Cocaine- and Levamisole-Induced Vasculitis: Defining the Spectrum of Autoimmune Manifestations
Abstract
1. Introduction
1.1. Cocaine
1.2. Levamisole
2. Pathogenesis of Cocaine- and Levamisole-Related Disorders
2.1. Direct Nasal Trauma and Vascular Ischemia
2.2. Immune-System Dysregulation via Neutrophils and NETs
2.3. Production of Autoantibodies
3. Clinical Presentation of Levamisole- and Cocaine-Induced Disorders
3.1. Cocaine-Induced Midline Destructive Lesion (CIMDL)
3.1.1. Clinical Features
3.1.2. Histopathology
3.1.3. Laboratory Findings
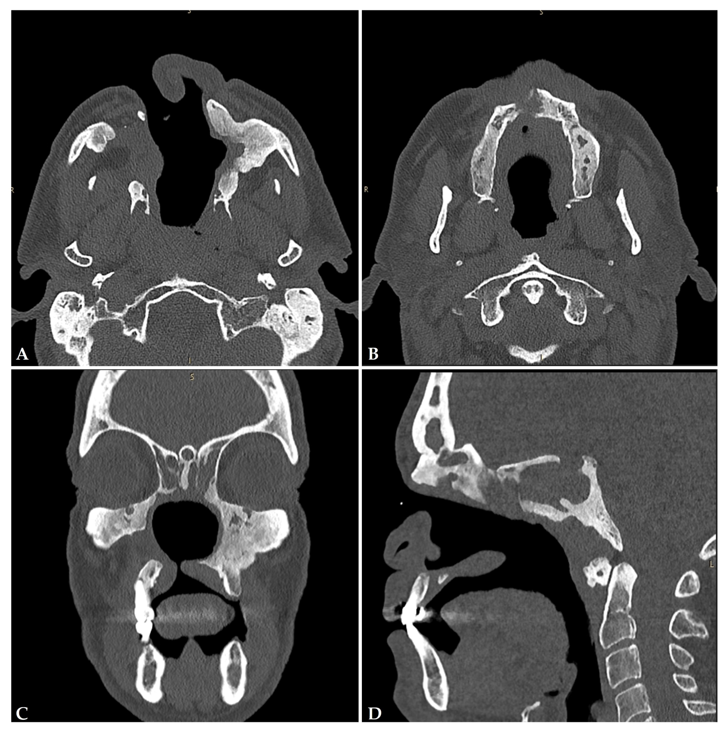
3.1.4. Imaging
3.2. Cocaine-Induced Vasculitis (CIV)
3.2.1. Clinical Features
3.2.2. Histopathology
3.2.3. Laboratory Findings
3.3. Levamisole-Adulterated Cocaine (LAC) Vasculopathy/Vasculitis
3.3.1. Clinical Features
3.3.2. Histopathology
3.3.3. Laboratory Findings
4. Differential Diagnosis
5. Treatment
6. Conclusions
Author Contributions
Funding
Institutional Review Board Statement
Data Availability Statement
Conflicts of Interest
References
- Jennette, J.C.; Falk, R.J.; Bacon, P.A.; Basu, N.; Cid, M.C.; Ferrario, F.; Flores-Suarez, L.F.; Gross, W.L.; Guillevin, L.; Hagen, E.C.; et al. 2012 Revised International Chapel Hill Consensus Conference Nomenclature of Vasculitides. Arthritis Rheum. 2013, 65, 1–11. [Google Scholar] [CrossRef] [PubMed]
- Molloy, E.S.; Langford, C.A. Vasculitis mimics. Curr. Opin. Rheumatol. 2008, 20, 29–34. [Google Scholar] [CrossRef]
- Zarka, F.; Veillette, C.; Makhzoum, J.P. A Review of Primary Vasculitis Mimickers Based on the Chapel Hill Consensus Classification. Int. J. Rheumatol. 2020, 2020, 8392542. [Google Scholar] [CrossRef] [PubMed]
- Pendergraft, W.F., III; Niles, J.L. Trojan horses: Drug culprits associated with antineutrophil cytoplasmic autoantibody (ANCA) vasculitis. Curr. Opin. Rheumatol. 2014, 26, 42–49. [Google Scholar] [CrossRef]
- Culerrier, J.; Nguyen, Y.; Karadag, O.; Yasar Bilge, S.; Yildrim, T.D.; Ögüt, T.S.; Yazisiz, V.; Bes, C.; Celfe, A.; Yazici, A.; et al. Characteristics and outcome of ANCA-associated vasculitides induced by anti-thyroid drugs: A multicentre retrospective case-control study. Rheumatology 2024, 63, 999–1006. [Google Scholar] [CrossRef] [PubMed]
- Specks, U. The growing complexity of the pathology associated with cocaine use. J. Clin. Rheumatol. 2011, 17, 167–168. [Google Scholar] [CrossRef] [PubMed]
- Marquez, J.; Aguirre, L.; Muñoz, C.; Echeverri, A.; Restrepo, M.; Pinto, L.F. Cocaine-Levamisole-Induced Vasculitis/Vasculopathy Syndrome. Curr. Rheumatol. Rep. 2017, 19, 36. [Google Scholar] [CrossRef]
- UNODC. World Drug Report 2022; United Nations Publication: Vienna, Austria, 2022; p. 72. [Google Scholar]
- European Monitoring Centre for Drugs and Drug Addiction (EMCDDA). European Drug Report 2023: Trends and Developments; EUDA: Lisbon, Portugal, 2023. [Google Scholar]
- Trimarchi, M.; Bertazzoni, G.; Bussi, M. Cocaine induced midline destructive lesions. Rhinology 2014, 52, 104–111. [Google Scholar] [CrossRef]
- Pendolino, A.L.; Benshetrit, G.; Navaratnam, A.V.; To, C.; Bandino, F.; Scarpa, B.; Kwame, I.; Ludwig, D.R.; McAdoo, S.; Kuchai, R.; et al. The role of ANCA in the management of cocaine-induced midline destructive lesions or ENT pseudo-granulomatosis with polyangiitis: A London multicentre case series. Laryngoscope 2024, 134, 2609–2616. [Google Scholar] [CrossRef]
- van der Poel, N.A.; Schot, L.J.; Menger, D.J. Local complications of intranasal cocaine abuse: Diagnostic and therapeutic guidelines. Ned. Tijdschr. Geneeskd. 2013, 157, A6035. [Google Scholar]
- Armengot, M.; García-Lliberós, A.; Gómez, M.J.; Navarro, A.; Martorell, A. Sinonasal involvement in systemic vasculitides and cocaine-induced midline destructive lesions: Diagnostic controversies. Allergy Rhinol. 2013, 4, e94–e99. [Google Scholar] [CrossRef]
- Berman, M.; Paran, D.; Elkayam, O. Cocaine-Induced Vasculitis. Rambam Maimonides Med. J. 2016, 7, e0036. [Google Scholar] [CrossRef]
- Sánchez-Puigdollers, A.; Just-Sarobé, M.; Pastor-Jané, L. [Translated article] Cutaneous and Mucosal Conditions Associated with Cocaine Use. Actas Dermosifiliogr. 2023, 114, T125–T131. [Google Scholar] [CrossRef]
- Cascio, M.J.; Jen, K.Y. Cocaine/levamisole-associated autoimmune syndrome: A disease of neutrophil-mediated autoimmunity. Curr. Opin. Hematol. 2018, 25, 29–36. [Google Scholar] [CrossRef] [PubMed]
- Nolan, A.L.; Jen, K.Y. Pathologic manifestations of levamisole-adulterated cocaine exposure. Diagn. Pathol. 2015, 10, 48. [Google Scholar] [CrossRef] [PubMed]
- Grau, R.G. Drug-Induced Vasculitis: New Insights and a Changing Lineup of Suspects. Curr. Rheumatol. Rep. 2015, 17, 71. [Google Scholar] [CrossRef] [PubMed]
- Larocque, A.; Hoffman, R.S. Levamisole in cocaine: Unexpected news from an old acquaintance. Clin. Toxicol. 2012, 50, 231–241. [Google Scholar] [CrossRef]
- Buchanan, J.A.; Heard, K.; Burbach, C.; Wilson, M.L.; Dart, R. Prevalence of levamisole in urine toxicology screens positive for cocaine in an inner-city hospital. JAMA 2011, 305, 1657–1658. [Google Scholar] [CrossRef] [PubMed]
- Néel, A.; Agard, C.; Hamidou, M. Vasculitides induced by cocaine and/or levamisole. Jt. Bone Spine 2018, 85, 9–14. [Google Scholar] [CrossRef]
- Trimarchi, M.; Bondi, S.; Della Torre, E.; Terreni, M.R.; Bussi, M. Palate perforation differentiates cocaine-induced midline destructive lesions from granulomatosis with polyangiitis. Acta Otorhinolaryngol. Ital. 2017, 37, 281–285. [Google Scholar] [CrossRef]
- Kuriloff, D.B.; Kimmelman, C.P. Osteocartilaginous necrosis of the sinonasal tract following cocaine abuse. Laryngoscope 1989, 99, 918–924. [Google Scholar] [CrossRef] [PubMed]
- Nitro, L.; Pipolo, C.; Fadda, G.L.; Allevi, F.; Borgione, M.; Cavallo, G.; Felisati, G.; Saibene, A.M. Distribution of cocaine-induced midline destructive lesions: Systematic review and classification. Eur. Arch. Otorhinolaryngol. 2022, 279, 3257–3267. [Google Scholar] [CrossRef] [PubMed]
- Rubin, K. The manifestation of cocaine-induced midline destructive lesion in bone tissue and its identification in human skeletal remains. Forensic Sci. Int. 2013, 231, e401–e411. [Google Scholar] [CrossRef] [PubMed]
- Bachi, K.; Mani, V.; Jeyachandran, D.; Fayad, Z.A.; Goldstein, R.Z.; Alia-Klein, N. Vascular disease in cocaine addiction. Atherosclerosis 2017, 262, 154–162. [Google Scholar] [CrossRef] [PubMed]
- Trimarchi, M.; Gregorini, G.; Facchetti, F.; Morassi, M.L.; Manfredini, C.; Maroldi, R.; Nicolai, P.; Russell, K.A.; McDonald, T.J.; Specks, U. Cocaine-induced midline destructive lesions: Clinical, radiographic, histopathologic, and serologic features and their differentiation from Wegener granulomatosis. Medicine 2001, 80, 391–404. [Google Scholar] [CrossRef]
- Goodger, N.M.; Wang, J.; Pogrel, M.A. Palatal and nasal necrosis resulting from cocaine misuse. Br. Dent. J. 2005, 198, 333–334. [Google Scholar] [CrossRef]
- Trimarchi, M.; Miluzio, A.; Nicolai, P.; Morassi, M.L.; Bussi, M.; Marchisio, P.C. Massive apoptosis erodes nasal mucosa of cocaine abusers. Am. J. Rhinol. 2006, 20, 160–164. [Google Scholar] [CrossRef]
- Bae, S.; Zhang, L. Prenatal cocaine exposure increases apoptosis of neonatal rat heart and heart susceptibility to ischemia-reperfusion injury in 1-month-old rat. Br. J. Pharmacol. 2005, 144, 900–907. [Google Scholar] [CrossRef] [PubMed]
- Bagetta, G.; Piccirilli, S.; Del Duca, C.; Morrone, L.A.; Rombolà, L.; Nappi, G.; De Alba, J.; Knowles, R.G.; Corasaniti, M.T. Inducible nitric oxide synthase is involved in the mechanisms of cocaine enhanced neuronal apoptosis induced by HIV-1 gp120 in the neocortex of rat. Neurosci. Lett. 2004, 356, 183–186. [Google Scholar] [CrossRef]
- Su, J.; Li, J.; Li, W.; Altura, B. Cocaine induces apoptosis in primary cultured rat aortic vascular smooth muscle cells: Possible relationship to aortic dissection, atherosclerosis, and hypertension. Int. J. Toxicol. 2004, 23, 233–237. [Google Scholar] [CrossRef]
- de Oliveira, M.R.; Jardim, F.R. Cocaine and mitochondria-related signaling in the brain: A mechanistic view and future directions. Neurochem. Int. 2016, 92, 58–66. [Google Scholar] [CrossRef] [PubMed]
- Trimarchi, M.; Bertazzoni, G.; Vinciguerra, A.; Pardini, C.; Simeoni, F.; Cittaro, D.; Bussi, M.; Lazarevic, D. Gene Expression Analysis in Patients with Cocaine-Induced Midline Destructive Lesions. Medicine 2021, 57, 861. [Google Scholar] [CrossRef] [PubMed]
- Silvestre, F.J.; Perez-Herbera, A.; Puente-Sandoval, A.; Bagán, J.V. Hard palate perforation in cocaine abusers: A systematic review. Clin. Oral. Investig. 2010, 14, 621–628. [Google Scholar] [CrossRef]
- Colletti, G.; Autelitano, L.; Chiapasco, M.; Biglioli, F.; Giovanditto, F.; Mandalà, M.; Allevi, F. Comprehensive surgical management of cocaine-induced midline destructive lesions. J. Oral. Maxillofac. Surg. 2014, 72, 1395.e1–1395.e10. [Google Scholar] [CrossRef]
- Coletti, A.; Greco, F.A.; Dolciami, D.; Camaioni, E.; Sardella, R.; Pallotta, M.T.; Volpi, C.; Orabona, C.; Grohmann, U.; Macchiarulo, A. Advances in indoleamine 2,3-dioxygenase 1 medicinal chemistry. Medchemcomm 2017, 8, 1378–1392. [Google Scholar] [CrossRef]
- Lancaster, J.; Belloso, A.; Wilson, C.A.; McCormick, M. Rare case of naso-oral fistula with extensive osteocartilaginous necrosis secondary to cocaine abuse: Review of otorhinolaryngological presentations in cocaine addicts. J. Laryngol. Otol. 2000, 114, 630–633. [Google Scholar] [CrossRef] [PubMed]
- Millard, D.R.; Mejia, F.A. Reconstruction of the nose damaged by cocaine. Plast. Reconstr. Surg. 2001, 107, 419–424. [Google Scholar] [CrossRef]
- Molteni, M.; Saibene, A.M.; Luciano, K.; Maccari, A. Snorting the clivus away: An extreme case of cocaine-induced midline destructive lesion. BMJ Case Rep. 2016, 2016, bcr2016216393. [Google Scholar] [CrossRef]
- Ingels, K.J.; Nijziel, M.R.; Graamans, K.; Huizing, E.H. Influence of cocaine and lidocaine on human nasal cilia. Beat frequency and harmony in vitro. Arch. Otolaryngol. Head. Neck Surg. 1994, 120, 197–201. [Google Scholar] [CrossRef]
- Osorio, M.; Velásquez, I.; Vargas, R.; Vanegas-García, A.; Rojas, M.; Vásquez, G.; Muñoz-Vahos, C. NETosis Secondary to the Use of Levamisole-Adulterated Cocaine: A Likely Underlying Mechanism of Vasculopathy. J. Toxicol. 2024, 2024, 7388799. [Google Scholar] [CrossRef]
- Wigerblad, G.; Kaplan, M.J. Neutrophil extracellular traps in systemic autoimmune and autoinflammatory diseases. Nat. Rev. Immunol. 2023, 23, 274–288. [Google Scholar] [CrossRef]
- Lood, C.; Blanco, L.P.; Purmalek, M.M.; Carmona-Rivera, C.; De Ravin, S.S.; Smith, C.K.; Malech, H.L.; Ledbetter, J.A.; Elkon, K.B.; Kaplan, M.J. Neutrophil extracellular traps enriched in oxidized mitochondrial DNA are interferogenic and contribute to lupus-like disease. Nat. Med. 2016, 22, 146–153. [Google Scholar] [CrossRef] [PubMed]
- Carmona-Rivera, C.; Purmalek, M.M.; Moore, E.; Waldman, M.; Walter, P.J.; Garraffo, H.M.; Phillips, K.A.; Preston, K.L.; Graf, J.; Kaplan, M.J.; et al. A role for muscarinic receptors in neutrophil extracellular trap formation and levamisole-induced autoimmunity. JCI Insight 2017, 2, e89780. [Google Scholar] [CrossRef] [PubMed]
- Nakazawa, D.; Masuda, S.; Tomaru, U.; Ishizu, A. Pathogenesis and therapeutic interventions for ANCA-associated vasculitis. Nat. Rev. Rheumatol. 2019, 15, 91–101. [Google Scholar] [CrossRef]
- Magro, C.M.; Wang, X. Cocaine-associated retiform purpura: A C5b-9-mediated microangiopathy syndrome associated with enhanced apoptosis and high levels of intercellular adhesion molecule-1 expression. Am. J. Dermatopathol. 2013, 35, 722–730. [Google Scholar] [CrossRef]
- Jin, Q.; Kant, S.; Alhariri, J.; Geetha, D. Levamisole adulterated cocaine associated ANCA vasculitis: Review of literature and update on pathogenesis. J. Community Hosp. Intern. Med. Perspect. 2018, 8, 339–344. [Google Scholar] [CrossRef]
- Wiesner, O.; Russell, K.A.; Lee, A.S.; Jenne, D.E.; Trimarchi, M.; Gregorini, G.; Specks, U. Antineutrophil cytoplasmic antibodies reacting with human neutrophil elastase as a diagnostic marker for cocaine-induced midline destructive lesions but not autoimmune vasculitis. Arthritis Rheum. 2004, 50, 2954–2965. [Google Scholar] [CrossRef] [PubMed]
- Kallenberg, C.G. Pathogenesis of ANCA-associated vasculitis, an update. Clin. Rev. Allergy Immunol. 2011, 41, 224–231. [Google Scholar] [CrossRef]
- Tervaert, J.W.; Popa, E.R.; Bos, N.A. The role of superantigens in vasculitis. Curr. Opin. Rheumatol. 1999, 11, 24–33. [Google Scholar] [CrossRef]
- Mirzaei, A.; Zabihiyeganeh, M.; Haqiqi, A. Differentiation of Cocaine-Induced Midline Destructive Lesions from ANCA-Associated Vasculitis. Iran J. Otorhinolaryngol. 2018, 30, 309–313. [Google Scholar]
- Kitching, A.R.; Anders, H.J.; Basu, N.; Brouwer, E.; Gordon, J.; Jayne, D.R.; Kullman, J.; Lyons, P.A.; Merkel, P.A.; Savage, C.O.S.; et al. ANCA-associated vasculitis. Nat. Rev. Dis. Primers 2020, 6, 71. [Google Scholar] [CrossRef] [PubMed]
- Peikert, T.; Finkielman, J.D.; Hummel, A.M.; McKenney, M.E.; Gregorini, G.; Trimarchi, M.; Specks, U. Functional characterization of antineutrophil cytoplasmic antibodies in patients with cocaine-induced midline destructive lesions. Arthritis Rheum. 2008, 58, 1546–1551. [Google Scholar] [CrossRef]
- Wiesner, O.; Litwiller, R.D.; Hummel, A.M.; Viss, M.A.; McDonald, C.J.; Jenne, D.E.; Fass, D.N.; Specks, U. Differences between human proteinase 3 and neutrophil elastase and their murine homologues are relevant for murine model experiments. FEBS Lett. 2005, 579, 5305–5312. [Google Scholar] [CrossRef] [PubMed]
- Pfister, H.; Ollert, M.; Fröhlich, L.F.; Quintanilla-Martinez, L.; Colby, T.V.; Specks, U.; Jenne, D.E. Antineutrophil cytoplasmic autoantibodies against the murine homolog of proteinase 3 (Wegener autoantigen) are pathogenic in vivo. Blood 2004, 104, 1411–1418. [Google Scholar] [CrossRef]
- Harper, L.; Ren, Y.; Savill, J.; Adu, D.; Savage, C.O. Antineutrophil cytoplasmic antibodies induce reactive oxygen-dependent dysregulation of primed neutrophil apoptosis and clearance by macrophages. Am. J. Pathol. 2000, 157, 211–220. [Google Scholar] [CrossRef] [PubMed][Green Version]
- Dartevel, A.; Chaigne, B.; Moachon, L.; Grenier, F.; Dupin, N.; Guillevin, L.; Bouillet, L.; Mouthon, L. Levamisole-induced vasculopathy: A systematic review. Semin. Arthritis Rheum. 2019, 48, 921–926. [Google Scholar] [CrossRef]
- Muñoz-Vahos, C.H.; Herrera-Uribe, S.; Arbeláez-Cortés, Á.; Jaramillo-Arroyave, D.; González-Naranjo, L.A.; Vásquez-Duque, G.; Restrepo-Escobar, M.; Correa-Londoño, L.A.; Arias-Restrepo, L.F.; Vanegas-García, A.L. Clinical Profile of Levamisole-Adulterated Cocaine-Induced Vasculitis/Vasculopathy: A 30-Case Series. J. Clin. Rheumatol. 2019, 25, e16–e26. [Google Scholar] [CrossRef]
- Graf, J. Rheumatic manifestations of cocaine use. Curr. Opin. Rheumatol. 2013, 25, 50–55. [Google Scholar] [CrossRef]
- Espinoza, L.R.; Perez Alamino, R. Cocaine-induced vasculitis: Clinical and immunological spectrum. Curr. Rheumatol. Rep. 2012, 14, 532–538. [Google Scholar] [CrossRef]
- Gill, C.; Sturman, J.; Ozbek, L.; Henderson, S.R.; Burns, A.; Hamour, S.; Pepper, R.J.; McClelland, L.; Chanouzas, D.; Gane, S.; et al. Cocaine-induced granulomatosis with polyangiitis-an under-recognized condition. Rheumatol. Adv. Pr. 2023, 7, rkad027. [Google Scholar] [CrossRef]
- Morassi, M.L.; Trimarchi, M.; Nicolai, P.; Gregorini, G.; Maroldi, R.; Specks, U.; Facchetti, F. Cocaine, ANCA, and Wegener’s granulomatosis. Pathologica 2001, 93, 581–583. [Google Scholar]
- Deutsch, H.L.; Millard, D.R., Jr. A new cocaine abuse complex. Involvement of nose, septum, palate, and pharynx. Arch. Otolaryngol. Head. Neck Surg. 1989, 115, 235–237. [Google Scholar] [CrossRef]
- Tsoukalas, N.; Johnson, C.D.; Engelmeier, R.L.; Delattre, V.F. The dental management of a patient with a cocaine-induced maxillofacial defect: A case report. Spec. Care Dent. 2000, 20, 139–142. [Google Scholar] [CrossRef]
- Alexandrakis, G.; Tse, D.T.; Rosa, R.H., Jr.; Johnson, T.E. Nasolacrimal duct obstruction and orbital cellulitis associated with chronic intranasal cocaine abuse. Arch. Ophthalmol. 1999, 117, 1617–1622. [Google Scholar] [CrossRef]
- García-Pérez, D.; Ruiz-Ortiz, M.; Panero, I.; Eiriz, C.; Moreno, L.M.; García-Reyne, A.; García, A.; Martín-Medina, P.; Salvador-Álvarez, E.; Hernández-Lain, A.; et al. Snorting the Brain Away: Cerebral Damage as an Extension of Cocaine-Induced Midline Destructive Lesions. J. Neuropathol. Exp. Neurol. 2020, 79, 1365–1369. [Google Scholar] [CrossRef]
- Stelten, B.M.; Post, B. Midline Destructive Lesions in a Cocaine User. N. Engl. J. Med. 2016, 374, 969. [Google Scholar] [CrossRef]
- Trimarchi, M.; Bussi, M.; Sinico, R.A.; Meroni, P.; Specks, U. Cocaine-induced midline destructive lesions—An autoimmune disease? Autoimmun. Rev. 2013, 12, 496–500. [Google Scholar] [CrossRef] [PubMed]
- Csernok, E.; Lamprecht, P.; Gross, W.L. Clinical and immunological features of drug-induced and infection-induced proteinase 3-antineutrophil cytoplasmic antibodies and myeloperoxidase-antineutrophil cytoplasmic antibodies and vasculitis. Curr. Opin. Rheumatol. 2010, 22, 43–48. [Google Scholar] [CrossRef]
- Puac-Polanco, P.; Rovira, À.; Shah, L.M.; Wiggins, R.H.; Rivas Rodriguez, F.; Torres, C. Imaging of Drug-Related Vasculopathy. Neuroimaging Clin. North. Am. 2024, 34, 113–128. [Google Scholar] [CrossRef]
- Trimarchi, M.; Nicolai, P.; Lombardi, D.; Facchetti, F.; Morassi, M.L.; Maroldi, R.; Gregorini, G.; Specks, U. Sinonasal osteocartilaginous necrosis in cocaine abusers: Experience in 25 patients. Am. J. Rhinol. 2003, 17, 33–43. [Google Scholar] [CrossRef]
- Tervaert, J.W.; Stegeman, C.A. A difficult diagnosis. Lancet 2004, 364, 1313–1314. [Google Scholar] [CrossRef]
- Felicetti, M.; Cazzador, D.; Padoan, R.; Pendolino, A.L.; Faccioli, C.; Nardello, E.; Berti, A.; Silvestrini, M.; Paolazzi, G.; Brunori, G.; et al. Ear, nose and throat involvement in granulomatosis with polyangiitis: How it presents and how it determines disease severity and long-term outcomes. Clin. Rheumatol. 2018, 37, 1075–1083. [Google Scholar] [CrossRef]
- Lötscher, F.; Krusche, M.; Ruffer, N.; Kubacki, T.; Person, F.; Kötter, I. Cocaine-induced ANCA-associated renal disease: A case-based review. Rheumatol. Int. 2019, 39, 2005–2014. [Google Scholar] [CrossRef]
- Rowshani, A.T.; Schot, L.J.; ten Berge, I.J. c-ANCA as a serological pitfall. Lancet 2004, 363, 782. [Google Scholar] [CrossRef]
- Subesinghe, S.; van Leuven, S.; Yalakki, L.; Sangle, S.; D’Cruz, D. Cocaine and ANCA associated vasculitis-like syndromes—A case series. Autoimmun. Rev. 2018, 17, 73–77. [Google Scholar] [CrossRef]
- Orriols, R.; Muñoz, X.; Ferrer, J.; Huget, P.; Morell, F. Cocaine-induced Churg-Strauss vasculitis. Eur. Respir. J. 1996, 9, 175–177. [Google Scholar] [CrossRef]
- De Paoli, M.C.; Moretti, D.; Scolari Pasinato, C.M.; Buncuga, M.G. Henoch-Schönlein purpura in a cocaine consumer man with HIV infection and ANCA-p positivity. Medicina 2016, 76, 245–248. [Google Scholar]
- Chevalier, X.; Rostoker, G.; Larget-Piet, B.; Gherardi, R. Schoenlein-Henoch purpura with necrotizing vasculitis after cocaine snorting. Clin. Nephrol. 1995, 43, 348–349. [Google Scholar]
- Aseem, F.; Lin, V.; Gilbert, A.L.; Rivadeneira, A.C.; Jennette, J.C.; Bouldin, T.W.; Khoshbakht, F.; Lee, Y.Z.; Chamberlin, K.; Gelinne, A.; et al. ANCA-associated vasculitis presenting with isolated neurological manifestations in a patient with cocaine abuse: A case report and literature review. Clin. Rheumatol. 2024, 43, 1401–1407. [Google Scholar] [CrossRef]
- Merkel, P.A.; Koroshetz, W.J.; Irizarry, M.C.; Cudkowicz, M.E. Cocaine-associated cerebral vasculitis. Semin. Arthritis Rheum. 1995, 25, 172–183. [Google Scholar] [CrossRef]
- Younger, D.S. Cerebral vasculitis associated with drug abuse. Curr. Opin. Rheumatol. 2021, 33, 24–33. [Google Scholar] [CrossRef]
- Neynaber, S.; Mistry-Burchardi, N.; Rust, C.; Samtleben, W.; Burgdorf, W.H.; Seitz, M.A.; Messer, G.; Wollenberg, A. PR3-ANCA-positive necrotizing multi-organ vasculitis following cocaine abuse. Acta Derm. Venereol. 2008, 88, 594–596. [Google Scholar] [CrossRef]
- Kumar, D.; Batal, I.; Jim, B.; Mendez, B.; Anis, K. Unusual case of levamisole-induced dual-positive ANCA vasculitis and crescentic glomerulonephritis. BMJ Case Rep. 2018, 2018, bcr-2018. [Google Scholar] [CrossRef]
- Fujinaga, M.; Chernaia, M.M.; Halenbeck, R.; Koths, K.; James, M.N. The crystal structure of PR3, a neutrophil serine proteinase antigen of Wegener’s granulomatosis antibodies. J. Mol. Biol. 1996, 261, 267–278. [Google Scholar] [CrossRef]
- McGrath, M.M.; Isakova, T.; Rennke, H.G.; Mottola, A.M.; Laliberte, K.A.; Niles, J.L. Contaminated cocaine and antineutrophil cytoplasmic antibody-associated disease. Clin. J. Am. Soc. Nephrol. 2011, 6, 2799–2805. [Google Scholar] [CrossRef]
- Pimentel, P.V.S.; Freitas, H.C.; Leite, M.D.B.; Lima, R.S.A.; Barreto, D.M.S.; Teixeira, A.C.; Daher, E.F. Rapidly progressive glomerulonephritis and acute kidney injury associated with cocaine use—Case report. J. Bras. Nefrol. 2021, 43, 283–287. [Google Scholar] [CrossRef]
- Macfarlane, D.G.; Bacon, P.A. Levamisole-induced vasculitis due to circulating immune complexes. Br. Med. J. 1978, 1, 407–408. [Google Scholar] [CrossRef]
- Scheinberg, M.A.; Bezerra, J.B.; Almeida, F.A.; Silveira, L.A. Cutaneous necrotising vasculitis induced by levamisole. Br. Med. J. 1978, 1, 408. [Google Scholar] [CrossRef]
- Imbernón-Moya, A.; Chico, R.; Aguilar-Martínez, A. Cutaneous and mucosal manifestations associated with cocaine use. Med. Clin. 2016, 146, 544–549. [Google Scholar] [CrossRef]
- Walsh, N.M.; Green, P.J.; Burlingame, R.W.; Pasternak, S.; Hanly, J.G. Cocaine-related retiform purpura: Evidence to incriminate the adulterant, levamisole. J. Cutan. Pathol. 2010, 37, 1212–1219. [Google Scholar] [CrossRef]
- Bradford, M.; Rosenberg, B.; Moreno, J.; Dumyati, G. Bilateral necrosis of earlobes and cheeks: Another complication of cocaine contaminated with levamisole. Ann. Intern. Med. 2010, 152, 758–759. [Google Scholar] [CrossRef]
- Poon, S.H.; Baliog, C.R., Jr.; Sams, R.N.; Robinson-Bostom, L.; Telang, G.H.; Reginato, A.M. Syndrome of cocaine-levamisole-induced cutaneous vasculitis and immune-mediated leukopenia. Semin. Arthritis Rheum. 2011, 41, 434–444. [Google Scholar] [CrossRef]
- Emil, N.S.; Cisneros, D.R.; Penmetsa, S.; Duchesne, J.H.; Sibbitt, W.L., Jr.; Gibb, J.I.; Noronha, L.E.; Fangtham, M.; Fields, R.A.; Bankhurst, A.D. Atypical Chronic Inflammatory ANCA-Positive Deforming Arthritis After Cocaine-Levamisole Exposure. J. Clin. Rheumatol. 2020, 26, 24–32. [Google Scholar] [CrossRef] [PubMed]
- Urosevic-Maiwald, M.; Hardenberg, J.B.; Hafner, J.; Brüggen, M.C. Cocaine/Levamisole-Induced, Skin-Limited ANCA-Associated Vasculitis with Pyoderma Gangrenosum-like Presentation. Dermatopathology 2022, 9, 207–211. [Google Scholar] [CrossRef] [PubMed]
- Gillis, J.A.; Green, P.; Williams, J. Levamisole-induced vasculopathy: Staging and management. J. Plast. Reconstr. Aesthet. Surg. 2014, 67, e29–e31. [Google Scholar] [CrossRef]
- Engels, D. Cocaine Use and Levamisole-Induced Vasculitis: A Multiple Case Study. J. Wound Ostomy Cont. Nurs. 2020, 47, 182–189. [Google Scholar] [CrossRef] [PubMed]
- Ullrich, K.; Koval, R.; Koval, E.; Bapoje, S.; Hirsh, J.M. Five consecutive cases of a cutaneous vasculopathy in users of levamisole-adulterated cocaine. J. Clin. Rheumatol. 2011, 17, 193–196. [Google Scholar] [CrossRef]
- Wu, V.C.; Huang, J.W.; Lien, H.C.; Hsieh, S.T.; Liu, H.M.; Yang, C.C.; Lin, Y.H.; Hwang, J.J.; Wu, K.D. Levamisole-induced multifocal inflammatory leukoencephalopathy: Clinical characteristics, outcome, and impact of treatment in 31 patients. Medicine 2006, 85, 203–213. [Google Scholar] [CrossRef]
- Jacob, R.S.; Silva, C.Y.; Powers, J.G.; Schieke, S.M.; Mendese, G.; Burlingame, R.W.; Miller, D.D.; Wolpowitz, D.; Graber, E.; Mahalingam, M. Levamisole-induced vasculopathy: A report of 2 cases and a novel histopathologic finding. Am. J. Dermatopathol. 2012, 34, 208–213. [Google Scholar] [CrossRef]
- Collister, D.; Sathianathan, C.; Ryz, K.; Karpinski, M.; Bernstein, K.; Gibson, I.W. ANCA Associated Vasculitis Secondary to Levamisole-Adultered Cocaine with Associated Membranous Nephropathy: A Case Series. Am. J. Nephrol. 2017, 45, 209–216. [Google Scholar] [CrossRef]
- Thompson, J.S.; Herbick, J.M.; Klassen, L.W.; Severson, C.D.; Overlin, V.L.; Blaschke, J.W.; Silverman, M.A.; Vogel, C.L. Studies on levamisole—Induced agranulocytosis. Blood 1980, 56, 388–396. [Google Scholar] [CrossRef]
- Hodinka, L.; Géher, P.; Merétey, K.; Gyódi, E.K.; Petrányi, G.G.; Bozsóky, S. Levamisole-induced neutropenia and agranulocytosis: Association with HLA B27 leukocyte agglutinating and lymphocytotoxic antibodies. Int. Arch. Allergy Appl. Immunol. 1981, 65, 460–464. [Google Scholar] [CrossRef] [PubMed]
- Czuchlewski, D.R.; Brackney, M.; Ewers, C.; Manna, J.; Fekrazad, M.H.; Martinez, A.; Nolte, K.B.; Hjelle, B.; Rabinowitz, I.; Curtis, B.R.; et al. Clinicopathologic features of agranulocytosis in the setting of levamisole-tainted cocaine. Am. J. Clin. Pathol. 2010, 133, 466–472. [Google Scholar] [CrossRef]
- Miner, J.; Gruber, P.; Perry, T.L. Early excision and grafting, an alternative approach to the surgical management of large body surface area levamisole-adulterated cocaine induced skin necrosis. Burns 2015, 41, e34–e40. [Google Scholar] [CrossRef] [PubMed]
- Gómez-Puerta, J.A.; Muñoz, C.H.; Vanegas-García, A.L.; Urrego, T.; Vásquez, G.; González, L.A. Anti C1q antibodies. A promising biomarker for cocaine-levamisole induced vasculitis. Reum. Clin. 2019, 15, e66–e67. [Google Scholar] [CrossRef]
- Westreich, R.W.; Lawson, W. Midline necrotizing nasal lesions: Analysis of 18 cases emphasizing radiological and serological findings with algorithms for diagnosis and management. Am. J. Rhinol. 2004, 18, 209–219. [Google Scholar] [CrossRef]
- Della-Torre, E.; Mattoo, H.; Mahajan, V.S.; Deshpande, V.; Krause, D.; Song, P.; Pillai, S.; Stone, J.H. IgG4-related midline destructive lesion. Ann. Rheum Dis. 2014, 73, 1434–1436. [Google Scholar] [CrossRef] [PubMed]
- Lanzillotta, M.; Campochiaro, C.; Trimarchi, M.; Arrigoni, G.; Gerevini, S.; Milani, R.; Bozzolo, E.; Biafora, M.; Venturini, E.; Cicalese, M.P.; et al. Deconstructing IgG4-related disease involvement of midline structures: Comparison to common mimickers. Mod. Rheumatol. 2017, 27, 638–645. [Google Scholar] [CrossRef]
- Roca, B. Epistaxis and systemic disease. Acta Otorrinolaringol. Esp. 2009, 60, 456–458. [Google Scholar] [CrossRef]
- Padoan, R.; Campaniello, D.; Felicetti, M.; Cazzador, D.; Schiavon, F. Ear, nose, and throat in ANCA-associated vasculitis: A comprehensive review. Vessel. Plus 2021, 5, 41. [Google Scholar] [CrossRef]
- Cazzador, D.; Padoan, R.; Colangeli, R.; Pendolino, A.L.; Felicetti, M.; Zanoletti, E.; Emanuelli, E.; Martini, A.; Doria, A.; Nicolai, P.; et al. Health-Related Quality of Life in Patients with ANCA-Associated Vasculitis and Sinonasal Involvement: A Single-Center Cross-Sectional Study. J. Clin. Rheumatol. 2022, 28, e89–e94. [Google Scholar] [CrossRef] [PubMed]
- Colby, T.V.; Tazelaar, H.D.; Specks, U.; DeRemee, R.A. Nasal biopsy in Wegener’s granulomatosis. Hum. Pathol. 1991, 22, 101–104. [Google Scholar] [CrossRef]
- Iorio, L.; Pizzi, M.; Cecchin, D.; Davanzo, F.; Ghirardello, A.; Dei Tos, A.P.; Doria, A.; Padoan, R. Cutting-Edge Strategies for Renal Tumour-like Lesions in Granulomatosis with Polyangiitis: A Systematic Review. Diagnostics 2024, 14, 566. [Google Scholar] [CrossRef] [PubMed]
- Fuchs, H.A.; Tanner, S.B. Granulomatous disorders of the nose and paranasal sinuses. Curr. Opin. Otolaryngol. Head. Neck Surg. 2009, 17, 23–27. [Google Scholar] [CrossRef]
- Perez Alamino, R.; Espinoza, L.R. Vasculitis mimics: Cocaine-induced midline destructive lesions. Am. J. Med. Sci. 2013, 346, 430–431. [Google Scholar] [CrossRef]
- Friedman, D.R.; Wolfsthal, S.D. Cocaine-induced pseudovasculitis. Mayo Clin. Proc. 2005, 80, 671–673. [Google Scholar] [CrossRef]
- Ching, J.A.; Smith, D.J., Jr. Levamisole-induced necrosis of skin, soft tissue, and bone: Case report and review of literature. J. Burn. Care Res. 2012, 33, e1–e5. [Google Scholar] [CrossRef]
- Rampi, A.; Vinciguerra, A.; Bondi, S.; Policaro, N.S.; Gastaldi, G. Cocaine-Induced Midline Destructive Lesions: A Real Challenge in Oral Rehabilitation. Int. J. Environ. Res. Public Health 2021, 18, 3219. [Google Scholar] [CrossRef]
- Marí, A.; Arranz, C.; Gimeno, X.; Lluch, J.; Pericot, J.; Escuder, O.; Monner, A.; Piulachs, P. Nasal cocaine abuse and centrofacial destructive process: Report of three cases including treatment. Oral. Surg. Oral. Med. Oral. Pathol. Oral. Radiol. Endod. 2002, 93, 435–439. [Google Scholar] [CrossRef]
- Di Cosola, M.; Turco, M.; Acero, J.; Navarro-Vila, C.; Cortelazzi, R. Cocaine-related syndrome and palatal reconstruction: Report of a series of cases. Int. J. Oral. Maxillofac. Surg. 2007, 36, 721–727. [Google Scholar] [CrossRef]
- Bains, M.K.; Hosseini-Ardehali, M. Palatal perforations: Past and present. Two case reports and a literature review. Br. Dent. J. 2005, 199, 267–269. [Google Scholar] [CrossRef]
- Green, R.J.; Gardiner, Q.; Vinod, K.; Oparka, R.; Ross, P.D. A case series and literature review on patients with rhinological complications secondary to the use of cocaine and levamisole. J. Laryngol. Otol. 2020, 134, 440–446. [Google Scholar] [CrossRef]
- Rachapalli, S.M.; Kiely, P.D. Cocaine-induced midline destructive lesions mimicking ENT-limited Wegener’s granulomatosis. Scand. J. Rheumatol. 2008, 37, 477–480. [Google Scholar] [CrossRef]
- Businco, L.D.; Lauriello, M.; Marsico, C.; Corbisiero, A.; Cipriani, O.; Tirelli, G.C. Psychological aspects and treatment of patients with nasal septal perforation due to cocaine inhalation. Acta Otorhinolaryngol. Ital. 2008, 28, 247–251. [Google Scholar] [PubMed]
- Heller, J.B.; Gabbay, J.S.; Trussler, A.; Heller, M.M.; Bradley, J.P. Repair of large nasal septal perforations using facial artery musculomucosal (FAMM) flap. Ann. Plast. Surg. 2005, 55, 456–459. [Google Scholar] [CrossRef]
- Ladner, T.; Linker, M.; Gitani, J. Functional repair of a major necrotic palatine defect caused by chronic cocaine inhalation. Rev. Stomatol. Chir. Maxillofac. 2004, 105, 291–293. [Google Scholar] [CrossRef]
- Hofstede, T.M.; Jacob, R.F. Diagnostic considerations and prosthetic rehabilitation of a cocaine-induced midline destructive lesion: A clinical report. J. Prosthet. Dent. 2010, 103, 1–5. [Google Scholar] [CrossRef] [PubMed]
- Guyuron, B.; Afrooz, P.N. Correction of cocaine-related nasal defects. Plast. Reconstr. Surg. 2008, 121, 1015–1023. [Google Scholar] [CrossRef] [PubMed]
- Vilela, R.J.; Langford, C.; McCullagh, L.; Kass, E.S. Cocaine-induced oronasal fistulas with external nasal erosion but without palate involvement. Ear Nose Throat J. 2002, 81, 562–563. [Google Scholar] [CrossRef]
- Abousy, M.; Sylvester, S.; Milek, D.; Hultman, C.S.; Caffrey, J. Surgical management and outcomes of levamisole-induced vasculitis in a burn center: A case series. JAAD Case Rep. 2021, 13, 36–42. [Google Scholar] [CrossRef]
- Barbotti, A.; Gheorghiu, A.C.; Fusi-Schmidhauser, T.; Grazioli-Gauthier, L. Leukocytoclastic Vasculitis Induced by Cocaine Adulterated with Levamisole. Eur. J. Case Rep. Intern. Med. 2022, 9, 003468. [Google Scholar] [CrossRef] [PubMed]
- Alexander, S.A.; Mathew Thomas, V.; Savage, J.A. Elevated C-reactive Protein and Role of Steroids in Cocaine-associated Levamisole-induced Vasculitis. Cureus 2020, 12, e7597. [Google Scholar] [CrossRef] [PubMed]





| Classification Grade | Localization | Patients in the Nitro et al. [24] Systematic Review | 
|---|---|---|
| 1 (middle) | Nasal septum | 126 (99.2%) | 
| 2 A (inferior third of the sinonasal complex) | Grade 1 + inferolateral district (inferior turbinate and Maxillary-sinus medial wall, nasolacrimal duct) | 75 (59%) | 
| 2 B (inferior third of the sinonasal complex) | Grade 1 + palate (nasal floor) | 38 (29.9%) | 
| 3 (middle third of the sinonasal complex) | Grade 2 + ethmoid bone, middle turbinate and superior turbinate | 29 (22.8%) | 
| 4 (neurocranial structures) | Grade 3 + neurocranium (lamina papyracea, orbit base or skull base) | 10 (7.9%) | 
| CIMDLs | LAC Vasculopathy/Vasculitis | CIV | |
|---|---|---|---|
| Disease localizations | ENT (midline structures) | Local (cutaneous) and systemic | Multi-organ and systemic | 
| Disease manifestations | Diffuse necrotizing ulcerative lesions, nasal crusting, nasal-septum perforation, palatal perforation, nasal deformity | Retiform purpura, constitutional symptoms, midline destructive lesions, glomerulonephritis, pulmonary involvement, leukoencephalopathy, arthritis | Skin rashes, joint involvement, pauci-immune crescentic glomerulonephritis, alveolar hemorrhage | 
| ANCA IIF pattern | Perinuclear or cytoplasmatic | Atypical perinuclear | Perinuclear | 
| ANCA specificity | Anti-HNE, PR3-ANCA, ANCA negative | MPO-ANCA, PR3-ANCA, anti-HNE | PR3-ANCA, MPO-ANCA, ANCA negative | 
| ANCA double positivity | HNE and PR3 | c-ANCA and p-ANCA | PR3 and p-ANCA | 
| Other biomarkers | - | APL, low complement levels, ANAs, anti-dsDNA, anti-C1q, cryoglobulin | - | 
| Systemic inflammation | Rarely | Common | Common | 
| Hematological abnormalities | None | Common (leukopenia, neutropenia, agranulocytosis, hemolytic anemia, thrombocytopenia) | - | 
| Histology | Not specific except for cell apoptosis and extensive necrosis | Thrombotic vasculopathy, leukocytoclastic vasculitis | Leukocytoclastic vasculitis, commonly pauci-immune necrotizing glomerulonephritis | 
| First approach | Cessation of cocaine abuse | Cessation of cocaine abuse | Cessation of cocaine abuse | 
| Immunosuppressive treatment | Rarely required, only in case of systemic inflammation | Required in case of severe systemic inflammation or life-threatening symptoms | Controversial | 
| Local and surgery treatment | Conservative local treatment, prosthetic and reconstructive surgery | Supportive local therapy and plastic surgery | - | 
| Disclaimer/Publisher’s Note: The statements, opinions and data contained in all publications are solely those of the individual author(s) and contributor(s) and not of MDPI and/or the editor(s). MDPI and/or the editor(s) disclaim responsibility for any injury to people or property resulting from any ideas, methods, instructions or products referred to in the content. | 
© 2024 by the authors. Licensee MDPI, Basel, Switzerland. This article is an open access article distributed under the terms and conditions of the Creative Commons Attribution (CC BY) license (https://creativecommons.org/licenses/by/4.0/).
Share and Cite
Iorio, L.; Davanzo, F.; Cazzador, D.; Codirenzi, M.; Fiorin, E.; Zanatta, E.; Nicolai, P.; Doria, A.; Padoan, R. Cocaine- and Levamisole-Induced Vasculitis: Defining the Spectrum of Autoimmune Manifestations. J. Clin. Med. 2024, 13, 5116. https://doi.org/10.3390/jcm13175116
Iorio L, Davanzo F, Cazzador D, Codirenzi M, Fiorin E, Zanatta E, Nicolai P, Doria A, Padoan R. Cocaine- and Levamisole-Induced Vasculitis: Defining the Spectrum of Autoimmune Manifestations. Journal of Clinical Medicine. 2024; 13(17):5116. https://doi.org/10.3390/jcm13175116
Chicago/Turabian StyleIorio, Luca, Federica Davanzo, Diego Cazzador, Marta Codirenzi, Eleonora Fiorin, Elisabetta Zanatta, Piero Nicolai, Andrea Doria, and Roberto Padoan. 2024. "Cocaine- and Levamisole-Induced Vasculitis: Defining the Spectrum of Autoimmune Manifestations" Journal of Clinical Medicine 13, no. 17: 5116. https://doi.org/10.3390/jcm13175116
APA StyleIorio, L., Davanzo, F., Cazzador, D., Codirenzi, M., Fiorin, E., Zanatta, E., Nicolai, P., Doria, A., & Padoan, R. (2024). Cocaine- and Levamisole-Induced Vasculitis: Defining the Spectrum of Autoimmune Manifestations. Journal of Clinical Medicine, 13(17), 5116. https://doi.org/10.3390/jcm13175116
 
        



 
       