The Potential Benefit of a Novel Urine Biosensor Platform for Lung Cancer Detection in the Decision-Making Process: From the Bench to the Bedside
Abstract
1. Introduction
2. Methods
2.1. Biosensor Characteristics and Qualification
2.2. The Biosensor Platform (BSP)
2.3. BS Performance Analysis
2.4. Urine Sample Preparation
2.5. Clinical Data
3. Results
3.1. The Patient That Cannot Undergo Biopsy
3.2. The High-Risk Patient with a Prior Negative Lung Biopsy
4. Discussion
5. Conclusions
Author Contributions
Funding
Institutional Review Board Statement
Informed Consent Statement
Data Availability Statement
Conflicts of Interest
References
- National Lung Screening Trial Research Team; Aberle, D.R.; Adams, A.M.; Berg, C.D.; Black, W.C.; Clapp, J.D.; Fagerstrom, R.M.; Gareen, I.F.; Gatsonis, C.; Marcus, P.M.; et al. Reduced Lung-Cancer Mortality with Low-Dose Computed Tomographic Screening. N. Engl. J. Med. 2011, 365, 395–409. [Google Scholar] [CrossRef] [PubMed]
- de Koning, H.J.; van der Aalst, C.M.; de Jong, P.A.; Scholten, E.T.; Nackaerts, K.; Heuvelmans, M.A.; Lammers, J.-W.J.; Weenink, C.; Yousaf-Khan, U.; Horeweg, N.; et al. Reduced Lung-Cancer Mortality with Volume CT Screening in a Randomized Trial. N. Engl. J. Med. 2020, 382, 503–513. [Google Scholar] [CrossRef] [PubMed]
- Liu, Y.; Pan, I.-W.E.; Tak, H.J.; Vlahos, I.; Volk, R.; Shih, Y.-C.T. Assessment of Uptake Appropriateness of Computed Tomography for Lung Cancer Screening According to Patients Meeting Eligibility Criteria of the US Preventive Services Task Force. JAMA Netw. Open 2022, 5, e2243163. [Google Scholar] [CrossRef] [PubMed]
- NCCN Guidelines for Patients: Lung Cancer Screening. 2023. Available online: https://www.nccn.org/patients/guidelines/content/PDF/lung_screening-patient.pdf (accessed on 1 October 2024).
- NCCN Lung Cacner Screening Guidelines V2.2024. Available online: https://www.nccn.org/guidelines/guidelines-detail?category=2&id=1441 (accessed on 1 October 2024).
- Lopez-Olivo, M.A.; Maki, K.G.; Choi, N.J.; Hoffman, R.M.; Shih, Y.-C.T.; Lowenstein, L.M.; Hicklen, R.S.; Volk, R.J. Patient Adherence to Screening for Lung Cancer in the US: A Systematic Review and Meta-Analysis. JAMA Netw. Open 2020, 3, e2025102. [Google Scholar] [CrossRef]
- Wang, G.X.; Baggett, T.P.; Pandharipande, P.V.; Park, E.R.; Percac-Lima, S.; Shepard, J.-A.O.; Fintelmann, F.J.; Flores, E.J. Barriers to Lung Cancer Screening Engagement from the Patient and Provider Perspective. Radiology 2019, 290, 278–287. [Google Scholar] [CrossRef]
- Toumazis, I.; Bastani, M.; Han, S.S.; Plevritis, S.K. Risk-Based Lung Cancer Screening: A Systematic Review. Lung Cancer 2020, 147, 154–186. [Google Scholar] [CrossRef]
- Mazzone, P.J.; Silvestri, G.A.; Patel, S.; Kanne, J.P.; Kinsinger, L.S.; Wiener, R.S.; Soo Hoo, G.; Detterbeck, F.C. Screening for Lung Cancer: CHEST Guideline and Expert Panel Report. Chest 2018, 153, 954–985. [Google Scholar] [CrossRef]
- Grannis, F.W., Jr. Minimizing Over-Diagnosis in Lung Cancer Screening. J. Surg. Oncol. 2013, 108, 289–293. [Google Scholar] [CrossRef]
- Fukunaga, M.I.; Halligan, K.; Kodela, J.; Toomey, S.; Furtado, V.F.; Luckmann, R.; Han, P.K.J.; Mazor, K.M.; Singh, S. Tools to Promote Shared Decision-Making in Lung Cancer Screening Using Low-Dose CT Scanning: A Systematic Review. Chest 2020, 158, 2646–2657. [Google Scholar] [CrossRef]
- Klein, E.A.; Richards, D.; Cohn, A.; Tummala, M.; Lapham, R.; Cosgrove, D.; Chung, G.; Clement, J.; Gao, J.; Hunkapiller, N.; et al. Clinical Validation of a Targeted Methylation-Based Multi-Cancer Early Detection Test Using an Independent Validation Set. Ann. Oncol. 2021, 32, 1167–1177. [Google Scholar] [CrossRef]
- Forum of International Respiratory Societies. 2021. Available online: https://www.thoracic.org/about/global-public-health/firs/resources/world-lung-cancer-day-fact-sheet-2021.pdf (accessed on 1 October 2024).
- Wu, Z.; Wang, F.; Cao, W.; Qin, C.; Dong, X.; Yang, Z.; Zheng, Y.; Luo, Z.; Zhao, L.; Yu, Y.; et al. Lung Cancer Risk Prediction Models Based on Pulmonary Nodules: A Systematic Review. Thorac. Cancer 2022, 13, 664–677. [Google Scholar] [CrossRef] [PubMed]
- Adams, S.J.; Stone, E.; Baldwin, D.R.; Vliegenthart, R.; Lee, P.; Fintelmann, F.J. Lung Cancer Screening. Lancet 2023, 401, 390–408. [Google Scholar] [CrossRef] [PubMed]
- Nooreldeen, R.; Bach, H. Current and Future Development in Lung Cancer Diagnosis. Int. J. Mol. Sci. 2021, 22, 8661. [Google Scholar] [CrossRef] [PubMed]
- Roointan, A.; Ahmad Mir, T.; Ibrahim Wani, S.; Mati-ur-Rehman; Hussain, K.K.; Ahmed, B.; Abrahim, S.; Savardashtaki, A.; Gandomani, G.; Gandomani, M.; et al. Early Detection of Lung Cancer Biomarkers through Biosensor Technology: A Review. J. Pharm. Biomed. Anal. 2019, 164, 93–103. [Google Scholar] [CrossRef]
- Sun, X.; Shao, K.; Wang, T. Detection of Volatile Organic Compounds (VOCs) from Exhaled Breath as Noninvasive Methods for Cancer Diagnosis. Anal. Bioanal. Chem. 2016, 408, 2759–2780. [Google Scholar] [CrossRef]
- Wen, Q.; Boshier, P.; Myridakis, A.; Belluomo, I.; Hanna, G.B. Urinary Volatile Organic Compound Analysis for the Diagnosis of Cancer: A Systematic Literature Review and Quality Assessment. Metabolites 2020, 11, 17. [Google Scholar] [CrossRef]
- da Costa, B.R.B.; De Martinis, B.S. Analysis of Urinary VOCs Using Mass Spectrometric Methods to Diagnose Cancer: A Review. Clin. Mass. Spectrom. 2020, 18, 27–37. [Google Scholar] [CrossRef]
- Silva, C.L.; Passos, M.; Câmara, J.S. Investigation of Urinary Volatile Organic Metabolites as Potential Cancer Biomarkers by Solid-Phase Microextraction in Combination with Gas Chromatography-Mass Spectrometry. Br. J. Cancer 2011, 105, 1894–1904. [Google Scholar] [CrossRef]
- Gao, Q.; Su, X.; Annabi, M.H.; Schreiter, B.R.; Prince, T.; Ackerman, A.; Morgas, S.; Mata, V.; Williams, H.; Lee, W.-Y. Application of Urinary Volatile Organic Compounds (VOCs) for the Diagnosis of Prostate Cancer. Clin. Genitourin. Cancer 2019, 17, 183–190. [Google Scholar] [CrossRef]
- Arasaradnam, R.P.; McFarlane, M.J.; Ryan-Fisher, C.; Westenbrink, E.; Hodges, P.; Thomas, M.G.; Chambers, S.; O’Connell, N.; Bailey, C.; Harmston, C.; et al. Detection of Colorectal Cancer (CRC) by Urinary Volatile Organic Compound Analysis. PLoS ONE 2014, 9, e108750. [Google Scholar] [CrossRef]
- Khalid, T.; Aggio, R.; White, P.; Costello, B.D.L.; Persad, R.; Al-Kateb, H.; Jones, P.; Probert, C.S.; Ratcliffe, N. Urinary Volatile Organic Compounds for the Detection of Prostate Cancer. PLoS ONE 2015, 10, e0143283. [Google Scholar] [CrossRef] [PubMed]
- Chen, X.; Xu, F.; Wang, Y.; Pan, Y.; Lu, D.; Wang, P.; Ying, K.; Chen, E.; Zhang, W. A Study of the Volatile Organic Compounds Exhaled by Lung Cancer Cells in Vitro for Breath Diagnosis. Cancer 2007, 110, 835–844. [Google Scholar] [CrossRef] [PubMed]
- Song, G.; Qin, T.; Liu, H.; Xu, G.-B.; Pan, Y.-Y.; Xiong, F.-X.; Gu, K.-S.; Sun, G.-P.; Chen, Z.-D. Quantitative Breath Analysis of Volatile Organic Compounds of Lung Cancer Patients. Lung Cancer 2010, 67, 227–231. [Google Scholar] [CrossRef] [PubMed]
- Schallschmidt, K.; Becker, R.; Jung, C.; Bremser, W.; Walles, T.; Neudecker, J.; Leschber, G.; Frese, S.; Nehls, I. Comparison of Volatile Organic Compounds from Lung Cancer Patients and Healthy Controls-Challenges and Limitations of an Observational Study. J. Breath. Res. 2016, 10, 046007. [Google Scholar] [CrossRef] [PubMed]
- Hanai, Y.; Shimono, K.; Oka, H.; Baba, Y.; Yamazaki, K.; Beauchamp, G.K. Analysis of Volatile Organic Compounds Released from Human Lung Cancer Cells and from the Urine of Tumor-Bearing Mice. Cancer Cell Int. 2012, 12, 7. [Google Scholar] [CrossRef]
- Buszewski, B.; Ligor, T.; Jezierski, T.; Wenda-Piesik, A.; Walczak, M.; Rudnicka, J. Identification of Volatile Lung Cancer Markers by Gas Chromatography–Mass Spectrometry: Comparison with Discrimination by Canines. Anal. Bioanal. Chem. 2012, 404, 141–146. [Google Scholar] [CrossRef]
- Balseiro, S.C.; Correia, H.R. Is Olfactory Detection of Human Cancer by Dogs Based on Major Histocompatibility Complex-Dependent Odour Components?—A Possible Cure and a Precocious Diagnosis of Cancer. Med. Hypotheses 2006, 66, 270–272. [Google Scholar] [CrossRef]
- McCulloch, M.; Jezierski, T.; Broffman, M.; Hubbard, A.; Turner, K.; Janecki, T. Diagnostic Accuracy of Canine Scent Detection in Early- and Late-Stage Lung and Breast Cancers. Integr. Cancer Ther. 2006, 5, 30–39. [Google Scholar] [CrossRef]
- Ehmann, R.; Boedeker, E.; Friedrich, U.; Sagert, J.; Dippon, J.; Friedel, G.; Walles, T. Canine Scent Detection in the Diagnosis of Lung Cancer: Revisiting a Puzzling Phenomenon. Eur. Respir. J. 2012, 39, 669–676. [Google Scholar] [CrossRef]
- Pomerantz, A.; Blachman-Braun, R.; Galnares-Olalde, J.A.; Berebichez-Fridman, R.; Capurso-García, M. The Possibility of Inventing New Technologies in the Detection of Cancer by Applying Elements of the Canine Olfactory Apparatus. Med. Hypotheses 2015, 85, 160–172. [Google Scholar] [CrossRef]
- Pirrone, F.; Albertini, M. Olfactory Detection of Cancer by Trained Sniffer Dogs: A Systematic Review of the Literature. J. Vet. Behav. 2017, 19, 105–117. [Google Scholar] [CrossRef]
- Becker, R. Non-Invasive Cancer Detection Using Volatile Biomarkers: Is Urine Superior to Breath? Med. Hypotheses 2020, 143, 110060. [Google Scholar] [CrossRef]
- Wiesel, O.; Sung, S.-W.; Katz, A.; Leibowitz, R.; Bar, J.; Kamer, I.; Berger, I.; Nir-Ziv, I.; Mark Danieli, M. A Novel Urine Test Biosensor Platform for Early Lung Cancer Detection. Biosensors 2023, 13, 627. [Google Scholar] [CrossRef] [PubMed]
- Edwards, T.L.; Browne, C.M.; Schoon, A.; Cox, C.; Poling, A. Animal Olfactory Detection of Human Diseases: Guidelines and Systematic Review. J. Vet. Behav. 2017, 20, 59–73. [Google Scholar] [CrossRef]
- American Veterinary Medical Association Animal Welfare Standards. Available online: https://www.avma.org/resources-tools/animal-health-and-welfare/animal-welfareNCT05306288 (accessed on 1 October 2024).
- US Preventive Services Task Force. Screening for Lung Cancer: US Preventive Services Task Force Recommendation Statement. JAMA 2021, 325, 962–970. [Google Scholar] [CrossRef]
- Detterbeck, F.C.; Mazzone, P.J.; Naidich, D.P.; Bach, P.B. Screening for Lung Cancer: Diagnosis and Management of Lung Cancer, 3rd Ed: American College of Chest Physicians Evidence-Based Clinical Practice Guidelines. CHEST 2013, 143, e78S–e92S. [Google Scholar] [CrossRef]
- Vansteenkiste, J.; Crinò, L.; Dooms, C.; Douillard, J.Y.; Faivre-Finn, C.; Lim, E.; Rocco, G.; Senan, S.; Van Schil, P.; Veronesi, G.; et al. 2nd ESMO Consensus Conference on Lung Cancer: Early-Stage Non-Small-Cell Lung Cancer Consensus on Diagnosis, Treatment and Follow-Up. Ann. Oncol. 2014, 25, 1462–1474. [Google Scholar] [CrossRef]
- Smith, R.A.; Brooks, D.; Cokkinides, V.; Saslow, D.; Brawley, O.W. Cancer Screening in the United States, 2013: A Review of Current American Cancer Society Guidelines, Current Issues in Cancer Screening, and New Guidance on Cervical Cancer Screening and Lung Cancer Screening. CA Cancer J. Clin. 2013, 63, 88–105. [Google Scholar] [CrossRef]
- Kunitomo, Y.; Bade, B.; Gunderson, C.G.; Akgün, K.M.; Brackett, A.; Tanoue, L.; Bastian, L.A. Evidence of Racial Disparities in the Lung Cancer Screening Process: A Systematic Review and Meta-Analysis. J. Gen. Intern. Med. 2022, 37, 3731–3738. [Google Scholar] [CrossRef] [PubMed]
- Senthil, P.; Kuhan, S.; Potter, A.L.; Jeffrey Yang, C.-F. Update on Lung Cancer Screening Guideline. Thorac. Surg. Clin. 2023, 33, 323–331. [Google Scholar] [CrossRef]
- Dezube, A.R.; Jaklitsch, M.T. New Evidence Supporting Lung Cancer Screening with Low Dose CT & Surgical Implications. Eur. J. Surg. Oncol. 2020, 46, 982–990. [Google Scholar] [CrossRef]
- Lancaster, H.L.; Heuvelmans, M.A.; Oudkerk, M. Low-Dose Computed Tomography Lung Cancer Screening: Clinical Evidence and Implementation Research. J. Intern. Med. 2022, 292, 68–80. [Google Scholar] [CrossRef]
- Mott, T.F. Lung Cancer: Management. FP Essent. 2018, 464, 27–30. [Google Scholar]
- Hasson, R.M.; Bridges, C.J.; Curley, R.J.; Erhunmwunsee, L. Access to Lung Cancer Screening. Thorac. Surg. Clin. 2023, 33, 353–363. [Google Scholar] [CrossRef]
- Mazzone, P.J.; Silvestri, G.A.; Souter, L.H.; Caverly, T.J.; Kanne, J.P.; Katki, H.A.; Wiener, R.S.; Detterbeck, F.C. Screening for Lung Cancer. Chest 2021, 160, e427–e494. [Google Scholar] [CrossRef] [PubMed]
- Oudkerk, M.; Devaraj, A.; Vliegenthart, R.; Henzler, T.; Prosch, H.; Heussel, C.P.; Bastarrika, G.; Sverzellati, N.; Mascalchi, M.; Delorme, S.; et al. European Position Statement on Lung Cancer Screening. Lancet Oncol 2017, 18, e754–e766. [Google Scholar] [CrossRef] [PubMed]
- Smith, R.A.; Andrews, K.S.; Brooks, D.; Fedewa, S.A.; Manassaram-Baptiste, D.; Saslow, D.; Wender, R.C. Cancer Screening in the United States, 2019: A Review of Current American Cancer Society Guidelines and Current Issues in Cancer Screening. CA A Cancer J. Clin. 2019, 69, 184–210. [Google Scholar] [CrossRef] [PubMed]
- Susai, C.J.; Velotta, J.B.; Sakoda, L.C. Clinical Adjuncts to Lung Cancer Screening: A Narrative Review. Thorac. Surg. Clin. 2023, 33, 421–432. [Google Scholar] [CrossRef] [PubMed]
- Mathios, D.; Johansen, J.S.; Cristiano, S.; Medina, J.E.; Phallen, J.; Larsen, K.R.; Bruhm, D.C.; Niknafs, N.; Ferreira, L.; Adleff, V.; et al. Detection and Characterization of Lung Cancer Using Cell-Free DNA Fragmentomes. Nat. Commun. 2021, 12, 5060. [Google Scholar] [CrossRef]
- Delfi Diagnostics Inc. CASCADE-LUNG: Cancer Screening Assay Using DELFI.; A Clinical Validation Study in Lung; Clinical trial Registration NCT05306288; clinicaltrials.gov, 2024. Available online: https://clinicaltrials.gov/study/NCT05306288 (accessed on 1 January 2024).
- Montani, F.; Marzi, M.J.; Dezi, F.; Dama, E.; Carletti, R.M.; Bonizzi, G.; Bertolotti, R.; Bellomi, M.; Rampinelli, C.; Maisonneuve, P.; et al. miR-Test: A Blood Test for Lung Cancer Early Detection. J. Natl. Cancer Inst. 2015, 107, djv063. [Google Scholar] [CrossRef]
- Sozzi, G.; Boeri, M.; Rossi, M.; Verri, C.; Suatoni, P.; Bravi, F.; Roz, L.; Conte, D.; Grassi, M.; Sverzellati, N.; et al. Clinical Utility of a Plasma-Based miRNA Signature Classifier Within Computed Tomography Lung Cancer Screening: A Correlative MILD Trial Study. J. Clin. Oncol. 2014, 32, 768–773. [Google Scholar] [CrossRef]
- Meyer, M.G.; Hayenga, J.; Neumann, T.; Katdare, R.; Presley, C.; Steinhauer, D.; Bell, T.; Lancaster, C.; Nelson, A.C. The Cell-CT 3D Cell Imaging Technology Platform Enables the Detection of Lung Cancer Using the Non-Invasive LuCED Sputum Test. Cancer Cytopathol. 2015, 123, 512–523. [Google Scholar] [CrossRef]
- Adams, S.J.; Topol, E.J. Rebooting Cancer Screening with Artificial Intelligence. Lancet 2023, 402, 440. [Google Scholar] [CrossRef] [PubMed]
- Wang, L. Early Diagnosis of Breast Cancer. Sensors 2017, 17, 1572. [Google Scholar] [CrossRef] [PubMed]

| Identify pre-invasive lesions not identified on CT scans. |
| Pre-screen population to better utilize health care costs. |
| Confirm findings on LDCT and screening scans. |
| Identify populations at risk. |
| Identify suspicious nodules in endemic infection areas. |
| Post-operative follow-up and early diagnosis of recurrent disease. |
| Problem | Barrier | Potential Benefit Using BSP | Comments |
|---|---|---|---|
| Fear of unnecessary radiation exposure | Adherence—patients | Easy to perform, non-invasive, cheap | Can be integrated in other screening protocols |
| Complex referral pathways | Adherence—physicians | Easy to perform, cheap | Can be integrated in other screening protocols |
| Poor countries or communities | Utilization of resources | Cheap, can be integrated with other tests | Area with limited resources for LCS programs |
| Special populations—sick, elderly | Decision making | Can help in complex clinical decisions and borderline patients | Alternative treatments, potential candidates for research protocols |
| Complex nodules to biopsy | Decision making | Can help in complex clinical decisions and borderline patients | Can define risk benefit for biopsies in high-risk patients |
| Endemic regions with pulmonary nodules | Diagnostic protocols | Define population for further work-up (biopsy, etc.) | |
| Post-resection or treatment for lung cancer | Diagnostic protocols | Easy to perform, cheep, non-invasive | Early detection of metastases or recurrence |
| Case | What Is the Problem | Performed Procedures | How the BSP Could Change Management |
|---|---|---|---|
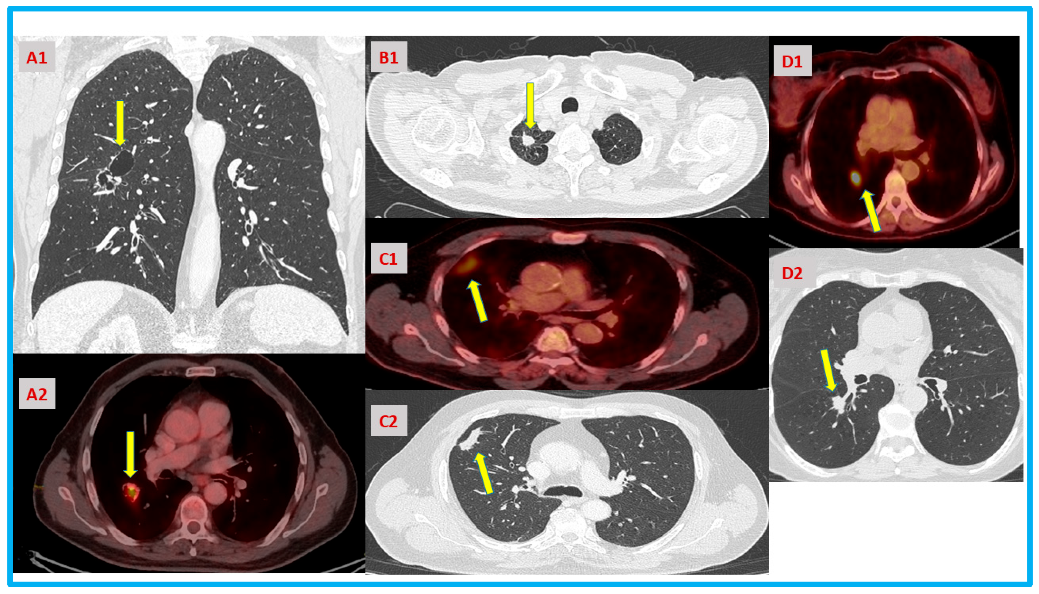
| A | Cavitation with solid component that is not amenable for biopsy would need large resection. Elderly high-risk patient with a limited pulmonary reserve. | Bronchoalveolar lavage. | Validated positive result would help with shared decision making and avoid delay prior to surgery. |
| B | >3 cm lung mass in high-risk patient, not amenable for biopsy. | Patient request to postpone surgery for additional imaging. Later agreed for SBRT. | Validated positive result might help with shared decision making and avoid delay for definitive treatment. |
| C | Persistent consolidation in high-risk patient with negative biopsy. | Needle biopsy, follow-up repeated scans at 3,6 months. Delayed surgery finally. | Validated positive result would prompt earlier surgical intervention. Might avoid stage migration and adjuvant chemotherapy. |
| D | Borderline pulmonary function tests for lobectomy in high-risk patient for both lobectomy and SBRT. | EBUS, navigation bronchoscopy. Offered surgical resection. | Validated positive result would prompt earlier surgical resection. Would help in discussing the risks vs. benefits of surgery vs. SBRT with the patient. |
| E | Enlarging pulmonary nodule in previous hematologic cancer patient with additional tiny nodules. | Needle biopsy ×2. | Validated positive result would avoid second biopsy and prompt earlier surgical resection for definitive treatment. |
Disclaimer/Publisher’s Note: The statements, opinions and data contained in all publications are solely those of the individual author(s) and contributor(s) and not of MDPI and/or the editor(s). MDPI and/or the editor(s) disclaim responsibility for any injury to people or property resulting from any ideas, methods, instructions or products referred to in the content. |
© 2024 by the authors. Licensee MDPI, Basel, Switzerland. This article is an open access article distributed under the terms and conditions of the Creative Commons Attribution (CC BY) license (https://creativecommons.org/licenses/by/4.0/).
Share and Cite
Wiesel, O.; Suharev, T.; Awad, A.; Abzah, L.; Laser-Azogui, A.; Mark Danieli, M. The Potential Benefit of a Novel Urine Biosensor Platform for Lung Cancer Detection in the Decision-Making Process: From the Bench to the Bedside. J. Clin. Med. 2024, 13, 6164. https://doi.org/10.3390/jcm13206164
Wiesel O, Suharev T, Awad A, Abzah L, Laser-Azogui A, Mark Danieli M. The Potential Benefit of a Novel Urine Biosensor Platform for Lung Cancer Detection in the Decision-Making Process: From the Bench to the Bedside. Journal of Clinical Medicine. 2024; 13(20):6164. https://doi.org/10.3390/jcm13206164
Chicago/Turabian StyleWiesel, Ory, Tatiyana Suharev, Alaa Awad, Lina Abzah, Adi Laser-Azogui, and Michal Mark Danieli. 2024. "The Potential Benefit of a Novel Urine Biosensor Platform for Lung Cancer Detection in the Decision-Making Process: From the Bench to the Bedside" Journal of Clinical Medicine 13, no. 20: 6164. https://doi.org/10.3390/jcm13206164
APA StyleWiesel, O., Suharev, T., Awad, A., Abzah, L., Laser-Azogui, A., & Mark Danieli, M. (2024). The Potential Benefit of a Novel Urine Biosensor Platform for Lung Cancer Detection in the Decision-Making Process: From the Bench to the Bedside. Journal of Clinical Medicine, 13(20), 6164. https://doi.org/10.3390/jcm13206164

