Magnetic Resonance Imaging of Endometriosis: The Role of Advanced Techniques
Abstract
1. Introduction
2. MRI Findings of Pelvic Endometriosis
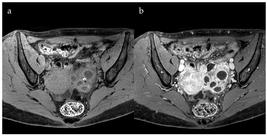
2.1. Endometrioma
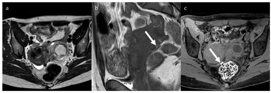
2.2. Deep Pelvic Endometriosis
2.3. Extra-Pelvic Endometriosis
3. Role of Contrast Agents
4. Diffusion-Weighted Imaging
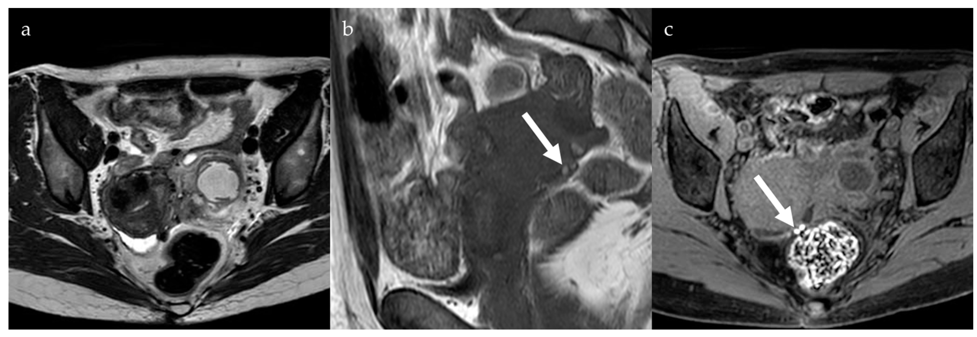
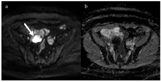
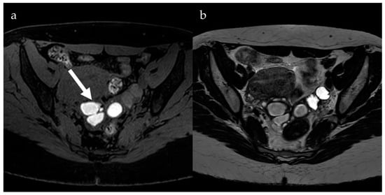
5. Susceptibility-Weighted Imaging
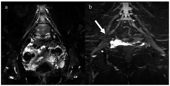
6. Magnetic Resonance Neurography and Diffusion Tensor Imaging
7. Conclusions
Author Contributions
Funding
Institutional Review Board Statement
Informed Consent Statement
Data Availability Statement
Conflicts of Interest
References
- La Rosa, V.L.; De Franciscis, P.; Barra, F.; Schiattarella, A.; Török, P.; Shah, M.; Karaman, E.; Cerentini, T.M.; Di Guardo, F.; Gullo, G.; et al. Quality of life in women with endometriosis: A narrative overview. Minerva Med. 2020, 111, 68–78. [Google Scholar] [CrossRef] [PubMed]
- Habib, N.; Buzzaccarini, G.; Centini, G.; Moawad, G.; Ceccaldi, P.-F.; Gitas, G.; Alkatout, I.; Gullo, G.; Terzic, S.; Sleiman, Z. Impact of lifestyle and diet on endometriosis: A fresh look to a busy corner. Prz. Menopauzalny 2022, 21, 124–132. [Google Scholar] [CrossRef] [PubMed]
- Scarselli, G.; Rizzello, F.; Cammilli, F.; Ginocchini, L.; Coccia, M.E. Diagnosis and treatment of endometriosis. A review. Minerva Ginecol. 2005, 57, 55–78. [Google Scholar]
- Zuber, M.; Shoaib, M.; Kumari, S. Magnetic resonance imaging of endometriosis: A common but often hidden, missed, and misdiagnosed entity. Pol. J. Radiol. 2022, 87, 448–461. [Google Scholar] [CrossRef]
- Abdelghany, H.S.; Abdelsamie, M.A.; Shaheen, K.I.; Yousri, D.A. The clinical importance of Magnetic Resonance Imaging with Diffusion weighted images in diagnosis and treatment planning of endometriosis. Minia J. Med. Res. 2021, 32, 13–20. [Google Scholar] [CrossRef]
- Bazot, M.; Bharwani, N.; Huchon, C.; Kinkel, K.; Cunha, T.M.; Guerra, A.; Manganaro, L.; Buñesch, L.; Kido, A.; Togashi, K.; et al. European society of urogenital radiology (ESUR) guidelines: MR imaging of pelvic endometriosis. Eur. Radiol. 2017, 27, 2765–2775. [Google Scholar] [CrossRef]
- Lorusso, F.; Scioscia, M.; Rubini, D.; Ianora, A.A.S.; Scardigno, D.; Leuci, C.; De Ceglie, M.; Sardaro, A.; Lucarelli, N.; Scardapane, A. Magnetic resonance imaging for deep infiltrating endometriosis: Current concepts, imaging technique and key findings. Insights Imaging 2021, 12, 105. [Google Scholar] [CrossRef]
- Rousset, P.; Peyron, N.; Charlot, M.; Chateau, F.; Golfier, F.; Raudrant, D.; Cotte, E.; Isaac, S.; Réty, F.; Valette, P.-J. Bowel endometriosis: Preoperative diagnostic accuracy of 3.0-T MR enterography—Initial results. Radiology 2014, 273, 117–124. [Google Scholar] [CrossRef] [PubMed]
- Amso, N.; Banerjeee, S. (Eds.) Endometriosis: Current Topics in Diagnosis and Management, 1st ed.; CRC Press: Boca Raton, FL, USA, 2022. [Google Scholar] [CrossRef]
- Bruyere, C.; Maniou, I.; Habre, C.; Kalovidouri, A.; Pluchino, N.; Montet, X.; Botsikas, D. Pelvic MRI for Endometriosis: A Diagnostic Challenge for the Inexperienced Radiologist. How Much Experience Is Enough? Acad. Radiol. 2021, 28, 345–353. [Google Scholar] [CrossRef]
- Bazot, M.; Gasner, A.; Ballester, M.; Daraï, E. Value of thin-section oblique axial T2-weighted magnetic resonance images to assess uterosacral ligament endometriosis. Hum. Reprod. 2011, 26, 346–353. [Google Scholar] [CrossRef]
- Manganaro, L.; Fierro, F.; Tomei, A.; Irimia, D.; Lodise, P.; Sergi, M.; Vinci, V.; Sollazzo, P.; Porpora, M.; Delfini, R.; et al. Feasibility of 3.0T pelvic MR imaging in the evaluation of endometriosis. Eur. J. Radiol. 2012, 81, 1381–1387. [Google Scholar] [CrossRef] [PubMed]
- Méndez Fernández, R.; Barrera Ortega, J. Magnetic resonance imaging of pelvic endometriosis. Radiologia 2017, 59, 286–296. [Google Scholar] [CrossRef] [PubMed]
- Togashi, K.; Nishimura, K.; Kimura, I.; Tsuda, Y.; Yamashita, K.; Shibata, T.; Nakano, Y.; Konishi, J.; Konishi, I.; Mori, T. Endometrial cysts: Diagnosis with MR imaging. Radiology 1991, 180, 73–78. [Google Scholar] [CrossRef]
- Corwin, M.T.; Gerscovich, E.O.; Lamba, R.; Wilson, M.; McGahan, J.P. Differentiation of ovarian endometriomas from hemorrhagic cysts at MR imaging: Utility of the T2 dark spot sign. Radiology 2014, 271, 126–132. [Google Scholar] [CrossRef]
- Bazot, M.; Darai, E.; Hourani, R.; Thomassin, I.; Cortez, A.; Uzan, S.; Buy, J.-N. Deep pelvic endometriosis: MR imaging for diagnosis and prediction of extension of disease. Radiology 2004, 232, 379–389. [Google Scholar] [CrossRef]
- Macario, S.; Chassang, M.; Novellas, S.; Baudin, G.; Delotte, J.; Toullalan, O.; Chevallier, P. The value of pelvic MRI in the diagnosis of posterior cul-de-sac obliteration in cases of deep pelvic endometriosis. Am. J. Roentgenol. 2012, 199, 1410–1415. [Google Scholar] [CrossRef] [PubMed]
- Indrielle-Kelly, T.; Frühauf, F.; Fanta, M.; Burgetova, A.; Lavu, D.; Dundr, P.; Cibula, D.; Fischerova, D. Diagnostic Accuracy of Ultrasound and MRI in the Mapping of Deep Pelvic Endometriosis Using the International Deep Endometriosis Analysis (IDEA) Consensus. BioMed Res. Int. 2020, 2020, 3583989. [Google Scholar] [CrossRef]
- Busard, M.P.H.; van der Houwen, L.E.E.; Bleeker, M.C.G.; Bos, I.C.P.v.D.; Cuesta, M.A.; van Kuijk, C.; Mijatovic, V.; Hompes, P.G.A.; van Waesberghe, J.H.T.M. Deep infiltrating endometriosis of the bowel: MR imaging as a method to predict muscular invasion. Abdom. Imaging 2012, 37, 549–557. [Google Scholar] [CrossRef]
- Rousset, P.; Buisson, G.; Lega, J.-C.; Charlot, M.; Gallice, C.; Cotte, E.; Milot, L.; Golfier, F. Rectal endometriosis: Predictive MRI signs for segmental bowel resection. Eur. Radiol. 2021, 31, 884–894. [Google Scholar] [CrossRef]
- Busard, M.P.H.; Mijatovic, V.; Lüchinger, A.; Bleeker, M.; Bos, I.P.-V.D.; Schats, R.; van Kuijk, C.; Hompes, P.; van Waesberghe, J. MR imaging of bladder endometriosis and its relationship with the anterior uterine wall: Experience in a tertiary referral centre. Eur. J. Radiol. 2012, 81, 2106–2111. [Google Scholar] [CrossRef]
- Hirata, T.; Koga, K.; Osuga, Y. Extra-pelvic endometriosis: A review. Reprod. Med. Biol. 2020, 19, 323–333. [Google Scholar] [CrossRef] [PubMed]
- Rousset, P.; Gregory, J.; Rousset-Jablonski, C.; Hugon-Rodin, J.; Regnard, J.-F.; Chapron, C.; Coste, J.; Golfier, F.; Revel, M.-P. MR diagnosis of diaphragmatic endometriosis. Eur. Radiol. 2016, 26, 3968–3977. [Google Scholar] [CrossRef] [PubMed]
- Kido, A.; Himoto, Y.; Moribata, Y.; Kurata, Y.; Nakamoto, Y. MRI in the Diagnosis of Endometriosis and Related Diseases. Korean J. Radiol. 2022, 23, 426–445. [Google Scholar] [CrossRef] [PubMed]
- Bazot, M.; Gasner, A.; Lafont, C.; Ballester, M.; Daraï, E. Deep pelvic endometriosis: Limited additional diagnostic value of postcontrast in comparison with conventional MR images. Eur. J. Radiol. 2011, 80, e331–e339. [Google Scholar] [CrossRef] [PubMed]
- Onbas, O.; Kantarci, M.; Alper, F.; Kumtepe, Y.; Durur, I.; Ingec, M.; Gursan, N.; Okur, A. Nodular endometriosis: Dynamic MR imaging. Abdom. Imaging 2007, 32, 451–456. [Google Scholar] [CrossRef]
- Scardapane, A.; Bettocchi, S.; Lorusso, F.; Ianora, A.A.S.; Vimercati, A.; Ceci, O.; Lasciarrea, M.; Angelelli, G. Diagnosis of colorectal endometriosis: Contribution of contrast enhanced MR-colonography. Eur. Radiol. 2011, 21, 1553–1563. [Google Scholar] [CrossRef]
- Nishio, N.; Kido, A.; Kataoka, M.; Kuwahara, R.; Nakao, K.; Kurata, Y.; Matsumura, N.; Mandai, M.; Togashi, K. Longitudinal changes in magnetic resonance imaging of malignant and borderline tumors associated with ovarian endometriotic cyst comparing with endometriotic cysts without arising malignancy. Eur. J. Radiol. 2018, 105, 175–181. [Google Scholar] [CrossRef]
- Tanaka, Y.O.; Yoshizako, T.; Nishida, M.; Yamaguchi, M.; Sugimura, K.; Itai, Y. Ovarian carcinoma in patients with endometriosis: MR imaging findings. Am. J. Roentgenol. 2000, 175, 1423–1430. [Google Scholar] [CrossRef]
- Bonde, A.; Lago, E.A.D.; Foster, B.; Javadi, S.; Palmquist, S.; Bhosale, P. Utility of the Diffusion Weighted Sequence in Gynecological Imaging: Review Article. Cancers 2022, 14, 4468. [Google Scholar] [CrossRef]
- Addley, H.; Moyle, P.; Freeman, S. Diffusion-weighted imaging in gynaecological malignancy. Clin. Radiol. 2017, 72, 981–990. [Google Scholar] [CrossRef]
- Busard, M.P.H.; Mijatovic, V.; van Kuijk, C.; Bos, I.P.D.; Hompes, P.; van Waesberghe, J. Magnetic resonance imaging in the evaluation of (deep infiltrating) endometriosis: The value of diffusion-weighted imaging. J. Magn. Reson. Imaging 2010, 32, 1003–1009. [Google Scholar] [CrossRef] [PubMed]
- Balaban, M.; Idilman, I.S.; Toprak, H.; Unal, O.; Ipek, A.; Kocakoc, E. The utility of diffusion-weighted magnetic resonance imaging in differentiation of endometriomas from hemorrhagic ovarian cysts. Clin. Imaging 2015, 39, 830–833. [Google Scholar] [CrossRef] [PubMed]
- Moteki, T.; Horikoshi, H.; Endo, K. Relationship between apparent diffusion coefficient and signal intensity in endometrial and other pelvic cysts. Magn. Reson. Imaging 2002, 20, 463–470. [Google Scholar] [CrossRef]
- Takeuchi, M.; Matsuzaki, K.; Nishitani, H. Magnetic resonance manifestations of decidualized endometriomas during pregnancy. J. Comput. Assist. Tomogr. 2008, 32, 353–355. [Google Scholar] [CrossRef]
- Singh, A.; Das, C.J.; Das, B.K.; Gupta, A.K. Utility of diffusion weighted imaging in diagnosing subdiaphragmatic endometriosis presenting as shoulder pain. Indian J. Radiol. Imaging 2017, 27, 314–317. [Google Scholar] [CrossRef]
- Cimsit, C.; Yoldemir, T.; Guclu, M.; Akpinar, I.N. Susceptibility-weighted magnetic resonance imaging for the evaluation of deep infiltrating endometriosis: Preliminary results. Acta Radiol. 2016, 57, 878–885. [Google Scholar] [CrossRef] [PubMed]
- Takeuchi, M.; Matsuzaki, K.; Harada, M. Susceptibility-weighted MRI of extra-ovarian endometriosis: Preliminary results. Abdom. Imaging 2015, 40, 2512–2516. [Google Scholar] [CrossRef] [PubMed]
- Wu, Z.; Mittal, S.; Kish, K.; Yu, Y.; Hu, J.; Haacke, E.M. Identification of calcification with MRI using susceptibility-weighted imaging: A case study. J. Magn. Reson. Imaging 2009, 29, 177–182. [Google Scholar] [CrossRef]
- Chen, H.; Wang, G.; Wang, X.; Gao, Y.; Liang, J.; Wang, J. Diagnostic value of susceptibility-weighted imaging for endometrioma: Preliminary results from a retrospective analysis. Acta Radiol. 2022, 63, 976–981. [Google Scholar] [CrossRef]
- Jha, P.; Sakala, M.; Chamie, L.P.; Feldman, M.; Hindman, N.; Huang, C.; Kilcoyne, A.; Laifer-Narin, S.; Nicola, R.; Poder, L.; et al. Endometriosis MRI lexicon: Consensus statement from the society of abdominal radiology endometriosis disease-focused panel. Abdom. Radiol. 2020, 45, 1552–1568. [Google Scholar] [CrossRef]
- Pin, L.; Monseau-Thiburce, A.-C.; Ziade-Coularis, C.; Benjamin, A.; Menut, F.; Brun, J.-L.; Merlot, B.; Chateil, J.-F. Exploratory study of the interest of MR susceptibility-weighted imaging for the pre-operative assessment of pelvic endometriosis extent. Eur. J. Radiol. 2019, 118, 245–250. [Google Scholar] [CrossRef] [PubMed]
- Franco, P.N.; Annibali, S.; Viganò, S.; Cazzella, C.; Marra, C.; Smedile, A.; Bonaffini, P.A.; Marra, P.; García, M.M.O.; Reinhold, C.; et al. T2*-Weighted Imaging Performance in the Detection of Deep Endometriosis among Readers with Different Experience: Comparison with Conventional MRI Sequences. Diagnostics 2022, 12, 1545. [Google Scholar] [CrossRef]
- Murphy, P.G.; Ramer, M.S.; Borthwick, L.; Gauldie, J.; Richardson, P.M.; Bisby, M.A. Endogenous interleukin-6 contributes to hypersensitivity to cutaneous stimuli and changes in neuropeptides associated with chronic nerve constriction in mice. Eur. J. Neurosci. 1999, 11, 2243–2253. [Google Scholar] [CrossRef] [PubMed]
- Lemos, N.; D’aMico, N.; Marques, R.; Kamergorodsky, G.; Schor, E.; Girão, M.J.B.C. Recognition and treatment of endometriosis involving the sacral nerve roots. Int. Urogynecol. J. 2016, 27, 147–150. [Google Scholar] [CrossRef] [PubMed]
- Wadhwa, V.; Thakkar, R.S.; Maragakis, N.; Höke, A.; Sumner, C.J.; Lloyd, T.E.; Carrino, J.A.; Belzberg, A.J.; Chhabra, A. Sciatic nerve tumor and tumor-like lesions-uncommon pathologies. Skelet. Radiol. 2012, 41, 763–774. [Google Scholar] [CrossRef] [PubMed]
- Manganaro, L.; Porpora, M.G.; Vinci, V.; Bernardo, S.; Lodise, P.; Sollazzo, P.; Sergi, M.E.; Saldari, M.; Pace, G.; Vittori, G.; et al. Diffusion tensor imaging and tractography to evaluate sacral nerve root abnormalities in endometriosis-related pain: A pilot study. Eur. Radiol. 2014, 24, 95–101. [Google Scholar] [CrossRef]
- Song, S.Y.; Jung, Y.W.; Shin, W.; Park, M.; Lee, G.W.; Jeong, S.; An, S.; Kim, K.; Ko, Y.B.; Lee, K.H.; et al. Endometriosis-Related Chronic Pelvic Pain. Biomedicines 2023, 11, 2868. [Google Scholar] [CrossRef]
- Mori, S.; Zhang, J. Principles of diffusion tensor imaging and its applications to basic neuroscience research. Neuron 2006, 51, 527–539. [Google Scholar] [CrossRef]
- Roceanu, A.; Onu, M.; Antochi, F.; Bajenaru, O. Diffusion Tensor Imaging (DTI)—A New Imaging Technique Applyed in Multiple Sclerosis. Maedica 2012, 7, 355–357. [Google Scholar]
- Porpora, M.G.; Vinci, V.; De Vito, C.; Migliara, G.; Anastasi, E.; Ticino, A.; Resta, S.; Catalano, C.; Panici, P.B.; Manganaro, L. The Role of Magnetic Resonance Imaging-Diffusion Tensor Imaging in Predicting Pain Related to Endometriosis: A Preliminary Study. J. Minim. Invasive Gynecol. 2018, 25, 661–669. [Google Scholar] [CrossRef]






Disclaimer/Publisher’s Note: The statements, opinions and data contained in all publications are solely those of the individual author(s) and contributor(s) and not of MDPI and/or the editor(s). MDPI and/or the editor(s) disclaim responsibility for any injury to people or property resulting from any ideas, methods, instructions or products referred to in the content. |
© 2024 by the authors. Licensee MDPI, Basel, Switzerland. This article is an open access article distributed under the terms and conditions of the Creative Commons Attribution (CC BY) license (https://creativecommons.org/licenses/by/4.0/).
Share and Cite
Alonzo, L.; Cannella, R.; Gullo, G.; Piombo, G.; Cicero, G.; Lopez, A.; Billone, V.; Andrisani, A.; Cucinella, G.; Lo Casto, A.; et al. Magnetic Resonance Imaging of Endometriosis: The Role of Advanced Techniques. J. Clin. Med. 2024, 13, 5783. https://doi.org/10.3390/jcm13195783
Alonzo L, Cannella R, Gullo G, Piombo G, Cicero G, Lopez A, Billone V, Andrisani A, Cucinella G, Lo Casto A, et al. Magnetic Resonance Imaging of Endometriosis: The Role of Advanced Techniques. Journal of Clinical Medicine. 2024; 13(19):5783. https://doi.org/10.3390/jcm13195783
Chicago/Turabian StyleAlonzo, Laura, Roberto Cannella, Giuseppe Gullo, Giulia Piombo, Giuseppe Cicero, Alessandra Lopez, Valentina Billone, Alessandra Andrisani, Gaspare Cucinella, Antonio Lo Casto, and et al. 2024. "Magnetic Resonance Imaging of Endometriosis: The Role of Advanced Techniques" Journal of Clinical Medicine 13, no. 19: 5783. https://doi.org/10.3390/jcm13195783
APA StyleAlonzo, L., Cannella, R., Gullo, G., Piombo, G., Cicero, G., Lopez, A., Billone, V., Andrisani, A., Cucinella, G., Lo Casto, A., & Lo Re, G. (2024). Magnetic Resonance Imaging of Endometriosis: The Role of Advanced Techniques. Journal of Clinical Medicine, 13(19), 5783. https://doi.org/10.3390/jcm13195783

