Clinical, Radiological, and Surgical Risk Factors for Endoscopic Anastomotic Recurrence Following Surgery in Crohn’s Disease
Abstract
1. Introduction
2. Materials and Methods
2.1. Study Population and Data Source
2.2. Clinical Evaluation
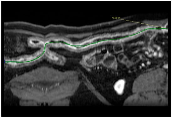
2.3. Technique and Radiological Evaluation
- Type of radiological examination (CTE; MR-E, abdomen CT);
- Site of pathology;
- Number of small-bowel pathological loops;
- Characteristics of small-bowel pathological loops;
| Type of Radiological Examination | MR Enterography or Abdomen CT or CT Enterography |
|---|---|
| Site of pathological loops | Proximal jejunum, distal jejunum, proximal ileum, distal ileum, last ileal loop, appendix, ascending colon, transverse colon, descending colon, sigmoid colon, and rectum |
| Number of small-bowel pathological loops | Counting as pathological any segment with radiological signs of CD separated from another lesion by a normal intestinal loop |
| Characteristics of small-bowel pathological loops |
|
| Length of each small-bowel pathological loop |
|
| Type of disease |
|

2.4. Surgical and Postoperative Evaluation
2.5. Statistical Analysis
3. Results
3.1. Baseline Characteristics
3.2. Clinical Evaluation
- (a)
- Age at diagnosis and at the time of surgery: the mean age was 32 years at the time of diagnosis (range: 10–69 years ±16.1) and 40 years at the time of surgery (range: 18–70 ±15.4 years).
- (b)
- Gender: 35 males (56%) and 28 females (44%).
- (c)
- Duration: the duration of the disease ranged from 0.5 to 46 years, with a mean of 8.4 years (±9.2 years).
- (d)
- Perianal disease: perianal disease was present in 4 (6%) patients.
- (e)
- A habit of smoking was present in 11 (17%) patients.
| Minimum (Years) | Maximum (Years) | Mean (Years) | Standard Deviation | |
|---|---|---|---|---|
| Age at diagnosis | 10.7 | 69 | 31.9 | 16.1 |
| Age at the moment of surgery | 18 | 70 | 39.9 | 15.4 |
| Duration of the disease | 0.5 | 46 | 8.4 | 9.2 |
| Number of Patients | Percentage (%) | |
|---|---|---|
| Male | 35 | 55.6 |
| Female | 28 | 44.4 |
| Smoking habit | 11 | 17.5 |
| Extra-intestinal manifestations: | 12 | 9 |
| Dermatological | 2 | 3.2 |
| Rheumatological | 10 | 15.9 |
| Perianal disease | 4 | 6.3 |
| Medical therapy: | ||
| 11 | 17.5 |
| 2 | 3.2 |
| 5 | 7.9 |
| 5 | 7.9 |
| 12 | 19.7 |
| 2 | 3.2 |
| 14 | 23 |
| HR (95% IC, p-Value) | |
|---|---|
| Clinical factors: | |
| 1.04 (1.01–1.06, p = 0.003) |
| 1.02 (0.99–1.04, p = 0.135) |
| 0.80 (1.24–0.34, p = 0.601) |
| 1.07 (1.02–1.12, p = 0.051) |
| NA |
| |
| No | 1.67 (0.63–4.36, p = 0.295) |
| Yes | 3.08 (0.86–11.04, p = 0.083) |
| 1.05 (0.41–2.67, p = 0.905) |
| 0.91(0.31–2.63, p = 0.860) |
| 1.51 (0.19–11.35, p = 0.691) |
| 0.96 (0.22–4.21, p = 0.962) |
| 1.14 (0.25–5.02, p = 0.866) |
| 1.08 (0.27–4.27, p = 0.905) |
| 0.76 (0.09–5.92, p = 0.796) |
| 1.46 (0.48–4.38, p = 0.499) |
| Radiological factors: | |
| 0.96 (0.85–1.09, p = 0.525) |
| 1.12 (0.50–2.52, p = 0.771) |
| NA |
| NA |
| 0.44 (0.05–3.29, p = 0.425) |
| 0.78 (0.56–1.08, p = 0.137) |
| 1.02 (1.00–1.04, p = 0.088) |
| 0.701 (0.31–1.63, p = 0.418) |
| 0.807 (0.35–1.82, p = 0.609) |
| 0.71 (0.24–2.08, p = 0.529) |
| 2.34 (0.54–9.98, p = 0.251) |
| 3.52 (1.19–9.03, p = 0.015) |
| 1.15 (1.05–1.27, p = 0.004) |
| 1.001(0.99–1.004, p = 0.452) |
| 1.002 (1.00–1.54, p = 0.014) |
| NA |
| NA |
| Surgical factors: | |
| 2.17 (0.96–4.86, p = 0.061) |
| 1.01 (1.00–1.02, p = 0.003) |
| 6.00 (1.05–1.27, p = 0.004) |
| 0.77 (0.32–1.78, p = 0.536) |
| 6.67 (0.89–5.02, p = 0.033) |
| Postoperative evaluation: | |
| 0.54 (0.21–1.38, p = 0.204) |
3.3. Radiological Evaluation
3.4. Surgical Evaluation
3.5. Postsurgical Evaluation
4. Discussion
4.1. Definition of Recurrence
4.2. Clinical Factor
4.3. Radiological Factors
4.4. Surgical Evaluation
4.5. Postsurgical Evaluation
4.6. Limitations
5. Conclusions
Author Contributions
Funding
Institutional Review Board Statement
Informed Consent Statement
Data Availability Statement
Conflicts of Interest
References
- Poggioli, G.; Pierangeli, F.; Laureti, S.; Ugolini, F.; Poggioli, G.; Pierangeli, F.; Laureti, S.; Ugolini, F. Indication and type of surgery in Crohn’s disease. Aliment. Pharmacol. Ther. 2002, 16 (Suppl. S4), 59–64. [Google Scholar] [CrossRef] [PubMed]
- McLeod, R.S. Surgery for Inflammatory Bowel Diseases. Dig. Dis. 2003, 21, 168–179. [Google Scholar] [CrossRef] [PubMed]
- Rutgeerts, P.; Geboes, K.; Vantrappen, G.; Beyls, J.; Kerremans, R.; Hiele, M. Predictability of the postoperative course of Crohn’s disease. Gastroenterology 1990, 99, 956–963. [Google Scholar] [CrossRef] [PubMed]
- Gomollón, F.; Dignass, A.; Annese, V.; Tilg, H.; Van Assche, G.; Lindsay, J.O.; Peyrin-Biroulet, L.; Cullen, G.J.; Daperno, M.; Kucharzik, T.; et al. 3rd European Evidence-based Consensus on the Diagnosis and Management of Crohn’s Disease 2016: Part 1: Diagnosis and Medical Management. J. Crohn’s Colitis 2017, 11, 3–25. [Google Scholar] [CrossRef] [PubMed]
- Khoury, W.; Strong, S.A.; Fazio, V.W.; Kiran, R.P. Factors Associated with Operative Recurrence Early After Resection for Crohn’s Disease. J. Gastrointest. Surg. 2011, 15, 1354–1360. [Google Scholar] [CrossRef]
- Li, Y.; Zhu, W.; Gong, J.; Zhang, W.; Gu, L.; Guo, Z.; Cao, L.; Shen, B.; Li, N.; Li, J. Visceral fat area is associated with a high risk for early postoperative recurrence in Crohn’s disease. Color. Dis. 2015, 17, 225–234. [Google Scholar] [CrossRef] [PubMed]
- Navaratne, L.; Hurndall, K.; Richardson, D.M.; Stephenson, R.; Power, N.; Gillott, H.; Sánchez, S.R.; Khodatars, K.; Chan, C.L.H. Risk factors for symptomatic anastomotic postoperative recurrence following ileo-colic resection in Crohn’s disease. Color. Dis. 2021, 23, 1184–1192. [Google Scholar] [CrossRef]
- Minordi, L.M.; Larosa, L.; Bevere, A.; D’angelo, F.B.; Pierro, A.; Cilla, S.; Del Ciello, A.; Scaldaferri, F.; Barbaro, B. Imaging of Strictures in Crohn’s Disease. Life 2023, 13, 2283. [Google Scholar] [CrossRef] [PubMed]
- Minordi, L.M.; Bevere, A.; Papa, A.; Larosa, L.; Manfredi, R. CT and MRI Evaluations in Crohn’s Complications: A Guide for the Radiologist. Acad. Radiol. 2022, 29, 1206–1227. [Google Scholar] [CrossRef]
- Minordi, L.M.; Larosa, L.; Brizi, M.G.; Armuzi, A.; Manfredi, R. Length of the healthy and pathological small intestine in patients with Crohn’s disease: Calculations using computed tomography and magnetic resonance enterography. Diagn. Interv. Radiol. 2023, 29, 24–28. [Google Scholar] [CrossRef]
- Dindo, D.; Demartines, N.; Clavien, P.-A. Classification of Surgical Complications. Ann. Surg. 2004, 240, 205–213. [Google Scholar] [CrossRef] [PubMed]
- De Cruz, P.; Kamm, M.A.; Hamilton, A.L.; Ritchie, K.J.; Krejany, E.O.; Gorelik, A.; Liew, D.; Prideaux, L.; Lawrance, I.C.; Andrews, J.M.; et al. Crohn’s disease management after intestinal resection: A randomised trial. Lancet 2015, 385, 1406–1417. [Google Scholar] [CrossRef] [PubMed]
- Ozgur, I.; Kulle, C.B.; Buyuk, M.; Ormeci, A.; Akyuz, F.; Balik, E.; Bulut, T.; Keskin, M. What are the predictors for recurrence of Crohn’s disease after surgery? Medicine 2021, 100, e25340. [Google Scholar] [CrossRef] [PubMed]
- Fornaro, R.; Caratto, E.; Caratto, M.; Fornaro, F.; Caristo, G.; Frascio, M.; Sticchi, C. Post-operative recurrence in Crohn’s disease. Critical analysis of potential risk factors. An update. Surgeon 2015, 13, 330–347. [Google Scholar] [CrossRef]
- Rutgeerts, P. Strategies in the prevention of post-operative recurrence in Crohn’s disease. Best Pract. Res. Clin. Gastroenterol. 2003, 17, 63–73. [Google Scholar] [CrossRef]
- Eugene, C. The second European evidence-based Consensus on the diagnosis and management of Crohn’s disease. Clin. Res. Hepatol. Gastroenterol. 2011, 35, 257–259. [Google Scholar] [CrossRef]
- Anseline, P.F.; Wlodarczyk, J.; Murugasu, R. Presence of granulomas is associated with recurrence after surgery for Crohn’s disease: Experience of a surgical unit. Br. J. Surg. 1997, 84, 78–82. [Google Scholar] [CrossRef]
- Malireddy, K.; Larson, D.W.; Sandborn, W.J.; Loftus, E.V.; Faubion, W.A.; Pardi, D.S.; Qin, R.; Gullerud, R.E.; Cima, R.R.; Wolff, B.; et al. Recurrence and impact of postoperative prophylaxis in laparoscopically treated primary ileocolic Crohn disease. Arch. Surg. 2010, 145, 42–47. [Google Scholar] [CrossRef]
- Simillis, C.; Jacovides, M.; Reese, G.E.; Yamamoto, T.; Tekkis, P.P. Meta-analysis of the Role of Granulomas in the Recurrence of Crohn Disease. Dis. Colon Rectum 2010, 53, 177–185. [Google Scholar] [CrossRef]
- Chambers, T.J.; Morson, B.C. The granuloma in Crohn’s disease. Gut 1979, 20, 269–274. [Google Scholar] [CrossRef]
- Glass, R.E.; Baker, W.N. Role of the granuloma in recurrent Crohn’s disease. Gut 1976, 17, 75–77. [Google Scholar] [CrossRef]


| Number of Patients | Percentage (%) | |
|---|---|---|
| Proximal jejunum | 1 | 1.6 |
| Distal jejunum | 5 | 7.9 |
| Proximal ileum | 6 | 9.5 |
| Distal ileum | 41 | 65.1 |
| Last ileal loop | 62 | 98.4 |
| Involvement of other intestinal loops: | ||
| Appendix | 16 | 25.4 |
| Ascending colon | 11 | 17.5 |
| Transverse colon | 3 | 4.8 |
| Distal colon | 2 | 3.2 |
| Sigma | 6 | 9.5 |
| Rectum | 3 | 4.8 |
| Minimum | Maximum | Mean | Standard Deviation | |
|---|---|---|---|---|
| Wall thickening (mm) | 5 | 25 | 10.8 | 2.9 |
| Lumen diameter (mm) | 1 | 7 | 2.6 | 1.3 |
| Pre-stenotic loop caliber (mm) | 13 | 95 | 28.5 | 13.7 |
| Number of Patients | Percentage (%) | |
|---|---|---|
| Mural thickening | 63 | 100 |
| Mucosal ulcers | 27 | 42.9 |
| Stratified CE | 63 | 100 |
| Halo fatty sign | 3 | 4.8 |
| Engorgement of vasa recta | 59 | 93.7 |
| Stenosis | 60 | 95.2 |
| Pre-stenotic dilatation | 32 | 50.8 |
| Fibrofatty proliferation | 8 | 12.7 |
| Sinus tracts | 23 | 36.5 |
| Enterocutaneous fistulas | 5 | 7.9 |
| Entero-enteric fistulas | 25 | 39.7 |
| Abscesses | 15 | 23.8 |
| LFN | 54 | 85.7 |
| Occlusion | 8 | 12.7 |
| MRI hyperintensity | 35 | 97.2 |
| MRI DWI restriction | 30 | 85.7 |
| Minimum | Maximum | Mean | Standard Deviation | |
|---|---|---|---|---|
| Extension of each pathological loop (mm) | 20 | 600 | 186.1 | 120.4 |
| Sum of the length of pathological loops (mm) | 20 | 881 | 258.9 | 167.5 |
| Number of Patients | Percentage (%) | |
|---|---|---|
| Type of surgical resection: | ||
| Ileocecal resection | 48 | 76.2 |
| Ileocolic resection | 14 | 22.2 |
| Right hemicolectomy | 1 | 1.6 |
| Laparoscopic surgery | 46 | 73 |
| Emergency surgery | 1 | 1.6 |
| Histological involvement of resection margins | 23 | 36.5 |
| Type of anastomosis: | ||
| Stapled anastomosis | 11 | 17.5 |
| Hand-sewn anastomosis | 52 | 82.5 |
| Presence of granulomas in the specimen | 4 | 26.7 |
| Transfusions | 2 | 3.2 |
| Ileostomy/colostomy | 4 | 6.3 |
| Number of Patients | Percentage (%) | |
|---|---|---|
| Postoperative complications: | 22 | 35 |
| Anastomotic dehiscence | 2 | 3 |
| Sepsis | 1 | 1 |
| Fever (>37.5°) | 9 | 9 |
| Intra-abdominal fluid collection | 3 | 5 |
| Urinary tract infection | 3 | 5 |
| Anemization | 5 | 8 |
| Melena/rectorrhagia | 9 | 14 |
| Vomiting | 1 | 1 |
| High stomal output | 1 | 1 |
| Bladder globe | 1 | 1 |
| Hypoadrenal crisis | 1 | 1 |
| Resumption of parenteral nutrition | 1 | 1 |
| Delay of canalization | 0 | 0 |
| Clavien–Dindo grade: | ||
| 0 | 41 | 65 |
| 1 | 12 | 19 |
| 2 | 7 | 11 |
| 3a | 1 | 2 |
| 3b | 2 | 3 |
Disclaimer/Publisher’s Note: The statements, opinions and data contained in all publications are solely those of the individual author(s) and contributor(s) and not of MDPI and/or the editor(s). MDPI and/or the editor(s) disclaim responsibility for any injury to people or property resulting from any ideas, methods, instructions or products referred to in the content. |
© 2024 by the authors. Licensee MDPI, Basel, Switzerland. This article is an open access article distributed under the terms and conditions of the Creative Commons Attribution (CC BY) license (https://creativecommons.org/licenses/by/4.0/).
Share and Cite
Minordi, L.M.; Sacchetti, F.; Balzano, D.; Maresca, R.; D’Angelo, F.B.; Larosa, L.; Carano, D.; Laterza, L.; Pugliese, D.; Caprino, P.; et al. Clinical, Radiological, and Surgical Risk Factors for Endoscopic Anastomotic Recurrence Following Surgery in Crohn’s Disease. J. Clin. Med. 2024, 13, 6669. https://doi.org/10.3390/jcm13226669
Minordi LM, Sacchetti F, Balzano D, Maresca R, D’Angelo FB, Larosa L, Carano D, Laterza L, Pugliese D, Caprino P, et al. Clinical, Radiological, and Surgical Risk Factors for Endoscopic Anastomotic Recurrence Following Surgery in Crohn’s Disease. Journal of Clinical Medicine. 2024; 13(22):6669. https://doi.org/10.3390/jcm13226669
Chicago/Turabian StyleMinordi, Laura Maria, Franco Sacchetti, Domenico Balzano, Rossella Maresca, Francesca Bice D’Angelo, Luigi Larosa, Davide Carano, Lucrezia Laterza, Daniela Pugliese, Paola Caprino, and et al. 2024. "Clinical, Radiological, and Surgical Risk Factors for Endoscopic Anastomotic Recurrence Following Surgery in Crohn’s Disease" Journal of Clinical Medicine 13, no. 22: 6669. https://doi.org/10.3390/jcm13226669
APA StyleMinordi, L. M., Sacchetti, F., Balzano, D., Maresca, R., D’Angelo, F. B., Larosa, L., Carano, D., Laterza, L., Pugliese, D., Caprino, P., Potenza, A. E., Scaldaferri, F., Sofo, L., & Sala, E. (2024). Clinical, Radiological, and Surgical Risk Factors for Endoscopic Anastomotic Recurrence Following Surgery in Crohn’s Disease. Journal of Clinical Medicine, 13(22), 6669. https://doi.org/10.3390/jcm13226669

