New Insights into Cervicofacial Vascular Anomalies
Abstract
1. Introduction
2. Cervicofacial Vascular Tumors
2.1. Clinical Data
2.2. Diagnosis
2.3. Therapy
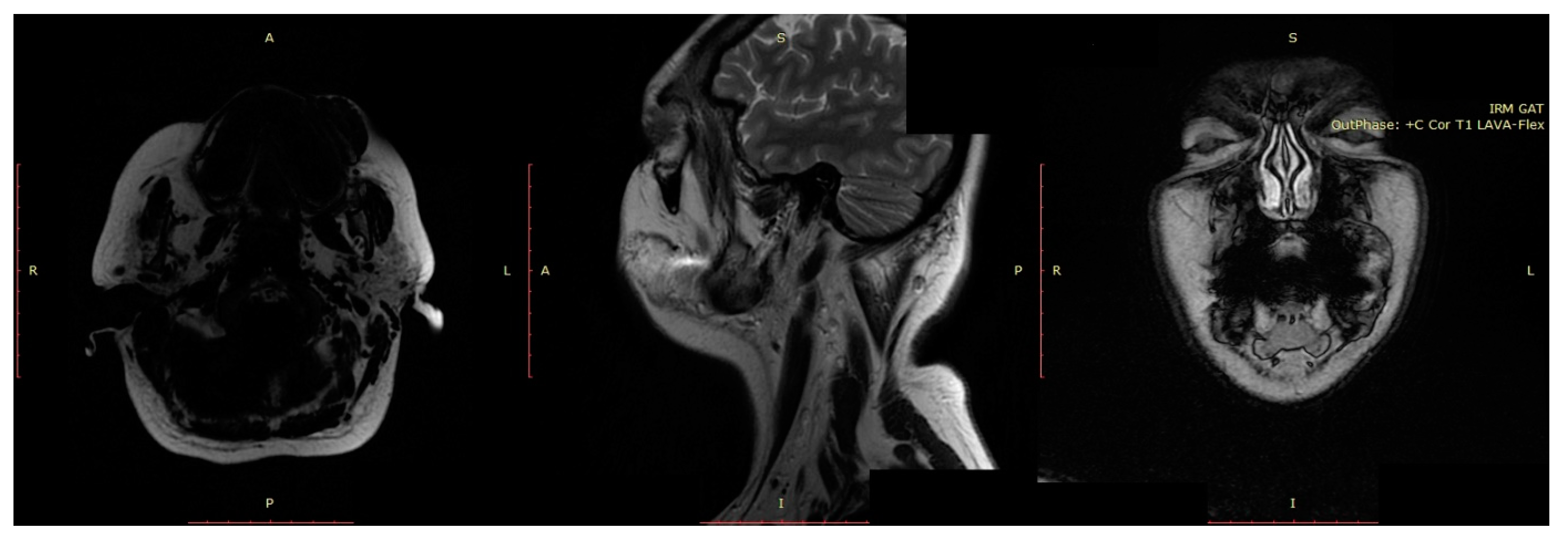
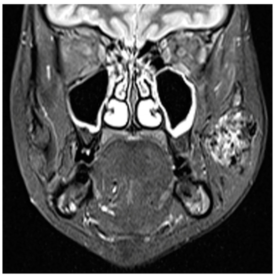
3. Vascular Malformations
3.1. Venous Malformations
3.1.1. Clinical Data
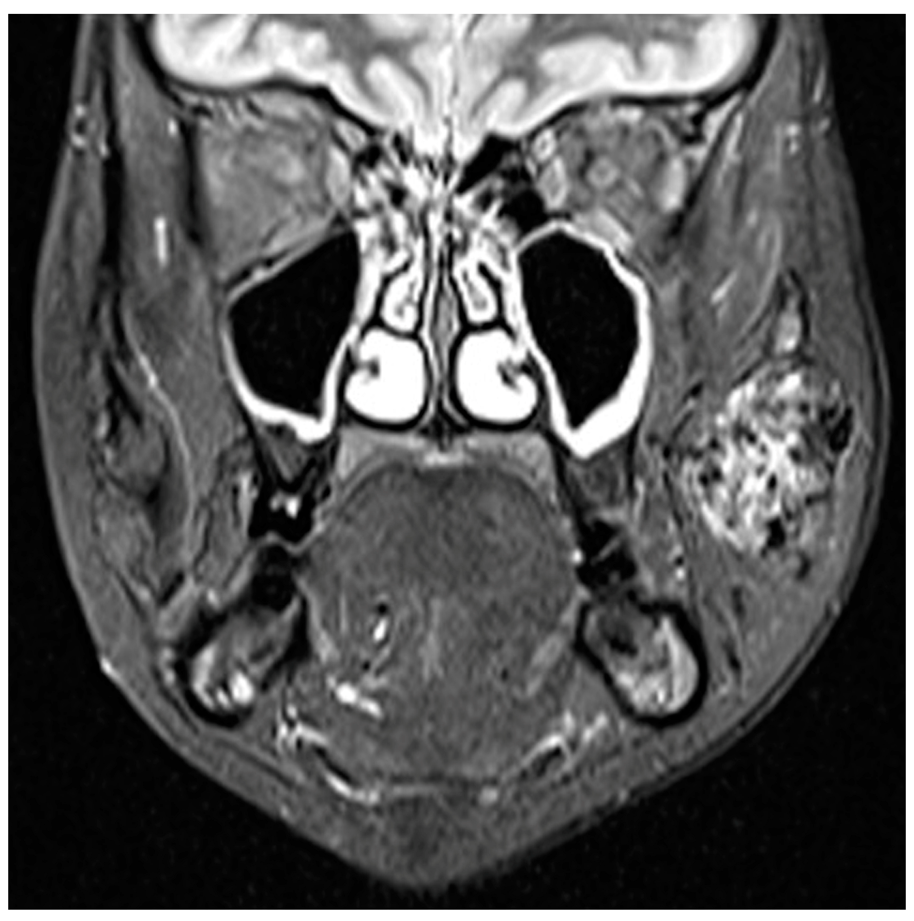
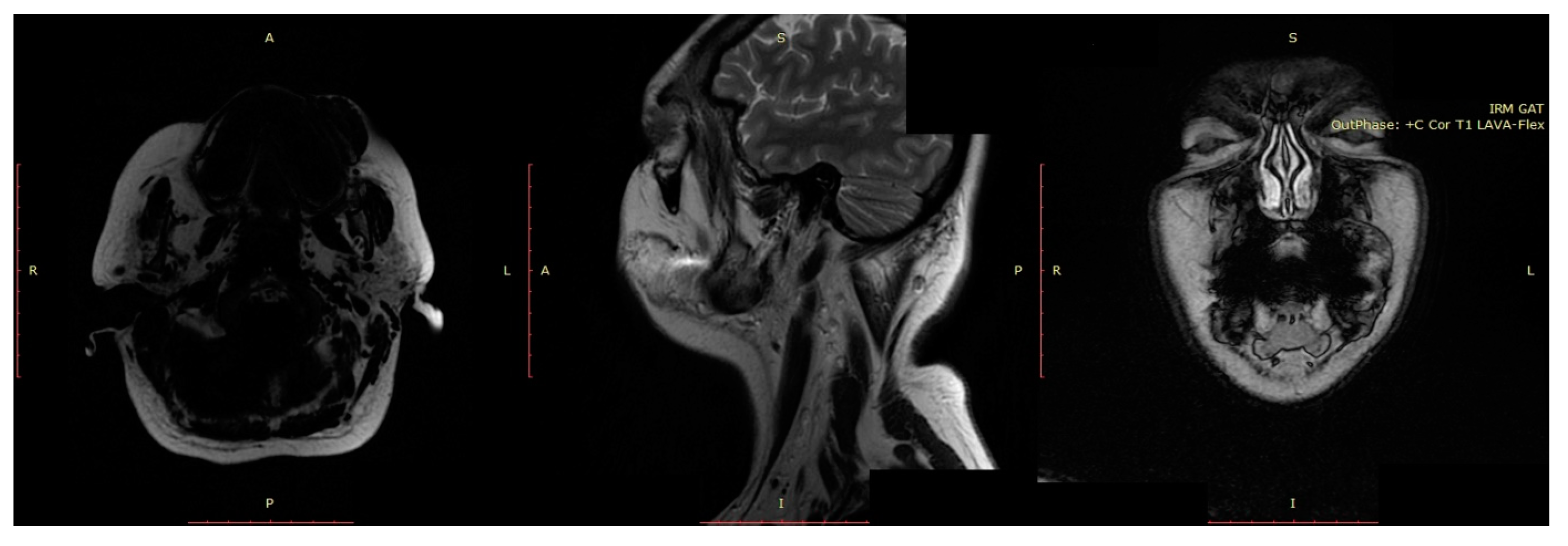
3.1.2. Diagnosis
3.1.3. Therapy
3.2. Lymphatic Malformations
3.2.1. Clinical Data
3.2.2. Diagnosis
3.2.3. Therapy
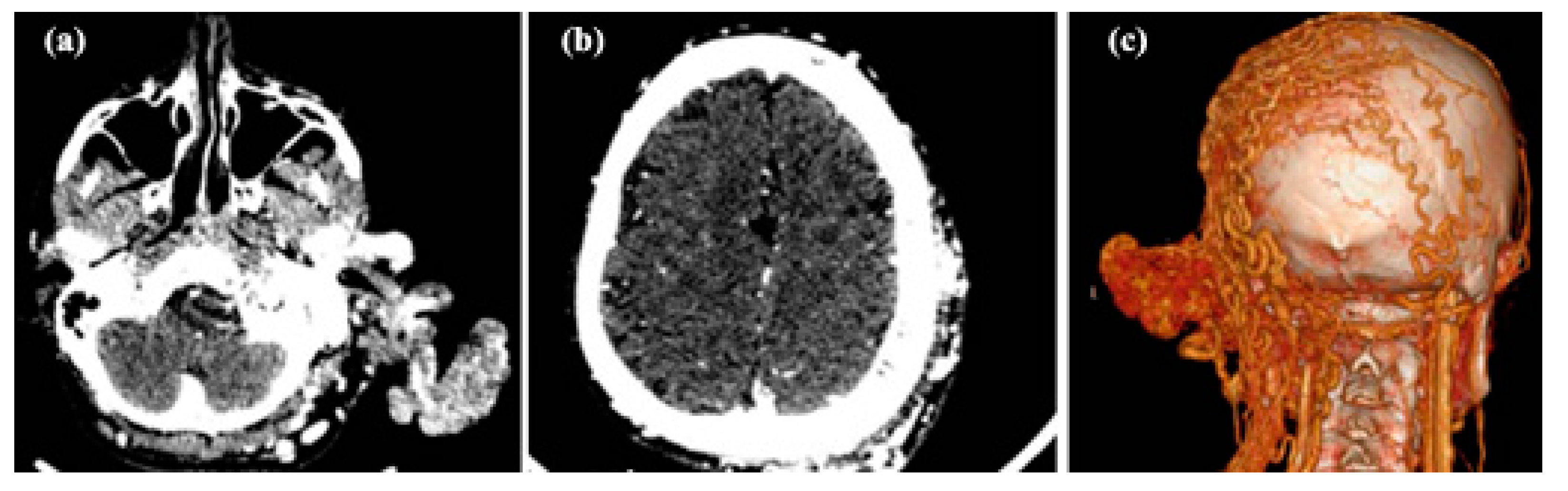
3.3. Arteriovenous Malformations
3.3.1. Clinical Data
3.3.2. Diagnosis
3.3.3. Therapy
3.4. Combined Vascular Malformations
4. Conclusions
Author Contributions
Funding
Institutional Review Board Statement
Informed Consent Statement
Data Availability Statement
Acknowledgments
Conflicts of Interest
References
- Ryu, J.Y.; Hong, H.K.; Cho, H.G.; Lee, J.S.; Yoo, B.C.; Choi, M.H.; Chung, H.Y. Deep Learning for the Automatic Segmentation of Extracranial Venous Malformations of the Head and Neck from MR Images Using 3D U-Net. J. Clin. Med. 2022, 11, 5593. [Google Scholar] [CrossRef] [PubMed]
- Bolt, J.W.; Raphael, M.F.; Pasmans, S.G.; Langeveld, H.; de Graaf, N.; de Laat, P.C. Discrepancies in Initial Clinical and Radiological Diagnoses of Vascular Malformations and the Role of the ISSVA Classification. J. Vasc. Anom. 2023, 4, e057. [Google Scholar]
- Putra, J.; Al-Ibraheemi, A. Vascular Anomalies of the Head and Neck: A Pediatric Overview. Head Neck Pathol. 2021, 15, 59–70. [Google Scholar] [CrossRef] [PubMed]
- Léauté-Labrèze, C. Medical management of vascular anomalies of the head and neck. J. Oral Pathol. Med. 2022, 51, 837–843. [Google Scholar] [CrossRef] [PubMed]
- Plettendorff, L.; Werner, J.A.; Wiegand, S. Vascular Malformations of the Head and Neck in Children. In Vivo 2023, 37, 366–370. [Google Scholar] [CrossRef] [PubMed]
- Kunimoto, K.; Yamamoto, Y.; Jinnin, M. ISSVA Classification of Vascular Anomalies and Molecular Biology. Int. J. Mol. Sci. 2022, 23, 2358. [Google Scholar] [CrossRef] [PubMed]
- Mimura, H.; Akita, S.; Fujino, A.; Jinnin, M.; Ozaki, M.; Osuga, K.; Nakaoka, H.; Morii, E.; Kuramochi, A.; Aoki, Y.; et al. Japanese clinical practice guidelines for vascular anomalies 2017. Jpn. J. Radiol. 2020, 38, 287–342. [Google Scholar] [CrossRef] [PubMed]
- Mahady, K.; Thust, S.; Berkeley, R.; Stuart, S.; Barnacle, A.; Robertson, F.; Mankad, K. Vascular anomalies of the head and neck in children. Quant. Imaging Med. Surg. 2015, 5, 886–897. [Google Scholar] [PubMed]
- Jung, H.L. Update on infantile hemangioma. Clin. Exp. Pediatr. 2021, 64, 559–572. [Google Scholar] [CrossRef] [PubMed] [PubMed Central]
- Melgosa Ramos, F.J.; Díaz-Corpas, T.; Santos-Alarcón, S.; Galarreta Pascual, M.; Aguado Vázquez, A.; Mateu Puchades, A. Congenital and Infantile Hemangiomas: Epidemiological, Clinical, and Treatment Characteristics Based on 3 Years’ Experience at a Tertiary Care Hospital—A Retrospective Case Comparison and Review of the Literature. Actas Dermosifiliogr. 2023, 114, 631–635, (In English and Spanish). [Google Scholar] [CrossRef] [PubMed]
- Nair, S.C. Vascular Anomalies of the Head and Neck Region. J. Maxillofac. Oral. Surg. 2018, 17, 1–12. [Google Scholar] [CrossRef] [PubMed]
- Stillo, F.; Mattassi, R.; Diociaiuti, A.; Neri, I.; Baraldini, V.; Dalmonte, P.; Amato, B.; Ametrano, O.; Amico, G.; Bianchini, G.; et al. Guidelines for Vascular Anomalies by the Italian Society for the study of Vascular Anomalies (SISAV). Int. Angiol. 2022, 41 (Suppl. 1), 1–130. [Google Scholar] [CrossRef] [PubMed]
- Sadick, M.; Wohlgemuth, W.A.; Huelse, R.; Lange, B.; Henzler, T.; Schoenberg, S.O.; Sadick, H. Interdisciplinary Management of Head and Neck Vascular Anomalies: Clinical Presentation, Diagnostic Findings and Minimalinvasive Therapies. Eur. J. Radiol. Open 2017, 4, 63–68. [Google Scholar] [CrossRef] [PubMed]
- Tiemann, L.; Hein, S. Infantile Hemangioma: A Review of Current Pharmacotherapy Treatment and Practice Pearls. J. Pediatr. Pharmacol. Ther. 2020, 25, 586–599. [Google Scholar] [CrossRef] [PubMed] [PubMed Central]
- Chundriger, Q.; Tariq, M.U.; Abdul-Ghafar, J.; Ahmed, A.; Din, N.U. Kaposiform Hemangioendothelioma: Clinicopathological characteristics of 8 cases of a rare vascular tumor and review of literature. Diagn. Pathol. 2021, 16, 23. [Google Scholar] [CrossRef] [PubMed] [PubMed Central]
- Petea-Balea, R.; Lenghel, M.; Rotar, H.; Dinu, C.; Bran, S.; Florin, O.; Roman, R.; Senila, S.; Csutak, C.; Anca, C. Role of dynamic contrast enhanced magnetic resonance imaging in the diagnosis and management of vascular lesions of the head and neck. Bosn. J. Basic Med. Sci. 2022, 22, 156–163. [Google Scholar] [CrossRef] [PubMed]
- Güneyli, S.; Ceylan, N.; Bayraktaroğlu, S.; Acar, T.; Savaş, R. Imaging findings of vascular lesions in the head and neck. Diagn. Interv. Radiol. 2014, 20, 432–437. [Google Scholar] [CrossRef] [PubMed]
- De Maria, L.; De Sanctis, P.; Balakrishnan, K.; Tollefson, M.; Brinjikji, W. Sclerotherapy for Venous Malformations of Head and Neck: Systematic Review and Meta-Analysis. Neurointervention 2020, 15, 4–17. [Google Scholar] [CrossRef] [PubMed]
- Ainipully, A.M.; Narayanan, S.K.; Vazhiyodan, A.P.; Somnath, P. Oral Propranolol in Infantile Hemangiomas: Analysis of Factors that Affect the Outcome. J. Indian Assoc. Pediatr. Surg. 2019, 24, 170–175. [Google Scholar] [CrossRef] [PubMed] [PubMed Central]
- Rotter, A.; Samorano, L.P.; Rivitti-Machado, M.C.; Oliveira, Z.N.P.; Gontijo, B. PHACE syndrome: Clinical manifestations, diagnostic criteria, and management. An. Bras. Dermatol. 2018, 93, 405–411. [Google Scholar] [CrossRef] [PubMed] [PubMed Central]
- van Vugt, L.J.; van der Vleuten, C.J.M.; Flucke, U.; Blokx, W.A.M. The utility of GLUT1 as a diagnostic marker in cutaneous vascular anomalies: A review of literature and recommendations for daily practice. Pathol. Res. Pract. 2017, 213, 591–597. [Google Scholar] [CrossRef] [PubMed]
- Carqueja, I.M.; Sousa, J.; Mansilha, A. Vascular malformations: Classification, diagnosis and treatment. Int. Angiol. 2018, 37, 127–142. [Google Scholar] [CrossRef]
- Brahmbhatt, A.N.; Skalski, K.A.; Bhatt, A.A. Vascular lesions of the head and neck: An update on classification and imaging review. Insights Imaging 2020, 11, 19. [Google Scholar] [CrossRef] [PubMed]
- Park, H.; Kim, J.S.; Park, H.; Kim, J.Y.; Huh, S.; Lee, J.M.; Lee, S.Y.; Lee, S.J.; Lee, J.S.; Lee, J.W.; et al. Venous malformations of the head and neck: A retrospective review of 82 cases. Arch. Plast. Surg. 2019, 46, 23–33. [Google Scholar] [CrossRef] [PubMed]
- Strauss, S.B.; Steinklein, J.M.; Phillips, C.D.; Shatzkes, D.R. Intraosseous Venous Malformations of the Head and Neck. AJNR Am. J. Neuroradiol. 2022, 43, 1090–1098. [Google Scholar] [CrossRef] [PubMed]
- Bhat, V.; Salins, P.C.; Bhat, V. Imaging spectrum of hemangioma and vascular malformations of the head and neck in children and adolescents. J. Clin. Imaging Sci. 2014, 4, 31. [Google Scholar] [CrossRef] [PubMed]
- Puig, S.; Aref, H.; Chigot, V.; Bonin, B.; Brunelle, F. Classification of venous malformations in children and implications for sclerotherapy. Pediatr. Radiol. 2003, 33, 99–103. [Google Scholar] [CrossRef] [PubMed]
- Widmann, G.; Henninger, B.; Kremser, C.; Jaschke, W. MRI Sequences in Head & Neck Radiology—State of the Art. Rofo 2017, 189, 413–422. [Google Scholar] [CrossRef] [PubMed]
- Leyman, B.; Govaerts, D.; Dormaar, J.T.; Meeus, J.; Bila, M.; Coropciuc, R.; Willaert, R.; Politis, C. A 16-year retrospective study of vascular anomalies in the head and neck region. Head Face Med. 2023, 19, 32. [Google Scholar] [CrossRef] [PubMed]
- Sun, Y.; Guo, Y.; Chen, X.; Lei, S. Effectiveness and Safety of Ethanol for the Treatment of Venous Malformations: A Meta-Analysis. Dermatol. Surg. 2020, 46, 1514–1518. [Google Scholar] [CrossRef] [PubMed]
- Eivazi, B.; Werner, J.A. Extracranial vascular malformations (hemangiomas and vascular malformations) in children and adolescents–diagnosis, clinic, and therapy. GMS Curr. Top. Otorhinolaryngol. Head Neck Surg. 2014, 13, Doc02. [Google Scholar] [CrossRef] [PubMed]
- Zide, B.M.; Glat, P.M.; Stile, F.L.; Longaker, M.T. Vascular lip enlargement: Part I. Hemangiomas--tenets of therapy. Plast. Reconstr. Surg. 1997, 100, 1664–1673. [Google Scholar] [CrossRef] [PubMed]
- Garg, S.; Dahiya, N.; Gupta, S. Surgical scar revision: An overview. J. Cutan. Aesthet. Surg. 2014, 7, 3–13. [Google Scholar] [CrossRef] [PubMed] [PubMed Central]
- Jackson, I.T.; Keskin, M.; Yavuzer, R.; Kelly, C.P. Compartmentalization of massive vascular malformations. Plast. Reconstr. Surg. 2005, 115, 10–21. [Google Scholar] [CrossRef] [PubMed]
- Flucke, U.; Karanian, M.; Broek, R.W.T.; Thway, K. Soft Tissue Special Issue: Perivascular and Vascular Tumors of the Head and Neck. Head Neck Pathol. 2020, 14, 21–32. [Google Scholar] [CrossRef] [PubMed]
- Costache, A.; Dumitru, M.; Tweedie, D.; Sarafoleanu, C.; Anghel, I. Adult cervical lymphangioma–ultrasonography, surgical removal, and pathology results. Case report. Med. Ultrason. 2015, 17, 411–413. [Google Scholar] [CrossRef] [PubMed]
- Perkins, J.A. New Frontiers in Our Understanding of Lymphatic Malformations of the Head and Neck: Natural History and Basic Research. Otolaryngol. Clin. N. Am. 2018, 51, 147–158. [Google Scholar] [CrossRef] [PubMed]
- Vrînceanu, D.; Dorobăţ, B.C.; Sajin, M.; Mogoantă, C.A.; Oprişcan, I.C.; Hîncu, M.C.; Georgescu, M.G. Cystic lymphangioma of nasopharynx in a 54-year-old man—Case report. A new histogenetic hypothesis. Rom. J. Morphol. Embryol. 2018, 59, 577–584. [Google Scholar] [PubMed]
- Wiegand, S.; Wichmann, G.; Dietz, A.; Werner, J.A. Association between malformation type, location and functional deficits in lymphatic malformations of the head and neck in children. Eur. Arch. Otorhinolaryngol. 2023, 280, 2535–2540. [Google Scholar] [CrossRef] [PubMed]
- Ghaffarpour, N.; Baselga, E.; Boon, L.M.; Diociaiuti, A.; Dompmartin, A.; Dvorakova, V.; El Hachem, M.; Gasparella, P.; Haxhija, E.; Kyrklund, K.; et al. The VASCERN-VASCA working group diagnostic and management pathways for lymphatic malformations. Eur. J. Med. Genet. 2022, 65, 104637. [Google Scholar] [CrossRef] [PubMed]
- Sheng, L.; Yu, Z.; Li, S.; Cao, W.; Jiang, Z. Bleomycin sclerotherapy for large diffuse microcystic lymphatic malformations. Gland. Surg. 2021, 10, 1865–1873. [Google Scholar] [CrossRef] [PubMed] [PubMed Central]
- Wu, C.; Song, D.; Guo, L.; Wang, L. Refractory Head and Neck Lymphatic Malformation in Infants Treated with Sirolimus: A Case Series. Front. Oncol. 2021, 11, 616702. [Google Scholar] [CrossRef] [PubMed]
- Cuong, T.C.; Thang, L.M.; Giang, N.L.; Trung, N.A.; Qui, L.V.; Tha, T.T.T.; Huy, N.D.N.; Lam, T.V.; Linh, D.H.; Duc, N.M. Recurrent head and neck arteriovenous malformations: A case report. Radiol. Case Rep. 2022, 18, 766–770. [Google Scholar] [CrossRef] [PubMed]
- Gilbert, P.; Dubois, J.; Giroux, M.F.; Soulez, G. New Treatment Approaches to Arteriovenous Malformations. Semin. Intervent Radiol. 2017, 34, 258–271, Epub 11 September 2017. [Google Scholar] [CrossRef] [PubMed] [PubMed Central]
- Castillo-Rangel, C.; Marín, G.; Hernandez-Contreras, K.A.; Zarate-Calderon, C.; Vichi-Ramirez, M.M.; Cortez-Saldias, W.; Rodriguez-Florido, M.A.; Riley-Moguel, Á.E.; Pichardo, O.; Torres-Pineda, O.; et al. Atlas of Nervous System Vascular Malformations: A Systematic Review. Life 2022, 12, 1199. [Google Scholar] [CrossRef] [PubMed]
- Li, H.O.; Huo, R.; Wang, X.M.; Xu, G.Q.; Duan, Y.H.; Nie, P.; Ji, X.P.; Cheng, Z.P.; Xu, Z.D. High-pitch spiral CT with 3D reformation: An alternative choice for imaging vascular anomalies with affluent blood flow in the head and neck of infants and children. Br. J. Radiol. 2015, 88, 20150005. [Google Scholar] [CrossRef] [PubMed]
- Dhagat, P.K.; Jain, M.; Farooq, A. MRI evaluation of soft tissue vascular malformations. Indian J. Radiol. Imaging 2020, 30, 184–189. [Google Scholar] [CrossRef] [PubMed]
- Müller-Wille, R.; Wildgruber, M.; Sadick, M.; Wohlgemuth, W.A. Vascular Anomalies (Part II): Interventional Therapy of Peripheral Vascular Malformations. Rofo 2018, 190, 927–937. (In English) [Google Scholar] [CrossRef] [PubMed]
- De Corso, E.; Cina, A.; Salonna, G.; Di Cintio, G.; Gaudino, S.; Panfili, M.; Colosimo, C.; Paludetti, G. Sclerotherapy with polidocanol microfoam in head and neck venous and lymphatic malformations. Acta Otorhinolaryngol. Ital. 2022, 42, 116–125. [Google Scholar] [CrossRef] [PubMed]
- Lilje, D.; Wiesmann, M.; Hasan, D.; Riabikin, A.; Ridwan, H.; Hölzle, F.; Nikoubashman, O. Interventional therapy of extracranial arteriovenous malformations of the head and neck-A systematic review. PLoS ONE 2022, 17, e0268809. [Google Scholar] [CrossRef] [PubMed]
- Dharmarajan, H.; McCoy, J.L.; Jabbour, N.; McCormick, A.; Xavier, F.; Correa, D.; Padia, R. Peri-procedural Anticoagulation in Patients with Head and Neck Versus Extremity Venous Malformations. Laryngoscope 2021, 131, 1163–1167. [Google Scholar] [CrossRef] [PubMed]
- Case, D.; Folzenlogen, Z.; Rochon, P.; Kumpe, D.; Roark, C.; Seinfeld, J. Embolization of Head and Neck Vascular Malformations using Serial Arterial Embolization Followed by Dominant Arterial Embolization with Two Microcatheter Technique. J. Vasc. Interv. Neurol. 2018, 10, 47–51. [Google Scholar] [PubMed]
- Gennaro, P.; Cioni, S.; Bracco, S.; Cascino, F.; Latini, L.; Abbagnato, M.; Massarelli, O.; Gabriele, G. A Single-Center Retrospective Analysis of 14 Head and Neck AVMs Cases Treated with a Single-Day Combined Endovascular and Surgical Approach. J. Pers. Med. 2023, 13, 757. [Google Scholar] [CrossRef] [PubMed] [PubMed Central]
- Kohout, M.P.; Hansen, M.; Pribaz, J.J.; Mulliken, J.B. Arteriovenous malformations of the head and neck: Natural history and management. Plast. Reconstr. Surg. 1998, 102, 643–654. [Google Scholar] [CrossRef] [PubMed]
- Kang, G.C.; Song, C. Forty-one cervicofacial vascular anomalies and their surgical treatment--retrospection and review. Ann. Acad. Med. Singap. 2008, 37, 165–179. [Google Scholar] [CrossRef] [PubMed]
- Amato, M.V.; Patel, N.A.; Hu, S.; Pantelides, H. Sporadic Multifocal Venous Malformations of the Head and Neck. Case Rep. Otolaryngol. 2015, 2015, 508149. [Google Scholar] [CrossRef] [PubMed][Green Version]
- Lakkasetty, Y.T.; Malik, S.; Shetty, A.; Nakhaei, K. Multiple vascular malformations in head and neck—Rare case report. J. Oral. Maxillofac. Pathol. 2014, 18, 137–142. [Google Scholar] [CrossRef] [PubMed]
- Timur, A.A.; Driscoll, D.J.; Wang, Q. Biomedicine and diseases: The Klippel-Trenaunay syndrome, vascular anomalies and vascular morphogenesis. Cell Mol. Life Sci. 2005, 62, 1434–1447. [Google Scholar] [CrossRef] [PubMed] [PubMed Central]
- Diao, P.; Han, C.; Li, X.; Yang, Y.; Jiang, X. Hematoporphyrin Monomethyl Ether Photodynamic Therapy of Port Wine Stain: Narrative Review. Clin. Cosmet. Investig. Dermatol. 2023, 16, 1135–1144. [Google Scholar] [CrossRef] [PubMed] [PubMed Central]
- Momanu, A.; Caba, L.; Gorduza, N.C.; Arhire, O.E.; Popa, A.D.; Ianole, V.; Gorduza, E.V. Gorham-Stout Disease with Multiple Bone Involvement—Challenging Diagnosis of a Rare Disease and Literature Review. Medicina 2021, 57, 681. [Google Scholar] [CrossRef] [PubMed]
- Jabir, S.; Frew, Q.; Petkar, M.; Dziewulski, P. Multiple glomuvenous malformations presenting in a child: Follow-up over a period of 8 years. BMJ Case Rep. 2013, 2013, bcr2013200114. [Google Scholar] [CrossRef] [PubMed] [PubMed Central]
- Szymańska, A.; Szymański, M.; Gołąbek, W.; Drelich-Zbroja, A.; Jargiełło, T. Doppler ultrasound appearance of neck tumors. J. Ultrason. 2018, 18, 96–102. [Google Scholar] [CrossRef] [PubMed]
- Hanreck, J.C.; Gerasymchuk, M.; Nayate, A.P. Head and neck vessel magnetic resonance angiography appearance and artifacts after therapeutic intravenous ferumoxytol infusion. BJR Case Rep. 2023, 9, 20230014. [Google Scholar] [CrossRef] [PubMed]
















Disclaimer/Publisher’s Note: The statements, opinions and data contained in all publications are solely those of the individual author(s) and contributor(s) and not of MDPI and/or the editor(s). MDPI and/or the editor(s) disclaim responsibility for any injury to people or property resulting from any ideas, methods, instructions or products referred to in the content. |
© 2024 by the authors. Licensee MDPI, Basel, Switzerland. This article is an open access article distributed under the terms and conditions of the Creative Commons Attribution (CC BY) license (https://creativecommons.org/licenses/by/4.0/).
Share and Cite
Vrinceanu, D.; Dumitru, M.; Marinescu, A.; Dorobat, B.; Palade, O.D.; Manole, F.; Muresian, H.; Popa-Cherecheanu, M.; Ciornei, C.M. New Insights into Cervicofacial Vascular Anomalies. J. Clin. Med. 2024, 13, 3515. https://doi.org/10.3390/jcm13123515
Vrinceanu D, Dumitru M, Marinescu A, Dorobat B, Palade OD, Manole F, Muresian H, Popa-Cherecheanu M, Ciornei CM. New Insights into Cervicofacial Vascular Anomalies. Journal of Clinical Medicine. 2024; 13(12):3515. https://doi.org/10.3390/jcm13123515
Chicago/Turabian StyleVrinceanu, Daniela, Mihai Dumitru, Andreea Marinescu, Bogdan Dorobat, Octavian Dragos Palade, Felicia Manole, Horia Muresian, Matei Popa-Cherecheanu, and Cătălina Mariana Ciornei. 2024. "New Insights into Cervicofacial Vascular Anomalies" Journal of Clinical Medicine 13, no. 12: 3515. https://doi.org/10.3390/jcm13123515
APA StyleVrinceanu, D., Dumitru, M., Marinescu, A., Dorobat, B., Palade, O. D., Manole, F., Muresian, H., Popa-Cherecheanu, M., & Ciornei, C. M. (2024). New Insights into Cervicofacial Vascular Anomalies. Journal of Clinical Medicine, 13(12), 3515. https://doi.org/10.3390/jcm13123515

