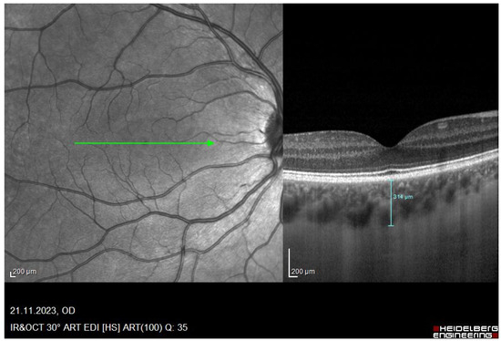
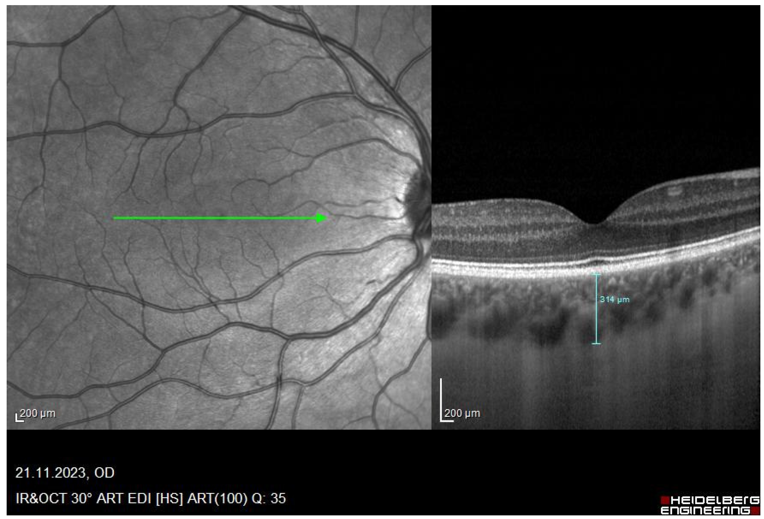
2.2. Measurement Procedure
2.3. Statistical Analysis
3. Results
3.1. Measurement Reliability and Concordance
3.2. Baseline Data
3.3. Effect of HAL and +3.00 D Lenses
4. Discussion
5. Conclusions
Author Contributions
Funding
Institutional Review Board Statement
Informed Consent Statement
Data Availability Statement
Conflicts of Interest
Abbreviations
| HAL | Highly Aspheric Lenslets |
| SFCHR | Sub-foveal Choroidal Thickness |
| AL | Axial Length |
| D | Diopter |
| OCT | Optical Coherence Tomography |
References
- Yam, J.C.; Zhang, X.J.; Zhang, Y.; Yip, B.H.K.; Tang, F.; Wong, E.S.; Bui, C.H.T.; Kam, K.W.; Ng, M.P.H.; Ko, S.T.; et al. Effect of Low-Concentration Atropine Eyedrops vs Placebo on Myopia Incidence in Children: The LAMP2 Randomized Clinical Trial. JAMA 2023, 329, 472–481. [Google Scholar] [CrossRef] [PubMed]
- Erdinest, N.; London, N.; Lavy, I.; Berkow, D.; Landau, D.; Morad, Y.; Levinger, N. Peripheral Defocus and Myopia Management: A Mini-Review. Korean J. Ophthalmol. 2023, 37, 70–81. [Google Scholar] [CrossRef] [PubMed]
- Li, X.; Huang, Y.; Liu, C.; Chang, X.; Cui, Z.; Yang, Q.; Drobe, B.; Bullimore, M.A.; Chen, H.; Bao, J. Myopia control efficacy of spectacle lenses with highly aspherical lenslets: Results of a 5-year follow-up study. Eye Vis. 2025, 12, 10. [Google Scholar] [CrossRef] [PubMed]
- Lam, C.S.Y.; Tang, W.C.; Tse, D.Y.-y.; Lee, R.P.K.; Chun, R.K.M.; Hasegawa, K.; Qi, H.; Hatanaka, T.; To, C.H. Defocus Incorporated Multiple Segments (DIMS) spectacle lenses slow myopia progression: A 2-year randomised clinical trial. Br. J. Ophthalmol. 2020, 104, 363–368. [Google Scholar] [CrossRef]
- Smith, E.L., 3rd; Campbell, M.C.; Irving, E. Does peripheral retinal input explain the promising myopia control effects of corneal reshaping therapy (CRT or ortho-K) & multifocal soft contact lenses? Ophthalmic Physiol. Opt. 2013, 33, 379–384. [Google Scholar] [CrossRef]
- Bao, J.; Yang, A.; Huang, Y.; Li, X.; Pan, Y.; Ding, C.; Lim, E.W.; Zheng, J.; Spiegel, D.P.; Drobe, B.; et al. One-year myopia control efficacy of spectacle lenses with aspherical lenslets. Br. J. Ophthalmol. 2021, 106, 1171–1176. [Google Scholar] [CrossRef]
- Bao, J.; Huang, Y.; Li, X.; Yang, A.; Zhou, F.; Wu, J.; Wang, C.; Li, Y.; Lim, E.W.; Spiegel, D.P.; et al. Spectacle Lenses with Aspherical Lenslets for Myopia Control vs Single-Vision Spectacle Lenses: A Randomized Clinical Trial. JAMA Ophthalmol. 2022, 140, 472–478. [Google Scholar] [CrossRef]
- Huang, Y.; Li, X.; Wu, J.; Huo, J.; Zhou, F.; Zhang, J.; Yang, A.; Spiegel, D.P.; Chen, H.; Bao, J. Effect of spectacle lenses with aspherical lenslets on choroidal thickness in myopic children: A 2-year randomised clinical trial. Br. J. Ophthalmol. 2023, 107, 1806–1811. [Google Scholar] [CrossRef]
- Swiatczak, B.; Schaeffel, F.; Calzetti, G. Imposed positive defocus changes choroidal blood flow in young human subjects. Graefe’s Arch. Clin. Exp. Ophthalmol. = Albrecht Von Graefes Arch. Fur Klin. Und Exp. Ophthalmol. 2023, 261, 115–125. [Google Scholar] [CrossRef]
- Nickla, D.L.; Wallman, J. The multifunctional choroid. Prog. Retin. Eye Res. 2010, 29, 144–168. [Google Scholar] [CrossRef]
- García García, M.; Pusti, D.; Wahl, S.; Ohlendorf, A. A global approach to describe retinal defocus patterns. PLoS ONE 2019, 14, e0213574. [Google Scholar] [CrossRef]
- Ostrin, L.A.; Sah, R.P.; Queener, H.M.; Patel, N.B.; Tran, R.; Shukla, D.; Mirhajianmoghadam, H. Short-Term Myopic Defocus and Choroidal Thickness in Children and Adults. Investig. Ophthalmol. Vis. Sci. 2024, 65, 22. [Google Scholar] [CrossRef] [PubMed]
- Sander, B.P.; Collins, M.J.; Read, S.A. The interaction between homatropine and optical blur on choroidal thickness. Ophthalmic Physiol. Opt. 2018, 38, 257–265. [Google Scholar] [CrossRef] [PubMed]
- Chiang, S.T.-H.; Chen, T.-L.; Phillips, J.R. Effect of Optical Defocus on Choroidal Thickness in Healthy Adults With Presbyopia. Investig. Ophthalmol. Vis. Sci. 2018, 59, 5188–5193. [Google Scholar] [CrossRef] [PubMed]
- Wang, D.; Chun, R.K.; Liu, M.; Lee, R.P.; Sun, Y.; Zhang, T.; Lam, C.; Liu, Q.; To, C.H. Optical Defocus Rapidly Changes Choroidal Thickness in Schoolchildren. PLoS ONE 2016, 11, e0161535. [Google Scholar] [CrossRef]
- Chiang, S.T.H.; Phillips, J.R.; Backhouse, S. Effect of retinal image defocus on the thickness of the human choroid. Ophthalmic Physiol. Opt. 2015, 35, 405–413. [Google Scholar] [CrossRef]
- Chakraborty, R.; Read, S.A.; Collins, M.J. Hyperopic Defocus and Diurnal Changes in Human Choroid and Axial Length. Optom. Vis. Sci. 2013, 90, 1187–1198. [Google Scholar] [CrossRef]
- Chakraborty, R.; Read, S.A.; Collins, M.J. Monocular myopic defocus and daily changes in axial length and choroidal thickness of human eyes. Exp. Eye Res. 2012, 103, 47–54. [Google Scholar] [CrossRef]
- Read, S.A.; Collins, M.J.; Sander, B.P. Human Optical Axial Length and Defocus. Investig. Ophthalmol. Vis. Sci. 2010, 51, 6262–6269. [Google Scholar] [CrossRef]
- Moderiano, D.; Do, M.; Hobbs, S.; Lam, V.; Sarin, S.; Alonso-Caneiro, D.; Chakraborty, R. Influence of the time of day on axial length and choroidal thickness changes to hyperopic and myopic defocus in human eyes. Exp. Eye Res. 2019, 182, 125–136. [Google Scholar] [CrossRef]
- Hoseini-Yazdi, H.; Vincent, S.J.; Read, S.A.; Collins, M.J. Astigmatic Defocus Leads to Short-Term Changes in Human Choroidal Thickness. Investig. Ophthalmol. Vis. Sci. 2020, 61, 48. [Google Scholar] [CrossRef] [PubMed]
- Li, X.; Huang, Y.; Yin, Z.; Liu, C.; Zhang, S.; Yang, A.; Drobe, B.; Chen, H.; Bao, J. Myopia Control Efficacy of Spectacle Lenses With Aspherical Lenslets: Results of a 3-Year Follow-Up Study. Am. J. Ophthalmol. 2023, 253, 160–168. [Google Scholar] [CrossRef] [PubMed]
- Chun, R.K.M.; Zhang, H.; Liu, Z.; Tse, D.Y.Y.; Zhou, Y.; Lam, C.S.Y.; To, C.H. Defocus incorporated multiple segments (DIMS) spectacle lenses increase the choroidal thickness: A two-year randomized clinical trial. Eye Vis. 2023, 10, 39. [Google Scholar] [CrossRef] [PubMed]
- Su, B.; Cho, P.; Vincent, S.J.; Zheng, J.; Chen, J.; Ye, C.; Wang, T.; Zhang, J.; Zhang, K.; Lu, F.; et al. Novel Lenslet-ARray-Integrated Spectacle Lenses for Myopia Control: A 1-Year Randomized, Double-Masked, Controlled Trial. Ophthalmology 2024, 131, 1389–1397. [Google Scholar] [CrossRef]
- Papadogiannis, P.; Börjeson, C.; Lundström, L. Comparison of optical myopia control interventions: Effect on peripheral image quality and vision. Biomed. Opt. Express 2023, 14, 3125–3137. [Google Scholar] [CrossRef]
- Gantes-Nuñez, J.; Jaskulski, M.; López-Gil, N.; Kollbaum, P.S. Optical characterisation of two novel myopia control spectacle lenses. Ophthalmic Physiol. Opt. 2023, 43, 388–401. [Google Scholar] [CrossRef]
- Hughes, R.P.; Vincent, S.J.; Read, S.A.; Collins, M.J. Higher order aberrations, refractive error development and myopia control: A review. Clin. Exp. Optom. 2020, 103, 68–85. [Google Scholar] [CrossRef]
- Romashchenko, D.; Rosén, R.; Lundström, L. Peripheral refraction and higher order aberrations. Clin. Exp. Optom. 2020, 103, 86–94. [Google Scholar] [CrossRef]
- Neitz, J.; Neitz, M. Diffusion Optics Technology (DOT): A Myopia Control Spectacle Lens Based on Contrast Theory. Transl. Vis. Sci. Technol. 2024, 13, 42. [Google Scholar] [CrossRef]
- Pauné, J.; Fonts, S.; Rodríguez, L.; Queirós, A. The Role of Back Optic Zone Diameter in Myopia Control with Orthokeratology Lenses. J. Clin. Med. 2021, 10, 336. [Google Scholar] [CrossRef]
- Chen, Z.; Niu, L.; Xue, F.; Qu, X.; Zhou, Z.; Zhou, X.; Chu, R. Impact of Pupil Diameter on Axial Growth in Orthokeratology. Optom. Vis. Sci. 2012, 89, 1636–1640. [Google Scholar] [CrossRef]
- Loertscher, M.; Backhouse, S.; Phillips, J.R. Multifocal Orthokeratology versus Conventional Orthokeratology for Myopia Control: A Paired-Eye Study. J. Clin. Med. 2021, 10, 447. [Google Scholar] [CrossRef]
- Delshad, S.; Collins, M.J.; Read, S.A.; Vincent, S.J. Effects of brief periods of clear vision on the defocus-mediated changes in axial length and choroidal thickness of human eyes. Ophthalmic Physiol. Opt. 2021, 41, 932–940. [Google Scholar] [CrossRef]
- Swiatczak, B.; Schaeffel, F. Emmetropic, But Not Myopic Human Eyes Distinguish Positive Defocus From Calculated Blur. Investig. Ophthalmol. Vis. Sci. 2021, 62, 14. [Google Scholar] [CrossRef]
- Bhardwaj, V.; Rajeshbhai, G.P. Axial length, anterior chamber depth-a study in different age groups and refractive errors. J. Clin. Diagn. Res. 2013, 7, 2211–2212. [Google Scholar] [CrossRef]
- Lee, S.S.-Y.; Alonso-Caneiro, D.; Lingham, G.; Chen, F.K.; Sanfilippo, P.G.; Yazar, S.; Mackey, D.A. Choroidal Thickening During Young Adulthood and Baseline Choroidal Thickness Predicts Refractive Error Change. Investig. Ophthalmol. Vis. Sci. 2022, 63, 34. [Google Scholar] [CrossRef]




| Full-Field +3.00 D | HAL | |||
|---|---|---|---|---|
| Defocused eye | SFCHR in µm | AL in µm | SFCH in µm | AL in µm |
| Defocus 60 min. | 7.020 ± 7.041 ** | −4.800 ± 22.93 | 5.400 ± 5.446 ** | 0.00 ± 25.00 |
| Defocus 90 min. | 7.367 ± 8.831 ** | −7.600 ± 26.81 | 6.616 ± 6.321 ** | 0.00 ± 28.28 |
| Control eye | ||||
| Defocus 60 min. | 2.080 ± 5.495 | −7.200 ± 24.41 | 3.300 ± 4.845 * | −2.00 ± 28.87 |
| Defocus 90 min. | 2.780 ± 8.006 | −7.200 ± 21.51 | 3.380 ± 5.334 | −5.200 ± 21.63 |
Disclaimer/Publisher’s Note: The statements, opinions and data contained in all publications are solely those of the individual author(s) and contributor(s) and not of MDPI and/or the editor(s). MDPI and/or the editor(s) disclaim responsibility for any injury to people or property resulting from any ideas, methods, instructions or products referred to in the content. |
© 2025 by the authors. Licensee MDPI, Basel, Switzerland. This article is an open access article distributed under the terms and conditions of the Creative Commons Attribution (CC BY) license (https://creativecommons.org/licenses/by/4.0/).
Share and Cite
Paulasto, L.; Carré, C.; Loertscher, M. The Influence of Highly Aspherical Lenslets on Choroidal Thickness and Axial Length. J. Clin. Med. 2025, 14, 7059. https://doi.org/10.3390/jcm14197059
Paulasto L, Carré C, Loertscher M. The Influence of Highly Aspherical Lenslets on Choroidal Thickness and Axial Length. Journal of Clinical Medicine. 2025; 14(19):7059. https://doi.org/10.3390/jcm14197059
Chicago/Turabian StylePaulasto, Larissa, Céline Carré, and Martin Loertscher. 2025. "The Influence of Highly Aspherical Lenslets on Choroidal Thickness and Axial Length" Journal of Clinical Medicine 14, no. 19: 7059. https://doi.org/10.3390/jcm14197059
APA StylePaulasto, L., Carré, C., & Loertscher, M. (2025). The Influence of Highly Aspherical Lenslets on Choroidal Thickness and Axial Length. Journal of Clinical Medicine, 14(19), 7059. https://doi.org/10.3390/jcm14197059

