The Effect of Local Papaverine Use in an Experimental High-Risk Colonic Anastomosis Model: Reduced Inflammatory Findings and Less Necrosis
Abstract
1. Introduction
2. Materials and Methods
2.1. Ethical Statement
2.2. Study Setting, Animals, and Grouping
2.3. Anesthesia, Surgery, and Euthanasia
2.4. Data Collection Tools
2.4.1. Anastomotic Bursting Pressure Measurement
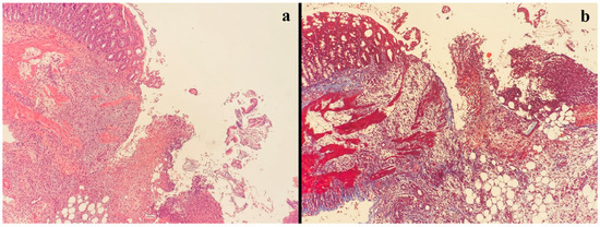
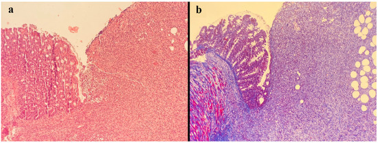
2.4.2. Histopathological Assessment
2.4.3. Hydroxyproline Concentration
2.5. Statistical Analysis
3. Results
4. Discussion
Strengths and Limitations
5. Conclusions
Author Contributions
Funding
Institutional Review Board Statement
Informed Consent Statement
Data Availability Statement
Conflicts of Interest
References
- Chiarello, M.M.; Fransvea, P.; Cariati, M.; Adams, N.J.; Bianchi, V.; Brisinda, G. Anastomotic leakage in colorectal cancer surgery. Surg. Oncol. 2022, 40, 101708. [Google Scholar] [CrossRef]
- Leichtle, S.W.; Mouawad, N.J.; Welch, K.B.; Lampman, R.M.; Cleary, R.K. Risk factors for anastomotic leakage after colectomy. Dis. Colon Rectum 2012, 55, 569–575. [Google Scholar] [CrossRef] [PubMed]
- Nikolian, V.C.; Kamdar, N.S.; Regenbogen, S.E.; Morris, A.M.; Byrn, J.C.; Suwanabol, P.A.; Campbell, D.A., Jr.; Hendren, S. Anastomotic leak after colorectal resection: A population-based study of risk factors and hospital variation. Surgery 2017, 161, 1619–1627. [Google Scholar] [CrossRef] [PubMed]
- Zarnescu, E.C.; Zarnescu, N.O.; Costea, R. Updates of Risk Factors for Anastomotic Leakage after Colorectal Surgery. Diagnostics 2021, 11, 2382. [Google Scholar] [CrossRef] [PubMed]
- Docherty, J.G.; Mcgregor, J.R.; Akyol, A.M.; Murray, G.D.; Galloway, D.J. Comparison of manually constructed and stapled anastomoses in colorectal surgery. West of Scotland and Highland Anastomosis Study Group. Ann. Surg. 1995, 221, 176–184. [Google Scholar] [CrossRef] [PubMed]
- Fingerhut, A.; Hay, J.M.; Elhadad, A.; Lacaine, F.; Flamant, Y. Supraperitoneal colorectal anastomosis: Hand-sewn versus circular staples—A controlled clinical trial. French Associations for Surgical Research. Surgery 1995, 118, 479–485. [Google Scholar] [CrossRef]
- Walker, K.G.; Bell, S.W.; Rickard, M.J.; Mehanna, D.; Dent, O.F.; Chapuis, P.H.; Bokey, E.L. Anastomotic leakage is predictive of diminished survival after potentially curative resection for colorectal cancer. Ann. Surg. 2004, 240, 255–259. [Google Scholar] [CrossRef]
- Fang, A.H.; Chao, W.; Ecker, M. Review of Colonic Anastomotic Leakage and Prevention Methods. J. Clin. Med. 2020, 9, 4061. [Google Scholar] [CrossRef]
- Phillips, B.R. Reducing gastrointestinal anastomotic leak rates: Review of challenges and solutions. Open Access Surgery 2016, 14, 5–14. [Google Scholar] [CrossRef]
- Clifford, R.E.; Fowler, H.; Govindarajah, N.; Vimalachandran, D.; Sutton, P.A. Early anastomotic complications in colorectal surgery: A systematic review of techniques for endoscopic salvage. Surg. Endosc. 2019, 33, 1049–1065. [Google Scholar] [CrossRef]
- Basceken, S.I.; Sevim, Y.; Akyol, C.; Cicek, E.; Aydın, F.; Kocaay, A.F.; Pasaoglu, O.T.; Genc, V.; Pasaoglu, H.; Cakmak, A. Effects of papaverine on healing of colonic anastomosis in rats. Eur. Surg. 2017, 49, 158–164. [Google Scholar] [CrossRef]
- Huang, J.; Jiang, Y.; Liu, Y.; Ren, Y.; Xu, Z.; Li, Z.; Zhao, Y.; Wu, X.; Ren, J. Marine-inspired molecular mimicry generates a drug-free, but immunogenic hydrogel adhesive protecting surgical anastomosis. Bioact. Mater. 2021, 6, 770–782. [Google Scholar] [CrossRef] [PubMed]
- Liu, C.D.; Glantz, G.J.; Livingston, E.H. Fibrin glue as a sealant for high-risk anastomosis in surgery for morbid obesity. Obes. Surg. 2003, 13, 45–48. [Google Scholar] [CrossRef]
- Belda, F.J.; Aguilera, L.; García De La Asunción, J.; Alberti, J.; Vicente, R.; Ferrándiz, L.; Rodríguez, R.; Company, R.; Sessler, D.I.; Aguilar, G.; et al. Supplemental perioperative oxygen and the risk of surgical wound infection: A randomized controlled trial. JAMA 2005, 294, 2035–2042. [Google Scholar] [CrossRef] [PubMed]
- Cooper, A.J. Evaluation of I-C papaverine in patients with psychogenic and organic impotence. Can. J. Psychiatry 1991, 36, 574–578. [Google Scholar] [CrossRef]
- Liekens, S.; De Clercq, E.; Neyts, J. Angiogenesis: Regulators and clinical applications. Biochem. Pharmacol. 2001, 61, 253–270. [Google Scholar] [CrossRef]
- Simonetti, G.; Lupattelli, L.; Urigo, F.; Barzi, F.; Mosca, S.; Maspes, F.; Guazzaroni, M. Interventional radiology in the treatment of acute and chronic mesenteric ischemia. Radiol. Med. 1992, 84, 98–105. [Google Scholar]
- Girard, D.S.; Sutton, J.P., 3rd; Williams, T.H.; Crumbley, A.J., 3rd; Zellner, J.L.; Kratz, J.M.; Crawford, F.A. Papaverine delivery to the internal mammary artery pedicle effectively treats spasm. Ann. Thorac. Surg. 2004, 78, 1295–1298. [Google Scholar] [CrossRef]
- Vajkoczy, P.; Horn, P.; Bauhuf, C.; Munch, E.; Hubner, U.; Ing, D.; Thome, C.; Poeckler-Schoeninger, C.; Roth, H.; Schmiedek, P. Effect of intra-arterial papaverine on regional cerebral blood flow in hemodynamically relevant cerebral vasospasm. Stroke 2001, 32, 498–505. [Google Scholar] [CrossRef]
- Zacherl, J.; Bock, S.; Feussner, H.; Erhardt, W.; Siewert, J.R.; Stangl, M. Periarterial application of papaverine during laparoscopic donor nephrectomy improves early graft function after kidney transplantation in pigs. Surg. Endosc. 2004, 18, 417–420. [Google Scholar] [CrossRef]
- Ersoy, Y.E.; Ayan, F.; Himmetoglu, S. Trace element levels in ischemia-reperfusion injury after left colonic anastomosis in rats and effects of papaverine and pentoxiphylline on vascular endothelial growth factor in anastomosis healing. Acta Gastroenterol. Belg. 2011, 74, 22–27. [Google Scholar] [PubMed]
- Cakir, T.; Ozer, I.; Bostanci, E.B.; Keklik, T.T.; Ercin, U.; Bilgihan, A.; Akoglu, M. Increased collagen maturity with sildenafil citrate: Experimental high risk colonic anastomosis model. Int. J. Surg. 2015, 13, 152–156. [Google Scholar] [CrossRef] [PubMed]
- Phillips, J.D.; Kim, C.S.; Fonkalsrud, E.W.; Zeng, H.; Dindar, H. Effects of chronic corticosteroids and vitamin A on the healing of intestinal anastomoses. Am. J. Surg. 1992, 163, 71–77. [Google Scholar] [CrossRef]
- Mirnezami, A.; Mirnezami, R.; Chandrakumaran, K.; Sasapu, K.; Sagar, P.; Finan, P. Increased local recurrence and reduced survival from colorectal cancer following anastomotic leak: Systematic review and meta-analysis. Ann. Surg. 2011, 253, 890–899. [Google Scholar] [CrossRef] [PubMed]
- Nerstrøm, M.; Krarup, P.M.; Jorgensen, L.N.; Ågren, M.S. Therapeutic improvement of colonic anastomotic healing under complicated conditions: A systematic review. World J. Gastrointest. Surg. 2016, 8, 389–401. [Google Scholar] [CrossRef] [PubMed]
- Brasel, K.; Mcritchie, D.; Dellinger, P. Canadian Association of General Surgeons and American College of Surgeons Evidence Based Reviews in Surgery. 21: The risk of surgical site infection is reduced with perioperative oxygen. Can. J. Surg. 2007, 50, 214–216. [Google Scholar] [PubMed]
- Foppa, C.; Ng, S.C.; Montorsi, M.; Spinelli, A. Anastomotic leak in colorectal cancer patients: New insights and perspectives. Eur. J. Surg. Oncol. 2020, 46, 943–954. [Google Scholar] [CrossRef]
- Morgan, R.B.; Shogan, B.D. The Science of Anastomotic Healing. Semin. Colon Rectal Surg. 2022, 33, 100879. [Google Scholar] [CrossRef]
- Martens, M.F.; Hendriks, T. Postoperative changes in collagen synthesis in intestinal anastomoses of the rat: Differences between small and large bowel. Gut 1991, 32, 1482–1487. [Google Scholar] [CrossRef]
- Pantelis, D.; Beissel, A.; Kahl, P.; Wehner, S.; Vilz, T.O.; Kalff, J.C. The effect of sealing with a fixed combination of collagen matrix-bound coagulation factors on the healing of colonic anastomoses in experimental high-risk mice models. Langenbecks Arch. Surg. 2010, 395, 1039–1048. [Google Scholar] [CrossRef]
- Krarup, P.M.; Eld, M.; Jorgensen, L.N.; Hansen, M.B.; Ågren, M.S. Selective matrix metalloproteinase inhibition increases breaking strength and reduces anastomotic leakage in experimentally obstructed colon. Int. J. Color. Dis. 2017, 32, 1277–1284. [Google Scholar] [CrossRef] [PubMed]
- Krarup, P.M.; Eld, M.; Heinemeier, K.; Jorgensen, L.N.; Hansen, M.B.; Ågren, M.S. Expression and inhibition of matrix metalloproteinase (MMP)-8, MMP-9 and MMP-12 in early colonic anastomotic repair. Int. J. Color. Dis. 2013, 28, 1151–1159. [Google Scholar] [CrossRef] [PubMed]
- Pasternak, B.; Rehn, M.; Andersen, L.; Agren, M.S.; Heegaard, A.M.; Tengvall, P.; Aspenberg, P. Doxycycline-coated sutures improve mechanical strength of intestinal anastomoses. Int. J. Color. Dis. 2008, 23, 271–276. [Google Scholar] [CrossRef] [PubMed]
- Rijcken, E.; Fuchs, T.; Sachs, L.; Kersting, C.M.; Bruewer, M.; Krieglstein, C.F. Insulin-like growth factor 1-coated sutures improve anastomotic healing in an experimental model of colitis. Br. J. Surg. 2010, 97, 258–265. [Google Scholar] [CrossRef]
- Mantzoros, I.; Kanellos, I.; Angelopoulos, S.; Koliakos, G.; Pramateftakis, M.G.; Kanellos, D.; Zacharakis, E.; Zaraboukas, T.; Betsis, D. The effect of insulin-like growth factor I on healing of colonic anastomoses in cortisone-treated rats. Dis. Colon Rectum 2006, 49, 1431–1438. [Google Scholar] [CrossRef]
- Hyoju, S.K.; Klabbers, R.E.; Aaron, M.; Krezalek, M.A.; Zaborin, A.; Wiegerinck, M.; Hyman, N.H.; Zaborina, O.; Van Goor, H.; Alverdy, J.C. Oral Polyphosphate Suppresses Bacterial Collagenase Production and Prevents Anastomotic Leak Due to Serratia marcescens and Pseudomonas aeruginosa. Ann. Surg. 2018, 267, 1112–1118. [Google Scholar] [CrossRef]
- Wiegerinck, M.; Hyoju, S.K.; Mao, J.; Zaborin, A.; Adriaansens, C.; Salzman, E.; Hyman, N.H.; Zaborina, O.; Van Goor, H.; Alverdy, J.C. Novel de novo synthesized phosphate carrier compound ABA-PEG20k-Pi20 suppresses collagenase production in Enterococcus faecalis and prevents colonic anastomotic leak in an experimental model. Br. J. Surg. 2018, 105, 1368–1376. [Google Scholar] [CrossRef]
- Lähteenmäki, K.; Edelman, S.; Korhonen, T.K. Bacterial metastasis: The host plasminogen system in bacterial invasion. Trends Microbiol. 2005, 13, 79–85. [Google Scholar] [CrossRef]
- Jacobson, R.A.; Williamson, A.J.; Wienholts, K.; Gaines, S.; Hyoju, S.; Van Goor, H.; Zaborin, A.; Shogan, B.D.; Zaborina, O.; Alverdy, J.C. Prevention of Anastomotic Leak Via Local Application of Tranexamic Acid to Target Bacterial-mediated Plasminogen Activation: A Practical Solution to a Complex Problem. Ann. Surg. 2021, 274, e1038–e1046. [Google Scholar] [CrossRef]
- Marks, E.; Naudin, C.; Nolan, G.; Goggins, B.J.; Burns, G.; Mateer, S.W.; Latimore, J.K.; Minahan, K.; Plank, M.; Foster, P.S.; et al. Regulation of IL-12p40 by HIF controls Th1/Th17 responses to prevent mucosal inflammation. Mucosal. Immunol. 2017, 10, 1224–1236. [Google Scholar] [CrossRef]
- Bakker, N.; Deelder, J.D.; Richir, M.C.; Cakir, H.; Doodeman, H.J.; Schreurs, W.H.; Houdijk, A.P. Risk of anastomotic leakage with nonsteroidal anti-inflammatory drugs within an enhanced recovery program. J. Gastrointest. Surg. 2016, 20, 776–782. [Google Scholar] [CrossRef] [PubMed]
- Haddad, N.N.; Bruns, B.R.; Enniss, T.M.; Turay, D.; Sakran, J.V.; Fathalizadeh, A.; Arnold, K.; Murry, J.S.; Carrick, M.M.; Hernandez, M.C.; et al. Perioperative use of nonsteroidal anti-inflammatory drugs and the risk of anastomotic failure in emergency general surgery. J. Trauma Acute Care Surg. 2017, 83, 657–661. [Google Scholar] [CrossRef] [PubMed]
- Debbag, S.; Yalcinkaya, A.; Saricaoglu, F. Nociceptive improvements and kynurenine pathway alterations with diclofenac treatment in a rat model of neuropathic pain created by partial sciatic nerve ligation. Eur. Rev. Med. Pharmacol. Sci. 2023, 27, 4239–4247. [Google Scholar] [PubMed]
- Samadi, A.; Sabuncuoglu, S.; Samadi, M.; Isikhan, S.Y.; Chirumbolo, S.; Peana, M.; Lay, I.; Yalcinkaya, A.; Bjørklund, G. A comprehensive review on oxysterols and related diseases. Curr. Med. Chem. 2021, 28, 110–136. [Google Scholar] [CrossRef]






| Papaverine Use | p | ||
|---|---|---|---|
| Yes (n = 8) | No (n = 8) | ||
| Weight, g | 319 (305–330) | 336.5 (326–340) | 0.002 |
| Bursting pressure, mmHg | 18.5 (4–34) | 15 (9–21) | 0.399 |
| Hydroxyproline concentration, ng/mL | 103.53 (81.18–172.76) | 97.49 (52.72–141.19) | 0.172 |
| Ehrlich–Hunt score | 9 (7–12) | 9.5 (7–12) | 0.787 |
| Inflammation | |||
| 1 | 0 (0.0%) | 0 (0.0%) | 1.000 |
| 2 | 0 (0.0%) | 0 (0.0%) | |
| 3 | 2 (25.0%) | 2 (25.0%) | |
| 4 | 6 (75.0%) | 6 (75.0%) | |
| Fibroblast | |||
| 0 | 2 (25.0%) | 1 (12.5%) | 1.000 |
| 1 | 4 (50.0%) | 5 (62.5%) | |
| 2 | 2 (25.0%) | 2 (25.0%) | |
| 3 | 0 (0.0%) | 0 (0.0%) | |
| 4 | 0 (0.0%) | 0 (0.0%) | |
| Neoangiogenesis | |||
| 0 | 2 (25.0%) | 1 (12.5%) | 1.000 |
| 1 | 4 (50.0%) | 5 (62.5%) | |
| 2 | 2 (25.0%) | 2 (25.0%) | |
| 3 | 0 (0.0%) | 0 (0.0%) | |
| 4 | 0 (0.0%) | 0 (0.0%) | |
| Necrosis | |||
| 0 | 0 (0.0%) | 0 (0.0%) | 1.000 |
| 1 | 0 (0.0%) | 0 (0.0%) | |
| 2 | 1 (12.5%) | 0 (0.0%) | |
| 3 | 5 (62.5%) | 6 (75.0%) | |
| 4 | 2 (25.0%) | 2 (25.0%) | |
| Collagen deposition | |||
| 0 | 5 (62.5%) | 6 (75.0%) | 1.000 |
| 1 | 3 (37.5%) | 2 (25.0%) | |
| 2 | 0 (0.0%) | 0 (0.0%) | |
| 3 | 0 (0.0%) | 0 (0.0%) | |
| 4 | 0 (0.0%) | 0 (0.0%) | |
| Neutrophil | |||
| 1 | 0 (0.0%) | 0 (0.0%) | 1.000 |
| 2 | 0 (0.0%) | 0 (0.0%) | |
| 3 | 2 (25.0%) | 2 (25.0%) | |
| 4 | 6 (75.0%) | 6 (75.0%) | |
| Lymphocyte | |||
| 1 | 3 (37.5%) | 0 (0.0%) | 0.097 |
| 2 | 5 (62.5%) | 6 (75.0%) | |
| 3 | 0 (0.0%) | 2 (25.0%) | |
| 4 | 0 (0.0%) | 0 (0.0%) | |
| Papaverine Use | p | ||
|---|---|---|---|
| Yes (n = 8) | No (n = 8) | ||
| Weight, g | 322 (310–338) | 323.5 (316–334) | 0.875 |
| Bursting pressure, mmHg | 3.5 (0–7) | 2.5 (0–4) | 0.455 |
| Hydroxyproline concentration, ng/mL | 128.57 (120.66–205.44) | 111.07 (63.57–175.63) | 0.248 |
| Ehrlich–Hunt score | 9 (6–10) | 8 (6–10) | 0.448 |
| Inflammation | |||
| 1 | 0 (0.0%) | 0 (0.0%) | 1.000 |
| 2 | 1 (12.5%) | 1 (12.5%) | |
| 3 | 2 (25.0%) | 3 (37.5%) | |
| 4 | 5 (62.5%) | 4 (50.0%) | |
| Fibroblast | |||
| 0 | 1 (12.5%) | 1 (12.5%) | 1.000 |
| 1 | 6 (75.0%) | 7 (87.5%) | |
| 2 | 1 (12.5%) | 0 (0.0%) | |
| 3 | 0 (0.0%) | 0 (0.0%) | |
| 4 | 0 (0.0%) | 0 (0.0%) | |
| Neoangiogenesis | |||
| 0 | 0 (0.0%) | 1 (12.5%) | 1.000 |
| 1 | 7 (87.5%) | 7 (87.5%) | |
| 2 | 1 (12.5%) | 0 (0.0%) | |
| 3 | 0 (0.0%) | 0 (0.0%) | |
| 4 | 0 (0.0%) | 0 (0.0%) | |
| Necrosis | |||
| 0 | 0 (0.0%) | 0 (0.0%) | 0.549 |
| 1 | 0 (0.0%) | 1 (12.5%) | |
| 2 | 3 (37.5%) | 1 (12.5%) | |
| 3 | 2 (25.0%) | 4 (50.0%) | |
| 4 | 3 (37.5%) | 2 (25.0%) | |
| Collagen deposition | |||
| 0 | 7 (87.5%) | 5 (62.5%) | 0.569 |
| 1 | 1 (12.5%) | 3 (37.5%) | |
| 2 | 0 (0.0%) | 0 (0.0%) | |
| 3 | 0 (0.0%) | 0 (0.0%) | |
| 4 | 0 (0.0%) | 0 (0.0%) | |
| Neutrophil | |||
| 1 | 1 (12.5%) | 0 (0.0%) | 0.765 |
| 2 | 1 (12.5%) | 1 (12.5%) | |
| 3 | 1 (12.5%) | 3 (37.5%) | |
| 4 | 5 (62.5%) | 4 (50.0%) | |
| Lymphocyte | |||
| 1 | 2 (25.0%) | 7 (87.5%) | 0.018 |
| 2 | 4 (50.0%) | 0 (0.0%) | |
| 3 | 2 (25.0%) | 1 (12.5%) | |
| 4 | 0 (0.0%) | 0 (0.0%) | |
| Papaverine Use | p | ||
|---|---|---|---|
| Yes (n = 8) | No (n = 8) | ||
| Weight, g | 316 (307–332) | 326.5 (312–338) | 0.074 |
| Bursting pressure, mmHg | 153.5 (141–214) | 154.5 (110–204) | 0.345 |
| Hydroxyproline concentration, ng/mL | 204.05 (160.82–282.97) | 192.86 (121.34–266.70) | 0.227 |
| Ehrlich–Hunt score | 14.5 (13–17) | 17.5 (16–19) | 0.012 |
| Inflammation | |||
| 1 | 0 (0.0%) | 0 (0.0%) | 0.026 |
| 2 | 1 (12.5%) | 0 (0.0%) | |
| 3 | 4 (50.0%) | 0 (0.0%) | |
| 4 | 3 (37.5%) | 8 (100.0%) | |
| Fibroblast | |||
| 0 | 0 (0.0%) | 0 (0.0%) | 0.282 |
| 1 | 0 (0.0%) | 0 (0.0%) | |
| 2 | 0 (0.0%) | 0 (0.0%) | |
| 3 | 4 (50.0%) | 1 (12.5%) | |
| 4 | 4 (50.0%) | 7 (87.5%) | |
| Neoangiogenesis | |||
| 0 | 0 (0.0%) | 0 (0.0%) | 0.282 |
| 1 | 0 (0.0%) | 0 (0.0%) | |
| 2 | 0 (0.0%) | 0 (0.0%) | |
| 3 | 4 (50.0%) | 1 (12.5%) | |
| 4 | 4 (50.0%) | 7 (87.5%) | |
| Necrosis | |||
| 0 | 1 (12.5%) | 0 (0.0%) | 0.230 |
| 1 | 4 (50.0%) | 2 (25.0%) | |
| 2 | 3 (37.5%) | 2 (25.0%) | |
| 3 | 0 (0.0%) | 3 (37.5%) | |
| 4 | 0 (0.0%) | 1 (12.5%) | |
| Collagen deposition | |||
| 0 | 0 (0.0%) | 0 (0.0%) | 1.000 |
| 1 | 0 (0.0%) | 0 (0.0%) | |
| 2 | 0 (0.0%) | 0 (0.0%) | |
| 3 | 6 (75.0%) | 7 (87.5%) | |
| 4 | 2 (25.0%) | 1 (12.5%) | |
| Neutrophil | |||
| 1 | 1 (12.5%) | 0 (0.0%) | 0.041 |
| 2 | 2 (25.0%) | 1 (12.5%) | |
| 3 | 3 (37.5%) | 0 (0.0%) | |
| 4 | 2 (25.0%) | 7 (87.5%) | |
| Lymphocyte | |||
| 1 | 0 (0.0%) | 0 (0.0%) | 0.674 |
| 2 | 4 (50.0%) | 3 (37.5%) | |
| 3 | 2 (25.0%) | 4 (50.0%) | |
| 4 | 2 (25.0%) | 1 (12.5%) | |
| Papaverine Use | p | ||
|---|---|---|---|
| Yes (n = 8) | No (n = 8) | ||
| Weight, g | 317 (303–338) | 324.5 (302–337) | 0.793 |
| Bursting pressure, mmHg | 120.5 (114–168) | 116 (94–146) | 0.207 |
| Hydroxyproline concentration, ng/mL | 234.12 (166.22–296.96) | 231.38 (118.62–298.66) | 1.000 |
| Ehrlich–Hunt score | 17 (11–18) | 16 (10–19) | 0.913 |
| Inflammation, grade | |||
| 1 | 0 (0.0%) | 0 (0.0%) | 0.569 |
| 2 | 0 (0.0%) | 1 (12.5%) | |
| 3 | 1 (12.5%) | 2 (25.0%) | |
| 4 | 7 (87.5%) | 5 (62.5%) | |
| Fibroblast, grade | |||
| 0 | 0 (0.0%) | 0 (0.0%) | 1.000 |
| 1 | 0 (0.0%) | 0 (0.0%) | |
| 2 | 1 (12.5%) | 1 (12.5%) | |
| 3 | 1 (12.5%) | 2 (25.0%) | |
| 4 | 6 (75.0%) | 5 (62.5%) | |
| Neoangiogenesis, grade | |||
| 0 | 0 (0.0%) | 0 (0.0%) | 0.569 |
| 1 | 0 (0.0%) | 0 (0.0%) | |
| 2 | 1 (12.5%) | 0 (0.0%) | |
| 3 | 1 (12.5%) | 3 (37.5%) | |
| 4 | 6 (75.0%) | 5 (62.5%) | |
| Necrosis, grade | |||
| 0 | 2 (25.0%) | 0 (0.0%) | 0.014 |
| 1 | 0 (0.0%) | 3 (37.5%) | |
| 2 | 6 (75.0%) | 2 (25.0%) | |
| 3 | 0 (0.0%) | 3 (37.5%) | |
| 4 | 0 (0.0%) | 0 (0.0%) | |
| Collagen deposition, grade | |||
| 0 | 0 (0.0%) | 0 (0.0%) | 1.000 |
| 1 | 1 (12.5%) | 1 (12.5%) | |
| 2 | 0 (0.0%) | 0 (0.0%) | |
| 3 | 1 (12.5%) | 2 (25.0%) | |
| 4 | 6 (75.0%) | 5 (62.5%) | |
| Neutrophil, grade | |||
| 1 | 0 (0.0%) | 0 (0.0%) | 0.713 |
| 2 | 0 (0.0%) | 2 (25.0%) | |
| 3 | 1 (12.5%) | 1 (12.5%) | |
| 4 | 7 (87.5%) | 5 (62.5%) | |
| Lymphocyte, grade | |||
| 1 | 1 (12.5%) | 0 (0.0%) | 1.000 |
| 2 | 6 (75.0%) | 7 (87.5%) | |
| 3 | 1 (12.5%) | 1 (12.5%) | |
| 4 | 0 (0.0%) | 0 (0.0%) | |
Disclaimer/Publisher’s Note: The statements, opinions and data contained in all publications are solely those of the individual author(s) and contributor(s) and not of MDPI and/or the editor(s). MDPI and/or the editor(s) disclaim responsibility for any injury to people or property resulting from any ideas, methods, instructions or products referred to in the content. |
© 2024 by the authors. Licensee MDPI, Basel, Switzerland. This article is an open access article distributed under the terms and conditions of the Creative Commons Attribution (CC BY) license (https://creativecommons.org/licenses/by/4.0/).
Share and Cite
Ozdemir, D.B.; Karayigit, A.; Tekin, E.; Kocaturk, E.; Bal, C.; Ozer, I. The Effect of Local Papaverine Use in an Experimental High-Risk Colonic Anastomosis Model: Reduced Inflammatory Findings and Less Necrosis. J. Clin. Med. 2024, 13, 5638. https://doi.org/10.3390/jcm13185638
Ozdemir DB, Karayigit A, Tekin E, Kocaturk E, Bal C, Ozer I. The Effect of Local Papaverine Use in an Experimental High-Risk Colonic Anastomosis Model: Reduced Inflammatory Findings and Less Necrosis. Journal of Clinical Medicine. 2024; 13(18):5638. https://doi.org/10.3390/jcm13185638
Chicago/Turabian StyleOzdemir, Dursun Burak, Ahmet Karayigit, Emel Tekin, Evin Kocaturk, Cengiz Bal, and Ilter Ozer. 2024. "The Effect of Local Papaverine Use in an Experimental High-Risk Colonic Anastomosis Model: Reduced Inflammatory Findings and Less Necrosis" Journal of Clinical Medicine 13, no. 18: 5638. https://doi.org/10.3390/jcm13185638
APA StyleOzdemir, D. B., Karayigit, A., Tekin, E., Kocaturk, E., Bal, C., & Ozer, I. (2024). The Effect of Local Papaverine Use in an Experimental High-Risk Colonic Anastomosis Model: Reduced Inflammatory Findings and Less Necrosis. Journal of Clinical Medicine, 13(18), 5638. https://doi.org/10.3390/jcm13185638

