Preoperative Spinal Arterial Supply Mapping Using Non-Selective Cone Beam Computed Tomography before Complex Aortic Repair
Abstract
1. Introduction
2. Materials and Methods
2.1. Study Design and Population
2.2. Procedure and CBCT Data Acquisition
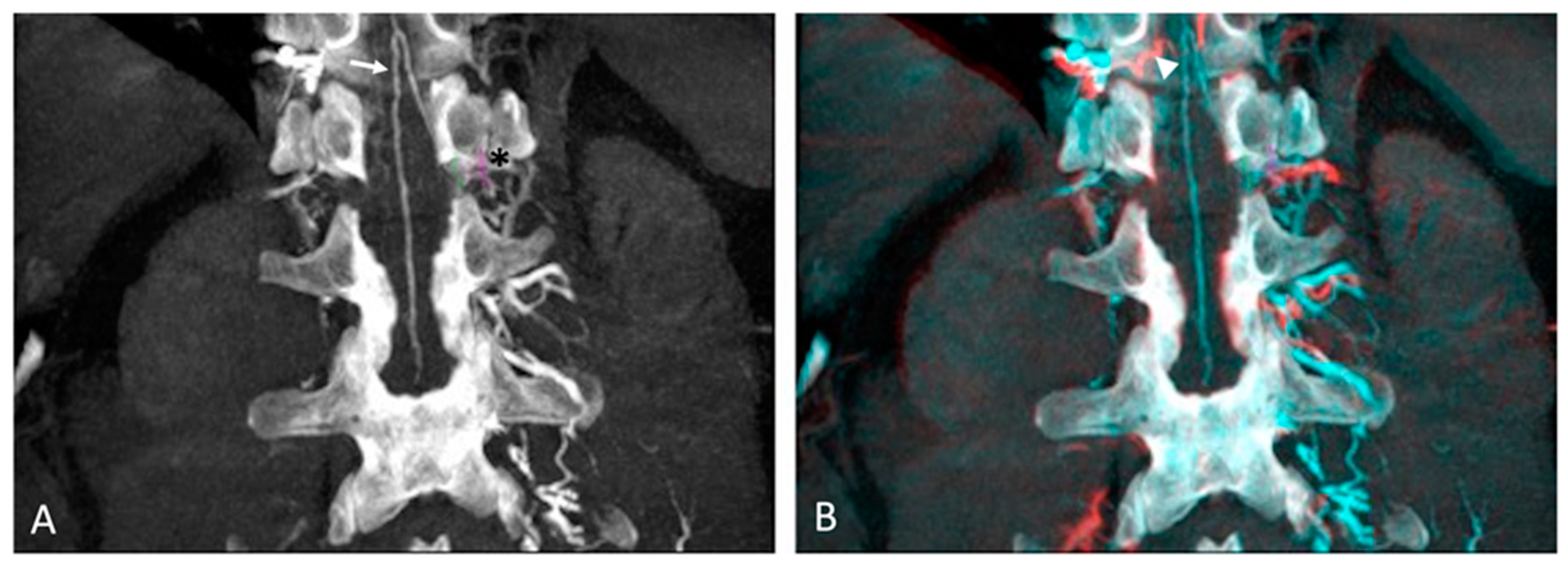
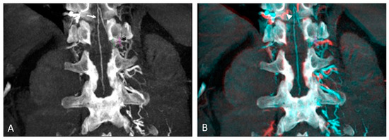
2.3. Post-Processing and Image Analysis
2.4. Success Assessment
2.5. Statistical Analysis
3. Results
3.1. Patient Description
3.2. Procedural Success and Complications
3.3. X-ray Exposure and Contrast Medium Parameters
3.4. Safety and Patient Follow-Up
4. Discussion
5. Conclusions
Author Contributions
Funding
Institutional Review Board Statement
Informed Consent Statement
Data Availability Statement
Conflicts of Interest
References
- Dias, N.V.; Sonesson, B.; Kristmundsson, T.; Holm, H.; Resch, T. Short-term outcome of spinal cord ischemia after endovascular repair of thoracoabdominal aortic aneurysms. Eur. J. Vasc. Endovasc. Surg. 2015, 49, 403–409. [Google Scholar] [CrossRef] [PubMed]
- Kawaharada, N.; Morishita, K.; Kurimoto, Y.; Hyodoh, H.; Ito, T.; Harada, R.; Kuwaki, K.; Higami, T. Spinal cord ischemia after elective endovascular stent-graft repair of the thoracic aorta. Eur. J. Cardiothorac. Surg. 2007, 31, 998–1003. [Google Scholar] [CrossRef] [PubMed]
- Peppelenbosch, N.; Cuypers, P.W.M.; Vahl, A.C.; Vermassen, F.; Buth, J. Emergency endovascular treatment for ruptured abdominal aortic aneurysm and the risk of spinal cord ischemia. J. Vasc. Surg. 2005, 42, 608–614. [Google Scholar] [CrossRef]
- Awad, H.; Ramadan, M.E.; El Sayed, H.F.; Tolpin, D.A.; Tili, E.; Collard, C.D. Spinal cord injury after thoracic endovascular aortic aneurysm repair. Can. J. Anesth. 2017, 64, 1218–1235. [Google Scholar] [CrossRef]
- Lazorthes, G.; Gouaze, A.; Zadeh, J.O.; Santini, J.J.; Lazorthes, Y.; Burdin, P. Arterial vascularization of the spinal cord. Recent studies of the anastomotic substitution pathways. J. Neurosurg. 1971, 35, 253–262. [Google Scholar] [CrossRef]
- Melissano, G.; Chiesa, R. Advances in Imaging of the Spinal Cord Vascular Supply and its Relationship with Paraplegia after Aortic Interventions. A Review. Eur. J. Vasc. Endovasc. Surg. 2009, 38, 567–577. [Google Scholar] [CrossRef] [PubMed]
- Tanaka, H.; Ogino, H.; Minatoya, K.; Matsui, Y.; Higami, T.; Okabayashi, H.; Saiki, Y.; Aomi, S.; Shiiya, N.; Sawa, Y.; et al. The impact of preoperative identification of the Adamkiewicz artery on descending and thoracoabdominal aortic repair. J. Thorac. Cardiovasc. Surg. 2016, 151, 122–128. [Google Scholar] [CrossRef]
- Kawaharada, N.; Ito, T.; Koyanagi, T.; Harada, R.; Hyodoh, H.; Kurimoto, Y.; Watanabe, A.; Higami, T. Spinal cord protection with selective spinal perfusion during descending thoracic and thoracoabdominal aortic surgery. Interact. Cardiovasc. Thorac. Surg. 2010, 10, 986–991. [Google Scholar] [CrossRef]
- Acher, C.; Acher, C.W.; Marks, E.; Wynn, M. Intraoperative neuroprotective interventions prevent spinal cord ischemia and injury in thoracic endovascular aortic repair. J. Vasc. Surg. 2016, 63, 1458–1465. [Google Scholar] [CrossRef]
- Kieffer, E.; Fukui, S.; Chiras, J.; Koskas, F.; Bahnini, A.; Cormier, E. Spinal cord arteriography: A safe adjunct before descending thoracic or thoracoabdominal aortic aneurysmectomy. J. Vasc. Surg. 2002, 35, 262–268. [Google Scholar] [CrossRef]
- Yoshioka, K.; Tanaka, R.; Takagi, H.; Ueyama, Y.; Kikuchi, K.; Chiba, T.; Arakita, K.; Schuijf, J.D.; Saito, Y. Ultra-high-resolution CT angiography of the artery of Adamkiewicz: A feasibility study. Neuroradiology 2018, 60, 109–115. [Google Scholar] [CrossRef]
- Amako, M.; Yamamoto, Y.; Nakamura, K.; Tobinaga, S.; Nakamura, E.; Hosokawa, Y.; Ohno, T.; Akashi, H.; Aoyagi, S.; Tanaka, H. Preoperative visualization of the artery of Adamkiewicz by dual-phase CT angiography in patients with aortic aneurysm. Kurume Med. J. 2011, 58, 117–125. [Google Scholar] [CrossRef][Green Version]
- Yoshioka, K.; Niinuma, H.; Ehara, S.; Nakajima, T.; Nakamura, M.; Kawazoe, K. MR angiography and CT angiography of the artery of Adamkiewicz: State of the art. Radiographics 2006, 26, S63–S73. [Google Scholar] [CrossRef]
- Bley, T.A.; Duffek, C.C.; François, C.J.; Schiebler, M.L.; Acher, C.W.; Mell, M.; Grist, T.M.; Reeder, S.B. Presurgical localization of the artery of Adamkiewicz with time-resolved 3.0-T MR angiography. Radiology 2010, 255, 873–881. [Google Scholar] [CrossRef]
- Mordasini, P.; El-Koussy, M.; Schmidli, J.; Bonel, H.M.; Ith, M.; Gralla, J.; Schroth, G.; Hoppe, H. Preoperative mapping of arterial spinal supply using 3.0-T MR angiography with an intravasal contrast medium and high-spatial-resolution steady-state. Eur. J. Radiol. 2012, 81, 979–984. [Google Scholar] [CrossRef]
- Uotani, K.; Yamada, N.; Kono, A.; Taniguchi, T.; Sugimoto, K.; Fujii, M.; Kitagawa, A.; Okita, Y.; Naito, H.; Sugimura, K. Preoperative visualization of the artery of Adamkiewicz by intra-arterial CT angiography. Am. J. Neuroradiol. 2008, 29, 314–318. [Google Scholar] [CrossRef]
- Clarençon, F.; Di Maria, F.; Cormier, E.; Gaudric, J.; Sourour, N.; Gabrieli, J.; Iosif, C.; Jenny, C.; Koskas, F.; Chiras, J. Comparison of intra-aortic computed tomography angiography to conventional angiography in the presurgical visualization of the Adamkiewicz artery: First results in patients with thoracoabdominal aortic aneurysms. Neuroradiology 2013, 55, 1379–1387. [Google Scholar] [CrossRef] [PubMed]
- Aadland, T.; Thielen, K.; Kaufmann, T.; Morris, J.; Lanzino, G.; Kallmes, D.; Schueler, B.; Cloft, H. 3D C-arm conebeam CT angiography as an adjunct in the precise anatomic characterization of spinal dural arteriovenous fistulas. Am. J. Neuroradiol. 2010, 31, 476–480. [Google Scholar] [CrossRef] [PubMed]
- Zaarour, Y.; Kobeiter, H.; Derbel, H.; Vitellius, M.; Ridouani, F.; You, K.; Touma, J.; Cochennec, F.; Desgranges, P.; Tacher, V. Immediate and 1-year success rate of type 2 endoleak treatment using three-dimensional image fusion guidance. Diagn. Interv. Imaging 2020, 101, 589–598. [Google Scholar] [CrossRef]
- Tacher, V.; Petit, A.; Derbel, H.; Novelli, L.; Vitellius, M.; Ridouani, F.; Luciani, A.; Rahmouni, A.; Duvoux, C.; Salloum, C.; et al. Three-dimensional Image Fusion Guidance for Transjugular Intrahepatic Portosystemic Shunt Placement. Cardiovasc. Intervent Radiol. 2017, 40, 1732–1739. [Google Scholar] [CrossRef] [PubMed]
- Kodama, H.; Takahashi, S.; Okazaki, T.; Morita, S.; Go, S.; Watanabe, M.; Yamane, Y.; Katayama, K.; Kurosaki, T.; Sueda, T. Association between false lumen segmental arteries and spinal cord ischemia in type A acute aortic dissection. J. Cardiovasc. Surg. 2020, 61, 226–233. [Google Scholar] [CrossRef]
- Cucuruz, B.; Kasprzak, P.M.; Gallis, K.; Schierling, W.; Pfister, K.; Kopp, R. Midterm outcome of renal function after branched thoracoabdominal aortic aneurysm repair. J. Vasc. Surg. 2020, 71, 1119–1127. [Google Scholar] [CrossRef] [PubMed]
- Picel, A.C.; Kansal, N. Essentials of endovascular abdominal aortic aneurysm repair imaging: Postprocedure surveillance and complications. Am. J. Roentgenol. 2014, 203, W358–W372. [Google Scholar] [CrossRef] [PubMed]
- Deepthinath, R.; Nayak, B.S.; Mehta, R.; Bhat, S.; Rodrigues, V.; Samuel, V.P.; Venkataramana, V.; Prasad, A. Multiple variations in the paired arteries of the abdominal aorta. Clin. Anat. 2006, 19, 566–568. [Google Scholar] [CrossRef] [PubMed]
- Shetty, P.; Nayak, S.B. A Detailed Study of Multiple Vascular Variations in the Upper Part of Abdomen. J. Cardiovasc. Echogr. 2017, 27, 7–9. [Google Scholar] [CrossRef]



| Patient | Age (Years) | Sex | Type of Aneurysm | Type of Intervention | IIAs Patency | SCI Risk Factors | ||
|---|---|---|---|---|---|---|---|---|
| Right | Left | HT | Diabetes | |||||
| 1 | 65 | M | pararenal AAA | f-EVAR | X | X | X | X |
| 2 | 74 | F | TAAA | f-EVAR | X | X | X | |
| 3 | 89 | M | suprarenal AAA | f-EVAR | X | X | X | |
| 4 | 76 | M | TAAA (Type B AD) | OR | X | X | X | |
| 5 | 61 | M | TAAA | f-EVAR | X | X | X | |
| 6 | 35 | M | TAA (type A AD) | f-EVAR | X | X | X | |
| 7 | 70 | M | TAA | TEVAR | X | X | X | |
| 8 | 67 | M | TAAA (Type B AD) | f-EVAR | X | |||
| 9 | 63 | M | TAAA | OR | X | X | X | |
| 10 | 57 | M | TAA (Type B AD) | TEVAR | X | X | X | |
| 11 | 68 | M | TAAA | OR | X | |||
| 12 | 55 | M | TAAA | OR | X | X | X | |
| 13 | 63 | M | TAAA (Type B AD) | OR | X | X | X | |
| 14 | 37 | M | TAAA (type A AD) | OR | X | X | X | |
| 15 | 74 | M | TAAA | OR | X | X | ||
| 16 | 75 | M | TAAA | f-EVAR | X | X | ||
| 17 | 70 | M | suprarenal AAA | f-EVAR | X | X | X | |
| 18 | 32 | M | TAA (Type B AD) | OR | X | X | X | |
| 19 | 80 | M | TAA (Type B AD) | OR | X | X | X | |
| 20 | 69 | M | TAAA (type A AD) | OR | X | |||
| 21 | 73 | M | TAAA (type A AD) | f-EVAR | X | X | X | X |
| Patient | Number of CBCTs | Reason for Multiple CBCTs | Contrast Rate (mL/s) | Contrast Quantity (mL) | Fluoroscopy Time (s) | Dap (Gy.cm²) | AKA Detection | AKA’s Origin |
|---|---|---|---|---|---|---|---|---|
| 1 | 2 | Length | 5 | 80 | 5′58′′ | 79.47 | Yes | 12th ICA—L |
| 2 | 2 | Length | 5 | 80 | 9′21′′ | 29.99 | Yes | 10th ICA—L |
| 3 | 2 | Length | 5 | 80 | 3′28′′ | 22.5 | No | |
| 4 | 3 | Length | 5 | 120 | 11′56′′ | 120.78 | Yes | 9–10th ICA—L&R |
| 5 | 2 | Length | 5 | 80 | 0′47′′ | 27.082 | Yes | 1st LA—R |
| 6 | 2 | Length | 5 | 65 | 1′27′′ | 89.42 | Yes | 8th ICA—L |
| 7 | 3 | Length (x2)—quality (x1) | 5 | 120 | 6′14′′ | 144.153 | No | |
| 8 | 2 | Length | 5 | 70 | 1′56′′ | 34.129 | Yes | 7th ICA—L |
| 9 | 1 | 5 | 35 | 3′40′′ | 25.44 | Yes | 7th ICA—R | |
| 10 | 3 | Quality | 5, 5, 7 | 120 | 9′09′′ | 150.522 | No | |
| 11 | 2 | Length | 5 | 70 | 3′45′′ | 80.665 | Yes | 8th ICA—L |
| 12 | 3 | Length (x2)—quality (x1) | 5 | 105 | 4′10′′ | 51.029 | No | |
| 13 | 3 | Quality | 5, 5, 6 | 112 | 4′12′′ | 65.125 | Yes | 9th ICA—L |
| 14 | 4 | Length (x2)—quality (x2) | 5, 6 | 170 | 5′14′′ | 127.506 | Yes | 11th ICA—L |
| 15 | 3 | Length | 5 | 115 | 4′40′′ | 70.52 | Yes | 5th ICA—L |
| 16 | 1 | 5 | 40 | 0′52′′ | 21.309 | no | ||
| 17 | 1 | 5 | 35 | 1′06′′ | 26.344 | No | ||
| 18 | 3 | Quality | 5, 5, 7 | 120 | 2′20′′ | 58.289 | No | |
| 19 | 3 | Length | 5 | 110 | 36′31′′ | 83.425 | Yes | 9th ICA—L |
| 20 | 1 | 5 | 40 | 20′′ | 114 | Yes | 12th ICA—L | |
| 21 | 1 | 5 | 40 | 1180′′ | 134 | Yes | 10th ICA—L |
| Patient | Prophylactic Measures | Post-Operative SCI | ||
|---|---|---|---|---|
| CSF Drainage | AKA Surgical Re-Implantation | MEP Monitoring | ||
| #1 | ||||
| #2 | X | |||
| #3 | X | |||
| #4 | X | X | ||
| #5 | X | transient | ||
| #6 | X | X | ||
| #7 | X | |||
| #8 | X | irreversible | ||
| #9 | X | |||
| #10 | ||||
| #11 | X | |||
| #12 | X | |||
| #13 | ||||
| #14 | X | X | ||
| #15 | X | irreversible | ||
| #16 | ||||
| #17 | X | X | ||
| #18 | X | |||
| #19 | X | X | X | |
| #20 | X | X | Irreversible | |
| #21 | X | |||
Disclaimer/Publisher’s Note: The statements, opinions and data contained in all publications are solely those of the individual author(s) and contributor(s) and not of MDPI and/or the editor(s). MDPI and/or the editor(s) disclaim responsibility for any injury to people or property resulting from any ideas, methods, instructions or products referred to in the content. |
© 2024 by the authors. Licensee MDPI, Basel, Switzerland. This article is an open access article distributed under the terms and conditions of the Creative Commons Attribution (CC BY) license (https://creativecommons.org/licenses/by/4.0/).
Share and Cite
Bonnet, B.; Kobeiter, H.; Pescatori, L.; Zaarour, Y.; Boughanmi, W.; Ghosn, M.; Cochennec, F.; Mongardon, N.; Desgranges, P.; Tacher, V.; et al. Preoperative Spinal Arterial Supply Mapping Using Non-Selective Cone Beam Computed Tomography before Complex Aortic Repair. J. Clin. Med. 2024, 13, 796. https://doi.org/10.3390/jcm13030796
Bonnet B, Kobeiter H, Pescatori L, Zaarour Y, Boughanmi W, Ghosn M, Cochennec F, Mongardon N, Desgranges P, Tacher V, et al. Preoperative Spinal Arterial Supply Mapping Using Non-Selective Cone Beam Computed Tomography before Complex Aortic Repair. Journal of Clinical Medicine. 2024; 13(3):796. https://doi.org/10.3390/jcm13030796
Chicago/Turabian StyleBonnet, Baptiste, Hicham Kobeiter, Lorenzo Pescatori, Youssef Zaarour, Wafa Boughanmi, Mario Ghosn, Frédéric Cochennec, Nicolas Mongardon, Pascal Desgranges, Vania Tacher, and et al. 2024. "Preoperative Spinal Arterial Supply Mapping Using Non-Selective Cone Beam Computed Tomography before Complex Aortic Repair" Journal of Clinical Medicine 13, no. 3: 796. https://doi.org/10.3390/jcm13030796
APA StyleBonnet, B., Kobeiter, H., Pescatori, L., Zaarour, Y., Boughanmi, W., Ghosn, M., Cochennec, F., Mongardon, N., Desgranges, P., Tacher, V., & Derbel, H. (2024). Preoperative Spinal Arterial Supply Mapping Using Non-Selective Cone Beam Computed Tomography before Complex Aortic Repair. Journal of Clinical Medicine, 13(3), 796. https://doi.org/10.3390/jcm13030796

