Comparison of Open Microscopic and Biportal Endoscopic Approaches in Multi-Level Posterior Cervical Foraminotomy: Radiological and Clinical Outcomes
Abstract
1. Introduction
2. Materials and Methods
2.1. Patients
2.2. Surgical Procedure
2.2.1. Open Microscopic PCF
2.2.2. BESS PCF
2.3. Outcome Assessment
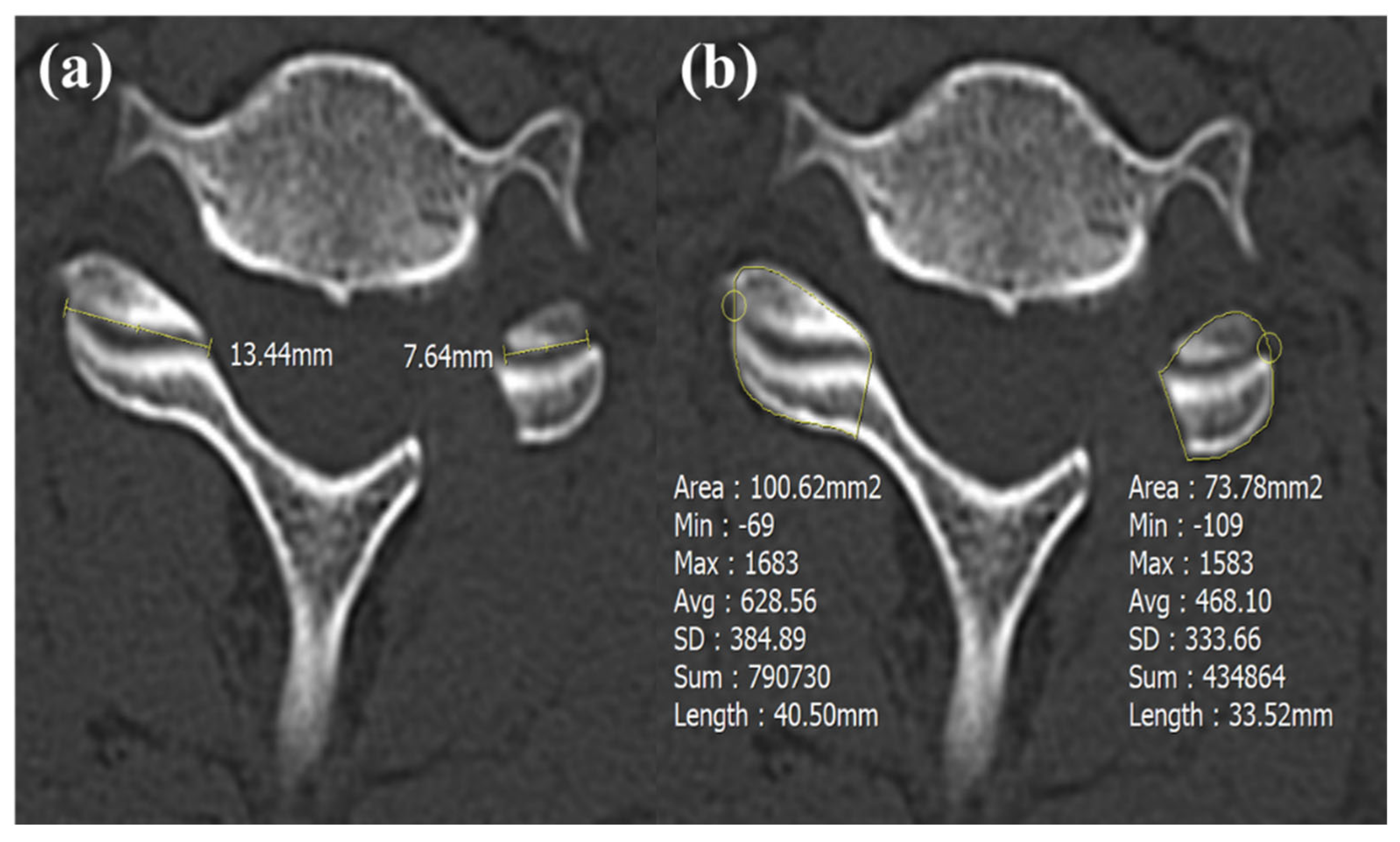
2.4. Radiological Measurement
2.5. Statistical Analysis
3. Results
3.1. Clinical Outcomes
3.2. Radiological Assessment
3.3. Complications
4. Discussion
5. Conclusions
Author Contributions
Funding
Institutional Review Board Statement
Informed Consent Statement
Data Availability Statement
Conflicts of Interest
References
- Woods, B.I.; Hilibrand, A.S. Cervical radiculopathy: Epidemiology, etiology, diagnosis, and treatment. Clin. Spine Surg. 2015, 28, E251–E259. [Google Scholar] [CrossRef]
- Kang, K.-C.; Jang, T.S.; Jung, C.H. Cervical radiculopathy: Focus on factors for better surgical outcomes and operative techniques. Asian Spine J. 2022, 16, 995. [Google Scholar] [CrossRef] [PubMed]
- Yang, J.J.; Kim, H.J.; Lee, J.B.; Park, S. Preoperative Radiographic Simulation for Partial Uncinate Process Resection during Anterior Cervical Discectomy and Fusion to Achieve Adequate Foraminal Decompression and Prevention of Vertebral Artery Injury. Asian Spine J. 2023, 17, 1024–1034. [Google Scholar] [CrossRef] [PubMed]
- Ye, Z.-Y.; Kong, W.-J.; Xin, Z.-J.; Fu, Q.; Ao, J.; Cao, G.-R.; Cai, Y.-Q.; Liao, W.-B. Clinical observation of posterior percutaneous full-endoscopic cervical foraminotomy as a treatment for osseous foraminal stenosis. World Neurosurg. 2017, 106, 945–952. [Google Scholar] [CrossRef]
- Middleton, S.D.; Wagner, R.; Gibson, J.A. Multi-level spine endoscopy: A review of available evidence and case report. EFORT Open Rev. 2017, 2, 317–323. [Google Scholar] [CrossRef] [PubMed]
- Fehlings, M.G.; Gray, R.J. Posterior cervical foraminotomy for the treatment of cervical radiculopathy. J. Neurosurg. Spine 2009, 10, 343–344. [Google Scholar] [CrossRef]
- Dodwad, S.J.; Dodwad, S.N.; Prasarn, M.L.; Savage, J.W.; Patel, A.A.; Hsu, W.K. Posterior Cervical Foraminotomy: Indications, Technique, and Outcomes. Clin. Spine Surg. 2016, 29, 177–185. [Google Scholar] [CrossRef] [PubMed]
- McAnany, S.J.; Kim, J.S.; Overley, S.C.; Baird, E.O.; Anderson, P.A.; Qureshi, S.A. A meta-analysis of cervical foraminotomy: Open versus minimally-invasive techniques. Spine J. 2015, 15, 849–856. [Google Scholar] [CrossRef] [PubMed]
- Eicker, S.O.; Steiger, H.J.; El-Kathib, M. A transtubular microsurgical approach to treat lateral cervical disc herniation. World Neurosurg. 2016, 88, 503–509. [Google Scholar] [CrossRef] [PubMed]
- Adamson, T.E. Microendoscopic posterior cervical laminoforaminotomy for unilateral radiculopathy: Results of a new technique in 100 cases. J. Neurosurg. Spine 2001, 95, 51–57. [Google Scholar] [CrossRef]
- Platt, A.; Gerard, C.S.; O’Toole, J.E. Comparison of outcomes following minimally invasive and open posterior cervical foraminotomy: Description of minimally invasive technique and review of literature. J Spine Surg. 2020, 6, 243–251. [Google Scholar] [CrossRef] [PubMed]
- Lee, H.R.; Lee, D.-H.; Seok, S.Y.; Lee, W.S.; Kim, M.; Cho, J.H.; Hwang, C.J.; Lee, C.S. Predictable factors for aggravation of cervical alignment after posterior cervical foraminotomy. J. Neurosurg. Spine 2022, 38, 174–181. [Google Scholar] [CrossRef]
- Holly, L.T.; Moftakhar, P.; Khoo, L.T.; Wang, J.C.; Shamie, N. Minimally Invasive 2-Level Posterior Cervical Foraminotomy: Preliminary Clinical Results. Clin. Spine Surg. 2007, 20, 20–24. [Google Scholar] [CrossRef]
- Jagannathan, J.; Sherman, J.H.; Szabo, T.; Shaffrey, C.I.; Jane, J.A. The posterior cervical foraminotomy in the treatment of cervical disc/osteophyte disease: A single-surgeon experience with a minimum of 5 years’ clinical and radiographic follow-up. J. Neurosurg. Spine 2009, 10, 347–356. [Google Scholar] [CrossRef]
- Vandenbroucke, J.P.; Elm, E.v.; Altman, D.G.; Gøtzsche, P.C.; Mulrow, C.D.; Pocock, S.J.; Poole, C.; Schlesselman, J.J.; Egger, M.; Initiative, S. Strengthening the Reporting of Observational Studies in Epidemiology (STROBE): Explanation and elaboration. Ann. Intern. Med. 2007, 147, 8. [Google Scholar] [CrossRef] [PubMed]
- Initiative, S. Strengthening the Reporting of Observational Studies in Epidemiology (STROBE): Explanation and elaboration. Int. J. Surg. 2014, 12, 1500–1524. [Google Scholar]
- Park, M.S.; Kelly, M.P.; Lee, D.H.; Min, W.K.; Rahman, R.K.; Riew, K.D. Sagittal alignment as a predictor of clinical adjacent segment pathology requiring surgery after anterior cervical arthrodesis. Spine J. 2014, 14, 1228–1234. [Google Scholar] [CrossRef] [PubMed]
- Lee, S.H.; Hyun, S.J.; Jain, A. Cervical Sagittal Alignment: Literature Review and Future Directions. Neurospine 2020, 17, 478–496. [Google Scholar] [CrossRef]
- Griffith, J.F.; Wang, Y.X.; Antonio, G.E.; Choi, K.C.; Yu, A.; Ahuja, A.T.; Leung, P.C. Modified Pfirrmann grading system for lumbar intervertebral disc degeneration. Spine 2007, 32, E708–E712. [Google Scholar] [CrossRef] [PubMed]
- Urrutia, J.; Besa, P.; Campos, M.; Cikutovic, P.; Cabezon, M.; Molina, M.; Cruz, J.P. The Pfirrmann classification of lumbar intervertebral disc degeneration: An independent inter-and intra-observer agreement assessment. Eur. Spine J. 2016, 25, 2728–2733. [Google Scholar] [CrossRef]
- Mizouchi, T.; Watanabe, K.; Izumi, T.; Katsumi, K.; Shoji, H.; Ohashi, M.; Tashi, H.; Hirano, T.; Yamazaki, A.; Endo, N. Quantitative radiographic analysis of foraminal re-stenosis after posterior cervical foraminotomy with laminoplasty. J. Clin. Neurosci. 2019, 67, 99–104. [Google Scholar] [CrossRef] [PubMed]
- Yoo, H.J.; Park, J.H.; Seong, H.Y.; Roh, S.W. Comparison of Surgical Results between Soft Ruptured Disc and Foraminal Stenosis Patients in Posterior Cervical Laminoforaminotomy. Korean J. Neurotrauma 2017, 13, 124–129. [Google Scholar] [CrossRef] [PubMed][Green Version]
- Uehara, M.; Takahashi, J.; Kuraishi, S.; Shimizu, M.; Ikegami, S.; Futatsugi, T.; Aoki, K.; Mukaiyama, K.; Ogihara, N.; Hashidate, H. Mini open foraminotomy for cervical radiculopathy: A comparison of large tubular and trimline retractors. Asian Spine J. 2015, 9, 548. [Google Scholar] [CrossRef] [PubMed]
- Kim, K.-T.; Kim, Y.-B. Comparison between open procedure and tubular retractor assisted procedure for cervical radiculopathy: Results of a randomized controlled study. J. Korean Med. Sci. 2009, 24, 649. [Google Scholar] [CrossRef]
- Fessler, R.G.; Khoo, L.T. Minimally invasive cervical microendoscopic foraminotomy: An initial clinical experience. Neurosurgery 2002, 51, S37–S45. [Google Scholar] [CrossRef]
- Chang, J.-C.; Park, H.-K.; Choi, S.-K. Posterior cervical inclinatory foraminotomy for spondylotic radiculopathy preliminary. J. Korean Neurosurg. Soc. 2011, 49, 308. [Google Scholar] [CrossRef]
- Zdeblick, T.A.; Zou, D.; Warden, K.E.; McCabe, R.; Kunz, D.; Vanderby, R. Cervical stability after foraminotomy. A biomechanical in vitro analysis. JBJS 1992, 74, 22–27. [Google Scholar] [CrossRef]
- Huang, Y.-H.; Lin, C.-S.; Pao, J.-L. Contralateral Inside-out Biportal Endoscopic Posterior Cervical Foraminotomy: Surgical Techniques and Preliminary Clinical Outcomes. J. Minim. Invasive Spine Surg. Tech. 2023, 8, 44–54. [Google Scholar] [CrossRef]
- Akiyama, M.; Koga, H. Early experience of single level full endoscopic posterior cervical foraminotomy and comparison with microscope-assisted open surgery. J. Spine Surg. 2020, 6, 391–396. [Google Scholar] [CrossRef] [PubMed]
- Kim, J.Y.; Hong, H.J.; Lee, D.C.; Kim, T.H.; Hwang, J.S.; Park, C.K. Comparative Analysis of 3 Types of Minimally Invasive Posterior Cervical Foraminotomy for Foraminal Stenosis, Uniportal-, Biportal Endoscopy, and Microsurgery: Radiologic and Midterm Clinical Outcomes. Neurospine 2022, 19, 212–223. [Google Scholar] [CrossRef] [PubMed]
- Tacconi, L.; Signorelli, F.; Giordan, E. Cervical foraminotomy by full-endoscopic posterior cervical approach: A randomized study. Interdiscip. Neurosurg. 2021, 26, 101287. [Google Scholar] [CrossRef]
- Heo, D.H.; Ha, J.S.; Jang, J.W. Biportal Endoscopic Posterior Cervical Foraminotomy for Adjacent 2-Level Foraminal Lesions Using a Single Approach (Sliding Technique). Neurospine 2023, 20, 92–98. [Google Scholar] [CrossRef] [PubMed]
- Mantel, N.; Haenszel, W. Statistical aspects of the analysis of data from retrospective studies of disease. J. Natl. Cancer Inst. 1959, 22, 719–748. [Google Scholar] [PubMed]
- Cho, T.G.; Kim, Y.B.; Park, S.W. Long term effect on adjacent segment motion after posterior cervical foraminotomy. Korean J. Spine 2014, 11, 1. [Google Scholar] [CrossRef] [PubMed][Green Version]
- Kwon, Y.-J. Long-term clinical and radiologic outcomes of minimally invasive posterior cervical foraminotomy. J. Korean Neurosurg. Soc. 2014, 56, 224–229. [Google Scholar] [CrossRef] [PubMed]







| Group B (n = 30) | Group M (n = 30) | p | |
|---|---|---|---|
| Age | 57.4 ± 8.7 | 56.2 ± 6.7 | 0.74 |
| Sex (M:F) | 21:9 | 23:7 | 0.77 |
| BMD | −0.6 ± 1.4 | −0.5 ± 1.3 | 0.28 |
| DM | 8 (26.7%) | 5 (16.7%) | 0.53 |
| Smoking | 8 (26.7%) | 8 (26.7%) | 1.0 |
| CAD | 2 (6.7%) | 4 (13.3%) | 0.66 |
| Number of levels | 0.31 | ||
| 2 | 19 (63.3%) | 16 (53.3%) | |
| 3 | 11 (36.7%) | 12 (40.0%) | |
| 4 | 0 (0.0%) | 2 (6.7%) | |
| Level | 0.95 | ||
| C4–5 | 9 | 12 | |
| C5–6 | 24 | 26 | |
| C6–7 | 24 | 24 | |
| C7–T1 | 14 | 14 | |
| Pathology | 0.60 | ||
| Soft disc | 16 (53.3%) | 13 (43.3%) | |
| Osteophyte | 14 (46.7%) | 17 (56.7%) | |
| 24 h—drainage (mL) | 53.4 ± 17.3 | 44.6 ± 14.7 | 0.13 |
| Hospital stay | 5.2 ± 1.7 | 6.3 ± 1.4 | 0.12 |
| Op time | 84.3 ± 11.9 | 61.7 ± 13.2 | <0.01 * |
| Group B (n = 30) | Group M (n = 30) | p | |
|---|---|---|---|
| Pre | |||
| Segmental Angle | 2.8 ± 5.4 | 2.4 ± 4.6 | 0.38 |
| Cervical Angle | −9.0 ± 10.1 | −5.7 ± 9.1 | 0.19 |
| C2–C7 SVA | 21.6 ± 12.5 | 19.9 ± 9.5 | 0.81 |
| ROM Segmental Angle | 17.1 ± 8.4 | 18.2 ± 10.2 | 0.52 |
| ROM Cervical Angle | 42.7 ± 17.5 | 42.4 ± 14.9 | 0.93 |
| 2 M | |||
| Segmental Angle | −4.3 ± 6.5 | −0.5 ± 5.6 | 0.02 * |
| Cervical Angle | −11.8 ± 11.5 | −4.6 ± 8.0 | <0.01 * |
| C2–C7 SVA | 17.9 ± 11.7 | 21.2 ± 9.5 | 0.21 |
| ROM Segmental Angle | 5.2 ± 5.5 | 9.2 ± 6.3 | 0.01 * |
| ROM Cervical Angle | 18.0 ± 5.7 | 13.7 ± 6.4 | 0.21 |
| 1 Y | |||
| Segmental Angle | −3.8 ± 6.1 | −0.1 ± 4.6 | 0.01 * |
| Cervical Angle | −13.0 ± 12.3 | −4.7 ± 8.8 | <0.01 * |
| C2–C7 SVA | 19.1 ± 10.6 | 19.8 ± 11.8 | 0.82 |
| ROM Segmental Angle | 6.2 ± 5.6 | 15.2 ± 7.5 | <0.01 * |
| ROM Cervical Angle | 28.5 ± 6.7 | 22.8 ± 6.0 | 0.64 |
| Group B (n = 30) | Group M (n = 30) | p | |
|---|---|---|---|
| Disc height (mm) | 3.9 ± 0.8 | 3.6 ± 0.9 | 0.16 |
| Gliding distance (mm) | 1.4 ± 0.8 | 1.9 ± 3.3 | 0.45 |
| Interspinous distance difference (mm) | 4.2 ± 1.4 | 4.6 ± 1.6 | 0.23 |
| Post-interspinous distance difference (mm) | 4.4 ± 1.2 | 5.1 ± 1.9 | 0.07 |
| Foraminal dimension (mm2) | 34.3 ± 8.5 | 31.5 ± 7.8 | 0.16 |
| Post foraminal dimension (mm2) | 54.5 ± 8.2 | 53.3 ± 7.4 | 0.51 |
| Foraminal enlargement (%) | 63.8 ± 26.1 | 75.5 ± 34.6 | 0.13 |
| Foraminal stenosis grade | 3.6 ± 0.5 | 3.7 ± 0.4 | 0.10 |
| Pfirmann grade | 3.6 ± 0.5 | 3.8 ± 0.5 | 0.15 |
| Bone bridge formation (n, %) | 6 (20%) | 16 (53.3%) | 0.01 * |
| Facetectomy width (%) | 43.2 ± 7.3 | 51.6 ± 11.3 | 0.01 * |
| Facetectomy area (%) | 40.5 ± 8.1 | 48.1 ± 10.4 | <0.01 * |
| Group B (n = 30) | Group M (n = 30) | p | |
|---|---|---|---|
| Wound infection | 0 | 1 | |
| Hematoma | 1 | 1 | |
| Incomplete decompression | 1 | 2 | 0.57 |
| Local recurrence | 1 | 0 | |
| Postoperative seizure | 0 | 0 | |
| Delirium | 0 | 0 | |
| Total | 3 | 4 | 0.68 |
Disclaimer/Publisher’s Note: The statements, opinions and data contained in all publications are solely those of the individual author(s) and contributor(s) and not of MDPI and/or the editor(s). MDPI and/or the editor(s) disclaim responsibility for any injury to people or property resulting from any ideas, methods, instructions or products referred to in the content. |
© 2024 by the authors. Licensee MDPI, Basel, Switzerland. This article is an open access article distributed under the terms and conditions of the Creative Commons Attribution (CC BY) license (https://creativecommons.org/licenses/by/4.0/).
Share and Cite
Lee, H.R.; Park, J.M.; Kim, I.-H.; Kim, J.-H.; Yang, J.-H. Comparison of Open Microscopic and Biportal Endoscopic Approaches in Multi-Level Posterior Cervical Foraminotomy: Radiological and Clinical Outcomes. J. Clin. Med. 2025, 14, 164. https://doi.org/10.3390/jcm14010164
Lee HR, Park JM, Kim I-H, Kim J-H, Yang J-H. Comparison of Open Microscopic and Biportal Endoscopic Approaches in Multi-Level Posterior Cervical Foraminotomy: Radiological and Clinical Outcomes. Journal of Clinical Medicine. 2025; 14(1):164. https://doi.org/10.3390/jcm14010164
Chicago/Turabian StyleLee, Hyung Rae, Jae Min Park, In-Hee Kim, Jun-Hyun Kim, and Jae-Hyuk Yang. 2025. "Comparison of Open Microscopic and Biportal Endoscopic Approaches in Multi-Level Posterior Cervical Foraminotomy: Radiological and Clinical Outcomes" Journal of Clinical Medicine 14, no. 1: 164. https://doi.org/10.3390/jcm14010164
APA StyleLee, H. R., Park, J. M., Kim, I.-H., Kim, J.-H., & Yang, J.-H. (2025). Comparison of Open Microscopic and Biportal Endoscopic Approaches in Multi-Level Posterior Cervical Foraminotomy: Radiological and Clinical Outcomes. Journal of Clinical Medicine, 14(1), 164. https://doi.org/10.3390/jcm14010164

