Continuous Erector Spinae Plane Block for Pain Management in a Pediatric Kidney Transplant Recipient: A Case Report and Review of the Current Literature
Abstract
1. Introduction
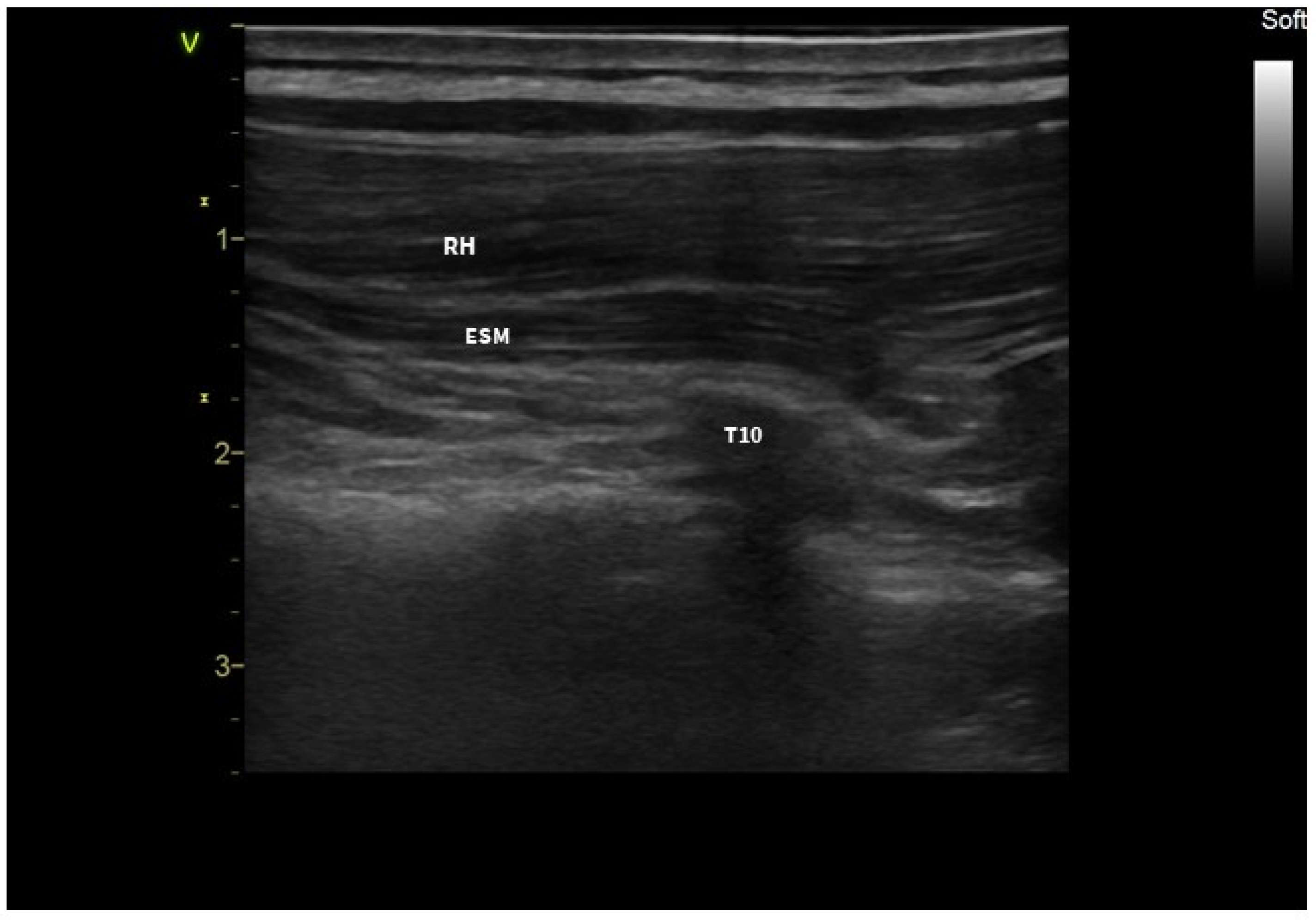
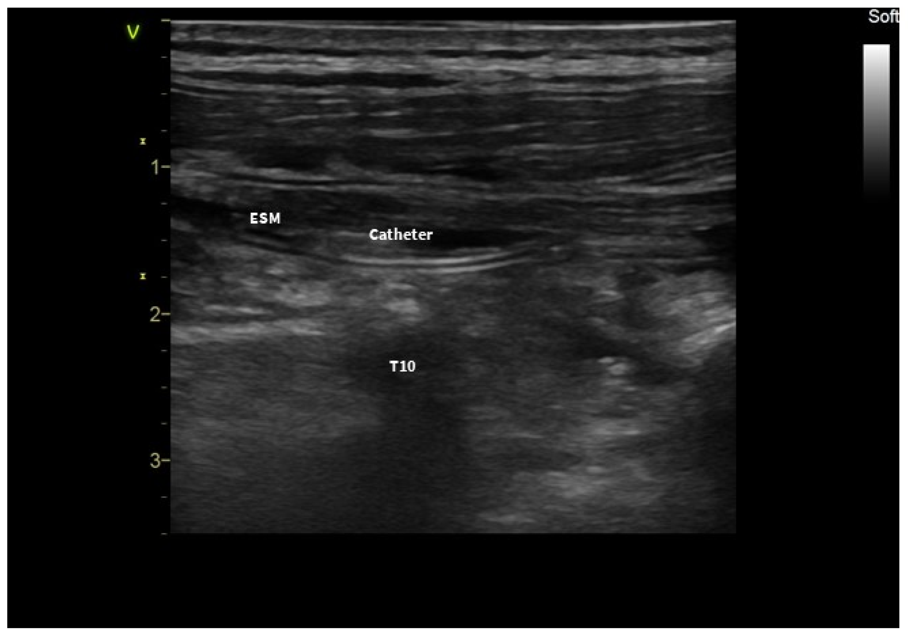
2. Case Presentation
3. Discussion
4. Conclusions
Author Contributions
Funding
Institutional Review Board Statement
Informed Consent Statement
Data Availability Statement
Conflicts of Interest
References
- Chua, A.; Cramer, C.; Moudgil, A.; Martz, K.; Smith, J.; Blydt-Hansen, T.; Neu, A.; Dharnidharka, V.R.; the NAPRTCS investigators. Kidney transplant practice patterns and outcome benchmarks over 30 years: The 2018 report of the NAPRTCS. Pediatr. Transplant. 2019, 23, e13597. [Google Scholar] [CrossRef]
- Chandar, J.; Chen, L.; Defreitas, M.; Ciancio, G.; Burke, G. Donor considerations in pediatric kidney transplantation. Pediatr. Nephrol. 2020, 36, 245–257. [Google Scholar] [CrossRef] [PubMed]
- Abu-Sultaneh, S.; Hobson, M.; Wilson, A.; Goggins, W.; Nitu, M.; Lutfi, R. Practice Variation in the Immediate Postoperative Care of Pediatric Kidney Transplantation: A National Survey. Transplant. Proc. 2017, 49, 2060–2064. [Google Scholar] [CrossRef][Green Version]
- Lambourg, E.; Colvin, L.; Guthrie, G.; Walker, H.; Bell, S. Analgesic use and associated adverse events in patients with chronic kidney disease: A systematic review and meta-analysis. Br. J. Anaesth. 2022, 128, 546–561. [Google Scholar] [CrossRef]
- Gai, N.; Naser, B.; Hanley, J.; Peliowski, A.; Hayes, J.; Aoyama, K. A practical guide to acute pain management in children. J. Anesthesia 2020, 34, 421–433. [Google Scholar] [CrossRef]
- Elsharkawy, H.; Pawa, A.; Mariano, E.R. Interfascial Plane Blocks. Reg. Anesthesia Pain Med. 2018, 43, 341–346. [Google Scholar] [CrossRef] [PubMed]
- Findley, T.; Chaudhry, H.; Stecco, A.; Roman, M. Fascia research—A narrative review. J. Bodyw. Mov. Ther. 2012, 16, 67–75, Erratum in Mov. Ther. 2012, 16, 270. [Google Scholar] [CrossRef]
- Toscano, A.; Capuano, P.; Galatà, M.; Tazzi, I.; Rinaldi, M.; Brazzi, L. Safety of Ultrasound-Guided Serratus Anterior and Erector Spinae Fascial Plane Blocks: A Retrospective Analysis in Patients Undergoing Cardiac Surgery While Receiving Anticoagulant and Antiplatelet Drugs. J. Cardiothorac. Vasc. Anesthesia 2022, 36, 483–488. [Google Scholar] [CrossRef]
- Dean, M. Opioids in renal failure and dialysis patients. J. Pain Symptom Manage 2004, 28, 497–504. [Google Scholar] [CrossRef]
- Pawa, A.; King, C.; Thang, C.; White, L. Erector spinae plane block: The ultimate ‘plan A’ block? Br. J. Anaesth. 2023, 130, 497–502. [Google Scholar] [CrossRef]
- Chin, K.J.; El-Boghdadly, K. Mechanisms of action of the erector spinae plane (ESP) block: A narrative review. Can. J. Anaesth. 2021, 68, 387–408. [Google Scholar] [CrossRef] [PubMed]
- Schwartzmann, A.; Peng, P.; Maciel, M.A.; Alcarraz, P.; Gonzalez, X.; Forero, M. A magnetic resonance imaging study of local anesthetic spread in patients receiving an erector spinae plane block. Can. J. Anaesth. 2020, 67, 942–948. [Google Scholar] [CrossRef] [PubMed]
- Vidal, E.; Giménez, H.; Forero, M.; Fajardo, M. Erector spinae plane block: A cadaver study to determine its mechanism of action. Bloqueo del plano del músculo erector espinal: Estudio anatómico-cadavérico para determinar su mecanismo de acción. Rev. Esp. Anestesiol. Reanim. Engl. Ed. 2018, 65, 514–519. [Google Scholar] [CrossRef] [PubMed]
- Temirov, T.; Ben-David, B.; Mustafin, A.; Viderman, D. Erector Spinae Plane Block in Management of Pain After Kidney Transplantation. Pain Med. 2019, 20, 1053–1054. [Google Scholar] [CrossRef] [PubMed]
- Sharipova, V.; Alimov, A.; Siyabayev, F.; Sadikov, M. Erector Spinae Plane Block for Postoperative Analgesia After Kidney Transplant. Transplantation 2022, 20 (Suppl. S1), 83–85. [Google Scholar] [CrossRef] [PubMed]
- Vishwanath, P.; Balakundi, P.; Deo, A.S. Continuous Erector Spinae Plane Analgesia in Kidney Transplant Recipients: A Quality Improvement Project. Cureus 2023, 15, e39151. [Google Scholar] [CrossRef]
- Macaire, P.; Ho, N.; Nguyen, V.; Van, H.P.; Thien, K.D.N.; Bringuier, S.; Capdevila, X. Bilateral ultrasound-guided thoracic erector spinae plane blocks using a programmed intermittent bolus improve opioid-sparing postoperative analgesia in pediatric patients after open cardiac surgery: A randomized, double-blind, placebo-controlled trial. Reg. Anesthesia Pain Med. 2020, 45, 805–812. [Google Scholar] [CrossRef]
- Aksu, C.; Şen, M.C.; Akay, M.A.; Baydemir, C.; Gürkan, Y. Erector Spinae Plane Block vs Quadratus Lumborum Block for pediatric lower abdominal surgery: A double blinded, prospective, and randomized trial. J. Clin. Anesthesia 2019, 57, 24–28. [Google Scholar] [CrossRef]
- Mostafa, S.F.; Abdelghany, M.S.; Abdelraheem, T.M.; Abu Elyazed, M.M. Ultrasound-guided erector spinae plane block for postoperative analgesia in pediatric patients undergoing splenectomy: A prospective randomized controlled trial. Pediatr. Anesthesia 2019, 29, 1201–1207. [Google Scholar] [CrossRef]
- Singh, S.; Jha, R.K.; Sharma, M. The analgesic effect of bilateral ultrasound-guided erector spinae plane block in paediatric lower abdominal surgeries: A randomised, prospective trial. Indian J. Anaesth. 2020, 64, 762–767. [Google Scholar] [CrossRef]
- Elsabbagh, A.M.M.; Ghoneim, I.M.; Moiz, A.; Welch, K.R.; Brown, J.S.M. Enhanced Recovery After Surgery Pathway in Kidney Transplantation: The Road Less Traveled. Transplant. Direct 2022, 8, e1333. [Google Scholar] [CrossRef]
- Capuano, P.; Hileman, B.A.; Martucci, G.; Raffa, G.M.; Toscano, A.; Burgio, G.; Arcadipane, A.; Kowalewski, M. Erector spinae plane block versus paravertebral block for postoperative pain management in thoracic surgery: A systematic review and meta-analysis. Minerva Anestesiol. 2023, 89, 1042–1050. [Google Scholar] [CrossRef]
- Nisi, F.; Sella, N.; DI Gregorio, G.; Lubian, M.; Giustiniano, E.; Rosboch, G.L.; Balzani, E.; Toscano, A.; Strano, G.; Rispoli, M.; et al. The safety of thoracic paravertebral block and erector spinae plane block in patients treated with anticoagulant or antiplatelet therapy. A narrative review of the evidence. Minerva Anestesiol. 2023, 89, 914–922. [Google Scholar] [CrossRef] [PubMed]
- Tsui, B.C.H.; Kirkham, K.; Kwofie, M.K.; Tran, D.Q.; Wong, P.; Chin, K.J.; Sondekoppam, R.V. Practice advisory on the bleeding risks for peripheral nerve and interfascial plane blockade: Evidence review and expert consensus. Can. J. Anaesth. 2019, 66, 1356–1384. [Google Scholar] [CrossRef] [PubMed]
- Das Adhikary, S.; Prasad, A.; Soleimani, B.; Chin, K.J. Continuous Erector Spinae Plane Block as an Effective Analgesic Option in Anticoagulated Patients After Left Ventricular Assist Device Implantation: A Case Series. J. Cardiothorac. Vasc. Anesthesia 2019, 33, 1063–1067. [Google Scholar] [CrossRef] [PubMed]
- Little, C.; Rahman, S. Quadratus Lumborum Blocks in Nephrectomy: A Narrative Review. Local Reg. Anesthesia 2021, 14, 57–65. [Google Scholar] [CrossRef] [PubMed]
- Onay, M.; Kayhan, G.E.; Özen, A.; Baş, S.; Yelken, B. Comparison of ultrasound-guided quadratus lumborum block and erector spinae plane block in terms of their effects on postoperative pain in open nephrectomy. Minerva Anestesiol. 2023, 89, 32–39. [Google Scholar] [CrossRef]


| Operative Day | POD 1 | POD 2 | POD 3 | POD 4 | |
|---|---|---|---|---|---|
| Catheter placement | |||||
| Ropivacaine dose | 0.375% 20 mL pre-operative | 0.2% 20 mL × 3 | 0.2% 20 mL × 3 | 0.2% 20 mL × 3 | Catheter removed |
| NRS at rest | 0 | 0 | 0 | 0 | |
| NRS at movement | 3 | 2 | 0 | 0 | |
| Gas canalization | x | x | x | x | |
| Stool canalization | x | x | x | ||
| Creatinine mg/dL | 6.8 | 2.52 | 1.2 | 1.21 | 0.69 |
| Platelet (×103/uL) | 325 | 271 | 285 | 299 | 301 |
| INR | 1.03 | 1.01 | 1 | 0.98 | 0.95 |
| Diet | Sips of water | Soft diet | Regular diet | Regular diet | |
| Movement | In the bed | Out of bed | Ambulating | Regular activity |
Disclaimer/Publisher’s Note: The statements, opinions and data contained in all publications are solely those of the individual author(s) and contributor(s) and not of MDPI and/or the editor(s). MDPI and/or the editor(s) disclaim responsibility for any injury to people or property resulting from any ideas, methods, instructions or products referred to in the content. |
© 2024 by the authors. Licensee MDPI, Basel, Switzerland. This article is an open access article distributed under the terms and conditions of the Creative Commons Attribution (CC BY) license (https://creativecommons.org/licenses/by/4.0/).
Share and Cite
Capuano, P.; Burgio, G.; Abbate, S.; Ranucci, G.; Bici, K.; Cintorino, D.; Arcadipane, A.; Martucci, G. Continuous Erector Spinae Plane Block for Pain Management in a Pediatric Kidney Transplant Recipient: A Case Report and Review of the Current Literature. J. Clin. Med. 2024, 13, 1128. https://doi.org/10.3390/jcm13041128
Capuano P, Burgio G, Abbate S, Ranucci G, Bici K, Cintorino D, Arcadipane A, Martucci G. Continuous Erector Spinae Plane Block for Pain Management in a Pediatric Kidney Transplant Recipient: A Case Report and Review of the Current Literature. Journal of Clinical Medicine. 2024; 13(4):1128. https://doi.org/10.3390/jcm13041128
Chicago/Turabian StyleCapuano, Paolo, Gaetano Burgio, Serena Abbate, Giusy Ranucci, Kejd Bici, Davide Cintorino, Antonio Arcadipane, and Gennaro Martucci. 2024. "Continuous Erector Spinae Plane Block for Pain Management in a Pediatric Kidney Transplant Recipient: A Case Report and Review of the Current Literature" Journal of Clinical Medicine 13, no. 4: 1128. https://doi.org/10.3390/jcm13041128
APA StyleCapuano, P., Burgio, G., Abbate, S., Ranucci, G., Bici, K., Cintorino, D., Arcadipane, A., & Martucci, G. (2024). Continuous Erector Spinae Plane Block for Pain Management in a Pediatric Kidney Transplant Recipient: A Case Report and Review of the Current Literature. Journal of Clinical Medicine, 13(4), 1128. https://doi.org/10.3390/jcm13041128

