Role of Femoral Artery Access Characteristics and Female Sex in In-Hospital Complications for Patients Undergoing Recanalization of Chronic Total Occlusions
Abstract
1. Introduction
2. Methods
2.1. Study Population and Interventions
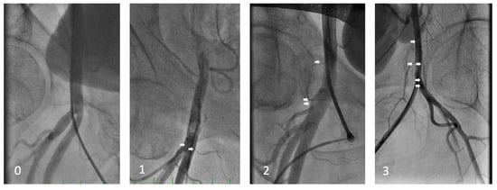
2.2. Assessment of Femoral Metrics
2.3. Data Collection and Procedural Endpoints
2.4. Statistical Analysis
3. Results
3.1. Baseline Characteristics
3.2. Lesion and Procedural Characteristics
3.3. Femoral Artery Metrics
3.4. Procedural and In-Hospital Complications
3.5. Predictors for In-Hospital Complications
3.6. Propensity Score-Matched Analysis
4. Discussion
5. Limitations
6. Conclusions
7. Clinical Implication
Supplementary Materials
Author Contributions
Funding
Institutional Review Board Statement
Informed Consent Statement
Data Availability Statement
Conflicts of Interest
References
- Dąbrowski, E.J.; Święczkowski, M.; Dudzik, J.M.; Grunwald, O.; Januszko, T.; Muszyński, P.; Pogorzelski, P.; Tokarewicz, J.; Południewski, M.; Kożuch, M.; et al. Percutaneous Coronary Intervention for Chronic Total Occlusion—Contemporary Approach and Future Directions. J. Clin. Med. 2023, 12, 3762. [Google Scholar] [CrossRef] [PubMed]
- Neumann, F.J.; Sousa-Uva, M.; Ahlsson, A.; Alfonso, F.; Banning, A.P.; Benedetto, U.; Byrne, R.A.; Collet, J.P.; Falk, V.; Head, S.J.; et al. 2018 ESC/EACTS Guidelines on myocardial revascularization. Eur. Heart J. 2019, 40, 87–165. [Google Scholar] [CrossRef] [PubMed]
- Brilakis, E.S.; Mashayekhi, K.; Tsuchikane, E.; Abi Rafeh, N.; Alaswad, K.; Araya, M.; Avran, A.; Azzalini, L.; Babunashvili, A.M.; Bayani, B.; et al. Guiding Principles for Chronic Total Occlusion Percutaneous Coronary Intervention: A Global Expert Consensus Document. Circulation 2019, 140, 420–433. [Google Scholar] [CrossRef]
- Sapontis, J.; Salisbury, A.C.; Yeh, R.W.; Cohen, D.J.; Hirai, T.; Lombardi, W.; McCabe, J.M.; Karmpaliotis, D.; Moses, J.; Nicholson, W.J.; et al. Early Procedural and Health Status Outcomes After Chronic Total Occlusion Angioplasty: A Report From the OPEN-CTO Registry (Outcomes, Patient Health Status, and Efficiency in Chronic Total Occlusion Hybrid Procedures). JACC Cardiovasc. Interv. 2017, 10, 1523–1534. [Google Scholar] [CrossRef]
- Levine, G.N.; Bates, E.R.; Blankenship, J.C.; Bailey, S.R.; Bittl, J.A.; Cercek, B.; Chambers, C.E.; Ellis, S.G.; Guyton, R.A.; Hollenberg, S.M.; et al. 2011 ACCF/AHA/SCAI guideline for percutaneous coronary intervention a report of the American College of Cardiology Foundation/American Heart Association Task Force on Practice Guidelines and the Society for Cardiovascular Angiography and Interventions. Circulation 2011, 124, e574–e651. [Google Scholar] [CrossRef] [PubMed]
- Tajti, P.; Karmpaliotis, D.; Alaswad, K.; Jaffer, F.A.; Yeh, R.W.; Patel, M.; Mahmud, E.; Choi, J.W.; Burke, M.N.; Doing, A.H.; et al. The Hybrid Approach to Chronic Total Occlusion Percutaneous Coronary Intervention: Update From the PROGRESS CTO Registry. JACC Cardiovasc. Interv. 2018, 11, 1325–1335. [Google Scholar] [CrossRef]
- Wilson, W.M.; Walsh, S.J.; Yan, A.T.; Hanratty, C.G.; Bagnall, A.J.; Egred, M.; Smith, E.; Oldroyd, K.G.; Mcentegart, M.; Irving, J.; et al. Hybrid approach improves success of chronic total occlusion angioplasty. Heart 2016, 102, 1486–1493. [Google Scholar] [CrossRef]
- Brilakis, E.S.; Mashayekhi, K.; Burke, M.N. How DECISION-CTO Can Help Guide the Decision to Perform Chronic Total Occlusion Percutaneous Coronary Intervention. Circulation 2019, 139, 1684–1687. [Google Scholar] [CrossRef]
- Konstantinidis, N.V.; Werner, G.S.; Deftereos, S.; Di Mario, C.; Galassi, A.R.; Buettner, J.H.; Avran, A.; Reifart, N.; Goktekin, O.; Garbo, R.; et al. Temporal trends in chronic total occlusion interventions in Europe: 17626 procedures from the European Registry of Chronic total occlusion. Circ. Cardiovasc. Interv. 2018, 11, e006229. [Google Scholar] [CrossRef]
- Claessen, B.E.; Chieffo, A.; Dangas, G.D.; Godino, C.; Lee, S.W.; Obunai, K.; Carlino, M.; Chantziara, V.; Apostolidou, I.; Henriques, J.P.S.; et al. Gender differences in long-term clinical outcomes after percutaneous coronary intervention of chronic total occlusions. J. Invasive Cardiol. 2012, 24, 484–488. [Google Scholar]
- Chichareon, P.; Modolo, R.; Kerkmeijer, L.; Tomaniak, M.; Kogame, N.; Takahashi, K.; Chang, C.C.; Komiyama, H.; Moccetti, T.; Talwar, S.; et al. Association of Sex with Outcomes in Patients Undergoing Percutaneous Coronary Intervention: A Subgroup Analysis of the GLOBAL LEADERS Randomized Clinical Trial. JAMA Cardiol. 2019, 5, 21–29. [Google Scholar] [CrossRef] [PubMed]
- Anderson, M.L.; Peterson, E.D.; Matthew Brennan, J.; Rao, S.V.; Dai, D.; Anstrom, K.J.; Piana, R.; Popescu, A.; Sedrakyan, A.; Messenger, J.C.; et al. Short-and long-term outcomes of coronary stenting in women versus men: Results from the national cardiovascular data registry centers for medicare & medicaid services cohort. Circulation 2012, 126, 2190–2199. [Google Scholar] [CrossRef] [PubMed]
- Serruys, P.W.; Cavalcante, R.; Collet, C.; Kappetein, A.P.; Sabik, J.F.; Banning, A.P.; Taggart, D.P.; Sabaté, M.; Pomar, J.; Boonstra, P.W.; et al. Outcomes After Coronary Stenting or Bypass Surgery for Men and Women With Unprotected Left Main Disease: The EXCEL Trial. JACC Cardiovasc. Interv. 2018, 11, 1234–1243. [Google Scholar] [CrossRef]
- Karatasakis, A.; Iwnetu, R.; Danek, B.A.; Karmpaliotis, D.; Alaswad, K.; Jaffer, F.A.; Yeh, R.W.; Kandzari, D.E.; Lembo, N.J.; Patel, M.; et al. The Impact of Age and Sex on In-Hospital Outcomes of Chronic Total Occlusion Percutaneous Coronary Intervention. J. Invasive Cardiol. 2017, 29, 116–122. [Google Scholar]
- Park, J.S.; Kim, Y.J.; Shin, D.G.; Jeong, M.H.; Ahn, Y.K.; Chung, W.S.; Seung, K.B.; Kim, C.J.; Cho, M.C.; Jang, Y.S.; et al. Gender differences in clinical features and in-hospital outcomes in ST-segment elevation acute myocardial infarction: From the Korean Acute Myocardial Infarction Registry (KAMIR) study. Clin. Cardiol. 2010, 33, E1–E6. [Google Scholar] [CrossRef] [PubMed]
- Hara, H.; Takahashi, K.; van Klaveren, D.; Wang, R.; Garg, S.; Ono, M.; Kawashima, H.; Gao, C.; Mack, M.; Holmes, D.R.; et al. Sex Differences in All-Cause Mortality in the Decade Following Complex Coronary Revascularization. J. Am. Coll. Cardiol. 2020, 76, 889–899. [Google Scholar] [CrossRef]
- Kosmidou, I.; Leon, M.B.; Zhang, Y.; Serruys, P.W.; von Birgelen, C.; Smits, P.C.; Ben-Yehuda, O.; Redfors, B.; Madhavan, M.V.; Maehara, A.; et al. Long-Term Outcomes in Women and Men Following Percutaneous Coronary Intervention. J. Am. Coll. Cardiol. 2020, 75, 1631–1640. [Google Scholar] [CrossRef]
- Latif, A.; Ahsan, M.J.; Lateef, N.; et al. Impact of sex on outcomes of percutaneous coronary intervention for chronic total occlusion: A meta-analysis. Catheter. Cardiovasc. Interv. 2022, 99, 254–262. [Google Scholar] [CrossRef]
- Toma, A.; Stähli, B.E.; Gick, M.; Ferenc, M.; Mashayekhi, K.; Buettner, H.J.; Neumann, F.J.; Gebhard, C. Temporal changes in outcomes of women and men undergoing percutaneous coronary intervention for chronic total occlusion: 2005–2013. Clin. Res. Cardiol. 2018, 107, 449–459. [Google Scholar] [CrossRef]
- Sandgren, T.; Sonesson, B.; Ahlgren, A.R.; Lanne, T. The diameter of the common femoral artery in healthy human: Influence of sex, age, and body size. J. Vasc. Surg. 1999, 29, 503–510. [Google Scholar] [CrossRef]
- Seto, A.H.; Tyler, J.; Suh, W.M.; Harrison, A.T.; Vera, J.A.; Zacharias, S.J.; Daly, T.S.; Sparling, J.M.; Patel, P.M.; Kern, M.J.; et al. Defining the common femoral artery: Insights from the femoral arterial access with ultrasound trial. Catheter. Cardiovasc. Interv. 2017, 89, 1185–1192. [Google Scholar] [CrossRef] [PubMed]
- Ahn, H.Y.; Lee, H.J.; Lee, H.J.; Yang, J.H.; Yi, J.S.; Lee, I.W. Assessment of the Optimal Site of Femoral Artery Puncture and Angiographic Anatomical Study of the Common Femoral Artery. J. Korean Neurosurg. Soc. 2014, 56, 91. [Google Scholar] [CrossRef]
- Morita, S.; Yamamoto, T.; Kamoshida, K.; Yamazaki, H.; Yatabe, M.; Ichihara, A.; Sakai, S. High Deep Femoral Artery Bifurcation Can Disturb Safe Femoral Venous Access: CT Assessment in Patients Who Underwent Femoral Venous Access Under Doppler Ultrasound Guidance. Interv. Radiol. 2021, 6, 29. [Google Scholar] [CrossRef]
- Harding, S.A.; Wu, E.B.; Lo, S.; Lim, S.T.; Ge, L.; Chen, J.Y.; Quan, J.; Lee, S.W.; Kao, H.L.; Tsuchikane, E. A New Algorithm for Crossing Chronic Total Occlusions From the Asia Pacific Chronic Total Occlusion Club. JACC Cardiovasc. Interv. 2017, 10, 2135–2143. [Google Scholar] [CrossRef]
- Mehran, R.; Rao, S.V.; Bhatt, D.L.; Gibson, C.M.; Caixeta, A.; Eikelboom, J.; Kaul, S.; Wiviott, S.D.; Menon, V.; Nikolsky, E.; et al. Standardized Bleeding Definitions for Cardiovascular Clinical Trials. Circulation 2011, 123, 2736–2747. [Google Scholar] [CrossRef] [PubMed]
- Peterson, E.D.; Lansky, A.J.; Kramer, J.; Anstrom, K.; Lanzilotta, M.J. Effect of gender on the outcomes of contemporary percutaneous coronary intervention. Am. J. Cardiol. 2001, 88, 359–364. [Google Scholar] [CrossRef]
- Funakoshi, S.; Furukawa, Y.; Ehara, N.; Morimoto, T.; Kaji, S.; Yamamuro, A.; Kinoshita, M.; Kitai, T.; Kim, K.; Tani, T.; et al. Clinical characteristics and outcomes of Japanese women undergoing coronary revascularization therapy. Circ. J. 2011, 75, 1358–1367. [Google Scholar] [CrossRef]
- Khamis, R.Y.; Ammari, T.; Mikhail, G.W. Gender differences in coronary heart disease. Heart 2016, 102, 1142–1149. [Google Scholar] [CrossRef] [PubMed]
- Sharma, V.; Wilson, W.; Smith, W.; McEntegart, M.; Oldroyd, K.; Sidik, N.; Bagnall, A.; Egred, M.; Irving, J.; Strange, J.; et al. Comparison of Characteristics and Complications in Men Versus Women Undergoing Chronic Total Occlusion Percutaneous Intervention. Am. J. Cardiol. 2017, 119, 535–541. [Google Scholar] [CrossRef]
- Kostantinis, S.; Simsek, B.; Karacsonyi, J.; Alaswad, K.; Basir, M.B.; Megaly, M.; Gorgulu, S.; Krestyaninov, O.; Khelimskii, D.; Davies, R.E.; et al. Gender differences in chronic total occlusion percutaneous coronary interventions: Insights from the PROGRESS-CTO registry. Catheter. Cardiovasc. Interv. 2022, 100, 1010–1018. [Google Scholar] [CrossRef]
- Kyaw, H.; Giustino, G.; Kumar, S.; Sartori, S.; Qiu, H.; Feng, Y.; Iruvanti, S.; Kini, A.; Mehran, R.; Sharma, S.K. Gender-Based Differences in Outcomes After Percutaneous Coronary Intervention of Chronic Total Occlusions (Insights from a Large Single-Center Registry). Am. J. Cardiol. 2023, 207, 108–113. [Google Scholar] [CrossRef] [PubMed]
- Avran, A.; Zuffi, A.; Gobbi, C.; Gasperetti, A.; Schiavone, M.; Werner, G.S.; Kambis, M.; Boudou, N.; Galassi, A.R.; Sianos, G.; et al. Gender differences in percutaneous coronary intervention for chronic total occlusions from the ERCTO study. Catheter. Cardiovasc. Interv. 2023, 101, 918–931. [Google Scholar] [CrossRef] [PubMed]
- Shoaib, A.; Sharma, V.; Spratt, J.C.; Wilson, S.; Hussain, S.T.; Velagapudi, P.; Siller-Matula, J.M.; Rashid, M.; Ludman, P.; Cockburn, J.; et al. Sex Differences in Clinical Profile and Outcome After Percutaneous Coronary Intervention for Chronic Total Occlusion. Cardiovasc. Revasc Med. 2023, 49, 34–41. [Google Scholar] [CrossRef]
- Rao, S.V.; Hess, C.N.; Barham, B.; Aberle, L.H.; Anstrom, K.J.; Patel, T.B.; Jorgensen, J.P.; Mazzaferri, E.L.; Jolly, S.S.; Jacobs, A.; et al. A registry-based randomized trial comparing radial and femoral approaches in women undergoing percutaneous coronary intervention: The SAFE-PCI for Women (Study of Access Site for Enhancement of PCI for Women) trial. JACC Cardiovasc. Interv. 2014, 7, 857–867. [Google Scholar] [CrossRef]
- Romaguera, R.; Wakabayashi, K.; Laynez-Carnicero, A.; Sardi, G.; Maluenda, G.; Ben-Dor, I.; Torguson, R.; Kent, K.M.; Satler, L.F.; Suddath, W.O.; et al. Association between bleeding severity and long-term mortality in patients experiencing vascular complications after percutaneous coronary intervention. Am. J. Cardiol. 2012, 109, 75–81. [Google Scholar] [CrossRef]
- Murali, S.; Vogrin, S.; Noaman, S.; Dinh, D.T.; Brennan, A.L.; Lefkovits, J.; Reid, C.M.; Cox, N.; Chan, W. Bleeding Severity in Percutaneous Coronary Intervention (PCI) and Its Impact on Short-Term Clinical Outcomes. J. Clin. Med. 2020, 9, 1426. [Google Scholar] [CrossRef]
- Karrowni, W.; Vyas, A.; Giacomino, B.; Schweizer, M.; Blevins, A.; Girotra, S.; Horwitz, P.A. Radial versus femoral access for primary percutaneous interventions in ST-segment elevation myocardial infarction patients: A meta-analysis of randomized controlled trials. JACC Cardiovasc. Interv. 2013, 6, 814–823. [Google Scholar] [CrossRef]
- Dodge, J.T.; Brown, B.G.; Bolson, E.L.; Dodge, H.T. Lumen diameter of normal human coronary arteries. Influence of age, sex, anatomic variation, and left ventricular hypertrophy or dilation. Circulation 1992, 86, 232–246. [Google Scholar] [CrossRef] [PubMed]
- Kim, S.G.; Apple, S.; Mintz, G.S.; McMillan, T.; Caños, D.A.; Maehara, A.; Weissman, N.J. The importance of gender on coronary artery size: In-vivo assessment by intravascular ultrasound. Clin. Cardiol. 2004, 27, 291–294. [Google Scholar] [CrossRef]
- O’Connor, N.J.; Morton, J.R.; Birkmeyer, J.D.; Olmstead, E.M.; O’Connor, G.T. Effect of coronary artery diameter in patients undergoing coronary bypass surgery. Circulation 1996, 93, 652–655. [Google Scholar] [CrossRef]
- Bangalore, S.; Bhatt, D.L. Femoral arterial access and closure. Circulation 2011, 124, e147–e156. [Google Scholar] [CrossRef] [PubMed]


| Variable | Total Cohort (n = 271) | Male (n = 222) | Female (n = 49) | p-Value |
|---|---|---|---|---|
| Age | 67.56 ± 11.22 | 66.68 ± 10.86 | 71.59 ± 12.02 | 0.005 |
| BMI | 28.8 ± 6.10 | 28.5 ± 6.09 | 30.2 ± 5.98 | 0.075 |
| Obesity | 94 (34.7) | 79 (35.6) | 15 (30.6) | 0.508 |
| Diabetes | 99 (36.5) | 83 (37.4) | 16 (32.7) | 0.533 |
| Hypertension | 197 (72.7) | 160 (72.1) | 37 (75.5) | 0.625 |
| Current smoker | 78 (28.8) | 68 (30.6) | 10 (20.4) | 0.153 |
| Family history of premature CAD | 71 (26.1) | 58 (26.1) | 13 (26.5) | 0.954 |
| Prior MI | 129 (47.6) | 108 (48.6) | 21 (42.9) | 0.463 |
| Prior PCI | 168 (62) | 146 (65.8) | 22 (44.9) | 0.006 |
| Heart Failure | 45 (16.6) | 35 (15.8) | 10 (20.4) | 0.429 |
| Prior CABG | 37 (13.7) | 30 (13.5) | 7 (14.3) | 0.887 |
| PAD | 51 (18.8) | 40 (18.0) | 11 (22.4) | 0.606 |
| Stroke/TIA | 17 (6.27) | 13 (5.86) | 4 (8.16) | 0.521 |
| Chronic pulmonary disease | 33 (12.2) | 24 (10.8) | 9 (18.4) | 0.143 |
| CKD | 59 (21.8) | 49 (22.1) | 10 (20.4) | 0.798 |
| Anticoagulation therapy | 53 (19.6) | 45 (20.3) | 8 (16.3) | 0.666 |
| Prasugrel/Ticagrelor | 59 (21.8) | 47 (21.2) | 12 (24.5) | 0.750 |
| GFR (mL/min/1.73 m2) | 69.8 ± 24.6 | 70.5 ± 24.4 | 66.2 ± 25.1 | 0.303 |
| Leucocytes (G/L) | 7.53 [6.52; 9.80] | 7.50 [6.44; 9.86] | 7.91 [6.72; 9.34] | 0.687 |
| Hemoglobin (g/dL) | 13.2 ± 1.97 | 13.2 ± 1.97 | 12.9 ± 1.98 | 0.279 |
| LDL (mg/dL) | 59.9 [46.0; 78.6] | 58.3 [46.1; 78.3] | 65.4 [45.9; 78.6] | 0.793 |
| NT-proBNP (ng/dL) | 501 [203; 1518] | 536 [226; 1514] | 478 [146; 1746] | 0.317 |
| CRP (mg/L) | 0.23 [0.08; 0.63] | 0.23 [0.08; 0.56] | 0.23 [0.11; 0.76] | 0.359 |
| Variable | Total Cohort (n = 271) | Male (n = 222) | Female (n = 49) | p-Value |
|---|---|---|---|---|
| Number of diseased vessels | ||||
| 1 | 38 (14) | 29 (13.1) | 9 (18.4) | 0.333 |
| 2 | 98 (36.2) | 79 (35.6) | 19 (38.8) | 0.674 |
| 3 | 135 (49.8) | 114 (51.4) | 21 (42.9) | 0.282 |
| CTO localization | ||||
| LAD | 67 (24.7) | 53 (23.9) | 14 (28.6) | 0.501 |
| RCX | 51 (18.8) | 43 (19.4) | 8 (16.3) | 0.613 |
| RCA | 152 (56.1) | 125 (56.3) | 27 (55.1) | 0.852 |
| J-CTO | 1.75 ± 1.240 | 1.76 ± 1.219 | 1.69 ± 1.342 | 0.731 |
| PROGRESS-CTO | 0.77 ± 0.804 | 0.78 ± 0.796 | 0.71 ± 0.842 | 0.609 |
| In-stent CTO | 22 (8.1) | 19 (8.6) | 3 (6.1) | 0.572 |
| Bridging collateral | 135 (49.8) | 113 (50.9) | 22 (44.9) | 0.447 |
| Blunt stump | 124 (45.8) | 104 (46.8) | 20 (40.8) | 0.443 |
| Calcification | 66 (24.4) | 51 (23) | 15 (30.6) | 0.259 |
| Length > 20 mm | 170 (62.7) | 145 (65.3) | 25 (51.0) | 0.061 |
| Proximal cap ambiguity | 103 (38.0) | 87 (39.2) | 16 (32.7) | 0.394 |
| Retry | 33 (12.2) | 26 (11.7) | 7 (14.3) | 0.618 |
| Tortuosity | 26 (9.6) | 21 (9.5) | 5 (10.2) | 0.873 |
| CTO involving a bifurcation lesion | 55 (20.3) | 50 (22.5) | 5 (10.2) | 0.052 |
| Largest sheath size (F) | 0.430 | |||
| 6 | 119 (43.9) | 93 (41.9) | 26 (53.1) | |
| 7 | 141 (52.0) | 120 (54.1) | 21 (42.9) | |
| 8 | 10 (3.69) | 8 (3.60) | 2 (4.08) | |
| 14 | 1 (0.37) | 1 (0.45) | 0 (0.0) | |
| Retrograde | 60 (22.1) | 51 (23.0) | 9 (18.4) | 0.482 |
| Rotational atherectomy | 16 (5.9) | 10 (4.50) | 6 (12.2) | 0.048 |
| Intravascular imaging: | 0.689 | |||
| IVUS | 27 (10.0) | 24 (10.8) | 3 (6.1) | |
| OCT | 3 (1.1) | 3 (1.4) | 0 (0.0) | |
| Femoral | 196 (72.3) | 161 (72.5) | 35 (71.4) | 0.999 |
| Technical success | 219(80.8) | 182(82.0) | 37(75.5) | 0.298 |
| Contrast volume (ml) | 257.07 ± 114.07 | 262.75 ± 116.21 | 231.98 ± 101.42 | 0.092 |
| Total DAP (cGycm2) | 18,427 ± 12,840 | 19,314 ± 13,255 | 14,590 ± 10,119 | 0.024 |
| Fluoroscopy time (min) | 54.60 ± 34.78 | 54.56 ± 35.12 | 54.74 ± 33.63 | 0.975 |
| Total procedural time (min) | 185.75 ± 66.77 | 187.02 ± 67.15 | 180.06 ± 65.42 | 0.511 |
| Femoral metrics | n = 196 | n = 161 | n = 35 | |
| Minimal femoral diameter (mm) | 7.3 ± 1.5 | 7.6 ± 1.4 | 5.9 ± 1.2 | <0.001 |
| Maximal femoral diameter (mm) | 8.0 ± 1.7 | 8.3 ± 1.6 | 6.5 ± 1.2 | <0.001 |
| Femoral side branches density | 1.2 ± 0.9 | 1.2 ± 0.9 | 1.5 ± 0.8 | 0.054 |
| Mid-femoral head to bifurcation (mm) | 23.5 ± 12.6 | 24.3 ± 12.5 | 19.5 ± 12.5 | 0.048 |
| Bifurcation to femoral head height ratio | 1.01 ± 0.28 | 1.02 ± 0.27 | 0.95 ± 0.30 | 0.197 |
| Puncture to femoral head height ratio | 0.58 ± 0.28 | 0.59 ± 0.26 | 0.54 ± 0.36 | 0.501 |
| Variable | Total Cohort (n = 271) | Male (n = 222) | Female (n = 49) | p-Value |
|---|---|---|---|---|
| In-hospital complications | 23 (8.5) | 15 (6.8) | 8 (16.3) | 0.044 |
| MACCE | 7 (2.6) | 4 (1.8) | 3 (6.1) | 0.114 |
| Aorta dissection | 3 (1.1) | 3 (1.4) | 0 (0.0) | 1.00 |
| Coronary perforation with need for intervention | 6 (2.2) | 5 (2.3) | 1 (2.0) | 1.00 |
| Tamponade | 1 (0.4) | 0 | 1 (2.0) | 0.181 |
| Peripheral vascular complication | 6 (2.2) | 4 (1.8) | 2 (4.1) | 0.297 |
| Major bleeding | 8 (3.0) | 5 (2.3) | 3 (6.1) | 0.160 |
| Stroke | 3 (1.1) | 2 (0.9) | 1 (2.0) | 0.452 |
| In-hospital death | 4 (1.5) | 2 (0.9) | 2 (4.1) | 0.151 |
| Acute surgery | 4 (1.5) | 3 (1.4) | 1 (2.0) | 0.717 |
| Aortic dissection surgery | 1 | 1 | 0 | |
| Pericardial tamponade surgery | 2 | 1 | 1 | |
| Retroperitoneal bleeding | 1 | 1 | 0 |
Disclaimer/Publisher’s Note: The statements, opinions and data contained in all publications are solely those of the individual author(s) and contributor(s) and not of MDPI and/or the editor(s). MDPI and/or the editor(s) disclaim responsibility for any injury to people or property resulting from any ideas, methods, instructions or products referred to in the content. |
© 2025 by the authors. Licensee MDPI, Basel, Switzerland. This article is an open access article distributed under the terms and conditions of the Creative Commons Attribution (CC BY) license (https://creativecommons.org/licenses/by/4.0/).
Share and Cite
Hamzaraj, K.; Demirel, C.; Domanig, A.; Graf, S.; Gyöngyösi, M.; Hengstenberg, C.; Frey, B.; Hemetsberger, R. Role of Femoral Artery Access Characteristics and Female Sex in In-Hospital Complications for Patients Undergoing Recanalization of Chronic Total Occlusions. J. Clin. Med. 2025, 14, 4496. https://doi.org/10.3390/jcm14134496
Hamzaraj K, Demirel C, Domanig A, Graf S, Gyöngyösi M, Hengstenberg C, Frey B, Hemetsberger R. Role of Femoral Artery Access Characteristics and Female Sex in In-Hospital Complications for Patients Undergoing Recanalization of Chronic Total Occlusions. Journal of Clinical Medicine. 2025; 14(13):4496. https://doi.org/10.3390/jcm14134496
Chicago/Turabian StyleHamzaraj, Kevin, Caglayan Demirel, Antonia Domanig, Senta Graf, Mariann Gyöngyösi, Christian Hengstenberg, Bernhard Frey, and Rayyan Hemetsberger. 2025. "Role of Femoral Artery Access Characteristics and Female Sex in In-Hospital Complications for Patients Undergoing Recanalization of Chronic Total Occlusions" Journal of Clinical Medicine 14, no. 13: 4496. https://doi.org/10.3390/jcm14134496
APA StyleHamzaraj, K., Demirel, C., Domanig, A., Graf, S., Gyöngyösi, M., Hengstenberg, C., Frey, B., & Hemetsberger, R. (2025). Role of Femoral Artery Access Characteristics and Female Sex in In-Hospital Complications for Patients Undergoing Recanalization of Chronic Total Occlusions. Journal of Clinical Medicine, 14(13), 4496. https://doi.org/10.3390/jcm14134496

