Efficiency and Complications of Esophageal Stenting in the Management of Postoperative Fistulas
Abstract
1. Introduction
2. Materials and Methods
2.1. Endoscopic Procedure
2.2. Patient and Procedure Variables
2.3. Statistical Analysis
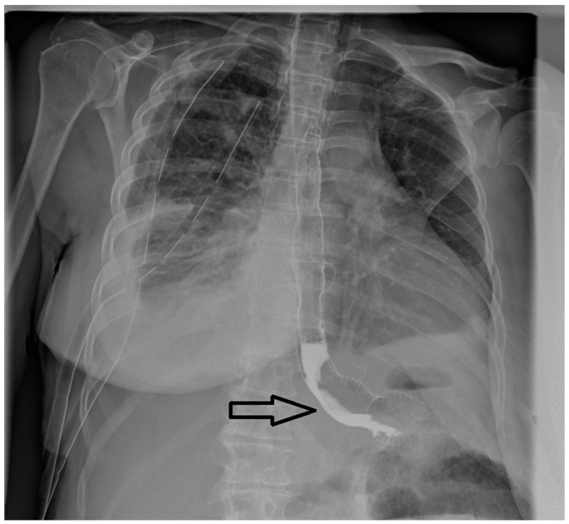
3. Results
3.1. Patient Characteristics and Surgical Outcomes
3.2. Statistical Analysis of Patients Data
4. Discussion
5. Conclusions
Author Contributions
Funding
Institutional Review Board Statement
Informed Consent Statement
Data Availability Statement
Acknowledgments
Conflicts of Interest
References
- Yuan, Y.; Wang, K.N.; Chen, L.Q. Esophageal anastomosis. Dis. Esophagus 2015, 28, 127–137. [Google Scholar] [CrossRef] [PubMed]
- Mboumi, I.W.; Reddy, S.; Lidor, A.O. Complications After Esophagectomy. Surg. Clin. N. Am. 2019, 99, 501–510. [Google Scholar] [CrossRef]
- Lerut, T.; Coosemans, W.; Decker, G.; De Leyn, P.; Nafteux, P.; Van Raemdonck, D. Anastomotic Complications after Esophagectomy. Dig. Surg. 2002, 19, 92–98. [Google Scholar] [CrossRef] [PubMed]
- Yeung, J.C. Management of Complications After Esophagectomy. Thorac. Surg. Clin. 2020, 30, 359–366. [Google Scholar] [CrossRef]
- Raymond, D. Complications of Esophagectomy. Surg. Clin. N. Am. 2012, 92, 1299–1313. [Google Scholar] [CrossRef] [PubMed]
- Carr, R.A.; Molena, D. Minimally invasive esophagectomy: Anastomotic techniques. Ann. Esophagus 2021, 4, 19. [Google Scholar] [CrossRef]
- Lam, T.C.F.; Fok, M.; Cheng, S.W.K.; Wong, J. Anastomotic complications after esophagectomy for cancer: A comparison of neck and chest anastomoses. J. Thorac. Cardiovasc. Surg. 1992, 104, 395–400. [Google Scholar] [CrossRef] [PubMed]
- Deng, L.; Li, Y.; Li, W.; Liu, M.; Xu, S.; Peng, H. Management of refractory cervical anastomotic fistula after esophagectomy using the pectoralis major myocutaneous flap. Braz. J. Otorhinolaryngol. 2022, 88, 53. [Google Scholar] [CrossRef]
- Liu, Y.N.; Yan, Y.; Li, S.J.; Liu, H.; Wu, Q.; Zhang, L.J.; Chen, J.F. Reliable management of post-esophagectomy anastomotic fistula with endoscopic trans-fistula negative pressure drainage. World J. Surg. Oncol. 2014, 12, 240. [Google Scholar] [CrossRef][Green Version]
- Fabbi, M.; Hagens, E.R.C.; Van Berge Henegouwen, M.I.; Gisbertz, S.S. Anastomotic leakage after esophagectomy for esophageal cancer: Definitions, diagnostics, and treatment. Dis. Esophagus 2021, 34, doaa039. [Google Scholar] [CrossRef]
- Jones, C.E.; Watson, T.J. Anastomotic Leakage Following Esophagectomy. Thorac. Surg. Clin. 2015, 25, 449–459. [Google Scholar] [CrossRef] [PubMed]
- Walsh, C.; Karmali, S. Endoscopic management of bariatric complications: A review and update. World J. Gastrointest. Endosc. 2015, 7, 518. [Google Scholar] [CrossRef] [PubMed]
- Rosianu, C.G.; Hoara, P.; Achim, F.; Birla, R.; Bolocan, A.; Mohssen, A.; Copca, N.; Constantinoiu, S. The Use of Esophageal Stents in the Management of Postoperative Fistulas—Current Status, Clinical Outcomes and Perspectives—Review. Life 2023, 13, 966. [Google Scholar] [CrossRef] [PubMed]
- Wang, C.; Li, C.; Yang, X.; Mao, W.; Jiang, Y.; Wu, J.; Zhao, Q.; Ji, A.; Chen, Q.; Li, H.; et al. The classification and treatment strategies of post-esophagectomy airway-gastric fistula. J. Thorac. Dis. 2020, 12, 3602. [Google Scholar] [CrossRef]
- Mitchell, J.D. Anastomotic leak after esophagectomy. Thorac. Surg. Clin. 2006, 16, 1–9. [Google Scholar] [CrossRef]
- Van Daele, E.; Van De Putte, D.; Ceelen, W.; Van Nieuwenhove, Y.; Pattyn, P. Risk factors and consequences of anastomotic leakage after Ivor Lewis oesophagectomy. Interact. Cardiovasc. Thorac. Surg. 2016, 22, 32–37. [Google Scholar] [CrossRef]
- Mine, S.; Watanabe, M.; Okamura, A.; Imamura, Y.; Kajiyama, Y.; Sano, T. Superior Thoracic Aperture Size is Significantly Associated with Cervical Anastomotic Leakage After Esophagectomy. World J. Surg. 2017, 41, 2598–2604. [Google Scholar] [CrossRef]
- Patil, P.K.; Patel, S.G.; Mistry, R.C.; Deshpande, R.K.; Desai, P.B. Cancer of the esophagus: Esophagogastric anastomotic leak—A retrospective study of predisposing factors. J. Surg. Oncol. 1992, 49, 163–167. [Google Scholar] [CrossRef]
- Li, Y.; Wang, Y.; Chen, J.; Li, Z.; Liu, J.; Zhou, X.; Ren, K.; Ren, J.; Han, X. Management of thoracogastric airway fistula after esophagectomy for esophageal cancer: A systematic literature review. J. Int. Med. Res. 2020, 48, 5. [Google Scholar] [CrossRef]
- Goense, L.; van Rossum, P.S.N.; Ruurda, J.P.; van Vulpen, M.; Mook, S.; Meijer, G.J.; van Hillegersberg, R. Radiation to the Gastric Fundus Increases the Risk of Anastomotic Leakage After Esophagectomy. Ann. Thorac. Surg. 2016, 102, 1798–1804. [Google Scholar] [CrossRef]
- Parker, E.F.; Gregorie, H.B. Combined Radiation and Surgical Treatment of Carcinoma of the Esophagus. Ann. Surg. 1965, 161, 710–718. [Google Scholar] [CrossRef] [PubMed]
- Boyd, M.; Rubio, E. The utility of stenting in the treatment of airway gastric fistula after esophagectomy for esophageal cancer. J. Bronchol. Interv. Pulmonol. 2012, 19, 232–236. [Google Scholar] [CrossRef] [PubMed]
- Okita, R.; Mukaida, H.; Takiyama, W.; Oheda, M.; Uchida, N.; Ishihara, H. Successful Surgical Treatment of Aortoesophageal Fistula After Esophagectomy. Ann. Thorac. Surg. 2005, 79, 1059–1061. [Google Scholar] [CrossRef] [PubMed]
- Lantos, J.E.; Levine, M.S.; Rubesin, S.E.; Lau, C.T.; Torigian, D.A. Comparison between esophagography and chest computed tomography for evaluation of leaks after esophagectomy and gastric pull-through. J. Thorac. Imaging 2013, 28, 121–128. [Google Scholar] [CrossRef] [PubMed]
- Barbaro, A.; Eldredge, T.A.; Shenfine, J. Diagnosing anastomotic leak post-esophagectomy: A systematic review. Dis. Esophagus 2021, 34, doaa076. [Google Scholar] [CrossRef]
- Hu, Z.; Yin, R.; Fan, X.; Zhang, Q.; Feng, C.; Yuan, F.; Chen, J.; Jiang, F.; Li, N.; Xu, L. Treatment of intrathoracic anastomotic leak by nose fistula tube drainage after esophagectomy for cancer. Dis. Esophagus 2011, 24, 100–107. [Google Scholar] [CrossRef]
- Basendowah, N.S. Different Types of Management for Anastomotic Leak Post Esophagectomy. Cureus 2023, 15, e48404. [Google Scholar] [CrossRef]
- Schaheen, L.; Blackmon, S.H.; Nason, K.S. Optimal approach to the management of intrathoracic esophageal leak following esophagectomy: A systematic review. Am. J. Surg. 2014, 208, 536–543. [Google Scholar] [CrossRef]
- Van Boeckel, P.G.A.; Sijbring, A.; Vleggaar, F.P.; Siersema, P.D. Systematic review: Temporary stent placement for benign rupture or anastomotic leak of the oesophagus. Aliment. Pharmacol. Ther. 2011, 33, 1292–1301. [Google Scholar] [CrossRef]
- Okamoto, K.; Ninomiya, I.; Fujiwara, Y.; Mochizuki, I.; Aoki, T.; Yamaguchi, T.; Terai, S.; Nakanuma, S.; Kinoshita, J.; Makino, I.; et al. Use of esophageal stent for the treatment of postoperative gastrointestinal–airway fistula after esophagectomy. Esophagus 2019, 16, 413–417. [Google Scholar] [CrossRef]
- van Boeckel, P.G.A.; Dua, K.S.; Weusten, B.L.; Schmits, R.J.; Surapaneni, N.; Timmer, R.; Vleggaar, F.P.; Siersema, P.D. Fully covered self-expandable metal stents (SEMS), partially covered SEMS and self-expandable plastic stents for the treatment of benign esophageal ruptures and anastomotic leaks. BMC Gastroenterol. 2012, 12, 19. [Google Scholar] [CrossRef]
- Zheng, B.; Zeng, T.; Yang, H.; Leng, X.; Yuan, Y.; Dai, L.; Guo, X.; Zheng, Y.; Chen, M.; Zheng, K.; et al. The clinical characteristics, treatments and prognosis of post-esophagectomy airway fistula: A multicenter cohort study. Transl. Lung Cancer Res. 2022, 11, 331–341. [Google Scholar] [CrossRef] [PubMed]
- Yamana, I.; Takeno, S.; Yamada, T.; Sato, K.; Hashimoto, T.; Yamashita, Y. The Risk Factors for Refractory Fistula after Esophagectomy with Gastric Tube Reconstruction in Patients with Esophageal Cancer. Dig. Surg. 2017, 34, 18–24. [Google Scholar] [CrossRef] [PubMed]
- Marty-Ané, C.H.; Prudhome, M.; Fabre, J.M.; Domergue, J.; Balmes, M.; Mary, H. Tacheoesophagogastric anastomosis fistula: A rare complication of esophagectomy. Ann. Thorac. Surg. 1995, 60, 690–693. [Google Scholar] [CrossRef] [PubMed]
- R Project. The R Project for Statistical Computing. 2024. Available online: https://www.r-project.org/ (accessed on 24 July 2024).
- Catalog of Bias. Positive Results Bias. 2017. Available online: https://catalogofbias.org/biases/positive-results-bias/ (accessed on 24 July 2024).
- Freeman, R.K.; Ascioti, A.J.; Giannini, T.; Mahidhara, R.J. Analysis of unsuccessful esophageal stent placements for esophageal perforation, fistula, or anastomotic leak. Ann. Thorac. Surg. 2012, 94, 959–965. [Google Scholar] [CrossRef] [PubMed]
- Gonzalez, J.M.; Servajean, C.; Aider, B.; Gasmi, M.; D’Journo, X.B.; Leone, M.; Grimaud, J.C.; Barthet, M. Efficacy of the endoscopic management of postoperative fistulas of leakages after esophageal surgery for cancer: A retrospective series. Surg. Endosc. 2016, 30, 4895–4903. [Google Scholar] [CrossRef]
- Blewett, C.J.; Miller, J.D.; Young, J.E.; Bennett, W.F.; Urschel, J.D. Anastomotic leaks after esophagectomy for esophageal cancer: A comparison of thoracic and cervical anastomoses. Ann. Thorac. Cardiovasc. Surg 2001, 7, 8. [Google Scholar]
- Dai, Y.Y.; Gretschel, S.; Dudeck, O.; Rau, B.; Schlag, P.M.; Hünerbein, M. Treatment of oesophageal anastomotic leaks by temporary stenting with self-expanding plastic stents. Br. J. Surg. 2009, 96, 887–891. [Google Scholar] [CrossRef]
- You, J.; Zhang, H.; Li, W.; Dai, N.; Lu, B.; Ji, Z.; Zhuang, H.; Zheng, Z. Intrathoracic versus cervical anastomosis in esophagectomy for esophageal cancer: A meta-analysis of randomized controlled trials. Surgery 2022, 172, 575–583. [Google Scholar] [CrossRef]
- Gronnier, C.; Trechot, B.; Duhamel, A.; Mabrut, J.Y.; Bail, J.P.; Carrere, N.; Lefevre, J.H.; Brigand, C.; Vaillant, J.C.; Adham, M.; et al. Impact of neoadjuvant chemoradiotherapy on postoperative outcomes after esophageal cancer resection results of a european multicenter study. Ann. Surg. 2014, 260, 764–771. [Google Scholar] [CrossRef]
- Nederlof, N.; Slaman, A.E.; van Hagen, P.; van der Gaast, A.; Slankamenac, K.; Gisbertz, S.S.; van Lanschot, J.J.; Wijnhoven, B.P.; van Berge Henegouwen, M.I. Using the Comprehensive Complication Index to Assess the Impact of Neoadjuvant Chemoradiotherapy on Complication Severity After Esophagectomy for Cancer. Ann. Surg. Oncol. 2016, 23, 3964–3971. [Google Scholar] [CrossRef] [PubMed]
- Doty, J.R.; Salazar, J.D.; Forastiere, A.A.; Heath, E.I.; Kleinberg, L.; Heitmiller, R.F. Postesophagectomy morbidity, mortality, and length of hospital stay after preoperative chemoradiation therapy. Ann. Thorac. Surg. 2002, 74, 227–231. [Google Scholar] [CrossRef] [PubMed]





| Patient Characteristics | N | % |
|---|---|---|
| Sex | ||
| Male | 36 | 65 |
| Female | 19 | 35 |
| Age | ||
| Min | 41 | |
| Median | 58 | |
| Max | 80 | |
| Presurgical radiotherapy | ||
| Yes | 30 | 55 |
| No | 25 | 45 |
| Presurgical chemotherapy | ||
| Yes | 50 | 91 |
| No | 5 | 9 |
| Pre-stenting dysphagia | ||
| Yes | 19 | 35 |
| No | 36 | 65 |
| Comorbidities | ||
| Yes | 45 | 82 |
| No | 10 | 18 |
| Diabetes mellitus | ||
| Yes | 14 | 25 |
| No | 41 | 75 |
| Hypertension | ||
| Yes | 34 | 62 |
| No | 21 | 38 |
| Hypoalbuminemia | ||
| Yes | 17 | 31 |
| No | 38 | 69 |
| Anemia | ||
| Yes | 33 | 60 |
| No | 22 | 40 |
| Hyperglycemia | ||
| Yes | 8 | 15 |
| No | 47 | 85 |
| Smoker | ||
| Yes | 40 | 73 |
| No | 15 | 27 |
| Alcohol consumption | ||
| Yes | 33 | 60 |
| No | 22 | 40 |
| BMI [kg/m2] | ||
| Min | 19.6 | |
| Median | 22.7 | |
| Max | 27.7 | |
| Tumor type | ||
| Adenocarcinoma | 46 | 84 |
| Squamous cell carcinoma | 9 | 16 |
| Cancer stage | ||
| II | 17 | 31 |
| III | 34 | 62 |
| IV | 4 | 7 |
| Tumor diameter (cm) | ||
| Min | 2 | |
| Median | 3 | |
| Max | 4 | |
| Surgical Outcomes | n | % |
|---|---|---|
| Surgery technique | ||
| Ivor Lewis (Eso-gastric) | 17 | 29 |
| McKeown (Eso-gastric cervical) | 4 | 7 |
| Gastrectomy with esophagojejunostomy (Eso-jejunal) | 34 | 64 |
| Fistula size (mm) | ||
| Min | 6 | |
| Median | 8 | |
| Max | 20 | |
| Fistula location | ||
| Eso gastric | 17 | 31 |
| Eso-gastric cervical | 4 | 7 |
| Eso-jejunal | 34 | 62 |
| Stent size (mm) | ||
| 16/100 | 4 | 7 |
| 22/120 | 5 | 9 |
| 24/120 | 32 | 58 |
| 36/140 | 14 | 25 |
| Mediastinitis | ||
| Yes | 12 | 22 |
| No | 43 | 78 |
| Postprocedural survival | ||
| Yes | 52 | 95 |
| No | 3 | 5 |
| Fistula closure rate | 54 | 98 |
| After first stent | 50 | 91 |
| After second stent | 4 | 7 |
| Average hospital stay by anastomosis (days) | 11.7 | |
| Eso-gastric | 19.1 | |
| Eso-gastric cervical | 4.5 | |
| Eso-jejunal | 8.9 | |
Disclaimer/Publisher’s Note: The statements, opinions and data contained in all publications are solely those of the individual author(s) and contributor(s) and not of MDPI and/or the editor(s). MDPI and/or the editor(s) disclaim responsibility for any injury to people or property resulting from any ideas, methods, instructions or products referred to in the content. |
© 2024 by the authors. Licensee MDPI, Basel, Switzerland. This article is an open access article distributed under the terms and conditions of the Creative Commons Attribution (CC BY) license (https://creativecommons.org/licenses/by/4.0/).
Share and Cite
Rosianu, C.G.; Pușcașu, A.; Hoara, P.; Predescu, D.; Birla, R.; Achim, F.; Strimbu, V.C.; Constantinoiu, S.; Andronic, O.; Constantinescu, A. Efficiency and Complications of Esophageal Stenting in the Management of Postoperative Fistulas. J. Clin. Med. 2024, 13, 6167. https://doi.org/10.3390/jcm13206167
Rosianu CG, Pușcașu A, Hoara P, Predescu D, Birla R, Achim F, Strimbu VC, Constantinoiu S, Andronic O, Constantinescu A. Efficiency and Complications of Esophageal Stenting in the Management of Postoperative Fistulas. Journal of Clinical Medicine. 2024; 13(20):6167. https://doi.org/10.3390/jcm13206167
Chicago/Turabian StyleRosianu, Cristian Gelu, Andreea Pușcașu, Petre Hoara, Dragos Predescu, Rodica Birla, Florin Achim, Vlad Codrut Strimbu, Silviu Constantinoiu, Octavian Andronic, and Alexandru Constantinescu. 2024. "Efficiency and Complications of Esophageal Stenting in the Management of Postoperative Fistulas" Journal of Clinical Medicine 13, no. 20: 6167. https://doi.org/10.3390/jcm13206167
APA StyleRosianu, C. G., Pușcașu, A., Hoara, P., Predescu, D., Birla, R., Achim, F., Strimbu, V. C., Constantinoiu, S., Andronic, O., & Constantinescu, A. (2024). Efficiency and Complications of Esophageal Stenting in the Management of Postoperative Fistulas. Journal of Clinical Medicine, 13(20), 6167. https://doi.org/10.3390/jcm13206167

