A New Era for PET/CT: Applications in Non-Tumorous Renal Pathologies
Abstract
1. Introduction
2. PET/CT Utilities
2.1. Acute Kidney Injury
2.1.1. Acute Pyelonephritis
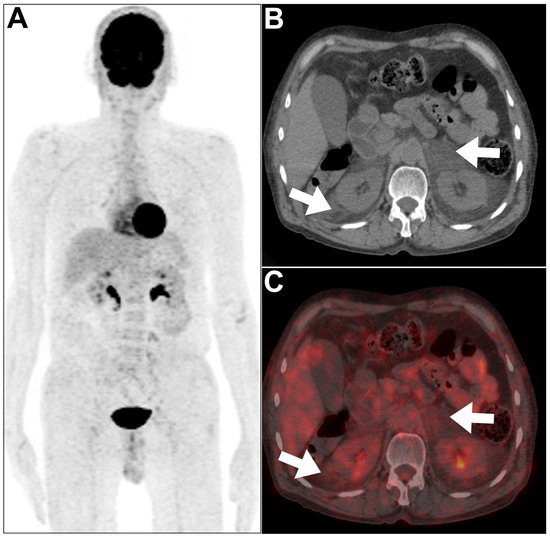
2.1.2. Infective Polycystic Kidney Disease
2.1.3. Drug-Induced Nephritis
2.1.4. Radiation-Induced Nephritis
2.1.5. Granulomatous Nephritis
2.1.6. Other Forms of Acute Nephritis
2.2. Immune Complex-Mediated Glomerulonephritis
2.3. Chronic Kidney Disease
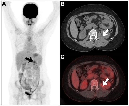
2.3.1. Chronic Pyelonephritis
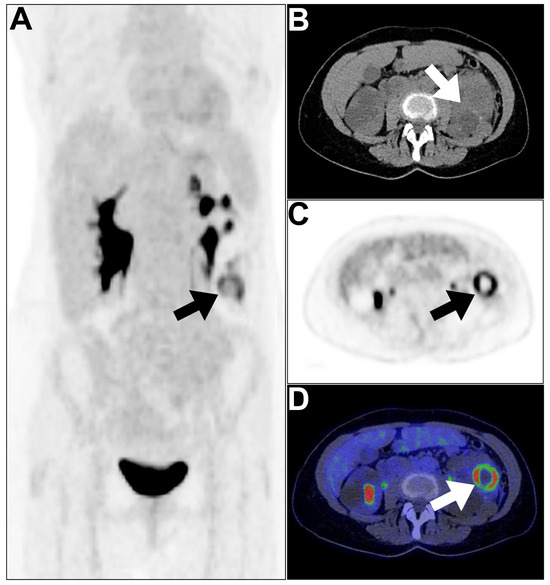
2.3.2. Renal Abscess
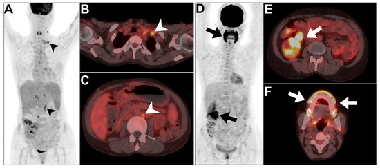
2.4. Renal Transplant
2.5. Renal Histiocytosis
2.6. Renal Amyloidosis
3. Discussion
4. Future Directions
5. Limitations
6. Conclusions
Author Contributions
Funding
Institutional Review Board Statement
Informed Consent Statement
Data Availability Statement
Conflicts of Interest
References
- Kovesdy, C.P. Epidemiology of chronic kidney disease: An update 2022. Kidney Int. Suppl. 2022, 12, 7–11. [Google Scholar] [CrossRef]
- Li, P.K.-T.; Garcia-Garcia, G.; Lui, S.-F.; Andreoli, S.; Fung, W.W.-S.; Hradsky, A.; Kumaraswami, L.; Liakopoulos, V.; Rakhimova, Z.; Saadi, G.; et al. Kidney health for everyone everywhere—From prevention to detection and equitable access to care. Braz. J. Med. Biol. Res. 2020, 53, e9614. [Google Scholar] [CrossRef]
- Visioni, A.; Kim, J. Positron emission tomography for benign and malignant disease. Surg. Clin. 2011, 91, 249–266. [Google Scholar] [CrossRef] [PubMed]
- Al-Ibraheem, A. Theranostics in Developing Countries: Addressing Challenges and Potentials from Training to Practice. World J. Nucl. Med. 2023, 22, 171–173. [Google Scholar] [CrossRef] [PubMed]
- Amoabeng, K.A.; Laurila, S.; Juárez-Orozco, L.E.; Marthinsen, A.B.L.; Moczulski, D.; Rebelos, E.; Dadson, P. The utilization of positron emission tomography in the evaluation of renal health and disease. Clin. Transl. Imaging 2022, 10, 1–11. [Google Scholar] [CrossRef]
- Wan, C.-H.; Tseng, J.-R.; Lee, M.-H.; Yang, L.-Y.; Yen, T.-C. Clinical utility of FDG PET/CT in acute complicated pyelonephritis—Results from an observational study. Eur. J. Nucl. Med. Mol. Imaging 2018, 45, 462–470. [Google Scholar] [CrossRef]
- Lee, J.H.; Lee, K.G.; Park, H.K.; Song, S.Y.; Kim, J.Y.; Kim, Y.H.; Choi, Y.Y.; Jang, K.-S.; Park, M.H. Inflammatory pseudotumor of the kidney mimicking malignancy on 18F-FDG PET/CT in a patient with diabetes and hepatocellular carcinoma. Clin. Nucl. Med. 2012, 37, 699–701. [Google Scholar] [CrossRef]
- Salle, M.; Zahar, J.-R.; Gru, J.-P.; Knebelmann, B.; Fakhouri, F. Cyst infections in patients with autosomal dominant polycystic kidney disease. Clin. J. Am. Soc. Nephrol. 2009, 4, 1183–1189. [Google Scholar]
- Qualls, D.; Seethapathy, H.; Bates, H.; Tajmir, S.; Heidari, P.; Endres, P.; Reynolds, K.; Lawrence, D.; Sise, M. Positron emission tomography as an adjuvant diagnostic test in the evaluation of checkpoint inhibitor-associated acute interstitial nephritis. J. Immunother. Cancer 2019, 7, 356. [Google Scholar] [CrossRef]
- Choi, H.J.; Shim, H.; Hyun, H.; Gerbaudo, V.H.; Kim, C.K. FDG PET/CT Appearance of Radiation Nephritis. Clin. Nucl. Med. 2016, 41, 253–254. [Google Scholar] [CrossRef]
- Subramanyam, P.; Palaniswamy, S.S. Dual Time Point 18F-FDG PET/CT Imaging Identifies Bilateral Renal Tuberculosis in an Immunocompromised Patient with an Unknown Primary Malignancy. Infect. Chemother. 2015, 47, 117. [Google Scholar] [CrossRef] [PubMed]
- Zhang, H.; Pan, Q.; Luo, Y. Prominent 68Ga-FAPI Uptake in Renal Parenchyma Caused by Immunoglobulin G4–Related Nephropathy. Clin. Nucl. Med. 2023, 48, 463–465. [Google Scholar] [CrossRef]
- Al-Ibraheem, A.; Abdlkadir, A.S.; Shagera, Q.A.; Saraireh, O.; Al-Adhami, D.; Al-Rashdan, R.; Anwar, F.; Moghrabi, S.; Mohamad, I.; Muylle, K.; et al. The Diagnostic and Predictive Value of (18)F-Fluorodeoxyglucose Positron Emission Tomography/Computed Tomography in Laryngeal Squamous Cell Carcinoma. Cancers 2023, 15, 5461. [Google Scholar] [CrossRef] [PubMed]
- Bouchelouche, K. PET/CT in bladder cancer: An update. Semin. Nucl. Med. 2022, 52, 475–485. [Google Scholar] [CrossRef] [PubMed]
- Al-Ibraheem, A.; Abdlkadir, A.S.; Al-Adhami, D.; Hejleh, T.A.; Mansour, A.; Mohamad, I.; Juweid, M.E.; Al-Rasheed, U.; Al-Hajaj, N.; Laban, D.A.; et al. The Prognostic and Diagnostic Value of [(18)F]FDG PET/CT in Untreated Laryngeal Carcinoma. J. Clin. Med. 2023, 12, 3514. [Google Scholar] [CrossRef] [PubMed]
- Salem, A.E.; Shah, H.R.; Covington, M.F.; Koppula, B.R.; Fine, G.C.; Wiggins, R.H.; Hoffman, J.M.; Morton, K.A. PET-CT in clinical adult oncology: I. hematologic malignancies. Cancers 2022, 14, 5941. [Google Scholar] [CrossRef] [PubMed]
- Al-Ibraheem, A.; Abdlkadir, A.S.; Juweid, M.E.; Al-Rabi, K.; Ma’koseh, M.; Abdel-Razeq, H.; Mansour, A. FDG-PET/CT in the monitoring of lymphoma immunotherapy response: Current status and future prospects. Cancers 2023, 15, 1063. [Google Scholar] [CrossRef] [PubMed]
- Poeppel, T.; Krause, B.; Heusner, T.; Boy, C.; Bockisch, A.; Antoch, G. PET/CT for the staging and follow-up of patients with malignancies. Eur. J. Radiol. 2009, 70, 382–392. [Google Scholar] [CrossRef] [PubMed]
- Makris, K.; Spanou, L. Acute kidney injury: Definition, pathophysiology and clinical phenotypes. Clin. Biochem. Rev. 2016, 37, 85. [Google Scholar]
- Kidera, E.; Koyasu, S.; Hayakawa, N.; Ishimori, T.; Nakamoto, Y. Association between diffuse renal uptake of 18F-FDG and acute kidney injury. Ann. Nucl. Med. 2022, 36, 351–359. [Google Scholar] [CrossRef]
- Solav, S.; Savale, S.; Patil, A.M. Localization of acute pyelonephritis in pyrexia of unknown origin using FDG PET/CT. Asia Ocean. J. Nucl. Med. Biol. 2020, 8, 79. [Google Scholar]
- Morelle, M.; Jaillard, A.; Bellevre, D.; Collet, G.; Petyt, G. 18F-FDG PET/CT in renal infections: Evidence of acute pyelonephritis in a horseshoe kidney. Clin. Nucl. Med. 2017, 42, 112–113. [Google Scholar] [CrossRef] [PubMed]
- Giesel, F.L.; Kratochwil, C.; Lindner, T.; Marschalek, M.M.; Loktev, A.; Lehnert, W.; Debus, J.; Jäger, D.; Flechsig, P.; Altmann, A. 68Ga-FAPI PET/CT: Biodistribution and preliminary dosimetry estimate of 2 DOTA-containing FAP-targeting agents in patients with various cancers. J. Nucl. Med. 2019, 60, 386–392. [Google Scholar] [CrossRef]
- Jagtap, R.R.; Savale, S.V.; Khajindar, G.S.; Solav, S.V. Localization of pyelonephritis by 68Ga-FAPI PET CT. Asia Ocean. J. Nucl. Med. Biol. 2023, 11, 85. [Google Scholar]
- Solazzo, A.; Testa, F.; Giovanella, S.; Busutti, M.; Furci, L.; Carrera, P.; Ferrari, M.; Ligabue, G.; Mori, G.; Leonelli, M. The prevalence of autosomal dominant polycystic kidney disease (ADPKD): A meta-analysis of European literature and prevalence evaluation in the Italian province of Modena suggest that ADPKD is a rare and underdiagnosed condition. PLoS ONE 2018, 13, e0190430. [Google Scholar] [CrossRef]
- Yu, T.-M.; Chuang, Y.-W.; Yu, M.-C.; Chen, C.-H.; Yang, C.-K.; Huang, S.-T.; Lin, C.-L.; Shu, K.-H.; Kao, C.-H. Risk of cancer in patients with polycystic kidney disease: A propensity-score matched analysis of a nationwide, population-based cohort study. Lancet Oncol. 2016, 17, 1419–1425. [Google Scholar] [CrossRef]
- Colbert, G.B.; Elrggal, M.E.; Gaur, L.; Lerma, E.V. Update and review of adult polycystic kidney disease. Disease-a-Month 2020, 66, 100887. [Google Scholar] [CrossRef] [PubMed]
- Pijl, J.P.; Glaudemans, A.W.; Slart, R.H.; Kwee, T.C. 18F-FDG PET/CT in autosomal dominant polycystic kidney disease patients with suspected cyst infection. J. Nucl. Med. 2018, 59, 1734–1741. [Google Scholar] [CrossRef]
- Ronsin, C.; Bailly, C.; Le Turnier, P.; Ville, S. Value of FDG-PET/CT in monitoring cyst infections in patients with autosomal dominant polycystic renal disease. Clin. Kidney J. 2021, 14, 2273–2275. [Google Scholar] [CrossRef]
- Balbo, B.; Sapienza, M.; Ono, C.; Jayanthi, S.; Dettoni, J.; Castro, I.; Onuchic, L. Cyst infection in hospital-admitted autosomal dominant polycystic kidney disease patients is predominantly multifocal and associated with kidney and liver volume. Braz. J. Med. Biol. Res. 2014, 47, 584–593. [Google Scholar] [CrossRef][Green Version]
- Bobot, M.; Ghez, C.; Gondouin, B.; Sallée, M.; Fournier, P.-E.; Burtey, S.; Legris, T.; Dussol, B.; Berland, Y.; Souteyrand, P. Diagnostic performance of [18F] fluorodeoxyglucose positron emission tomography–computed tomography in cyst infection in patients with autosomal dominant polycystic kidney disease. Clin. Microbiol. Infect. 2016, 22, 71–77. [Google Scholar] [CrossRef]
- Kim, H.; Oh, Y.K.; Park, H.C.; Park, S.; Lee, S.; Lee, H.Y.; Hwang, Y.H.; Ahn, C. Clinical experience with white blood cell-PET/CT in autosomal dominant polycystic kidney disease patients with suspected cyst infection: A prospective case series. Nephrology 2018, 23, 661–668. [Google Scholar] [CrossRef] [PubMed]
- Kitajima, K.; Yamamoto, S.; Kawanaka, Y.; Katsuura, T.; Fujita, M.; Nakanishi, Y.; Yamada, Y.; Hashimoto, T.; Suzuki, T.; Go, S. Imaging of renal cell carcinoma in patients with acquired cystic disease of the kidney: Comparison 11 C-choline and FDG PET/CT with dynamic contrast-enhanced CT. Jpn. J. Radiol. 2019, 37, 165–177. [Google Scholar] [CrossRef]
- Katagiri, D.; Masumoto, S.; Katsuma, A.; Minami, E.; Hoshino, T.; Inoue, T.; Shibata, M.; Tada, M.; Morooka, M.; Kubota, K. Positron emission tomography combined with computed tomography (PET-CT) as a new diagnostic tool for acute tubulointerstitial nephritis (AIN) in oliguric or haemodialysed patients. NDT Plus 2010, 3, 155–159. [Google Scholar] [CrossRef]
- Awiwi, M.O.; Abudayyeh, A.; Abdel-Wahab, N.; Diab, A.; Gjoni, M.; Xu, G.; Vikram, R.; Elsayes, K. Imaging features of immune checkpoint inhibitor-related nephritis with clinical correlation: A retrospective series of biopsy-proven cases. Eur. Radiol. 2023, 33, 2227–2238. [Google Scholar] [CrossRef] [PubMed]
- Joss, N.; Morris, S.; Young, B.; Geddes, C. Granulomatous interstitial nephritis. Clin. J. Am. Soc. Nephrol. 2007, 2, 222–230. [Google Scholar] [CrossRef] [PubMed]
- Carrillo-Esper, R.; Moreno-Castañeda, L.; Hernández-Cruz, A.E.; Aguilar-Zapata, D.A. Renal tuberculosis. Cirugía y Cirujanos 2010, 78, 442–447. [Google Scholar] [PubMed]
- Moideen, A.; Singh, H.; Kumar, R.; Naik, S.M.; Gupta, A.; Sekar, A.; Nada, R. 18F-FDG PET/CT in Renal Allograft Tuberculosis Mimicking as Posttransplant Malignancy. Clin. Nucl. Med. 2022, 49, e52–e53. [Google Scholar] [CrossRef]
- Horino, T.; Matsumoto, T.; Inoue, K.; Ichii, O.; Terada, Y. A case of acute kidney injury caused by granulomatous interstitial nephritis associated with sarcoidosis. CEN Case Rep. 2018, 7, 34–38. [Google Scholar] [CrossRef]
- Heldmann, M.; Behm, W.; Reddy, M.P.; Bozeman, C.; Welman, G.; Abreo, F.; Minagar, A. Pseudotumoral renal sarcoid: MRI, PET, and MDCT appearance with pathologic correlation. Am. J. Roentgenol. 2005, 185, 697–699. [Google Scholar] [CrossRef]
- Farghaly, H.R.S.; Alqarni, A.O.; Nasr, H.A. 18F-fluorodeoxyglucose positron emission tomography/computed tomography in the assessment of occult involvement in widespread granulomatosis with polyangiitis (Wegener’s granulomatosis). Indian J. Nucl. Med. 2019, 34, 153–156. [Google Scholar] [CrossRef] [PubMed]
- Ogan, N.; Demirci, N.Y.; Demirağ, F.; Erdoğan, Y. Positron emission tomography in the management of five cases with granulomatosis with polyangiitis. Turk. J. Clin. Lab. 2017, 8, 76. [Google Scholar] [CrossRef]
- Nelson, D.R.; Johnson, G.B.; Cartin-Ceba, R.; Specks, U. Characterization of F-18 Fluorodeoxyglucose PET/CT in Granulomatosis with Polyangiitis. Sarcoidosis Vasc. Diffus. Lung Dis.: Off. J. WASOG 2016, 32, 342–352. [Google Scholar] [CrossRef]
- Ozmen, O.; Tatci, E.; Gokcek, A.; Koksal, D.; Dadali, Y.; Ozaydin, E.; Arslan, N. Integration of 2-deoxy-2-[18F] fluoro-D-glucose PET/CT into clinical management of patients with Wegener’s granulomatosis. Ann. Nucl. Med. 2013, 27, 907–915. [Google Scholar] [CrossRef] [PubMed]
- Sharma, P.; Chatterjee, P. 18F-FDG PET/CT in multisystem sjögren syndrome. Clin. Nucl. Med. 2015, 40, e293–e294. [Google Scholar] [CrossRef] [PubMed]
- Girard, A.; Ohnona, J.; Bernaudin, J.-F.; Montravers, F.; Bachmeyer, C. Generalized lymph node FDG uptake as the first manifestation of systemic lupus erythematosus. Clin. Nucl. Med. 2017, 42, 787–789. [Google Scholar] [CrossRef] [PubMed]
- Nair, A.; Pandit, N.; Kavadichanda, C. Role of [68Ga]-pentixafor positron emission tomography/computed tomography imaging in assessing disease activity in patients with lupus nephritis: A pilot study. Lupus 2023, 32, 1267–1275. [Google Scholar] [CrossRef] [PubMed]
- Chandra, P.; Nath, S. IgG4 related kidney disease with extra-renal involvement demonstrated on FDG PET/CT. Indian J. Nucl. Med. 2021, 36, 214–216. [Google Scholar] [CrossRef] [PubMed]
- Huang, S.; Qi, Z.; Huang, R.; Su, M. IgA Nephropathy in a Patient wth Metastatic Carcinoma of Unknown Primary: Findings on: 18: F-FDG PET/MRI. Clin. Nucl. Med. 2022, 47, 346–347. [Google Scholar] [CrossRef]
- Hu, G.; Huo, L.; Li, F.; Luo, Y. Renal Involvement of Immunoglobulin G4–Related Disease Presenting as a Solitary Hypermetabolic Mass Mimicking Renal Tumor on 18F-FDG PET/CT. Clin. Nucl. Med. 2023, 48, e400–e402. [Google Scholar] [CrossRef]
- Jiang, Y.; Hou, G.; Cheng, W. Renal pelvis involvement of immunoglobulin G4–related disease mimicking malignancy on 18F-FDG PET/CT. Clin. Nucl. Med. 2019, 44, 767–768. [Google Scholar] [CrossRef] [PubMed]
- Kemna, M.J.; Vandergheynst, F.; Vöö, S.; Blocklet, D.; Nguyen, T.; Timmermans, S.A.; van Paassen, P.; Cogan, E.; van Kroonenburgh, M.J.; Tervaert, J.W.C. Positron emission tomography scanning in anti-neutrophil cytoplasmic antibodies-associated vasculitis. Medicine 2015, 94, e747. [Google Scholar] [CrossRef] [PubMed]
- Kalantar-Zadeh, K.; Jafar, T.H.; Nitsch, D.; Neuen, B.L.; Perkovic, V. Chronic kidney disease. Lancet 2021, 398, 786–802. [Google Scholar] [CrossRef] [PubMed]
- Zhou, Y.; Yang, X.; Liu, H.; Luo, W.; Liu, H.; Lv, T.; Wang, J.; Qin, J.; Ou, S.; Chen, Y. Value of [68 Ga] Ga-FAPI-04 imaging in the diagnosis of renal fibrosis. Eur. J. Nucl. Med. Mol. Imaging 2021, 48, 3493–3501. [Google Scholar] [CrossRef] [PubMed]
- Conen, P.; Pennetta, F.; Dendl, K.; Hertel, F.; Vogg, A.; Haberkorn, U.; Giesel, F.L.; Mottaghy, F.M. [68 Ga] Ga-FAPI uptake correlates with the state of chronic kidney disease. Eur. J. Nucl. Med. Mol. Imaging 2022, 49, 3365–3372. [Google Scholar] [CrossRef] [PubMed]
- Xu, Z.; Cai, T.; Zhang, X.; Wu, J.; Liu, C. Xanthogranulomatous pyelonephritis infected with the Providencia stuartii: A case report and literature review. BMC Nephrol. 2021, 22, 356. [Google Scholar] [CrossRef] [PubMed]
- Joshi, P.; Lele, V.; Shah, H. Fluorodeoxyglucose positron emission tomography-computed tomography findings in a case of xanthogranulomatous pyelonephritis. Indian J. Nucl. Med. 2013, 28, 49–50. [Google Scholar] [CrossRef] [PubMed]
- Liu, Y.; Tong, G.; Wen, Z. Focal Xanthogranulomatous Pyelonephritis on FDG PET/CT. Clin. Nucl. Med. 2022, 47, e611–e612. [Google Scholar] [CrossRef]
- Yi, M.; Liu, Y.; Chen, Q. Xanthogranulomatous pyelonephritis with polycystic kidney disease as a mimic of cystic renal cell carcinoma: A case report. BMC Urol. 2023, 23, 58. [Google Scholar] [CrossRef]
- Swingle, C.A.; DBaumgarten, A.; Schuster, D.M. Xanthogranulomatous pyelonephritis characterized on PET/CT. Clin. Nucl. Med. 2005, 30, 728–729. [Google Scholar] [CrossRef]
- Civan, C.; Kuyumcu, S.; Simsek, D.H.; Sanli, O.; Isik, E.G.; Ozkan, Z.G.; Hurdogan, O.; Sanli, Y. The role of [68 Ga] Ga-FAPI-04 PET/CT in renal cell carcinoma: A preliminary study. Eur. J. Nucl. Med. Mol. Imaging 2024, 51, 852–861. [Google Scholar] [CrossRef] [PubMed]
- Sarikaya, I.; Alqallaf, A.; Sarikaya, A.; Baqer, A.; Kazem, N. Renal cortical scarring: 68Ga-PSMA-11 PET versus 99mTc-DMSA scanning in a case of pyelonephritis. J. Nucl. Med. Technol. 2022, 50, 49–53. [Google Scholar] [CrossRef] [PubMed]
- Wan, Z.; Wang, K.; Yin, X.; Guo, X.; Cheng, G.; Pan, J. Renal Abscess Caused by Crizotinib: A Rare Case Report. Front. Oncol. 2022, 12, 920990. [Google Scholar] [CrossRef] [PubMed]
- Jung, J.S.; Lee, S.M.; Kim, H.J.; Jang, S.-H.; Lee, J.W. A case of septic pulmonary embolism associated with renal abscess mimicking pulmonary metastases of renal malignancy. Ann. Nucl. Med. 2014, 28, 381–385. [Google Scholar] [CrossRef] [PubMed]
- Abramyan, S.; Hanlon, M. Kidney Transplantation; StatPearls Publishing: Treasure Island, FL, USA, 2022; Volume 4. [Google Scholar]
- Lovinfosse, P.; Hanssen, O.; Weekers, L.; Jadoul, A.; Huynen, A.; Bonvoisin, C.; Bouquegneau, A.; Hustinx, R.; Jouret, F. Exclusion of subclinical kidney allograft rejection by FDG PET/CT imaging systematically performed at 3 months post kidney transplantation. Soc. Nuclear Med. 2019, 60, 1226. [Google Scholar]
- Lovinfosse, P.; Weekers, L.; Bonvoisin, C.; Bovy, C.; Grosch, S.; Krzesinski, J.-M.; Hustinx, R.; Jouret, F. Fluorodeoxyglucose F18 positron emission tomography coupled with computed tomography in suspected acute renal allograft rejection. Am. J. Transplant. 2016, 16, 310–316. [Google Scholar] [CrossRef] [PubMed]
- Hanssen, O.; Weekers, L.; Lovinfosse, P.; Jadoul, A.; Bonvoisin, C.; Bouquegneau, A.; Grosch, S.; Huynen, A.; Anglicheau, D.; Hustinx, R. Diagnostic yield of 18F-FDG PET/CT imaging and urinary CXCL9/creatinine levels in kidney allograft subclinical rejection. Am. J. Transplant. 2020, 20, 1402–1409. [Google Scholar] [CrossRef] [PubMed]
- Päivärinta, J.; Oikonen, V.; Räisänen-Sokolowski, A.; Tolvanen, T.; Löyttyniemi, E.; Iida, H.; Nuutila, P.; Metsärinne, K.; Koivuviita, N. Renal vascular resistance is increased in patients with kidney transplant. BMC Nephrol. 2019, 20, 437. [Google Scholar] [CrossRef]
- Pan, B.; Zhu, X. 18F-FDG PET/CT imaging of posttransplant lymphoproliferative disorder following renal transplantation: Three clinical cases. Heliyon 2023, 9, e14746. [Google Scholar] [CrossRef]
- Derlin, T.; Gueler, F.; Bräsen, J.H.; Schmitz, J.; Hartung, D.; Herrmann, T.R.; Ross, T.L.; Wacker, F.; Wester, H.-J.; Hiss, M. Integrating MRI and chemokine receptor CXCR4-targeted PET for detection of leukocyte infiltration in complicated urinary tract infections after kidney transplantation. J. Nucl. Med. 2017, 58, 1831–1837. [Google Scholar] [CrossRef]
- Yasin, S.; Uzoaru, I.; Maurer, G. Localised renal Langerhans cell histiocytosis coexisting with unilateral renal clear cell carcinoma. BMJ Case Rep. 2021, 14, e237236. [Google Scholar] [CrossRef] [PubMed]
- Ma, J.; Yang, Q.; Huo, L.; Dai, J.; Niu, N.; Cao, X. Performance of 68Ga-Labeled Fibroblast Activation Protein Inhibitor PET/CT in Evaluation of Erdheim–Chester Disease: A Comparison with 18F-FDG PET/CT. J. Nucl. Med. 2023, 64, 1385–1391. [Google Scholar] [CrossRef] [PubMed]
- Wu, M.; Niu, N.; Huo, L. Clinical Utility of F-FDG PET/CT in Adult Langerhans Cell Histiocytosis: An analysis of 57 Patients. J. Nucl. Med. 2020, 61, 169. [Google Scholar]
- Konca, C.; Özkurt, Z.N.; Deger, M.; Akı, Z.; Yağcı, M. Extranodal multifocal Rosai–Dorfman disease: Response to 2-chlorodeoxyadenosine treatment. Int. J. Hematol. 2009, 89, 58–62. [Google Scholar] [CrossRef] [PubMed]
- Pepys, M. Pathogenesis, diagnosis and treatment of systemic amyloidosis. Philos. Trans. R. Soc. London Ser. B: Biol. Sci. 2001, 356, 203–211. [Google Scholar] [CrossRef] [PubMed]
- Lee, J.H.; Lee, G.Y.; Kim, S.J.; Kim, K.H.; Jeon, E.-S.; Lee, K.-H.; Kim, B.-T.; Choi, J.Y. Imaging findings and literature review of 18 F-FDG PET/CT in primary systemic AL amyloidosis. Nucl. Med. Mol. Imaging 2015, 49, 182–190. [Google Scholar] [CrossRef]
- Hazenberg, B.P.; van Rijswijk, M.H.; Piers, D.A.; Hooge, M.N.L.-D.; Vellenga, E.; Haagsma, E.B.; Hawkins, P.N.; Jager, P.L. Diagnostic performance of 123I-labeled serum amyloid P component scintigraphy in patients with amyloidosis. Am. J. Med. 2006, 119, 355-e15. [Google Scholar] [CrossRef]
- Cytawa, W.; Teodorczyk, J.; Lass, P. Nuclear imaging of amyloidosis. Pol. J. Radiol. 2014, 79, 222–227. [Google Scholar]
- Hawkins, P.N.; Wootton, R.; Pepys, M.B. Metabolic studies of radioiodinated serum amyloid P component in normal subjects and patients with systemic amyloidosis. J. Clin. Invest. 1990, 86, 1862–1869. [Google Scholar] [CrossRef]
- Leung, N.; Nasr, S.H. 2024 Update on Classification, Etiology, and Typing of Renal Amyloidosis: A Review. Am. J. Kidney Dis. 2024, in press. [Google Scholar] [CrossRef]
- Krishnan, N.; Perazella, M.A. The Role of PET Scanning in the Evaluation of Patients with Kidney Disease. Adv. Chronic Kidney Dis. 2017, 24, 154–161. [Google Scholar] [CrossRef] [PubMed]
- Wang, H.; Yang, L.; Lu, K.; Guo, X.; Xi, R.; Dong, W.; Qin, K.; Liu, H.; Wei, H.; Cheng, Y.; et al. Evaluation of N-(6-[18F]Fluoropyridin-3-yl)glycine PET renography to detect renal function progression in a rat model of diabetic nephropathy. Nucl. Med. Biol. 2022, 112–113, 59–65. [Google Scholar] [CrossRef] [PubMed]
- Zhou, L.; Huang, W.; Liu, N.; Ma, X.M.; Guo, M.; Chen, Q.; Gao, C.; Xu, Y. 496-P: A New Method to Image Sweet Taste Receptors in the Pathogenesis of Diabetic Nephropathy: Detection of 18F Lactisole with PET/CT. Diabetes 2019, 68, 496p. [Google Scholar] [CrossRef]
- Liang, C.; Liu, H.; Singh, K.; Mukherjee, J.; Lau, W.L. Development of [89Zr]DFO-anti-Klotho mAb for PET imaging of kidneys. J. Nucl. Med. 2019, 60, 410. [Google Scholar]
- Alnazer, I.; Bourdon, P.; Urruty, T.; Falou, O.; Khalil, M.; Shahin, A.; Fernandez-Maloigne, C. Recent advances in medical image processing for the evaluation of chronic kidney disease. Med. Image Anal. 2021, 69, 101960. [Google Scholar] [CrossRef]






| Renal Disease | PET Radiotracer | PET/CT Findings |
|---|---|---|
| Acute kidney injury | 18F-FDG 1 and 18F-FAPI 2 | Increased diffuse uptake, indicating inflammation and acute injury |
| Acute pyelonephritis | 18F-FDG and 68Ga-FAPI | Focal areas of high uptake in the renal parenchyma, often with perirenal involvement |
| Autosomal Dominant Polycystic Kidney Disease | 18F-FDG and 18F-WBC 3 | Enhanced uptake in infected or inflamed cysts |
| Drug-induced nephritis | 18F-FDG | Diffuse increased uptake throughout the renal parenchyma |
| Granulomatous nephritis | 18F-FDG | Focal or diffuse uptake patterns corresponding to granulomatous inflammation |
| Autoimmune kidney diseases | 18F-FDG and 68Ga-FAPI | Increased uptake in affected areas due to autoimmune-induced inflammation |
| Chronic kidney disease and renal fibrosis | 68Ga-FAPI | Elevated uptake in fibrotic regions, correlating with the extent of fibrosis |
| Chronic pyelonephritis | 68Ga-FAPI | Persistent, patchy increased uptake, indicating chronic inflammation |
| Renal transplantation | 18F-FDG, 15O-H2O, and 68Ga-pentixafor | High uptake in cases of acute rejection; 15O-H2O shows perfusion deficits; 68Ga-pentixafor indicates inflammation and potential rejection |
| Renal histiocytosis | 18F-FDG and 68Ga-FAPI | High uptake in histiocytic infiltrates within the kidneys |
| Renal amyloidosis | 18F-FDG and 123I-SAP 4 | Variable 18F-FDG uptake; 123I SAP shows high sensitivity and specificity for detecting amyloid deposits in renal tissue |
Disclaimer/Publisher’s Note: The statements, opinions and data contained in all publications are solely those of the individual author(s) and contributor(s) and not of MDPI and/or the editor(s). MDPI and/or the editor(s) disclaim responsibility for any injury to people or property resulting from any ideas, methods, instructions or products referred to in the content. |
© 2024 by the authors. Licensee MDPI, Basel, Switzerland. This article is an open access article distributed under the terms and conditions of the Creative Commons Attribution (CC BY) license (https://creativecommons.org/licenses/by/4.0/).
Share and Cite
Moghrabi, S.; Abdlkadir, A.S.; Al-Hajaj, N.; Gnanasegaran, G.; Kumar, R.; Syed, G.; Bozkurt, M.F.; Shukri, S.; Obeidat, S.; Khalaf, A.; et al. A New Era for PET/CT: Applications in Non-Tumorous Renal Pathologies. J. Clin. Med. 2024, 13, 4632. https://doi.org/10.3390/jcm13164632
Moghrabi S, Abdlkadir AS, Al-Hajaj N, Gnanasegaran G, Kumar R, Syed G, Bozkurt MF, Shukri S, Obeidat S, Khalaf A, et al. A New Era for PET/CT: Applications in Non-Tumorous Renal Pathologies. Journal of Clinical Medicine. 2024; 13(16):4632. https://doi.org/10.3390/jcm13164632
Chicago/Turabian StyleMoghrabi, Serin, Ahmed Saad Abdlkadir, Nabeela Al-Hajaj, Gopinath Gnanasegaran, Rakesh Kumar, Ghulam Syed, Murat Fani Bozkurt, Saad Shukri, Shahed Obeidat, Aysar Khalaf, and et al. 2024. "A New Era for PET/CT: Applications in Non-Tumorous Renal Pathologies" Journal of Clinical Medicine 13, no. 16: 4632. https://doi.org/10.3390/jcm13164632
APA StyleMoghrabi, S., Abdlkadir, A. S., Al-Hajaj, N., Gnanasegaran, G., Kumar, R., Syed, G., Bozkurt, M. F., Shukri, S., Obeidat, S., Khalaf, A., Shahait, M., Al-Nabhani, K., & Al-Ibraheem, A. (2024). A New Era for PET/CT: Applications in Non-Tumorous Renal Pathologies. Journal of Clinical Medicine, 13(16), 4632. https://doi.org/10.3390/jcm13164632

