Relationships of Whole-Heart Myocardial Mechanics and Cardiac Morphometrics by Transthoracic Echocardiography with Main Prognostic Factors of Heart Failure in Non-Ischemic Dilated Cardiomyopathy
Abstract
1. Introduction
2. Materials and Methods
2.1. Study Population
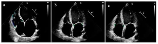
2.2. 2D Echocardiography Analysis
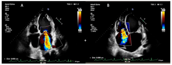
- Global regurgitation volume
- Left ventricle
- Right ventricle
- The right and left atria
2.3. Statistical Analysis
3. Results
4. Discussion
5. Limitations
6. Conclusions
Author Contributions
Funding
Institutional Review Board Statement
Informed Consent Statement
Data Availability Statement
Conflicts of Interest
References
- Japp, A.G.; Gulati, A.; Cook, S.A.; Cowie, M.R.; Prasad, S.K. The Diagnosis and Evaluation of Dilated Cardiomyopathy. J. Am. Coll. Cardiol. 2016, 6, 2996–3010. [Google Scholar] [CrossRef] [PubMed]
- Pinto, Y.M.; Elliott, P.M.; Arbustini, E.; Adler, Y.; Anastasakis, A.; Böhm, M.; Duboc, D.; Gimeno, J.; de Groote, P.; Imazio, M.; et al. Proposal for a revised definition of dilated cardiomyopathy, hypokinetic non-dilated cardiomyopathy, and its implications for clinical practice: A position statement of the ESC working group on myocardial and pericardial diseases. Eur. Heart. J. 2016, 37, 1850–1858. [Google Scholar] [CrossRef] [PubMed]
- Seferovic, P.M.; Polovina, M.; Bauersachs, J.; Arad, M.; Gal, T.B.; Lund, L.H. Heart failure in cardiomyopathies: A position paper from the Heart Failure Association of the European Society of Cardiology. Eur. J. Heart. Fail. 2019, 21, 553–576. [Google Scholar] [CrossRef]
- Seferović, P.M.; Polovina, M.M.; Coats, A.J.S. Heart failure in dilated non-ischaemic cardiomyopathy. Eur. Heart. J. Suppl. 2019, 21, M40–M43. [Google Scholar] [CrossRef]
- Balmforth, C.; Simpson, J.; Shen, L.; Jhund, P.S.; Lefkowitz, M.; Rizkala, A.R.; Rouleau, J.; Shi, V.; Solomon, S.D.; Swedberg, K.; et al. Outcomes and effect of treatment according to etiology in HFrEF: An analysis of PARADIGM-HF. JACC. Heart. Fail. 2019, 7, 457–465. [Google Scholar] [CrossRef] [PubMed]
- Halliday, B.P.; Gulati, A.; Ali, A.; Newsome, S.; Lota, A.; Tayal, U.; Vassiliou, V.S.; Arzanauskaite, M.; Izgi, C.; Krishnathasan, K.; et al. Sex- and age-based differences in the natural history and outcome of dilated cardiomyopathy. Eur. J. Heart. Fail. 2018, 20, 1392. [Google Scholar] [CrossRef] [PubMed]
- McDonagh, T.A.; Metra, M.; Adamo, M.; Gardner, R.S.; Baumbach, A.; Böhm, M.; Burri, H.; Butler, J.; Čelutkienė, J.; Chioncel, O.; et al. ESC Scientific Document Group. 2021 ESC Guidelines for the diagnosis and treatment of acute and chronic heart failure. Eur. Heart. J. 2021, 42, 3599–3726. [Google Scholar] [CrossRef]
- Ochs, A.; Riffel, J.; Ochs, M.M.; Arenja, N.; Fritz, T.; Galuschky, C.; Schuster, A.; Bruder, O.; Mahrholdt, H.; Giannitsis, E.; et al. Myocardial mechanics in dilated cardiomyopathy: Prognostic value of left ventricular torsion and strain. J. Cardiovasc. Magn. Reson. 2021, 23, 136. [Google Scholar] [CrossRef]
- Modesto, K.; Sengupta, P.P. Myocardial mechanics in cardiomyopathies. Prog. Cardiovasc. Dis. 2014, 57, 111–124. [Google Scholar] [CrossRef]
- Faggiano, A.; Avallone, C.; Gentile, D.; Provenzale, G.; Toriello, F.; Merlo, M.; Sinagra, G.; Carugo, S. Echocardiographic Advances in Dilated Cardiomyopathy. J. Clin. Med. 2021, 10, 5518. [Google Scholar] [CrossRef]
- Bartko, P.E.; Arfsten, H.; Heitzinger, G.; Pavo, N.; Spinka, G.; Kastl, S.; Prausmüller, S.; Strunk, G.; Mascherbauer, J.; Hengstenberg, C.; et al. Global regurgitant volume: Approaching the critical mass in valvular-driven heart failure. Eur. Heart. J. Cardiovasc. Imaging 2020, 2, 168–174. [Google Scholar] [CrossRef] [PubMed]
- Lang, R.M.; Badano, L.P.; Mor-Avi, V.; Afilalo, J.; Armstrong, A.; Ernande, L.; Flachskampf, F.A.; Foster, E.; Goldstein, S.A.; Kuznetsova, T.; et al. Recommendations for cardiac chamber quantification by echocardiography in adults: An update from the American Society of Echocardiography and the European Association of Cardiovascular Imaging. Eur. Heart. J. Cardiovasc. Imaging 2015, 16, 233–270. [Google Scholar] [CrossRef] [PubMed]
- Voigt, J.U.; Pedrizzetti, G.; Lysyansky, P.; Marwick, H.; Houle, H.; Baumann, R.; Pedri, S.; Ito, Y.; Abe, Y.; Metz, S.; et al. Definitions for a common standard for 2D speckle tracking echocardiography: Consensus document of the EACVI/ASE/Industry Task Force to standardize deformation imaging. Eur. Heart. J. Cardiovasc. Imaging 2015, 16, 1–11. [Google Scholar] [CrossRef] [PubMed]
- Badano, L.P.; Kolias, T.J.; Muraru, D.; Abraham, T.P.; Aurigemma, G.; Edvardsen, T.; D’Hooge, J.; Donal, E.; Fraser, A.G.; Marwick, T.; et al. Standardization of left atrial, right ventricular, and right atrial deformation imaging using two-dimensional speckle tracking echocardiography: A consensus document of the EACVI/ASE/Industry Task Force to standardize deformation imaging. Eur. Heart. J. Cardiovasc. Imaging 2018, 19, 591–600. [Google Scholar] [CrossRef]
- Jones, N.R.; Hobbs, F.R.; Taylor, C.J. Prognosis following a diagnosis of heart failure and the role of primary care: A review of the literature. BJGP. Open 2017, 1, bjgpopen17X101013. [Google Scholar] [CrossRef]
- Abdin, A.; Anker, S.D.; Butler, J.; Coats, A.J.S.; Kindermann, I.; Lainscak, M.; Lund, L.H.; Metra, M.; Mullens, W.; Rosano, G.; et al. ‘Time is prognosis’ in heart failure: Time-to-treatment initiation as a modifiable risk factor. ESC. Heart Fail. 2021, 8, 4444–4453. [Google Scholar] [CrossRef]
- Barclay, S.; Momen, N.; Case-Upton, S.; Kuhn, I.; Smith, E. End-of-life care conversations with heart failure patients: Asystematic literature review and narrative synthesis. Br. J. Gen. Pract. 2011, 61, e49–e62. [Google Scholar] [CrossRef]
- Sammani, A.; Baas, A.F.; Asselbergs, F.W.; Te Riele, A.S.J.M. Diagnosis and Risk Prediction of Dilated Cardiomyopathy in the Era of Big Data and Genomics. J. Clin. Med. 2021, 26, 921. [Google Scholar] [CrossRef]
- Pi, S.H.; Kim, S.M.; Choi, J.O.; Kim, E.K.; Chang, S.A.; Choe, Y.H.; Lee, S.C.; Jeon, E.S. Prognostic value of myocardial strain and late gadolinium enhancement on cardiovascular magnetic resonance imaging in patients with idiopathic dilated cardiomyopathy with moderate to severely reduced ejection fraction. J. Cardiovasc. Magn. Reson. 2018, 20, 36. [Google Scholar] [CrossRef]
- Anselmino, M.; De Ferrari, G.M.; Massa, R.; Manca, L.; Tritto, M.; Molon, G.; Curnis, A.; Devecchi, P.; Braga, S.S.; Bartesaghi, G.; et al. Predictors of mortality and hospitalization for cardiac causes in patients with heart failure and nonischemic heart disease: A subanalysis of the ALPHA study. PACE-Pacing. Clin. Electrophysiol. 2009, 32, S214–S218. [Google Scholar] [CrossRef]
- Li, X.; Chen, C.; Gan, F.; Wang, Y.; Ding, L.; Hua, W. Plasma NT pro-BNP, hs-CRP and big-ET levels at admission as prognostic markers of survival in hospitalized patients with dilated cardiomyopathy: A single-center cohort study. BMC. Cardiovasc. Disord. 2014, 14, 67. [Google Scholar] [CrossRef] [PubMed]
- Levy, W.C.; Mozaffarian, D.; Linker, D.T.; Sutradhar, S.C.; Anker, S.D.; Cropp, A.B.; Anand, I.; Maggioni, A.; Burton, P.; Sullivan, M.D.; et al. The Seattle Heart Failure Model: Prediction of survival in heart failure. Circulation 2006, 113, 1424–1433. [Google Scholar] [CrossRef] [PubMed]
- Curtis, J.P.; Sokol, S.I.; Wang, Y.; Rathore, S.S.; Ko, D.T.; Jadbabaie, F.; Portnay, E.L.; Marshalko, S.J.; Radford, M.J.; Krumholz, H.M. The association of left ventricular ejection fraction, mortality, and cause of death in stable outpatients with heart failure. J. Am. Coll. Cardiol. 2003, 42, 736–742. [Google Scholar] [CrossRef]
- Karlsen, S.; Dahlslett, T.; Grenne, B.; Sjøli, B.; Smiseth, O.; Edvardsen, T.; Brunvand, H. Global longitudinal strain is a more reproducible measure of left ventricular function than ejection fraction regardless of echocardiographic training. Cardiovasc. Ultrasound 2019, 17, 18. [Google Scholar] [CrossRef]
- Yang, X.; Lupón, J.; Vidán, M.T.; Ferguson, C.; Gastelurrutia, P.; Newton, P.J.; Macdonald, P.S.; Bueno, H.; Bayés-Genís, A.; Woo, J.; et al. Impact of frailty on mortality and hospitalization in chronic heart failure: A systematic review and meta-analysis. J. Am. Heart Assoc. 2018, 7, e008251. [Google Scholar] [CrossRef]
- Jones, N.; Roalfe, A.K.; Adoki, I.; Hobbs, F.R.; Taylor, C.J. Survival of patients with chronic heart failure in the community: A systematic review and meta-analysis. Eur. J. Heart Fail. 2019, 21, 1306–1325. [Google Scholar] [CrossRef]
- Janwanishstaporn, S.; Cho, J.Y.; Feng, S.; Brann, A.; Seo, J.S.; Narezkina, A.; Greenberg, B. Prognostic Value of Global Longitudinal Strain in Patients With Heart Failure With Improved Ejection Fraction. JACC Heart Fail. 2022, 10, 27–37. [Google Scholar] [CrossRef]
- MacIver, D.H.; Adeniran, I.; Zhang, H. Left ventricular ejection fraction is determined by both global myocardial strain and wall thickness. Int. J. Cardiol. Heart Vasc. 2015, 7, 113–118. [Google Scholar] [CrossRef]
- Fazlinezhad, A.; Rezaeian, M.K.; Yousefzadeh, H.; Ghaffarzadegan, K.; Khajedaluee, M. Plasma Brain Natriuretic Peptide (BNP) as an indicator of left ventricular function, early outcome and mechanical complications after acute myocardial infarction. Clin. Med. Insights Cardiol. 2011, 5, CMC-S7189. [Google Scholar] [CrossRef] [PubMed]
- Hernández Madrid, A.; Miguelañez Díaz, M.; Escobar Cervantes, C.; Blanco Tirados, B.; Marín, I.; Bernal, E.; Zamora, J.; Cordova González, F.J.; Alfonso Pérez, M.; Limón, L.; et al. Usefulness of brain natriuretic peptide to evaluate patients with heart failure treated with cardiac resynchronization. Rev. Esp. Cardiol. 2004, 57, 299–305. [Google Scholar] [CrossRef] [PubMed]
- Cho, J.Y.; Kim, K.H.; Song, J.E.; Kim, J.E.; Park, H.; Yoon, H.J.; Yoon, N.S.; Hong, Y.J.; Park, H.W.; Kim, J.H.; et al. Predictors of Left Ventricular Functional Recovery and Their Impact on Clinical Outcomes in Patients With Newly Diagnosed Dilated Cardiomyopathy and Heart Failure. Heart. Lung. Circ. 2018, 27, 41–49. [Google Scholar] [CrossRef]
- Mosterd, A.; Cost, B.; Hoes, A.W.; de Bruijne, M.C.; Deckers, J.W.; Hofman, A.; Grobbee, D.E. The prognosis of heart failure in the general population: The Rotterdam Study. Eur. Heart J. 2001, 22, 1318–1327. [Google Scholar] [CrossRef]
- Jhund, P.S.; MacIntyre, K.; Simpson, C.R.; Lewsey, J.D.; Stewart, S.; Redpath, A.; Chalmers, J.W.; Capewell, S.; McMurray, J.J. Long-term trends in first hospitalization for heart failure and subsequent survival between 1986 and 2003: A population study of 5.1 million people. Circ. J. 2009, 119, 515–523. [Google Scholar] [CrossRef]
- Kotecha, D.; Piccini, J.P. Atrial fibrillation in heart failure: What should we do? Eur. Heart J. 2015, 36, 3250–3257. [Google Scholar] [CrossRef] [PubMed]
- Deedwania, P.C.; Lardizabal, J.A. Atrial fibrillation in heart failure: A comprehensive review. Am. J. Med. 2010, 123, 198–204. [Google Scholar] [CrossRef] [PubMed]
- Ghio, S.; Guazzi, M.; Scardovi, A.B.; Klersy, C.; Clemenza, F.; Carluccio, E.; Temporelli, P.L.; Rossi, A.; Faggiano, P.; Traversi, E.; et al. Different correlates but similar prognostic implications for right ventricular dysfunction in heart failure patients with reduced or preserved ejection fraction. Eur. J. Heart Fail. 2017, 19, 873–879. [Google Scholar] [CrossRef] [PubMed]


| Demographic and Clinical Variables | NIDCM Group (n = 109) |
|---|---|
| Age, years | 49.7 ± 10.5 |
| Male gender, n (%) | 75 (68.8) |
| BMI, kg/m2 | 29.1 ± 5.7 |
| Systolic blood pressure, mmHg | 125.4 ± 13.8 |
| Heart rate, bpm | 75.0 ± 8.1 |
| Atrial fibrillation, n (%) | 43 (39.4) |
| QRS duration, ms | 120.9 ± 29.6 |
| NYHA class, n (%) | |
| I | 3 (2.8) |
| II | 29 (26.6) |
| III | 62 (56.9) |
| IV | 15 (13.8) |
| HFrEF (≤40), n (%) | 92 (84.4) |
| HFmrEF (41–49), n (%) | 17 (15.6) |
| Positive family history, n (%) | 48 (44.0) |
| VT, n (%) | 33 (30.3) |
| Cardiovascular risk factors, n (%) | |
| Arterial hypertension | 56 (51.4) |
| Dyslipidemia | 45 (41.3) |
| Diabetes | 8 (7.3) |
| Smoker | 44 (40.4) |
| Obesity | 70 (64.2) |
| Pharmacotherapy (at baseline), n (%) | |
| ACE-I/ARB | 43 (39.4) |
| Betablocker | 51 (46.7) |
| CCB | 28 (25.6) |
| Aldosterone antagonist | 9 (8.2) |
| Statins | 20 (18.3) |
| Diuretic | 3 (2.7) |
| Laboratory values | |
| Hgb, g/L | 139.8 ± 13.3 |
| TnI, ng/L | 0.3 ± 1.2 |
| hs-CRP, mg/L | 3.2 ± 2.8 |
| BNP, ng/L | 1256.3 ± 680.3 |
| 2D Echocardiographic Parameters | NIDCM Group (n = 109) |
|---|---|
| IVS, mm | 9.7 ± 1.2 |
| PW, mm | 9.6 ± 1.3 |
| GRV, mL | 49.5 ± 32.8 |
| Left ventricle | |
| LVESDi, mm/m2 | 27.6 ± 4.5 |
| LVEDDi, mm/m2 | 32.9 ± 4.1 |
| LVEDVi, ml/m2 | 114.3 ± 37.6 |
| LVESVi, ml/m2 | 82.1 ± 37.0 |
| LVEF, % | 27.7 ± 8.7 |
| LVGLS, % | −8.6 ± 2.8 |
| LVGCS, % | −14.1 ± 4.9 |
| LVGRS, % | 20.4 ± 9.3 |
| Right ventricle | |
| RVEDVi, mL/m2 | 71.0 ± 26.6 |
| RVESVi, mL/m2 | 44.5 ± 21.3 |
| RVFWLS, % | −18.2 ± 3.0 |
| RVGLS, % | −16.3 ± 2.4 |
| Left atrium | |
| LA, mm | 45.6 ± 8.5 |
| LAV, mL | 115.7 ± 63.6 |
| LAVi, mL/m2 | 56.1 ± 29.3 |
| LAScd, % | −13.4 ± 4.5 |
| LASr, % | 23.3 ± 7.2 |
| LASct, % | −9.9 ± 4.3 |
| Right atrium | |
| RAV, mL | 89.8 ± 24.5 |
| RAVi, mL/m2 | 39.9 ± 10.2 |
| RAScd, % | −15.6 ± 5.5 |
| RASr, % | 20.9 ± 6.2 |
| RASct, % | −12.4 ± 5.7 |
| Myocardial Mechanics and Morphometrics | Prognostic Factors of Heart Failure | ||||||||
|---|---|---|---|---|---|---|---|---|---|
| Age | Gender | Smoking | Systolic BP | AF | NYHA Class | 6MWT | BNP | LVEF | |
| GRV, mL | R = 0.223, p = 0.026 | - | - | R = 0.210, p = 0.036 | - | R = 0.431, p < 0.001 | R = −0.425, p < 0.001 | p = 0.021 | R = −0.457, p < 0.001 |
| Left ventricle | |||||||||
| LVEDDi, mm/m2 | - | - | - | - | - | - | - | - | R = −0.312, p = 0.002 |
| LVESDi, mm/m2 | - | - | - | - | - | - | - | - | R = −0.426, p < 0.001 |
| LVEDVi, ml/m2 | - | - | - | R = −0.248, p = 0.013 | - | R = 0.209, p = 0.037 | R = −0.367, p < 0.001 | - | R = −0.386, p < 0.001 |
| LVESVi, ml/m2 | - | - | - | R−0.436, p < 0.001 | - | - | - | - | R = −0.491, p < 0.001 |
| LVEF, % | - | - | R = −0.260, p = 0.009 | - | - | R = −0.499, p < 0.001 | R = 0.462, p < 0.001 | R = −0.461, p < 0.001 | 1 |
| LVGLS, % | - | - | - | - | - | R = 0.384, p < 0.001 | R = −0.389, p < 0.001 | R = 0.426, p = 0.025 | R−0.797, p < 0.001 |
| LVGCS, % | - | - | - | - | - | R = 0.343, p = 0.014 | - | - | R−0.759, p < 0.001 |
| LVGRS, % | - | R = 0.285, p = 0.004 | - | - | - | R = −0.393, p < 0.001 | R = 0.395, p < 0.001 | - | R = 0.725, p < 0.001 |
| Right ventricle | |||||||||
| RVEDVi, mL/m2 | - | - | - | - | - | - | - | - | R = −0.332, p < 0.001 |
| RVESVi, mL/m2 | - | R = −0.209, p = 0.048 | - | - | - | - | - | - | R = −0.340, p < 0.001 |
| RVFWLS, % | - | - | - | - | - | R = 0.345, p < 0.001 | R = −0.356, p < 0.001 | R = −0.304, p = 0.032 | R = −0.397, p < 0.001 |
| RVGLS, % | - | - | - | - | - | R = 0.345, p < 0.001 | R = −0.354, p < 0.001 | - | R = −0.424, p < 0.001 |
| Left atrium | |||||||||
| LAVi, mL/m2 | R = 0.222, p = 0.026 | - | - | - | R = −0.346, p < 0.001 | R = 0.210, p = 0.036 | - | - | R = −0.297, p = 0.003 |
| LAScd, % | - | - | - | - | R = −0.392, p < 0.001 | R = 0.341, p = 0.001 | - | - | R = −0.835, p < 0.001 |
| LASct, % | - | - | - | - | R = −0.402, p < 0.001 | R = 0.266, p = 0.007 | - | - | R = −0.567, p < 0.001 |
| LASr, % | - | - | - | - | R = −0.434, p < 0.001 | R = −0.392, p = 0.001 | - | R = 0.348, p = 0.036 | R = 0.781, p < 0.001 |
| Right atrium | |||||||||
| RAVi, mL/m2 | - | - | - | - | - | - | - | - | R = −0.281, p = 0.005 |
| RAScd, % | - | - | - | - | - | R = 0.314, p = 0.001 | R = −0.370, p < 0.001 | - | R−0.494, p < 0.001 |
| RASct, % | - | - | - | - | - | R = 0.286, p = 0.004 | - | - | R = −0.315, p = 0.001 |
| RASr, % | - | - | - | - | - | R = −0.322, p = 0.001 | - | - | R = 0.363, p < 0.001 |
| Variable | Multivariate Analysis | ||
|---|---|---|---|
| Standardized Coefficient B | 95% CI | p | |
| Systolic blood pressure | |||
| LVESVi, mL/m2 | −0.248 | −0.226–(−0.028) | 0.013 |
| NYHA class | |||
| GRV, mL | 0.273 | 0.002–0.020 | 0.018 |
| LASr, % | −0.404 | −0.011–0.065 | 0.006 |
| LVEF, % | −0.572 | −0.064–(−0.028) | <0.001 |
| RVFWLS, % | 0.192 | 0.002–0.086 | 0.049 |
| 6MWT | |||
| GRV, mL | −0.300 | −0.010–(−0.002) | 0.005 |
| LVEF, % | 0.743 | 0.033–0.077 | <0.001 |
| RVFWLS, % | −0.247 | −0.091–(−0.013) | 0.009 |
| BNP | |||
| LVEF, % | −0.251 | −85.2–(−10.533) | 0.013 |
| LVEF | |||
| LVGLS, % | −0.291 | −1.282–(−0.526) | <0.001 |
| LVGRS, % | 0.207 | 0.081–0.308 | <0.001 |
| GRV, mL | −0.238 | −0.758–(−0.167) | 0.003 |
| LASr, % | 0.267 | 0.166–0.478 | <0.001 |
Disclaimer/Publisher’s Note: The statements, opinions and data contained in all publications are solely those of the individual author(s) and contributor(s) and not of MDPI and/or the editor(s). MDPI and/or the editor(s) disclaim responsibility for any injury to people or property resulting from any ideas, methods, instructions or products referred to in the content. |
© 2023 by the authors. Licensee MDPI, Basel, Switzerland. This article is an open access article distributed under the terms and conditions of the Creative Commons Attribution (CC BY) license (https://creativecommons.org/licenses/by/4.0/).
Share and Cite
Mėlinytė-Ankudavičė, K.; Ereminienė, E.; Mizarienė, V.; Šakalytė, G.; Plisienė, J.; Ankudavičius, V.; Dirsienė, R.; Žaliūnas, R.; Jurkevičius, R. Relationships of Whole-Heart Myocardial Mechanics and Cardiac Morphometrics by Transthoracic Echocardiography with Main Prognostic Factors of Heart Failure in Non-Ischemic Dilated Cardiomyopathy. J. Clin. Med. 2023, 12, 2272. https://doi.org/10.3390/jcm12062272
Mėlinytė-Ankudavičė K, Ereminienė E, Mizarienė V, Šakalytė G, Plisienė J, Ankudavičius V, Dirsienė R, Žaliūnas R, Jurkevičius R. Relationships of Whole-Heart Myocardial Mechanics and Cardiac Morphometrics by Transthoracic Echocardiography with Main Prognostic Factors of Heart Failure in Non-Ischemic Dilated Cardiomyopathy. Journal of Clinical Medicine. 2023; 12(6):2272. https://doi.org/10.3390/jcm12062272
Chicago/Turabian StyleMėlinytė-Ankudavičė, Karolina, Eglė Ereminienė, Vaida Mizarienė, Gintarė Šakalytė, Jurgita Plisienė, Vytautas Ankudavičius, Rūta Dirsienė, Remigijus Žaliūnas, and Renaldas Jurkevičius. 2023. "Relationships of Whole-Heart Myocardial Mechanics and Cardiac Morphometrics by Transthoracic Echocardiography with Main Prognostic Factors of Heart Failure in Non-Ischemic Dilated Cardiomyopathy" Journal of Clinical Medicine 12, no. 6: 2272. https://doi.org/10.3390/jcm12062272
APA StyleMėlinytė-Ankudavičė, K., Ereminienė, E., Mizarienė, V., Šakalytė, G., Plisienė, J., Ankudavičius, V., Dirsienė, R., Žaliūnas, R., & Jurkevičius, R. (2023). Relationships of Whole-Heart Myocardial Mechanics and Cardiac Morphometrics by Transthoracic Echocardiography with Main Prognostic Factors of Heart Failure in Non-Ischemic Dilated Cardiomyopathy. Journal of Clinical Medicine, 12(6), 2272. https://doi.org/10.3390/jcm12062272
