Integration of ECG and Point-of-Care Ultrasound in the Diagnosis of Wellens’ Syndrome with Acute Heart Failure: A Case Report
Abstract
1. Introduction
2. Methodology
3. Case Presentation
3.1. Diagnostic Approach
3.2. Therapeutic Intervention
3.3. Clinical Follow-Up and Outcomes
4. Discussion
5. Conclusions
Author Contributions
Funding
Institutional Review Board Statement
Informed Consent Statement
Data Availability Statement
Acknowledgments
Conflicts of Interest
Abbreviations
| POCUS | point-of-care ultrasound |
| LAD | left anterior descending |
| STEMI | ST-elevation myocardial infarction |
| NYHA | New York Heart Association |
| ECG | electrocardiogram |
| LVH | left ventricular hypertrophy |
| DES | drug-eluting stent |
References
- López, D.E.S.; Martinez, F.R.; Muñoz, A.M.B.; Valbuena, A.C.V.; González, J.S.H.; Tabares, J.N.M.; Monreal, Y.E.; Velasco, K.T.G.; Sanchez, M.T.; Herrera, A.M.V.; et al. High-Risk Electrocardiographic Patterns in Acute Myocardial Infarction: Early Recognition, Clinical Implications, and Therapeutic Decision-Making. Int. J. Med. Sci. Clin. Res. Stud. 2025, 5, 951–955. [Google Scholar] [CrossRef]
- Yoo, S.; Chang, H.; kim, T.; yoon, H.; Hwang, S.Y.; Shin, T.G.; Sim, M.S.; Jo, I.J.; Choi, J.-H.; Cha, W.C. Intervention in the Timeliness of Two Electrocardiography Types for Patients in the Emergency Department With Chest Pain: Randomized Controlled Trial. Interact. J. Med. Res. 2022, 11, e36335. [Google Scholar] [CrossRef] [PubMed]
- Basit, H.; Malik, A.; Huecker, M.R. Non–ST-Segment Elevation Myocardial Infarction. In StatPearls; StatPearls Publishing: Treasure Island, FL, USA, 2025. [Google Scholar]
- Okobi, O.E.; Bakare, I.O.; Evbayekha, E.O.; Olawoye, A.; Umeh, C.C.; Sowemimo, A. Wellens Syndrome: A Possible Precursor. Cureus 2022, 14, e31963. [Google Scholar] [CrossRef] [PubMed]
- Rodríguez, E.A.; Salva, A.; Aladio, J.M.; Costa, D.; Swieszkowski, S.P. Progression From Patterns A to B in Wellens Syndrome. JACC Case Rep. 2023, 28, 102094. [Google Scholar] [CrossRef] [PubMed]
- Romero, J.; Jesani, S.; Romero, A.L.; Elkattawy, S.; Sookdeo, J.; Khandait, H. A Classic Pattern of Wellens Syndrome on ECG: A Case Report. J. Community Hosp. Intern. Med. Perspect. 2023, 13, 59–62. [Google Scholar] [CrossRef]
- Kobayashi, A.; Misumida, N.; Aoi, S.; Kanei, Y. Prevalence and Clinical Implication of Wellens’ Sign in Patients With Non-ST-Segment Elevation Myocardial Infarction. Cardiol. Res. 2019, 10, 135–141. [Google Scholar] [CrossRef]
- Miner, B.; Grigg, W.S.; Hart, E.H. Wellens Syndrome. In StatPearls; StatPearls Publishing: Treasure Island, FL, USA, 2025. [Google Scholar]
- Macias, M.; Peachey, J.; Mattu, A.; Brady, W.J. The Electrocardiogram in the ACS Patient: High-Risk Electrocardiographic Presentations Lacking Anatomically Oriented ST-Segment Elevation. Am. J. Emerg. Med. 2016, 34, 611–617. [Google Scholar] [CrossRef]
- Aldana Varela, O.; Chacón Juárez, G.V.; Hernández-Mercado, M.A.; López Reyes, F.F.; Morales-Bernal, N.E.; Aldana Varela, O.; Chacón Juárez, G.V.; Hernández-Mercado, M.A.; López Reyes, F.F.; Morales-Bernal, N.E. Wellens’ Syndrome: Report and Review of a Case. Cardiovasc. Metab. Sci. 2020, 31, 53–58. [Google Scholar] [CrossRef]
- Chioncel, V.; Avram, A.; Sinescu, C. A Particular Case of Wellens’ Syndrome. Med. Hypotheses 2020, 144, 110013. [Google Scholar] [CrossRef]
- Lassoued, M.B.; Kouki, S.; Kallel, M.; Jebri, R.; Mahfoudhi, H.; Lamine, K. Wellens´ Syndrome: About Two Cases. PAMJ Clin. Med. 2021, 5, 51. [Google Scholar] [CrossRef]
- Prousi, G.S.; Giordano, J.; McCann, P.J. A 75-Year-Old Woman with COVID-19 Pneumonia and Wellens Syndrome Diagnosed by Electrocardiography. Am. J. Case Rep. 2021, 22, e930125-1–e930125-4. [Google Scholar] [CrossRef] [PubMed]
- Migliore, F.; Zorzi, A.; Marra, M.P.; Basso, C.; Corbetti, F.; Lazzari, M.D.; Tarantini, G.; Buja, P.; Lacognata, C.; Thiene, G.; et al. Myocardial Edema Underlies Dynamic T-Wave Inversion (Wellens’ ECG Pattern) in Patients with Reversible Left Ventricular Dysfunction. Heart Rhythm 2011, 8, 1629–1634. [Google Scholar] [CrossRef] [PubMed]
- Zhou, L.; Gong, X.; Chen, H.; Dong, T.; Cui, H.; Li, H. Characteristics of Wellens’ Syndrome in the Current PCI Era: A Single-Center Retrospective Study. Emerg. Med. Int. 2023, 2023, 8865553. [Google Scholar] [CrossRef] [PubMed]
- CARE Case Report Guidelines. Available online: https://www.care-statement.org (accessed on 23 September 2025).
- Volpicelli, G.; Elbarbary, M.; Blaivas, M.; Lichtenstein, D.A.; Mathis, G.; Kirkpatrick, A.W.; Melniker, L.; Gargani, L.; Noble, V.E.; Via, G.; et al. International Evidence-Based Recommendations for Point-of-Care Lung Ultrasound. Intensive Care Med. 2012, 38, 577–591. [Google Scholar] [CrossRef]
- Lichtenstein, D.A.; Mezière, G.A. Relevance of Lung Ultrasound in the Diagnosis of Acute Respiratory Failure: The BLUE Protocol. Chest 2008, 134, 117–125. [Google Scholar] [CrossRef]
- McKaigney, C.J.; Krantz, M.J.; La Rocque, C.L.; Hurst, N.D.; Buchanan, M.S.; Kendall, J.L. E-Point Septal Separation: A Bedside Tool for Emergency Physician Assessment of Left Ventricular Ejection Fraction. Am. J. Emerg. Med. 2014, 32, 493–497. [Google Scholar] [CrossRef]
- Lancellotti, P.; Price, S.; Edvardsen, T.; Cosyns, B.; Neskovic, A.N.; Dulgheru, R.; Flachskampf, F.A.; Hassager, C.; Pasquet, A.; Gargani, L.; et al. The Use of Echocardiography in Acute Cardiovascular Care: Recommendations of the European Association of Cardiovascular Imaging and the Acute Cardiovascular Care Association. Eur. Heart J. Acute Cardiovasc. Care 2015, 4, 3–5. [Google Scholar] [CrossRef]
- Lang, R.M.; Badano, L.P.; Mor-Avi, V.; Afilalo, J.; Armstrong, A.; Ernande, L.; Flachskampf, F.A.; Foster, E.; Goldstein, S.A.; Kuznetsova, T.; et al. Recommendations for Cardiac Chamber Quantification by Echocardiography in Adults: An Update from the American Society of Echocardiography and the European Association of Cardiovascular Imaging. J. Am. Soc. Echocardiogr. Off. Publ. Am. Soc. Echocardiogr. 2015, 28, 1–39.e14. [Google Scholar] [CrossRef]
- Al-Otaiby, M.A.; Al-Amri, H.S.; Al-Moghairi, A.M. The Clinical Significance of Cardiac Troponins in Medical Practice. J. Saudi Heart Assoc. 2011, 23, 3–11. [Google Scholar] [CrossRef]
- Roongsritong, C.; Warraich, I.; Bradley, C. Common Causes of Troponin Elevations in the Absence of Acute Myocardial Infarction: Incidence and Clinical Significance. Chest 2004, 125, 1877–1884. [Google Scholar] [CrossRef]
- Chauin, A. The Main Causes and Mechanisms of Increase in Cardiac Troponin Concentrations Other Than Acute Myocardial Infarction (Part 1): Physical Exertion, Inflammatory Heart Disease, Pulmonary Embolism, Renal Failure, Sepsis. Vasc. Health Risk Manag. 2021, 17, 601–617. [Google Scholar] [CrossRef] [PubMed]
- Bertomeu Ruiz, A.; Zambón Rados, D. La placa aterogénica: Fisiopatología y consecuencias clínicas. Med. Integral 2002, 40, 394–405. [Google Scholar]
- Henning, R.J. Obesity and Obesity-Induced Inflammatory Disease Contribute to Atherosclerosis: A Review of the Pathophysiology and Treatment of Obesity. Am. J. Cardiovasc. Dis. 2021, 11, 504–529. [Google Scholar] [PubMed]
- Perales-Torres, A.L.; Castillo-Ruíz, O.; Castañeda Licón, M.T.; Alemán-Castillo, S.E.; Jiménez Andrade, J.M. La diabetes y la alimentación determinantes en la progresión de aterosclerosis. Arch. Cardiol. México 2016, 86, 326–334. [Google Scholar] [CrossRef]
- Poznyak, A.V.; Sadykhov, N.K.; Kartuesov, A.G.; Borisov, E.E.; Melnichenko, A.A.; Grechko, A.V.; Orekhov, A.N. Hypertension as a Risk Factor for Atherosclerosis: Cardiovascular Risk Assessment. Front. Cardiovasc. Med. 2022, 9, 959285. [Google Scholar] [CrossRef]
- Torelli, E.; Sardeo, F.; Nuzzo, E.; Cicchinelli, S.; Petrucci, M.; Pignataro, G.; Covino, M.; Franceschi, F.; Candelli, M. Wellens Syndrome without Chest Pain, Is It Possible? Eur. Rev. Med. Pharmacol. Sci. 2020, 24, 7718–7721. [Google Scholar] [CrossRef]
- Rotondaro, J.C.; Delgado Gaete, M.; Fernandez Villar, G.; Domenech, P.; Bezazian, C.; Pizarro, R. Wellens syndrome: A high-risk electrocardiographic pattern. Medicina 2022, 82, 787–790. [Google Scholar]
- Singh, B.; Singh, Y.; Singla, V.; Nanjappa, M.C. Wellens’ Syndrome: A Classical Electrocardiographic Sign of Impending Myocardial Infarction. BMJ Case Rep. 2013, 2013, bcr2012008513. [Google Scholar] [CrossRef]
- Zhang, Y.; Shen, Y. Advances in the Study of Wellens Syndrome. J. Int. Med. Res. 2025, 53, 03000605251324480. [Google Scholar] [CrossRef]
- de Zwaan, C.; Bär, F.W.; Janssen, J.H.; Cheriex, E.C.; Dassen, W.R.; Brugada, P.; Penn, O.C.; Wellens, H.J. Angiographic and Clinical Characteristics of Patients with Unstable Angina Showing an ECG Pattern Indicating Critical Narrowing of the Proximal LAD Coronary Artery. Am. Heart J. 1989, 117, 657–665. [Google Scholar] [CrossRef]
- Lei, M.; Yuan, M.; Gao, L. Dangerousness: T-Wave Pseudonormalization in a Patient with Wellens’ Syndrome: A Case Report. Medicine 2024, 103, e41176. [Google Scholar] [CrossRef]
- Venkatayogi, N.; Gupta, M.; Gupta, A.; Nallaparaju, S.; Cheemalamarri, N.; Gilari, K.; Pathak, S.; Vishwanath, K.; Soney, C.; Bhattacharya, T.; et al. From Seeing to Knowing with Artificial Intelligence: A Scoping Review of Point-of-Care Ultrasound in Low-Resource Settings. Appl. Sci. 2023, 13, 8427. [Google Scholar] [CrossRef]
- Nati-Castillo, H.A.; Saavedra T., J.S.; Valderrama, L.A.; Ortiz-Prado, E.; Izquierdo-Condoy, J.S. Point-of-Care Ultrasound (POCUS) as a Key Tool in the Diagnosis of Pheochromocytoma: A Case Report in an Elderly Patient with Extreme Blood Pressure Variability. Front. Med. 2025, 12, 1525893. [Google Scholar] [CrossRef] [PubMed]
- Juillière, Y.; Cambou, J.P.; Bataille, V.; Mulak, G.; Galinier, M.; Gibelin, P.; Benamer, H.; Bouvaist, H.; Méneveau, N.; Tabone, X.; et al. Insuficiencia Cardiaca En El Infarto Agudo de Miocardio: Comparación de Pacientes Con o Sin Criterios de Insuficiencia Cardiaca Del Registro FAST-MI. Rev. Esp. Cardiol. 2012, 65, 326–333. [Google Scholar] [CrossRef] [PubMed]
- Collet, J.-P.; Thiele, H.; Barbato, E.; Barthélémy, O.; Bauersachs, J.; Bhatt, D.L.; Dendale, P.; Dorobantu, M.; Edvardsen, T.; Folliguet, T.; et al. 2020 ESC Guidelines for the Management of Acute Coronary Syndromes in Patients Presenting without Persistent ST-Segment Elevation. Eur. Heart J. 2021, 42, 1289–1367. [Google Scholar] [CrossRef] [PubMed]
- Writing Committee Members; Lawton, J.S.; Tamis-Holland, J.E.; Bangalore, S.; Bates, E.R.; Beckie, T.M.; Bischoff, J.M.; Bittl, J.A.; Cohen, M.G.; DiMaio, J.M.; et al. 2021 ACC/AHA/SCAI Guideline for Coronary Artery Revascularization. JACC 2022, 79, e21–e129. [Google Scholar] [CrossRef]
- Ibanez, B.; James, S.; Agewall, S.; Antunes, M.J.; Bucciarelli-Ducci, C.; Bueno, H.; Caforio, A.L.P.; Crea, F.; Goudevenos, J.A.; Halvorsen, S.; et al. 2017 ESC Guidelines for the Management of Acute Myocardial Infarction in Patients Presenting with ST-Segment Elevation: The Task Force for the Management of Acute Myocardial Infarction in Patients Presenting with ST-Segment Elevation of the European Society of Cardiology (ESC). Eur. Heart J. 2018, 39, 119–177. [Google Scholar] [CrossRef]
- O’Gara, P.T.; Kushner, F.G.; Ascheim, D.D.; Casey, D.E.; Chung, M.K.; de Lemos, J.A.; Ettinger, S.M.; Fang, J.C.; Fesmire, F.M.; Franklin, B.A.; et al. 2013 ACCF/AHA Guideline for the Management of ST-Elevation Myocardial Infarction: A Report of the American College of Cardiology Foundation/American Heart Association Task Force on Practice Guidelines. Circulation 2013, 127, e362–e425. [Google Scholar] [CrossRef]
- Diaz-Arocutipa, C.; Vargas-Rivas, C.; Mendoza-Quispe, D.; Benites-Moya, C.J.; Torres-Valencia, J.; Valenzuela-Rodriguez, G.; Gamarra-Valverde, N.N.; Chacon-Diaz, M.; Costabel, J.P.; Mamas, M.A.; et al. Pharmaco-Invasive Strategy Vs Primary Percutaneous Coronary Intervention for ST-Segment Elevation Myocardial Infarction in Latin America: A Meta-Analysis. CJC Open 2024, 7, 78–87. [Google Scholar] [CrossRef]
- Coutinho Cruz, M.; Luiz, I.; Ferreira, L.; Cruz Ferreira, R. Wellens’ Syndrome: A Bad Omen. Cardiology 2017, 137, 100–103. [Google Scholar] [CrossRef]
- Rao, S.V.; O’Donoghue, M.L.; Ruel, M.; Rab, T.; Tamis-Holland, J.E.; Alexander, J.H.; Baber, U.; Baker, H.; Cohen, M.G.; Cruz-Ruiz, M.; et al. 2025 ACC/AHA/ACEP/NAEMSP/SCAI Guideline for the Management of Patients With Acute Coronary Syndromes: A Report of the American College of Cardiology/American Heart Association Joint Committee on Clinical Practice Guidelines. Circulation 2025, 151, e771–e862. [Google Scholar] [CrossRef]
- McDonagh, T.A.; Metra, M.; Adamo, M.; Gardner, R.S.; Baumbach, A.; Böhm, M.; Burri, H.; Butler, J.; Čelutkienė, J.; Chioncel, O.; et al. 2023 Focused Update of the 2021 ESC Guidelines for the Diagnosis and Treatment of Acute and Chronic Heart Failure. Eur. Heart J. 2023, 44, 3627–3639. [Google Scholar] [CrossRef]
- Tan, J.; Liao, X.; Tan, T.; Li, X.; Tan, H. Wellen’s Syndrome Caused by Severe Ostial Stenosis of the Left Main Coronary Artery: A Case Report. BMC Cardiovasc. Disord. 2024, 24, 688. [Google Scholar] [CrossRef]
- Mitsis, A.; Gragnano, F. Myocardial Infarction with and without ST-Segment Elevation: A Contemporary Reappraisal of Similarities and Differences. Curr. Cardiol. Rev. 2021, 17, e230421189013. [Google Scholar] [CrossRef]
- Mach, F.; Koskinas, K.C.; Roeters van Lennep, J.E.; Tokgözoğlu, L.; Badimon, L.; Baigent, C.; Benn, M.; Binder, C.J.; Catapano, A.L.; De Backer, G.G.; et al. 2025 Focused Update of the 2019 ESC/EAS Guidelines for the Management of Dyslipidaemias: Developed by the Task Force for the Management of Dyslipidaemias of the European Society of Cardiology (ESC) and the European Atherosclerosis Society (EAS). Eur. Heart J. 2025, ehaf190. [Google Scholar] [CrossRef]






| Date | Symptoms and Signs | Paraclinical and Laboratory Results | Imaging Results | Treatment |
|---|---|---|---|---|
| 2 May | Intermittent precordial pain with exertion, mild intensity, lasting 72 h, accompanied by dyspnea on minor exertion (NYHA II) | - | - | - |
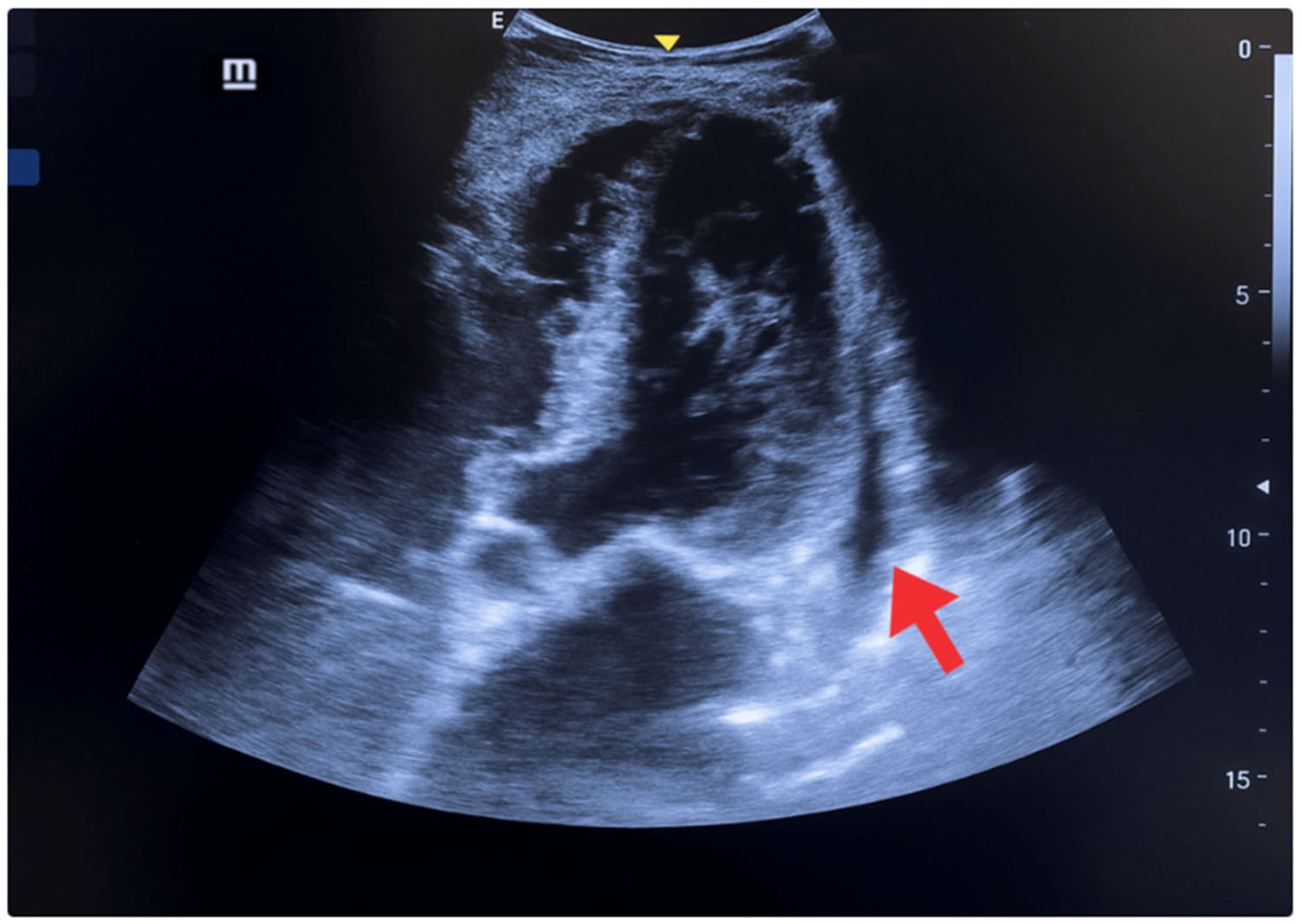
| 5 May | Acute episode of oppressive retrosternal chest pain (30 min, 8/10), with sudden moderate dyspnea, nausea, and profuse diaphoresis. He presented to the primary emergency department. Initial evaluation: BP 160/85 mmHg, SatO2 85%, signs of pulmonary and peripheral congestion. | -ECG: Biphasic T waves were present in the anteroseptal leads (V2–V4), consistent with a type A Wellens pattern. -Laboratory: elevated troponin I (0.16 ng/mL), (reference < 0.03 ng/mL). | POCUS: Ejection fraction of 40% (moderate systolic dysfunction), shortening fraction of 18%, EPSS of 10 mm, lateral wall hypokinesia, eccentric remodeling with ventricular dilatation, thickened interventricular septum, and a small non-circumferential pericardial effusion. At the lung level, diffuse B lines (50–60% of lung fields) were present, a pattern consistent with alveolar-interstitial syndrome of cardiogenic origin. | Initial treatment: oxygen, IV nitroglycerin, ASA 300 mg PO, clopidogrel 300 mg PO, rosuvastatin 40 mg PO, IV furosemide. |
| 6–7 May | Mild retrosternal chest pain, absence of dyspnea, and improved ventilatory mechanics. | ECG: Biphasic T waves were present in the anteroseptal leads (V2–V4), consistent with a type A Wellens pattern. | POCUS: Decreased pulmonary B lines in both lung fields (40–50%). | Referral to a more complex center. Enoxaparin 80 mg SC every 12 h is added. |
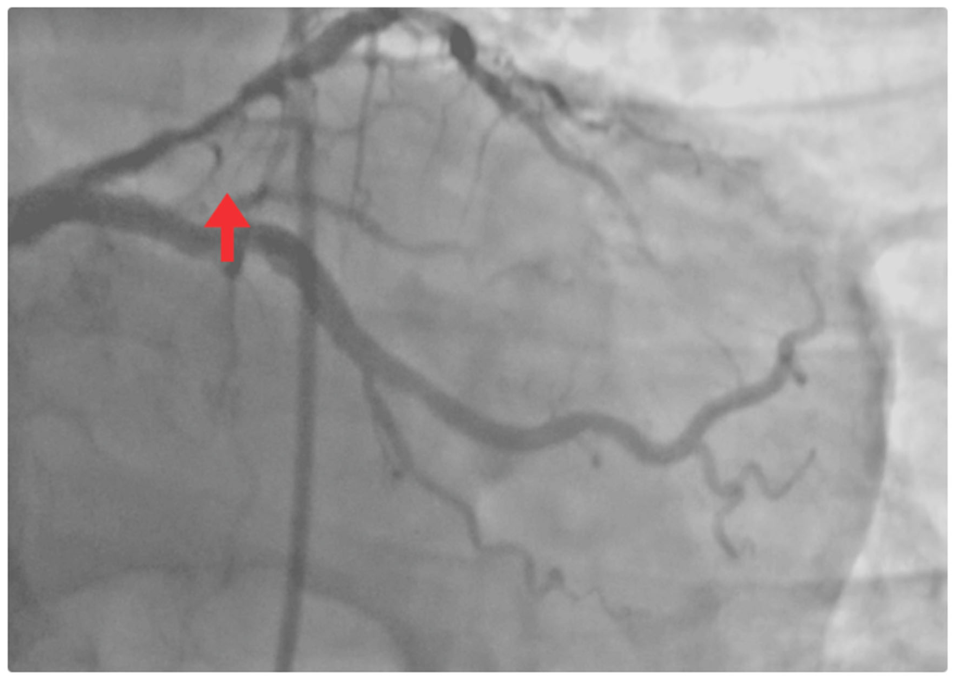
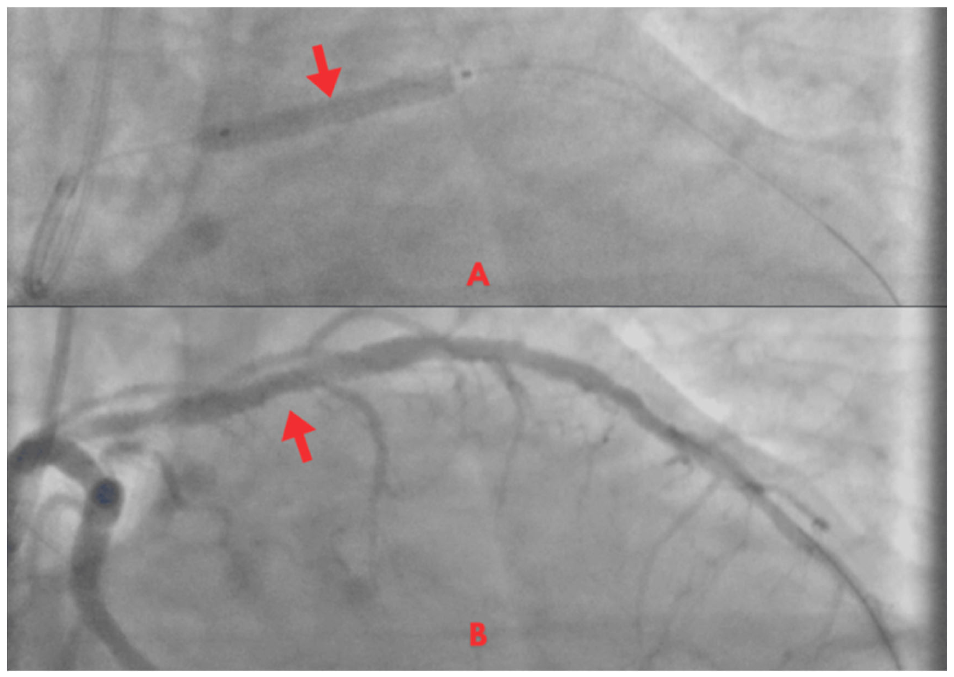
| 8 May | Mild retrosternal chest pain, absence of dyspnea, and improved ventilatory mechanics. | - | - | Coronary angiography: critical proximal LAD stenosis (>90%). Chronic atherosclerotic disease in the circumflex artery, without significant obstructive lesions. Percutaneous coronary intervention (PCI): angioplasty + drug-eluting stenting in the proximal LAD (TIMI 3 flow). |
| 9–11 May | Hospital stay in an intermediate care unit. | ECG: -Rhythm: sinus (positive P wave in L1, L2, and aVF; each P wave is followed by a QRS complex). -Heart rate: 80 beats per minute. -Electrical axis: between (−60° left axis deviation). -P wave: duration ≤ 120 ms, amplitude ≤ 2.5 mm in limb leads. PR interval: 160 ms. -QRS complex: duration ≤ 110 ms. -ST segment: isoelectric. -T wave: positive in most leads, except aVR and V1. -Corrected QT interval (QTc): 400 ms. -Findings of left ventricular hypertrophy. | POCUS: -Absence of pulmonary and cardiac congestion. -Regular pleura, without thickening. -Marked reduction in B lines (<20%) in affected lung fields. -Reappearance of predominant A lines. -Absence of consolidation. Findings compatible with resolution of cardiogenic alveolar-interstitial syndrome after depleting therapy. -Ejection fraction (Simpson): 50–55% -EPSS: 7 mm (previously 10 mm). -Shortening fraction: 25%. -Less evident lateral hypokinesia. -Left chambers with reduced diameter and indexed end-diastolic volume (≤70 mL/m2). -Mild, stable, non-progressive pericardial effusion. | - |
| 12 May | Favorable outcome: hemodynamic stability, no recurrence of angina, resolution of congestion. Hospital discharge | Normal ECG and laboratory. | - | Hospital discharge -Double antiplatelet therapy (ASA 100 mg/d + clopidogrel 75 mg/d). -Rosuvastatin 40 mg/d. -Carvedilol 6.25 mg every 12 h. -Enalapril 5 mg/d. -Furosemide 40 mg every 12 h. -Dapagliflozin 10 mg/d. -Lifestyle recommendations and outpatient follow-up. |
| 19 May | Outpatient cardiology follow-up consultation (7 days after discharge). Clinical reevaluation and therapeutic adjustment. | - | - | - |
| Test | Result | Reference Range |
|---|---|---|
| Complete blood count | ||
| White Blood Cells (WBC) | 9.8 × 109/L | 4.0–10.0 × 109/L |
| Red Blood Cells (RBC) | 5.3 × 1012/L | 4.5–6.0 × 1012/L |
| Hemoglobin (Hb) | 16.1 g/dL | 13.5–17.5 g/dL |
| Hematocrit (Hct) | 47% | 41–53% |
| Mean Corpuscular Volume (MCV) | 89 fL | 80–96 fL |
| Mean Corpuscular Hemoglobin (MCH) | 30 pg | 27–33 pg |
| Mean Corpuscular Hemoglobin Concentration (MCHC) | 34 g/dL | 32–36 g/dL |
| Platelets | 230 × 109/L | 150–400 × 109/L |
| Renal Function | ||
| Blood Urea Nitrogen (BUN) | 44 mg/dL | 10–45 mg/dL |
| Creatinine | 0.63 mg/dL | 0.6–1.3 mg/dL |
| Estimated glomerular filtration rate | 102.69 mL/min/1.73 m2 | >90 mL/min/1.73 m2 |
| Cardiac profile | ||
| Troponin I | 0.16 ng/mL | <0.03 ng/mL |
| Arterial Blood Gas (ABG) | ||
| pH | 7.41 | 7.35–7.45 |
| pCO2 | 44 mmHg | 35–45 mmHg |
| pO2 | 84 mmHg | 80–100 mmHg |
| HCO3− | 22 mmol/L | 22–26 mmol/L |
| Base Excess (BE) | −3 mmol/L | −2–+2 mmol/L |
| O2 Saturation (SaO2) | 91% | 95–100% |
| Sodium | 139 | 136–145 mmol/L |
| Potassium | 3.7 | 3.5–5.1 mmol/L |
| Chloride | 104 | 98–107 mmol/L |
Disclaimer/Publisher’s Note: The statements, opinions and data contained in all publications are solely those of the individual author(s) and contributor(s) and not of MDPI and/or the editor(s). MDPI and/or the editor(s) disclaim responsibility for any injury to people or property resulting from any ideas, methods, instructions or products referred to in the content. |
© 2025 by the authors. Licensee MDPI, Basel, Switzerland. This article is an open access article distributed under the terms and conditions of the Creative Commons Attribution (CC BY) license (https://creativecommons.org/licenses/by/4.0/).
Share and Cite
Silva, I.; Aguilar, J.E.; Aragón, A.C.; Moreno, M.S.; Cepeda-Zaldumbide, A.S.; Salazar-Santoliva, C.; Vasconez-Gonzalez, J.; Izquierdo-Condoy, J.S.; Ortiz-Prado, E. Integration of ECG and Point-of-Care Ultrasound in the Diagnosis of Wellens’ Syndrome with Acute Heart Failure: A Case Report. J. Clin. Med. 2025, 14, 6982. https://doi.org/10.3390/jcm14196982
Silva I, Aguilar JE, Aragón AC, Moreno MS, Cepeda-Zaldumbide AS, Salazar-Santoliva C, Vasconez-Gonzalez J, Izquierdo-Condoy JS, Ortiz-Prado E. Integration of ECG and Point-of-Care Ultrasound in the Diagnosis of Wellens’ Syndrome with Acute Heart Failure: A Case Report. Journal of Clinical Medicine. 2025; 14(19):6982. https://doi.org/10.3390/jcm14196982
Chicago/Turabian StyleSilva, Israel, Juan Esteban Aguilar, Andrea Cristina Aragón, Mauricio Sebastian Moreno, Ana Sofia Cepeda-Zaldumbide, Camila Salazar-Santoliva, Jorge Vasconez-Gonzalez, Juan S. Izquierdo-Condoy, and Esteban Ortiz-Prado. 2025. "Integration of ECG and Point-of-Care Ultrasound in the Diagnosis of Wellens’ Syndrome with Acute Heart Failure: A Case Report" Journal of Clinical Medicine 14, no. 19: 6982. https://doi.org/10.3390/jcm14196982
APA StyleSilva, I., Aguilar, J. E., Aragón, A. C., Moreno, M. S., Cepeda-Zaldumbide, A. S., Salazar-Santoliva, C., Vasconez-Gonzalez, J., Izquierdo-Condoy, J. S., & Ortiz-Prado, E. (2025). Integration of ECG and Point-of-Care Ultrasound in the Diagnosis of Wellens’ Syndrome with Acute Heart Failure: A Case Report. Journal of Clinical Medicine, 14(19), 6982. https://doi.org/10.3390/jcm14196982

