Does Cannabis Smoke Cause Interstitial Lung Disease?
Abstract
1. Introduction
2. Materials and Methods
2.1. Group 1
Subgroup
2.2. Group 2
2.3. Statistical Analysis
3. Results
3.1. Group 1
Subgroup
3.2. Group 2
4. Discussion
5. Conclusions
Author Contributions
Funding
Institutional Review Board Statement
Informed Consent Statement
Data Availability Statement
Conflicts of Interest
Abbreviations
| ReDiD | respiratory diseases caused by illicit drugs |
| ILD | interstitial lung disease |
| CT | computed tomography |
| BAL | broncho-alveolar lavage |
| THC | delta-9-tetrahydrocannabinol |
| CBN | cannabinol |
| CBD | cannabidiol |
| DIP | Desquamative interstitial pneumonia |
References
- Mégarbane, B.; Chevillard, L. The large spectrum of pulmonary complications following illicit drug use: Features and mechanisms. Chem. Biol. Interact. 2013, 206, 444–451. [Google Scholar] [CrossRef] [PubMed]
- de Almeida, R.R.; Zanetti, G.; Souza, A.S., Jr.; de Souza, L.S.; Silva, J.L.; Escuissato, D.L.; Irion, K.L.; Mançano, A.D.; Nobre, L.F.; Hochhegger, B.; et al. Cocaine-induced pulmonary changes: HRCT findings. J. Bras. Pneumol. 2015, 41, 323–330. [Google Scholar] [CrossRef] [PubMed]
- Restrepo, C.S.; Carrillo, J.A.; Martínez, S.; Ojeda, P.; Rivera, A.L.; Hatta, A. Pulmonary complications from cocaine and cocaine-based substances: Imaging manifestations. Radiographics 2007, 27, 941–956. [Google Scholar] [CrossRef] [PubMed]
- Alzghoul, B.N.; Abualsuod, A.; Alqam, B.; Innabi, A.; Palagiri, D.R.; Gheith, Z.; Amer, F.N.; Meena, N.K.; Kenchaiah, S. Cocaine use and pulmonary ipertension. Am. J. Cardiol. 2020, 125, 282–288. [Google Scholar] [CrossRef] [PubMed]
- Oubeid, M.; Bickel, J.T.; Ingram, F.A.; Scott, G.C. Pulmonary talc granulomatosis in a cocaine sniffer. Chest 1990, 98, 237–239. [Google Scholar] [CrossRef] [PubMed]
- Delourme, J.; Delattre, C.; Godard, P.; Steenhouwer, F.; Just, N. Respiratory consequences of inhalation of adulterated cannabis. Rev. Mal. Respir. 2009, 26, 552–556. [Google Scholar] [CrossRef] [PubMed]
- Cohen, K.; Weizman, A.; Weinstein, A. Positive and negative effects of cannabis and cannabinoids on health. Clin. Pharmacol. Ther. 2019, 105, 1139–1147. [Google Scholar] [CrossRef] [PubMed]
- Tashkin, D.P.; Simmons, M.S.; Tseng, C.-H. Impact of changes in regular use of marijuana and/or tobacco on chronic bronchitis. COPD 2012, 9, 367–374. [Google Scholar] [CrossRef] [PubMed]
- Moore, B.A.; Augustson, E.M.; Moser, R.P.; Budney, A.J. Respiratory effects of marijuana and tobacco use in a US sample. J. Gen. Intern. Med. 2005, 20, 33–37. [Google Scholar] [CrossRef] [PubMed]
- Rotolo, M.C.; Pellegrini, M.; Martucci, P.; Giacobbe, R.; De Palma, A.; Pacifici, R.; Pichini, S.; Busardò, F.P.; Bisconti, M. Cannabinoids determination in bronchoalveolar lavages of cannabis smokers with lung disease. Clin. Chem. Lab. Med. 2019, 67, 498–503. [Google Scholar] [CrossRef] [PubMed]
- Bisconti, M.; Marulli, G.; Pacifici, R.; Sollitto, F.; Nex, G.; Trabucco, X.; Ardò, N.P.; Rotolo, M.C.; De Iaco, G.; Panza, T.; et al. Cannabinoids identification in lung tissues of young cannabis smokers operated for primary spontaneous pneumothorax and correlation with pathologic findings. Respiration 2019, 98, 503–511. [Google Scholar] [CrossRef] [PubMed]
- Bisconti, M.; De Palma, A.; Pacifici, R.; Rotolo, M.C.; Pichini, S.; Brascia, D.; Trabucco, X.; Pellegrini, M.; Carrozzi, L.; Pistelli, F.; et al. Spontaneous Pneumothorax Secondary to Bullous Lung Emphysema Positive for Cannabinoids upon Toxicological Examination. J. Clin. Med. 2023, 12, 4956. [Google Scholar] [CrossRef] [PubMed]
- Spiro, S.G.; Silvestri, G.A.; Augustì, A. Clinical Respiratory Medicine, 4th ed.; Saunders: Philadelphia, PA, USA, 2012; p. 599. [Google Scholar]
- Phan, T.D.; Lau, K.K.P.; Li, X. Lung bullae an pulmonary fibrosis associated with marijuana smoking. Australas. Radiol. 2005, 49, 411–414. [Google Scholar] [CrossRef] [PubMed]
- Doshi, V.; Shenoy, S.; Ganesh, A.; Rishi, M.A.; Molnar, J.; Henkle, J. Profile of acute asthma exacerbation in drug users. Am. J. Ther. 2014, 24, e39–e43. [Google Scholar] [CrossRef] [PubMed]
- Fligiel, S.E.; Beals, T.F.; Tashkin, D.P.; Paule, M.G.; Scallet, A.C.; Ali, S.F.; Bailey, J.R.; Slikker, W., Jr. Marijuana exposure and pulmonary alterations in primates. Pharmacol. Biochem. Behav. 1991, 40, 637–642. [Google Scholar] [CrossRef] [PubMed]
- Scheel, A.H.; Krause, D.; Haars, H.; Schmitz, I.; Junker, K. Talcum induced pneumoconiosis following inhalation of adulterated marijuana, a case report. Diagn. Pathol. 2012, 7, 26. [Google Scholar] [CrossRef] [PubMed]
- Passarino, G.; Ciccone, G.; Siragusa, R.; Tappero, P.; Mollo, F. Histopathological findings in 851 autopsies of drug addicts, with toxicologic and virologic correlations. Am. J. Forensic Med. Pathol. 2005, 26, 106–116. [Google Scholar] [CrossRef] [PubMed]
- Morris, R.R. Human pulmonary histiopathological changes from marijuana smoking. J. Forensic Sci. 1985, 30, 345–349. [Google Scholar] [CrossRef] [PubMed]
- Hartman, T.E.; Primack, S.L.; Kang, E.Y.; Swensen, S.J.; Hansell, D.M.; McGuinness, G.; Muller, N.L. Disease progression in usual interstitial pneumonia compared with desquamative interstitial pneumonia: Assessment with serial CT. Chest 1996, 110, 378–382. [Google Scholar] [CrossRef] [PubMed]
- Carrington, C.B.; Gaensler, E.A.; Coutu, M.; FitzGerald, M.X.; Gupta, R.G. Natural history and treated course of usual and desquamative interstitial pneumonia. N. Engl. J. Med. 1978, 298, 801–809. [Google Scholar] [CrossRef] [PubMed]
- Ryu, J.H.; Myers, J.L.; Capizzi, S.A.; Douglas, W.W.; Vassallo, R.; Decker, P.A. Desquamative interstitial pneumonia and respiratory bronchiolitis-associated interstitial lung disease. Chest 2005, 127, 178–184. [Google Scholar] [CrossRef] [PubMed]
- Berthet, A.; De Cesare, M.; Favrat, B.; Sporkert, F.; Augsburber, M.; Thomas, A.; Giroud, C. A systematic review of passive exposure to cannabis. Forensic Sci. Int. 2016, 269, 97–112. [Google Scholar] [CrossRef] [PubMed]
- Ward, S.; Heyneman, L.E.; Reittner, P.; Kazerooni, E.A.; Godwin, J.D.; Muller, N.L. Talcosis associated with IV abuse of oral medications: CT findings. AJR Am. J. Roentgenol. 2000, 174, 789–793. [Google Scholar] [CrossRef] [PubMed]


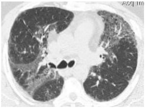
| Patient N. | Gender | Age (Years) | Type of Smoke/ Substance of Abuse * | Smoke/Abuse Duration (Years) | Cannabis Cigarettes Smoked or Other (per Day) | Last Intake Before BAL | Toxicological Results on BAL * | Chest CT Findings * |
|---|---|---|---|---|---|---|---|---|
| 1 | M | 43 | T/C | 20/15 | 20/n.d. | 1 day/5 days | THC, CBN, CBD | a,b |
| 2 | F | 42 | C (passive smoker) | 7 | 2–3 | 4 months | THC, CBN, CBD | a |
| 3 | M | 56 | T/C/H | 46/46/46 | 30/3/3 | 5 min/4 years/ 4 years | Negative | c |
| 4 | M | 44 | T/C | 34/n.d. | 20/1 | 5 min/2 months | Negative | d |
| 5 | M | 40 | T/C | 20/10 | 20/4 per week | 5 min/2 months | Negative | e |
| 6 | M | 55 | T/C/H (i.v.) | 41/40/17 | 20/1/n.d. | 5 min/3 days/ 20 years | THC, CBN, CBD | c |
| 7 | M | 44 | T/C | 26/n.d. | 20/occasional | 5 min/6 months | Negative | a |
| 8 | M | 45 | T/C/Co | 31/25/n.d. | 20/1/n.d. | 5 min/5 days/n.d. | THC,CBN,CBD | f |
| 9 | M | 44 | T/C | 19/n.d. | 20/occasional | 5 min/3 months | Negative | c |
| 10 | M | 18 | T/C | 4/1 | n.d./n.d. | 5 min/20 days | Cocaine, Benzoylecgoine | g |
| 11 | M | 46 | T/C/Co/H | 32/30/n.d./n.d. | 30/3–4/n.d./n.d. | 5 min/n.d./ 8 months/8 months | Negative | c |
| 12 | M | 43 | T/C/Co | 20/15/20 | 20/n.d./n.d. | 1 day/5 days/5 days | THC, CBN, CBD | b |
| 13 | M | 47 | T/C/Co | 20/15/10 | 20/n.d./n.d. | 1 day/20 days/1 day | Cocaine, Benzoylecgoine | a,b |
| 14 | M | 22 | T/C/Co | 10/15/10 | 20/occasional/occasional | 1 day/5 days/5 days | Cocaine, Benzoylecgoine | i |
| 15 | M | 46 | T/C/Co/H | 32/16/n.d./n.d. | 30/3–4/n.d./n.d. | 1 day/8 months/ 8 months/8 months | Negative | c |
| 16 | M | 46 | T/C/Co/H | 32/16/n.d./n.d. | 30/3–4/occasional/ occasional | 1 day/8 months/ 8 months/8 months | Cocaine, Benzoylecgoine | g,h |
| 17 | M | 33 | T/C | 14/15 | - | - | THC, CBN, CBD | h |
| 18 | M | 33 | T/C | 15/15 | 20 | - | Negative | tracheal stenosis |
| 19 | M | 39 | T/C | 14/19 | 20/5 | 1 month | Negative | a |
| 20 | M | 18 | T/C | 3/2 | 20/2 | - | THC, CBN, CBD | c |
| 21 | M | 22 | T/C/Co/K | 7/6/6/6 | 20/5 | 3 months | Negative | bronchitis |
| 22 | F | 40 | T/C/Co | 29/19/1 | 2–3 per week/2–3 | 20 days/2 months | THC, CBN, CBD | c |
| 23 | M | 20 | T/C | 6/6 | 20/2 | 1 day/1 day | THC, CBN, CBD | e |
| 24 | M | 49 | T/C/Co/H | 37/36/15/10 | 40/20 | - | THC, CBN, CBD | pleural effusion |
| 25 | M | 33 | T/C | - | - | - | THC, CBN, CBD | a |
| 26 | M | 31 | T/C/Co | 17/16/16 | 31/1–2 | 15 days | THC, CBN, CBD | a |
| Patient n. | Gender | Age (Years) | Toxicological Results on BAL * | Toxicological Results on Blood * |
|---|---|---|---|---|
| 1 | M | 34 | THC, CBN, CBD | Negative |
| 2 | M | 30 | Negative | Negative |
| 3 | M | 40 | THC, CBN, CBD | THC, CBN, CBD |
| 4 | M | 28 | Negative | Negative |
| 5 | M | 38 | THC, CBN, CBD | THC, CBN, CBD |
| 6 | M | 39 | Negative | Negative |
| 7 | M | 31 | Negative | Negative |
| 8 | M | 37 | THC, CBN, CBD | THC, CBN, CBD |
| 9 | M | 36 | THC, CBN, CBD | THC, CBN, CBD |
| 10 | M | 40 | THC, CBN, CBD | Negative |
| 11 | M | 42 | THC, CBN, CBD | Negative |
| 12 | M | 22 | Cocaine, Benzoylecgoine | Negative |
| 13 | M | 30 | Cocaine, Benzoylecgoine | Negative |
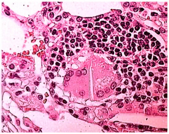
| Patient N. | Gender | Age (Years) | Type of Smoke/ Substance of Abuse * | Tobacco Cigarettes Smoked (per Day) | Cannabis Cigarettes Smoked (per Day) | Cannabis Smoke/Abuse Duration (Years) | Toxicological Results on Lung Tissue * | Pathological Findings * | Cellularity * | Chest CT Finding * |
|---|---|---|---|---|---|---|---|---|---|---|
| 1 | M | 24 | T/C | 10 | 1 | 9 | THC, CBN, CBD | a | d | - |
| 2 | M | 27 | T/C | 20 | 1 per month | n.d. | THC, CBN, CBD | a | c | f |
| 3 | M | 27 | T/C | 20 | 1 | 11 | THC, CBN, CBD | b | c | f,h |
| 4 | M | 24 | T/C | 15 | 1 | 9 | THC, CBN, CBD | a,b | c,d | - |
| 5 | M | 39 | T/C | 10 | 1 per month | 15 | Negative | no fibrosis | - | - |
| 6 | M | 27 | T/C | 20 | 1 | 13 | THC, CBN, CBD | a | e | - |
| 7 | M | 27 | T/C | 20 | 1 | 11 | THC, CBN, CBD | a,b | c | f,h |
| 8 | M | 18 | T/C | 5 | 1 per month | 3 | Negative | a | none | - |
| 9 | M | 24 | T/C | 15 | 1 | 9 | THC, CBN, CBD | a,b | c,d | - |
| 10 | M | 27 | T/C | 3–5 | 1 | 10 | THC, CBN, CBD | a,b | c | g |
| 11 | M | 19 | T/C | 7–9 | 2 | 4 | THC, CBN, CBD | a | e | - |
| 12 | M | 25 | T/C | 15 | 1 per month | 7 | Negative | - | none | - |
| 13 | M | 25 | T/C | 10 | 1 | 9 | Negative | a | - | - |
| 14 | M | 51 | T/C/Co/H | 50 | 1 | 20 | Negative | b | - | - |
| 15 | M | 19 | T/C | 5 | 1 per month | 3 | THC, CBN, CBD | a | none | - |
Disclaimer/Publisher’s Note: The statements, opinions and data contained in all publications are solely those of the individual author(s) and contributor(s) and not of MDPI and/or the editor(s). MDPI and/or the editor(s) disclaim responsibility for any injury to people or property resulting from any ideas, methods, instructions or products referred to in the content. |
© 2025 by the authors. Licensee MDPI, Basel, Switzerland. This article is an open access article distributed under the terms and conditions of the Creative Commons Attribution (CC BY) license (https://creativecommons.org/licenses/by/4.0/).
Share and Cite
Bisconti, M.; Martucci, P.; Minutillo, A.; Modoni, A.P.; Giacobbe, R.; Rotolo, M.C.; Sollitto, F.; Loizzi, D.; Ardò, N.P.; Trabucco, S.; et al. Does Cannabis Smoke Cause Interstitial Lung Disease? J. Clin. Med. 2025, 14, 5054. https://doi.org/10.3390/jcm14145054
Bisconti M, Martucci P, Minutillo A, Modoni AP, Giacobbe R, Rotolo MC, Sollitto F, Loizzi D, Ardò NP, Trabucco S, et al. Does Cannabis Smoke Cause Interstitial Lung Disease? Journal of Clinical Medicine. 2025; 14(14):5054. https://doi.org/10.3390/jcm14145054
Chicago/Turabian StyleBisconti, Mario, Paola Martucci, Adele Minutillo, Alessandra Palma Modoni, Raffaella Giacobbe, Maria Concetta Rotolo, Francesco Sollitto, Domenico Loizzi, Nicoletta Pia Ardò, Senia Trabucco, and et al. 2025. "Does Cannabis Smoke Cause Interstitial Lung Disease?" Journal of Clinical Medicine 14, no. 14: 5054. https://doi.org/10.3390/jcm14145054
APA StyleBisconti, M., Martucci, P., Minutillo, A., Modoni, A. P., Giacobbe, R., Rotolo, M. C., Sollitto, F., Loizzi, D., Ardò, N. P., Trabucco, S., Zaccaria, S., Fellini, P., Talamo, S., Marulli, G., & De Palma, A. (2025). Does Cannabis Smoke Cause Interstitial Lung Disease? Journal of Clinical Medicine, 14(14), 5054. https://doi.org/10.3390/jcm14145054

