Use of Cabbage Leaf Inverted Flap Technique in the Management of a Stage IV Full-Thickness Macular Hole
Abstract
1. Introduction
2. Materials and Methods
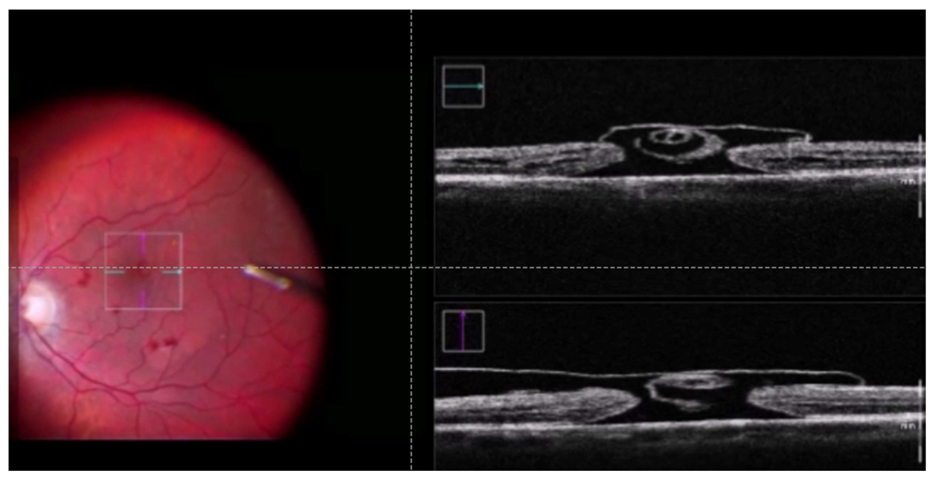
3. Results
4. Discussion
5. Conclusions
Supplementary Materials
Author Contributions
Funding
Institutional Review Board Statement
Informed Consent Statement
Data Availability Statement
Conflicts of Interest
References
- Duker, J.S.; Kaiser, P.K.; Binder, S.; de Smet, M.D.; Gaudric, A.; Reichel, E.; Sadda, S.R.; Sebag, J.; Spaide, R.F.; Stalmans, P. The International Vitreomacular Traction Study Group classification of vitreomacular adhesion, traction, and macular hole. Ophthalmology 2013, 120, 2611–2619. [Google Scholar] [CrossRef] [PubMed]
- Bamberger, M.D.; Felfeli, T.; Politis, M.; Mandelcorn, E.D.; Galic, I.J.; Chen, J.C. Human Amniotic Membrane Plug for Chronic or Persistent Macular Holes. Ophthalmol. Retin. 2022, 6, 431–433. [Google Scholar] [CrossRef] [PubMed]
- Lumi, X.; Mahnic, M.; Petrovski, B.; Petrovski, G. Outcomes of Vitrectomy for Long-Duration Macular Hole. J. Clin. Med. 2020, 9, 444. [Google Scholar] [CrossRef] [PubMed]
- Michalewska, Z.; Michalewski, J.; Adelman, R.A.; Nawrocki, J. Inverted internal limiting membrane flap technique for large macular holes. Ophthalmology 2010, 117, 2018–2025. [Google Scholar] [CrossRef] [PubMed]
- Shiode, Y.; Morizane, Y.; Matoba, R.; Hirano, M.; Doi, S.; Toshima, S.; Takahashi, K.; Araki, R.; Kanzaki, Y.; Hosogi, M.; et al. The Role of Inverted Internal Limiting Membrane Flap in Macular Hole Closure. Investig. Ophthalmol. Vis. Sci. 2017, 58, 4847–4855. [Google Scholar] [CrossRef] [PubMed]
- Michalewska, Z.; Michalewski, J.; Dulczewska-Cichecka, K.; Adelman, R.A.; Nawrocki, J. Temporal Inverted Internal Limiting Membrane Flap Technique Versus Classic Inverted Internal Limiting Membrane Flap Technique: A Comparative Study. Retina 2015, 35, 1844–1850. [Google Scholar] [CrossRef] [PubMed]
- Xu, Q.; Luan, J. Internal limiting membrane flap technique in macular hole surgery. Int. J. Ophthalmol. 2020, 13, 822–831. [Google Scholar] [CrossRef] [PubMed]
- Aurora, A.; Seth, A.; Sanduja, N. Cabbage Leaf Inverted Flap ILM Peeling for Macular Hole: A Novel Technique. Ophthalmic Surg. Lasers Imaging Retin. 2017, 48, 830–832. [Google Scholar] [CrossRef] [PubMed]
- Habib, A.M.; Mansour, A.; Fouad, Y.A. Flower-petal inverted flap for internal limiting membrane in myopic eyes with macular hole and rhegmatogenous retinal detachment. Indian J. Ophthalmol. 2022, 70, 667–669. [Google Scholar] [CrossRef] [PubMed]
- Faria, M.Y.; Proença, H.; Ferreira, N.G.; Sousa, D.C.; Neto, E.; Marques-Neves, C. Inverted Internal Limiting Membrane Flap Techniques and Outer Retinal Layer Structures. Retina 2020, 40, 1299–1305. [Google Scholar] [CrossRef] [PubMed]
- Stratton, I.M.; Kohner, E.M.; Aldington, S.J.; Turner, R.C.; Holman, R.R.; Manley, S.E.; Matthews, D.R.; the UKPDS Group. UKPDS 50: Risk factors for incidence and progression of retinopathy in Type II diabetes over 6 years from diagnosis. Diabetologia 2001, 44, 156–163. [Google Scholar] [CrossRef] [PubMed]
- Iwasaki, M.; Miyamoto, H.; Imaizumi, H. Effects of inverted internal limiting membrane technique and insertion technique on outer retinal restoration associated with glial proliferation in large macular holes. Graefes Arch. Clin. Exp. Ophthalmol. 2020, 258, 1841–1849. [Google Scholar] [CrossRef] [PubMed]
- Chen, S.N. Large semicircular inverted internal limiting membrane flap in the treatment of macular hole in high myopia. Graefes Arch. Clin. Exp. Ophthalmol. 2017, 255, 2337–2345. [Google Scholar] [CrossRef] [PubMed]
- Ho, T.C.; Ho, A.; Chen, M.S. Vitrectomy with a modified temporal inverted limiting membrane flap to reconstruct the foveolar architecture for macular hole retinal detachment in highly myopic eyes. Acta Ophthalmol. 2018, 96, e46–e53. [Google Scholar] [CrossRef] [PubMed]



| Pt. | Age | Gender | Duration of Symptoms | Minimum Hole Size (μm) | Basal Hole Size (μm) | Preoperative BCVA (LogMAR) | Postoperative BCVA (LogMAR) |
|---|---|---|---|---|---|---|---|
| 1 | 71 | M | 18 months | 549 | 1224 | 0.7 | 0.3 |
| 2 | 84 | F | 24 months | 526 | 1748 | 0.7 | 0.5 |
| 3 | 56 | F | 6 months | 602 | 1343 | 0.7 | 0.7 |
| 4 | 71 | F | 3 months | 443 | 1063 | 0.3 | 0.0 |
| 5 | 73 | M | 6 months | 424 | 1169 | 0.7 | 0.5 |
| 6 | 72 | F | 6 months | 337 | 703 | 0.7 | 0.4 |
Disclaimer/Publisher’s Note: The statements, opinions and data contained in all publications are solely those of the individual author(s) and contributor(s) and not of MDPI and/or the editor(s). MDPI and/or the editor(s) disclaim responsibility for any injury to people or property resulting from any ideas, methods, instructions or products referred to in the content. |
© 2024 by the authors. Licensee MDPI, Basel, Switzerland. This article is an open access article distributed under the terms and conditions of the Creative Commons Attribution (CC BY) license (https://creativecommons.org/licenses/by/4.0/).
Share and Cite
Hartung, K.J.; Drnovšek, F.; Lumi, X. Use of Cabbage Leaf Inverted Flap Technique in the Management of a Stage IV Full-Thickness Macular Hole. J. Clin. Med. 2024, 13, 7120. https://doi.org/10.3390/jcm13237120
Hartung KJ, Drnovšek F, Lumi X. Use of Cabbage Leaf Inverted Flap Technique in the Management of a Stage IV Full-Thickness Macular Hole. Journal of Clinical Medicine. 2024; 13(23):7120. https://doi.org/10.3390/jcm13237120
Chicago/Turabian StyleHartung, Kristina J., Fran Drnovšek, and Xhevat Lumi. 2024. "Use of Cabbage Leaf Inverted Flap Technique in the Management of a Stage IV Full-Thickness Macular Hole" Journal of Clinical Medicine 13, no. 23: 7120. https://doi.org/10.3390/jcm13237120
APA StyleHartung, K. J., Drnovšek, F., & Lumi, X. (2024). Use of Cabbage Leaf Inverted Flap Technique in the Management of a Stage IV Full-Thickness Macular Hole. Journal of Clinical Medicine, 13(23), 7120. https://doi.org/10.3390/jcm13237120

