Next Article in Journal
Prevalence, Risk Factors, and Perinatal Outcomes of Velamentous Umbilical Cord Insertion in Twin Pregnancies: A Single-Center Retrospective Study
Next Article in Special Issue
Optical Three-Dimensional Imaging for Objective Evaluation of the Donor Site after Anterolateral Thigh Flap Surgery
Previous Article in Journal
Prognostic Factors in Prostate Cancer Associated with Ulcerative Colitis
Previous Article in Special Issue
Analgesic Efficacy of Oxycodone in Postoperative Dressings after Surgical Treatment of Burn Wounds: A Randomised Controlled Trial
 
 
Font Type:
Arial Georgia Verdana
Font Size:
Aa Aa Aa
Line Spacing:
Column Width:
Background:
Article

Patient’s Perception of Outcome after Extracapsular Fractures of the Mandibular Condyle Differs from Objective Evaluation—Experience of a Third-Level Hospital

Department of Cranio- and Maxillofacial Surgery, Hospital of the University of Regensburg, Franz-Josef-Strauß-Allee 11, 93053 Regensburg, Germany
*
Author to whom correspondence should be addressed.
J. Clin. Med. 2024, 13(5), 1395; https://doi.org/10.3390/jcm13051395
Submission received: 15 January 2024 / Revised: 27 February 2024 / Accepted: 27 February 2024 / Published: 28 February 2024
(This article belongs to the Special Issue Craniofacial and Reconstructive Plastic Surgery)

Abstract

Background: The aim of this study is to assess patients’ subjective perception of treatment outcome after extracapsular fractures of the mandibular condyle. Methods: A questionnaire survey regarding facial nerve palsy (FNP), malocclusion, pain, reduction in maximum mouth opening (MMO) and further discomfort after 3, 6, and 12 months was carried out. Patients aged 18 or more presenting with an extracapsular condylar fracture between 2006 and 2020 were identified by purposive sampling Questionnaires were received from 115 patients. Fractures were classified on the basis of the pre-treatment imaging, the way of treatment was obtained from patients’ medical records. Data were analyzed using Pearsons’ chi-square-test, descriptive statistics and Student’s t-test. Results: 93.0% of the fractures were treated by open reduction and internal fixation (ORIF). MMO reduction was the most common post-treatment complication (55.6%). ORIF was associated with less pain after 3 months (p = 0.048) and lower VAS scores compared to conservative treatment (p = 0.039). Comminuted fractures were more frequently associated with post-treatment malocclusion (p = 0.048), FNP (p = 0.016) and MMO reduction (p = 0.001). Bilateral fractures were significantly accompanied by malocclusion (p = 0.029), MMO reduction (p = 0.038) and pain occurrence (p < 0.001). Conclusions: Patients report less pain after ORIF. Comminuted and bilateral fractures seem to be major risk factors for complications. Subjective perception of complications after extracapsular condylar fractures differs from objectively assessed data.

1. Introduction

Fractures of the mandibular condyle are reported to account for up to 45% of all mandibular fractures [1]. Despite the exceptional frequency of this kind of fracture, its management is discussed controversially in maxillofacial surgery [2,3]. Ellis identified malocclusion, mandibular hypomobility, deviation of the mandible, degenerative joint disease and iatrogenic injuries as major complications of this type of fracture [4]. Conservative treatment of condylar fractures is accomplished by using elastic bands, which can be usually deployed for fractures with no or minimal displacement, whereas surgical treatment is achieved by open reduction and osteosynthesis using miniplates or lag screws [5,6]. Potential complications after conservative treatment are mandibular deviation, malocclusion, ankylosis and internal derangement of the joint among others [7]. On the one hand, ORIF is reported to lead to better occlusal results, anatomic restoration and faster recovery rates than non-surgical techniques [8]. On the other hand, potential complications associated specifically with ORIF such as FNP and deranged occlusion cannot be neglected [9]. Some authors consider open and closed treatment to be equal in terms of MMO, mandibular deviation and restoring occlusion [10]. Thean et al. report a temporary malfunction of the facial nerve in 3.28% and a permanent nerve damage in 0.82% following ORIF. Moreover, they assessed a rate of post-treatment of malocclusion of 6.14% after conservative as well as open treatment [10]. Roozebom et al. refer temporary FNP in 12% of their cases, of which 95% achieved full recovery [11]. Lima et al. observed an incidence of 1.8% of FNP after the retromandibular approach [12]. In another study, 21% of the closed-treated patients and 2% of the open-treated patients showed post-treatment malocclusion [13]. In a recent study conducted in our own department, the post-treatment rate of malocclusion was 18.0%; temporary FNP occurred in 7.1% compared to 1.7% permanent FNP. MMO restriction was assessed in 13.5% of the cases [11]. Although various studies exist regarding the objective results of the treatment of extracapsular condylar fractures, there are a lack of data about subjective outcome and individual discomfort. Despite presumably high relevance, the incidence of chronic posttraumatic and postsurgical pain after fractures and fracture-related surgery is generally under-recognized [14]. In this context, our study is aimed at the assessment of postsurgical discomfort in terms of pain, FNP, malocclusion, and MMO reduction after surgical or conservative treatment of this certain kind of fracture. The study intends to provide information about the outcome from the patients’ perspective gathered by a questionnaire survey.

2. Materials and Methods

Inclusion criteria of the study were treatment of an uni- or bilateral extracapsular fracture of the mandibular condyle in our department of oral and maxillofacial surgery at Regensburg University Hospital, Germany, between 1 January 2006 and 31 December 2020 and age ≥ of 18 years or more at the date of the trauma. Intracapsular fractures were not included. Moreover, cases with extracapsular fracture on the one side and intracapsular fracture on the other side were not included to avoid confusion concerning the subjective outcome. Patients meeting this criteria were identified by purposive sampling. They were sent a printed postal questionnaire between 1 and 31 January 2022 so a minimum follow-up time of one year was granted. The questionnaire in German was developed exclusively for the present study (Table S1). Patients were requested to state their subjective feeling of occlusal disharmony, post-treatment pain, and reduction in maximum mouth opening (MMO) at three time measuring points: in short term (3 months), medium term (6 months) and long-term (12 months). Pain intensity was assessed according to a numerical rating scale (NRS) ranging from 0 to 10 (0 = no pain, 10 = worst pain). To assess FNP, the subjective perception of a restriction of the frontal, zygomatic, buccal or marginal mandibular branch, respectively, a visible disturbance of the innervated mimic muscles was retrieved. In the last section of the questionnaire patients were encouraged to verbalize further posttraumatic and postsurgical discomfort. The information acquired by the questionnaire survey were correlated to the patients` medical records. Comorbidities that affected the results could not be identified. Fracture localization (uni/bilateral), necessity for revision surgery, further fractures of the mandible, and polytraumatization were gathered from clinical documentation. By reference to preoperative imaging fractures were classified according to Spiessl and Schroll [15] (Table 1) and additionally the presence of comminution was assessed. Type VI fractures were not included in the study, as mentioned above. ORIF was accomplished by a retromandibular transparotid, preauricular, submandibular, or intraoral approach. Conservative treatment consisted of intermaxillary fixation by IMF screws (DePuy Synthes, Raynham, MA, USA) and elastics (Helago®, Heinz und Laufer OHG, Bonn, Germany). Osteosynthesis was carried out by 2 miniplates (Matrix Mandible Adaption Plate, thickness 1.0 mm combined with 6 mm screws, DePuy Synthes, Raynham, MA, USA). A 4-hole-plate was located along the posterior border of the mandibular ramus and a 3- or 4-hole-plate was placed along the anterior aspect of the condylar neck diverging to the first plate in antero-caudal direction. The double-plating technique is widely accepted and offers sufficient stability in a load-sharing concept [16,17]. Patients treated in other surgical ways were not included in the study. Malocclusion, FNP, MMO reduction and postoperative pain were correlated to the sex, method of treatment, Spiessl and Schroll classification, displacement, dislocation of the condylar head, comminution, fracture localization and concomitant mandibular fractures. FNP was furthermore correlated to neuromonitoring, revision surgery and approach. Data were analyzed by the use of SPSS 28.0. Data was analyzed using descriptive statistics, Pearsons’ chi-square-test and Student’s t-test. A p-value less than 0.05 was considered statistically significant.

3. Results

3.1. Base Data

Baseline data are shown in Table 2. The questionnaire was sent to 290 patients who underwent treatment of extracapsular fractures of the mandibular condyle at Regensburg University Hospital between 2006 and 2020 and fulfilled the inclusion criteria mentioned above. Replies were received from 115 patients (46 female (40.0%); 69 male (60.0%)). The response rate was 39.7%. The mean age was 41.89 ± 16.59 years (range 18–86 years).
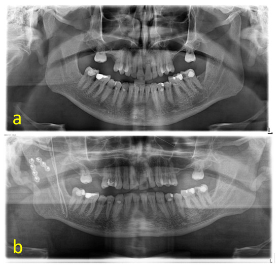
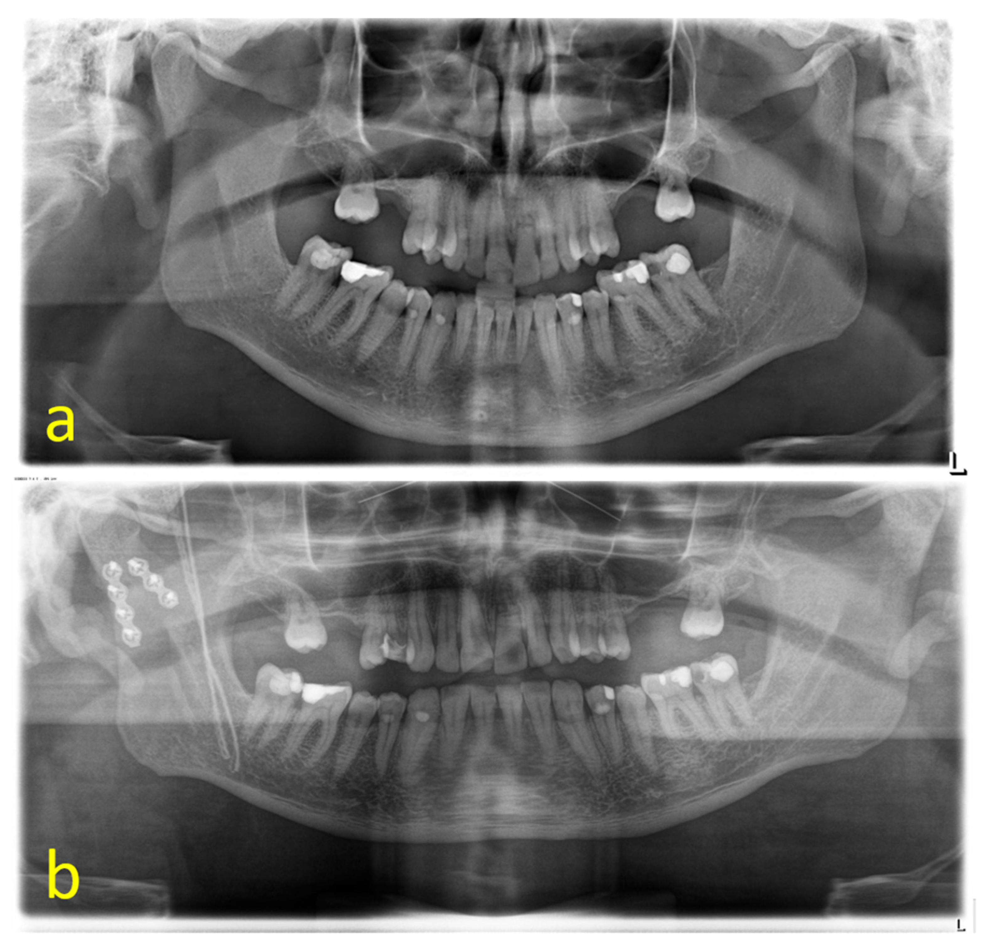
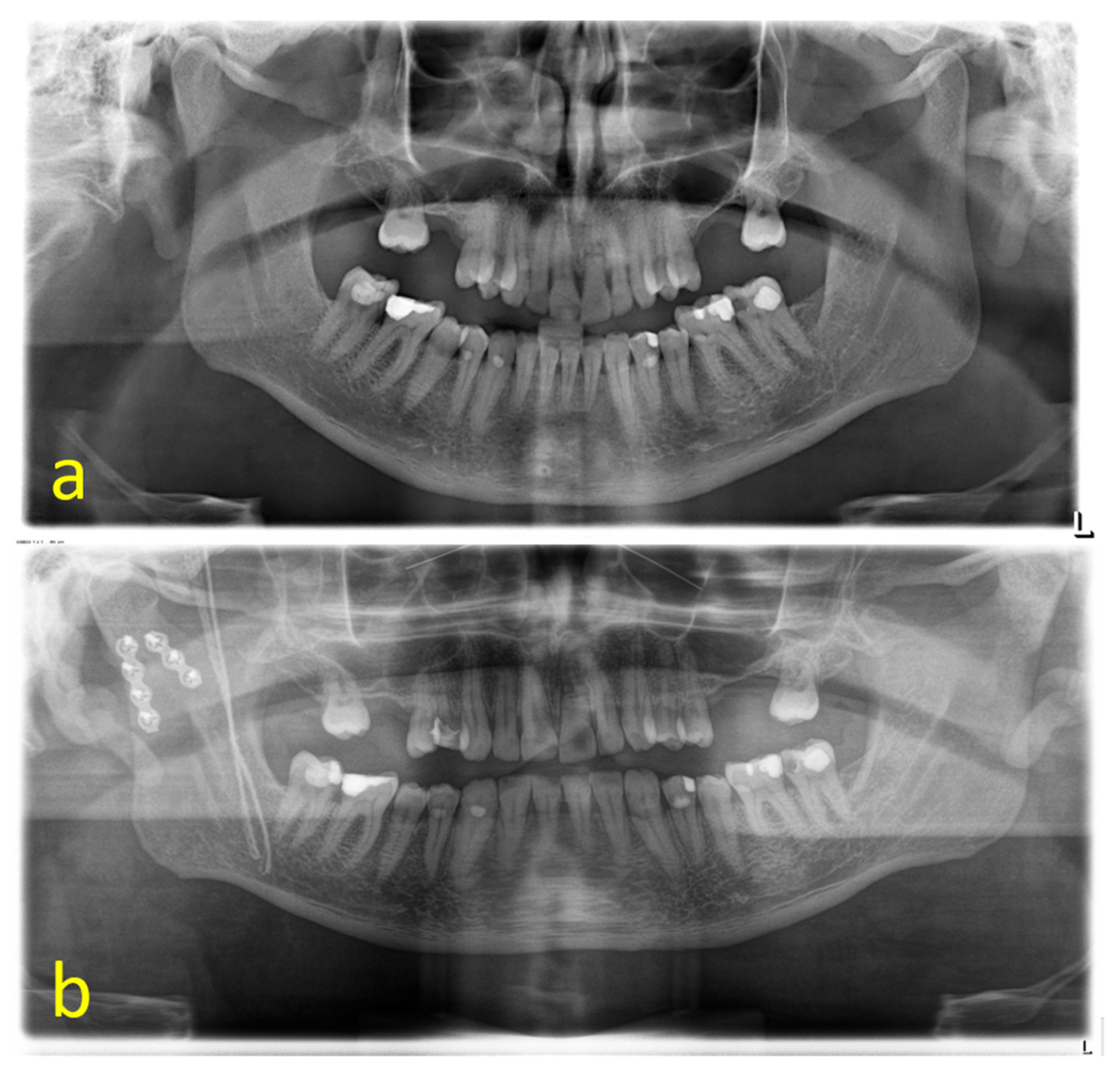
The cases could be subdivided in 62 unilateral and 53 bilateral fractures. A total of 107 of the 115 fractures were treated by ORIF (93.0%); 8 underwent conservative therapy (7.0%). Conservative treatment by intermaxillary fixation was carried out for a mean of 23.57 ± 10.37 days. According to the Spiessl and Schroll classification, the dominant type of fracture was type II (n = 61; 53.0%) (Figure 1a) followed by type III (n = 22; 19.1%), type I and V (n = 15; 13.0% each), and type IV (n = 2; 1.7%). Type I was present in 62.5% of conservatively treated fractures (n = 5), whereas 97.0% of the displaced or dislocated fractures underwent ORIF (n = 97) (Figure 1b). Type IV and V fractures exclusively received open treatment. This distribution was statistically significant (p < 0.001). A total of 15 fractures were classified as comminuted fractures by reference to preoperative 3D imaging (Figure 2a–c). A retromandibular transparotid approach was chosen in 93.5% of the open-treated cases (n = 100) (Figure 3a–f).

3.2. Postsurgical Facial Nerve Palsy

In 11 of the 107 surgical cases, a postoperative paresis of the facial nerve was reported (10.3%); 7 patients (6.5%) showed temporary weakness of the facial nerve, which had a mean duration of 13.50 ± 13.41 weeks. A total of 4 of the patients showed a permanent paresis (3.7%). The most common appearance of a facial nerve paresis affected the zygomatic branch (54.5%; n = 6) followed by an affection of the temporal branch (27.3%; n = 3). Facial nerve palsy was significantly associated with female gender (p = 0.016), comminution fractures (p = 0.016), and high fractures (p = 0.021). Fracture classification (p = 0.142), displacement (p = 0.976), dislocation (p = 0.826), neuromonitoring (p = 0.062), approach (p = 0.596) and revision surgery (0.568) did not correlate with FNP (Table 3).

3.3. Post-Treatment Malocclusion

A significant increase in malocclusion was observed in bilateral fractures (41.5%) compared to unilateral fractures (22.6%) (p = 0.029), as well as in comminuted fractures (53.3%) (p = 0.048) 3 months after treatment. Mean postoperative subjective impairment in the case of post-treatment malocclusion was 4.36 ± 2.50, rated by VAS. The occurrence of postoperative malocclusion was not significantly influenced by open or closed treatment (3 months: p = 0.695; 6 months: p = 0.546; 12 months: p = 0.751), fracture classification (p = 0.363; 0.844; 0.624), fracture displacement (p = 0.436; 0.554; 0.257), dislocation of the condylar head (p = 0.855; 0.317; 0.201), or fracture localization (p = 0.298; 0.723; 0.550). Concomitant mandibular fractures seem to be associated with the appearance of medium- and long-term post-treatment malocclusion (6 months: p = 0.029; 12 months: 0.012) (Table 4).

3.4. Post-Treatment Pain

A total of 53 patients (46.1%) did not report any pain 3 months after treatment, 44 patients (38.3%) complained pain in chewing and 18 patients (15.7%) reported durably occurring pain after surgical or non-surgical intervention. In the surgical group the mean duration of pain was 9.95 ± 12.73 weeks versus 16.83 ± 16.92 weeks in the conservative group. This difference in pain duration was not statistically significant (p = 0.22). Pain occurrence 3 months after treatment was also significantly lower in the open-treated group (p = 0.048). The overall pain intensity after treatment of extracapsular fractures of the mandibular condyle was reported to be 3.05 ± 2.35 at VAS. After surgery, the mean VAS level was 2.98 ± 2.42 versus 4.00 ± 1.07 after conservative treatment. This difference was statistically significant (p = 0.039). In total, 62 patients (53.9%) reported to have pain 3 months after treatment. In this period, post-treatment pain was significantly increased in females (69.6%; p = 0.006), in bilateral fractures (71.2%; p < 0.001) and in patients with further mandibular fractures (60.8%; 0.046). Thirty-three patients (28.7%) reported having pain 6 months after treatment. In this period, post-treatment pain was more frequent in polytraumatized patients (53.8%; p = 0.033) and in comminuted fractures (53.3%; p = 0.024) (Table 5). Twenty-two patients reported to have pain 12 months or more after treatment (19.1%). A significant association of pain lasting for 12 months or more with the assessed parameters could not be identified.

3.5. Post-Treatment Reduction in Maximum Mouth Opening

In 64 cases (55.6%), patients complained of reduced mouth opening after treatment for at mean 15.97 ± 21.86 weeks. MMO reduction was significantly increased in female patients in all time periods (p < 0.001; p < 0.001; p = 0.011). A significant difference between conservative and surgical treatment could not be constituted.
In 33 patients, a reduction in mouth opening could be assessed after 3 months (28.7%), whereas in 24 patients MMO reduction was present after 12 months or more (20.8%). Three months after treatment, MMO reduction was significantly increased in bilateral fractures (p = 0.038). Six months after treatment, MMO reduction was significantly more frequent in bilateral fractures (p = 0.048), comminuted fractures (p = 0.024) and in patients with further mandibular fractures (p = 0.004). Comminution fractures were significantly associated with MMO reduction after 12 months (p = 0.001) (Table 6).

3.6. Further Discomfort

Sixteen patients (13.9%) reported suffering from cephalgia or pain in the neck muscles, respectively, and neck tension since the trauma, respectively, during treatment. This was significantly associated with long-term occlusal disharmony (p = 0.015), MMO reduction (p < 0.001), long-term pain at the fracture site (p < 0.001), and post-treatment mandibular deviation (p < 0.001). Thirteen patients reported a disturbing postoperative deviation of the mandible during opening movement. Ten of these thirteen patients (76.9%) also complained of long-term mouth opening reduction p < 0.001). Eight of them (61.5%) also suffered from post-treatment malocclusion (p < 0.001) and 9 of them (69.2%) reported long-term post-treatment pain (p < 0.001) (Table 7).

4. Discussion

Treatment of fractures of the mandibular condyle is discussed controversially. Among others FNP, malocclusion, hypomobility and persisting pain are the major complications possible after ORIF of condylar fractures [18,19,20] whereas pain, arthritis, open bite, deviation of the mandible on opening and closing movement, inadequate restoration of vertical height of the ramus leading to malocclusion, and ankylosis can go along with the closed treatment [21]. Nevertheless, some authors consider ORIF to be superior in subjective and objective functional clinical outcome in comparison to closed treatment and to be the treatment of choice at least for displaced fractures [21,22]. In the present study, we carried out a questionnaire survey including 115 patients presenting in our unit between 2006 and 2020 with uni or bilateral fractures of the mandibular condyle to gain information about post-treatment complications and discomfort. The study was carried out in the department of maxillofacial surgery at Regensburg University Hospital, Germany, which is a third-level hospital. Its facial trauma center has a commuting area of 2.2 million people in Eastern Bavaria. For this reason, we consider the study to be representative and purposive according to current standards. One hundred and seven fractures (93.0%) were treated by ORIF, whereas eight fractures (7.0%) received conservative therapy. This distribution of open and closed treatment is consistent with other studies [1]. Type one was present in 62.5% of conservatively treated fractures, whereas 97.0% of the displaced and dislocated fractures underwent ORIF (p < 0.001). It points out that surgical treatment is possible and appropriate in most cases, especially in cases of displaced or dislocated fractures.
In 31.3% of our cases, the patients reported a post-treatment malocclusion. Malocclusion seems to be a common subjective complication after treatment of extracapsular condylar fractures. Nevertheless, the number of occlusal disharmony is higher in our study compared to previous studies [23,24,25,26]. Our results point out that the subjective impression of occlusal disharmony may be stronger than the objective clinical assessment as performed in many studies. A significant difference between open and conservative treatment could not be displayed. However, it has to mentioned that comparison between surgery and conservative treatment is strongly limited by the low case number of the conservative group. Displaced and dislocated fractures were almost entirely treated by open approaches, whereas closed treatment focused mainly on not displaced fractures. Patients with bilateral condylar fractures seem to undergo a significantly higher risk to develop a malocclusion (p = 0.044). This finding is consistent with previous studies and might be caused by the different biomechanics and the more demanding reduction compared to unilateral fractures [4,27]. Comminuted fractures could also be identified as another predisposing factor for occlusal disharmony (p = 0.003). This might also be due to more challenging reposition and osteosynthesis.
The most concerning complication for an open reduction in condylar fractures is an injury to the facial nerve, which can cause temporary or permanent paralysis of the muscles of facial expression [28]. In our cohort, in total, 10.3% of the open-treated patients complained of a palsy of the facial. Permanent nerve damage occurred in 3.7% after ORIF. Rozeboom et al. reports an incidence of FNP of 12% with 95% recovery rate [11], whereas a meta-analysis by Al-Moraissi et al. identified the risk for permanent FNP after ORIF via retromandibular approach to be 1.4% [28]. Thean and Chang assessed 3.28% temporary and 0.82% permanent FNPs in a similar surgical cohort [24]. Our results suggest that subjective impression of facial nerve impairment also seems to be slightly higher than in objective clinical studies. The mean duration of temporary FNPs was 21.86 ± 25.27 weeks. The most frequently used approach was retromandibular transparotid which has also been identified to bear a certain risk for facial nerve damage. Nevertheless, the recovery rate of FNP after using the retromandibular transparotid approach is suggested to be higher compared to the anterior or posterior parotid approach. A possible explanation might be the necessity for less traction of the soft tissue and consecutively of the nerve [11]. According to other studies, we consider the risk to produce a permanent paresis of the facial nerve to be very low using the common approaches including the transparotid approach [11].
Comminution of the condyle seems to cause a higher incidence of post-surgical FNP maybe because of a time-consuming reposition and the need for wider approaches. In wider approaches, the risk for deliberate encountering branches of the facial increases. Al-Moraissi et al. identified encountering the facial nerve during surgical treatment of condylar fractures as a risk factor for FNP [29]. Other authors also identified traction of the nerve as a risk factor for postoperative palsy [11]. Interestingly, the zygomatic branch was affected the most often in cases of FNP. This correlates with the fact that high condylar fractures were associated with a higher risk for FNP (p = 0.021), as dissection in a more cranial direction has to be carried out. Al-Moraissi et al. also identified fractures located in condylar neck to carry a higher risk for FNP when treated via retromandibular approach [28]. Female gender is significantly more often associated with FNP (p = 0.016) compared to male gender. Imai et al. confirm this finding [30]. A possible explanation might be provided by an experimental model of neuronal regeneration, which indicates that testosterone accelerates functional recovery following FNP in male hamsters [31].
In our study, pain intensity after treatment was significantly reduced after ORIF compared to closed treatment (p = 0.039). This finding is in accordance with a meta-analysis conducted by Al-Moraissi and Ellis, which also displays lower VAS pain levels after the ORIF of condylar fractures [22]. Eckelt et al. also report significantly better treatment results in terms of less pain and discomfort for open treatment [32]. In our study, one month after treatment a significant higher percentage of patients reported pain in the conservative group (p = 0.048). Due to these findings, we suggest that ORIF is an effective way to decrease the level and duration of post-treatment pain, despite the type of fracture. Post-treatment pain was significantly increased in women for 0–3 months after therapy (p = 0.006). This finding may be due to the fact that female patients show a higher prevalence in general for temporomandibular joint pain, jaw muscle pain and neck muscle pain than male patients [33]. In 19.1% of the cases, the patients complained pain lasting for 12 months or longer after treatment. Chronic pain lasting longer than 12 months is reported to have a relevant neuropathic component [14]. In cases of chronification, pain was often expressed as cephalgia and pain or tension in the neck muscles. The connection between temporomandibular disorder and jaw injuries is well known [33,34]. Regarding the association between cephalgia and pain in the neck muscles in our study, with long-term occlusal disharmony we suggest that temporomandibular disorder might be induced or enforced by condylar mandibular fractures and their treatment. Occlusal disharmony often goes along with chronic orofacial pain [35]. Cephalgia and pain in the neck muscles may also be caused or increased by occlusal disharmony as a result of incorrect reposition in open or closed way of treatment. A symptom complex consisting of cephalgia or neck tension, occlusal disharmony, MMO restriction and mandibular deviation seems to be quite common after condylar fractures. Despite the incidence of long-term malocclusion being significantly higher in male patients (p = 0.018), the chronification of pain was similar in both genders in our study. Anyway, in comparison to other studies regarding pain after fractures in general [14], the incidence of chronic posttraumatic or postsurgical pain lasting for 12 months or longer after condylar fractures seems to be less than average.
Ellis identified mandibular hypomobility as a common complication after condylar fractures [4]. In our study, post-treatment mouth opening reduction occurred in 55.6% of our cases for 0–3 months, whereas a permanent reduction was reported by 20.9% of our patients, which made it the most common post-treatment complication. There was no significant difference detectable between open- and closed-treated patients. Ferretti et al. suggested that hematomas around the articular cavity of dislocated condylar fracture fragments, damage of the anatomic barrier, disc displacement, and long periods of limited mandibular mobility can induce ankylosis by vessel ossification [36]. In this context, comminution of the condyle could be identified as a risk factor for long-term MMO reduction (p = 0.001). Bone fragments, more demanding reposition and wider approaches may be responsible by potentially causing increased hematoma and a more extensive traumatization of soft tissue. Female patients stated to have a mouth opening decline significantly more frequently than male patients in short-, medium-, and long-term observation (p < 0.001; p < 0.001; p = 0.011). An obvious reason for this could not be identified. Maybe MMO reduction in females goes along with their higher post-treatment pain levels and their higher prevalence for chronic orofacial pain, respectively, temporomandibular disorder [33]. Bilateral fractures and further mandibular fractures seem to be associated with a significantly delayed recovery of MMO from 3–12 months (p = 0.048), maybe because of the significantly increased pain levels and both sided tissue traumatization they go along with.
In 11.3% of the cases, the patients reported to have a disturbing post-treatment deviation of the mandible during the mouth opening movement. This finding correlated significantly with long-term postoperative pain (p < 0.001), post-treatment malocclusion (p < 0.001) and long-term mouth-opening reduction (p < 0.001). Sarnat and Robinson stated that a subcondylar fracture in an adult may lead to lateral deviated mandible secondary to condylar remodeling from mechanical forces or condylar resorption from poor blood supply [37]. Deviation may also result from a one-sided posttraumatic joint malfunction and hypomobility, which leads to a movement to the fractured side. Gibstein et al. identified conservative treatment as a certain risk factor for mandibular deviation [2]. This finding could not be proved in our study.
One limitation of this study is the retrospective design based on a questionnaire survey. Another limitation of this study design is the poor response rate, as only 115 of 290 patients took part. This could lead to a relevant non-responder bias and to higher rates of complications compared to studies on the basis of objective clinical examination. Individual experience of the involved surgeons in open treatment of condylar fractures could not be assessed, despite the fact that it may have a big impact on the outcome. Treatment was carried out or supervised by a consultant-level surgeon in all cases. However, it could not be guaranteed that the same surgeon or surgical team performed the treatment of all the fractures mentioned above. A true comparison between conservative and surgical treatment is difficult regarding the small amount of closed treated fractures. Nearly two thirds of the condylar fractures were accompanied by further mandibular fractures. It is possible that post-treatment pain is caused by the concomitant fractures and not or not only by the condylar fracture. Another potential bias might be the high amount of bilateral fractures, with 46.1%. As bilateral fractures seem to cause more complications than unilateral fractures, it is possible that more patients with discomfort took part in the questionnaire survey than patients free of complaints.

5. Conclusions

MMO reduction is the most common subjective complication after treatment of extracapsular condylar fractures. The questionnaire evaluation led to a higher incidence of FNP and malocclusion, as perceived by the patients, than reported in studies based on objective assessment. This means that patients are subjectively more impaired by FNP and malocclusion than it appears in an objective medical examination. ORIF goes along with significantly lower pain levels and decreased pain duration. Surgical treatment seems to be appropriate for all types of extracapsular condylar fractures. Comminution of the condyle and bilateral fractures seem to be major risk factors for post-treatment complications. Female gender bears a higher risk for long-term MMO reduction, FNP and prolonged pain. A long-term symptom complex consisting of cephalgia or neck muscle tension, malocclusion, MMO reduction and mandibular deviation is possible after extracapsular condylar fractures.

Supplementary Materials

The following supporting information can be downloaded at: https://www.mdpi.com/article/10.3390/jcm13051395/s1, Table S1: Questionnaire sent to patients.

Author Contributions

Conceptualization, M.M. and T.E.; methodology, M.M. and T.E.; software, M.M., T.K., J.T. and M.G.; validation, M.M., J.T. and M.F.; formal analysis, M.M. and T.K.; investigation, M.M., T.K. and J.G.S.; resources, T.E.R., J.K.M., W.W. and T.E.; data curation, M.M. and T.K.; writing—original draft preparation, M.M.; writing—review and editing, M.M., T.E.R., J.K.M., M.G. and T.E.; visualization, M.M., W.W. and M.F.; supervision, T.E.; project administration, M.M. and T.E. All authors have read and agreed to the published version of the manuscript.

Funding

This research received no external funding.

Institutional Review Board Statement

The study was conducted in accordance with the Declaration of Helsinki, and approved by the local ethics committee of Regensburg University (protocol code 20-2014-104 and date of approval 16 September 2020).

Informed Consent Statement

Written informed consent was obtained from all patients involved in the study to publish this paper.

Data Availability Statement

Data can be obtained on request by the scientists who conducted the work independently from the industry. Data are not stored on publicly available servers.

Conflicts of Interest

The authors declare no conflicts of interest.

References

  1. Kozakiewicz, M.; Walczyk, A. Current Frequency of Mandibular Condylar Process Fractures. J. Clin. Med. 2023, 12, 1394. [Google Scholar] [CrossRef] [PubMed]
  2. Gibstein, A.R.; Chen, K.; Nakfoor, B.; Gargano, F.; Bradley, J.P. Mandibular Subcondylar Fracture: Improved Functional Outcomes in Selected Patients with Open Treatment. Plast. Reconstr. Surg. 2021, 148, 398e–406e. [Google Scholar] [CrossRef] [PubMed]
  3. Strohl, A.M.; Kellman, R.M. Current Management of Subcondylar Fractures of the Mandible, Including Endoscopic Repair. Facial Plast. Surg. Clin. N. Am. 2017, 25, 577–580. [Google Scholar] [CrossRef] [PubMed]
  4. Ellis, E. Complications of mandibular condyle fractures. Int. J. Oral Maxillofac. Surg. 1998, 27, 255–257. [Google Scholar] [CrossRef] [PubMed]
  5. Narayanan, V.; Kannan, R.; Sreekumar, K. Retromandibular approach for reduction and fixation of mandibular condylar fractures: A clinical experience. Int. J. Oral Maxillofac. Surg. 2009, 38, 835–839. [Google Scholar] [CrossRef] [PubMed]
  6. Magalhães, T.G.; Andrade, G.S.; Mello, M.d.J.R.; Carvalho, A.C.G.d.S. Condyle Fractures: Impact of Surgical and Conservative Approaches on Oral Health. J. Craniofac. Surg. 2018, 29, 1501–1504. [Google Scholar] [CrossRef]
  7. Palmieri, C.; Ellis, E.; Throckmorton, G. Mandibular motion after closed and open treatment of unilateral mandibular condylar process fractures. J. Oral Maxillofac. Surg. 1999, 57, 764–775. [Google Scholar] [CrossRef]
  8. Riu, G.d.; Gamba, U.; Anghinoni, M.; Sesenna, E. A comparison of open and closed treatment of condylar fractures: A change in philosophy. Int. J. Oral Maxillofac. Surg. 2001, 30, 384–389. [Google Scholar] [CrossRef]
  9. Ellis, E.; McFadden, D.; Simon, P.; Throckmorton, G. Surgical complications with open treatment of mandibular condylar process fractures. J. Oral Maxillofac. Surg. 2000, 58, 950–958. [Google Scholar] [CrossRef]
  10. Haug, R.H.; Assael, L.A. Outcomes of open versus closed treatment of mandibular subcondylar fractures. J. Oral Maxillofac. Surg. 2001, 59, 370–375. [Google Scholar] [CrossRef]
  11. Rozeboom, A.V.J.; Dubois, L.; Bos, R.R.M.; Spijker, R.; Lange, J.d. Open treatment of condylar fractures via extraoral approaches: A review of complications. J. Craniomaxillofac. Surg. 2018, 46, 1232–1240. [Google Scholar] [CrossRef] [PubMed]
  12. Lima, S.M.; Asprino, L.; Moreira, R.W.F.; Moraes, M.d. Surgical complications of mandibular condylar fractures. J. Craniofac. Surg. 2011, 22, 1512–1515. [Google Scholar] [CrossRef] [PubMed]
  13. Rikhotso, R.E.; Reyneke, J.P.; Nel, M. Does Open Reduction and Internal Fixation Yield Better Outcomes Over Closed Reduction of Mandibular Condylar Fractures? J. Oral Maxillofac. Surg. 2022, 80, 1641–1654. [Google Scholar] [CrossRef]
  14. Aulenkamp, J.L.; Malewicz, N.M.; Brauckhoff, J.D.; Zahn, P.K.; Ebel, M.; Schnitzler, R.; Clever, J.; Geßmann, J.; Bauer, M.; Meyer-Frießem, C.H. Chronic Pain Following Fracture-Related Surgery: Posttraumatic Rather Than Postsurgical Origin Promotes Chronification-A Prospective Observational Study With 1-Year Follow-up. Anesth. Analg. 2022, 134, 974–986. [Google Scholar] [CrossRef]
  15. Spiessl, B.; Schroll, K. (Eds.) Spezielle Frakturen-Und Luxationslehre: Band I/1 Gesichtsschädel; Georg Thieme: Stuttgart, Germany, 1972. [Google Scholar]
  16. Christopoulos, P.; Stathopoulos, P.; Alexandridis, C.; Shetty, V.; Caputo, A. Comparative biomechanical evaluation of mono-cortical osteosynthesis systems for condylar fractures using photoelastic stress analysis. Br. J. Oral Maxillofac. Surg. 2012, 50, 636–641. [Google Scholar] [CrossRef] [PubMed]
  17. Lauer, G.; Haim, D.; Proff, P.; Richter, G.; Pradel, W.; Fanghänel, J.; Pilling, E.; Gedrange, T.; Mai, R. Plate osteosynthesis of the mandibular condyle. Ann. Anat. 2007, 189, 412–417. [Google Scholar] [CrossRef] [PubMed]
  18. Koirala, U.; Subedi, S. Retromandibular transparotid approach for subcondylar mandibular fracture: A retrospective study. Dent. Traumatol. 2021, 37, 314–320. [Google Scholar] [CrossRef]
  19. Bruneau, S.; Courvoisier, D.S.; Scolozzi, P. Facial Nerve Injury and Other Complications Following Retromandibular Subparotid Approach for the Management of Condylar Fractures. J. Oral Maxillofac. Surg. 2018, 76, 812–818. [Google Scholar] [CrossRef]
  20. García-Guerrero, I.; Ramírez, J.M.; Gómez de Diego, R.; Martínez-González, J.M.; Poblador, M.S.; Lancho, J.L. Complications in the treatment of mandibular condylar fractures: Surgical versus conservative treatment. Ann. Anat. 2018, 216, 60–68. [Google Scholar] [CrossRef]
  21. Singh, V.; Bhagol, A.; Goel, M.; Kumar, I.; Verma, A. Outcomes of open versus closed treatment of mandibular subcondylar fractures: A prospective randomized study. J. Oral Maxillofac. Surg. 2010, 68, 1304–1309. [Google Scholar] [CrossRef]
  22. Al-Moraissi, E.A.; Ellis, E. Surgical treatment of adult mandibular condylar fractures provides better outcomes than closed treatment: A systematic review and meta-analysis. J. Oral Maxillofac. Surg. 2015, 73, 482–493. [Google Scholar] [CrossRef] [PubMed]
  23. Maurer, M.; Klaes, T.; Meier, J.K.; Gottsauner, J.M.; Taxis, J.; Schuderer, J.; Reichert, T.E.; Ettl, T. Treatment of extracapsular fractures of the mandibular condylar process: A retrospective evaluation of 377 cases. Dent. Traumatol. 2023, 39, 586–596. [Google Scholar] [CrossRef] [PubMed]
  24. Thean, D.; Chang, F. Mandibular condylar fractures: A 5-year retrospective analysis comparing open versus closed reduction. ANZ J. Surg. 2023. [Google Scholar] [CrossRef] [PubMed]
  25. Ellis, E.; Simon, P.; Throckmorton, G.S. Occlusal results after open or closed treatment of fractures of the mandibular condylar process. J. Oral Maxillofac. Surg. 2000, 58, 260–268. [Google Scholar] [CrossRef] [PubMed]
  26. Berner, T.; Essig, H.; Schumann, P.; Blumer, M.; Lanzer, M.; Rücker, M.; Gander, T. Closed versus open treatment of mandibular condylar process fractures: A meta-analysis of retrospective and prospective studies. J. Craniomaxillofac. Surg. 2015, 43, 1404–1408. [Google Scholar] [CrossRef] [PubMed]
  27. Singh, V.; Bhagol, A.; Dhingra, R. A comparative clinical evaluation of the outcome of patients treated for bilateral fracture of the mandibular condyles. J. Craniomaxillofac. Surg. 2012, 40, 464–466. [Google Scholar] [CrossRef]
  28. Al-Moraissi, E.A.; Louvrier, A.; Colletti, G.; Wolford, L.M.; Biglioli, F.; Ragaey, M.; Meyer, C.; Ellis, E. Does the surgical approach for treating mandibular condylar fractures affect the rate of seventh cranial nerve injuries? A systematic review and meta-analysis based on a new classification for surgical approaches. J. Craniomaxillofac. Surg. 2018, 46, 398–412. [Google Scholar] [CrossRef] [PubMed]
  29. Al-Moraissi, E.A.; Ellis, E.; Neff, A. Does encountering the facial nerve during surgical management of mandibular condylar process fractures increase the risk of facial nerve weakness? A systematic review and meta-regression analysis. J. Craniomaxillofac. Surg. 2018, 46, 1223–1231. [Google Scholar] [CrossRef]
  30. Imai, T.; Fujita, Y.; Takaoka, H.; Motoki, A.; Kanesaki, T.; Ota, Y.; Chisoku, H.; Ohmae, M.; Sumi, T.; Nakazawa, M.; et al. Longitudinal study of risk for facial nerve injury in mandibular condyle fracture surgery: Marginal mandibular branch-traversing classification of percutaneous approaches. Clin. Oral Investig. 2020, 24, 1445–1454. [Google Scholar] [CrossRef]
  31. Jones, K.J. Recovery from facial paralysis following crush injury of the facial nerve in hamsters: Differential effects of gender and androgen exposure. Exp. Neurol. 1993, 121, 133–138. [Google Scholar] [CrossRef]
  32. Eckelt, U.; Schneider, M.; Erasmus, F.; Gerlach, K.L.; Kuhlisch, E.; Loukota, R.; Rasse, M.; Schubert, J.; Terheyden, H. Open versus closed treatment of fractures of the mandibular condylar process-a prospective randomized multi-centre study. J. Craniomaxillofac. Surg. 2006, 34, 306–314. [Google Scholar] [CrossRef] [PubMed]
  33. Plesh, O.; Gansky, S.A.; Curtis, D.A.; Pogrel, M.A. The relationship between chronic facial pain and a history of trauma and surgery. Oral Surg. Oral Med. Oral Pathol. Oral Radiol. Endod. 1999, 88, 16–21. [Google Scholar] [CrossRef] [PubMed]
  34. Barbosa, C.; Gavinha, S.; Soares, T.; Manso, M.C. Coincidence and Awareness of the Relationship Between Temporomandibular Disorders and Jaw Injury, Orthodontic Treatment, and Third Molar Removal in University Students. J. Oral Facial Pain Headache 2016, 30, 221–227. [Google Scholar] [CrossRef] [PubMed]
  35. Cao, Y. Occlusal disharmony and chronic oro-facial pain: From clinical observation to animal study. J. Oral Rehabil. 2022, 49, 116–124. [Google Scholar] [CrossRef] [PubMed]
  36. Ferretti, C.; Bryant, R.; Becker, P.; Lawrence, C. Temporomandibular joint morphology following post-traumatic ankylosis in 26 patients. Int. J. Oral Maxillofac. Surg. 2005, 34, 376–381. [Google Scholar] [CrossRef]
  37. Robinson, I.B.; Sarnat, B.G. Surgery of the mandible; some clinical considerations. Am. J. Surg. 1956, 92, 840–848. [Google Scholar] [CrossRef]
Figure 1. Type II fracture of the right mandibular condyle before (a) and after ORIF in double-plating technique (b) (L = left side).
Figure 1. Type II fracture of the right mandibular condyle before (a) and after ORIF in double-plating technique (b) (L = left side).
Jcm 13 01395 g001
Figure 2. Comminuted type II fracture: CT-scan (a); preoperative panoramic x-ray (b); postoperative panoramic x-ray (c).
Figure 2. Comminuted type II fracture: CT-scan (a); preoperative panoramic x-ray (b); postoperative panoramic x-ray (c).
Jcm 13 01395 g002
Figure 3. Retromandibular transparotid approach: preoperative skin marking, 4-channel neuromonitoring placed into the frontalis, orbicularis oculi and oris, and mentalis muscles (a); incision of parotid capsule (b); fracture reposition (c); ORIF in double-plating technique (d); watertight closure of parotid capsule (e); wound closure by intracutaneous suture (f).
Figure 3. Retromandibular transparotid approach: preoperative skin marking, 4-channel neuromonitoring placed into the frontalis, orbicularis oculi and oris, and mentalis muscles (a); incision of parotid capsule (b); fracture reposition (c); ORIF in double-plating technique (d); watertight closure of parotid capsule (e); wound closure by intracutaneous suture (f).
Jcm 13 01395 g003
Table 1. Spiessl and Schroll classification of mandibular condylar fractures [15].
Table 1. Spiessl and Schroll classification of mandibular condylar fractures [15].
Type IFractures without displacement
Type IILow fractures with displacement
Type IIIHigh fractures with displacement
Type IVLow fractures with dislocation
Type VHigh fractures with dislocation
Type VIIntracapsular fractures
Table 2. Baseline data.
Table 2. Baseline data.
Patients 115
Sex
Male69 (60.0%)
Female46 (40.0%)
Age41.89 ± 16.59 years
Polytrauma 13 (11.3%)
Treatment
Open107 (93.0%)
Closed8 (7.0%)
Spiessl and Schroll Open treatmentClosed treatment
Type I15 (13.0%)10 (66.6%)5 (33.3%)
Type II61 (53.0%)60 (98.4%)1 (1.6%)
Type III22 (19.1%)20 (91.0%)2 (9.1%)
Type IV2 (1.7%)2 (100%)0 (0%)
Type V15 (13.0%)15 (100%)0 (0%)
Unilateral 62 (53.9%)
Bilateral 53 (46.1%)
Concomitant mandibular fractures74 (64.3%)
Approach (in surgical cases)
Retromandibular transparotid100 (93.5%)
Intraoral3 (2.8%)
Preexisting1 (0.9%)
Preauricular1 (0.9%)
Submandibular1 (0.9%)
Table 3. Postsurgical facial nerve palsy after ORIF.
Table 3. Postsurgical facial nerve palsy after ORIF.
Study VariableAssociation with FNP (Ratio FNPs/Sample Size)p-Value
Total11/107 (10.3%)-
Temporary7/107 (6.5%)
Permanent4/107 (3.7%)
SexFemale8/42 (19.0%)0.016 *
Male3/66 (4.5%)
Fracture classificationType 11/10 (10%)0.142
Type 23/57 (5.2%)
Type 35/20 (25%)
Type 40/2 (0%)
Type 52/15 (13.3%)
Fracture displacementYes10/97 (10.3%)0.976
No1/10 (10%)
Luxation of condylar headYes2/17 (11.8%)0.826
No9/90 (10%)
Comminuted fractureYes4/14 (28.6%)0.016 *
No7/93 (7.5%)
Fracture localizationHigh7/35 (20%)0.021 *
Low4/72 (5.6%)
NeuromonitoringYes10/105 (9.5%)0.062
No1/2 (50%)
Revision surgeryYes0/3 (0%)0.552
No11/104 (10.6%)
ApproachRetromandibular transparotid10/101 (9.9%)0.596
Other1/6 (16.7%)
Localization of FNPTemporal branch3/11 (27.3%)-
Zygomatic branch6/11 (54.5%)
Buccal branch2/11 (18.2%)
Association localization of FNP/localization of fractureHigh fracturesTemporal branch2/35 (5.7%)0.441
Zygomatic branch3/35 (8.6%)
Buccal branch2/35 (5.7%)
Low fracturesTemporal branch0/72 (0%)
Zygomatic branch3/72 (4.2%)
Buccal branch1/72 (1.4%)
* significant at p < 0.05.
Table 4. Post-treatment malocclusion.
Table 4. Post-treatment malocclusion.
Study VariablePost-Treatment Malocclusion (Ratio Malocclusion/Sample Size)p-Value
3 Months6 Months12 Months3 Months6 Months12 Months
Total36/115 (31.3%)24/115 (20.9%)19/115 (16.5%)---
SexFemale13/46 (28.3%)6/46 (13.0%)3/46 (6.5%)0.5660.0920.018 *
Male23/69 (33.3%)18/69 (26.1%)16/69 (23.2%)
TreatmentOpen33/107 (33.6%)23/107 (21.5%)18/107 (16.4%)0.6950.5460.751
Closed3/8 (37.5%)1/8 (12.5%)1/8 (12.5%)
Unilateral fractures14/62 (22.6%)11/62 (17.7%)9/62 (14.5%)0.029 *0.3720.531
Bilateral fractures22/53 (41.5%)13/53 (24.5%)10/53 (18.9%)
Fracture classificationType 16/15 (40.0%)4/15 (26.7%)4/15 (26.7%)0.3630.8440.624
Type 215/61 (24.6%)13/61 (21.3%)10/61 (16.4%)
Type 310/22(45.5%)5/22 (22.7%)4/22 (18.2%)
Type 41/2 (50.0%)0/2 (0%)0/2 (0%)
Type 54/15 (26.7%)2/15 (13.3%)1/15 (6.7%)
Fracture displacementYes30/100 (30.0%)20/100 (20.0%)15/100 (15.0%)0.4360.5540.257
No6/15 (40.0%)4/15 (26.7%)4/15 (26.7%)
Dislocation of condylar headYes5/17 (31.6%)2/17 (11.8%)1/17 (5.9%)0.8550.3170.201
No31/98 (23.5%)22/98 (22.4%)18/98 (18.4%)
Comminuted fractureYes8/15 (53.3%)4/15 (26.7%)2/15 (13.3%)0.048 *0.5540.721
No28/100 (28.0%)20/100 (20.0%)17/100 (17.0%)
Fracture localizationHigh14/37 (37.8%)7/37 (18.9%)5/37 (13.5%)0.2980.7230.550
Low22/78 (28.2%)17/78 (21.8%)14/78 (17.9%)
Concomintant mandibular fracturesYes25/74 (33.8%)17/74 (23.0%)17/74 (23.0%)0.4410.029 *0.012 *
No11/41 (26.8%)4/41 (9.8%)2/41 (4.9%)
* significant at p < 0.05.
Table 5. Post-treatment pain.
Table 5. Post-treatment pain.
Study VariableAssociation with Postoperative Pain (Ratio Postoperative Pain/Sample Size)p-Value
3 Months6 Months12 Months3 Months6 Months12 Months
Total62/115 (53.9%)33/115 (28.7%)22/115 (19.1%)
SexFemale32/46 (69.6%)16/46 (34.8%)9/46 (19.6%)0.006 **0.2390.923
Male30/69 (43.5%)17/69 (24.6%)13/69 (18.8%)
PolytraumaYes10/13 (76.9%)7/13 (53.8%)5/13 (38.5%)0.0770.033 *0.060
No52/102 (51.0%)26/102 (25.5%)17/102 (16.7%)
TreatmentOpen7/8 (87.5%)4/8 (50.0%)3/8 (37.5%)0.048 *0.1670.171
Closed55/107 (51.4%)29/107 (27.1%)19/107 (17.8%)
Unilateral fractures24/62 (38.7%)18/62 (29.0%)13/62 (21.0%)<0.001 ***0.9310.588
Bilateral fractures38/53 (71.7%)15/53 (28.3%)9/53 (17.0%)
Fracture classificationType I9/15 (60.0%)3/15 (20.0%)2/15 (13.3%)0.7540.8790.742
Type II32/61 (52.5%)18/61 (29.5%)13/61 (21.3%)
Type III10/22 (45.5%)6/22 (27.3%)3/22 (13.6%)
Type IV1/2 (50.0%)1/2 (50.0%)0/2 (0%)
Type V10/15 (66.7%)5/15 (33.3%)4/15 (26.7%)
Fracture displacementYes53/100 (53.0%)30/100 (30.0%)20/100 (20.0%)0.6120.4250.540
No9/15 (60.0%)3/15 (20.0%)2/15 (13.3%)
Dislocation of condylar headYes6/17 (35.3%)6/17 (35.3%)4/17 (23.5%)0.3340.5150.617
No51/98 (52.0%)27/98 (27.6%)18/98 (18.4%)
Comminuted fractureYes11/15 (73.3%)8/15 (53.3%)5/15 (33.3%)0.1060.024 *0.134
No51/100 (51.0%)25/100 (25.0%)17/100 (17.0%)
Revision surgeryYes2/3 (66.7%)1/3 (33.3%)0/3 (0%)0.6530.8570.393
No52/60 (86.7%)32/112 (28.6%)22/112 (19.6%)
Fracture localizationHigh20/37 (54.1%)11/37 (29.7%)7/37 (18.9%)0.9830.8660.968
Low42/78 (53.8%)22/78 (28.2%)15/78 (19.2%)
Concomintant mandibular fracturesYes45/74 (60.8%)22/74 (29.7%)16/74 (21.6%)0.046 *0.7420.362
No17/41 (41.5%)11/41 (26.8%)6/41 (14.6%)
* significant at p < 0.05, ** significant at p < 0.01 and *** significant at p < 0.001.
Table 6. Post-treatment MMO reduction.
Table 6. Post-treatment MMO reduction.
Study VariableMMO Reduction (Ratio MMO Reduction/Sample Size)ukr
3 Months6 Months12 Months3 Months6 Months12 Months
Total64/115 (55.6%)33/115 (28.7%)24/115 (20.9%)---
SexFemale35/46 (76.1%)24/46 (52.2%)15/46 (32.6%)<0.001 ***<0.001 ***0.011 *
Male29/69 (42.0%)9/69 (13.0%)9/69 (13.0%)
TreatmentOpen60/107 (56.1%)30/107 (28.0%)22/107 (20.5%)0.7390.5680.766
Closed4/8 (50.0%)3/8 (37.5%)2/8 (25.0%)
Unilateral fractures29/62 (46.8%)13/62 (21.0%)13/62 (21.0%)0.038 *0.048 *0.978
Bilateral fractures35/53 (66.0%)20/53 (37.7%)11/53 (20.8%)
Fracture classificationType I7/15 (46.7%)3/15 (20.0%)2/15 (13.3%)0.6120.6950.745
Type II36/61 (59.0%)16/61 (26.2%)13/61 (21.3%)
Type III10/22 (45.4%)7/22 (31.8%)4/22 (18.2%)
Type IV1/2 (50.0%)1/2 (50.0%)1/2 (50.0%)
Type V8/15 (53.3%)6/15 (40.0%)4/15 (26.7%)
Fracture displacementYes57/100 (57.0%)30/100 (30.0%)22/100 (22.0%)0.4530.4250.441
No7/15 (46.7%)3/15 (20.0%)2/15 (13.3%)
Dislocation of condylar headYes10/17 (58.8%)7/17 (41.2%)5/17 (29.4%)0.7760.2180.348
No54/98 (55.1%)26/98 (26.5%)19/98 (19.4%)
Comminuted fractureYes10/15 (66.7%)8/15 (53.3%)8/15 (53.3%)0.3570.024 *0.001 **
No54/100 (54.0%)25/100 (25.0%)16/100 (16.0%)
Revision surgeryYes1/3 (33.3%)1/3 (33.3%)1/3 (33.3%)0.4300.8570.590
No63/112 (56.3%)32/112 (28.6%)23/112 (20.5%)
Fracture localizationHigh19/37(51.3%)13/37 (35.1%)8/37 21.6%)0.5230.2280.891
Low45/78 (57.7%)20/78 (25.6%)16/78 (20.5%)
Concomintant mandibular fracturesYes40/74 (54.1%)28/74 (37.8%)19/74 (25.7%)0.6430.004 **0.088
No24/41 (58.5%)5/41 (12.2%)5/41 (12.2%)
* significant at p < 0.05, ** significant at p < 0.01 and *** significant at p < 0.001.
Table 7. Further discomfort reported by patients.
Table 7. Further discomfort reported by patients.
Cephalgia, Neck TensionMandibular Deviation
p-Value p-Value
Total16/115 (13.9%)-13/115 (11.3%)-
Malocclusion after 12 monthsYes6/19 (31.6%)0.015 *8/19 (42.1%)<0.001 ***
No10/96 (10.4%)5/96 (5.2%)
MMO reduction after 12 monthsYes 7/24 (29.2%)0.015 *10/24 (41.7%)<0.001 ***
No9/91 (9.9%)3/91 (3.3%)
Pain after 12 months (in the area of fracture)Yes9/22 (40.9%)<0.001 ***9/22 (40.9%)<0.001 ***
No7/93 (7.5%)4/93 (4.3%)
Chronic headache, neck tensionYes--6/16 (37.5%)<0.001 ***
No-7/99 (7.1%)
Mandibular deviationYes6/13 (46.2%)<0.001 ***--
No10/102 (9.8%)-
* significant at p < 0.05, *** significant at p < 0.001.
Disclaimer/Publisher’s Note: The statements, opinions and data contained in all publications are solely those of the individual author(s) and contributor(s) and not of MDPI and/or the editor(s). MDPI and/or the editor(s) disclaim responsibility for any injury to people or property resulting from any ideas, methods, instructions or products referred to in the content.

Share and Cite

MDPI and ACS Style

Maurer, M.; Klaes, T.; Fiedler, M.; Taxis, J.; Schuderer, J.G.; Waiss, W.; Gottsauner, M.; Meier, J.K.; Reichert, T.E.; Ettl, T. Patient’s Perception of Outcome after Extracapsular Fractures of the Mandibular Condyle Differs from Objective Evaluation—Experience of a Third-Level Hospital. J. Clin. Med. 2024, 13, 1395. https://doi.org/10.3390/jcm13051395

AMA Style

Maurer M, Klaes T, Fiedler M, Taxis J, Schuderer JG, Waiss W, Gottsauner M, Meier JK, Reichert TE, Ettl T. Patient’s Perception of Outcome after Extracapsular Fractures of the Mandibular Condyle Differs from Objective Evaluation—Experience of a Third-Level Hospital. Journal of Clinical Medicine. 2024; 13(5):1395. https://doi.org/10.3390/jcm13051395

Chicago/Turabian Style

Maurer, Michael, Tabea Klaes, Mathias Fiedler, Juergen Taxis, Johannes G. Schuderer, Waltraud Waiss, Maximilian Gottsauner, Johannes K. Meier, Torsten E. Reichert, and Tobias Ettl. 2024. "Patient’s Perception of Outcome after Extracapsular Fractures of the Mandibular Condyle Differs from Objective Evaluation—Experience of a Third-Level Hospital" Journal of Clinical Medicine 13, no. 5: 1395. https://doi.org/10.3390/jcm13051395

APA Style

Maurer, M., Klaes, T., Fiedler, M., Taxis, J., Schuderer, J. G., Waiss, W., Gottsauner, M., Meier, J. K., Reichert, T. E., & Ettl, T. (2024). Patient’s Perception of Outcome after Extracapsular Fractures of the Mandibular Condyle Differs from Objective Evaluation—Experience of a Third-Level Hospital. Journal of Clinical Medicine, 13(5), 1395. https://doi.org/10.3390/jcm13051395

Note that from the first issue of 2016, this journal uses article numbers instead of page numbers. See further details here.

Article Metrics

Back to TopTop