Adenomyosis: An Update Concerning Diagnosis, Treatment, and Fertility
Abstract
1. Introduction
2. Diagnosis of Adenomyosis
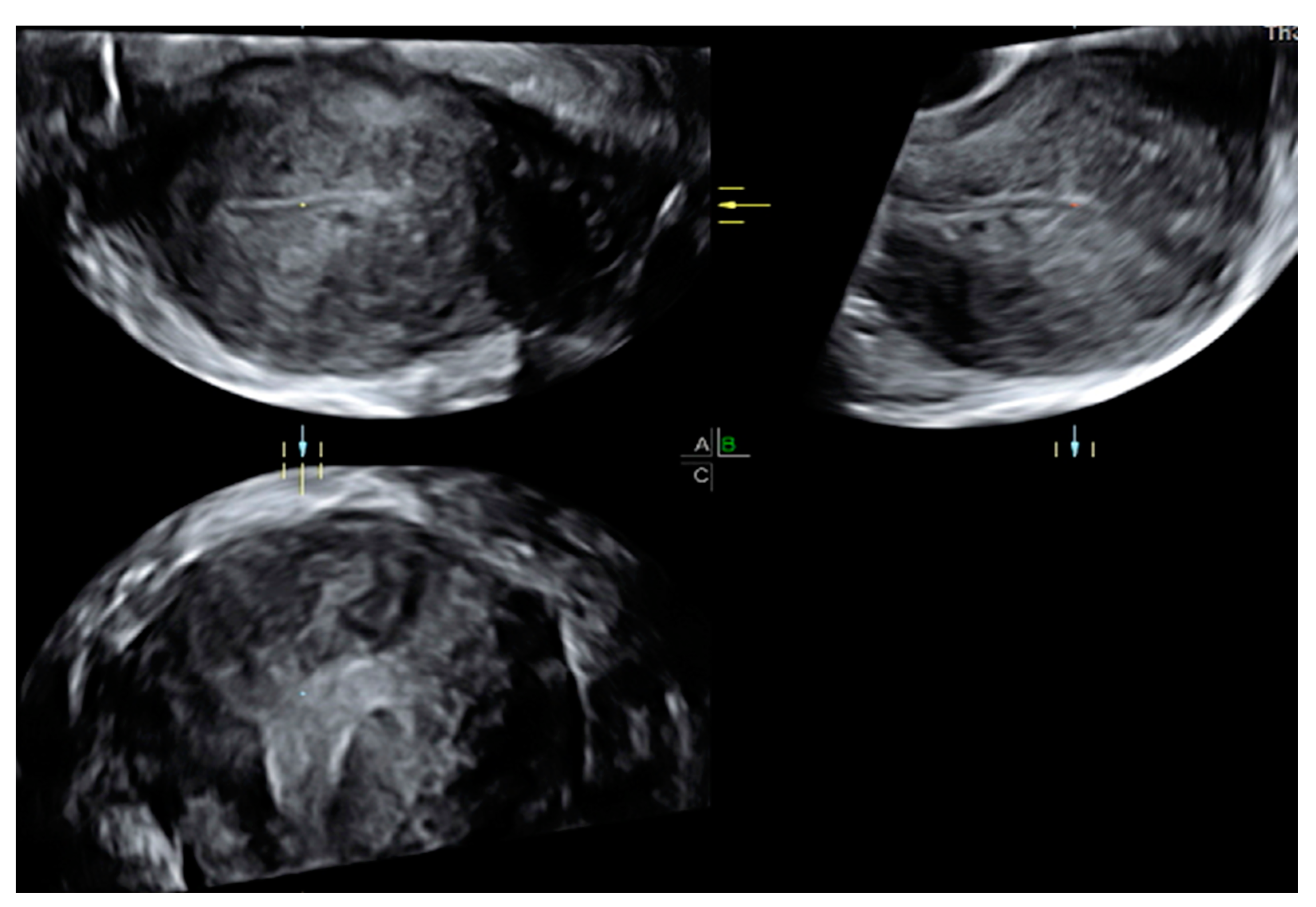
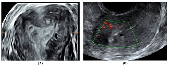
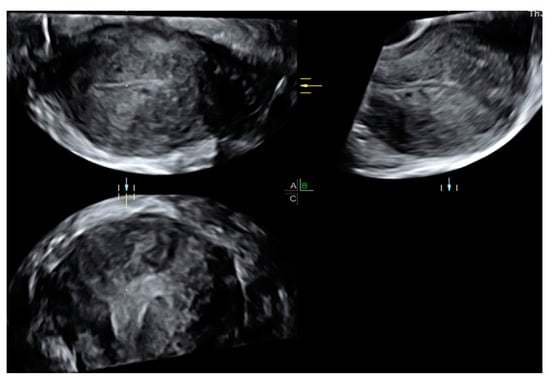
2.1. Ultrasound Diagnosis
- Myometrial cysts and intramyometrial cystic formations of any size (presence of a hyperechogenic halo is not mandatory). The contents could be anechoic, low-level, ground glass or of mixed echogenicity and may be surrounded by a hyperechogenic rim. Doppler can be used for differential diagnosis between blood vessels and myometrial cysts;
- Hyperechogenic islands with intramyometrial hyperechogenic areas within the myometrium that have no connection with the endometrium (regular, irregular, or ill-defined);
- Echogenic subendometrial lines and buds with hyperechogenic subendometrial lines or buds perpendicular to the endometrial cavity in a continuum with the endometrium, disrupting the junctional zone (JZ). On the other hand, the diagnosis of adenomyosis remains uncertain in cases of the presence of only indirect signs, including uterine wall asymmetry, translesional vascularity, JZ changes, fan-shaped shadowing, and globular uterus (Table 1).
- Irregular JZ with a poorly distinguishable endometrial–myometrial border;
- Disrupted JZ, possibly caused by focal or diffuse infiltration of the JZ by endometrial tissue. Uterine contractions may also give rise to apparent irregularities of the JZ or affect wall thickness;
- Alterations of the JZ due to subendometrial hyperechogenic lines and buds, ultrasound signs of focal adenomyosis infiltrating the JZ [26].
2.2. Diagnosis by MRI
3. Therapy for Adenomyosis
3.1. Medical Therapies for Adenomyosis
3.2. Surgical Conservative Therapy for Adenomyosis
4. Adenomyosis and Reproductive Outcomes
5. Conclusions and Future Directions
Author Contributions
Funding
Acknowledgments
Conflicts of Interest
References
- Donnez, J.; Donnez, O.; Dolmans, M.M. Introduction: Uterine adenomyosis, another enigmatic disease of our time. Fertil. Steril. 2018, 3, 369–370. [Google Scholar] [CrossRef]
- Ferenczy, A. Pathophysiology of adenomyosis. Hum. Reprod. Update 1998, 4, 312–322. [Google Scholar] [CrossRef]
- Vercellini, P.; Viganò, P.; Somigliana, E.; Daguati, R.; Abbiati, A.; Fedele, L. Adenomyosis: Epidemiological factors. Best Pract. Res. Clin. Obstet. Gynaecol. 2006, 20, 65–77. [Google Scholar] [CrossRef] [PubMed]
- Puente, J.M.; Fabris, A.; Patel, J.; Patel, A.; Cerrillo, M.; Requena, A.; Garcia-Velasco, J.A. Adenomyosis in infertile women: Prevalence and the role of 3D ultrasound as a marker of severity of the disease. Reprod. Biol. Endocrinol. 2016, 20, 14–60. [Google Scholar] [CrossRef] [PubMed]
- Leyendecker, G.; Wildt, L. A new concept of endometriosis and adenomyosis: Tissue injury and repair (TIAR). Horm. Mol. Biol. Clin. Investig. 2011, 5, 125–142. [Google Scholar] [CrossRef]
- Stratopoulou, C.A.; Donnez, J.; Dolmans, M.M. Origin and Pathogenic Mechanisms of Uterine Adenomyosis: What Is Known So Far. Reprod. Sci. 2021, 28, 2087–2097. [Google Scholar] [CrossRef]
- Istrate-Ofiţeru, A.M.; Mogoantă, C.A.; Zorilă, G.L.; Roşu, G.C.; Drăguşin, R.C.; Berbecaru, E.I.A.; Zorilă, M.V.; Comanescu, C.M.; Mogoanta, S.S.; Vaduva, C.C.; et al. Clinical Characteristics and Local Histopathological Modulators of Endometriosis and Its Progression. Int. J. Mol. Sci. 2024, 25, 1789. [Google Scholar] [CrossRef] [PubMed]
- Inoue, S.; Hirota, Y.; Ueno, T.; Fukui, Y.; Yoshida, E.; Hayashi, T.; Kojima, S.; Takeyama, R.; Hashimoto, T.; Kiyono, T.; et al. Uterine adenomyosis is an oligoclonal disorder associated with KRAS mutations. Nat. Commun. 2019, 10, 5785. [Google Scholar] [CrossRef]
- Bulun, S.E.; Yildiz, S.; Adli, M.; Wei, J.J. Adenomyosis pathogenesis: Insights from next-generation sequencing. Hum. Reprod. Update 2021, 27, 1086–1097. [Google Scholar] [CrossRef]
- Leyendecker, G.; Kunz, G.; Kissler, S.; Wildt, L. Adenomyosis and reproduction. Best Pract. Res. Clin. Obstet. Gynaecol. 2006, 20, 523–546. [Google Scholar] [CrossRef]
- Vercellini, P.; Bandini, V.; Viganò, P.; Ambruoso, D.; Cetera, G.E.; Somigliana, E. Proposal for targeted, neo-evolutionary-oriented secondary prevention of early-onset endometriosis and adenomyosis. Part II: Medical interventions. Hum. Reprod. 2024, 5, 18–34. [Google Scholar] [CrossRef]
- Parazzini, F.; Vercellini, P.; Panazza, S.; Chatenoud, L.; Oldani, S.; Crosignani, P.G. Risk factors for adenomyosis. Hum. Reprod. 1997, 12, 1275–1279. [Google Scholar] [CrossRef]
- Gordts, S.; Grimbizis, I.; Campo, R. Symptoms and classification of uterine adendomyosis, including the place of hysteroscopy in diagnosis. Fertil. Steril. 2018, 109, 380–388. [Google Scholar] [CrossRef] [PubMed]
- Cozzolino, M.; Cosentino, M.; Loiudice, L.; Martire, F.G.; Galliano, D.; Pellicer, A.; Exacoustos, C. Impact of adenomyosis on in vitro fertilization outcomes in women undergoing donor oocyte transfers: A prospective observational study. Fertil. Steril. 2024, 121, 480–488. [Google Scholar] [CrossRef] [PubMed]
- Cozzolino, M.; Tartaglia, S.; Pellegrini, L.; Troiano, G.; Rizzo, G.; Petraglia, F. The Effect of Uterine Adenomyosis on IVF Outcomes: A Systematic Review and Meta-analysis. Reprod. Sci. 2022, 29, 3177–3193. [Google Scholar] [CrossRef]
- Vercellini, P.; Viganò, P.; Bandini, V.; Buggio, L.; Berlanda, N.; Somigliana, E. Association of endometriosis and adenomyosis with pregnancy and infertility. Fertil. Steril. 2023, 119, 727–740. [Google Scholar] [CrossRef]
- Reinhold, C. Uterine adenomyosis: Endovaginal US and MR imaging features with histopathologic correlation. Radiographics 1999, 19, 147–160. [Google Scholar] [CrossRef]
- Dueholm, M. Transvaginal ultrasound for diagnosis of adenomyosis: A review. Best Pract. Res. Clin. Obstet. Gynaecol. 2006, 20, 569–582. [Google Scholar] [CrossRef] [PubMed]
- Dueholm, M.; Lundorf, E.; Hansen, E.S.; Sørensen, J.S.; Ledertoug, S.; Olesen, F. Magnetic resonance imaging and transvaginal ultrasonography for the diagnosis of adenomyosis. Fertil. Steril. 2001, 76, 588–594. [Google Scholar] [CrossRef]
- Bazot, M. Ultrasonography compared with magnetic resonance imaging for the diagnosis of adenomyosis: Correlation with histopathology. Hum. Reprod. 2001, 16, 2427–2433. [Google Scholar] [CrossRef]
- Champaneria, R.; Abedin, P.; Daniels, J.; Balogun, M.; Khan, K.S. Ultrasound scan and magnetic resonance imaging for the diagnosis of adenomyosis: Systematic review comparing test accuracy. Acta Obstet. Gynecol. Scand. 2010, 89, 1374–1384. [Google Scholar] [CrossRef]
- Tellum, T.; Nygaard, S.; Lieng, M. Noninvasive Diagnosis of Adenomyosis: A Structured Review and Meta-Analysis of Diagnostic Accuracy in Imaging. J. Minim. Invasive Gynecol. 2020, 27, 408–418. [Google Scholar] [CrossRef]
- Liu, L. Diagnostic Accuracy of Transvaginal Ultrasound and Magnetic Resonance Imaging for Adenomyosis: Systematic Review and Meta-Analysis and Review of Sonographic Diagnostic Criteria. J. Ultrasound Med. 2021, 40, 2289–2306. [Google Scholar] [CrossRef] [PubMed]
- Van den Bosch, T. Terms, definitions and measurements to describe sonographic features of myometrium and uterine masses: A consensus opinion from the Morphological Uterus Sonographic Assessment (MUSA) group. Ultrasound Obstet. Gynecol. 2015, 46, 284–298. [Google Scholar] [CrossRef]
- Chapron, C. Diagnosing adenomyosis: An integrated clinical and imaging approach. Hum. Reprod. Update 2020, 26, 392–411. [Google Scholar] [CrossRef] [PubMed]
- Harmsen, M.J.; Van den Bosch, T.; De Leeuw, R.A.; Dueholm, M.; Exacoustos, C.; Valentin, L.; Hehenkamp, W.J.K.; Groenman, F.; De Bruyn, F.; Rasmussen, C.; et al. Consensus on revised definitions of Morphological Uterus Sonographic Assessment (MUSA) features of adenomyosis: Results of modified Delphi procedure. Ultrasound Obstet. Gynecol. 2022, 60, 118–131. [Google Scholar] [CrossRef]
- Zannoni, L.; Ambrosio, M.; Raimondo, D.; Arena, A.; Del Forno, S.; Borghese, G.; Paradisi, R.; Seracchioli, R. Question Mark Sign and Transvaginal Ultrasound Uterine Tenderness for the Diagnosis of Adenomyosis: A Prospective Validation. J. Ultrasound Med. 2020, 39, 1405–1412. [Google Scholar] [CrossRef]
- Di Donato, N.; Bertoldo, V.; Montanari, G.; Zannoni, L.; Caprara, G.; Seracchioli, R. Question mark form of uterus: A simple sonographic sign associated with the presence of adenomyosis. Ultrasound Obstet. Gynecol. 2015, 46, 126–127. [Google Scholar] [CrossRef]
- Exacoustos, C.; Brienza, L.; Di Giovanni, A.; Szabolcs, B.; Romanini, M.E.; Zupi, E.; Arduini, D. Adenomyosis: Three-dimensional sonographic findings of the junctional zone and correlation with histology. Ultrasound Obstet. Gynecol. 2011, 37, 471–479. [Google Scholar] [CrossRef] [PubMed]
- Naftalin, J.; Jurkovic, D. The endometrial-myometrial junction: A fresh look at a busy crossing. Ultrasound Obstet. Gynecol. 2009, 34, 1–11. [Google Scholar] [CrossRef] [PubMed]
- Van den Bosch, T.; De Bruijn, A.M.; De Leeuw, R.A.; Dueholm, M.; Exacoustos, C.; Valentin, L.; Bourne, T.; Timmerman, D.; Huirne, J.A.F. Sonographic classification and reporting system for diagnosing adenomyosis. Ultrasound Obstet. Gynecol. 2019, 53, 576–582. [Google Scholar] [CrossRef] [PubMed]
- Lazzeri, L.; Morosetti, G.; Centini, G.; Monti, G.; Zupi, E.; Piccione, E.; Exacoustos, C. A sonographic classification of adenomyosis: Interobserver reproducibility in the evaluation of type and degree of the myometrial involvement. Fertil. Steril. 2018, 110, 1154–1161. [Google Scholar] [CrossRef]
- Lazzeri, L.; DiGiovanni, A.; Exacoustos, C.; Tosti, C.; Pinzauti, S.; Malzoni, M.; Petraglia, F.; Zupi, E. Preoperative and Postoperative Clinical and Transvaginal Ultrasound Findings of Adenomyosis in Patients with Deep Infiltrating Endometriosis. Reprod. Sci. 2014, 21, 1027–1033. [Google Scholar] [CrossRef] [PubMed]
- Maruyama, S.; Imanaka, S.; Nagayasu, M.; Kimura, M.; Kobayashi, H. Relationship between adenomyosis and endometriosis; Different phenotypes of a single disease? Eur. J. Obstet. Gynecol. Reprod. Biol. 2020, 253, 191–197. [Google Scholar] [CrossRef]
- Luciano, D.E.; Exacoustos, C.; Albrecht, L.; LaMonica, R.; Proffer, A.; Zupi, E.; Luciano, A.A. Three-dimensional ultrasound in diagnosis of adenomyosis: Histologic correlation with ultrasound targeted biopsies of the uterus. J. Minim. Invasive Gynecol. 2013, 20, 803–810. [Google Scholar] [CrossRef]
- Larsen, S.B.; Lundorf, E.; Forman, A.; Dueholm, M. Adenomyosis and junctional zone changes in patients with endometriosis. Eur. J. Obstet. Gynecol. Reprod. Biol. 2011, 157, 206–211. [Google Scholar] [CrossRef]
- O’Shea, A.; Figueiredo, G.; Lee, S.I. Imaging Diagnosis of Adenomyosis. Semin. Reprod. Med. 2020, 38, 119–128. [Google Scholar] [CrossRef]
- Bazot, M.; Daraï, E. Role of transvaginal sonography and magnetic resonance imaging in the diagnosis of uterine adenomyosis. Fertil. Steril. 2018, 109, 389–397. [Google Scholar] [CrossRef]
- Kobayashi, H.; Matsubara, S. A Classification Proposal for Adenomyosis Based on Magnetic Resonance Imaging. Gynecol. Obstet. Investig. 2020, 85, 118–126. [Google Scholar] [CrossRef]
- Gruber, T.M.; Mechsner, S. Pathogenesis of Endometriosis: The Origin of Pain and Subfertility. Cells 2021, 10, 1381. [Google Scholar] [CrossRef]
- Fedele, L.; Bianchi, S.; Raffaelli, R.; Portuese, A.; Dorta, M. Treatment of Adenomyosis-Associated Menorrhagia with a Levonorgestrel-Releasing Intrauterine Device. Fertil. Steril. 1997, 68, 426–429. [Google Scholar] [CrossRef]
- Sheng, J.; Zhang, W.J.; Zhang, J.P.; Lu, D. The LNG-IUS Study on Adenomyosis: A 3-Year Follow-up Study on the Efficacy and Side Effects of the Use of Levonorgestrel Intrauterine System for the Treatment of Dysmenorrhea Associated with Adenomyosis. Contraception 2009, 79, 189–193. [Google Scholar] [CrossRef]
- Hurskainen, R.; Paavonen, J. Levonorgestrel-Releasing Intrauterine System in the Treatment of Heavy Menstrual Bleeding. Curr. Opin. Obstet. Gynecol. 2004, 16, 487–490. [Google Scholar] [CrossRef]
- Wong, C.L.; Farquhar, C.; Roberts, H.; Proctor, M. Oral Contraceptive Pill for Primary Dysmenorrhoea. Cochrane Database Syst. Rev. 2009, 4, CD002120. [Google Scholar] [CrossRef]
- Shaaban, O.M.; Mohammed, K.A.; Mohamed, A.; Sabra, A.; Diaa Eldeen, M.; Abd, E. Levonorgestrel-Releasing Intrauterine System versus a Low-Dose Combined Oral Contraceptive for Treatment of Adenomyotic Uteri: A Randomized Clinical Trial. Contraception 2015, 92, 301–307. [Google Scholar] [CrossRef] [PubMed]
- Osuga, Y.; Koichi, H.; Shingo, K. Long-Term Use of Dienogest for the Treatment of Primary and Secondary Dysmenorrhea. J. Obstet. Gynaecol. Res. 2020, 46, 606–617. [Google Scholar] [CrossRef] [PubMed]
- Kazuaki, N.; Hirata, T.; Fukuda, S.; Izumi, G.; Nakazawa, A.; Yamamoto, N.; Harada, M. Long-Term Dienogest Administration in Patients with Symptomatic Adenomyosis. J. Obstet. Gynaecol. Res. 2018, 44, 1439–1444. [Google Scholar] [CrossRef]
- Osuga, Y.; Haruka, F.O.; Atsushi, H. Evaluation of the Efficacy and Safety of Dienogest in the Treatment of Painful Symptoms in Patients with Adenomyosis: A Randomized, Double-Blind, Multicenter, Placebo-Controlled Study. Fertil. Steril. 2017, 108, 673–678. [Google Scholar] [CrossRef]
- Vannuccini, S.; Luisi, S.; Tosti, C.; Sorbi, F.; Petraglia, F. Role of Medical Therapy in the Management of Uterine Adenomyosis. Fertil. Steril. 2018, 109, 398–405. [Google Scholar] [CrossRef] [PubMed]
- Brown, J.; Alice, P.; Roger, J.H. Gonadotrophin-Releasing Hormone Analogues for Pain Associated with Endometriosis. Cochrane Database Syst. Rev. 2010, 12, CD008475. [Google Scholar] [CrossRef]
- Imaoka, I.; Susan, M.A.; Kazuro, S.; Kentaro, T.; Hong, L.; Felicia, C.; James, S.; Lori, L.A. MR Imaging of Diffuse Adenomyosis Changes after GnRH Analog Therapy. J. Magn. Reson. Imaging JMRI 2002, 15, 285–290. [Google Scholar] [CrossRef]
- Mansouri, R.; Xiomara, M.S.; Jennifer, L.B.P.; Jennifer, E.D. Regression of Adenomyosis on Magnetic Resonance Imaging after a Course of Hormonal Suppression in Adolescents: A Case Series. J. Pediatr. Adolesc. Gynecol. 2015, 28, 437–440. [Google Scholar] [CrossRef]
- Cozzolino, M.; Pellicer, N.; Galliano, D.; Pellicer, A. Pituitary Suppression with GnRH Agonists before ART May Be Insufficient to Treat Women with Severe Adenomyosis. Reprod. Biomed. Online 2023, 46, 150–155. [Google Scholar] [CrossRef]
- Donnez, O.; Donnez, J. Gonadotropin-Releasing Hormone Antagonist (Linzagolix): A New Therapy for Uterine Adenomyosis. Fertil. Steril. 2020, 114, 640–645. [Google Scholar] [CrossRef] [PubMed]
- Kavoussi, S.K.; Esqueda, A.S.; Jukes, L.M. Elagolix to Medically Treat a Uterine Adenomyoma: A Case Report. Eur. J. Obstet. Gynecol. Reprod. Biol. 2020, 247, 266–267. [Google Scholar] [CrossRef]
- Humaidan, P.; Garcia Velasco, J.A.; Cozzolino, M. Local Intraendometrial Estrogen Biosynthesis Leading to Progesterone Resistance Impacts Implantation in Adenomyosis and Endometriosis. Fertil. Steril. 2023, 120, 927. [Google Scholar] [CrossRef]
- Badawy, A.M.; Aboubakr, M.E.; Alaa, A.M. Aromatase Inhibitors or Gonadotropin-Releasing Hormone Agonists for the Management of Uterine Adenomyosis: A Randomized Controlled Trial. Acta Obstet. Gynecol. Scand. 2012, 91, 489–495. [Google Scholar] [CrossRef]
- Kimura, F.; Kentaro, T.; Koichi, T.; Mutsuko, F.; Nobuyuki, K.; Yoichi, N.; Nobuhiro, H. Concomitant Treatment of Severe Uterine Adenomyosis in a Premenopausal Woman with an Aromatase Inhibitor and a Gonadotropin-Releasing Hormone Agonist. Fertil. Steril. 2007, 87, 1468-e9. [Google Scholar] [CrossRef] [PubMed]
- Huvinen, E.; Holopainen, E.; Heikinheimo, O. Norethisterone and Its Acetate—What’s so Special about Them? BMJ Sex. Reprod. Health 2021, 47, 102–109. [Google Scholar] [CrossRef]
- Capmas, P.; Brun, J.L.; Legendre, G.; Koskas, M.; Merviel, P.; Fernandez, H. Ulipristal Acetate Use in Adenomyosis: A Randomized Controlled Trial. J. Gynecol. Obstet. Hum. Reprod. 2021, 50, 101978. [Google Scholar] [CrossRef] [PubMed]
- Qin, X.; Wenjing, S.; Wang, C.; Li, M.; Zhao, X.; Li, C.; Zhang, H. Mifepristone inhibited the expression of B7-H2, B7-H3, B7-H4 and PD-L2 in adenomyosis. Reprod. Biol. Endocrinol. 2021, 19, 114. [Google Scholar] [CrossRef]
- Wang, Y.; Jiang, X.; Wang, S. The Influence of Mifepristone to Caspase 3 Expression in Adenomyosis. Clin. Exp. Obstet. Gynecol. 2014, 41, 154–157. [Google Scholar] [CrossRef]
- Zhou, J.; He, L.; Liu, P.; Duan, H.; Zhang, H.; Li, W.; Gong, S.; Su, G.; Chen, C. Outcomes in Adenomyosis Treated with Uterine Artery Embolization Are Associated with Lesion Vascularity: A Long-Term Follow-Up Study of 252 Cases. PLoS ONE 2016, 11, e0165610. [Google Scholar] [CrossRef]
- Kim, M.D.; Won, J.W.; Lee, D.Y.; Ahn, C.S. Uterine Artery Embolization for Adenomyosis without Fibroids. Clin. Radiol. 2004, 59, 520–526. [Google Scholar] [CrossRef]
- De Bruijn, A.M.; Smink, M.; Paul, N.M.; Lohle, J.A.F.; Huirne, J.W.R.; Twisk, C.W.; Schoonmade, L.; Wouter, J.K.H. Uterine Artery Embolization for the Treatment of Adenomyosis: A Systematic Review and Meta-Analysis. J. Vasc. Interv. Radiol. 2017, 28, 1629–1642.E1. [Google Scholar] [CrossRef] [PubMed]
- Bergamini, V.; Ghezzi, F.; Cromi, A.; Bellini, G.; Zanconato, G.; Scarperi, S.; Franchi, M. Laparoscopic Radiofrequency Thermal Ablation: A New Approach to Symptomatic Uterine Myomas. Am. J. Obstet. Gynecol. 2005, 192, 768–773. [Google Scholar] [CrossRef] [PubMed]
- Nam, L.H. Pregnancy and Symptomatic Relief Following Ultrasound-Guided Transvaginal Radiofrequency Ablation in Patients with Adenomyosis. J. Obstet. Gynaecol. Res. 2020, 46, 124–132. [Google Scholar] [CrossRef]
- Scarperi, S.; Pontrelli, G.; Campana, C.; Steinkasserer, M.; Ercoli, A.; Minelli, L.; Bergamini, V.; Ceccaroni, M. Laparoscopic Radiofrequency Thermal Ablation for Uterine Adenomyosis. JSLS J. Soc. Laparoendosc. Surg. 2015, 19, e2015.00071. [Google Scholar] [CrossRef]
- Zhang, X.; Kequan, L.; Bin, X.; Min, H.; Jia, H.; Zhang, L. Effective Ablation Therapy of Adenomyosis with Ultrasound-Guided High-Intensity Focused Ultrasound. Int. J. Gynaecol. Obstet. Off. Organ Int. Fed. Gynaecol. Obstet. 2014, 124, 207–211. [Google Scholar] [CrossRef]
- Pang, L.L.; Jin, M.; Ling-Xiu, F.; Ting-Ting, Z.; Ruo-Nan, L.; Wen, Y. Efficacy of High-Intensity Focused Ultrasound Combined with GnRH-a for Adenomyosis: A Systematic Review and Meta-Analysis. Front. Public Health 2021, 9, 688264. [Google Scholar] [CrossRef] [PubMed]
- Lee, J.S.; Hong, G.H.; Lee, K.H.; Kim, T.E. Changes in Anti-Müllerian Hormone Levels as a Biomarker for Ovarian Reserve after Ultrasound-Guided High-Intensity Focused Ultrasound Treatment of Adenomyosis and Uterine Fibroid. BJOG Int. J. Obstet. Gynaecol. 2017, 124, 18–22. [Google Scholar] [CrossRef] [PubMed]
- Chen, Y.; Lin, S.; Xie, X.; Jingsong, Y.; Xishi, L.; Guo, S.W. Systematic Review and Meta-Analysis of Reproductive Outcomes after High-Intensity Focused Ultrasound (HIFU) Treatment of Adenomyosis. Best Pract. Res. Clin. Obstet. Gynaecol. 2024, 92, 102433. [Google Scholar] [CrossRef]
- Horng, H.C.; Chen, C.H.; Chen, C.Y.; Tsui, K.H.; Liu, W.M.; Wang, P.H.; Chang, W.H. Uterine-Sparing Surgery for Adenomyosis and/or Adenomyoma. Taiwan. J. Obstet. Gynecol. 2014, 53, 3–7. [Google Scholar] [CrossRef][Green Version]
- Pecorella, G.; Nigdelis, M.; Sparic, R.; Morciano, A.; Tinelli, A. Adenomyosis and Fertility-Sparing Surgery: A Literature Appraisal. Int. J. Gynaecol. Obstet. Off. Organ Int. Fed. Gynaecol. Obstet. 2024, 166, 512–526. [Google Scholar] [CrossRef]
- Grimbizis, G.F.; Mikos, T.; Tarlatzis, B. Uterus-Sparing Operative Treatment for Adenomyosis. Fertil. Steril. 2014, 101, 472–487. [Google Scholar] [CrossRef] [PubMed]
- Younes, G.; Togas, T. Conservative Surgery for Adenomyosis and Results: A Systematic Review. J. Minim. Invasive Gynecol. 2018, 25, 265–276. [Google Scholar] [CrossRef]
- Tan, J.; Moriarty, S.; Taskin, O.; Allaire, C.; Williams, C.; Yong, P.; Mohamed, A.B. Reproductive Outcomes after Fertility-Sparing Surgery for Focal and Diffuse Adenomyosis: A Systematic Review. J. Minim. Invasive Gynecol. 2018, 25, 608–621. [Google Scholar] [CrossRef]
- Osada, H.; Silber, S.; Kakinuma, T.; Masaji, N.; Kato, K.; Osamu, K. Surgical Procedure to Conserve the Uterus for Future Pregnancy in Patients Suffering from Massive Adenomyosis. Reprod. BioMed. Online 2011, 22, 94–99. [Google Scholar] [CrossRef]
- Mikos, T.; Lioupis, M.; Anthoulakis, C.; Grimbizis, G.F. The Outcome of Fertility-Sparing and Nonfertility-Sparing Surgery for the Treatment of Adenomyosis. A Systematic Review and Meta-Analysis. J. Minim. Invasive Gynecol. 2020, 27, 309–331. [Google Scholar] [CrossRef]
- Gordts, S.; Campo, R.; Brosens, I. Hysteroscopic Diagnosis and Excision of Myometrial Cystic Adenomyosis. Gynecol. Surg. 2014, 11, 273–278. [Google Scholar] [CrossRef]
- Di Spiezio Sardo, A.; Calagna, G.; Santangelo, F.; Zizolfi, B.; Tanos, V.; Perino, A.; De Wilde, R.L. The Role of Hysteroscopy in the Diagnosis and Treatment of Adenomyosis. BioMed Res. Int. 2017, 2017, 2518396. [Google Scholar] [CrossRef] [PubMed]
- Juárez-Barber, E.; Cozzolino, M.; Corachán, A.; Alecsandru, D.; Pellicer, N.; Pellicer, A. Adjustment of progesterone administration after endometrial transcriptomic analysis does not improve reproductive outcomes in women with adenomyosis. Reprod. BioMed. Online 2023, 46, 99–106. Available online: https://pubmed.ncbi.nlm.nih.gov/36229390/ (accessed on 29 August 2024). [CrossRef]
- Neal, S.; Morin, S.; Werner, M.; Gueye, N.A.; Pirtea, P.; Patounakis, G.; Scott, R.; Goodman, L. Three-Dimensional Ultrasound Diagnosis of Adenomyosis Is Not Associated with Adverse Pregnancy Outcome Following Single Thawed Euploid Blastocyst Transfer: Prospective Cohort Study. Ultrasound Obstet. Gynecol. Off. J. Int. Soc. Ultrasound Obstet. Gynecol. 2020, 56, 611–617. [Google Scholar] [CrossRef] [PubMed]
- Exacoustos, C.; Ticconi, C.; Colombi, I.; Iorio, G.G.; Vaquero, E.; Selntigia, A.; Chiaramonte, B.; Soreca, G.; Rizzo, G. Type and Location of Adenomyosis in Women with Recurrent Pregnancy Loss: A Transvaginal Ultrasonographic Assessment. Reprod. Sci. 2024, 31, 2447–2457. [Google Scholar] [CrossRef] [PubMed]
- Exacoustos, C.; Morosetti, G.; Conway, F.; Camilli, S.; Martire, F.G.; Lazzeri, L.; Piccione, E.; Zupi, E. New Sonographic Classification of Adenomyosis: Do Type and Degree of Adenomyosis Correlate to Severity of Symptoms? J. Minim. Invasive Gynecol. 2020, 27, 1308–1315. [Google Scholar] [CrossRef]
- Martire, F.G.; Giorgi, M.; D’Abate, C.; Colombi, I.; Ginetti, A.; Cannoni, A.; Fedele, F. Deep Infiltrating Endometriosis in Adolescence: Early Diagnosis and Possible Prevention of Disease Progression. J. Clin. Med. 2024, 13, 550. [Google Scholar] [CrossRef]
- Martire, F.G.; Russo, C.; Selntigia, A.; Nocita, E.; Soreca, G.; Lazzeri, L.; Zupi, E.; Exacoustos, C. Early Non-Invasive Diagnosis of Endometriosis: Dysmenorrhea and Specific Ultrasound Findings Are Important Indicators in Young Women. Fertil. Steril. 2022, 119, 455–464. [Google Scholar] [CrossRef]
- Sachs-Guedj, N.; Coroleu, B.; Pascual, M.A.; Rodríguez, I.; Polyzos, N. Presence of Adenomyosis Impairs Clinical Outcomes in Women Undergoing Frozen Embryo Transfer: A Retrospective Cohort Study. J. Clin. Med. 2023, 12, 6058. [Google Scholar] [CrossRef]
- Lan, J.; Wu, Y.; Wu, Z.; Wu, Y.; Yang, R.; Liu, Y.; Lin, H.; Jiao, X.; Zhang, Q. Ultra-Long GnRH Agonist Protocol During IVF/ICSI Improves Pregnancy Outcomes in Women with Adenomyosis: A Retrospective Cohort Study. Front. Endocrinol. 2021, 12, 609771. [Google Scholar] [CrossRef]
- Hou, X.; Xing, J.; Shan, H.; Mei, J.; Sun, Y.; Yan, G.; Sun, H.; Wang, J. The Effect of Adenomyosis on IVF after Long or Ultra-Long GnRH Agonist Treatment. Reprod. BioMed. Online 2020, 41, 845–853. [Google Scholar] [CrossRef]
- Wu, Y.; Huang, J.; Zhong, G. Long-term GnRH agonist pretreatment before frozen embryo transfer improves pregnancy outcomes in women with adenomyosis. Reprod. BioMed. Online 2021, 44, 380–388. [Google Scholar] [CrossRef] [PubMed]
- Sharma, S.; RoyChoudhury, S.; Padmaja Bhattacharya, M.; Hazra, S.; Majhi, A.K.; Oswal, K.C.; Chattopadhyay, R. Low-Dose Letrozole—An Effective Option for Women with Symptomatic Adenomyosis Awaiting IVF: A Pilot Randomized Controlled Trial. Reprod. BioMed. Online 2023, 47, 84–93. [Google Scholar] [CrossRef] [PubMed]
- Cozzolino, M.; Alsbjerg, B.; Pellicer, A.; Garcia-Velasco, J.A.; Humaidan, P. The Adenomyosis/Endometriosis IVF Patient—Call for Clinical Focus. Reprod. BioMed. Online 2024, 48, 103737. [Google Scholar] [CrossRef] [PubMed]



| Ultrasonographic Characteristics of Adenomyosis | Ultrasound |
|---|---|
| Ultrasonographic features of adenomyosis |
|
| Localization |
|
| Type of adenomyosis |
|
| Myometrial infiltration |
|
| Grade |
|
Disclaimer/Publisher’s Note: The statements, opinions and data contained in all publications are solely those of the individual author(s) and contributor(s) and not of MDPI and/or the editor(s). MDPI and/or the editor(s) disclaim responsibility for any injury to people or property resulting from any ideas, methods, instructions or products referred to in the content. |
© 2024 by the authors. Licensee MDPI, Basel, Switzerland. This article is an open access article distributed under the terms and conditions of the Creative Commons Attribution (CC BY) license (https://creativecommons.org/licenses/by/4.0/).
Share and Cite
Selntigia, A.; Molinaro, P.; Tartaglia, S.; Pellicer, A.; Galliano, D.; Cozzolino, M. Adenomyosis: An Update Concerning Diagnosis, Treatment, and Fertility. J. Clin. Med. 2024, 13, 5224. https://doi.org/10.3390/jcm13175224
Selntigia A, Molinaro P, Tartaglia S, Pellicer A, Galliano D, Cozzolino M. Adenomyosis: An Update Concerning Diagnosis, Treatment, and Fertility. Journal of Clinical Medicine. 2024; 13(17):5224. https://doi.org/10.3390/jcm13175224
Chicago/Turabian StyleSelntigia, Aikaterini, Pietro Molinaro, Silvio Tartaglia, Antonio Pellicer, Daniela Galliano, and Mauro Cozzolino. 2024. "Adenomyosis: An Update Concerning Diagnosis, Treatment, and Fertility" Journal of Clinical Medicine 13, no. 17: 5224. https://doi.org/10.3390/jcm13175224
APA StyleSelntigia, A., Molinaro, P., Tartaglia, S., Pellicer, A., Galliano, D., & Cozzolino, M. (2024). Adenomyosis: An Update Concerning Diagnosis, Treatment, and Fertility. Journal of Clinical Medicine, 13(17), 5224. https://doi.org/10.3390/jcm13175224

