Vitamin D Deficiency Is Frequent in Patients with Rapidly Destructive Osteoarthritis—Data from a Single-Center Analysis
Abstract
1. Introduction
2. Patients and Methods
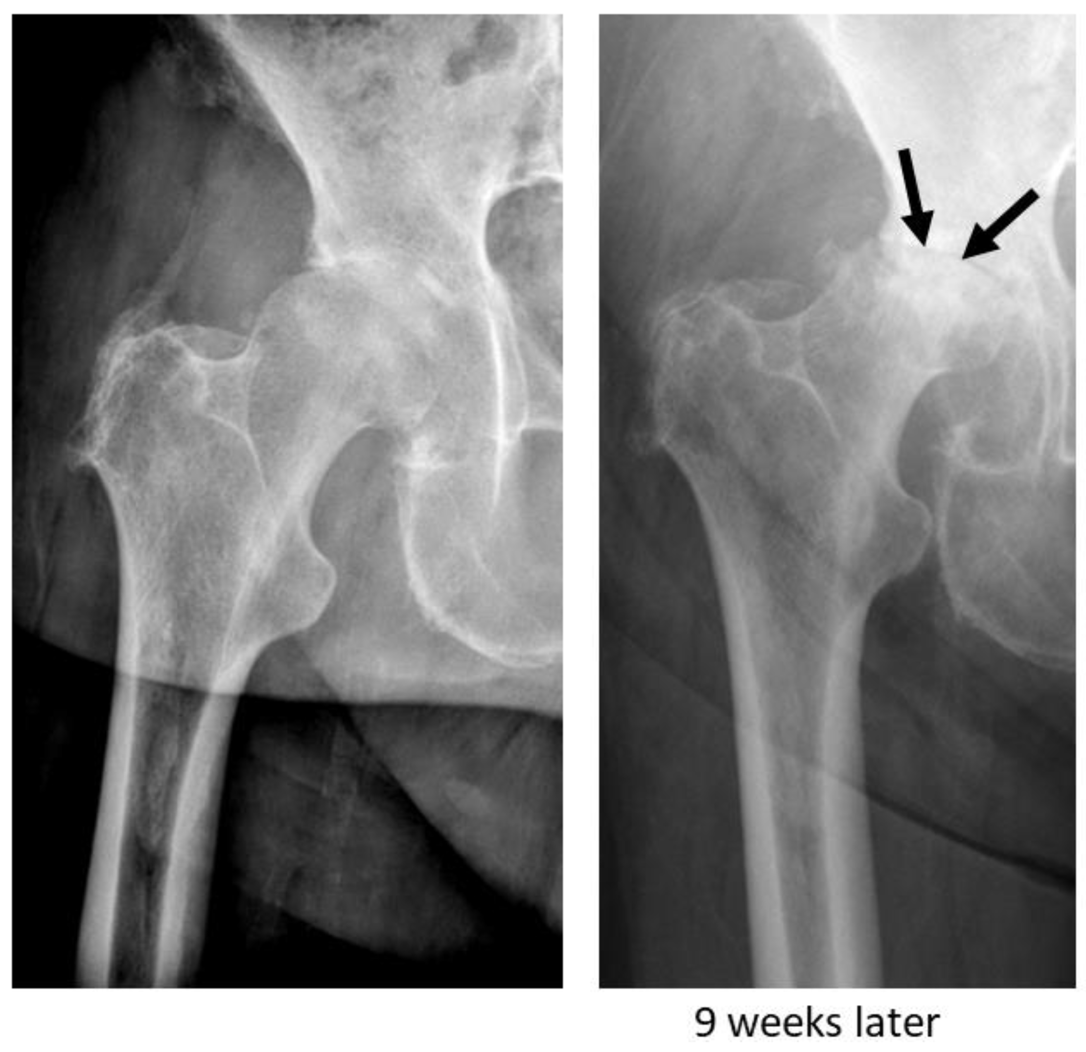
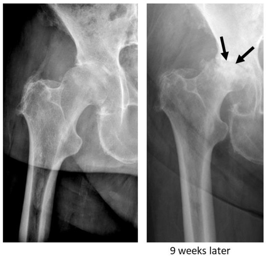
3. Results
4. Discussion
5. Conclusions
Author Contributions
Funding
Institutional Review Board Statement
Informed Consent Statement
Data Availability Statement
Conflicts of Interest
References
- Forestier, F. Coxites Rhumatismales Subaigues et Chroniques. Ph.D. Thesis, Sorbonne University, Paris, France, 1957. [Google Scholar]
- Rosenberg, Z.S.; Shankman, S.; Steiner, G.C.; Kastenbaum, D.K.; Norman, A.; Lazansky, M.G. Rapid destructive osteoarthritis: Clinical, radiographic, and pathologic features. Radiology 1992, 182, 213–216. [Google Scholar] [CrossRef]
- Karayiannis, P.; Walls, A.; Cassidy, R.; Beverland, D. Rapidly Progressive Osteoarthritis and Acetabular Bone Loss Outcomes for Patients Undergoing Primary Total Hip Replacement. Arthroplast. Today 2020, 6, 289–295. [Google Scholar] [CrossRef]
- Mavrogenis, A.F.; Flevas, D.A.; Panagopoulos, G.N.; Megaloikonomos, P.; Igoumenou, V.; Vottis, C.; Sakellariou, V.; Kontogeorgakos, V. Rapid destructive arthritis of the hip revisited. Eur. J. Orthop. Surg. Traumatol. Orthop. Traumatol. 2015, 25, 1115–1120. [Google Scholar] [CrossRef]
- Baryeh, K.; Asopa, V.; Field, R.; Sochart, D.H. The outcomes of total hip arthroplasty in rapidly progressive osteoarthritis: A systematic review. Eur. J. Orthop. Surg. Traumatol. Orthop. Traumatol. 2023, 33, 1505–1514. [Google Scholar] [CrossRef] [PubMed]
- Postel, M.; Kerboull, M. Total prosthetic replacement in rapidly destructive arthrosis of the hip joint. Clin. Orthop. Relat. Res. 1970, 72, 138–144. [Google Scholar] [CrossRef] [PubMed]
- Boutin, R.D.; Pai, J.; Meehan, J.P.; Newman, J.S.; Yao, L. Rapidly progressive idiopathic arthritis of the hip: Incidence and risk factors in a controlled cohort study of 1471 patients after intra-articular corticosteroid injection. Skelet. Radiol. 2021, 50, 2449–2457. [Google Scholar] [CrossRef] [PubMed]
- Hu, L.; Zhang, X.; Kourkoumelis, N.; Shang, X. The mysteries of rapidly destructive arthrosis of the hip joint: A systemic literature review. Ann. Palliat. Med. 2020, 9, 1220–1229. [Google Scholar] [CrossRef] [PubMed]
- Batra, S.; Batra, M.; McMurtrie, A.; Sinha, A.K. Rapidly destructive osteoarthritis of the hip joint: A case series. J. Orthop. Surg. Res. 2008, 3, 3. [Google Scholar] [CrossRef] [PubMed]
- Kawai, T.; Tanaka, C.; Ikenaga, M.; Kanoe, H.; Okudaira, S. Total hip arthroplasty using Kerboull-type acetabular reinforcement device for rapidly destructive coxarthrosis. J. Arthroplast. 2010, 25, 432–436. [Google Scholar] [CrossRef] [PubMed]
- Kuo, A.; Ezzet, K.A.; Patil, S.; Colwell, C.W., Jr. Total hip arthroplasty in rapidly destructive osteoarthritis of the hip: A case series. HSS J. 2009, 5, 117–119. [Google Scholar] [CrossRef] [PubMed]
- Seitz, S.; Zustin, J.; Amling, M.; Rüther, W.; Niemeier, A. Massive accumulation of osteoclastic giant cells in rapid destructive hip disease. J. Orthop. Res. Off. Publ. Orthop. Res. Soc. 2014, 32, 702–708. [Google Scholar] [CrossRef]
- Layfield, L.J.; Crim, J.R. Destructive Arthropathy of the Femoral Head. Am. J. Clin. Pathol. 2022, 157, 273–278. [Google Scholar] [CrossRef]
- Bikle, D.D. Vitamin D and bone. Curr. Osteoporos. Rep. 2012, 10, 151–159. [Google Scholar] [CrossRef]
- Horas, K.; van Herck, U.; Maier, G.S.; Maus, U.; Harrasser, N.; Jakob, F.; Weissenberger, M.; Arnholdt, J.; Holzapfel, B.M.; Rudert, M. Does vitamin D deficiency predict tumour malignancy in patients with bone tumours? Data from a multi-center cohort analysis. J Bone Oncol. 2020, 25, 100329. [Google Scholar] [CrossRef]
- Horas, K.; Holzapfel, B.M.; Jakob, F.; Kurth, A.A.; Maier, G. The Role of Vitamin D and the Vitamin D Receptor in Bone Oncology. Osteologie 2018, 27, 129–134. [Google Scholar] [CrossRef]
- Wang, L.T.; Chen, L.R.; Chen, K.H. Hormone-Related and Drug-Induced Osteoporosis: A Cellular and Molecular Overview. Int. J. Mol. Sci. 2023, 24, 5814. [Google Scholar] [CrossRef] [PubMed]
- Tran, E.Y.; Uhl, R.L.; Rosenbaum, A.J. Vitamin D in Orthopaedics. JBJS Rev. 2017, 5, e1. [Google Scholar] [CrossRef] [PubMed]
- Kupisz-Urbańska, M.; Płudowski, P.; Marcinowska-Suchowierska, E. Vitamin D Deficiency in Older Patients-Problems of Sarcopenia, Drug Interactions, Management in Deficiency. Nutrients 2021, 13, 1247. [Google Scholar] [CrossRef] [PubMed]
- Holick, M.F.; Binkley, N.C.; Bischoff-Ferrari, H.A.; Gordon, C.M.; Hanley, D.A.; Heaney, R.P.; Weaver, C.M. Evaluation, treatment, and prevention of vitamin D deficiency: An Endocrine Society clinical practice guideline. J. Clin. Endocrinol. metab. 2011, 96, 1911–1930. [Google Scholar] [CrossRef] [PubMed]
- Ogawa, K.; Mawatari, M.; Komine, M.; Shigematsu, M.; Kitajima, M.; Kukita, A.; Hotokebuchi, T. Mature and activated osteoclasts exist in the synovium of rapidly destructive coxarthrosis. J. Bone Miner. Metab. 2007, 25, 354–360. [Google Scholar] [CrossRef] [PubMed]
- Yamakawa, T.; Sudo, A.; Tanaka, M.; Uchida, A. Microvascular density of rapidly destructive arthropathy of the hip joint. J. Orthop. Surg. 2005, 13, 40–45. [Google Scholar] [CrossRef]
- Mitrovic, D.R.; Riera, H. Synovial, articular cartilage and bone changes in rapidly destructive arthropathy (osteoarthritis) of the hip. Rheumatol. Int. 1992, 12, 17–22. [Google Scholar] [CrossRef]
- Yasuda, T.; Matsunaga, K.; Hashimura, T.; Tsukamoto, Y.; Sueyoshi, T.; Ota, S.; Fujita, S.; Onishi, E. Bone turnover markers in the early stage of rapidly progressive osteoarthritis of the hip. Eur. J. Rheumatol. 2021, 8, 57–61. [Google Scholar] [CrossRef]
- Bonjour, J.P.; Benoit, V.; Pourchaire, O.; Rousseau, B.; Souberbielle, J.C. Nutritional approach for inhibiting bone resorption in institutionalized elderly women with vitamin D insufficiency and high prevalence of fracture. J. Nutr. Health Aging 2011, 15, 404–409. [Google Scholar] [CrossRef]
- Bonjour, J.P.; Benoit, V.; Rousseau, B.; Souberbielle, J.C. Consumption of vitamin D-and calcium-fortified soft white cheese lowers the biochemical marker of bone resorption TRAP 5b in postmenopausal women at moderate risk of osteoporosis fracture. J. Nutr. 2012, 142, 698–703. [Google Scholar] [CrossRef]
- Need, A.G. Bone resorption markers in vitamin D insufficiency. Clin. Chim. Acta 2006, 368, 48–52. [Google Scholar] [CrossRef]
- Okano, K.; Aoyagi, K.; Enomoto, H.; Osaki, M.; Chiba, K.; Yamaguchi, K. Bone mineral density in patients with destructive arthrosis of the hip joint. J. Bone Miner. Metab. 2014, 32, 312–316. [Google Scholar] [CrossRef]
- Blankstein, M.; Lentine, B.; Nelms, N.J. The Use of Cement in Hip Arthroplasty: A Contemporary Perspective. J. Am. Acad. Orthop. Surg. 2020, 28, e586–e594. [Google Scholar] [CrossRef] [PubMed]
- Maier, G.S.; Kolbow, K.; Lazovic, D.; Maus, U. The Importance of Bone Mineral Density in Hip Arthroplasty: Results of a Survey Asking Orthopaedic Surgeons about Their Opinions and Attitudes Concerning Osteoporosis and Hip Arthroplasty. Adv. Orthop. 2016, 2016, 8079354. [Google Scholar] [CrossRef] [PubMed]
- Holick, M.F. The vitamin D deficiency pandemic: Approaches for diagnosis, treatment and prevention. Rev. Endocr. Metab. Disord. 2017, 18, 153–165. [Google Scholar] [CrossRef] [PubMed]
- Wacker, M.; Holick, M.F. Vitamin D—Effects on skeletal and extraskeletal health and the need for supplementation. Nutrients 2013, 5, 111–148. [Google Scholar] [CrossRef]
- Charoenngam, N.; Shirvani, A.; Holick, M.F. Vitamin D for skeletal and non-skeletal health: What we should know. J. Clin. Orthop. Trauma 2019, 10, 1082–1093. [Google Scholar] [CrossRef]
- Holick, M.F. Vitamin D: Physiology, Molecular Biology, and Clinical Applications; Holick, M.F., Ed.; Humana Press: Totowa, NJ, USA, 2010; p. XXVI, 1160. [Google Scholar]
- Maier, G.S.; Weissenberger, M.; Rudert, M.; Roth, K.E.; Horas, K. The role of vitamin D and vitamin D deficiency in orthopaedics and traumatology—A narrative overview of the literature. Ann. Transl. Med. 2021, 9, 942. [Google Scholar] [CrossRef]
- Llombart, R.; Mariscal, G.; Barrios, C.; de la Rubia Ortí, J.E.; Llombart-Ais, R. Impact of vitamin D deficiency on mortality in patients with hip fracture: A meta-analysis. J. Am. Geriatr. Soc. 2024, 72, 268–279. [Google Scholar] [CrossRef]
- Kim, D.S.; Lee, J.S. Vitamin D in adolescent idiopathic scoliosis: A meta-analysis. BMC Musculoskelet. Disord. 2023, 24, 689. [Google Scholar] [CrossRef]
- Smith, J.M.; Cancienne, J.M.; Brockmeier, S.F.; Werner, B.C. Vitamin D deficiency and total shoulder arthroplasty complications. Shoulder Elb. 2021, 13, 99–105. [Google Scholar] [CrossRef] [PubMed]
- Hintzpeter, B.; Mensink, G.B.; Thierfelder, W.; Muller, M.J.; Scheidt-Nave, C. Vitamin D status and health correlates among German adults. Eur. J. Clin. Nutr. 2008, 62, 1079–1089. [Google Scholar] [CrossRef] [PubMed]
- Zittermann, A. The estimated benefits of vitamin D for Germany. Mol. Nutr. Food Res. 2010, 54, 1164–1171. [Google Scholar] [CrossRef] [PubMed]
- Zazgyva, A.; Gurzu, S.; Gergely, I.; Jung, I.; Roman, C.O.; Pop, T.S. Clinico-radiological diagnosis and grading of rapidly progressive osteoarthritis of the hip. Medicine 2017, 96, e6395. [Google Scholar] [CrossRef]





Disclaimer/Publisher’s Note: The statements, opinions and data contained in all publications are solely those of the individual author(s) and contributor(s) and not of MDPI and/or the editor(s). MDPI and/or the editor(s) disclaim responsibility for any injury to people or property resulting from any ideas, methods, instructions or products referred to in the content. |
© 2024 by the authors. Licensee MDPI, Basel, Switzerland. This article is an open access article distributed under the terms and conditions of the Creative Commons Attribution (CC BY) license (https://creativecommons.org/licenses/by/4.0/).
Share and Cite
Horas, K.; Maier, G.; Rudert, M.; Jakuscheit, A.; Weißenberger, M.; Stratos, I.; Heinz, T.; Rak, D.; Anderson, P.M.; Arnholdt, J. Vitamin D Deficiency Is Frequent in Patients with Rapidly Destructive Osteoarthritis—Data from a Single-Center Analysis. J. Clin. Med. 2024, 13, 1296. https://doi.org/10.3390/jcm13051296
Horas K, Maier G, Rudert M, Jakuscheit A, Weißenberger M, Stratos I, Heinz T, Rak D, Anderson PM, Arnholdt J. Vitamin D Deficiency Is Frequent in Patients with Rapidly Destructive Osteoarthritis—Data from a Single-Center Analysis. Journal of Clinical Medicine. 2024; 13(5):1296. https://doi.org/10.3390/jcm13051296
Chicago/Turabian StyleHoras, Konstantin, Gerrit Maier, Maximilian Rudert, Axel Jakuscheit, Manuel Weißenberger, Ioannis Stratos, Tizian Heinz, Dominik Rak, Philip Mark Anderson, and Jörg Arnholdt. 2024. "Vitamin D Deficiency Is Frequent in Patients with Rapidly Destructive Osteoarthritis—Data from a Single-Center Analysis" Journal of Clinical Medicine 13, no. 5: 1296. https://doi.org/10.3390/jcm13051296
APA StyleHoras, K., Maier, G., Rudert, M., Jakuscheit, A., Weißenberger, M., Stratos, I., Heinz, T., Rak, D., Anderson, P. M., & Arnholdt, J. (2024). Vitamin D Deficiency Is Frequent in Patients with Rapidly Destructive Osteoarthritis—Data from a Single-Center Analysis. Journal of Clinical Medicine, 13(5), 1296. https://doi.org/10.3390/jcm13051296

