Local Anesthetic Infiltration, Awake Veno-Venous Extracorporeal Membrane Oxygenation, and Airway Management for Resection of a Giant Mediastinal Cyst: A Narrative Review and Case Report
Abstract
1. Introduction
2. Narrative Review
2.1. Risk Stratification
2.2. Local Anesthetic Infiltration, Regional Anesthesia Techniques, and ECMO-Cannulation
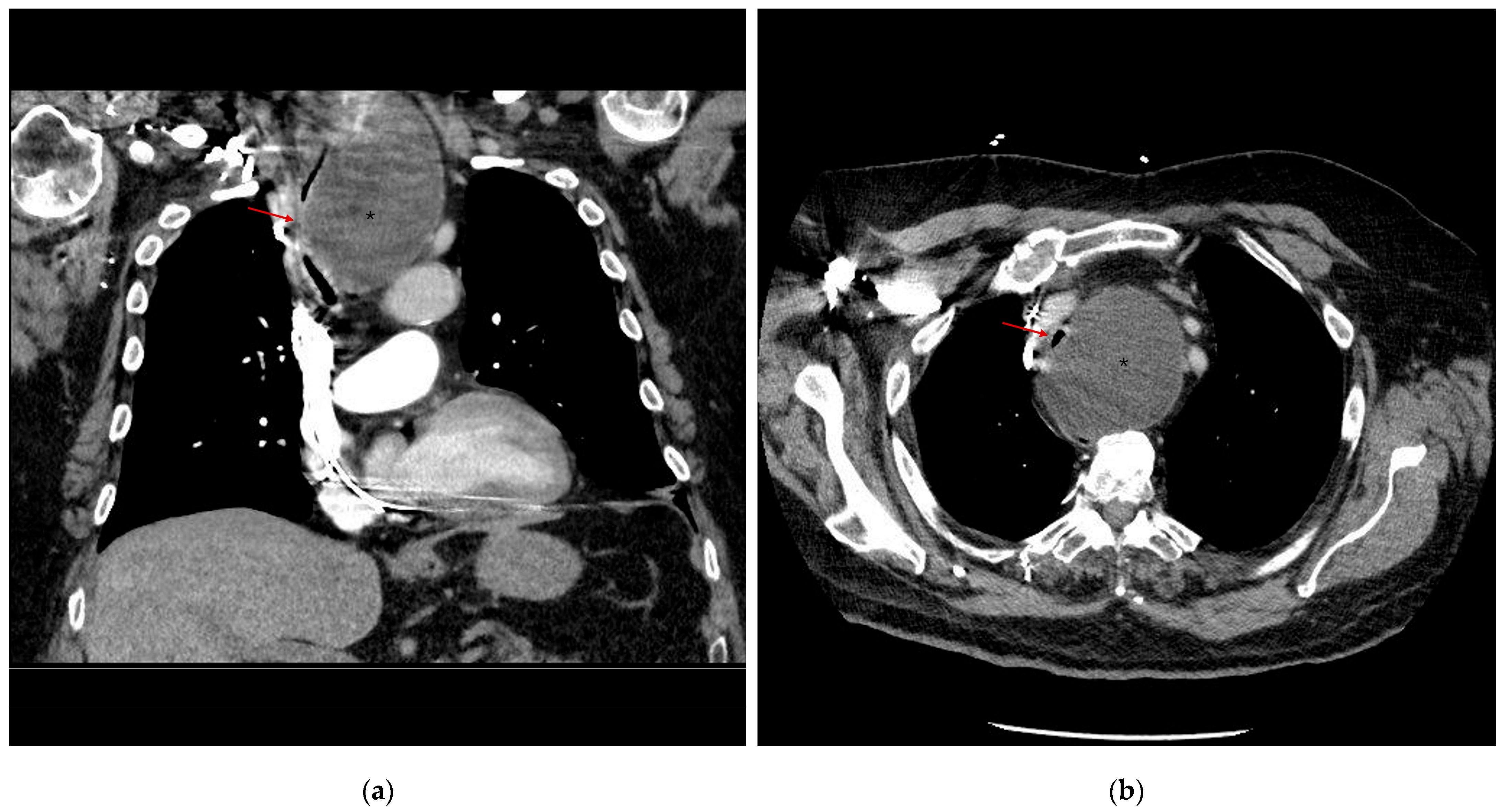
3. Clinical Case
3.1. Risk Classification
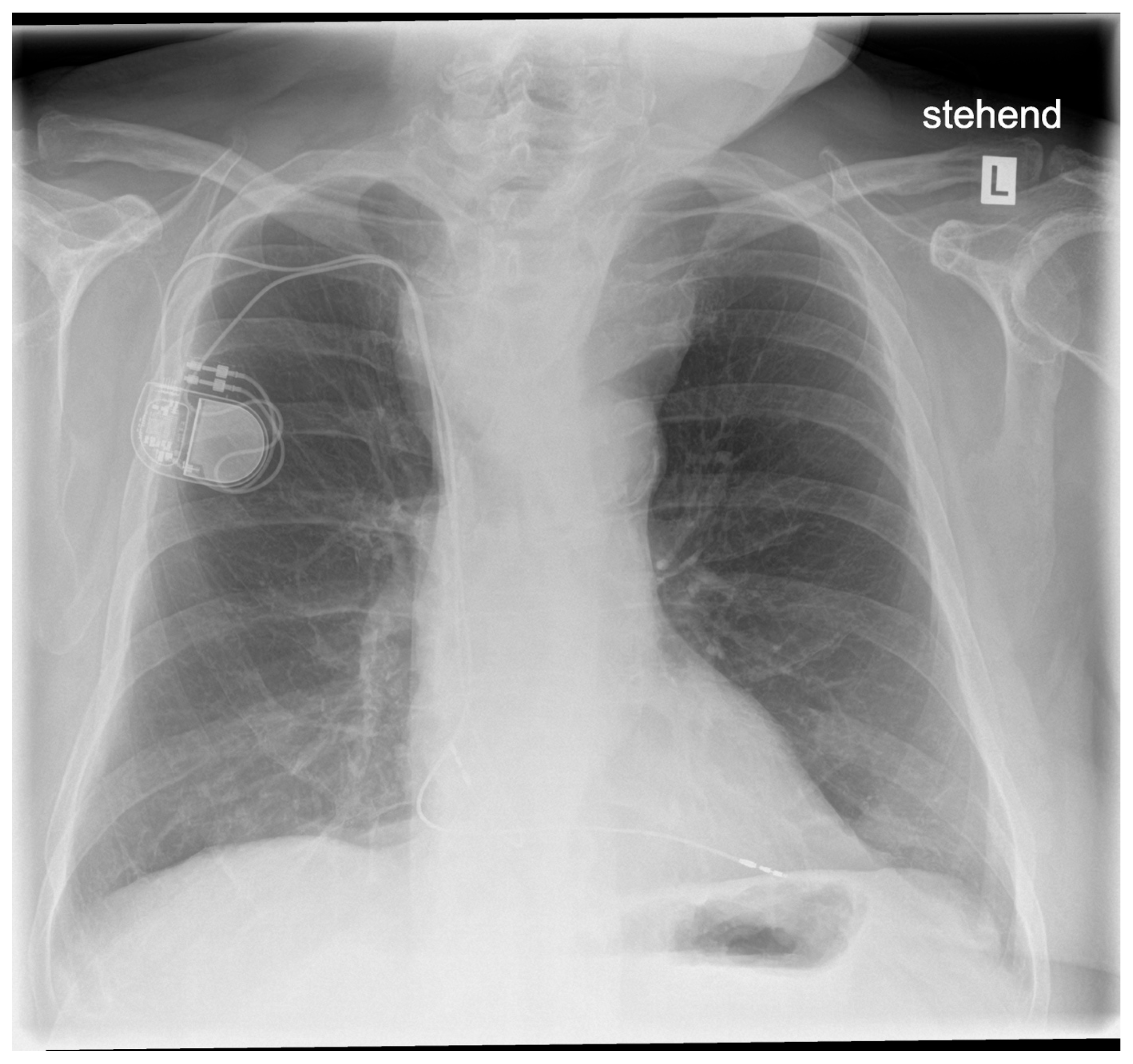
3.2. Perioperative Course
4. Discussion
5. Conclusions and Future Perspectives
Supplementary Materials
Author Contributions
Funding
Institutional Review Board Statement
Informed Consent Statement
Data Availability Statement
Conflicts of Interest
List of Abbreviations
| BMI | body mass index |
| CBC | complete blood count |
| CPB | cervical plexus block |
| CKD-EPI | Chronic Kidney Disease Epidemiology Collaboration |
| cm | centimeter |
| CRP | C-reactive protein |
| CT | computed tomography |
| CSEA | combined spinal and epidural anesthesia |
| dL | deciliter |
| ECMO | extracorporeal membrane oxygenation |
| FICB | fascia iliaca compartment block |
| GFR | glomerular filtration rate |
| ID | internal diameter |
| IU | international units |
| kg | kilogram |
| L | liter |
| LVEF | left ventricular ejection fraction |
| m2 | square meter |
| MAP | mean arterial pressure |
| MEF | maximum expiratory flow |
| min | minute |
| MIF | maximum inspiratory flow |
| mg | milligram |
| µg | microgram |
| mL | milliliter |
| mm | millimeter |
| mmHg | millimeters of mercury |
| mmol | millimole |
| mU | milliunit |
| NT-proBNP | N-terminal pro-B-type natriuretic peptide |
| NYHA | New York Heart Association |
| NIRS | near-infrared spectroscopy |
| NSCLC | non-small cell lung cancer |
| PaO2 | partial pressure of arterial oxygen |
| PaCO2 | partial pressure of arterial carbon dioxide |
| pg | picogram |
| SGLT-2 | sodium glucose-linked transporter 2 |
| SVC | superior vena cava |
| SVCS | superior vena cava syndrome |
| TEE | transesophageal echocardiogram |
| TSH | thyroid-stimulating hormone |
| TTE | transthoracic echocardiogram |
| V-A-ECMO | veno-arterial extracorporeal membrane oxygenation |
| V-V-ECMO | veno-venous extracorporeal membrane oxygenation |
References
- Anghelescu, D.L.; Burgoyne, L.L.; Liu, T.; Li, C.S.; Pui, C.H.; Hudson, M.M.; Furman, W.L.; Sandlund, J.T. Clinical and diagnostic imaging findings predict anesthetic complications in children presenting with malignant mediastinal masses. Paediatr. Anesth. 2007, 17, 1090–1098. [Google Scholar] [CrossRef] [PubMed]
- Bechard, P.; Letourneau, L.; Lacasse, Y.; Cote, D.; Bussieres, J.S. Perioperative cardiorespiratory complications in adults with mediastinal mass: Incidence and risk factors. Anesthesiology 2004, 100, 826–834; discussion 825A. [Google Scholar] [CrossRef] [PubMed]
- Neuman, G.G.; Weingarten, A.E.; Abramowitz, R.M.; Kushins, L.G.; Abramson, A.L.; Ladner, W. The anesthetic management of the patient with an anterior mediastinal mass. Anesthesiology 1984, 60, 144–147. [Google Scholar] [CrossRef] [PubMed]
- Tan, A.; Nolan, J.A. Anesthesia for children with anterior mediastinal masses. Paediatr. Anaesth. 2022, 32, 4–9. [Google Scholar] [CrossRef] [PubMed]
- Hartigan, P.M.; Karamnov, S.; Gill, R.R.; Ng, J.M.; Yacoubian, S.; Tsukada, H.; Swanson, J.; Barlow, J.; McMurry, T.L.; Blank, R.S. Mediastinal Masses, Anesthetic Interventions, and Airway Compression in Adults: A Prospective Observational Study. Anesthesiology 2022, 136, 104–114. [Google Scholar] [CrossRef]
- Bertini, P.; Marabotti, A. The anesthetic management and the role of extracorporeal membrane oxygenation for giant mediastinal tumor surgery. Mediastinum 2023, 7, 2. [Google Scholar] [CrossRef] [PubMed]
- Erdos, G.; Tzanova, I. Perioperative anaesthetic management of mediastinal mass in adults. Eur. J. Anaesthesiol. 2009, 26, 627–632. [Google Scholar] [CrossRef]
- Stamme, C.; Lubbe, N.; Mahr, K.H.; Dralle, H.; Karck, M. Mediastinal tumor and airway obstruction in general anesthesia. Case report and review of the literature. Anasthesiol. Intensivmed. Notfallmed. Schmerzther. 1994, 29, 512–515. [Google Scholar] [CrossRef] [PubMed]
- Qanadli, S.D.; El Hajjam, M.; Bruckert, F.; Judet, O.; Barre, O.; Chagnon, S.; Lacombe, P. Helical CT phlebography of the superior vena cava: Diagnosis and evaluation of venous obstruction. AJR Am. J. Roentgenol. 1999, 172, 1327–1333. [Google Scholar] [CrossRef] [PubMed]
- Stanford, W.; Jolles, H.; Ell, S.; Chiu, L.C. Superior vena cava obstruction: A venographic classification. AJR Am. J. Roentgenol. 1987, 148, 259–262. [Google Scholar] [CrossRef]
- Yu, J.B.; Wilson, L.D.; Detterbeck, F.C. Superior vena cava syndrome--a proposed classification system and algorithm for management. J. Thorac. Oncol. 2008, 3, 811–814. [Google Scholar] [CrossRef]
- Armstrong, B.A.; Perez, C.A.; Simpson, J.R.; Hederman, M.A. Role of irradiation in the management of superior vena cava syndrome. Int. J. Radiat. Oncol. Biol. Phys. 1987, 13, 531–539. [Google Scholar] [CrossRef]
- Yellin, A.; Rosen, A.; Reichert, N.; Lieberman, Y. Superior vena cava syndrome. The myth—the facts. Am. Rev. Respir. Dis. 1990, 141, 1114–1118. [Google Scholar] [CrossRef]
- Schraufnagel, D.E.; Hill, R.; Leech, J.A.; Pare, J.A. Superior vena caval obstruction. Is it a medical emergency? Am. J. Med. 1981, 70, 1169–1174. [Google Scholar] [CrossRef] [PubMed]
- Chen, J.C.; Bongard, F.; Klein, S.R. A contemporary perspective on superior vena cava syndrome. Am. J. Surg. 1990, 160, 207–211. [Google Scholar] [CrossRef]
- Rice, T.W.; Rodriguez, R.M.; Barnette, R.; Light, R.W. Prevalence and characteristics of pleural effusions in superior vena cava syndrome. Respirology 2006, 11, 299–305. [Google Scholar] [CrossRef]
- Urruticoechea, A.; Mesia, R.; Dominguez, J.; Falo, C.; Escalante, E.; Montes, A.; Sancho, C.; Cardenal, F.; Majem, M.; Germa, J.R. Treatment of malignant superior vena cava syndrome by endovascular stent insertion. Experience on 52 patients with lung cancer. Lung Cancer 2004, 43, 209–214. [Google Scholar] [CrossRef] [PubMed]
- Potere, B.; Boulos, R.; Awad, H.; Taylor, A.; Kneuertz, P.J.; Cline, M.; Meyers, L.; Essandoh, M.; Henn, M.; Dalton, R. The Role of Extracorporeal Membrane Oxygenation in the Anesthetic Management of Superior Vena Cava Syndrome: Is it Time to Use a Scoring System? J. Cardiothorac. Vasc. Anesth. 2022, 36, 1777–1787. [Google Scholar] [CrossRef] [PubMed]
- Kishi, K.; Sonomura, T.; Mitsuzane, K.; Nishida, N.; Yang, R.J.; Sato, M.; Yamada, R.; Shirai, S.; Kobayashi, H. Self-expandable metallic stent therapy for superior vena cava syndrome: Clinical observations. Radiology 1993, 189, 531–535. [Google Scholar] [CrossRef] [PubMed]
- Leow, L.; Sampath, H.K.; Yong, K.J.; Kofidis, T.; Tam, J.K.C.; MacLaren, G.; Teo, L.; Mithiran, H.; Ramanathan, K. Rescue extracorporeal membrane oxygenation for massive anterior mediastinal masses. J. Artif. Organs. 2021, 24, 450–457. [Google Scholar] [CrossRef]
- Ramanathan, K.; Leow, L.; Mithiran, H. ECMO and adult mediastinal masses. Indian J. Thorac. Cardiovasc. Surg. 2021, 37, 338–343. [Google Scholar] [CrossRef]
- Li, W.W.; van Boven, W.J.; Annema, J.T.; Eberl, S.; Klomp, H.M.; de Mol, B.A. Management of large mediastinal masses: Surgical and anesthesiological considerations. J. Thorac. Dis. 2016, 8, E175–E184. [Google Scholar] [CrossRef] [PubMed]
- Shao, Y.; Shen, M.; Ding, Z.; Liang, Y.; Zhang, S. Extracorporeal membrane oxygenation-assisted resection of goiter causing severe extrinsic airway compression. Ann. Thorac. Surg. 2009, 88, 659–661. [Google Scholar] [CrossRef] [PubMed]
- Oyake, M.; Suenobu, S.; Miyawaki, M.; Ohchi, Y.; Ihara, K. Airway Emergencies Due to Anterior Mediastinal T-Lymphoblastic Lymphoma Managed With Planned Extracorporeal Membrane Oxygenation and Endotracheal Stent: A Case Report and Literature Review. Cureus 2022, 14, e21799. [Google Scholar] [CrossRef] [PubMed]
- Lueck, C.; Kuehn, C.; Hoeper, M.M.; Ganser, A.; Eder, M.; Beutel, G. Successful use of extracorporeal membrane oxygenation during induction chemotherapy in a patient with mediastinal tumor mass of a T lymphoblastic lymphoma. Ann. Hematol. 2016, 95, 1719–1721. [Google Scholar] [CrossRef] [PubMed]
- Gourdin, M.; Dransart, C.; Delaunois, L.; Louagie, Y.A.; Gruslin, A.; Dubois, P. Use of venovenous extracorporeal membrane oxygenation under regional anesthesia for a high-risk rigid bronchoscopy. J. Cardiothorac. Vasc. Anesth. 2012, 26, 465–467. [Google Scholar] [CrossRef] [PubMed]
- Sevim, M.; Tutar, M.S.; Kozanhan, B. Comparison of Intermediate and Superficial Cervical Plexus Blocks for Central Venous Catheterisation. J. Coll. Physicians. Surg. Pak. 2024, 34, 869–873. [Google Scholar] [CrossRef] [PubMed]
- Sheikh, M.; Carvalho, B.; Boublik, J.; Ansari, J. Superficial Cervical Plexus Block for Awake Large-Bore Central Line Placement in Parturients: A Case Series. A A Pract. 2021, 15, e01429. [Google Scholar] [CrossRef] [PubMed]
- Ciftci, T.; Daskaya, H.; Yildirim, M.B.; Soylemez, H. A minimally painful, comfortable, and safe technique for hemodialysis catheter placement in children: Superficial cervical plexus block. Hemodial. Int. 2014, 18, 700–704. [Google Scholar] [CrossRef]
- Guay, J. Regional anesthesia for carotid surgery. Curr. Opin. Anaesthesiol. 2008, 21, 638–644. [Google Scholar] [CrossRef]
- Senapathi, T.G.A.; Widnyana, I.M.G.; Aribawa, I.; Wiryana, M.; Sinardja, I.K.; Nada, I.K.W.; Jaya, A.; Putra, I. Ultrasound-guided bilateral superficial cervical plexus block is more effective than landmark technique for reducing pain from thyroidectomy. J. Pain Res. 2017, 10, 1619–1622. [Google Scholar] [CrossRef] [PubMed]
- Tran, D.Q.; Dugani, S.; Finlayson, R.J. A randomized comparison between ultrasound-guided and landmark-based superficial cervical plexus block. Reg. Anesth. Pain Med. 2010, 35, 539–543. [Google Scholar] [CrossRef]
- Winnie, A.P.; Ramamurthy, S.; Durrani, Z.; Radonjic, R. Interscalene cervical plexus block: A single-injection technic. Anesth. Analg. 1975, 54, 370–375. [Google Scholar] [CrossRef] [PubMed]
- Telford, R.J.; Stoneham, M.D. Correct nomenclature of superficial cervical plexus blocks. Br. J. Anaesth. 2004, 92, 775; author reply 775–776. [Google Scholar] [CrossRef]
- Pandit, J.J.; Dutta, D.; Morris, J.F. Spread of injectate with superficial cervical plexus block in humans: An anatomical study. Br. J. Anaesth. 2003, 91, 733–735. [Google Scholar] [CrossRef] [PubMed]
- Kim, J.S.; Ko, J.S.; Bang, S.; Kim, H.; Lee, S.Y. Cervical plexus block. Korean J. Anesthesiol. 2018, 71, 274–288. [Google Scholar] [CrossRef]
- Boublik, J.; Gupta, R.; Bhar, S.; Atchabahian, A. Prilocaine spinal anesthesia for ambulatory surgery: A review of the available studies. Anaesth. Crit. Care Pain Med. 2016, 35, 417–421. [Google Scholar] [CrossRef]
- Mahmood, A.; Mushambi, M.; Porter, R.; Khare, M. Regional anaesthesia with extracorporeal membrane oxygenation backup for caesarean section in a parturient with neck and mediastinal masses. Int. J. Obstet. Anesth. 2018, 35, 99–103. [Google Scholar] [CrossRef]
- Kusajima, K.; Ishihara, S.; Yokoyama, T.; Katayama, K. Anesthetic management of cesarean section in a patient with a large anterior mediastinal mass: A case report. JA Clin. Rep. 2017, 3, 28. [Google Scholar] [CrossRef] [PubMed][Green Version]
- Graber, T.J.; Meineke, M.; Said, E.T.; Finneran, J.J.t. Continuous Ilioinguinal Nerve Block for Treatment of Femoral Extracorporeal Membrane Oxygenation Cannula Site Pain. J. Cardiothorac. Vasc. Anesth. 2021, 35, 2458–2461. [Google Scholar] [CrossRef] [PubMed]
- Italiano, S.; Argilaga, M.; Maestre Hittinger, M.L.; Ginel Iglesias, A.; Garcia Lopez, D.; Koller, T.; Galan Serrano, J. Use of peripheral nerve blocks for femoral artery repair in critically ill patient: A case report. J. Cardiothorac. Vasc. Anesth. 2018, 32, S94. [Google Scholar] [CrossRef]
- Hebbard, P.; Ivanusic, J.; Sha, S. Ultrasound-guided supra-inguinal fascia iliaca block: A cadaveric evaluation of a novel approach. Anaesthesia 2011, 66, 300–305. [Google Scholar] [CrossRef] [PubMed]
- Dolan, J.; Williams, A.; Murney, E.; Smith, M.; Kenny, G.N. Ultrasound guided fascia iliaca block: A comparison with the loss of resistance technique. Reg. Anesth. Pain Med. 2008, 33, 526–531. [Google Scholar] [CrossRef] [PubMed]
- Desmet, M.; Balocco, A.L.; Van Belleghem, V. Fascia iliaca compartment blocks: Different techniques and review of the literature. Best Pract. Res. Clin. Anaesthesiol. 2019, 33, 57–66. [Google Scholar] [CrossRef] [PubMed]
- Desmet, M.; Vermeylen, K.; Van Herreweghe, I.; Carlier, L.; Soetens, F.; Lambrecht, S.; Croes, K.; Pottel, H.; Van de Velde, M. A Longitudinal Supra-Inguinal Fascia Iliaca Compartment Block Reduces Morphine Consumption After Total Hip Arthroplasty. Reg. Anesth. Pain Med. 2017, 42, 327–333. [Google Scholar] [CrossRef]
- American Society of Anesthesiologist: Statement on ASA Physical Status Classification System. 2020. Available online: https://www.asahq.org/standards-and-practice-parameters/statement-on-asa-physical-status-classification-system (accessed on 1 November 2024).
- Pai, M.P.; Paloucek, F.P. The origin of the "ideal" body weight equations. Ann. Pharmacother. 2000, 34, 1066–1069. [Google Scholar] [CrossRef]
- Kotani, Y.; Belletti, A.; D’Andria Ursoleo, J.; Salvati, S.; Landoni, G. Norepinephrine Dose Should Be Reported as Base Equivalence in Clinical Research Manuscripts. J. Cardiothorac. Vasc. Anesth. 2023, 37, 1523–1524. [Google Scholar] [CrossRef] [PubMed]
- Wieruszewski, P.M.; Leone, M.; Kaas-Hansen, B.S.; Dugar, S.; Legrand, M.; McKenzie, C.A.; Bissell Turpin, B.D.; Messina, A.; Nasa, P.; Schorr, C.A.; et al. Position Paper on the Reporting of Norepinephrine Formulations in Critical Care from the Society of Critical Care Medicine and European Society of Intensive Care Medicine Joint Task Force. Crit. Care Med. 2024, 52, 521–530. [Google Scholar] [CrossRef] [PubMed]
- Langer, T.; Santini, A.; Bottino, N.; Crotti, S.; Batchinsky, A.I.; Pesenti, A.; Gattinoni, L. “Awake” extracorporeal membrane oxygenation (ECMO): Pathophysiology, technical considerations, and clinical pioneering. Crit. Care 2016, 20, 150. [Google Scholar] [CrossRef] [PubMed]
- Wu, H.; Zhuo, K.; Cheng, D. Extracorporeal membrane oxygenation in critical airway interventional therapy: A review. Front. Oncol. 2023, 13, 1098594. [Google Scholar] [CrossRef]
- McRae, K.; de Perrot, M. Principles and indications of extracorporeal life support in general thoracic surgery. J. Thorac. Dis. 2018, 10, S931–S946. [Google Scholar] [CrossRef] [PubMed]
- Muralidaran, A.; Detterbeck, F.C.; Boffa, D.J.; Wang, Z.; Kim, A.W. Long-term survival after lung resection for non-small cell lung cancer with circulatory bypass: A systematic review. J. Thorac. Cardiovasc. Surg. 2011, 142, 1137–1142. [Google Scholar] [CrossRef] [PubMed]
- Aburahma, K.; de Manna, N.D.; Kuehn, C.; Salman, J.; Greer, M.; Ius, F. Pushing the Survival Bar Higher: Two Decades of Innovation in Lung Transplantation. J. Clin. Med. 2024, 13, 5516. [Google Scholar] [CrossRef] [PubMed]
- Magouliotis, D.E.; Tasiopoulou, V.S.; Svokos, A.A.; Svokos, K.A.; Zacharoulis, D. Extracorporeal membrane oxygenation versus cardiopulmonary bypass during lung transplantation: A meta-analysis. Gen. Thorac. Cardiovasc. Surg. 2018, 66, 38–47. [Google Scholar] [CrossRef]
- Song, J.H.; Park, J.E.; Lee, J.G.; Lee, C.Y.; Nam, K.S.; Suh, J.W.; Kim, A.; Lee, S.H.; Joo, H.C.; Youn, Y.N.; et al. Outcomes of perioperative extracorporeal membrane oxygenation use in patients undergoing lung transplantation. J. Thorac. Dis. 2017, 9, 5075–5084. [Google Scholar] [CrossRef] [PubMed]


| Grade | Category | Estimated Incidence (%) | Definition |
|---|---|---|---|
| 0 | Asymptomatic | 10 | Radiographic superior vena cava obstruction, no symptoms |
| 1 | Mild | 25 | Edema in head or neck (vascular distension), cyanosis, plethora |
| 2 | Moderate | 50 | Edema in head or neck with functional impairment (mild dysphagia, cough, mild or moderate impairment of head, jaw or eyelid movements, visual disturbances caused by ocular edema) |
| 3 | Severe | 10 | Mild or moderate cerebral edema (confusion, obtundation) or mild/moderate laryngeal edema or diminished cardiac reserve (syncope after bending) |
| 4 | Life-threatening | 5 | Significant cerebral edema (confusion, obtundation), significant laryngeal edema (stridor), or significant hemodynamic compromise (syncope without precipitating factors, hypotension, renal insufficiency) |
| 5 | Fatal | <1 | Death |
| aBGA Values * | T0 | T1 | T2 | T3 | T4 | T5 |
|---|---|---|---|---|---|---|
| pH | 7.41 | 7.38 | 7.42 | 7.35 | 7.35 | 7.34 |
| FiO2 [%] | 21 | 55 | 55 | 40 | 40 | 35 |
| PaO2 [mmHg] | 90 | 259 | 238 | 192 | 133 | 106 |
| PaCO2 [mmHg] | 31 | 35.8 | 30.1 | 37.8 | 34.1 | 30.9 |
| SaO2 [%] | 97 | 99.9 | 99.8 | 99.0 | 98.4 | 97.9 |
| HCO3− [mmol/L] | 21 | 21.7 | 22.1 | 20.4 | 18.2 | 16.0 |
| Base excess [mmol/L] | −4.5 | −3.5 | −3.5 | −4.2 | −6.4 | −8.7 |
| Glucose [mg/dL] | 122 | 98 | 108 | 186 | 215 | 189 |
| Ketone level [mmol/L) | - | - | - | - | 2.5 | 3.6 |
| Sodium [mmol/L] | 138 | 139 | 139 | 138 | 139 | 141 |
| Potassium [mmol/L] | 3.1 | 3.3 | 3.3 | 3.5 | 3.6 | 4.6 |
| Calcium ionized [mmol/L] | 0.98 | 1.13 | 1.16 | 1.15 | 1.20 | 1.13 |
| Chloride [mmol/L] | 108 | 108 | 108 | 110 | 110 | 113 |
| Anion gap [mEq/L] | 10 | 9.3 | 8.9 | 7.8 | 10.9 | 12.4 |
| Lactate [mmol/L] | 2.7 | 0.9 | 1.0 | 1.2 | 1.6 | 1.5 |
| Hemoglobin [g/dL] | 15.1 | 12.6 | 11.7 | 11.2 | 12.5 | 11.3 |
| Hematocrit [%] | - | 38.8 | 36.1 | 34.4 | 38.4 | 34.7 |
| CO Hb [%] | - | 1.2 | 1.3 | 0.6 | 0 | 1.1 |
| Met Hb [%] | - | 2.2 | 1.5 | 1.2 | 0.4 | 0.3 |
Disclaimer/Publisher’s Note: The statements, opinions and data contained in all publications are solely those of the individual author(s) and contributor(s) and not of MDPI and/or the editor(s). MDPI and/or the editor(s) disclaim responsibility for any injury to people or property resulting from any ideas, methods, instructions or products referred to in the content. |
© 2024 by the authors. Licensee MDPI, Basel, Switzerland. This article is an open access article distributed under the terms and conditions of the Creative Commons Attribution (CC BY) license (https://creativecommons.org/licenses/by/4.0/).
Share and Cite
Berger, F.; Peters, L.; Reindl, S.; Girrbach, F.; Simon, P.; Dumps, C. Local Anesthetic Infiltration, Awake Veno-Venous Extracorporeal Membrane Oxygenation, and Airway Management for Resection of a Giant Mediastinal Cyst: A Narrative Review and Case Report. J. Clin. Med. 2025, 14, 165. https://doi.org/10.3390/jcm14010165
Berger F, Peters L, Reindl S, Girrbach F, Simon P, Dumps C. Local Anesthetic Infiltration, Awake Veno-Venous Extracorporeal Membrane Oxygenation, and Airway Management for Resection of a Giant Mediastinal Cyst: A Narrative Review and Case Report. Journal of Clinical Medicine. 2025; 14(1):165. https://doi.org/10.3390/jcm14010165
Chicago/Turabian StyleBerger, Felix, Lennart Peters, Sebastian Reindl, Felix Girrbach, Philipp Simon, and Christian Dumps. 2025. "Local Anesthetic Infiltration, Awake Veno-Venous Extracorporeal Membrane Oxygenation, and Airway Management for Resection of a Giant Mediastinal Cyst: A Narrative Review and Case Report" Journal of Clinical Medicine 14, no. 1: 165. https://doi.org/10.3390/jcm14010165
APA StyleBerger, F., Peters, L., Reindl, S., Girrbach, F., Simon, P., & Dumps, C. (2025). Local Anesthetic Infiltration, Awake Veno-Venous Extracorporeal Membrane Oxygenation, and Airway Management for Resection of a Giant Mediastinal Cyst: A Narrative Review and Case Report. Journal of Clinical Medicine, 14(1), 165. https://doi.org/10.3390/jcm14010165

