Histological Analysis of Root Surface Treatment with Tetracycline and Ampicillin in the Repair Process of Rat Teeth Subjected to Delayed Replantation
Abstract
1. Introduction
Objective
2. Material and Methods
2.1. Animals
2.2. Dental Replantation
2.3. Histological Processing
2.4. Statistical Analysis
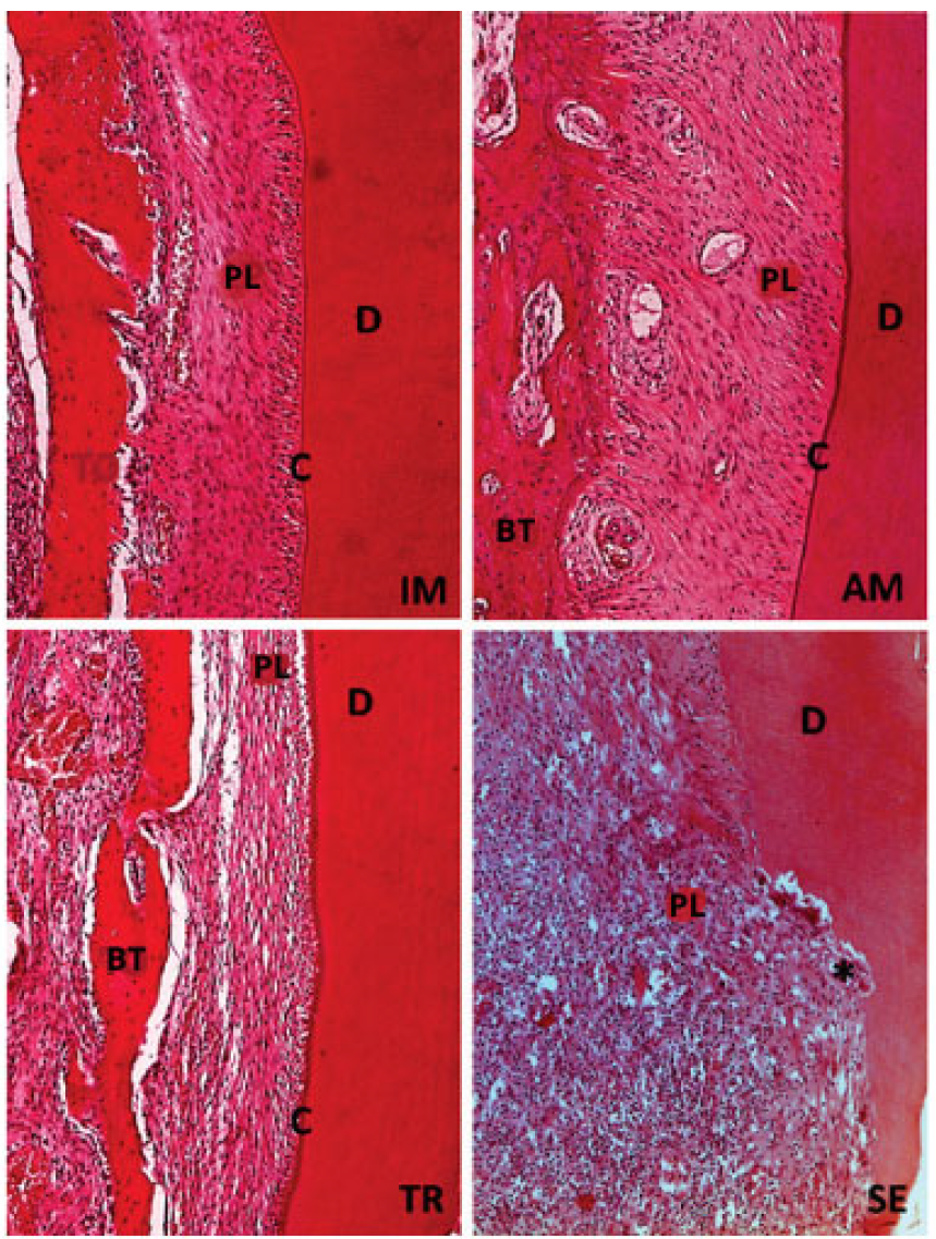
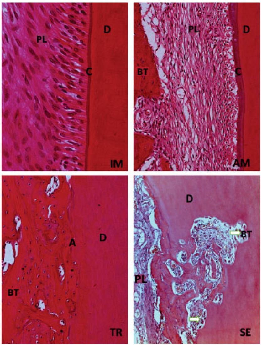
3. Results
4. Discussion
5. Conclusions
Author Contributions
Funding
Institutional Review Board Statement
Informed Consent Statement
Data Availability Statement
Conflicts of Interest
References
- Andreasen, J.O.; Andreasen, F.M. Avulsões. In Texto e Atlas Colorido de Traumatismo Dental; Andreasen, J.O., Andreasen, F.M., Eds.; Artmed: Porto Alegre, Brazil, 2001; pp. 383–425. [Google Scholar]
- Patil, S.; Dumsha, T.C.; Sydiskis, R.J. Determining periodontal ligament (PDL) cell vitality from exarticulated teeth stored in saline or milk using fluorescein diacetate. Int. Endod. J. 1994, 27, 15. [Google Scholar] [CrossRef] [PubMed]
- De Carvalho Cardoso, L.; Poi, W.R.; Panzarini, S.R.; Sonoda, C.K.; Da Silveira Rodrigues, T.; Manfrin, T.M. Knowledge of firefighters with special paramedic training of the emergency management of avulsed teeth. Dent. Traumatol. 2009, 25, 58–63. [Google Scholar] [CrossRef] [PubMed]
- Cohenca, N.; Forrest, J.L.; Rotstein, I. Knowledge of oral health professionals of treatment of avulsed teeth. Dent. Traumatol. 2006, 22, 296–301. [Google Scholar] [CrossRef] [PubMed]
- Panzarini, S.R.; Pedrini, D.; Brandini, D.A.; Poi, W.R.; Santos, M.F.; Correa, J.P.T.; Silva, F.F. Physical education undergraduates and dental trauma knowledge. Dent. Traumatol. 2005, 21, 324–328. [Google Scholar] [CrossRef]
- Nam, O.H.; Cheon, K.; Kim, M.S.; Lee, H.-S.; Choi, S.C. Evaluation of the periodontal and pulpal healing of replanted rat molars with doxycycline root conditioning. J. Periodontal Implant. Sci. 2019, 49, 148–157. [Google Scholar] [CrossRef]
- Meng, M.; Chen, Y.; Ren, H.; Zhang, Q.; Chen, S.; Zhou, X.; Zou, J. Effect of tetracyclines on pulpal and periodontal healing after tooth replantation: A systematic review of human and animal studies. BMC Oral Health 2021, 21, 289. [Google Scholar] [CrossRef]
- Negri, M.R.; Panzarini, S.R.; Poi, W.R.; Sonoda, C.K.; Gulinelli, J.L.; Saito, C.T.M.H. Analysis of the healing process in delayed tooth replantation after root canal filling with calcium hydroxide, Sealapex and Endofill: A microscopic study in rats. Dent. Traumatol. 2008, 24, 645–650. [Google Scholar] [CrossRef]
- Gomes, W.D.; Silva, C.A.; Melo, M.E.; da Silva, V.F.; de Almeida, M.M.; Pedrini, D.; Poi, W.R.; Sonoda, C.K.; Panzarini, S.R. Delayed tooth replantation in rats: Effect of systemic antibiotic therapy with amoxicillin and tetracycline. Dent. Traumatol. 2015, 31, 448–456. [Google Scholar] [CrossRef]
- Fouad, A.F.; Abbott, P.V.; Tsilingaridis, G.; Cohenca, N.; Lauridsen, E.; Bourguignon, C.; O’Connell, A.; Flores, M.T.; Day, P.F.; Hicks, L.; et al. International Association of Dental Traumatology guidelines for the management of traumatic dental injuries: 2. Avulsion of permanent teeth. Dent. Traumatol. 2020, 36, 331–342. [Google Scholar] [CrossRef]
- Côvre, L.M.; Caliente, E.A.; Sonoda, C.K.; Brandini, D.A.; Poi, W.R. The effect of soy and whole milk as a means to store avulsed teeth: A histometric study. Dent. Traumatol. 2021, 37, 81–89. [Google Scholar] [CrossRef]
- Day, P.F.; Duggal, M.; Nazzal, H. Interventions for treating traumatised permanent front teeth: Avulsed (knocked out) and replanted. Cochrane Database Syst. Rev. 2019, 2, CD006542. [Google Scholar] [CrossRef] [PubMed]
- Wang, G.; Wang, C.; Qin, M. Estudo retrospectivo da sobrevivência de 196 dentes permanentes replantados em crianças. Dent. Traumatol. 2019, 35, 251–258. [Google Scholar] [CrossRef] [PubMed]
- Bourguignon, C.; Cohenca, N.; Lauridsen, E.; Flores, M.T.; O’Connell, A.C.; Day, P.F.; Tsilingaridis, G.; Abbott, P.V.; Fouad, A.F.; Hicks, L.; et al. International Association of Dental Traumatology guidelines for the management of traumatic dental injuries: 1. Fractures and luxations. Dent. Traumatol. 2020, 36, 314–330. [Google Scholar] [CrossRef]
- Poi, W.R.; Sonoda, C.K.; Martins, C.M.; Melo, M.E.; Pellizzer, E.P.; de Mendonça, M.R.; Panzarini, S.R. Storage media for avulsed teeth: A literature review. Braz. Dent. J. 2013, 24, 437–445. [Google Scholar] [CrossRef]
- Esteve, J.C.; Marão, H.F.; dos Santos Silva, P.I.; Poi, W.R.; Panzarini, S.R.; Aranega, A.M.; Ribeiro, E.D.; Sonoda, C.K. Delayed tooth replantation following root canal filling with calcium hydroxide and MTA: Histomorphometric study in rats. Arch. Oral Biol. 2015, 60, 1254–1262. [Google Scholar] [CrossRef]
- TUNA, E.B.; Arai, K.; Tekkesin, M.S.; Seymen, F.; Gencay, K.; Kuboyama, N.; Maeda, T. Effect of fibroblast growth factor and enamel matrix derivative treatment on root resorption after delayed replantation. Dent. Traumatol. 2015, 31, 49–56. [Google Scholar] [CrossRef]
- Quispe-Salcedo, A.; Ida-Yonemochi, H.; Ohshima, H. Effects of a triple antibiotic solution on pulpal dynamics after intentionally delayed tooth replantation in mice. J. Endod. 2014, 40, 1566–1572. [Google Scholar] [CrossRef]
- Najeeb, S.; Siddiqui, F.; Khurshid, Z.; Zohaib, S.; Zafar, M.S.; Ansari, S.A. Effect of bisphosphonates on root resorption after tooth replantation: A systematic review. Dent. Traumatol. 2017, 33, 77–83. [Google Scholar] [CrossRef]
- STABHOLZ, A.; Kettering, J.; Aprecio, R.; Zimmerman, G.; Baker, P.J.; Wikesjö, U.M. Antimicrobial properties of human dentine impregnated with tetracycline HCL or chlorhexidine: An in vitro study. J. Clin. Periodontol. 1993, 20, 557–561. [Google Scholar] [CrossRef]
- Tsilingaridis, G.; Malmgren, B.; Skutberg, C.; Malmgren, O. The effect of topical treatment with doxycycline compared to saline on 66 avulsed permanent teeth: A retrospective case-control study. Dent. Traumatol. 2015, 31, 171–176. [Google Scholar] [CrossRef]
- Bourgeois, J.; Carvalho, J.C.; De Bruyne, M.; Declerck, D.; Eloot, A.; Leroy, R. Antibiotics at replantation of avulsed permanent teeth? A systematic review. J. Evid.-Based Dent. Pract. 2022, 22, 101706. [Google Scholar] [CrossRef] [PubMed]
- MELO, M.E.; Silva, C.A.; de Souza Gomes, W.D.; Da Silva, V.F.; Brandini, D.A.; Poi, W.R.; Castilho, L.R.; Sonoda, C.K.; Panzarini, S.R. Immediate tooth replantation in rats: Effect of systemic antibiotic therapy with amoxicillin and tetracycline. Clin. Oral Investig. 2016, 20, 523–532. [Google Scholar] [CrossRef] [PubMed]
- Sae-Lim, V.; Wang, C.Y.; Trope, M. Effect of systemic tetracycline and amoxicillin on inflammatory root resorption of replanted dogs’ teeth. Endod. Dent. Traumatol. 1998, 14, 216–220. [Google Scholar] [CrossRef] [PubMed]
- Gu, Y.; Walker, C.; Ryan, M.E.; Payne, J.B.; Golub, L.M. Non-antibacterial tetracycline formulations: Clinical applications in dentistry and medicine. J. Oral Microbiol. 2012, 4, 19227. [Google Scholar] [CrossRef]
- Queiroz, A.F.; Hidalgo, M.M.; Consolaro, A.; Panzarini, S.R.; França, A.B.; Melo, M.E.; Poi, W.R. Effect of systemic antibiotic therapy on pulp repair following extrusive luxation and avulsion in a murine model: A histomorphological study. Dent. Traumatol. 2022, 38, 397–409. [Google Scholar] [CrossRef]
- Ribeiro, E.D.; de Santana, I.H.G.; Viana, M.R.M.; Fan, S.; Mohamed, A.; Dias, J.C.P.; Forte, A.G.; Júnior, J.M.P.; Ferreira, A.J.; Sant’ana, E. Optimal treatment time with systemic antimicrobial therapy in odontogenic infections affecting the jaws: A systematic review. BMC Oral Health 2025, 25, 253. [Google Scholar] [CrossRef]
- Almayoof, M.; Abbarh, S.; Mohammed, A.; Sawaf, B.; Alawad, M.J.; Alobaidy, M. Esophageal Ulceration Following the Ingestion of a Single Dose of Doxycycline: A Case Report. Cureus 2024, 16, e57043. [Google Scholar] [CrossRef]
- Souza, G.B. Manipulação Farmacêutica. Estabilidade de Formulações de Uso Hospitalar; JME & Filhos Gráfica e Editora Ltda: Rio de Janeiro, Brazil, 2000. [Google Scholar]
- Souza, G.B. Manipulação Farmacêutica; Polyprint Serviços Gráficos Ltda: Rio de Janeiro, Brazil, 2002. [Google Scholar]
- Osmanovic, A.; Halilovic, S.; Kurtovic-Kozaric, A.; Hadziabdic, N. Evaluation of periodontal ligament cell viability in different storage media based on human PDL cell culture experiments—A systematic review. Dent. Traumatol. 2018, 34, 384–389. [Google Scholar] [CrossRef]







| Exodontia, endodontics, and replantation | Follow-up | |
| 10 min | 60 days | Euthanasia |
| Exodontia, storage in milk or dry medium | Immersion in ampicillin, tetracycline, or saline solution | Endodontics and replantation | Follow-up | |
| 60 min | 5 min | 10 min | 60 days | Euthanasia |
| Variables | Experimental Groups | |||||||
|---|---|---|---|---|---|---|---|---|
| AM | TR | SE | IM | |||||
| Mean (SD) | Median | Mean (SD) | Median | Mean (SD) | Median | Mean (SD) | Median | |
| Reattachment of PL (%) | 77.9 (24.68) A | 84.08 | 22.57 (19.25) A | 15.19 | 0.87 (2.48) B | 0 | 80.92 (20.5) A | 84.01 |
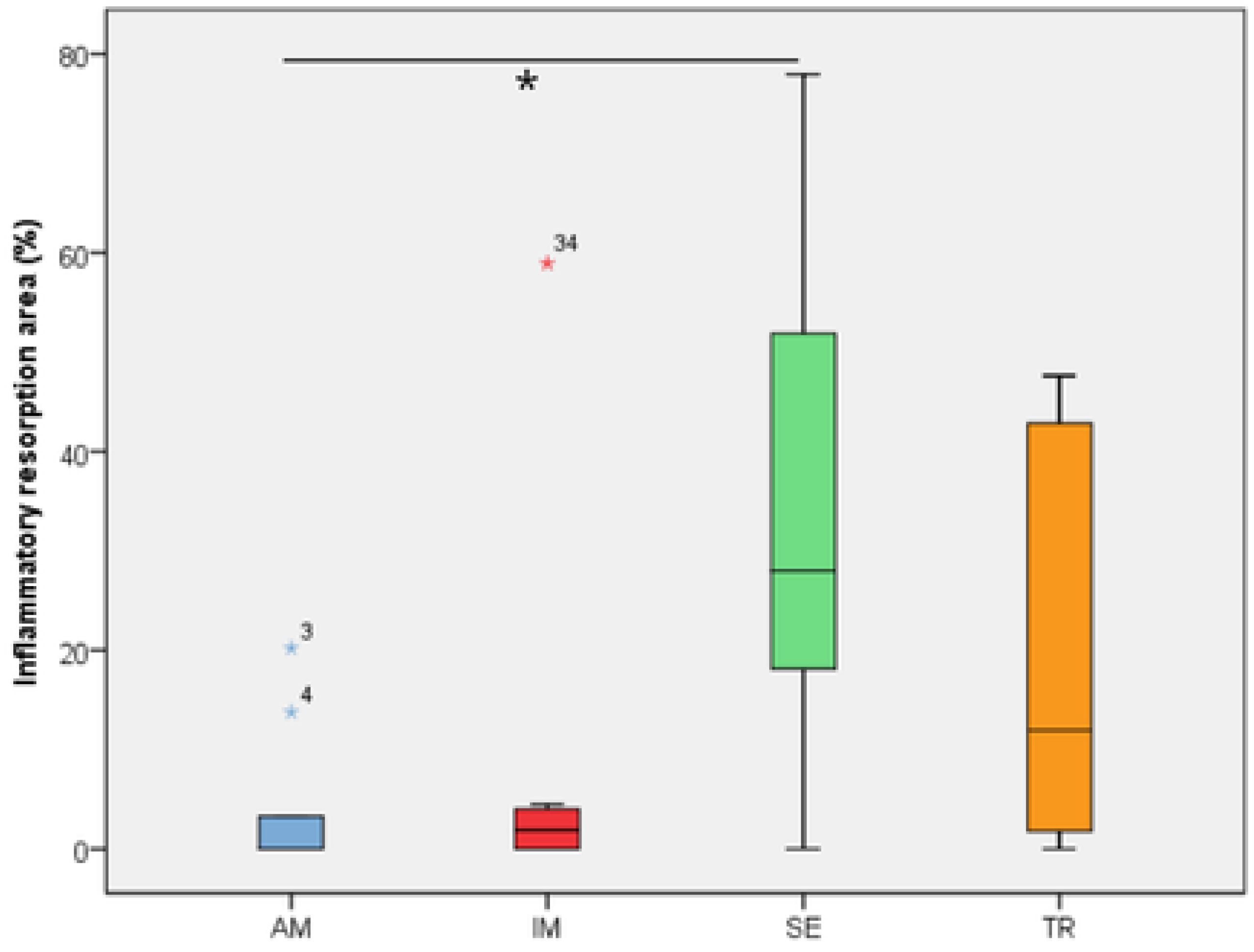
| Area of inflammatory resorption (%) | 3.98 (7.12) A | 0 | 18.2 (20.86) AB | 11.94 | 34.24 (25.62) B | 27.98 | 8.84 (20.31) AB | 1.88 |
| Area of replacement resorption(%) | 0.41 (0.60) A | 0 | 2.28 (3.45) A | 0 | 14.73 (28.98) A | 0 | 1.93 (3.13) A | 0 |
| Area of total resorption (%) | 4.35 (7.66) A | 0.54 | 20.52 (22.31) A | 11.94 | 48.97 (29.08) B | 40.73 | 10.78 (23.08) A | 2.78 |
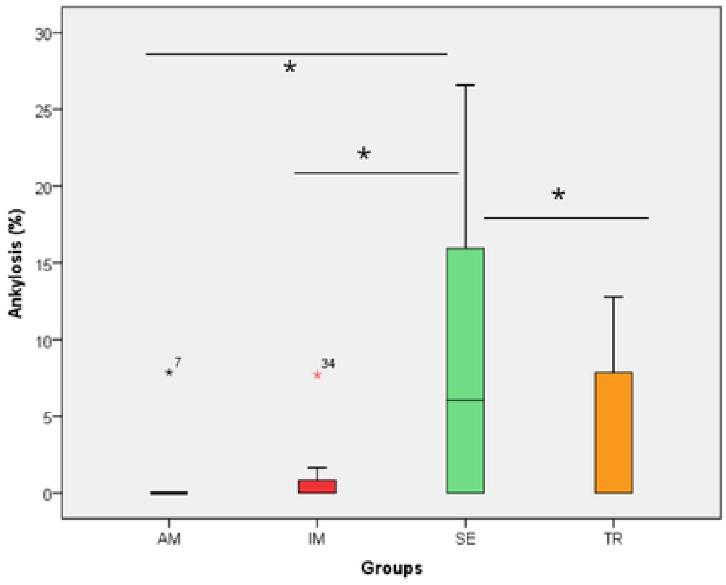
| Ankylosis (%) | 0 (0) A | 0 | 3.47 (5.35) A | 0 | 8.81 (10.44) B | 6.02 | 1.17 (2.70) A | 0 |
Disclaimer/Publisher’s Note: The statements, opinions and data contained in all publications are solely those of the individual author(s) and contributor(s) and not of MDPI and/or the editor(s). MDPI and/or the editor(s) disclaim responsibility for any injury to people or property resulting from any ideas, methods, instructions or products referred to in the content. |
© 2025 by the authors. Licensee MDPI, Basel, Switzerland. This article is an open access article distributed under the terms and conditions of the Creative Commons Attribution (CC BY) license (https://creativecommons.org/licenses/by/4.0/).
Share and Cite
Silva, G.A.; Sonoda, C.K.; Amaral, M.F.; Sampaio, V.H.G.; Brandini, D.A. Histological Analysis of Root Surface Treatment with Tetracycline and Ampicillin in the Repair Process of Rat Teeth Subjected to Delayed Replantation. J. Clin. Med. 2025, 14, 4443. https://doi.org/10.3390/jcm14134443
Silva GA, Sonoda CK, Amaral MF, Sampaio VHG, Brandini DA. Histological Analysis of Root Surface Treatment with Tetracycline and Ampicillin in the Repair Process of Rat Teeth Subjected to Delayed Replantation. Journal of Clinical Medicine. 2025; 14(13):4443. https://doi.org/10.3390/jcm14134443
Chicago/Turabian StyleSilva, Guilherme Assumpção, Celso Koogi Sonoda, Marina Fuzette Amaral, Vitor Hugo Gonçalves Sampaio, and Daniela Atili Brandini. 2025. "Histological Analysis of Root Surface Treatment with Tetracycline and Ampicillin in the Repair Process of Rat Teeth Subjected to Delayed Replantation" Journal of Clinical Medicine 14, no. 13: 4443. https://doi.org/10.3390/jcm14134443
APA StyleSilva, G. A., Sonoda, C. K., Amaral, M. F., Sampaio, V. H. G., & Brandini, D. A. (2025). Histological Analysis of Root Surface Treatment with Tetracycline and Ampicillin in the Repair Process of Rat Teeth Subjected to Delayed Replantation. Journal of Clinical Medicine, 14(13), 4443. https://doi.org/10.3390/jcm14134443
