Changes in Neurodegeneration and Visual Prognosis in Branch Retinal Vein Occlusion after Resolution of Macular Edema
Abstract
1. Introduction
2. Materials and Methods
2.1. Ethics Statement
2.2. Study Design and Patients
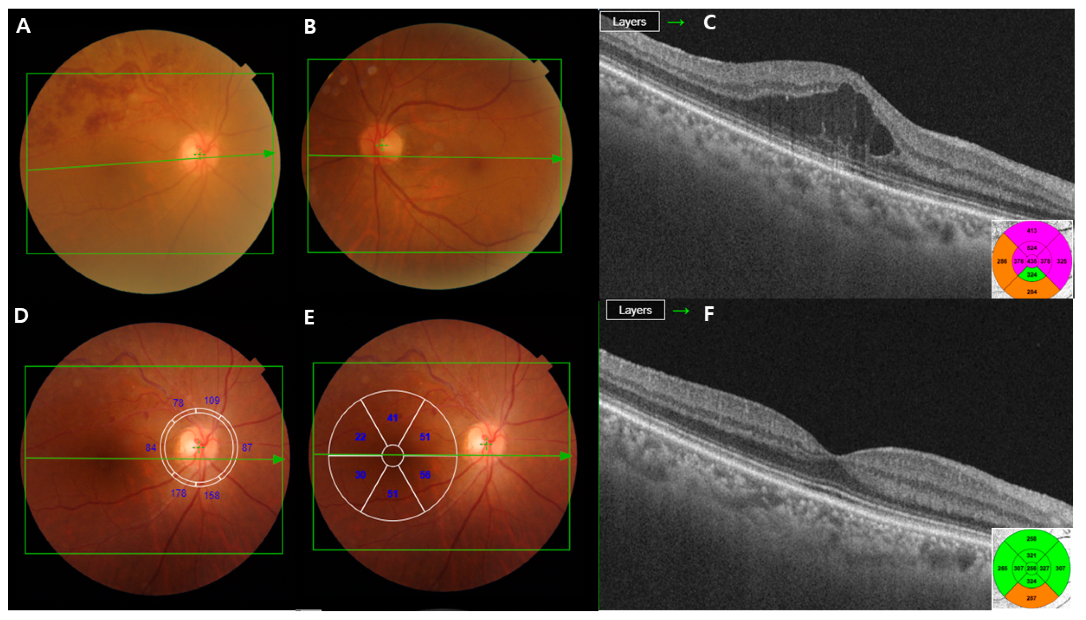
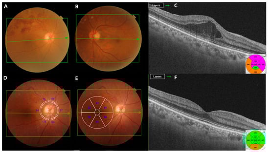
2.3. Swept-Source Optical Coherence Tomography
2.4. Statistical Analysis
3. Results
3.1. Baseline Characteristics
3.2. Optical Coherence Tomography Measurements
3.3. Correlation Analysis between Optical Coherence Tomography Parameters and Visual Acuity, and Number of Treatments
4. Discussion
5. Conclusions
Author Contributions
Funding
Institutional Review Board Statement
Informed Consent Statement
Data Availability Statement
Conflicts of Interest
References
- Zhao, J.; Sastry, S.M.; Sperduto, R.D.; Chew, E.Y.; Remaley, N.A. Arteriovenous crossing patterns in branch retinal vein occlusion. The Eye Disease Case-Control Study Group. Ophthalmology 1993, 100, 423–428. [Google Scholar] [CrossRef]
- Jaulim, A.; Ahmed, B.; Khanam, T.; Chatziralli, I.P. Branch retinal vein occlusion: Epidemiology, pathogenesis, risk factors, clinical features, diagnosis, and complications. An update of the literature. Retina 2013, 33, 901–910. [Google Scholar] [CrossRef]
- McIntosh, R.L.; Mohamed, Q.; Saw, S.M.; Wong, T.Y. Interventions for branch retinal vein occlusion: An evidence-based systematic review. Ophthalmology 2007, 114, 835–854. [Google Scholar] [CrossRef]
- Yeh, W.S.; Haller, J.A.; Lanzetta, P.; Kuppermann, B.D.; Wong, T.Y.; Mitchell, P.; Whitcup, S.M.; Kowalski, J.W. Effect of the duration of macular edema on clinical outcomes in retinal vein occlusion treated with dexamethasone intravitreal implant. Ophthalmology 2012, 119, 1190–1198. [Google Scholar] [CrossRef] [PubMed]
- Altunel, O.; Duru, N.; Goktas, A.; Ozkose, A.; Goktas, E.; Atas, M. Evaluation of foveal photoreceptor layer in eyes with macular edema associated with branch retinal vein occlusion after ozurdex treatment. Int. Ophthalmol. 2017, 37, 333–339. [Google Scholar] [CrossRef]
- Sasajima, H.; Zako, M.; Murotani, K.; Ishida, H.; Ueta, Y.; Tachi, N.; Suzuki, T.; Watanabe, Y.; Hashimoto, Y. Visual Prognostic Factors in Eyes with Subretinal Fluid Associated with Branch Retinal Vein Occlusion. J. Clin. Med. 2023, 12, 2909. [Google Scholar] [CrossRef]
- Zheng, Z.; Yan, M.; Zhang, D.; Li, L.; Zhang, L. Quantitatively Evaluating the Relationships between Insulin Resistance and Retinal Neurodegeneration with Optical Coherence Tomography in Early Type 2 Diabetes Mellitus. Ophthalmic Res. 2023, 66, 968–977. [Google Scholar] [CrossRef]
- Ishikawa, H.; Stein, D.M.; Wollstein, G.; Beaton, S.; Fujimoto, J.G.; Schuman, J.S. Macular segmentation with optical coherence tomography. Investig. Ophthalmol. Vis. Sci. 2005, 46, 2012–2017. [Google Scholar] [CrossRef] [PubMed]
- Muftuoglu, I.K.; Ramkumar, H.L.; Bartsch, D.U.; Meshi, A.; Gaber, R.; Freeman, W.R. Quantitative Analysis of the Inner Retinal Layer Thicknesses in Age-Related Macular Degeneration Using Corrected Optical Coherence Tomography Segmentation. Retina 2018, 38, 1478–1484. [Google Scholar] [CrossRef]
- Hood, D.C.; De Cuir, N.; Blumberg, D.M.; Liebmann, J.M.; Jarukasetphon, R.; Ritch, R.; De Moraes, C.G. A Single Wide-Field OCT Protocol Can Provide Compelling Information for the Diagnosis of Early Glaucoma. Transl. Vis. Sci. Technol. 2016, 5, 4. [Google Scholar] [CrossRef] [PubMed]
- Kim, N.R.; Lee, E.S.; Seong, G.J.; Kang, S.Y.; Kim, J.H.; Hong, S.; Kim, C.Y. Comparing the ganglion cell complex and retinal nerve fibre layer measurements by Fourier domain OCT to detect glaucoma in high myopia. Br. J. Ophthalmol. 2011, 95, 1115–1121. [Google Scholar] [CrossRef]
- Trinh, M.; Kalloniatis, M.; Alonso-Caneiro, D.; Nivison-Smith, L. High-Density Optical Coherence Tomography Analysis Provides Insights Into Early/Intermediate Age-Related Macular Degeneration Retinal Layer Changes. Investig. Ophthalmol. Vis. Sci. 2022, 63, 36. [Google Scholar] [CrossRef] [PubMed]
- Leung, C.K.; Lam, S.; Weinreb, R.N.; Liu, S.; Ye, C.; Liu, L.; He, J.; Lai, G.W.; Li, T.; Lam, D.S. Retinal nerve fiber layer imaging with spectral-domain optical coherence tomography: Analysis of the retinal nerve fiber layer map for glaucoma detection. Ophthalmology 2010, 117, 1684–1691. [Google Scholar] [CrossRef] [PubMed]
- Kim, C.S.; Shin, K.S.; Lee, H.J.; Jo, Y.J.; Kim, J.Y. Sectoral retinal nerve fiber layer thinning in branch retinal vein occlusion. Retina 2014, 34, 525–530. [Google Scholar] [CrossRef] [PubMed]
- Vernazza, S.; Oddone, F.; Tirendi, S.; Bassi, A.M. Risk Factors for Retinal Ganglion Cell Distress in Glaucoma and Neuroprotective Potential Intervention. Int. J. Mol. Sci. 2021, 22, 7994. [Google Scholar] [CrossRef] [PubMed]
- Nuschke, A.C.; Farrell, S.R.; Levesque, J.M.; Chauhan, B.C. Assessment of retinal ganglion cell damage in glaucomatous optic neuropathy: Axon transport, injury and soma loss. Exp. Eye Res. 2015, 141, 111–124. [Google Scholar] [CrossRef] [PubMed]
- Alshareef, R.A.; Barteselli, G.; You, Q.; Goud, A.; Jabeen, A.; Rao, H.L.; Jabeen, A.; Chhablani, J. In vivo evaluation of retinal ganglion cells degeneration in eyes with branch retinal vein occlusion. Br. J. Ophthalmol. 2016, 100, 1506–1510. [Google Scholar] [CrossRef]
- Satue, M.; Gavin, A.; Orduna, E.; Vilades, E.; Rodrigo, M.J.; Obis, J.; Polo, V.; Larrosa, J.M.; Pablo, L.E.; Garcia-Martin, E. Reproducibility and reliability of retinal and optic disc measurements obtained with swept-source optical coherence tomography in a healthy population. Jpn. J. Ophthalmol. 2019, 63, 165–171. [Google Scholar] [CrossRef]
- Lee, Y.H.; Kim, M.S.; Ahn, S.I.; Park, H.J.; Shin, K.S.; Kim, J.Y. Repeatability of ganglion cell-inner plexiform layer thickness measurements using spectral-domain OCT in branch retinal vein occlusion. Graefes Arch. Clin. Exp. Ophthalmol. 2017, 255, 1727–1735. [Google Scholar] [CrossRef]
- Tinjust, D.; Kergoat, H.; Lovasik, J.V. Neuroretinal function during mild systemic hypoxia. Aviat. Space Environ. Med. 2002, 73, 1189–1194. [Google Scholar]
- Ebneter, A.; Agca, C.; Dysli, C.; Zinkernagel, M.S. Investigation of retinal morphology alterations using spectral domain optical coherence tomography in a mouse model of retinal branch and central retinal vein occlusion. PLoS ONE 2015, 10, e0119046. [Google Scholar] [CrossRef]
- Cho, K.H.; Ahn, S.J.; Jung, C.; Han, M.K.; Park, K.H.; Woo, S.J. Ischemic Injury of the Papillomacular Bundle Is a Predictive Marker of Poor Vision in Eyes with Branch Retinal Artery Occlusion. Am. J. Ophthalmol. 2016, 162, 107–120.e2. [Google Scholar] [CrossRef] [PubMed]
- Lim, H.B.; Kim, M.S.; Jo, Y.J.; Kim, J.Y. Prediction of Retinal Ischemia in Branch Retinal Vein Occlusion: Spectral-Domain Optical Coherence Tomography Study. Investig. Ophthalmol. Vis. Sci. 2015, 56, 6622–6629. [Google Scholar] [CrossRef]
- Brar, M.; Sharma, M.; Grewal, S.P.S.; Grewal, D.S. Quantification of retinal microvasculature and neurodegeneration changes in branch retinal vein occlusion after resolution of cystoid macular edema on optical coherence tomography angiography. Indian J. Ophthalmol. 2019, 67, 1864–1869. [Google Scholar] [CrossRef]
- Yu, D.Y.; Cringle, S.J.; Yu, P.K.; Su, E.N. Intraretinal oxygen distribution and consumption during retinal artery occlusion and graded hyperoxic ventilation in the rat. Investig. Ophthalmol. Vis. Sci. 2007, 48, 2290–2296. [Google Scholar] [CrossRef] [PubMed]
- Mathews, M.K.; Merges, C.; McLeod, D.S.; Lutty, G.A. Vascular endothelial growth factor and vascular permeability changes in human diabetic retinopathy. Investig. Ophthalmol. Vis. Sci. 1997, 38, 2729–2741. [Google Scholar]
- Lieth, E.; Gardner, T.W.; Barber, A.J.; Antonetti, D.A. Retinal neurodegeneration: Early pathology in diabetes. Clin. Exp. Ophthalmol. 2000, 28, 3–8. [Google Scholar] [CrossRef]
- van Dijk, H.W.; Verbraak, F.D.; Kok, P.H.; Stehouwer, M.; Garvin, M.K.; Sonka, M.; DeVries, J.H.; Schlingemann, R.O.; Abramoff, M.D. Early neurodegeneration in the retina of type 2 diabetic patients. Investig. Ophthalmol. Vis. Sci. 2012, 53, 2715–2719. [Google Scholar] [CrossRef] [PubMed]
- Hockley, D.J.; Tripathi, R.C.; Ashton, N. Experimental retinal branch vein occlusion in rhesus monkeys. III. Histopathological and electron microscopical studies. Br. J. Ophthalmol. 1979, 63, 393–411. [Google Scholar] [CrossRef]
- Kohner, E.M.; Dollery, C.T.; Shakib, M.; Henkind, P.; Paterson, J.W.; De Oliveira, L.N.; Bulpitt, C.J. Experimental retinal branch vein occlusion. Am. J. Ophthalmol. 1970, 69, 778–825. [Google Scholar] [CrossRef]
- Bek, T. Capillary closure secondary to retinal vein occlusion. A morphological, histopathological, and immunohistochemical study. Acta Ophthalmol. Scand. 1998, 76, 643–648. [Google Scholar] [CrossRef]
- Noma, H.; Funatsu, H.; Yamasaki, M.; Tsukamoto, H.; Mimura, T.; Sone, T.; Jian, K.; Sakamoto, I.; Nakano, K.; Yamashita, H.; et al. Pathogenesis of macular edema with branch retinal vein occlusion and intraocular levels of vascular endothelial growth factor and interleukin-6. Am. J. Ophthalmol. 2005, 140, 256–261. [Google Scholar] [CrossRef] [PubMed]
- Campochiaro, P.A.; Bhisitkul, R.B.; Shapiro, H.; Rubio, R.G. Vascular endothelial growth factor promotes progressive retinal nonperfusion in patients with retinal vein occlusion. Ophthalmology 2013, 120, 795–802. [Google Scholar] [CrossRef]
- Yanoff, M.; Fine, B.S.; Brucker, A.J.; Eagle, R.C., Jr. Pathology of human cystoid macular edema. Surv. Ophthalmol. 1984, 28, 505–511. [Google Scholar] [CrossRef]
- Kim, H.J.; Yoon, H.G.; Kim, S.T. Correlation between macular ganglion cell-inner plexiform layer thickness and visual acuity after resolution of the macular edema secondary to central retinal vein occlusion. Int. J. Ophthalmol. 2018, 11, 256–261. [Google Scholar] [CrossRef] [PubMed]
- Kang, H.M.; Chung, E.J.; Kim, Y.M.; Koh, H.J. Spectral-domain optical coherence tomography (SD-OCT) patterns and response to intravitreal bevacizumab therapy in macular edema associated with branch retinal vein occlusion. Graefes Arch. Clin. Exp. Ophthalmol. 2013, 251, 501–508. [Google Scholar] [CrossRef] [PubMed]
- Kleerekooper, I.; Wagner, S.K.; Trip, S.A.; Plant, G.T.; Petzold, A.; Keane, P.A.; Khawaja, A.P. Differentiating glaucoma from chiasmal compression using optical coherence tomography: The macular naso-temporal ratio. Br. J. Ophthalmol. 2023; Epub ahead of print. [Google Scholar] [CrossRef]
- Kim, K.; Kim, E.S.; Yu, S.Y. Prediction of Diabetic Retinopathy Severity Using a Combination of Retinal Neurodegeneration and Capillary Nonperfusion on Optical Coherence Tomography Angiography. Retina 2023, 43, 1291–1300. [Google Scholar] [CrossRef] [PubMed]
- Carmeliet, P.; Ruiz de Almodovar, C. VEGF ligands and receptors: Implications in neurodevelopment and neurodegeneration. Cell. Mol. Life Sci. 2013, 70, 1763–1778. [Google Scholar] [CrossRef] [PubMed]
- Goel, N.; Kumar, V.; Ghosh, B. Ischemic maculopathy following intravitreal bevacizumab for refractory diabetic macular edema. Int. Ophthalmol. 2011, 31, 39–42. [Google Scholar] [CrossRef]
- Martinez-de-la-Casa, J.M.; Ruiz-Calvo, A.; Saenz-Frances, F.; Reche-Frutos, J.; Calvo-Gonzalez, C.; Donate-Lopez, J.; Garcia-Feijoo, J. Retinal nerve fiber layer thickness changes in patients with age-related macular degeneration treated with intravitreal ranibizumab. Investig. Ophthalmol. Vis. Sci. 2012, 53, 6214–6218. [Google Scholar] [CrossRef]




| Characteristic | |
|---|---|
| Age (y) | 66.1 ± 10.42 |
| Sex, n | M:F = 22:35 |
| Previous treatment, n | |
| Ranibizumab | 18 |
| Bevacizumab | 30 |
| Aflibercept | 9 |
| BCVA (logMAR) | 0.31 ± 0.18 |
| Duration (months) | 16.78 ± 2.63 |
| Central macular thickness (μm) | 270.48 ± 32.7 |
| Location of BRVO | Superior:inferior = 40:17 |
| RNFL Thickness (μm) | BRVO Eyes | Unaffected Eyes | p-Value |
|---|---|---|---|
| Mean | 105.46 ± 25.94 | 112.3 ± 18.36 | 0.068 |
| Superonasal | 97.65 ± 28.50 | 108.45 ± 36.65 | 0.389 |
| Superotemporal | 121.36 ± 44.29 | 125.36 ± 36.81 | 0.067 |
| Inferonasal | 119.57 ± 29.64 | 123.22 ± 26.51 | 0.088 |
| Inferotemporal | 135.63 ± 38.18 | 144.82 ± 33.59 | 0.974 |
| Temporal | 85.09 ± 21.83 | 85.80 ± 21.33 | 0.025 * |
| Nasal | 75.69 ± 21.69 | 80.27 ± 23.70 | 0.039 * |
| GCL Thickness (Affected Area) | BRVO Eyes | Unaffected Eyes | p-Value |
|---|---|---|---|
| Mean | 63.43 ± 16.19 | 71.65 ± 16.94 | 0.020 * |
| Nasal | 67.37 ± 17.55 | 78.03 ± 13.71 | 0.003 * |
| Middle | 68.73 ± 19.23 | 73.34 ± 11.10 | 0.001 * |
| Temporal | 56.37 ± 21.55 | 62.53 ± 13.69 | 0.470 |
| Parameter (μm) | Correlation | p-Value |
|---|---|---|
| Average RNFL thickness | −0.155 | 0.145 |
| Central macular thickness | −0.073 | 0.238 |
| GCL thickness (affected area) | ||
| Nasal | −0.512 | 0.003 * |
| Middle | −0.537 | 0.001 * |
| Temporal | −0.221 | 0.172 |
| Parameter (μm) | Correlation | p-Value |
|---|---|---|
| Average RNFL thickness | −0.286 | 0.019 * |
| Central macular thickness | −0.069 | 0.314 |
| GCL thickness (affected area) | ||
| Nasal | −0.362 | 0.090 |
| Middle | −0.085 | 0.304 |
| Temporal | −0.061 | 0.348 |
Disclaimer/Publisher’s Note: The statements, opinions and data contained in all publications are solely those of the individual author(s) and contributor(s) and not of MDPI and/or the editor(s). MDPI and/or the editor(s) disclaim responsibility for any injury to people or property resulting from any ideas, methods, instructions or products referred to in the content. |
© 2024 by the authors. Licensee MDPI, Basel, Switzerland. This article is an open access article distributed under the terms and conditions of the Creative Commons Attribution (CC BY) license (https://creativecommons.org/licenses/by/4.0/).
Share and Cite
Park, C.; Lee, J.H.; Park, Y.G. Changes in Neurodegeneration and Visual Prognosis in Branch Retinal Vein Occlusion after Resolution of Macular Edema. J. Clin. Med. 2024, 13, 812. https://doi.org/10.3390/jcm13030812
Park C, Lee JH, Park YG. Changes in Neurodegeneration and Visual Prognosis in Branch Retinal Vein Occlusion after Resolution of Macular Edema. Journal of Clinical Medicine. 2024; 13(3):812. https://doi.org/10.3390/jcm13030812
Chicago/Turabian StylePark, Chanjoon, Ji Ho Lee, and Young Gun Park. 2024. "Changes in Neurodegeneration and Visual Prognosis in Branch Retinal Vein Occlusion after Resolution of Macular Edema" Journal of Clinical Medicine 13, no. 3: 812. https://doi.org/10.3390/jcm13030812
APA StylePark, C., Lee, J. H., & Park, Y. G. (2024). Changes in Neurodegeneration and Visual Prognosis in Branch Retinal Vein Occlusion after Resolution of Macular Edema. Journal of Clinical Medicine, 13(3), 812. https://doi.org/10.3390/jcm13030812

