A Retrospective Evaluation of 5 Years of Clinical Results of Metal–Ceramic vs. Monolithic Zirconia Superstructures in Maxillary All-on-4TM Concept
Abstract
1. Introduction
2. Materials and Methods
2.1. Study Design
- Natural dentition or tooth/implant supported fixed prosthetics of the mandible;
- Regular attendance of dental recall appointments with intervals of 6 months (according to local regulations [9], irregular attendance during the COVID-19 time was ignored).
- Uncontrolled general diseases and/or having possible local and/or systemic contraindications for implant surgery;
- Neurological diseases impairing maintenance of oral hygiene, medications negatively affecting the implant healing processes (antiresorptive, corticosteroids, serotonin reuptake inhibitors, etc.);
- The history of active inflammatory processes (osteomyelitis) or neighboring neoplasms at the maxilla or maxillary sinuses;
- Radiotherapy to the head and neck region;
- Temporomandibular-joint-related symptoms;
- Bruxismus;
- Bone and/or soft tissue augmentations;
- Nicotine/drug abuse;
- Previously operated maxillary sinuses.
2.2. Preoperative Measurements
2.3. Surgery
2.4. Provisional Prosthetic Procedure
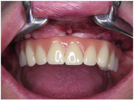
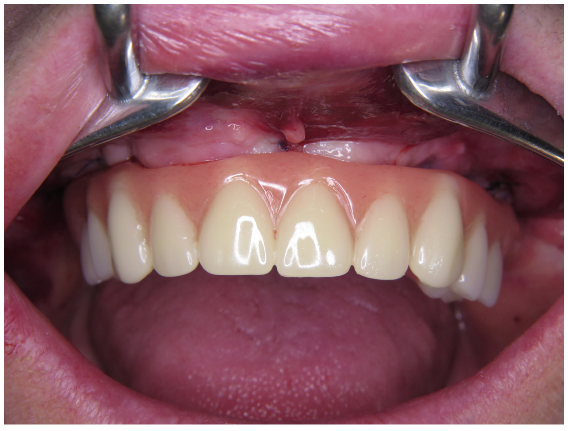
2.5. Final Prosthetic Procedure
2.6. Outcome Parameters
| The deepest pocket bleeding probing | “1” |
| The deepest pocket none bleeding by probing | “0” |
| No detection of supragingival plaque | “0” |
| Plaque only recognized by running a probe across the smooth | “1” |
| Plaque can be seen by the naked eye | “2” |
| Abundance of soft matter | “3” |
2.7. Statistical Analysis
3. Results
3.1. Implant Loss
3.2. Prosthetic Complications
3.3. Bone Loss
3.4. Plaque Accumulation
3.5. Bleeding on Probing
3.6. Probing Pocket Depth
3.7. Bite Force
4. Discussion
- The quality of the material;
- Respecting the laboratory guidelines/protocols described by the manufacturer;
- Minding the emergence profile and the gap above the soft tissues for better access for maintaining oral hygiene;
- Avoiding excessive posterior cantilevers;
- The provision of an acrylic prosthesis to allow adjustment of function and esthetics prior to the definitive prosthetic treatment.
5. Conclusions
- The advanced criteria for “success” in dental implantology were fulfilled throughout the sample after 5 years of observation for both metal–ceramic and monolithic zirconia superstructures;
- Monolithic zirconia superstructures presented superior results regarding both clinical and radiological parameters evaluated herein;
- The mechanical complications in the monolithic zirconia superstructures were easily managed by polishing, whereas detachment of the veneer in the metal–ceramic group required an ex situ repair in the laboratory;
- No major mechanical complications could be observed during the follow-up period in either group.
Author Contributions
Funding
Institutional Review Board Statement
Informed Consent Statement
Data Availability Statement
Conflicts of Interest
References
- Joda, T.; Zarone, F.; Ferrari, M. The complete digital workflow in fixed prosthodontics: A systematic review. BMC Oral Health 2017, 17, 124. [Google Scholar] [CrossRef]
- Guess, P.C.; Att, W.; Strub, J.R. Zirconia in fixed implant prosthodontics. Clin. Implant Dent. Relat. Res. 2012, 14, 633–645. [Google Scholar] [CrossRef] [PubMed]
- Sailer, I.; Strasding, M.; Valente, N.A.; Zwahlen, M.; Liu, S.; Pjetursson, B.E. A systematic review of the survival and complication rates of zirconia-ceramic and metal-ceramic multiple-unit fixed dental prostheses. Clin. Oral Implant. Res. 2018, 29 (Suppl. S16), 184–198. [Google Scholar] [CrossRef] [PubMed]
- Maló, P.; Rangert, B.; Nobre, M. “All-on-4” immediate-function concept with Brånemark System implants for completely edentulous mandibles: A retrospective clinical study. Clin. Implant Dent. Relat. Res. 2003, 5 (Suppl. S1), 2–9. [Google Scholar] [CrossRef]
- Maló, P.; Rangert, B.; Nobre, M. All-on-4 immediate-function concept with Brånemark System implants for completely edentulous maxillae: A 1-year retrospective clinical study. Clin. Implant Dent. Relat. Res. 2005, 7 (Suppl. S1), S88–S94. [Google Scholar] [CrossRef]
- Ayna, M.; Gülses, A.; Açil, Y. Comprehensive Comparison of the 5-Year Results of All-on-4 Mandibular Implant Systems with Acrylic and Ceramic Suprastructures. J. Oral Implantol. 2015, 41, 675–683. [Google Scholar] [CrossRef]
- Ayna, M.; Karayürek, F.; Jepsen, S.; Emmert, M.; Acil, Y.; Wiltfang, J.; Gülses, A. Six-year clinical outcomes of implant-supported acrylic vs. ceramic superstructures according to the All-on-4 treatment concept for the rehabilitation of the edentulous maxilla. Odontology 2021, 109, 930–940. [Google Scholar] [CrossRef]
- Türker, N.; Büyükkaplan, U.S.; Sadowsky, S.J.; Özarslan, M.M. Finite Element Stress Analysis of Applied Forces to Implants and Supporting Tissues Using the “All-on-4” Concept with Different Occlusal Schemes. J. Prosthodont. Off. J. Am. Coll. Prosthodont. 2019, 28, 185–194. [Google Scholar] [CrossRef] [PubMed]
- Die Landesreierung Nordrhein-Westfalen. Notwendige Praxisbesuche und Vorsorgeuntersuchungen Wieder Wahrnehmen. Available online: https://www.land.nrw/pressemitteilung/gemeinsamer-appell-von-gesundheitsminister-laumann-und-der-aerzteschaft-notwendige (accessed on 26 September 2023).
- Brägger, U. Use of radiographs in evaluating success, stability and failure in implant dentistry. Periodontology 2000 1998, 17, 77–88. [Google Scholar] [CrossRef]
- Brägger, U. Radiographic parameters for the evaluation of peri-implant tissues. Periodontology 2000 1994, 4, 87–97. [Google Scholar] [CrossRef]
- Mombelli, A.; van Oosten, M.A.; Schurch, E., Jr.; Land, N.P. The microbiota associated with successful or failing osseointegrated titanium implants. Oral Microbiol. Immunol. 1987, 2, 145–151. [Google Scholar] [CrossRef]
- Barootchi, S.; Askar, H.; Ravidà, A.; Gargallo-Albiol, J.; Travan, S.; Wang, H.L. Long-term Clinical Outcomes and Cost-Effectiveness of Full-Arch Implant-Supported Zirconia-Based and Metal-Acrylic Fixed Dental Prostheses: A Retrospective Analysis. Int. J. Oral Maxillofac. Implant. 2020, 35, 395–405. [Google Scholar] [CrossRef] [PubMed]
- Misch, C.E.; Perel, M.L.; Wang, H.L.; Sammartino, G.; Galindo-Moreno, P.; Trisi, P.; Steigmann, M.; Rebaudi, A.; Palti, A.; Pikos, M.A.; et al. Implant success, survival, and failure: The International Congress of Oral Implantologists (ICOI) Pisa Consensus Conference. Implant Dent. 2008, 17, 5–15. [Google Scholar] [CrossRef]
- Al-Meraikhi, H.; Yilmaz, B.; McGlumphy, E.; Brantley, W.; Johnston, W.M. In vitro fit of CAD-CAM complete arch screw-retained titanium and zirconia implant prostheses fabricated on 4 implants. J. Prosthet. Dent. 2018, 119, 409–416. [Google Scholar] [CrossRef]
- Maló, P.; de Araújo Nobre, M.; Lopes, A.; Francischone, C.; Rigolizzo, M. “All-on-4” immediate-function concept for completely edentulous maxillae: A clinical report on the medium (3 years) and long-term (5 years) outcomes. Clin. Implant Dent. Relat. Res. 2012, 14 (Suppl. S1), e139–e150. [Google Scholar] [CrossRef] [PubMed]
- Ayna, M.; Gülses, A.; Acil, Y. A comparative study on 7-year results of “All-on-4™” immediate-function concept for completely edentulous mandibles: Metal-ceramic vs. bar-retained superstructures. Odontology 2018, 106, 73–82. [Google Scholar] [CrossRef]
- Laumbacher, H.; Strasser, T.; Knüttel, H.; Rosentritt, M. Long-term clinical performance and complications of zirconia-based tooth- and implant-supported fixed prosthodontic restorations: A summary of systematic reviews. J. Dent. 2021, 111, 103723. [Google Scholar] [CrossRef] [PubMed]
- Koenig, V.; Wulfman, C.; Bekaert, S.; Dupont, N.; Le Goff, S.; Eldafrawy, M.; Vanheusden, A.; Mainjot, A. Clinical behavior of second-generation zirconia monolithic posterior restorations: Two-year results of a prospective study with Ex vivo analyses including patients with clinical signs of bruxism. J. Dent. 2019, 91, 103229. [Google Scholar] [CrossRef]
- Dreyer, H.; Grischke, J.; Tiede, C.; Eberhard, J.; Schweitzer, A.; Toikkanen, S.E.; Glöckner, S.; Krause, G.; Stiesch, M. Epidemiology and risk factors of peri-implantitis: A systematic review. J. Periodontal Res. 2018, 53, 657–681. [Google Scholar] [CrossRef]
- Matalon, S.; Heller, H.; Beitlitum, I.; Weinberg, E.; Emodi-Perlman, A.; Levartovsky, S. Retrospective 1- to 8-Year Follow-Up Study of Complete Oral Rehabilitation Using Monolithic Zirconia Restorations with Increased Vertical Dimension of Occlusion in Patients with Bruxism. J. Clin. Med. 2022, 11, 5314. [Google Scholar] [CrossRef]
- Levartovsky, S.; Pilo, R.; Shadur, A.; Matalon, S.; Winocur, E. Complete rehabilitation of patients with bruxism by veneered and non-veneered zirconia restorations with an increased vertical dimension of occlusion: An observational case-series study. J. Prosthodont. Res. 2019, 63, 440–446. [Google Scholar] [CrossRef] [PubMed]
- Pjetursson, B.E.; Sailer, I.; Makarov, N.A.; Zwahlen, M.; Thoma, D.S. All-ceramic or metal-ceramic tooth-supported fixed dental prostheses (FDPs)? A systematic review of the survival and complication rates. Part II: Multiple-unit FDPs. Dent. Mater. 2015, 31, 624–639. [Google Scholar] [CrossRef] [PubMed]
- Pelekanos, S.; Ntovas, P.; Rizou, V.; Pozzi, A. Translucent monolithic zirconia titanium-supported FP1 full-arch prosthesis: A novel proof of concept to address esthetic, functional, and biologic challenges. J. Esthet. Restor. Dent. 2023. [Google Scholar] [CrossRef] [PubMed]
- Herklotz, I.; Kunz, A.; Stimmelmayr, M.; Beuer, F. Immediate loading of a fixed full-arch prosthesis on four template-guided implants. Int. J. Comput. Dent. 2022, 25, 221–231. [Google Scholar]
- Bidra, A.S.; Tischler, M.; Patch, C. Survival of 2039 complete arch fixed implant-supported zirconia prostheses: A retrospective study. J. Prosthet. Dent. 2018, 119, 220–224. [Google Scholar] [CrossRef]
- Niedermaier, R.; Stelzle, F.; Riemann, M.; Bolz, W.; Schuh, P.; Wachtel, H. Implant-Supported Immediately Loaded Fixed Full-Arch Dentures: Evaluation of Implant Survival Rates in a Case Cohort of up to 7 Years. Clin. Implant Dent. Relat. Res. 2017, 19, 4–19. [Google Scholar] [CrossRef]










Disclaimer/Publisher’s Note: The statements, opinions and data contained in all publications are solely those of the individual author(s) and contributor(s) and not of MDPI and/or the editor(s). MDPI and/or the editor(s) disclaim responsibility for any injury to people or property resulting from any ideas, methods, instructions or products referred to in the content. |
© 2024 by the authors. Licensee MDPI, Basel, Switzerland. This article is an open access article distributed under the terms and conditions of the Creative Commons Attribution (CC BY) license (https://creativecommons.org/licenses/by/4.0/).
Share and Cite
Ayna, M.; Jepsen, S. A Retrospective Evaluation of 5 Years of Clinical Results of Metal–Ceramic vs. Monolithic Zirconia Superstructures in Maxillary All-on-4TM Concept. J. Clin. Med. 2024, 13, 557. https://doi.org/10.3390/jcm13020557
Ayna M, Jepsen S. A Retrospective Evaluation of 5 Years of Clinical Results of Metal–Ceramic vs. Monolithic Zirconia Superstructures in Maxillary All-on-4TM Concept. Journal of Clinical Medicine. 2024; 13(2):557. https://doi.org/10.3390/jcm13020557
Chicago/Turabian StyleAyna, Mustafa, and Søren Jepsen. 2024. "A Retrospective Evaluation of 5 Years of Clinical Results of Metal–Ceramic vs. Monolithic Zirconia Superstructures in Maxillary All-on-4TM Concept" Journal of Clinical Medicine 13, no. 2: 557. https://doi.org/10.3390/jcm13020557
APA StyleAyna, M., & Jepsen, S. (2024). A Retrospective Evaluation of 5 Years of Clinical Results of Metal–Ceramic vs. Monolithic Zirconia Superstructures in Maxillary All-on-4TM Concept. Journal of Clinical Medicine, 13(2), 557. https://doi.org/10.3390/jcm13020557
