Clinical Characteristics of Punctate Hyperfluorescence Spots in the Fellow Eye of Patients with Unilateral Macular Neovascularization with No Drusen
Abstract
1. Introduction
2. Materials and Methods
2.1. Study Design
2.2. Treatment Method
2.3. Research and Analysis
2.4. Statistical Analysis
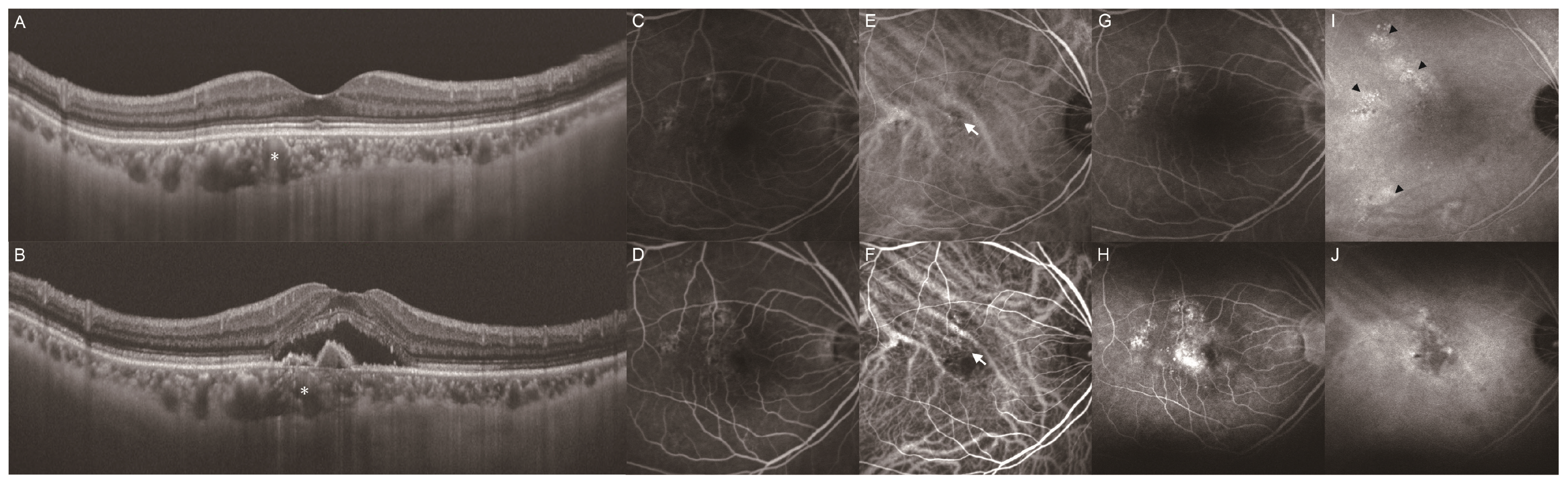
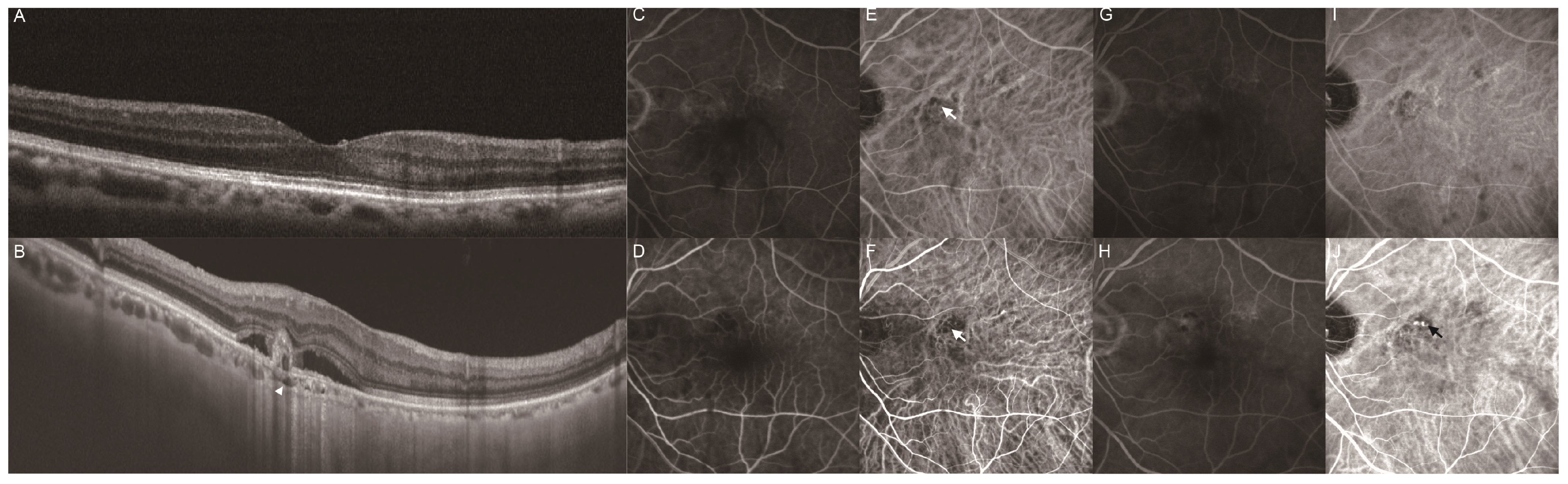
3. Results
3.1. Patient Characteristics
3.2. One-Year Outcome of IVA Therapy
3.3. Incidence of MNV in the Fellow Eye
4. Discussion
5. Conclusions
Author Contributions
Funding
Institutional Review Board Statement
Informed Consent Statement
Data Availability Statement
Acknowledgments
Conflicts of Interest
References
- Warrow, D.J.; Hoang, Q.V.; Freund, K.B. Pachychoroid pigment epitheliopathy. Retina 2013, 33, 1659–1672. [Google Scholar] [CrossRef] [PubMed]
- Pang, C.E.; Freund, K.B. Pachychoroid neovasculopathy. Retina 2015, 35, 1–9. [Google Scholar] [CrossRef] [PubMed]
- Fung, A.T.; Yannuzzi, L.A.; Freund, K.B. Type 1 (sub-retinal pigment epithelial) neovascularization in central serous chorioretinopathy masquerading as neovascular age-related macular degeneration. Retina 2012, 32, 1829–1837. [Google Scholar] [CrossRef] [PubMed]
- Spaide, R.F.; Yannuzzi, L.A.; Slakter, J.S.; Sorenson, J.; Orlach, D.A. Indocyanine green videoangiography of idiopathic polypoidal choroidal vasculopathy. Retina 1995, 15, 100–110. [Google Scholar] [CrossRef]
- Phasukkijwatana, N.; Freund, K.B.; Dolz-Marco, R.; Al-Sheikh, M.; Keane, P.A.; Egan, C.A.; Randhawa, S.; Stewart, J.M.; Liu, Q.; Hunyor, A.P.; et al. Peripapillary pachychoroid syndrome. Retina 2018, 38, 1652–1667. [Google Scholar] [CrossRef]
- Margolis, R.; Mukkamala, S.K.; Jampoll, L.M.; Spaide, R.F.; Ober, M.D.; Sorenson, J.A.; Gentile, R.C.; Miller, J.A.; Sherman, J.; Freund, K.B. The expanded spectrum of focal choroidal excavation. Arch. Ophthalmol. 2011, 129, 1320–1325. [Google Scholar] [CrossRef]
- Yanagi, Y. Pachychoroid disease: A new perspective on exudative maculopathy. Jpn. J. Ophthalmol. 2020, 64, 323–337. [Google Scholar] [CrossRef]
- Hayashi, K.; Hasegawa, Y.; Tokoro, T. Indocyanine green angiography of central serous chorioretinopathy. Int. Ophthalmol. 1986, 9, 37–41. [Google Scholar] [CrossRef]
- Spaide, R.F. Disease expression in nonexudative age-related macular degeneration varies with choroidal thickness. Retina 2018, 38, 708–716. [Google Scholar] [CrossRef]
- Iida, T.; Kishi, S.; Hagimura, N.; Shimizu, K. Persistent and bilateral choroidal vascular abnormalities in central serous chorioretinopathy. Retina 1999, 19, 508–512. [Google Scholar] [CrossRef]
- Fukuda, Y.; Sakurada, Y.; Sugiyama, A.; Yoneyama, S.; Matsubara, M.; Kikushima, W.; Tanabe, N.; Parikh, R.; Kashiwagi, K. Pachydrusen in fellow eyes predict response to aflibercept monotherapy in patients with polypoidal choroidal vasculopathy. J. Clin. Med. 2020, 9, 2459. [Google Scholar] [CrossRef] [PubMed]
- Kamao, H.; Mitsui, E.; Date, Y.; Goto, K.; Mizulawa, K.; Miki, A. Clinical characteristics of unilateral macular neovascularization patients with pachydrusen in the fellow eye. J. Clin. Med. 2024, 13, 3757. [Google Scholar] [CrossRef] [PubMed]
- Tsujikawa, A.; Ojima, Y.; Yamashiro, K.; Ooto, S.; Tamura, H.; Nakagawa, S.; Yoshimura, N. Punctate hyperfluorescent spots associated with central serous chorioretinopathy as seen on indocyanine green angiography. Retina 2010, 30, 801–809. [Google Scholar] [CrossRef] [PubMed]
- Park, S.J.; Kim, B.H.; Park, K.H.; Woo, S.J. Punctate hyperfluorescence spot as a common choroidopathy of central serous chorioretinopathy and polypoidal choroidal vasculopathy. Am. J. Ophthalmol. 2014, 158, 1155–1163. [Google Scholar] [CrossRef] [PubMed]
- Kamao, H.; Goto, K.; Mito, Y.; Miki, A.; Kiryu, J. Effects of smoking on outcomes of antivascular endothelial growth factor therapy in patients with neovascular age-related macular degeneration smoking and anti-VEGF Therapy in nAMD. J. Ophthalmol. 2018, 2018, 2353428. [Google Scholar] [CrossRef]
- Bousquet, E.; Bonnin, S.; Mrejen, S.; Krivosic, V.; Tadayoni, R.; Gaudric, A. Optical coherence tomography angiography of flat irregular pigment epithelium detachment in chronic central serous chorioretinopathy. Retina 2018, 38, 629–638. [Google Scholar] [CrossRef]
- Kamao, H.; Goto, K.; Matsuno, K.; Mizukawa, K.; Miki, A.; Kiryu, J. Clinical characteristics of neovascular age-related macular degeneration without typical drusen. J. Ophthalmol. 2021, 2021, 6683532. [Google Scholar] [CrossRef]
- Dansingani, K.K.; Tan, A.C.S.; Gilani, F.; Phasukkijwatana, N.; Novais, E.; Querques, L.; Waheed, N.K.; Duker, J.S.; Querques, G.; Yannuzzi, L.A.; et al. Subretinal hyperreflective material imaged with optical coherence tomography angiography. Am. J. Ophthalmol. 2016, 169, 235–248. [Google Scholar] [CrossRef]
- Kim, H.; Lee, J.H.; Kwon, K.Y.; Byeon, S.H.; Lee, S.C.; Lee, C.S. Punctate hyperfluorescent spots associated with polypoidal choroidal vasculopathy on indocyanine green angiography. Ophthalmic. Surg. Lasers Imaging Retina. 2015, 46, 423–427. [Google Scholar] [CrossRef]
- Kang, H.G.; Han, J.Y.; Kim, M.; Byeon, S.H.; Kim, S.S.; Koh, H.J.; Lee, C.S. Pachydrusen, choroidal vascular hyperpermeability, and punctate hyperfluorescent spots. Graefes Arch. Clin. Exp. Ophthalmol. 2021, 259, 2391–2400. [Google Scholar] [CrossRef]
- Miyake, M.; Ooto, S.; Yamashiro, K.; Takahashi, A.; Yoshikawa, M.; Akagi-Kurashige, Y.; Ueda-Arakawa, N.; Oishi, A.; Nakanishi, H.; Tamura, H.; et al. Pachychoroid neovasculopathy and age-related macular degeneration. Sci. Rep. 2015, 5, 16204. [Google Scholar] [CrossRef] [PubMed]
- Matsumoto, H.; Hiroe, T.; Morimoto, M.; Mimura, K.; Ito, A.; Akiyama, H. Efficacy of treat-and-extend regimen with aflibercept for pachychoroid neovasculopathy and Type 1 neovascular age-related macular degeneration. Jpn. J. Ophthalmol. 2018, 62, 144–150. [Google Scholar] [CrossRef] [PubMed]
- Kuroda, Y.; Yamashiro, K.; Miyake, M.; Yoshikawa, M.; Nakanishi, H.; Oishi, A.; Tamura, H.; Ooto, S.; Tsujikawa, A.; Yoshimura, N. Factors associated with recurrence of age-related macular degeneration after anti-vascular endothelial growth factor treatment: A retrospective cohort study. Ophthalmology 2015, 122, 2303–2310. [Google Scholar] [CrossRef] [PubMed]
- Kuranami, A.; Maruko, R.; Maruko, I.; Hasegawa, T.; Iida, T. Pachychoroid neovasculopathy has clinical properties that differ from conventional neovascular age-related macular degeneration. Sci. Rep. 2023, 13, 7379. [Google Scholar] [CrossRef]
- Matsumoto, H.; Hoshino, J.; Mukai, R.; Nakamura, K.; Kishi, S.; Akiyama, H. Chronic choriocapillaris ischemia in dilated vortex vein region in pachychoroid neovasculopathy. Sci. Rep. 2021, 11, 16274. [Google Scholar] [CrossRef]
- Sakurada, Y.; Fragiotta, S.; Leong, B.C.S.; Parikh, R.; Hussnain, S.A.; Freund, K.B. Relationship between choroidal vascular hyperpermeability, choriocapillaris flow density, and choroidal thickness in eyes with pachychoroid pigment epitheliopathy. Retina 2020, 40, 657–662. [Google Scholar] [CrossRef]
- Siedlecki, J.; Schworm, B.; Priglinger, S.G. The pachychoroid disease spectrum-and the need for a uniform classification system. Ophthalmol Retina 2019, 3, 1013–1015. [Google Scholar] [CrossRef]
- Yagi, M.; Miyake, M.; Mori, Y.; Hosoda, Y.; Takahashi, A.; Muraoka, Y.; Ueda-Arakawa, N.; Miyata, M.; Yamashiro, K.; Tamura, H.; et al. Natural course of pachychoroid pigment epitheliopathy. Ophthalmol. Sci. 2022, 2, 100201. [Google Scholar]
- Tang, J.; Han, X.; Tang, R.; Li, M.; Wang, Z.; Zhao, M.; Qu, J. Case series: Pachychoroid pigment epitheliopathy transformed to polypoidal choroidal vasculopathy after long-term follow-up. BMC Ophthalmol. 2022, 22, 272. [Google Scholar] [CrossRef]
- Margolis, R.; Spaide, R.F. A pilot study of enhanced depth imaging optical coherence tomography of the choroid in normal eyes. Am. J. Ophthalmol. 2009, 147, 811–815. [Google Scholar] [CrossRef]
- Li, X.Q.; Larsen, M.; Munch, I.C. Subfoveal choroidal thickness in relation to sex and axial length in 93 danish university students. Investig. Ophthalmol. Vis. Sci. 2011, 52, 8438–8441. [Google Scholar] [CrossRef] [PubMed]
- Lee, G.W.; Roh, H.C.; Kang, S.W.; Kim, A.Y.; Noh, H.; Choi, K.J. The implications of subretinal fluid in pachychoroid neovasculopathy. Sci. Rep. 2021, 11, 4066. [Google Scholar] [CrossRef] [PubMed]






| No-PHS (n = 29) | PHS (n = 29) | p | |
|---|---|---|---|
| Age (years), mean (SD) | 73.2 (8.2) | 69.8 (9.6) | 0.17 |
| Sex (female), No. (%) | 8 (27.6) | 9 (31.0) | 0.77 |
| Hypertension, No. (%) | 16 (55.2) | 12 (41.4) | 0.29 |
| Diabetes, No. (%) | 8 (27.6) | 6 (20.7) | 0.54 |
| Smoking habits (ever-smokers), No. (%) | 19 (65.5) | 18 (62.1) | 0.78 |
| SFCT of the fellow eye (µm), mean (SD) | 187.0 (84.8) | 249.9 (124.4) | 0.048 |
| Presence of IRF, No. (%) | 3 (10.3) | 4 (13.8) | 0.69 |
| Presence of SRF, No. (%) | 28 (96.6) | 29 (100.0) | 0.24 |
| Presence of PPE, No. (%) | 11 (37.9) | 23 (79.3) | <0.001 |
| Presence of polypoidal lesion, No. (%) | 13 (44.8) | 19 (65.5) | 0.11 |
| Presence of SHRM, No. (%) | 0.036 | ||
| Exudation | 6 (20.7) | 14 (48.3) | |
| Hemorrhage | 7 (24.1) | 8 (27.6) | |
| Neovascular tissue | 2 (6.9) | 0 (0.0) | |
| No SHRM | 14 (48.3) | 7 (24.1) |
| No-PHS (n = 29) | PHS (n = 29) | p | |
|---|---|---|---|
| Baseline, mean (SD) | |||
| BCVA (logMAR) | 0.23 (0.20) | 0.35 (0.36) | 0.21 |
| CRT (µm) | 318.7 (60.6) | 317.8 (97.2) | 0.41 |
| SFCT (µm) | 213.8 (94.0) | 267.2 (120.4) | 0.09 |
| Final visit, mean (SD) | |||
| BCVA (logMAR) | 0.10 (0.18) | 0.13 (0.29) | 0.65 |
| CRT (µm) | 253.4 (69.2) | 212.6 (38.1) | 0.004 |
| SFCT (µm) | 188.8 (94.6) | 231.6 (129.1) | 0.36 |
| Dry macula after loading dose, No. (%) | 18 (62.1) | 23 (79.3) | 0.15 |
| Number of injections, mean (SD) | 7.0 (2.9) | 5.4 (2.2) | 0.039 |
Disclaimer/Publisher’s Note: The statements, opinions and data contained in all publications are solely those of the individual author(s) and contributor(s) and not of MDPI and/or the editor(s). MDPI and/or the editor(s) disclaim responsibility for any injury to people or property resulting from any ideas, methods, instructions or products referred to in the content. |
© 2024 by the authors. Licensee MDPI, Basel, Switzerland. This article is an open access article distributed under the terms and conditions of the Creative Commons Attribution (CC BY) license (https://creativecommons.org/licenses/by/4.0/).
Share and Cite
Kamao, H.; Goto, K.; Date, Y.; Hiraki, R.; Mizukawa, K.; Miki, A. Clinical Characteristics of Punctate Hyperfluorescence Spots in the Fellow Eye of Patients with Unilateral Macular Neovascularization with No Drusen. J. Clin. Med. 2024, 13, 5394. https://doi.org/10.3390/jcm13185394
Kamao H, Goto K, Date Y, Hiraki R, Mizukawa K, Miki A. Clinical Characteristics of Punctate Hyperfluorescence Spots in the Fellow Eye of Patients with Unilateral Macular Neovascularization with No Drusen. Journal of Clinical Medicine. 2024; 13(18):5394. https://doi.org/10.3390/jcm13185394
Chicago/Turabian StyleKamao, Hiroyuki, Katsutoshi Goto, Yuto Date, Ryutaro Hiraki, Kenichi Mizukawa, and Atsushi Miki. 2024. "Clinical Characteristics of Punctate Hyperfluorescence Spots in the Fellow Eye of Patients with Unilateral Macular Neovascularization with No Drusen" Journal of Clinical Medicine 13, no. 18: 5394. https://doi.org/10.3390/jcm13185394
APA StyleKamao, H., Goto, K., Date, Y., Hiraki, R., Mizukawa, K., & Miki, A. (2024). Clinical Characteristics of Punctate Hyperfluorescence Spots in the Fellow Eye of Patients with Unilateral Macular Neovascularization with No Drusen. Journal of Clinical Medicine, 13(18), 5394. https://doi.org/10.3390/jcm13185394
