Posterior Tibial Artery Blood Flow Velocity Is Increased in Patients with Plantar Heel Pain
Abstract
1. Introduction
2. Materials and Methods
2.1. Participants
2.2. Settings of the Measuring Equipment
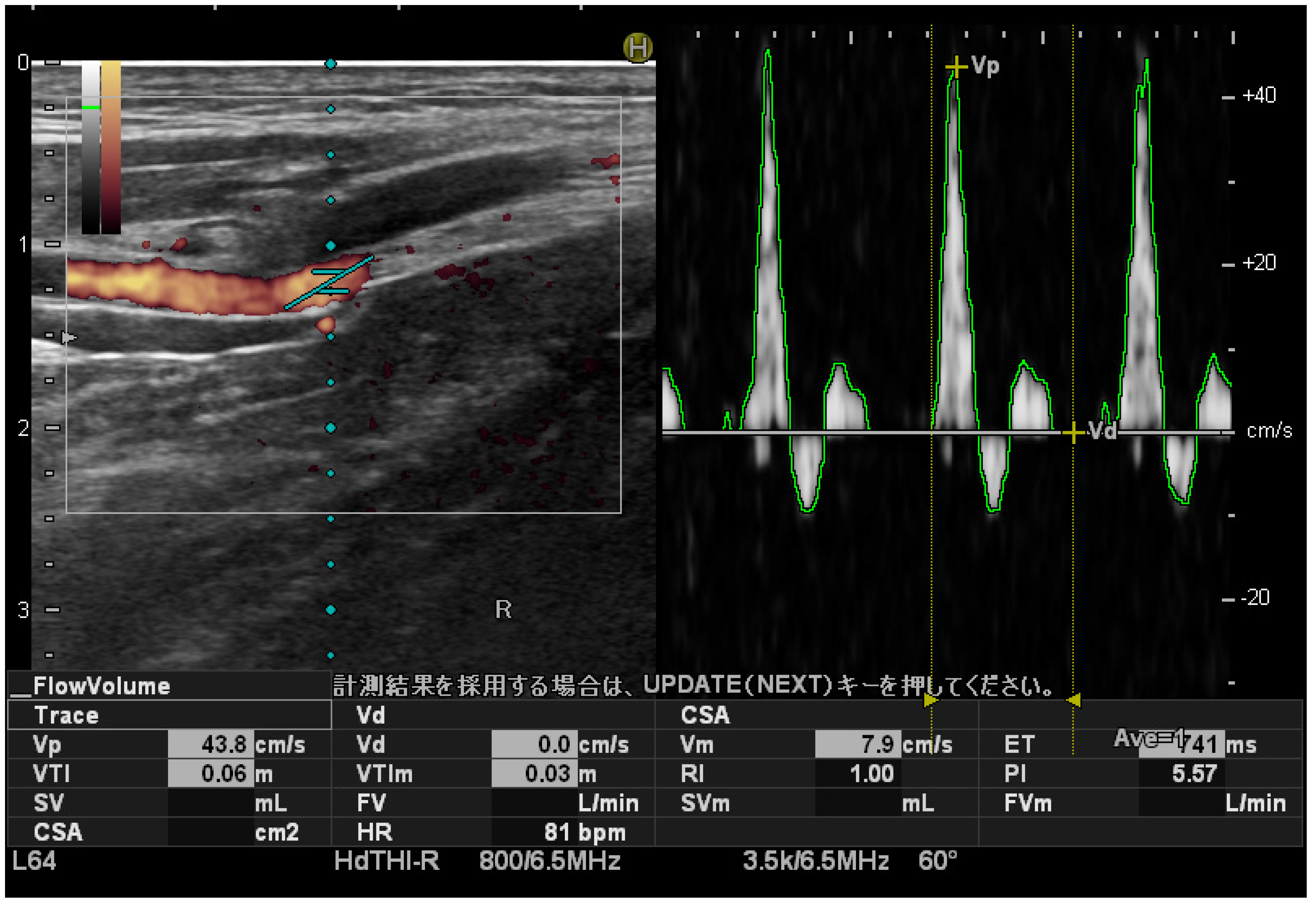
2.3. Measuring PTA Blood Flow Velocity
2.4. Interventions
2.5. Follow-Up Investigations
2.6. Statistical Analysis
3. Results
3.1. Participants’ Information
3.2. Comparison of PSV between Groups and Differences between the Left and Right Sides
3.3. Correlation between PSV and Other Factors
3.4. Cutoff Value of the PSV
4. Discussion
5. Limitations
6. Conclusions
Author Contributions
Funding
Institutional Review Board Statement
Informed Consent Statement
Data Availability Statement
Acknowledgments
Conflicts of Interest
Correction Statement
References
- Hansen, L.; Krogh, T.P.; Ellingsen, T.; Bolvig, L.; Fredberg, U. Long-Term Prognosis of Plantar Fasciitis: A 5- to 15-Year Follow-up Study of 174 Patients with Ultrasound Examination. Orthop. J. Sports Med. 2018, 6, 2325967118757983. [Google Scholar] [CrossRef] [PubMed]
- Petraglia, F.; Ramazzina, I.; Costantino, C. Plantar Fasciitis in Athletes: Diagnostic and Treatment Strategies. A Systematic Review. Muscles Ligaments Tendons J. 2017, 7, 107–118. [Google Scholar] [CrossRef]
- Koc, T.A.; Bise, C.G.; Neville, C.; Carreira, D.; Martin, R.L.; McDonough, C.M. Heel PainPlantar Fasciitis: Revision 2023. J. Orthop. Sports Phys. Ther. 2023, 53, CPG1–CPG39. [Google Scholar] [CrossRef]
- Pringels, L.; Cook, J.L.; Witvrouw, E.; Burssens, A.; Vanden Bossche, L.; Wezenbeek, E. Exploring the Role of Intratendinous Pressure in the Pathogenesis of Tendon Pathology: A Narrative Review and Conceptual Framework. Br. J. Sports Med. 2022, 57, 1042–1048. [Google Scholar] [CrossRef]
- van Leeuwen, K.D.B.; Rogers, J.; Winzenberg, T.; van Middelkoop, M. Higher body mass index is associated with plantar fasciopathy/‘plantar fasciitis’: Systematic review and meta-analysis of various clinical and imaging risk factors. Br. J. Sports Med. 2016, 50, 972–981. [Google Scholar] [CrossRef]
- McMillan, A.M.; Landorf, K.B.; Gilheany, M.F.; Bird, A.R.; Morrow, A.D.; Menz, H.B. Ultrasound guided corticosteroid injection for plantar fasciitis: Randomised controlled trial. BMJ 2012, 344, e3260. [Google Scholar] [CrossRef] [PubMed]
- Espahbodi, S.; Doré, C.J.; Humphries, K.N.; Hughes, S.P.F. Color Doppler ultrasonography of lumbar artery blood flow in patients with low back pain. Spine 2013, 38, E230–E236. [Google Scholar] [CrossRef]
- Terabayashi, N.; Watanabe, T.; Matsumoto, K.; Takigami, I.; Ito, Y.; Fukuta, M.; Akiyama, H.; Shimizu, K. Increased blood flow in the anterior humeral circumflex artery correlates with night pain in patients with rotator cuff tear. J. Orthop. Sci. 2014, 19, 744–749. [Google Scholar] [CrossRef] [PubMed]
- Fukumoto, Y.; Miyashita, T.; Kitano, M.; Okuno, Y.; Kudo, S. Characteristics of the descending genicular artery blood flow velocity in patients with knee osteoarthritis. Knee 2021, 33, 143–149. [Google Scholar] [CrossRef]
- Mohseni-Bandpei, M.A.; Nakhaee, M.; Mousavi, M.E.; Shakourirad, A.; Safari, M.R.; Vahab Kashani, R. Application of ultrasound in the assessment of plantar fascia in patients with plantar fasciitis: A systematic review. Ultrasound Med. Biol. 2014, 40, 1737–1754. [Google Scholar] [CrossRef]
- Khammas, A.S.A.; Mahmud, R.; Hassan, H.A.; Ibrahim, I.; Mohammed, S.S. An Assessment of Plantar Fascia with Ultrasound Findings in Patients with Plantar Fasciitis: A Systematic Review. J. Ultrasound 2023, 26, 13–38. [Google Scholar] [CrossRef]
- McMillan, A.M.; Landorf, K.B.; Gregg, J.M.; De Luca, J.; Cotchett, M.P.; Menz, H.B. Hyperemia in plantar fasciitis determined by power doppler ultrasound. J. Orthop. Sports Phys. Ther. 2013, 43, 875–880. [Google Scholar] [CrossRef] [PubMed]
- Landis, J.R.; Koch, G.G. The measurement of observer agreement for categorical data. Biometrics 1977, 33, 159–174. [Google Scholar] [CrossRef]
- Siriphorn, A.; Eksakulkla, S. Calf Stretching and Plantar Fascia-Specific Stretching for Plantar Fasciitis: A Systematic Review and Meta-Analysis. J. Bodyw. Mov. Ther. 2020, 24, 222–232. [Google Scholar] [CrossRef]
- Cheung, R.T.H.; Sze, L.K.Y.; Mok, N.W.; Ng, G.Y.F. Intrinsic Foot Muscle Volume in Experienced Runners with and without Chronic Plantar Fasciitis. J. Sci. Med. Sport. 2016, 19, 713–715. [Google Scholar] [CrossRef]
- Huffer, D.; Hing, W.; Newton, R.; Clair, M. Strength Training for Plantar Fasciitis and the Intrinsic Foot Musculature: A Systematic Review. Phys. Ther. Sport 2017, 24, 44–52. [Google Scholar] [CrossRef] [PubMed]
- Rathleff, M.S.; Thorborg, K. “Load Me up, Scotty”: Mechanotherapy for Plantar Fasciopathy (Formerly Known as Plantar Fasciitis). Br. J. Sports Med. 2015, 49, 638–639. [Google Scholar] [CrossRef]
- Rathleff, M.S.; Mølgaard, C.M.; Fredberg, U.; Kaalund, S.; Andersen, K.B.; Jensen, T.T.; Aaskov, S.; Olesen, J.L. High-Load Strength Training Improves Outcome in Patients with Plantar Fasciitis: A Randomized Controlled Trial with 12-Month Follow-Up. Scand. J. Med. Sci. Sports 2015, 25, e292–e300. [Google Scholar] [CrossRef]
- García-Gomariz, C.; Hernández-Guillén, D.; Nieto-Gil, P.; Blasco-García, C.; Alcahuz-Griñán, M.; Blasco, J.-M. Effects of Kinesiotape versus Low-Dye Tape on Pain and Comfort Measures in Patients with Plantar Fasciitis: A Randomized Clinical Trial. Life 2024, 14, 249. [Google Scholar] [CrossRef]
- Bahar-Ozdemir, Y.; Atan, T. Effects of Adjuvant Low-Dye Kinesio Taping, Adjuvant Sham Taping, or Extracorporeal Shockwave Therapy Alone in Plantar Fasciitis: A Randomised Double-Blind Controlled Trial. Int. J. Clin. Pract. 2021, 75, e13993. [Google Scholar] [CrossRef]
- Alhakami, A.M.; Babkair, R.A.; Sahely, A.; Nuhmani, S. Effectiveness of Therapeutic Ultrasound on Reducing Pain Intensity and Functional Disability in Patients with Plantar Fasciitis: A Systematic Review of Randomised Controlled Trials. PeerJ 2024, 12, e17147. [Google Scholar] [CrossRef] [PubMed]
- Melese, H.; Alamer, A.; Getie, K.; Nigussie, F.; Ayhualem, S. Extracorporeal Shock Wave Therapy on Pain and Foot Functions in Subjects with Chronic Plantar Fasciitis: Systematic Review of Randomized Controlled Trials. Disabil. Rehabil. 2021, 44, 5007–5014. [Google Scholar] [CrossRef] [PubMed]
- Bildik, C.; Kaya, O. Platelet-Rich Plasma vs. Autologous Blood Injection to Treat Plantar Fasciitis: A Prospective Randomized, Double-Blinded, Controlled Trial. Foot Ankle Int. 2022, 43, 1211–1218. [Google Scholar] [CrossRef] [PubMed]
- Kang, H. Sample Size Determination and Power Analysis Using the G*Power Software. J. Educ. Eval. Health Prof. 2021, 18, 17. [Google Scholar] [CrossRef]
- Aggarwal, P.; Jirankali, V.; Garg, S.K. Evaluation of plantar fascia using high-resolution ultrasonography in clinically diagnosed cases of plantar fasciitis. Pol. J. Radiol. 2020, 85, e375–e380. [Google Scholar] [CrossRef] [PubMed]
- Drake, C.; Whittaker, G.A.; Kaminski, M.R.; Chen, J.; Keenan, A.-M.; Rathleff, M.S.; Robinson, P.; Landorf, K.B. Medical imaging for plantar heel pain: A systematic review and meta-analysis. J. Foot Ankle Res. 2022, 15, 4. [Google Scholar] [CrossRef] [PubMed]
- Walther, M.; Radke, S.; Kirschner, S.; Ettl, V.; Gohlke, F. Power Doppler findings in plantar fasciitis. Ultrasound Med. Biol. 2004, 30, 435–440. [Google Scholar] [CrossRef] [PubMed]
- Okuno, Y.; Korchi, A.M.; Shinjo, T.; Kato, S.; Kaneko, T. Midterm clinical outcomes and MR imaging changes after transcatheter arterial embolization as a treatment for mild to moderate radiographic knee osteoarthritis resistant to conservative treatment. J. Vasc. Interv. Radiol. 2017, 28, 995–1002. [Google Scholar] [CrossRef] [PubMed]
- Shibuya, M.; Sugihara, E.; Miyazaki, K.; Fujiwara, K.; Sakugawa, T.; Okuno, Y. Intra-arterial infusion of temporary embolic material in a patient with plantar fasciitis: A case report. Cardiovasc. Interv. Radiol. 2021, 44, 1823–1826. [Google Scholar] [CrossRef]
- Cook, J.L.; Purdam, C. Is Compressive Load a Factor in the Development of Tendinopathy? Br. J. Sports Med. 2012, 46, 163–168. [Google Scholar] [CrossRef]
- Merkel, M.F.R.; Svensson, R.B.; Jakobsen, J.R.; Mackey, A.L.; Schjerling, P.; Herzog, R.B.; Magnusson, S.P.; Konradsen, L.; Krogsgaard, M.R.; Kjær, M.; et al. Widespread Vascularization and Correlation of Glycosaminoglycan Accumulation to Tendon Pain in Human Plantar Fascia Tendinopathy. Am. J. Sports Med. 2024, 3635465241246262. [Google Scholar] [CrossRef] [PubMed]
- Järvinen, T.A. Neovascularisation in Tendinopathy: From Eradication to Stabilisation? Br. J. Sports Med. 2020, 54, 1–2. [Google Scholar] [CrossRef] [PubMed]
- Alfredson, H.; Bjur, D.; Thorsen, K.; Lorentzon, R.; Sandström, P. High Intratendinous Lactate Levels in Painful Chronic Achilles Tendinosis. An Investigation Using Microdialysis Technique. J. Orthop. Res. 2002, 20, 934–938. [Google Scholar] [CrossRef] [PubMed]
- Broholm, R.; Pingel, J.; Simonsen, L.; Bülow, J.; Johannsen, F. Applicability of Contrast-Enhanced Ultrasound in the Diagnosis of Plantar Fasciitis. Scand. J. Med. Sci. Sports 2017, 27, 2048–2058. [Google Scholar] [CrossRef] [PubMed]
- Pomarensky, M.; Macedo, L.; Carlesso, L.C. Management of Chronic Musculoskeletal Pain through a Biopsychosocial Lens. J. Athl. Train. 2022, 57, 312–318. [Google Scholar] [CrossRef] [PubMed]
- Drake, C.; Mallows, A.; Littlewood, C. Psychosocial Variables and Presence, Severity and Prognosis of Plantar Heel Pain: A Systematic Review of Cross-Sectional and Prognostic Associations. Musculoskelet. Care 2018, 16, 329–338. [Google Scholar] [CrossRef] [PubMed]
- Cotchett, M.P.; Whittaker, G.; Erbas, B. Psychological Variables Associated with Foot Function and Foot Pain in Patients with Plantar Heel Pain. Clin. Rheumatol. 2015, 34, 957–964. [Google Scholar] [CrossRef] [PubMed]
- Jayaseelan, D.J.; Fernandez-de-las-Penas, C.; Blattenberger, T.; Bonneau, D. Altered central pain processing in patients with chronic plantar heel pain: A critically appraised topic. J. Sports Rehabil. 2021, 30, 812–817. [Google Scholar] [CrossRef] [PubMed]
- Cotchett, M.; Frescos, N.; Whittaker, G.A.; Bonanno, D.R. Psychological Factors Associated with Foot and Ankle Pain: A Mixed Methods Systematic Review. J. Foot Ankle Res. 2022, 15, 10. [Google Scholar] [CrossRef]
- Sconfienza, L.M.; Silvestri, E.; Orlandi, D.; Fabbro, E.; Ferrero, G.; Martini, C.; Sardanelli, F.; Cimmino, M.A. Real-time sonoelastography of the plantar fascia: Comparison between patients with plantar fasciitis and healthy control subjects. Radiology 2013, 267, 195–200. [Google Scholar] [CrossRef]
- Taş, S.; Bek, N.; Ruhi Onur, M.; Korkusuz, F. Effects of Body Mass Index on Mechanical Properties of the Plantar Fascia and Heel Pad in Asymptomatic Participants. Foot Ankle Int. 2017, 38, 779–784. [Google Scholar] [CrossRef] [PubMed]


| PHP Group | Control Group | p-Value | ||
|---|---|---|---|---|
| Number | 23 | 23 | ||
| Age (years) | 58.0 ± 16.5 | 51.3 ± 17.3 | 0.12 | |
| Sex | Male | 13 (28.3%) | 10 (21.7%) | 0.37 | 
| Female | 10 (21.7%) | 13 (28.3%) | ||
| Height (m) | 1.6 ± 0.1 | 1.6 ± 0.1 | 0.75 | |
| Weight (kg) | 59.9 ± 11.5 | 59.1 ± 11.3 | 0.84 | |
| BMI (kg/m2) | 22.7 ± 3.3 | 22.2 ± 3.0 | 0.87 | |
| Blood pressure (mmHg) | 128.2 ± 12.4 | 121.2 ± 24.6 | 0.23 | |
| FAAM ADL score | 79.9 ± 16.5 | 97.5 ± 5.3 | <0.001 | |
| FAAM Sports score | 61.6 ± 27.2 | 91.8 ± 14.4 | <0.001 | |
| Factor | R | p-Value | 
|---|---|---|
| NRS score | 0.12 | 0.58 | 
| FAAM ADL score | 0.21 | 0.35 | 
| FAAM Sports score | 0.10 | 0.67 | 
| Blood pressure | 0.16 | 0.43 | 
| Factor | Before Treatment | After Treatment | Amount of Change | 
|---|---|---|---|
| PSV (cm/s) | 45.0 ± 13.4 | 39.3 ± 9.1 | −5.8 ± 14.5 | 
| NRS score | 6.5 ± 2.0 | 3.6 ± 2.1 | −2.9 ± 2.8 | 
| FAAM ADL score | 80.6 ± 17.0 | 90.0 ± 10.9 | 9.4 ± 14.1 | 
| FAAM Sports score | 63.4 ± 25.4 | 79.7 ± 19.1 | 16.3 ± 21.9 | 
| Factor | R | p Value | 
|---|---|---|
| NRS score | 0.47 | <0.05 | 
| FAAM ADL score | −0.24 | 0.31 | 
| FAAM Sports score | 0.02 | 0.92 | 
| Disclaimer/Publisher’s Note: The statements, opinions and data contained in all publications are solely those of the individual author(s) and contributor(s) and not of MDPI and/or the editor(s). MDPI and/or the editor(s) disclaim responsibility for any injury to people or property resulting from any ideas, methods, instructions or products referred to in the content. | 
© 2024 by the authors. Licensee MDPI, Basel, Switzerland. This article is an open access article distributed under the terms and conditions of the Creative Commons Attribution (CC BY) license (https://creativecommons.org/licenses/by/4.0/).
Share and Cite
Kaneko, F.; Katayama, S.; Kudo, S. Posterior Tibial Artery Blood Flow Velocity Is Increased in Patients with Plantar Heel Pain. J. Clin. Med. 2024, 13, 3153. https://doi.org/10.3390/jcm13113153
Kaneko F, Katayama S, Kudo S. Posterior Tibial Artery Blood Flow Velocity Is Increased in Patients with Plantar Heel Pain. Journal of Clinical Medicine. 2024; 13(11):3153. https://doi.org/10.3390/jcm13113153
Chicago/Turabian StyleKaneko, Fumiya, Sho Katayama, and Shintarou Kudo. 2024. "Posterior Tibial Artery Blood Flow Velocity Is Increased in Patients with Plantar Heel Pain" Journal of Clinical Medicine 13, no. 11: 3153. https://doi.org/10.3390/jcm13113153
APA StyleKaneko, F., Katayama, S., & Kudo, S. (2024). Posterior Tibial Artery Blood Flow Velocity Is Increased in Patients with Plantar Heel Pain. Journal of Clinical Medicine, 13(11), 3153. https://doi.org/10.3390/jcm13113153
 
        


 
                         
       