The Clinical Significance of Interstitial Pneumonia with Autoimmune Features in Cryptogenic Organizing Pneumonia: A Prospective Multicenter Observational Study
Abstract
1. Introduction
2. Materials and Methods
2.1. Study Design and Participants
2.2. Statistical Analysis
3. Results
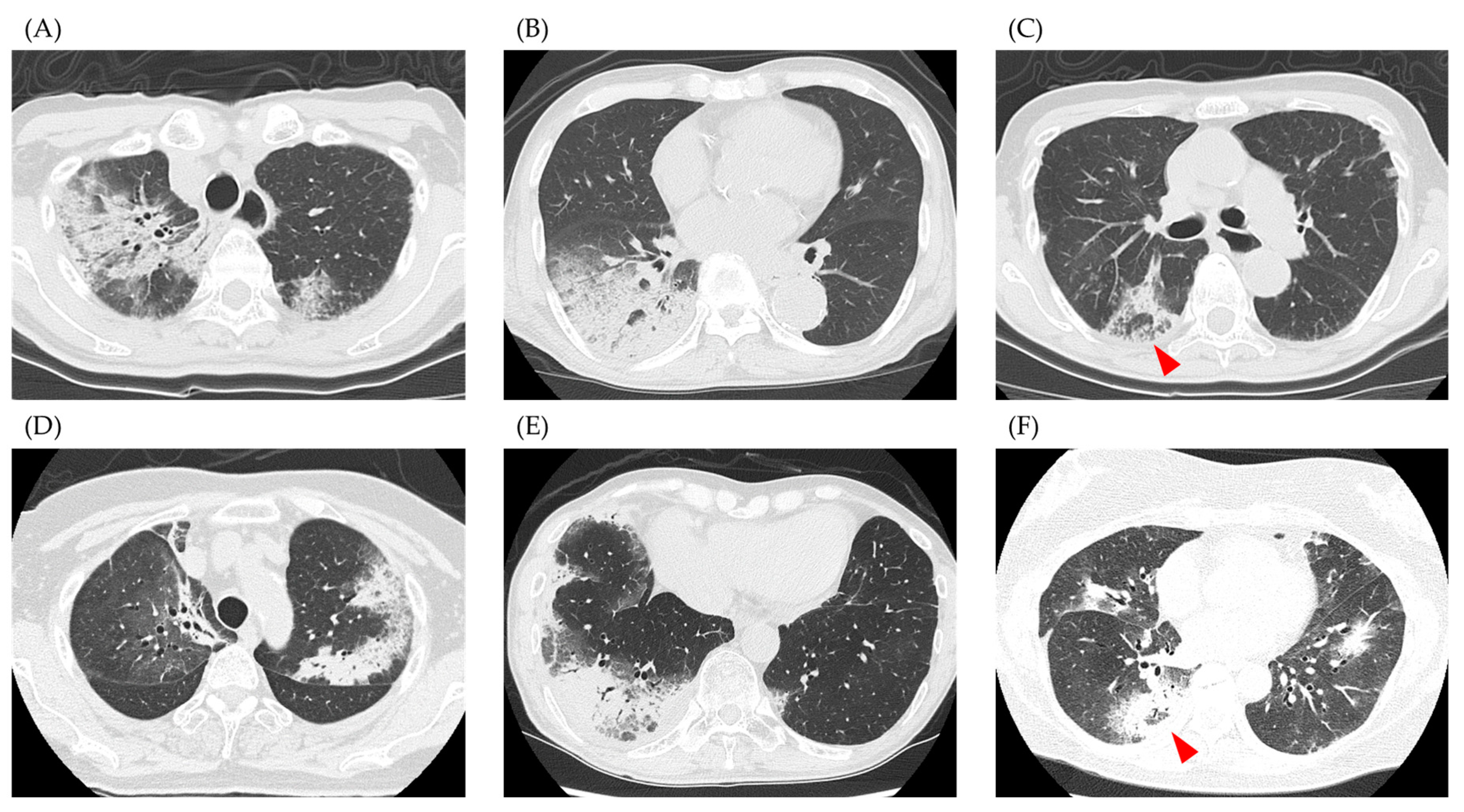
3.1. Patient Characteristics
3.2. Comparison of Clinical Characteristics Between IPAF and Non-IPAF Group
4. Discussion
5. Conclusions
Supplementary Materials
Author Contributions
Funding
Institutional Review Board Statement
Informed Consent Statement
Data Availability Statement
Acknowledgments
Conflicts of Interest
References
- Graney, B.A.; Fischer, A. Interstitial Pneumonia with Autoimmune Features. Ann. Am. Thorac. Soc. 2019, 16, 525–533. [Google Scholar] [CrossRef] [PubMed]
- Kinder, B.W.; Collard, H.R.; Koth, L.; Daikh, D.I.; Wolters, P.J.; Elicker, B.; Jones, K.D.; King, T.E., Jr. Idiopathic nonspecific interstitial pneumonia: Lung manifestation of undifferentiated connective tissue disease? Am. J. Respir. Crit. Care Med. 2007, 176, 691–697. [Google Scholar] [CrossRef] [PubMed]
- Fischer, A.; West, S.G.; Swigris, J.J.; Brown, K.K.; du Bois, R.M. Connective tissue disease-associated interstitial lung disease: A call for clarification. Chest 2010, 138, 251–256. [Google Scholar] [CrossRef] [PubMed]
- Vij, R.; Noth, I.; Strek, M.E. Autoimmune-featured interstitial lung disease: A distinct entity. Chest 2011, 140, 1292–1299. [Google Scholar] [CrossRef]
- Fischer, A.; Antoniou, K.M.; Brown, K.K.; Cadranel, J.; Corte, T.J.; du Bois, R.M.; Lee, J.S.; Leslie, K.O.; Lynch, D.A.; Matteson, E.L.; et al. An official European Respiratory Society/American Thoracic Society research statement: Interstitial pneumonia with autoimmune features. Eur. Respir. J. 2015, 46, 976–987. [Google Scholar] [CrossRef]
- Enomoto, N.; Homma, S.; Inase, N.; Kondoh, Y.; Saraya, T.; Takizawa, H.; Inoue, Y.; Ishii, H.; Taguchi, Y.; Izumi, S.; et al. Prospective nationwide multicentre cohort study of the clinical significance of autoimmune features in idiopathic interstitial pneumonias. Thorax 2022, 77, 143–153. [Google Scholar] [CrossRef]
- Cottin, V.; Cordier, J.F. Cryptogenic organizing pneumonia. Semin. Respir. Crit. Care Med. 2012, 33, 462–475. [Google Scholar]
- Taniguchi, Y.; Arai, T.; Tsuji, T.; Sugimoto, C.; Tachibana, K.; Akira, M.; Inoue, Y. Cryptogenic organizing pneumonia: Clinical outcomes of 60 consecutive cases. J. Thorac. Dis. 2024, 16, 3129–3141. [Google Scholar] [CrossRef]
- Akira, M.; Yamamoto, S.; Sakatani, M. Bronchiolitis obliterans organizing pneumonia manifesting as multiple large nodules or masses. Am. J. Roentgenol. 1998, 170, 291–295. [Google Scholar] [CrossRef]
- Cazzato, S.; Zompatori, M.; Baruzzi, G.; Schiattone, M.; Burzi, M.; Rossi, A.; Ratta, L.; Terzuolo, G.; Falcone, F.; Poletti, V. Bronchiolitis obliterans-organizing pneumonia: An Italian experience. Respir. Med. 2000, 94, 702–708. [Google Scholar] [CrossRef]
- Poletti, V.; Cazzato, S.; Minicuci, N.; Zompatori, M.; Burzi, M.; Schiattone, M. The diagnostic value of bronchoalveolar lavage and transbronchial lung biopsy in cryptogenic organizing pneumonia. Eur. Respir. J. 1996, 9, 2513–2516. [Google Scholar] [CrossRef] [PubMed]
- Dina, R.; Sheppard, M. The histological diagnosis of clinically documented cases of cryptogenic organizing pneumonia: Diagnostic features in transbronchial biopsies. Histopathology 1993, 23, 541–545. [Google Scholar] [CrossRef] [PubMed]
- Nakashima, R.; Imura, Y.; Hosono, Y.; Seto, M.; Murakami, A.; Watanabe, K.; Handa, T.; Mishima, M.; Hirakata, M.; Takeuchi, T.; et al. The multicenter study of a new assay for simultaneous detection of multiple anti-aminoacyl-tRNA synthetases in myositis and interstitial pneumonia. PLoS ONE 2014, 9, e85062. [Google Scholar] [CrossRef]
- King, T.E., Jr.; Lee, J.S. Cryptogenic Organizing Pneumonia. N. Engl. J. Med. 2022, 386, 1058–1069. [Google Scholar] [CrossRef]
- Kanda, Y. Investigation of the freely available easy-to-use software ‘EZR’ for medical statistics. Bone Marrow Transplant. 2013, 48, 452–458. [Google Scholar] [CrossRef] [PubMed]
- Sebastiani, M.; Cassone, G.; De Pasquale, L.; Cerri, S.; Della Casa, G.; Vacchi, C.; Luppi, F.; Salvarani, C.; Manfredi, A. Interstitial pneumonia with autoimmune features: A single center prospective follow-up study. Autoimmun. Rev. 2020, 19, 102451. [Google Scholar] [CrossRef]
- Sambataro, G.; Sambataro, D.; Torrisi, S.E.; Vancheri, A.; Colaci, M.; Pavone, M.; Pignataro, F.; Del Papa, N.; Palmucci, S.; Vancheri, C. Clinical, serological and radiological features of a prospective cohort of Interstitial Pneumonia with Autoimmune Features (IPAF) patients. Respir. Med. 2019, 150, 154–160. [Google Scholar] [CrossRef]
- Sambataro, G.; Sambataro, D.; Spicuzza, L.; Meloni, F.; Lorini, G.; Malatino, L.; Colaci, M.; Sebastiani, G.; Iuliano, A.; Canofari, C.; et al. Progression and prognosis of interstitial pneumonia with autoimmune features: A longitudinal, prospective, multi-centre study. Clin. Exp. Rheumatol. 2023, 41, 1140–1148. [Google Scholar] [CrossRef]
- Kelly, B.T.; Moua, T. Overlap of interstitial pneumonia with autoimmune features with undifferentiated connective tissue disease and contribution of UIP to mortality. Respirology 2018, 23, 600–605. [Google Scholar] [CrossRef]
- Yoshimura, K.; Kono, M.; Enomoto, Y.; Nishimoto, K.; Oyama, Y.; Yasui, H.; Hozumi, H.; Karayama, M.; Suzuki, Y.; Furuhashi, K.; et al. Distinctive characteristics and prognostic significance of interstitial pneumonia with autoimmune features in patients with chronic fibrosing interstitial pneumonia. Respir. Med. 2018, 137, 167–175. [Google Scholar] [CrossRef]
- Enomoto, N.; Yazawa, S.; Mochizuka, Y.; Fukada, A.; Tanaka, Y.; Naoi, H.; Aono, Y.; Inoue, Y.; Yasui, H.; Karayama, M.; et al. Radiological and histopathological features and treatment response by subtypes of interstitial pneumonia with autoimmune features: A prospective, multicentre cohort study. Respir. Med. 2024, 224, 107577. [Google Scholar] [CrossRef]
- Oldham, J.M.; Adegunsoye, A.; Valenzi, E.; Lee, C.; Witt, L.; Chen, L.; Husain, A.N.; Montner, S.; Chung, J.H.; Cottin, V.; et al. Characterisation of patients with interstitial pneumonia with autoimmune features. Eur. Respir. J. 2016, 47, 1767–1775. [Google Scholar] [CrossRef]
- Dai, J.; Wang, L.; Yan, X.; Li, H.; Zhou, K.; He, J.; Meng, F.; Xu, S.; Liang, G.; Cai, H. Clinical features, risk factors, and outcomes of patients with interstitial pneumonia with autoimmune features: A population-based study. Clin. Rheumatol. 2018, 37, 2125–2132. [Google Scholar] [CrossRef] [PubMed]
- Kim, H.C.; Lee, J.H.; Chae, E.J.; Song, J.S.; Song, J.W. Long-term clinical course and outcome of interstitial pneumonia with autoimmune features. Respirology 2020, 25, 636–643. [Google Scholar] [CrossRef]
- Ito, Y.; Arita, M.; Kumagai, S.; Takei, R.; Noyama, M.; Tokioka, F.; Nishimura, K.; Koyama, T.; Notohara, K.; Ishida, T. Serological and morphological prognostic factors in patients with interstitial pneumonia with autoimmune features. BMC Pulm. Med. 2017, 17, 111. [Google Scholar] [CrossRef] [PubMed]
- Johkoh, T.; Müller, N.L.; Cartier, Y.; Kavanagh, P.V.; Hartman, T.E.; Akira, M.; Ichikado, K.; Ando, M.; Nakamura, H. Idiopathic interstitial pneumonias: Diagnostic accuracy of thin-section CT in 129 patients. Radiology 1999, 211, 555–560. [Google Scholar] [CrossRef] [PubMed]
- Jara-Palomares, L.; Gomez-Izquierdo, L.; Gonzalez-Vergara, D.; Rodriguez-Becerra, E.; Marquez-Martin, E.; Barrot-Cortés, E.; Martin-Juan, J. Utility of high-resolution computed tomography and BAL in cryptogenic organizing pneumonia. Respir. Med. 2010, 104, 1706–1711. [Google Scholar] [CrossRef]
- Papakosta, D.; Manika, K.; Gounari, E.; Kyriazis, G.; Kontakiotis, T.; Spyropoulos, G.; Kontakioti, E.; Zarogoulidis, K. Bronchoalveolar lavage fluid and blood natural killer and natural killer T-like cells in cryptogenic organizing pneumonia. Respirology 2014, 19, 748–754. [Google Scholar] [CrossRef]




| IPAF (n = 8) | Non-IPAF (n = 22) | p-Value | |
|---|---|---|---|
| Age, yr—median (IQR) | 66.5 (59.8–74.8) | 68.5 (64.3–75.8) | 0.44 |
| Sex (female)—no. (%) | 4 (50.0) | 5 (22.7) | 0.20 |
| Body-mass index—median (IQR) | 20.2 (16.9–22.7) | 22.4 (18.2–24.3) | 0.53 |
| Smoking history | |||
| Former or current—no. (%) | 4 (50.0) | 14 (63.6) | 0.68 |
| Pack-year—median (IQR) | 20 (0–58) | 12 (0–34) | 0.77 |
| Desaturation (≤94%)—no. (%) | 1 (12.5) | 9 (40.9) | 0.21 |
| Cough—no. (%) | 6 (75.0) | 13 (59.1) | 0.67 |
| Sputum—no. (%) | 5 (62.5) | 7 (31.8) | 0.21 |
| Dyspnea at rest—no. (%) | 1 (12.5) | 6 (27.3) | 0.64 |
| Dyspnea on exertion—no. (%) | 4 (50.0) | 18 (81.8) | 0.16 |
| Fever—no. (%) | 5 (62.5) | 9 (40.9) | 0.42 |
| Pathologically proven case—no. (%) | 1 (12.5) | 6 (27.3) | 0.64 |
| Laboratory examinations | |||
| Leukocytes (×103/µL)—median (IQR) | 7.5 (6.9–8.5) | 7.6 (5.8–10.1) | 0.91 |
| Hemoglobin (g/dL)—median (IQR) | 12.1 (11.0–12.4) | 12.4 (11.1–13.4) | 0.50 |
| Platelets (×104/µL)—median (IQR) | 39.1 (30.3–42.2) | 30.5 (27.4–42.1) | 0.57 |
| LDH (U/L)—median (IQR) | 182 (173–218) | 197 (188–221) | 0.56 |
| CRP (mg/dL)—median (IQR) | 5.4 (2.2–7.9) | 5.2 (0.6–11.1) | 0.57 |
| KL-6 (U/mL)—median (IQR) | 299 (263–581) | 422 (276–792) | 0.53 |
| SP-D (ng/mL)—median (IQR) | 108 (84.4–294) | 161 (118–234) | 0.64 |
| SP-A (ng/mL)—median (IQR) | 68 (57–74) | 74 (46–116) | 0.45 |
| Pulmonary function | |||
| FVC (L)—median (IQR) | 2.51 (1.87–2.61) | 2.63 (2.08–3.04) | 0.41 |
| FVC % predicted (%)—median (IQR) | 77.0 (68.4–87.6) | 79.9 (70.4–93.1) | 1.00 |
| Bronchoalveolar lavage | |||
| Total cell count (×105/mL)—median (IQR) | 4.3 (3.8–6.2) | 5.0 (3.2–6.5) | 0.95 |
| Neutrophils (%)—median (IQR) | 17.0 (5.6–28.4) | 5.1 (2.0–16.8) | 0.25 |
| Lymphocytes (%)—median (IQR) | 56.5 (41.6–65.5) | 60.8 (41.5–66.9) | 0.78 |
| Eosinophils (%)—median (IQR) | 2.4 (1.0–7.0) | 4.5 (1.6–10.6) | 0.42 |
| Macrophages (%)—median (IQR) | 18.9 (6.0–22.3) | 5.3 (3.0–28.0) | 0.64 |
| CD4/CD8 ratio—median (IQR) | 0.9 (0.5–3.1) | 1.2 (0.7–4.0) | 0.46 |
| No. (%) | IPAF (n = 8) | Non-IPAF (n = 22) | p-Value |
|---|---|---|---|
| Distribution | |||
| Bilateral | 7 (88) | 17 (77) | 1.00 |
| Peripheral dominance/Diffuse | 6/2 | 19/3 | 0.59 |
| Predominant pattern | |||
| Consolidation/Ground-glass opacity | 5/3 | 19/3 | 0.30 |
| Reversed halo sign | 1 (13) | 3 (14) | 1.00 |
| IPAF (n = 8) | Non-IPAF (n = 22) | p-Value | |
|---|---|---|---|
| Treated with corticosteroid—no. (%) | 7 (87.5) | 16 (72.7) | 0.64 |
| Starting dose of corticosteroid (mg/day)—median (IQR) | 25 (17.5–31.3) | 30 (6.3–60.0) | 0.34 |
Disclaimer/Publisher’s Note: The statements, opinions and data contained in all publications are solely those of the individual author(s) and contributor(s) and not of MDPI and/or the editor(s). MDPI and/or the editor(s) disclaim responsibility for any injury to people or property resulting from any ideas, methods, instructions or products referred to in the content. |
© 2024 by the authors. Licensee MDPI, Basel, Switzerland. This article is an open access article distributed under the terms and conditions of the Creative Commons Attribution (CC BY) license (https://creativecommons.org/licenses/by/4.0/).
Share and Cite
Higo, H.; Ichikawa, H.; Arakawa, Y.; Mori, Y.; Tamura, T.; Kuyama, S.; Matsumoto, C.; Sugimoto, K.; Hamada, N.; Suwaki, T.; et al. The Clinical Significance of Interstitial Pneumonia with Autoimmune Features in Cryptogenic Organizing Pneumonia: A Prospective Multicenter Observational Study. J. Clin. Med. 2024, 13, 6870. https://doi.org/10.3390/jcm13226870
Higo H, Ichikawa H, Arakawa Y, Mori Y, Tamura T, Kuyama S, Matsumoto C, Sugimoto K, Hamada N, Suwaki T, et al. The Clinical Significance of Interstitial Pneumonia with Autoimmune Features in Cryptogenic Organizing Pneumonia: A Prospective Multicenter Observational Study. Journal of Clinical Medicine. 2024; 13(22):6870. https://doi.org/10.3390/jcm13226870
Chicago/Turabian StyleHigo, Hisao, Hirohisa Ichikawa, Yukako Arakawa, Yoshihiro Mori, Tomoki Tamura, Shoichi Kuyama, Chiaki Matsumoto, Keisuke Sugimoto, Noboru Hamada, Toshimitsu Suwaki, and et al. 2024. "The Clinical Significance of Interstitial Pneumonia with Autoimmune Features in Cryptogenic Organizing Pneumonia: A Prospective Multicenter Observational Study" Journal of Clinical Medicine 13, no. 22: 6870. https://doi.org/10.3390/jcm13226870
APA StyleHigo, H., Ichikawa, H., Arakawa, Y., Mori, Y., Tamura, T., Kuyama, S., Matsumoto, C., Sugimoto, K., Hamada, N., Suwaki, T., Itano, J., Tanimoto, Y., Senoo, S., Taniguchi, A., Inukai, Y., Arita, M., Makimoto, S., Kojima, K., Matsushita, T., ... Miyahara, N. (2024). The Clinical Significance of Interstitial Pneumonia with Autoimmune Features in Cryptogenic Organizing Pneumonia: A Prospective Multicenter Observational Study. Journal of Clinical Medicine, 13(22), 6870. https://doi.org/10.3390/jcm13226870

