Addressing Diagnosis, Management, and Complication Challenges in Placenta Accreta Spectrum Disorder: A Descriptive Study
Abstract
1. Introduction
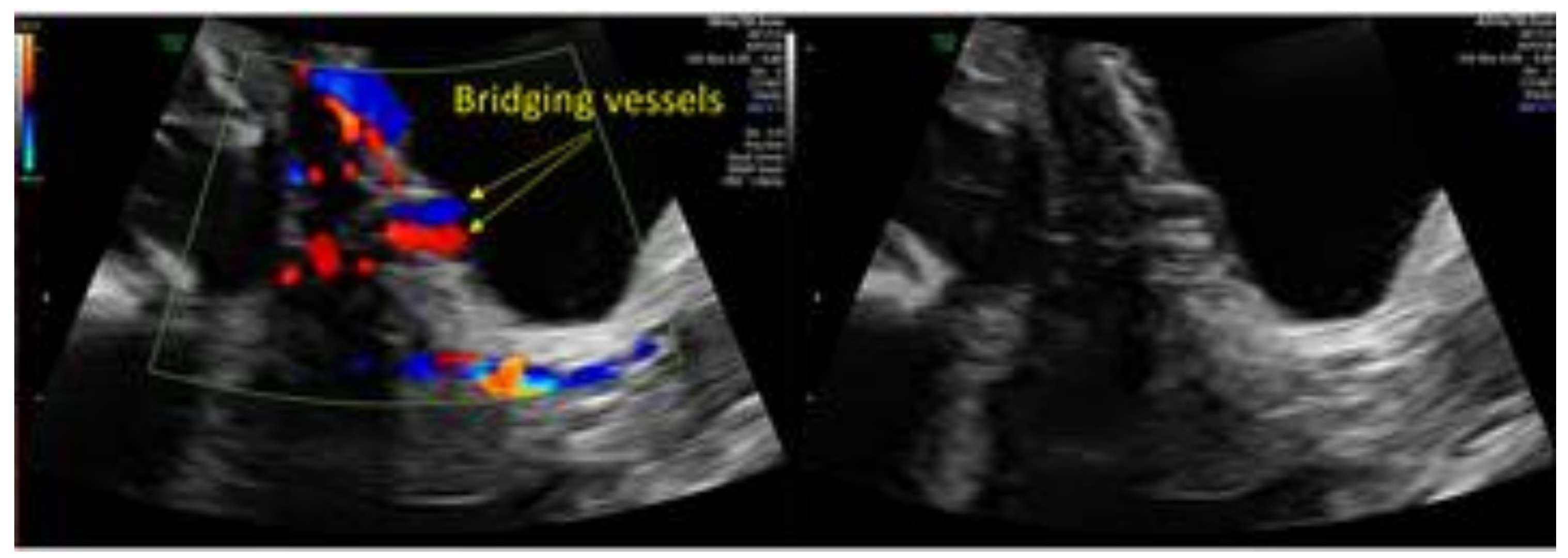
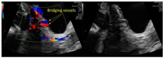
2. Case 1: History, Investigations, Treatment, and Outcomes
3. Case 2: History, Investigations, Treatment, and Outcomes
4. Discussion
4.1. Diagnostic Comments
4.2. Management Comments
5. Recommendations
6. Conclusions
Author Contributions
Funding
Institutional Review Board Statement
Informed Consent Statement
Data Availability Statement
Conflicts of Interest
References
- Jauniaux, E.; Ayres-De-Campos, D. FIGO Placenta Accreta Diagnosis and Management Expert Consensus Panel. FIGO consensus guidelines on placenta accreta spectrum disorders: Introduction. Int. J. Gynecol. Obstet. 2018, 140, 261–264. [Google Scholar] [CrossRef]
- Hobson, S.R.; Kingdom, J.C.; Murji, A.; Windrim, R.C.; Carvalho, J.C.; Singh, S.S.; Ziegler, C.; Birch, C.; Frecker, E.; Lim, K.; et al. No. 383-Screening, Diagnosis, and Management of Placenta Accreta Spectrum Disorders. J. Obstet. Gynaecol. Can. 2019, 41, 1035–1049. [Google Scholar] [CrossRef]
- Collins, S.L.; Alemdar, B.; van Beekhuizen, H.J.; Bertholdt, C.; Braun, T.; Calda, P.; Delorme, P.; Duvekot, J.J.; Gronbeck, L.; Kayem, G.; et al. Evidence-based guidelines for the management of abnormally invasive placenta: Recommendations from the International Society for Abnormally Invasive Placenta. Am. J. Obstet. Gynecol. 2019, 220, 511–526. [Google Scholar] [CrossRef] [PubMed]
- Jauniaux, E.; Ayres-De-Campos, D.; Langhoff-Roos, J. FIGO classification for the clinical diagnosis of placenta accreta spectrum disorders. Int. J. Gynecol. Obstet. 2019, 146, 20–24. [Google Scholar] [CrossRef]
- American College of Obstetricians and Gynecologists; Society for Maternal-Fetal Medicine. Obstetric Care Consensus No. 7: Placenta Accreta Spectrum. Obstet. Gynecol. 2018, 132, e259–e275. [Google Scholar] [CrossRef] [PubMed]
- Allen, L.; Jauniaux, E.; Hobson, S.; Papillon-Smith, J.; Belfort, M.A.; for the FIGO Placenta Accreta Diagnosis and Management Expert Consensus Panel. FIGO consensus guidelines on placenta accreta spectrum disorders: Nonconservative surgical management. Int. J. Gynecol. Obstet. 2018, 140, 281–290. [Google Scholar] [CrossRef] [PubMed]
- Sentilhes, L.; Kayem, G.; Chandraharan, E. FIGO consensus guidelines on placenta accreta spectrum disorders: Conservative management. Int. J. Gynecol. Obstet. 2018, 140, 291–298. [Google Scholar] [CrossRef]
- Shazly, S.A.; Hortu, I.; Shih, J.C.; Melekoglu, R.; Fan, S.; Ahmed, F.U.; Karaman, E.; Fatkullin, I.; Pinto, P.V.; Irianti, S.; et al. Prediction of success of uterus preserving management in women with placenta accreta spectrum (CON-PAS score): A multicenter international study. Int. J. Gynaecol. Obstet. 2021, 154, 304–311. [Google Scholar] [CrossRef] [PubMed]
- Jauniaux, E.; Chantraine, F.; Silver, R.M.; Langhoff-Roos, J.; for the FIGO Placenta Accreta Diagnosis and Management Expert Consensus Panel. FIGO consensus guidelines on placenta accreta spectrum disorders: Epidemiology. Int. J. Gynecol. Obstet. 2018, 140, 265–273. [Google Scholar] [CrossRef]
- Committee on Obstetric Practice. ACOG committee opinion. Placenta accreta. Number 266, January 2002. American College of Obstetricians and Gynecologists. Int. J. Gynaecol. Obstet. 2002, 77, 77–78. [Google Scholar] [CrossRef]
- Arakaza, A.; Zou, L.; Zhu, J. Placenta Accreta Spectrum Diagnosis Challenges and Controversies in Current Obstetrics: A Review. Int. J. Womens Health 2023, 15, 635–654. [Google Scholar] [CrossRef]
- Liu, X.; Wang, Y.; Wu, Y.; Zeng, J.; Yuan, X.; Tong, C.; Qi, H. What we know about placenta accreta spectrum (PAS). Eur. J. Obstet. Gynecol. Reprod. Biol. 2021, 259, 81–89. [Google Scholar] [CrossRef]
- Bowman, Z.S.; Eller, A.G.; Kennedy, A.M.; Richards, D.S.; Winter, T.C.; Woodward, P.J.; Silver, R.M. Accuracy of ultrasound for the prediction of placenta accreta. Am. J. Obstet. Gynecol. 2014, 211, 177-e1. [Google Scholar] [CrossRef]
- Marshall, N.E.; Fu, R.; Guise, J.-M. Impact of multiple cesarean deliveries on maternal morbidity: A systematic review. Am. J. Obstet. Gynecol. 2011, 205, 262.e1–262.e8. [Google Scholar] [CrossRef]
- Silver, R.M.; Landon, M.B.; Rouse, D.J.; Leveno, K.J.; Spong, C.Y.; Thom, E.A.; Moawad, A.H.; Caritis, S.N.; Harper, M.; Wapner, R.J.; et al. Maternal morbidity associated with multiple repeat cesarean deliveries. Obstet. Gynecol. 2006, 107, 1226–1232. [Google Scholar] [CrossRef]
- Lindqvist, P.; Thurn, L. Abnormally invasive placenta—Prevalence, risk factors and antenatal suspicion: Results from a large population-based pregnancy cohort study in the Nordic countries. BJOG Int. J. Obstet. Gynaecol. 2016, 123, 1032. [Google Scholar] [CrossRef]
- Carusi, D.A. The placenta accreta spectrum: Epidemiology and risk factors. Clin. Obstet. Gynecol. 2018, 61, 733–742. [Google Scholar] [CrossRef]
- Heller, D.S.; Wyand, R.; Cramer, S. Recurrence of basal plate myofibers, with further consideration of pathogenesis. Fetal Pediatr. Pathol. 2019, 38, 30–43. [Google Scholar] [CrossRef]
- Linn, R.L.; Miller, E.S.; Lim, G.; Ernst, L.M. Adherent basal plate myometrial fibers in the delivered placenta as a risk factor for development of subsequent placenta accreta. Placenta 2015, 36, 1419–1424. [Google Scholar] [CrossRef] [PubMed]
- Bailit, J.L.; Grobman, W.A.M.; Rice, M.M.; Reddy, U.M.; Wapner, R.J.; Varner, M.W.; Leveno, K.J.; Iams, J.D.; Tita, A.T.; Saade, G.; et al. Morbidly adherent placenta treatments and outcomes. Obstet. Gynecol. 2015, 125, 683–689. [Google Scholar] [CrossRef] [PubMed]
- Fitzpatrick, K.E.; Sellers, S.; Spark, P.; Kurinczuk, J.J.; Brocklehurst, P.; Knight, M. The management and outcomes of placenta accreta, increta, and percreta in the UK: A population-based descriptive study. BJOG Int. J. Obstet. Gynaecol. 2014, 121, 62–70. [Google Scholar] [CrossRef]
- Comstock, C.H.; Lee, W.; Vettraino, I.M.; Bronsteen, R.A. The early sonographic appearance of placenta accreta. J. Ultrasound Med. 2003, 22, 19–23. [Google Scholar] [CrossRef]
- Stirnemann, J.J.; Mousty, E.; Chalouhi, G.; Salomon, L.J.; Bernard, J.-P.; Ville, Y. Screening for placenta accreta at 11-14 weeks of gestation. Am. J. Obstet. Gynecol. 2011, 205, 547.e1–547.e6. [Google Scholar] [CrossRef]
- Warshak, C.R.; Ramos, G.A.; Eskander, R.; Benirschke, K.; Saenz, C.C.; Kelly, T.F.; Moore, T.R.; Resnik, R. Effect of predelivery diagnosis in 99 consecutive cases of placenta accreta. Obstet. Gynecol. 2010, 115, 65–69. [Google Scholar] [CrossRef]
- Eller, A.G.; Bennett, M.A.; Sharshiner, M.; Masheter, C.; Soisson, A.P.; Dodson, M.; Silver, R.M. Maternal morbidity in cases of placenta accreta managed by a multidisciplinary care team compared with standard obstetric care. Obstet. Gynecol. 2011, 117, 331–337. [Google Scholar] [CrossRef]
- Shamshirsaz, A.A.; Fox, K.A.; Salmanian, B.; Diaz-Arrastia, C.R.; Lee, W.; Baker, B.W.; Ballas, J.; Chen, Q.; Van Veen, T.R.; Javadian, P.; et al. Maternal morbidity in patients with morbidly adherent placenta treated with and without a standardized multidisciplinary approach. Am. J. Obstet. Gynecol. 2015, 212, 218.e1–218.e9. [Google Scholar] [CrossRef] [PubMed]
- Kirkinen, P.; Helin-Martikainen, H.-L.; Vanninen, R.; Partanen, K. Placenta accreta: Imaging by gray-scale and contrast-enhanced color Doppler sonography and magnetic resonance imaging. J. Clin. Ultrasound 1998, 26, 90–94. [Google Scholar] [CrossRef]
- Maldjian, C.; Adam, R.; Pelosi, M.; Rudelli, R.D.; Maldjian, J. MRI appearance of placenta percreta and placenta accreta. Magn. Reson. Imaging 1999, 17, 965–971. [Google Scholar] [CrossRef] [PubMed]
- Kilcoyne, A.; Shenoy-Bhangle, A.S.; Roberts, D.J.; Sisodia, R.C.; Gervais, D.A.; Lee, S.I. MRI of placenta accreta, placenta increta, and placenta percreta: Pearls and pitfalls. Am. J. Roentgenol. 2017, 208, 214–221. [Google Scholar] [CrossRef]
- Angstmann, T.; Gard, G.; Harrington, T.; Ward, E.; Thomson, A.; Giles, W. Surgical management of placenta accreta: A cohort series and suggested approach. Am. J. Obstet. Gynecol. 2010, 202, 38.e1–38.e9. [Google Scholar] [CrossRef]
- American College of Obstetricians and Gynecologists; Society for Maternal-Fetal Medicine. Obstetric care consensus No. 6: Periviable birth. Obstet. Gynecol. 2017, 130, e187–e199. [Google Scholar] [CrossRef]
- Carlo, W.A.; McDonald, S.A.; Fanaroff, A.A.; Vohr, B.R.; Stoll, B.J.; Ehrenkranz, R.A.; Andrews, W.W.; Wallace, D.; Das, A.; Bell, E.F.; et al. Association of antenatal corticosteroids with mortality and neurodevelopmental outcomes among infants born at 22 to 25 weeks’ gestation. JAMA 2011, 306, 215–217. [Google Scholar] [CrossRef]
- Society of Gynecologic Oncology; American College of Obstetricians and Gynecologists; Society for Maternal-Fetal Medicine. Placenta accreta spectrum. Am. J. Obstet. Gynecol. 2018, 219, B2–B16. [Google Scholar] [CrossRef] [PubMed]
- Mansouri, M.; DeStefano, K.; Monks, B.; Singh, J.; McDonnold, M.; Morgan, J.; Hale, R.; Adusumalli, J.; Horton, A.; Haeri, S. Treatment of Morbidly Adherent Placentation Utilizing a Standardized Multidisciplinary Approach in the Community Hospital–Private Practice Setting. Am. J. Perinatol. Rep. 2017, 07, e211–e214. [Google Scholar] [CrossRef] [PubMed]
- Lucidi, A.; Jauniaux, E.; Hussein, A.M.; Coutinho, C.M.; Tinari, S.; Khalil, A.; Shamshirsaz, A.; Palacios-Jaraquemada, J.M.; D’Antonio, F. Urological complications in women undergoing Cesarean section for placenta accreta spectrum disorders: Systematic review and meta-analysis. Ultrasound Obstet. Gynecol. 2023, 62, 633–643. [Google Scholar] [CrossRef] [PubMed]
- Adu-Bredu, T.K.; Rijken, M.J.; Nieto-Calvache, A.J.; Stefanovic, V.; Aryananda, R.A.; Fox, K.A.; Collins, S.L.; the International Society of Placenta Accreta SPECTRUM (IS-PAS) Low- and Middle-Income Countries Working Group. A simple guide to ultrasound screening for placenta accreta spectrum for improving detection and optimizing management in resource limited settings. Int. J. Gynecol. Obstet. 2022, 160, 732–741. [Google Scholar] [CrossRef] [PubMed]
- Vestal, N.L.; Sangara, R.N.; Mandelbaum, R.S.; Matsuzaki, S.; McCarthy, L.E.; Matsushima, K.; Yoshihara, K.; Klar, M.; Lee, R.H.; Ouzounian, J.G.; et al. Racial and ethnic disparity in characteristics and outcomes of women with placenta accreta spectrum: A comparative study. Reprod. Sci. 2022, 29, 1988–2000. [Google Scholar] [CrossRef]
- Einerson, B.D.; Gilner, J.B.; Zuckerwise, L.C. Placenta Accreta Spectrum. Obstet. Gynecol. 2023, 142, 31–50. [Google Scholar] [CrossRef]



| Recommendations | Target Practitioner | |
|---|---|---|
| Patients with high risk for PAS, such as maternal age ≥ 35, in vitro fertilization, cesarean section, or previous uterine surgery. |
| Managing antenatal specialties such as obstetricians, gynecologists, midwives, and family physicians. |
| When to refer a patient to a tertiary healthcare center. |
| Managing antenatal specialties such as obstetricians, gynecologists, midwives, and family physicians. |
| When conducting a prenatal ultrasound. |
| Radiologists. |
Disclaimer/Publisher’s Note: The statements, opinions and data contained in all publications are solely those of the individual author(s) and contributor(s) and not of MDPI and/or the editor(s). MDPI and/or the editor(s) disclaim responsibility for any injury to people or property resulting from any ideas, methods, instructions or products referred to in the content. |
© 2024 by the authors. Licensee MDPI, Basel, Switzerland. This article is an open access article distributed under the terms and conditions of the Creative Commons Attribution (CC BY) license (https://creativecommons.org/licenses/by/4.0/).
Share and Cite
Abousifein, M.; Shishkina, A.; Leyland, N. Addressing Diagnosis, Management, and Complication Challenges in Placenta Accreta Spectrum Disorder: A Descriptive Study. J. Clin. Med. 2024, 13, 3155. https://doi.org/10.3390/jcm13113155
Abousifein M, Shishkina A, Leyland N. Addressing Diagnosis, Management, and Complication Challenges in Placenta Accreta Spectrum Disorder: A Descriptive Study. Journal of Clinical Medicine. 2024; 13(11):3155. https://doi.org/10.3390/jcm13113155
Chicago/Turabian StyleAbousifein, Marfy, Anna Shishkina, and Nicholas Leyland. 2024. "Addressing Diagnosis, Management, and Complication Challenges in Placenta Accreta Spectrum Disorder: A Descriptive Study" Journal of Clinical Medicine 13, no. 11: 3155. https://doi.org/10.3390/jcm13113155
APA StyleAbousifein, M., Shishkina, A., & Leyland, N. (2024). Addressing Diagnosis, Management, and Complication Challenges in Placenta Accreta Spectrum Disorder: A Descriptive Study. Journal of Clinical Medicine, 13(11), 3155. https://doi.org/10.3390/jcm13113155

