Retinal and Corneal OCT Results of Patients Hospitalized and Treated in the Acute Phase of COVID-19
Abstract
1. Introduction
2. Materials and Methodology
Statistical Analysis
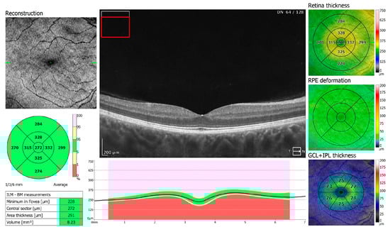
3. Results
4. Discussion
5. Conclusions
Supplementary Materials
Author Contributions
Funding
Institutional Review Board Statement
Informed Consent Statement
Data Availability Statement
Conflicts of Interest
References
- World Health Organisation. COVID-19 Epidemiological Update Edition 165, 15 March 2024. Available online: https://iris.who.int/handle/10665/376322 (accessed on 15 April 2024).
- Torabizadeh, C.; Iloonkashkooli, R.; Haghshenas, H.; Fararouei, M. Prevalence of Cardiovascular Complications in Coronavirus Disease 2019 adult Patients: A Systematic Review and Meta-Analysis. Iran. J. Med. Sci. 2023, 48, 243–267. [Google Scholar] [CrossRef] [PubMed]
- Gupta, A.; Madhavan, M.V.; Sehgal, K.; Nair, N.; Mahajan, S.; Sehrawat, T.S.; Bikdeli, B.; Ahluwalia, N.; Ausiello, J.C.; Wan, E.Y.; et al. Extrapulmonary manifestations of COVID-19. Nat. Med. 2020, 26, 1017–1032. [Google Scholar] [CrossRef] [PubMed]
- Leung, E.H.; Fan, J.; Flynn, H.W.; Albini, T.A. Ocular and Systemic Complications of COVID-19: Impact on Patients and Healthcare. Clin. Ophthalmol. 2022, 16, 1–13. [Google Scholar] [CrossRef] [PubMed]
- Akbari, M.; Dourandeesh, M. Update on overview of ocular manifestations of COVID-19. Front. Med. 2022, 9, 877023. [Google Scholar] [CrossRef] [PubMed]
- Dong, J.; Chen, R.; Zhao, H.; Zhu, Y. COVID-19 and ocular complications: A review of ocular manifestations, diagnostic tools, and prevention strategies. Adv. Ophthalmol. Pract. Res. 2023, 3, 33–38. [Google Scholar] [CrossRef]
- Invernizzi, A.; Torre, A.; Parrulli, S.; Zicarelli, F.; Schiuma, M.; Colombo, V.; Giacomelli, A.; Cigada, M.; Milazzo, L.; Ridolfo, A.; et al. Retinal findings in patients with COVID-19: Results from the SERPICO-19 study. EClinicalMedicine 2020, 27, 100550. [Google Scholar] [CrossRef]
- Burgos-Blasco, B.; Güemes-Villahoz, N.; Morales-Fernandez, L.; Callejas-Caballero, I.; Perez-Garcia, P.; Donate-Lopez, J.; Ramos-Amador, J.T.; Garcia-Feijoo, J. Retinal nerve fibre layer and ganglion cell layer changes in children who recovered from COVID-19: A cohort study. Arch. Dis. Child. 2022, 107, 175–179. [Google Scholar] [CrossRef]
- Kolokoltsev, O.; Gómez-Arista, I.; Treviño-Palacios, C.G.; Qureshi, N.; Mejia-Uriarte, E.V. Swept source OCT beyond the coherence length limit. IEEE J. Sel. Top. Quantum Electron. 2016, 22, 222–227. [Google Scholar] [CrossRef]
- Chung, S.H.; Sin, T.N.; Dang, B.; Ngo, T.; Lo, T.; Lent-Schochet, D.; Meleppat, R.K.; Zawadzki, R.J.; Yiu, G. CRISPR-based VEGF suppression using paired guide RNAs for treatment of choroidal neovascularization. Mol. Ther. Nucleic Acids 2022, 28, 613–622. [Google Scholar] [CrossRef]
- Daher, N.D.; Syed, Z.A. Bilateral interstitial keratitis following COVID-19: A case report. BMC Ophthalmol. 2023, 23, 414. [Google Scholar] [CrossRef]
- Pareja-Ríos, A.; Bonaque-González, S. Late corneal stromal deposits after covid-19. Cornea 2021, 40, 1067–1069. [Google Scholar] [CrossRef]
- Cheema, M.; Aghazadeh, H.; Nazarali, S.; Ting, A.; Hodges, J.; McFarlane, A.; Kanji, J.N.; Zelyas, N.; Damji, K.F.; Solarte, C. Keratoconjunctivitis as the initial medical presentation of the novel coronavirus disease 2019 (COVID-19). Can. J. Ophthalmol. 2020, 55, e125–e129. [Google Scholar] [CrossRef] [PubMed]
- Méndez Mangana, C.; Barraquer Kargacin, A.; Barraquer, R.I. Episcleritis as an ocular manifestation in a patient with COVID-19. Acta Ophthalmol. 2020, 98, e1056–e1057. [Google Scholar] [CrossRef] [PubMed]
- Oren, B.; Kocabas, D.O. Assessment of corneal endothelial cell morphology and anterior segment parameters in COVID-19. Ther. Adv. Ophthalmol. 2022, 14, 25158414221096057. [Google Scholar] [CrossRef] [PubMed]
- Qazi, Y.; Wong, G.; Monson, B.; Stringham, J.; Ambati, B.K. Corneal transparency: Genesis, maintenance and dysfunction. Brain Res. Bull. 2010, 81, 198–210. [Google Scholar] [CrossRef]
- Erdem, S.; Karahan, M.; Ava, S.; Dursun, M.E.; Hazar, L.; Keklikci, U. Examination of the effects of COVID 19 on corneal endothelium. Graefe’s Arch. Clin. Exp. Ophthalmol. 2021, 259, 2295–2300. [Google Scholar] [CrossRef]
- Ismail, Y.M.; Aal, M.A.; Attia, W.H.; Hassanin, A. Evaluation of corneal structural changes in post-COVID-19 patients using anterior segment optical coherence tomography and specular microscopy. J. Egypt. Ophthalmol. Soc. 2023, 116, 234–240. [Google Scholar] [CrossRef]
- Szkodny, D.; Wylęgała, A.; Chlasta-Twardzik, E.; Wylęgała, E. The Ocular Surface Symptoms and Tear Film Parameters during and after COVID-19 Infection. J. Clin. Med. 2022, 11, 6697. [Google Scholar] [CrossRef]
- Colakoglu, A.; Cosar, C.B. Age-Related Changes in Corneal Epithelial Thickness Measured with an Ultrasound Pachymeter. Clin. Interv. Aging 2022, 17, 1461–1470. [Google Scholar] [CrossRef]
- Örnek, K.; Temel, E.; Kocamış, Ö.; Aşıkgarip, N.; Hızmalı, L. Anterior segment parameters in patients with coronavirus disease. Arq. Bras. Oftalmol. 2021, 84, 301–302. [Google Scholar] [CrossRef]
- Marinho, P.M.; Marcos, A.A.A.; Romano, A.C.; Nascimento, H.; Belfort, R. Retinal findings in patients with COVID-19. Lancet 2020, 395, 1610. [Google Scholar] [CrossRef]
- Pereira, L.A.; Soares, L.C.M.; Nascimento, P.A.; Cirillo, L.R.N.; Sakuma, H.T.; da Veiga, G.L.; Fonseca, F.L.A.; Lima, V.L.; Abucham-Neto, J.Z. Retinal findings in hospitalised patients with severe COVID-19. Br. J. Ophthalmol. 2022, 106, 102–105. [Google Scholar] [CrossRef]
- Bansal, R.; Markan, A.; Gautam, N.; Guru, R.R.; Lakshmi, P.V.M.; Katoch, D.; Agarwal, A.; Singh, M.P.; Suri, V.; Mohindra, R.; et al. Retinal Involvement in COVID-19: Results From a Prospective Retina Screening Program in the Acute and Convalescent Phase. Front. Med. 2021, 8, 681942. [Google Scholar] [CrossRef] [PubMed]
- Lani-Louzada, R.; do Val Ferreira Ramos, C.; Cordeiro, R.M.; Sadun, A.A. Retinal changes in COVID-19 hospitalized cases. PLoS ONE 2020, 15, e0243346. [Google Scholar] [CrossRef] [PubMed]
- Vavvas, D.G.; Sarraf, D.; Sadda, S.R.; Eliott, D.; Ehlers, J.P.; Waheed, N.K.; Morizane, Y.; Sakamoto, T.; Tsilimbaris, M.; Miller, J.B. Concerns about the interpretation of OCT and fundus findings in COVID-19 patients in recent Lancet publication. Eye 2020, 34, 2153–2154. [Google Scholar] [CrossRef]
- Szkodny, D.; Wylęgała, E.; Sujka-Franczak, P.; Chlasta-Twardzik, E.; Fiolka, R.; Tomczyk, T.; Wylęgała, A. Retinal oct findings in patients after covid infection. J. Clin. Med. 2021, 10, 3233. [Google Scholar] [CrossRef]
- Kal, M.; Brzdęk, M.; Zarębska-Michaluk, D.; Pinna, A.; Mackiewicz, J.; Odrobina, D.; Winiarczyk, M.; Karska-Basta, I. Optical Coherence Tomography Angiography Assessment of the Optic Nerve Head in Patients Hospitalized Due to COVID-19 Bilateral Pneumonia. Medicina 2024, 60, 502. [Google Scholar] [CrossRef]
- Lechien, J.R.; Chiesa-Estomba, C.M.; De Siati, D.R.; Horoi, M.; Le Bon, S.D.; Rodriguez, A.; Dequanter, D.; Blecic, S.; El Afia, F.; Distinguin, L.; et al. Olfactory and gustatory dysfunctions as a clinical presentation of mild-to-moderate forms of the coronavirus disease (COVID-19): A multicenter European study. Eur. Arch. Oto-Rhino-Laryngol. 2020, 277, 2251–2261. [Google Scholar] [CrossRef] [PubMed]
- Burgos-Blasco, B.; Güemes-Villahoz, N.; Vidal-Villegas, B.; Martinez-De-La-Casa, J.M.; Donate-Lopez, J.; Martín-Sánchez, F.J.; González-Armengol, J.J.; Porta-Etessam, J.; Martin, J.L.R.; Garcia-Feijoo, J. Optic nerve and macular optical coherence tomography in recovered COVID-19 patients. Eur. J. Ophthalmol. 2022, 32, 628–636. [Google Scholar] [CrossRef]
- Savastano, A.; Crincoli, E.; Savastano, M.C.; Younis, S.; Gambini, G.; De Vico, U.; Cozzupoli, G.M.; Culiersi, C.; Rizzo, S.; Gemelli Against COVID-19 Post-Acute Care Study Group. Peripapillary retinal vascular involvement in early post-COVID-19 patients. J. Clin. Med. 2020, 9, 2895. [Google Scholar] [CrossRef]
- Ullah, I.; Sohail, A.; Alam Shah, M.U.F.; Khurshid, M.; Diwan, M.N.; Qadir, A.; Irfan, M. Central Retinal Vein Occlusion in patients with COVID-19 infection: A systematic review. Ann. Med. Surg. 2021, 71, 102898. [Google Scholar] [CrossRef]
- Bapaye, M.M.; Nair, A.G.; Bapaye, C.M.; Bapaye, M.M.; Shukla, J.J. Simultaneous Bilateral Central Retinal Artery Occlusion following COVID-19 Infection. Ocul. Immunol. Inflamm. 2021, 29, 671–674. [Google Scholar] [CrossRef] [PubMed]
- Bayram, N.; Gundogan, M.; Ozsaygılı, C.; Adelman, R.A. Posterior ocular structural and vascular alterations in severe COVID-19 patients. Graefe’s Arch. Clin. Exp. Ophthalmol. 2022, 260, 993–1004. [Google Scholar] [CrossRef]
- Abrishami, M.; Daneshvar, R.; Emamverdian, Z.; Tohidinezhad, F.; Eslami, S. Optic Nerve Head Parameters and Peripapillary Retinal Nerve Fiber Layer Thickness in Patients with Coronavirus Disease 2019. Ocul. Immunol. Inflamm. 2022, 30, 1035–1038. [Google Scholar] [CrossRef]
- Abrishami, M.; Hassanpour, K.; Hosseini, S.; Shoeibi, N.; Ansari-Astaneh, M.R.; Emamverdian, Z.; Gharib, B.; Amini, N.; Abrishami, M. Peripapillary Nerve Fiber Layer Thickness and Optic Nerve Head Parameters in Patients Recovered from COVID-19: A Longitudinal Study. J. Ophthalmol. 2022, 2022, 4643973. [Google Scholar] [CrossRef]
- Hondur, G.; Göktaş, E.; Al-Aswad, L.; Tezel, G. Age-related changes in the peripheral retinal nerve fiber layer thickness. Clin. Ophthalmol. 2018, 12, 401–409. [Google Scholar] [CrossRef] [PubMed]
- Jevnikar, K.; Meglič, A.; Lapajne, L.; Logar, M.; Valentinčič, N.V.; Petrovič, M.G.; Mekjavić, P.J. The impact of acute COVID-19 on the retinal microvasculature assessed with multimodal imaging. Graefe’s Arch. Clin. Exp. Ophthalmol. 2023, 261, 1115–1125. [Google Scholar] [CrossRef]
- Kal, M.; Winiarczyk, M.; Cieśla, E.; Płatkowska-Adamska, B.; Walczyk, A.; Biskup, M.; Pabjan, P.; Głuszek, S.; Odrobina, D.; Mackiewicz, J.; et al. Retinal Microvascular Changes in COVID-19 Bilateral Pneumonia Based on Optical Coherence Tomography Angiography. J. Clin. Med. 2022, 11, 3621. [Google Scholar] [CrossRef]
- Dag Seker, E.; Erbahceci Timur, I.E. COVID-19: More than a respiratory virus, an optical coherence tomography study. Int. Ophthalmol. 2021, 41, 3815–3824. [Google Scholar] [CrossRef]
- WHO Team. Oxygen Sources and Distribution for COVID-19 Treatment Centres Interim Guidance 4 April 2020 Background; World Health Organization: Geneva, Switzerland, 2020; p. 1. [Google Scholar]
- Ceylan, I.; Korkmaz, H.A.; Ulutaş, H.G. Eye care in intensive care in COVID-19 era: A prospective observational study from Turkey. Eur. Rev. Med. Pharmacol. Sci. 2022, 26, 2165–2170. [Google Scholar] [CrossRef]
- Lin, T.P.M.; Ko, C.-N.; Zheng, K.; Lai, K.H.F.; Wong, R.L.F.; Lee, A.F.; Zhang, S.; Huang, S.S.M.; Wan, K.H.M.; Lam, D.S.M. COVID-19: Update on Its Ocular Involvements, and Complications from Its Treatments and Vaccinations. Asia-Pac. J. Ophthalmol. 2021, 10, 521–529. [Google Scholar] [CrossRef] [PubMed]
- The WHO Rapid Evidence Appraisal for COVID-19 Therapies (REACT) Working Group; Shankar-Hari, M.; Vale, C.L.; Godolphin, P.J.; Fisher, D.; Higgins, J.P.T.; Spiga, F.; Savović, J.; Tierney, J.; Baron, G.; et al. Association between Administration of IL-6 Antagonists and Mortality among Patients Hospitalized for COVID-19: A Meta-analysis. JAMA—J. Am. Med. Assoc. 2021, 326, 499–518. [Google Scholar] [CrossRef]
- Abidi, E.; El Nekidy, W.S.; Alefishat, E.; Rahman, N.; Petroianu, G.A.; El-Lababidi, R.; Mallat, J. Tocilizumab and COVID-19: Timing of Administration and Efficacy. Front. Pharmacol. 2022, 13, 825749. [Google Scholar] [CrossRef] [PubMed]
- Wei, Q.; Lin, H.; Wei, R.-G.; Chen, N.; He, F.; Zou, D.-H.; Wei, J.-R. Tocilizumab treatment for COVID-19 patients: A systematic review and meta-analysis. Infect. Dis. Poverty 2021, 10, 71. [Google Scholar] [CrossRef]
- Jorda, A.; Kussmann, M.; Kolenchery, N.; Siller-Matula, J.M.; Zeitlinger, M.; Jilma, B.; Gelbenegger, G. Convalescent Plasma Treatment in Patients with COVID-19: A Systematic Review and Meta-Analysis. Front. Immunol. 2022, 13, 817829. [Google Scholar] [CrossRef] [PubMed]
- Zein, M.; Wylegala, A.M.; Sripawadkul, W.; Al Bayyat, G.; Alvarez, O.P.B.; Gutierrez, A.J.N.; Guerrero, M.A.C.; Galor, A.M.; Karp, C.L. Corneal topography and tomography readings with mask wear during the COVID-19 pandemic. J. Cataract Refract. Surg. 2023, 49, 285–291. [Google Scholar] [CrossRef]






| Number of Participants | ||
|---|---|---|
| COVID-19 + | COVID-19 − | |
| Male | 14 | 28 |
| Female | 10 | 10 |
| Oxygen therapy 1–10 L | 20 | |
| HFNOT | 4 | |
| Remdesivir: | ||
| Yes | 5 | |
| No | 19 | |
| Tocilizumab: | ||
| Yes | 11 | |
| No | 13 | |
| Convalescent plasma: | ||
| Yes | 5 | |
| No | 19 | |
| Average duration of the therapy | 6.70 (range: 2–35 days) | |
| Variable | COVID-19 before Treatment | ||||
|---|---|---|---|---|---|
| Median | Minimum | Maximum | Standard | p Value vs. COVID-19 after Treatment | |
| Macular Volume | 7.74 | 7.13 | 8.79 | 0.06 | 0.63 |
| Central Macular Thickness | 232.00 | 195.00 | 303.00 | 3.47 | 0.81 |
| Central Corneal Thickness | 541.00 | 471.00 | 704.00 | 6.30 | 0.88 |
| Mean RNFL thickness | 104.00 | 85.00 | 124.00 | 1.31 | 0.48 |
| Corneal Epithelium | 57.00 | 48.00 | 72.00 | 0.96 | 0.45 |
| Age | 58.00 | 33.00 | 69.00 | 3.30 | NA |
| Average Macular Thickness | 274.00 | 252.00 | 311.00 | 1.99 | 0.84 |
| Variable | COVID-19 after treatment | ||||
| Median | Minimum | Maximum | Standard | NA | |
| Macular Volume | 7.70 | 7.24 | 8.82 | 0.06 | NA |
| Central Macular Thickness | 233.00 | 212.00 | 293.00 | 3.13 | NA |
| Central Corneal Thickness | 534.00 | 495.00 | 586.00 | 4.10 | NA |
| Mean RNFL thickness | 104.00 | 85.00 | 122.00 | 1.53 | NA |
| Corneal Epithelium | 57.00 | 51.00 | 70.00 | 1.12 | NA |
| Age | 61.00 | 30.00 | 78.00 | 4.44 | NA |
| Average Macular Thickness | 272.00 | 256.00 | 312.00 | 2.04 | NA |
| Variable | group = Control Descriptive Statistics (Spreadsheet z control) | ||||
| Median | Minimum | Maximum | Standard | p value (vs. the COVID-19 group) | |
| Macular Volume | 7.74 | 7.24 | 8.76 | 0.05 | 0.93 |
| Central Macular Thickness | 229.00 | 203.00 | 266.00 | 2.36 | 0.95 |
| Central Corneal Thickness | 537.00 | 480.00 | 648.00 | 5.76 | 0.16 |
| Mean RNFL thickness | 104.00 | 76.00 | 130.00 | 1.61 | 0.90 |
| Corneal Epithelium | 57.00 | 52.00 | 67.00 | 0.59 | 0.56 |
| Age | 61.00 | 40.00 | 79.00 | 1.89 | 0.43 |
| Average Macular Thickness | 275.00 | 232.00 | 316.00 | 2.85 | 0.83 |
| Oxygen Therapy (L/min) | Oxygen Therapy Settings | Length of COVID-19 | Remdesivir | Plasma | Tocilizumab | |
|---|---|---|---|---|---|---|
| Gender | −0.24 | −0.25 | −0.30 | 0.05 | −0.05 | −0.22 |
| Age | 0.33 | 0.28 | 0.30 | 0.06 | −0.07 | −0.24 |
| Central Macular Thickness | 0.30 | 0.16 | 0.07 | −0.12 | −0.25 | 0.45 |
| Average retinal thickness | 0.16 | 0.05 | 0.10 | −0.37 | −0.31 | 0.37 |
| Macular Volume | 0.16 | 0.05 | 0.10 | −0.37 | −0.30 | 0.38 |
| Disc size | 0.39 | 0.28 | −0.01 | −0.30 | −0.19 | −0.06 |
| Rim | 0.18 | 0.21 | 0.00 | −0.14 | −0.12 | 0.53 |
| Cup | 0.10 | −0.00 | −0.00 | −0.07 | −0.02 | −0.52 |
| Mean cup | −0.09 | −0.19 | 0.03 | −0.03 | 0.07 | −0.37 |
| c/d ratio | −0.00 | −0.09 | −0.02 | −0.03 | 0.00 | −0.56 |
| Mean RNFL thickness | 0.37 | 0.38 | 0.26 | −0.34 | −0.23 | 0.51 |
| Central corneal thickness | −0.16 | −0.10 | −0.02 | −0.40 | −0.38 | 0.11 |
| Corneal epithelium center | −0.42 | −0.47 | −0.06 | 0.38 | 0.28 | 0.01 |
Disclaimer/Publisher’s Note: The statements, opinions and data contained in all publications are solely those of the individual author(s) and contributor(s) and not of MDPI and/or the editor(s). MDPI and/or the editor(s) disclaim responsibility for any injury to people or property resulting from any ideas, methods, instructions or products referred to in the content. |
© 2024 by the authors. Licensee MDPI, Basel, Switzerland. This article is an open access article distributed under the terms and conditions of the Creative Commons Attribution (CC BY) license (https://creativecommons.org/licenses/by/4.0/).
Share and Cite
Wylęgała, E.; Prus-Ludwig, A.; Mocek, P.; Tomczyk, T.; Dugiełło, B.; Madej, A.; Orzechowska-Wylęgała, B.; Wylęgała, A. Retinal and Corneal OCT Results of Patients Hospitalized and Treated in the Acute Phase of COVID-19. J. Clin. Med. 2024, 13, 5564. https://doi.org/10.3390/jcm13185564
Wylęgała E, Prus-Ludwig A, Mocek P, Tomczyk T, Dugiełło B, Madej A, Orzechowska-Wylęgała B, Wylęgała A. Retinal and Corneal OCT Results of Patients Hospitalized and Treated in the Acute Phase of COVID-19. Journal of Clinical Medicine. 2024; 13(18):5564. https://doi.org/10.3390/jcm13185564
Chicago/Turabian StyleWylęgała, Edward, Aleksandra Prus-Ludwig, Patrycja Mocek, Tomasz Tomczyk, Bogdan Dugiełło, Andrzej Madej, Bogusława Orzechowska-Wylęgała, and Adam Wylęgała. 2024. "Retinal and Corneal OCT Results of Patients Hospitalized and Treated in the Acute Phase of COVID-19" Journal of Clinical Medicine 13, no. 18: 5564. https://doi.org/10.3390/jcm13185564
APA StyleWylęgała, E., Prus-Ludwig, A., Mocek, P., Tomczyk, T., Dugiełło, B., Madej, A., Orzechowska-Wylęgała, B., & Wylęgała, A. (2024). Retinal and Corneal OCT Results of Patients Hospitalized and Treated in the Acute Phase of COVID-19. Journal of Clinical Medicine, 13(18), 5564. https://doi.org/10.3390/jcm13185564

