Advanced Computer Simulation Based on Cardiac Imaging in Planning of Structural Heart Disease Interventions
Abstract
1. Introduction
2. Rationale for Advanced Computer Simulation
Clinical Translation and Validation Evidence
3. Types of Computer Simulations and Platforms
3.1. Basic Computer Modeling
3.2. Advanced Computer Simulation
3.3. Platform–Device Compatibility
4. Computer Simulation for Specific Structural Heart Interventions
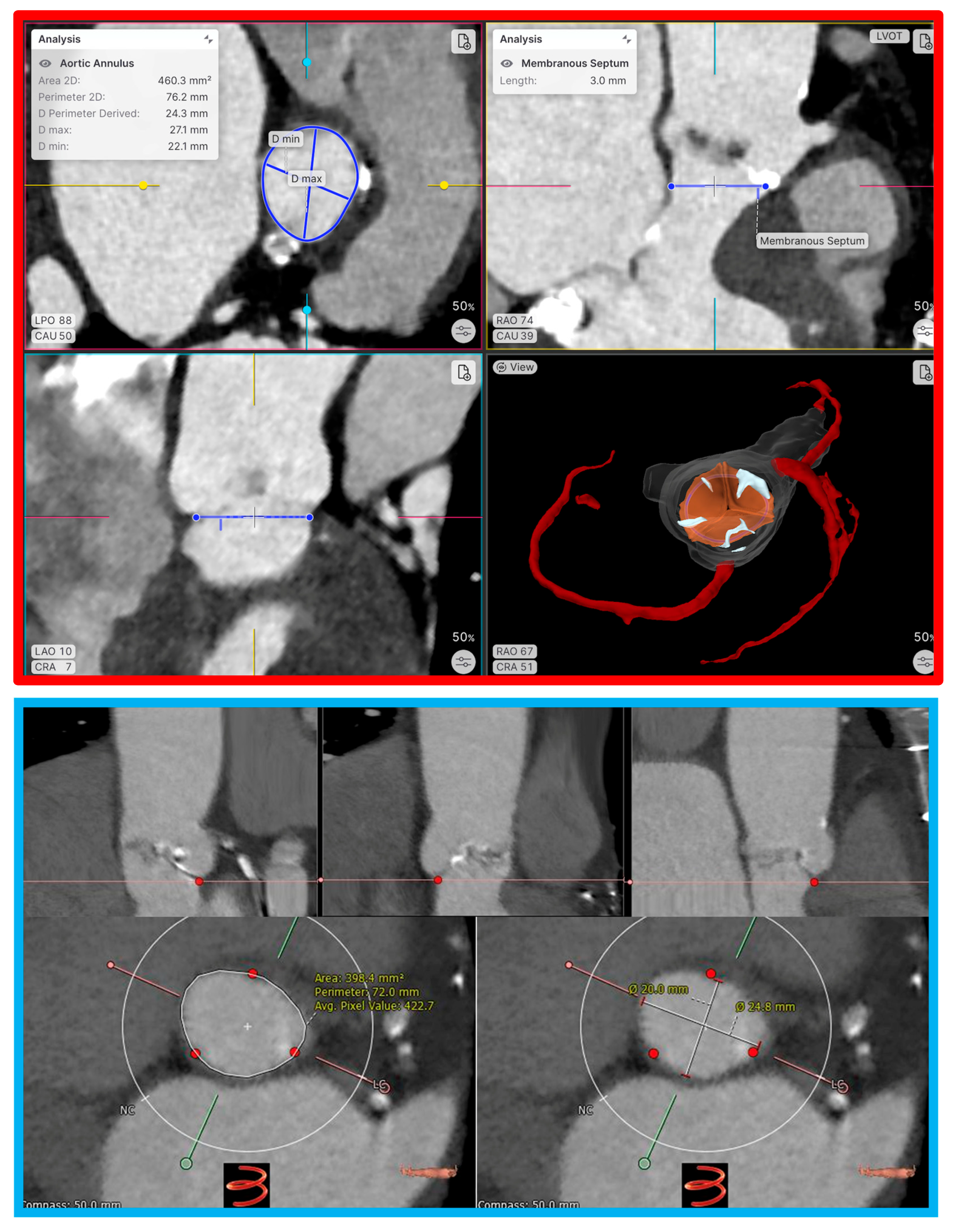
4.1. TAVI
4.1.1. Optimal Sizing
4.1.2. Anatomical Rupture
4.1.3. Paravalvular Leak
4.1.4. Percutaneous Alternatives for Coronary Artery Obstruction
4.1.5. Leaflet Thrombosis
4.1.6. Prediction of Conduction Disturbances
4.1.7. TAVI in Bicuspid Aortic Valves
4.2. TMVR
4.2.1. Mitral Valve-in-Valve TAVI
4.2.2. Mitral Valve in Ring and Valve in Mitral Annular Calcification
4.2.3. Native TMVR
4.2.4. Mitral Edge-to-Edge Repair
4.2.5. Limitations in Transcatheter Edge-to-Edge Repair Simulation
4.3. Left Atrial Appendage Occlusion
4.3.1. Methods of Analysis for CT-Based Computational Modeling of LAAO
4.3.2. Virtual Implantation and Device Selection in Left Atrial Appendages (VIDAA) Platform (Universitat Pompeu Fabra, Barcelona, Spain)
4.3.3. Computational Fluid Dynamics to Predict Device-Related Thrombosis
4.3.4. Artificial Intelligence (AI) Integration and Enhanced Simulation
4.3.5. Implementation Barriers and Clinical Adoption Challenges
5. Future Directions
5.1. TAVI
5.2. TMVR
5.3. Tricuspid Interventions
5.4. LAAO
6. Conclusions
Author Contributions
Funding
Institutional Review Board Statement
Informed Consent Statement
Data Availability Statement
Conflicts of Interest
Abbreviations
| CFD | Computational fluid dynamics |
| FSI | Fluid–structure interaction |
| ECAP | Endothelial cell activation potential |
| VIDAA | Virtual implantation and device selection in left atrial appendages |
| ARR | Aortic root rupture |
| FEA | Finite element analysis |
| FEopsTM | Finite element-optimized patient-specific |
| DASI | Direct analytical surgical individualization |
| ViR | Valve in ring |
| THV | Transcatheter heart valve |
| CO | Coronary obstruction |
| ViV | Valve in valve |
| ViMAC | Valve in mitral annular calcification |
| LAAO | Left atrial appendage occlusion |
| CPI | Contact pressure index |
| PDL | Peri-device leak |
| DRT | Device-related thrombosis |
| LVOT | Left ventricular outflow tract |
| SSR | Shear strain rate |
| MAC | Mitral annular calcification |
| m-TEER | Mitral transcatheter edge-to-edge repair |
| PVL | Paravalvular leak |
| TAVI | Transcatheter aortic valve implantation |
| TAVR | Transcatheter aortic valve replacement |
References
- Faza, N.N.; Özden Tok, Ö.; Hahn, R.T. Imaging in Structural Heart Disease: The Evolution of a New Subspecialty. JACC Case Rep. 2019, 1, 440–445. [Google Scholar] [CrossRef]
- Goel, S.S. The Current and Future Landscape of Structural Heart Interventions. Methodist. Debakey Cardiovasc. J. 2023, 19, 1–3. [Google Scholar] [CrossRef] [PubMed]
- Webb, J.G.; Wood, D.A. Current status of transcatheter aortic valve replacement. J. Am. Coll. Cardiol. 2012, 60, 483–492. [Google Scholar] [CrossRef]
- Holoshitz, N.; Kavinsky, C.J.; Hijazi, Z.M. The Edwards SAPIEN Transcatheter Heart Valve for Calcific Aortic Stenosis: A Review of the Valve, Procedure, and Current Literature. Cardiol. Ther. 2012, 1, 6. [Google Scholar] [CrossRef][Green Version]
- Wunderlich, N.C.; Küx, H.; Kreidel, F.; Birkemeyer, R.; Siegel, R.J.; Darmstadt, D.C.C.; Ulm, U.H. The Changing Paradigm in the Treatment of Structural Heart Disease and the Need for the Interventional Imaging Specialist. Interv. Cardiol. 2016, 11, 135–139. [Google Scholar] [CrossRef][Green Version]
- Perpetua, E.M.; Guibone, K.A.; Keegan, P.A.; Palmer, R.; Speight, M.K.; Jagnic, K.; Michaels, J.; Nguyen, R.A.; Pickett, E.S.; Ramsey, D.; et al. Best Practice Recommendations for Optimizing Care in Structural Heart Programs: Planning Efficient and Resource Leveraging Systems (PEARLS). Struct. Heart 2021, 5, 168–179. [Google Scholar] [CrossRef]
- Ye, J.; Soon, J.L.; Webb, J. Aortic valve replacement vs. transcatheter aortic valve implantation: Patient selection. Ann. Cardiothorac. Surg. 2012, 1, 194–199. [Google Scholar] [CrossRef]
- Corrigan, F.E., 3rd; Gleason, P.T.; Condado, J.F.; Lisko, J.C.; Chen, J.H.; Kamioka, N.; Keegan, P.; Howell, S.; Clements, S.D.; Babaliaros, V.C.; et al. Imaging for Predicting, Detecting, and Managing Complications After Transcatheter Aortic Valve Replacement. JACC Cardiovasc. Imaging 2019, 12, 904–920. [Google Scholar] [CrossRef]
- Mooney, J.; Sellers, S.L.; Ohana, M.; Cavalcante, J.; Arepalli, C.; Grover, R.; Kim, U.; Selvakumar, K.; Blanke, P.; Leipsic, J. Imaging for structural heart procedures: Focus on computed tomography. EuroIntervention 2017, 13, AA85–AA96. [Google Scholar] [CrossRef] [PubMed]
- Grigoryan, K.; Demetrescu, C.; Kasouridis, I.; Abiola, O.; Masci, P.G.; Oguz, D.; Benedetti, G.; Mak, S.M.; Parwani, P.; Preston, R.; et al. Multimodality Imaging in Valvular Structural Interventions. Card. Fail. Rev. 2022, 8, e31. [Google Scholar] [CrossRef] [PubMed]
- Agricola, E.; Ingallina, G.; Ancona, F.; Biondi, F.; Margonato, D.; Barki, M.; Tavernese, A.; Belli, M.; Stella, S. Evolution of interventional imaging in structural heart disease. Eur. Heart J. Suppl. 2023, 25 (Suppl. C), C189–C199. [Google Scholar] [CrossRef]
- Vrijkorte, M.G.H.; Khalique, O.K.; Lerakis, S.; Swaans, M.J. Editorial: Imaging in structural heart interventions. Front. Cardiovasc. Med. 2024, 11, 1364243. [Google Scholar] [CrossRef]
- Harb, S.C.; Rodriguez, L.L.; Vukicevic, M.; Kapadia, S.R.; Little, S.H. Three-Dimensional Printing Applications in Percutaneous Structural Heart Interventions. Circ. Cardiovasc. Imaging 2019, 12, e009014. [Google Scholar] [CrossRef]
- Gómez-Ciriza, G.; Gómez-Cía, T.; Rivas-González, J.A.; Forte, M.N.V.; Valverde, I. Affordable Three-Dimensional Printed Heart Models. Front. Cardiovasc. Med. 2021, 8, 642011. [Google Scholar] [CrossRef] [PubMed]
- Lau, I.; Sun, Z. Three-dimensional printing in congenital heart disease: A systematic review. J. Med. Radiat. Sci. 2018, 65, 226–236. [Google Scholar] [CrossRef] [PubMed]
- Spanaki, A.; Kabir, S.; Stephenson, N.; van Poppel, M.P.M.; Benetti, V.; Simpson, J. 3D Approaches in Complex CHD: Where Are We? Funny Printing and Beautiful Images, or a Useful Tool? J. Cardiovasc. Dev. Dis. 2022, 9, 269. [Google Scholar] [CrossRef]
- Faza, N.N.; Harb, S.C.; Wang, D.D.; Dorpel, M.M.v.D.; Van Mieghem, N.; Little, S.H. Physical and Computational Modeling for Transcatheter Structural Heart Interventions. JACC Cardiovasc. Imaging 2024, 17, 428–440. [Google Scholar] [CrossRef] [PubMed]
- Vukicevic, M.; Mosadegh, B.; Min, J.K.; Little, S.H. Cardiac 3D Printing and its Future Directions. JACC Cardiovasc. Imaging 2017, 10, 171–184. [Google Scholar] [CrossRef]
- Bhandari, S.; Yadav, V.; Ishaq, A.; Sanipini, S.; Ekhator, C.; Khleif, R.; Beheshtaein, A.; Jhajj, L.K.; Khan, A.W.; Al Khalifa, A.; et al. Trends and Challenges in the Development of 3D-Printed Heart Valves and Other Cardiac Implants: A Review of Current Advances. Cureus 2023, 15, e43204. [Google Scholar] [CrossRef]
- Wong, P.; Wisneski, A.D.; Sandhu, A.; Wang, Z.; Mahadevan, V.S.; Nguyen, T.C.; Guccione, J.M. Looking towards the future: Patient-specific computational modeling to optimize outcomes for transcatheter mitral valve repair. Front. Cardiovasc. Med. 2023, 10, 1140379. [Google Scholar] [CrossRef]
- Samant, S.; Bakhos, J.J.; Wu, W.; Zhao, S.; Kassab, G.S.; Khan, B.; Panagopoulos, A.; Makadia, J.; Oguz, U.M.; Banga, A.; et al. Artificial Intelligence, Computational Simulations, and Extended Reality in Cardiovascular Interventions. JACC Cardiovasc. Interv. 2023, 16, 2479–2497. [Google Scholar] [CrossRef] [PubMed]
- Ooms, J.F.; Wang, D.D.; Rajani, R.; Redwood, S.; Little, S.H.; Chuang, M.L.; Popma, J.J.; Dahle, G.; Pfeiffer, M.; Kanda, B.; et al. Computed Tomography-Derived 3D Modeling to Guide Sizing and Planning of Transcatheter Mitral Valve Interventions. JACC Cardiovasc. Imaging 2021, 14, 1644–1658. [Google Scholar] [CrossRef]
- Alkhouli, M.; Hatoum, H.; Piazza, N. Computational Modeling to Guide Structural Heart Interventions: Measure Twice (or Thrice) But Cut Once. JACC Cardiovasc. Interv. 2023, 16, 667–669. [Google Scholar] [CrossRef]
- Krishnaswamy, A.; Kassab, J.; Harb, S.C. Beyond Simple Visualization: A New Reality for Structural Heart Interventions? J. Am. Heart Assoc. 2024, 13, e036238. [Google Scholar] [CrossRef]
- De Backer, O.; Iriart, X.; Kefer, J.; Nielsen-Kudsk, J.E.; Aminian, A.; Rosseel, L.; Kofoed, K.F.; Odenstedt, J.; Berti, S.; Saw, J.; et al. Impact of Computational Modeling on Transcatheter Left Atrial Appendage Closure Efficiency and Outcomes. JACC Cardiovasc. Interv. 2023, 16, 655–666. [Google Scholar] [CrossRef]
- Hokken, T.W.; Wienemann, H.; Dargan, J.; van Ginkel, D.-J.; Dowling, C.; Unbehaun, A.; Bosmans, J.; Bader-Wolfe, A.; Gooley, D.; Swaans, M.; et al. Clinical value of CT-derived simulations of transcatheter-aortic-valve-implantation in challenging anatomies the PRECISE-TAVI trial. Catheter. Cardiovasc. Interv. 2023, 102, 1140–1148. [Google Scholar] [CrossRef]
- Raphael, C.E.; Alkhouli, M.; Maor, E.; van Ginkel, D.; Dowling, C.; Unbehaun, A.; Bosmans, J.; Bader-Wolfe, A.; Gooley, R.; Swaans, M.; et al. Building Blocks of Structural Intervention: A Novel Modular Paradigm for Procedural Training. Circ. Cardiovasc. Interv. 2017, 10, e005686. [Google Scholar] [CrossRef] [PubMed]
- De Cock, E.; Lochy, S.; Rivero-Ayerza, M.; Lempereur, M.; Cornelis, K.; Debonnaire, P.; Vermeersch, P.; Christiaen, E.; Buysschaert, I. Clinical Value of CT-Based 3D Computational Modeling in Left Atrial Appendage Occlusion: An In-Depth Analysis of the PRECISE LAAO Study. Catheter. Cardiovasc. Interv. 2025, 105, 1356–1364. [Google Scholar] [CrossRef]
- Barbanti, M.; Yang, T.-H.; Rodès Cabau, J.; Tamburino, C.; Wood, D.A.; Jilaihawi, H.; Blanke, P.; Makkar, R.R.; Latib, A.; Colombo, A.; et al. Anatomical and Procedural Features Associated With Aortic Root Rupture During Balloon-Expandable Transcatheter Aortic Valve Replacement. Circulation 2013, 128, 244–253. [Google Scholar] [CrossRef] [PubMed]
- Girdauskas, E.; Owais, T.; Fey, B.; Kuntze, F.; Lauer, B.; Borger, M.A.; Conradi, L.; Reichenspurner, H.; Kuntze, T. Subannular perforation of left ventricular outflow tract associated with transcatheter valve implantation: Pathophysiological background and clinical implications. Eur. J. Cardiothorac. Surg. 2017, 51, 91–96. [Google Scholar] [CrossRef]
- Wang, Q.; Kodali, S.; Primiano, C.; Sun, W. Simulations of transcatheter aortic valve implantation: Implications for aortic root rupture. Biomech. Model. Mechanobiol. 2015, 14, 29–38. [Google Scholar] [CrossRef] [PubMed]
- Sá, M.P.; Jacquemyn, X.; Van den Eynde, J.; Tasoudis, P.; Erten, O.; Sicouri, S.; Macedo, F.Y.; Pasala, T.; Kaple, R.; Weymann, A.; et al. Impact of Paravalvular Leak on Outcomes After Transcatheter Aortic Valve Implantation: Meta-Analysis of Kaplan-Meier-derived Individual Patient Data. Struct. Heart 2023, 7, 100118. [Google Scholar] [CrossRef]
- Bianchi, M.; Marom, G.; Ghosh, R.P.; Rotman, O.M.; Parikh, P.; Gruberg, L.; Bluestein, D. Patient-specific simulation of transcatheter aortic valve replacement: Impact of deployment options on paravalvular leakage. Biomech. Model. Mechanobiol. 2019, 18, 435–451. [Google Scholar] [CrossRef]
- Luraghi, G.; Matas, J.F.R.; Beretta, M.; Chiozzi, N.; Iannetti, L.; Migliavacca, F. The impact of calcification patterns in transcatheter aortic valve performance: A fluid-structure interaction analysis. Comput. Methods Biomech. Biomed. Eng. 2021, 24, 375–383. [Google Scholar] [CrossRef]
- Luraghi, G.; Migliavacca, F.; Garcia-Gonzalez, A.; Chiastra, C.; Rossi, A.; Cao, D.; Stefanini, G.; Matas, J.F.R. On the Modeling of Patient-Specific Transcatheter Aortic Valve Replacement: A Fluid-Structure Interaction Approach. Cardiovasc. Eng. Technol. 2019, 10, 437–455. [Google Scholar] [CrossRef]
- Mao, W.; Wang, Q.; Kodali, S.; Sun, W. Numerical Parametric Study of Paravalvular Leak Following a Transcatheter Aortic Valve Deployment Into a Patient-Specific Aortic Root. J. Biomech. Eng. 2018, 140, 1010071–10100711. [Google Scholar] [CrossRef]
- Nappi, F.; Mazzocchi, L.; Spadaccio, C.; Attias, D.; Timofeva, I.; Macron, L.; Iervolino, A.; Morganti, S.; Auricchio, F. CoreValve vs. Sapien 3 Transcatheter Aortic Valve Replacement: A Finite Element Analysis Study. Bioengineering 2021, 8, 52. [Google Scholar] [CrossRef]
- Ghosh, R.P.; Marom, G.; Bianchi, M.; D’Souza, K.; Zietak, W.; Bluestein, D. Numerical evaluation of transcatheter aortic valve performance during heart beating and its post-deployment fluid-structure interaction analysis. Biomech. Model. Mechanobiol. 2020, 19, 1725–1740. [Google Scholar] [CrossRef]
- Ribeiro, H.B.; Webb, J.G.; Makkar, R.R.; Cohen, M.G.; Kapadia, S.R.; Kodali, S.; Tamburino, C.; Barbanti, M.; Chakravarty, T.; Jilaihawi, H.; et al. Predictive factors, management, and clinical outcomes of coronary obstruction following transcatheter aortic valve implantation: Insights from a large multicenter registry. J. Am. Coll. Cardiol. 2013, 62, 1552–1562. [Google Scholar] [CrossRef] [PubMed]
- Khan Jaffar, M.; Kamioka, N.; Lisko John, C.; Perdoncin, E.; Zhang, C.; Maini, A.; Chen, M.; Li, Y.; Ludwig, S.; Westermann, D.; et al. Coronary Obstruction From TAVR in Native Aortic Stenosis. JACC Cardiovasc. Interv. 2023, 16, 415–425. [Google Scholar] [CrossRef] [PubMed]
- Heitkemper, M.; Hatoum, H.; Azimian, A.; Yeats, B.; Dollery, J.; Whitson, B.; Rushing, G.; Crestanello, J.; Lilly, S.M.; Dasi, L.P. Modeling risk of coronary obstruction during transcatheter aortic valve replacement. J. Thorac. Cardiovasc. Surg. 2020, 159, 829–838.e3. [Google Scholar] [CrossRef]
- Holst, K.; Becker, T.; Magruder, J.T.; Yadav, P.; Stewart, J.; Rajagopal, V.; Liu, S.; Polsani, V.; Dasi, L.P.; Thourani, V.H. Beyond Static Planning: Computational Predictive Modeling to Avoid Coronary Artery Occlusion in TAVR. Ann. Thorac. Surg. 2025, 119, 145–151. [Google Scholar] [CrossRef]
- Wei, Z.A.; Sonntag, S.J.; Toma, M.; Singh-Gryzbon, S.; Sun, W. Computational Fluid Dynamics Assessment Associated with Transcatheter Heart Valve Prostheses: A Position Paper of the ISO Working Group. Cardiovasc. Eng. Technol. 2018, 9, 289–299. [Google Scholar] [CrossRef]
- Plitman Mayo, R.; Yaakobovich, H.; Finkelstein, A.; Shadden, S.C.; Marom, G. Numerical models for assessing the risk of leaflet thrombosis post-transcatheter aortic valve-in-valve implantation. R. Soc. Open Sci. 2020, 7, 201838. [Google Scholar] [CrossRef]
- Hatoum, H.; Maureira, P.; Lilly, S.; Dasi, L.P. Impact of BASILICA on Sinus and Neo-Sinus Hemodynamics after Valve-in-Valve with and without Coronary Flow. Cardiovasc. Revasc. Med. 2020, 21, 271–276. [Google Scholar] [CrossRef]
- Rocatello, G.; El Faquir, N.; De Santis, G.; Iannaccone, F.; Bosmans, J.; De Backer, O.; Sondergaard, L.; Segers, P.; De Beule, M.; de Jaegere, P.; et al. Patient-Specific Computer Simulation to Elucidate the Role of Contact Pressure in the Development of New Conduction Abnormalities After Catheter-Based Implantation of a Self-Expanding Aortic Valve. Circ. Cardiovasc. Interv. 2018, 11, e005344. [Google Scholar] [CrossRef]
- Wang, M.; Wang, Y.; Debusschere, N.; Rocatello, G.; Cheng, S.; Jin, J.; Yu, S. Predicting new-onset persistent conduction disturbance following transcatheter aortic valve replacement: The usefulness of FEOPS finite element analysis. BMC Cardiovasc. Disord. 2024, 24, 607. [Google Scholar] [CrossRef]
- Dowling, C.; Gooley, R.; McCormick, L.; Firoozi, S.; Brecker, S.J. Patient-specific Computer Simulation: An Emerging Technology for Guiding the Transcatheter Treatment of Patients with Bicuspid Aortic Valve. Interv. Cardiol. 2021, 16, e26. [Google Scholar] [CrossRef]
- Pasta, S.; Rinaudo, A.; Luca, A.; Pilato, M.; Scardulla, C.; Gleason, T.G.; Vorp, D.A. Difference in hemodynamic and wall stress of ascending thoracic aortic aneurysms with bicuspid and tricuspid aortic valve. J. Biomech. 2013, 46, 1729–1738. [Google Scholar] [CrossRef]
- de Jaegere, P.; Rocatello, G.; Prendergast, B.D.; de Backer, O.; Van Mieghem, N.M.; Rajani, R. Patient-specific computer simulation for transcatheter cardiac interventions: What a clinician needs to know. Heart 2019, 105 (Suppl. 2), s21–s27. [Google Scholar] [CrossRef]
- Kohli, K.; Wei, Z.A.; Sadri, V.; Easley, T.F.; Pierce, E.L.; Zhang, Y.N.; Wang, D.D.; Greenbaum, A.B.; Lisko, J.C.; Khan, J.M.; et al. Framework for Planning TMVR using 3-D Imaging, In Silico Modeling, and Virtual Reality. Struct. Heart 2020, 4, 336–341. [Google Scholar] [CrossRef]
- Lau, K.D.; Diaz, V.; Scambler, P.; Burriesci, G. Mitral valve dynamics in structural and fluid-structure interaction models. Med. Eng. Phys. 2010, 32, 1057–1064. [Google Scholar] [CrossRef]
- Dabiri, Y.; Yao, J.; Mahadevan, V.S.; Gruber, D.; Arnaout, R.; Gentzsch, W.; Guccione, J.M.; Kassab, G.S. Mitral Valve Atlas for Artificial Intelligence Predictions of MitraClip Intervention Outcomes. Front. Cardiovasc. Med. 2021, 8, 759675. [Google Scholar] [CrossRef]
- Dabiri, Y.; Mahadevan, V.S.; Guccione, J.M.; Kassab, G.S. Machine learning used for simulation of MitraClip intervention: A proof-of-concept study. Front. Genet. 2023, 14, 1142446. [Google Scholar] [CrossRef]
- Prescott, B.; Abunassar, C.J.; Baxevanakis, K.P.; Zhao, L. Computational evaluation of mitral valve repair with MitraClip. Vessel. Plus 2019, 3, 13. [Google Scholar] [CrossRef]
- Hart, E.A.; De Bock, S.; De Beule, M.; Teske, A.J.; Chamuleau, S.A.; Voskuil, M.; Kraaijeveld, A.O. Transoesophageal echocardiography-based computational simulation of the mitral valve for MitraClip placement. EuroIntervention 2019, 15, e239–e241. [Google Scholar] [CrossRef]
- Messika-Zeitoun, D.; Mousavi, J.; Pourmoazen, M.; Cotte, F.; Dreyfus, J.; Nejjari, M.; Attias, D.; Kloeckner, M.; Ghostine, S.; Pierrard, R.; et al. Computational simulation model of transcatheter edge-to-edge mitral valve repair: A proof-of-concept study. Eur. Heart J.-Cardiovasc. Imaging 2024, 25, 1415–1422. [Google Scholar] [CrossRef]
- Rogers Jason, H.; Low Reginald, I. Noncentral Mitral Regurgitation. JACC 2013, 62, 2378–2381. [Google Scholar] [CrossRef] [PubMed][Green Version]
- Wei, P.; Feng, S.; Zhang, F.; Li, H.; Zhuang, D.; Jiang, H.; Zhao, G.; Dong, J.; Wang, C.; Ouyang, W.; et al. Comparative Analysis of Central and Noncentral Degenerative Mitral Regurgitation Treated With Transcatheter Mitral Valve Edge-To-Edge Repair. Catheter. Cardiovasc. Interv. 2025, 105, 707–719. [Google Scholar] [CrossRef]
- Toma, M.; Bloodworth, C.H.; Pierce, E.L.; Einstein, D.R.; Cochran, R.P.; Yoganathan, A.P.; Kunzelman, K.S. Fluid-Structure Interaction Analysis of Ruptured Mitral Chordae Tendineae. Ann. Biomed. Eng. 2017, 45, 619–631. [Google Scholar] [CrossRef]
- Alkhouli, M.; Du, C.; Killu, A.; Simard, T.; Noseworthy, P.A.; Friedman, P.A.; Curtis, J.P.; Freeman, J.V.; Holmes, D.R. Clinical impact of residual leaks following left atrial appendage occlusion: Insights from the NCDR LAAO registry. JACC Clin. Electrophysiol. 2022, 8, 766–778. [Google Scholar] [CrossRef]
- Michiels, K.; Heffinck, E.; Astudillo, P.; Wong, I.; Mortier, P.; Bavo, A.M. Automated MSCT analysis for planning left atrial appendage occlusion using artificial intelligence. J. Interv. Cardiol. 2022, 2022, 5797431. [Google Scholar] [CrossRef]
- Bavo, A.M.; Wilkins, B.T.; Garot, P.; De Bock, S.; Saw, J.; Søndergaard, L.; De Backer, O.; Iannaccone, F. Validation of a computational model aiming to optimize preprocedural planning in percutaneous left atrial appendage closure. J. Cardiovasc. Comput. Tomogr. 2020, 14, 149–154. [Google Scholar] [CrossRef]
- Buysschaert, I.; Viaene, D. Clinical impact of preprocedural CT-based 3D computational simulation of left atrial appendage occlusion with amulet. J. Interv. Cardiol. 2021, 2021, 9972228. [Google Scholar] [CrossRef]
- Garot, P.; Iriart, X.; Aminian, A.; Kefer, J.; Freixa, X.; Cruz-Gonzalez, I.; Berti, S.; Rosseel, L.; Ibrahim, R.; Korsholm, K.; et al. Value of FEops HEARTguide patient-specific computational simulations in the planning of left atrial appendage closure with the Amplatzer Amulet closure device: Rationale and design of the PREDICT-LAA study. Open Heart 2020, 7, e001326. [Google Scholar] [CrossRef]
- Ranard, L.S.; Vahl, T.P.; Sommer, R.; Ng, V.; Leb, J.; Lehenbauer, K.; Sitticharoenchai, P.; Khalique, O.; Hamid, N.; De Beule, M.; et al. FEops HEARTguide Patient-Specific Computational Simulations for WATCHMAN FLX Left Atrial Appendage Closure: A Retrospective Study. JACC Adv. 2022, 1, 100139. [Google Scholar] [CrossRef]
- Medina, E.; Aguado, A.; Mill, J.; Freixa, X.; Arzamendi, D.; Yagüe, C.; Camara, O. VRIDAA: Virtual Reality Platform for Training and Planning Implantations of Occluder Devices in Left Atrial Appendages. VCBM 2020. [Google Scholar] [CrossRef]
- Masci, A.; Barone, L.; Dedè, L.; Fedele, M.; Tomasi, C.; Quarteroni, A.; Corsi, C. The impact of left atrium appendage morphology on stroke risk assessment in atrial fibrillation: A computational fluid dynamics study. Front. Physiol. 2019, 9, 1938. [Google Scholar] [CrossRef] [PubMed]
- Bosi, G.M.; Cook, A.; Rai, R.; Menezes, L.J.; Schievano, S.; Torii, R.; Burriesci, G. Computational fluid dynamic analysis of the left atrial appendage to predict thrombosis risk. Front. Cardiovasc. Med. 2018, 5, 34. [Google Scholar] [CrossRef] [PubMed]
- Otani, T.; Al-Issa, A.; Pourmorteza, A.; McVeigh, E.R.; Wada, S.; Ashikaga, H. A computational framework for personalized blood flow analysis in the human left atrium. Ann. Biomed. Eng. 2016, 44, 3284–3294. [Google Scholar] [CrossRef]
- Olivares, A.L.; Silva, E.; Nuñez-Garcia, M.; Butakoff, C.; Sánchez-Quintana, D.; Freixa, X.; Noailly, J.; de Potter, T.; Camara, O. In silico analysis of haemodynamics in patient-specific left atria with different appendage morphologies. In International Conference on Functional Imaging and Modeling of the Heart; Springer: Cham, Switzerland, 2017. [Google Scholar]
- Di Biase, L.; Santangeli, P.; Anselmino, M.; Mohanty, P.; Salvetti, I.; Gili, S.; Horton, R.; Sanchez, J.E.; Bai, R.; Mohanty, S.; et al. Does the left atrial appendage morphology correlate with the risk of stroke in patients with atrial fibrillation? Results from a multicenter study. J. Am. Coll. Cardiol. 2012, 60, 531–538. [Google Scholar] [CrossRef] [PubMed]
- Mill, J.; Agudelo, V.; Li, C.H.; Noailly, J.; Freixa, X.; Camara, O.; Arzamendi, D. Patient-specific flow simulation analysis to predict device-related thrombosis in left atrial appendage occluders. REC Interv. Cardiol. 2021, 3, 278–285. [Google Scholar] [CrossRef]
- Aguado, A.M.; Olivares, A.L.; Yagüe, C.; Silva, E.; Nuñez-García, M.; Fernandez-Quilez, Á.; Mill, J.; Genua, I.; Arzamendi, D.; De Potter, T.; et al. In silico optimization of left atrial appendage occluder implantation using interactive and modeling tools. Front. Physiol. 2019, 10, 237. [Google Scholar] [CrossRef] [PubMed]
- Vogl, B.; El Shaer, A.; Ponce, A.C.; Bavo, A.; De Beule, M.; Alkhouli, M.; Hatoum, H. TCT-380 Predicting Device-Related Thrombosis Using Computational Fluid Dynamics. J. Am. Coll. Cardiol. 2022, 80 (Suppl. 12), B153. [Google Scholar] [CrossRef]
- D’Alessandro, N.; Falanga, M.; Masci, A.; Severi, S.; Corsi, C. Preliminary findings on left atrial appendage occlusion simulations applying different endocardial devices. Front. Cardiovasc. Med. 2023, 10, 1067964. [Google Scholar] [CrossRef]
- Planas, E.; Mill, J.; Olivares, A.L.; Morales, X.; Pons, M.I.; Iriart, X.; Cochet, H.; Camara, O. In-silico analysis of device-related thrombosis for different left atrial appendage occluder settings. In International Workshop on Statistical Atlases and Computational Models of the Heart; Springer: Cham, Switzerland, 2022. [Google Scholar]
- Mendez, K.; Kennedy, D.; Wang, D.D.; O’nEill, B.; Roche, E.T. Left Atrial Appendage Occlusion: Current Stroke Prevention Strategies and a Shift Toward Data-Driven, Patient-Specific Approaches. J. Soc. Cardiovasc. Angiogr. Interv. 2022, 1, 100405. [Google Scholar] [CrossRef]
- Chatzizisis, Y.S.; Edelman, E.R. Revolutionizing Cardiovascular Interventions with Artificial Intelligence. J. Soc. Cardiovasc. Angiogr. Interv. 2025, 4, 102580. [Google Scholar] [CrossRef]
- Sun, S.; Yeh, L.; Imanzadeh, A.; Kooraki, S.; Kheradvar, A.; Bedayat, A. The Current Landscape of Artificial Intelligence in Imaging for Transcatheter Aortic Valve Replacement. Curr. Radiol. Rep. 2024, 12, 113–120. [Google Scholar] [CrossRef]
- Muralidharan, V.; Adewale, B.A.; Huang, C.J.; Nta, M.T.; Ademiju, P.O.; Pathmarajah, P.; Hang, M.K.; Adesanya, O.; Abdullateef, R.O.; Babatunde, A.O.; et al. A scoping review of reporting gaps in FDA-approved AI medical devices. NPJ Digit. Med. 2024, 7, 273. [Google Scholar] [CrossRef]
- Marey, A.; Arjmand, P.; Alerab, A.; Eslami, M.J.; Saad, A.M.; Sanchez, N.; Umair, M. Explainability, transparency and black box challenges of AI in radiology: Impact on patient care in cardiovascular radiology. Egypt. J. Radiol. Nucl. Med. 2024, 55, 183. [Google Scholar] [CrossRef]
- Alzubaidi, L.; Zhang, J.; Humaidi, A.J.; Al-Dujaili, A.; Duan, Y.; Al-Shamma, O.; Santamaría, J.; Fadhel, M.A.; Al-Amidie, M.; Farhan, L. Review of deep learning: Concepts, CNN architectures, challenges, applications, future directions. J. Big Data 2021, 8, 53. [Google Scholar] [CrossRef]
- van Zyl, C.; Ye, X.; Naidoo, R. Harnessing eXplainable artificial intelligence for feature selection in time series energy forecasting: A comparative analysis of Grad-CAM and SHAP. Appl. Energy 2024, 353, 122079. [Google Scholar] [CrossRef]
- Maloney, S.; Haines, T. Issues of cost-benefit and cost-effectiveness for simulation in health professions education. Adv. Simul. 2016, 1, 13. [Google Scholar] [CrossRef] [PubMed]
- Lee, K.S.; Klein, A.J.; Bricker, R.S.; Salavitabar, A.; Ijioma, N.N.; Indik, J.H.; Jayasuriya, S.N.; Fortuin, F.D.; Damluji, A.A.; Brilakis, E.S.; et al. Current State of Simulation in Interventional Cardiology Training: Results of a SCAI Survey. J. Soc. Cardiovasc. Angiogr. Interv. 2025, 4 Pt A, 102566. [Google Scholar] [CrossRef] [PubMed]
- Tolu-Akinnawo, O.Z.; Ezekwueme, F.; Omolayo, O.; Batheja, S.; Awoyemi, T. Advancements in Artificial Intelligence in Noninvasive Cardiac Imaging: A Comprehensive Review. Clin. Cardiol. 2025, 48, e70087. [Google Scholar] [CrossRef]
- Biondi-Zoccai, G.; D’Ascenzo, F.; Giordano, S.; Mirzoyev, U.; Erol, Ç.; Cenciarelli, S.; Leone, P.; Versaci, F. Artificial Intelligence in Cardiology: General Perspectives and Focus on Interventional Cardiology. Anatol. J. Cardiol. 2025, 29, 152–163. [Google Scholar] [CrossRef]
- Mastrodicasa, D.; van Assen, M.; Huisman, M.; Leiner, T.; Williamson, E.E.; Nicol, E.D.; Allen, B.D.; Saba, L.; Vliegenthart, R.; Hanneman, K. Use of AI in Cardiac CT and MRI: A Scientific Statement from the ESCR, EuSoMII, NASCI, SCCT, SCMR, SIIM, and RSNA. Radiology 2025, 314, e240516. [Google Scholar] [CrossRef]
- Zhong, L.; Zhang, J.-M.; Su, B.; Tan, R.S.; Allen, J.C.; Kassab, G.S. Application of Patient-Specific Computational Fluid Dynamics in Coronary and Intra-Cardiac Flow Simulations: Challenges and Opportunities. Front. Physiol. 2018, 9, 742. [Google Scholar] [CrossRef]
- Morris, P.D.; Narracott, A.; von Tengg-Kobligk, H.; Soto, D.A.S.; Hsiao, S.; Lungu, A.; Evans, P.; Bressloff, N.W.; Lawford, P.V.; Hose, D.R.; et al. Computational fluid dynamics modelling in cardiovascular medicine. Heart 2016, 102, 18–28. [Google Scholar] [CrossRef] [PubMed]
- Abdulkareem, M.; Brahier, M.S.; Zou, F.; Taylor, A.; Thomaides, A.; Bergquist, P.J.; Srichai, M.B.; Lee, A.M.; Vargas, J.D.; Petersen, S.E. Generalizable Framework for Atrial Volume Estimation for Cardiac CT Images Using Deep Learning with Quality Control Assessment. Front. Cardiovasc. Med. 2022, 9, 822269. [Google Scholar] [CrossRef]





| Procedure Type | Platform | Study Design | Sample Size | Key Outcomes | Clinical Impact |
|---|---|---|---|---|---|
| LAAO | FEops HEARTguide™ | RCT (PREDICT-LAA) [25] | 200 patients | Primary composite outcomes: 28.9% vs. 41.8% (p = 0.08, trend favoring simulation) | First AI-enabled RCT proving procedural improvement |
| LAAO | FEops HEARTguide™ | Multicenter (PRECISE LAAO) [28] | ~100 patients | Complete LAA closure: 59.8% with standard planning vs. 90.2% with simulation planning | Demonstrates improved procedural planning accuracy |
| TAVI | FEops HEARTguide™ | Prospective (PRECISE-TAVI) [26] | 77 patients | PVL prediction accuracy AUC: 0.69, PPM prediction AUC: 0.83 | Validated predictive modeling for challenging anatomies |
| Publication | Study Design | Methodology | Key Findings |
|---|---|---|---|
| Buysschaert et al. [64] (2021) | Prospective study N = 15 Patients receiving LAAO with AmuletTM | Proceduralists first made sizing assessments based on standard pre-procedural planning and rated their confidence on a scale from 0 to 10. Then, they were provided the FEopsTM assessment and asked to make a sizing decision and re-rate their confidence in the decision. |
|
| PREDICT-LAA [25,65] (2023) | Prospective, multicenter, randomized study N = 200 Patients receiving LAAO with AmuletTM | Randomization (1:1) to computational simulation arm and standard arm Primary endpoint: Incomplete LAAC and DRT assessed at 3 months using post-procedure CT |
|
| Bavo et al. [63] (2020) | Retrospective validation study N = 30 Patients with pre- and post-procedural CT scans who received LAAO with either AmuletTM (n = 15) or WatchmanTM devices (n = 15) | Comparison of device frame deformation parameters and LAA wall apposition in virtually implanted devices and acute implants |
|
| Ranard et al. [66] (2022) | Retrospective study N = 22 Patients who received LAAO with Watchman FLXTM and had pre- and post-CT scans, as well as TEE imaging, available | Comparison of blinded and unblinded FEopsTM simulation results based on 3D-TEE measures of device deformation |
|
| Publication | Study Design | Methodology | Key Findings |
|---|---|---|---|
| Mill et al. [73] (2021) | N = 6 (3 with DRT and 3 without DRT) Patients with Amplatzer AmuletTM LAAO | CT scans were acquired twice—once between months 1 and 3 and once between months 3 and 6 after LAAC. Slicer 4.10.1 software was used to construct a 3D model. CFD simulations were performed using AnsysTM Fluent 19 R3. Post-processing and visualization of the simulation results were performed using ParaView 5.4.1. |
|
| Aguado et al. [74] (2019) | N = 4 Patients with WatchmanTM or AmuletTM LAAO (3 WatchmanTM, 1 AmuletTM) | Surface meshes of the LA were reconstructed from 3D CT images or rotational angiography images. The VIDAA platform was used to explore multiple WatchmanTM and AmuletTM configurations. The VIDAA data was then exported for CFD simulation using AnsysTM Fluent 18.2. |
|
| Vogl et al. [75] (2022) | Retrospective, N = 4 Patients with WatchmanTM LAAO (2 patients with DRT and 2 without DRT) | Three-dimensional models were created based on CT imaging. FEopsTM was used to deploy the device. CFD was performed on patient-specific models before and after device implantation. |
|
| D’Alessandro et al. [76] (2023) | N = 5 Simulated pre-LAAO morphology, LAAO with “pacifier device”, and LAAO with “plug device” | LA models were obtained from CT imaging. |
|
| Planas et al. [77] (2022) | N = 6 Watchman FLXTM and AmuletTM LAAO simulations | Three-dimensional surface meshes were created from pre-procedural CT scans using Meshmixer. VIDAA simulations were performed with the pulmonary ridge covered and uncovered. CFD was performed for all simulations using AnsysTM Fluent 19.2. |
|
Disclaimer/Publisher’s Note: The statements, opinions and data contained in all publications are solely those of the individual author(s) and contributor(s) and not of MDPI and/or the editor(s). MDPI and/or the editor(s) disclaim responsibility for any injury to people or property resulting from any ideas, methods, instructions or products referred to in the content. |
© 2025 by the authors. Licensee MDPI, Basel, Switzerland. This article is an open access article distributed under the terms and conditions of the Creative Commons Attribution (CC BY) license (https://creativecommons.org/licenses/by/4.0/).
Share and Cite
Agarwal, A.; Ranard, L.; Vahl, T.; Khalique, O. Advanced Computer Simulation Based on Cardiac Imaging in Planning of Structural Heart Disease Interventions. J. Clin. Med. 2025, 14, 6885. https://doi.org/10.3390/jcm14196885
Agarwal A, Ranard L, Vahl T, Khalique O. Advanced Computer Simulation Based on Cardiac Imaging in Planning of Structural Heart Disease Interventions. Journal of Clinical Medicine. 2025; 14(19):6885. https://doi.org/10.3390/jcm14196885
Chicago/Turabian StyleAgarwal, Alaukika, Lauren Ranard, Torsten Vahl, and Omar Khalique. 2025. "Advanced Computer Simulation Based on Cardiac Imaging in Planning of Structural Heart Disease Interventions" Journal of Clinical Medicine 14, no. 19: 6885. https://doi.org/10.3390/jcm14196885
APA StyleAgarwal, A., Ranard, L., Vahl, T., & Khalique, O. (2025). Advanced Computer Simulation Based on Cardiac Imaging in Planning of Structural Heart Disease Interventions. Journal of Clinical Medicine, 14(19), 6885. https://doi.org/10.3390/jcm14196885

