Ultrasound Doppler Flow Parameters Are Independently Associated with Renal Cortex Contrast-Enhanced Multidetector Computed Tomography Perfusion and Kidney Function
Abstract
1. Introduction
2. Materials and Methods
2.1. Renal Function Assessment
2.2. Contrast-Enhanced Multidetector Computer Tomography
2.2.1. CE-MDCT Protocol
2.2.2. Quantitative Analysis of Perfusion
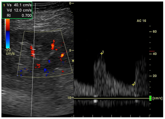
2.3. Kidney Ultrasound
3. Results
3.1. Differences in CE-MDCT Measurements
3.2. Associations of Renal Cortex Perfusion Parameters
3.3. Relations of Perfusion Parameters with Kidney Function
4. Discussion
5. Conclusions
Author Contributions
Funding
Institutional Review Board Statement
Informed Consent Statement
Data Availability Statement
Acknowledgments
Conflicts of Interest
References
- Lubas, A.; Kade, G.; Niemczyk, S. Renal Resistive Index as a Marker of Vascular Damage in Cardiovascular Diseases. Int. Urol. Nephrol. 2014, 46, 395–402. [Google Scholar] [CrossRef] [PubMed]
- Lubas, A.; Ryczek, R.; Kade, G.; Smoszna, J.; Niemczyk, S. Impact of Cardiovascular Organ Damage on Cortical Renal Perfusion in Patients with Chronic Renal Failure. Biomed. Res. Int. 2013, 2013, 137868. [Google Scholar] [CrossRef] [PubMed]
- Lubas, A.; Ryczek, R.; Maliborski, A.; Dyrla, P.; Niemczyk, L.; Niemczyk, S. Left Ventricular Strain and Relaxation Are Independently Associated with Renal Cortical Perfusion in Hypertensive Patients. Adv. Exp. Med. Biol. 2018, 1133, 1–8. [Google Scholar]
- Lubas, A.; Grzywacz, A.; Niemczyk, S.; Kamiński, G.; Saracyn, M. Renal Cortical Perfusion Estimated in Color Doppler Dynamic Tissue Perfusion Measurement in Patients Treated with Levothyroxine Following Total Thyroidectomy for Resectable Thyroid Cancer Is Independently Associated with Free Thyroxine: A Single-Center Prospective Study. Med. Sci. Monit. 2021, 27, e932096. [Google Scholar] [CrossRef] [PubMed]
- Lubas, A.; Zelichowski, G.; Próchnicka, A.; Wiśniewska, M.; Wańkowicz, Z. Renal Autoregulation in Medical Therapy of Renovascular Hypertension. Arch. Med. Sci. 2010, 6, 912–918. [Google Scholar] [CrossRef] [PubMed]
- Bude, R.O.; Rubin, J.M. Relationship between the Resistive Index and Vascular Compliance and Resistance. Radiology 1999, 211, 411–417. [Google Scholar] [CrossRef] [PubMed]
- Tublin, M.E.; Tessler, F.N.; Murphy, M.E. Correlation between Renal Vascular Resistance, Pulse Pressure, and the Resistive Index in Isolated Perfused Rabbit Kidneys. Radiology 1999, 213, 258–264. [Google Scholar] [CrossRef]
- Stefan, G.; Capusa, C.; Stancu, S.; Petrescu, L.; Nedelcu, E.D.; Andreiana, I.; Mircescu, G. Abdominal Aortic Calcification and Renal Resistive Index in Patients with Chronic Kidney Disease: Is There a Connection? J. Nephrol. 2014, 27, 173–179. [Google Scholar] [CrossRef]
- Rozemeijer, S.; Mulier, J.L.G.H.; Röttgering, J.G.; Elbers, P.W.G.; Spoelstra-De Man, A.M.E.; Tuinman, P.R.; De Waard, M.C.; Oudemans-Van Straaten, H.M. Renal resistive index: Response to shock and its determinants in critically ill patients. Shock 2019, 52, 43–51. [Google Scholar] [CrossRef]
- Abe, M.; Akaishi, T.; Miki, T.; Miki, M.; Funamizu, Y.; Araya, K.; Ishizawa, K.; Takayama, S.; Takase, K.; Abe, T.; et al. Influence of Renal Function and Demographic Data on Intrarenal Doppler Ultrasonography. PLoS ONE 2019, 14, e0221244. [Google Scholar] [CrossRef]
- Welsh, A.W.; Fowlkes, J.B.; Pinter, S.Z.; Ives, K.A.; Owens, G.E.; Rubin, J.M.; Kripfgans, O.D.; Looney, P.; Collins, S.L.; Stevenson, G.N. Three-Dimensional US Fractional Moving Blood Volume: Validation of Renal Perfusion Quantification. Radiology 2019, 293, 460–468. [Google Scholar] [CrossRef] [PubMed]
- Oliveira, R.A.G.; Mendes, P.V.; Park, M.; Taniguchi, L.U. Factors Associated with Renal Doppler Resistive Index in Critically Ill Patients: A Prospective Cohort Study. Ann. Intensive Care 2019, 9, 23. [Google Scholar] [CrossRef]
- Watchorn, J.; Huang, D.; Bramham, K.; Hutchings, S. Decreased Renal Cortical Perfusion, Independent of Changes in Renal Blood Flow and Sublingual Microcirculatory Impairment, Is Associated with the Severity of Acute Kidney Injury in Patients with Septic Shock. Crit. Care 2022, 26, 261. [Google Scholar] [CrossRef] [PubMed]
- Qian, X.; Zhen, J.; Meng, Q.; Li, L.; Yan, J. Intrarenal Doppler Approaches in Hemodynamics: A Major Application in Critical Care. Front. Physiol. 2022, 13, 2188. [Google Scholar] [CrossRef]
- Levey, A.S.; Stevens, L.A.; Schmid, C.H.; Zhang, Y.L.; Castro, A.F.; Feldman, H.I.; Kusek, J.W.; Eggers, P.; Van Lente, F.; Greene, T.; et al. A New Equation to Estimate Glomerular Filtration Rate. Ann. Intern. Med. 2009, 150, 604–612. [Google Scholar] [CrossRef]
- Scholbach, T.; Dimos, I.; Scholbach, J. A New Method of Color Doppler Perfusion Measurement via Dynamic Sonographic Signal Quantification in Renal Parenchyma. Nephron Physiol. 2004, 96, 99–104. [Google Scholar] [CrossRef] [PubMed]
- Lubas, A.; Kade, G.; Saracyn, M.; Niemczyk, S.; Dyrla, P. Dynamic Tissue Perfusion Assessment Reflects Associations between Antihypertensive Treatment and Renal Cortical Perfusion in Patients with Chronic Kidney Disease and Hypertension. Int. Urol. Nephrol. 2018, 50, 509–516. [Google Scholar] [CrossRef]
- Ma, N.; Sun, Y.J.; Ren, J.H.; Wang, S.Y.; Zhang, Y.W.; Ji, X.P.; Li, M.P.; Guo, F.J. Characteristics of Renal Cortical Perfusion and Its Association with Renal Function among Elderly Patients with Renal Artery Stenosis. Zhonghua Xin Xue Guan Bing Za Zhi 2019, 47, 628–633. [Google Scholar] [CrossRef]
- Li, Y.; Ma, N.; Zhang, Y.; Wang, S.; Sun, Y.; Li, M.; Ai, H.; Zhu, H.; Wang, Y.; Li, P.; et al. Development and Validation of a Prognostic Nomogram for Prognosis in Patients With Renal Artery Stenosis. Front. Med. (Lausanne) 2022, 9, 769. [Google Scholar] [CrossRef]
- Huo, Y.; Lu, Z.B.; Li, B.; Li, B.; Xing, D.; Liu, L.X.; Wang, X.T.; Hu, Z.J. Ultrasonic Evaluation of Systemic and Renal Perfusion in Sepsis Patients before and after Fluid Resuscitation. Eur. Rev. Med. Pharmacol. Sci. 2020, 24, 12450–12460. [Google Scholar] [CrossRef]
- Scholbach, T.M.; Vogel, C.; Bergner, N. Color Doppler Sonographic Dynamic Tissue Perfusion Measurement Demonstrates Significantly Reduced Cortical Perfusion in Children with Diabetes Mellitus Type 1 without Microalbuminuria and Apparently Healthy Kidneys. Ultraschall Der Med. 2014, 35, 445–450. [Google Scholar] [CrossRef] [PubMed]
- Woźniak, M.M.; Scholbach, T.M.; Scholbach, J.; Pawelec, A.; Nachulewicz, P.; Wieczorek, A.P.; Brodzisz, A.; Zajączkowska, M.M.; Borzȩcka, H. Color Doppler Dynamic Tissue Perfusion Measurement: A Novel Tool in the Assessment of Renal Parenchymal Perfusion in Children with Vesicoureteral Reflux. Arch. Med. Sci. 2016, 12, 621–628. [Google Scholar] [CrossRef] [PubMed]
- Rosenbaum, C.; Wach, S.; Kunath, F.; Wullich, B.; Scholbach, T.; Engehausen, D.G. Dynamic Tissue Perfusion Measurement: A New Tool for Characterizing Renal Perfusion in Renal Cell Carcinoma Patients. Urol. Int. 2013, 90, 87–94. [Google Scholar] [CrossRef] [PubMed]
- Lubas, A.; Ryczek, R.; Kade, G.; Niemczyk, S. Renal Perfusion Index Reflects Cardiac Systolic Function in Chronic Cardio-Renal Syndrome. Med. Sci. Monit. 2015, 21, 1089–1096. [Google Scholar] [CrossRef] [PubMed]
- Lubas, A.; Kade, G.; Ryczek, R.; Banasiak, P.; Dyrla, P.; Szamotulska, K.; Schneditz, D.; Niemczyk, S. Ultrasonic Evaluation of Renal Cortex Arterial Area Enables Differentiation between Hypertensive and Glomerulonephritis-Related Chronic Kidney Disease. Int. Urol. Nephrol. 2017, 49, 1627–1635. [Google Scholar] [CrossRef]
- Post, E.H.; Kellum, J.A.; Bellomo, R.; Vincent, J.L. Renal Perfusion in Sepsis: From Macro- to Microcirculation. Kidney Int. 2017, 91, 45–60. [Google Scholar] [CrossRef]
- Thomas, S.; Jakob, S. Can We Measure Renal Tissue Perfusion by Ultrasound? J. Med. Ultrasound 2009, 17, 9–16. [Google Scholar] [CrossRef]
- Dyrla, P.; Lubas, A.; Gil, J.; Saracyn, M.; Gonciarz, M. Dynamic Doppler Ultrasound Assessment of Tissue Perfusion Is a Better Tool than a Single Vessel Doppler Examination in Differentiating Malignant and Inflammatory Pancreatic Lesions. Diagnostics 2021, 11, 2289. [Google Scholar] [CrossRef]
- Radermacher, J.; Chavan, A.; Bleck, J.; Vitzthum, A.; Stoess, B.; Gebel, M.J.; Galanski, M.; Koch, K.M.; Haller, H. Use of Doppler ultrasonography to predict the outcome of therapy for renal-artery stenosis. N. Engl. J. Med. 2001, 344, 410–417. [Google Scholar] [CrossRef]
- Romano, G.; Mioni, R.; Danieli, N.; Bertoni, M.; Croatto, E.; Merla, L.; Alcaro, L.; Pedduzza, A.; Metcalf, X.; Rigamonti, A.; et al. Elevated Intrarenal Resistive Index Predicted Faster Renal Function Decline and Long-Term Mortality in Non-Proteinuric Chronic Kidney Disease. J. Clin. Med. 2022, 11, 2995. [Google Scholar] [CrossRef]
- Cianci, R.; Simeoni, M.; Gigante, A.; Marco Perrotta, A.; Ronchey, S.; Mangialardi, N.; Schioppa, A.; De Marco, O.; Cianci, E.; Barbati, C.; et al. Renal Stem Cells, Renal Resistive Index, and Neutrophil Gelatinase Associated Lipocalin Changes After Revascularization in Patients With Renovascular Hypertension and Ischemic Nephropathy. Curr. Pharm. Des. 2022, 13, 133–138. [Google Scholar] [CrossRef]
- Davenport, M.S.; Perazella, M.A.; Yee, J.; Dillman, J.R.; Fine, D.; McDonald, R.J.; Rodby, R.A.; Wang, C.L.; Weinreb, J.C. Use of Intravenous Iodinated Contrast Media in Patients with Kidney Disease: Consensus Statements from the American College of Radiology and the National Kidney Foundation. Radiology 2020, 294, 660–668. [Google Scholar] [CrossRef]
- Asayama, Y.; Nishie, A.; Ishigami, K.; Ushijima, Y.; Kakihara, D.; Fujita, N.; Morita, K.; Ishimatsu, K.; Takao, S.; Honda, H. Image Quality and Radiation Dose of Renal Perfusion CT with Low-Dose Contrast Agent: A Comparison with Conventional CT Using a 320-Row System. Clin. Radiol. 2019, 74, 650.e13–650.e18. [Google Scholar] [CrossRef]
- Liu, D.; Liu, J.; Wen, Z.; Li, Y.; Sun, Z.; Xu, Q.; Fan, Z.; De Rosa, S. 320-Row CT Renal Perfusion Imaging in Patients with Aortic Dissection: A Preliminary Study. PLoS ONE 2017, 12, e0171235. [Google Scholar] [CrossRef]
- Halimi, J.M.; Vernier, L.M.; Gueguen, J.; Goin, N.; Gatault, P.; Sautenet, B.; Barbet, C.; Longuet, H.; Roumy, J.; Buchler, M.; et al. End-diastolic velocity mediates the relationship between renal resistive index and the risk of death. J. Hypertens. 2023, 41, 27–34. [Google Scholar] [CrossRef] [PubMed]
- Osgood, M.J.; Hicks, C.W.; Abularrage, C.J.; Lum, Y.W.; Call, D.; Black, J.H., 3rd. Duplex Ultrasound Assessment and Outcomes of Renal Malperfusion Syndromes after Acute Aortic Dissection. Ann. Vasc. Surg. 2019, 57, 118–128. [Google Scholar] [CrossRef]
- Herrmann, S.M.S.; Saad, A.; Eirin, A.; Woollard, J.; Tang, H.; McKusick, M.A.; Misra, S.; Glockner, J.F.; Lerman, L.O.; Textor, S.C. Differences in GFR and Tissue Oxygenation, and Interactions between Stenotic and Contralateral Kidneys in Unilateral Atherosclerotic Renovascular Disease. Clin. J. Am. Soc. Nephrol. 2016, 11, 458–469. [Google Scholar] [CrossRef]






| Phase | Tube Voltage (keV) | Tube Current (mAs) | Detector Coverage (mm) | Helical Thickness (mm) | Pitch/Speed (mm/rot) | Rotation Time (s) | Total Exposure Time (s) | DLP (mGy-cm) |
|---|---|---|---|---|---|---|---|---|
| I (non contrast) | 120 | 170 | 40 | 5 | 1.375:1/55 | 0.6 | 2.12 | 105.94 |
| Contrast agent: 40 mL (flow 4 mL/s) + bolus 20 mL 0.9% NaCl | ||||||||
| II (contrast) | 100 | (50–200) | 40 | 5 | 1.375:1/55 | 0.4 | 42.6 | Projected series −8.62 mGy-cm |
| Mean | SD | Median | IQR | |
|---|---|---|---|---|
| Age (years) | 57.6 | 19.5 | 63.5 | 33.2 |
| BMI (kg/m2) | 26.5 | 4.2 | 26.3 | 6.5 |
| Kidney length (mm) | 107.4 | 12.4 | 108.4 | 13.0 |
| Creatinine (mg/dL) | 1.46 | 0.82 | 1.30 | 0.6 |
| eGFR (mL/min/1.73 m2) | 58.3 | 28.1 | 57.6 | 34.8 |
| Mean | SD | Median | IQR | |
|---|---|---|---|---|
| CBF-u | 268.3 | 139.4 | 236.7 | 131.6 |
| CBF-m | 247.9 | 98.6 | 237.1 | 157.8 |
| CBF-l | 256.4 | 102.0 | 249.7 | 171.9 |
| ACC (m/s2) | 7.22 | 2.58 | 6.90 | 2.90 |
| ACT (ms) | 36.2 | 8.22 | 37.9 | 11.8 |
| RI (ratio) | 0.701 | 0.115 | 0.721 | 0.169 |
| EDV (cm/s) | 13.6 | 5.6 | 12.2 | 9.7 |
| dRI (ratio) | 0.735 | 0.168 | 0.760 | 0.205 |
| dPI (ratio) | 1.433 | 0.582 | 1.430 | 0.930 |
| dRCP (cm/s) | 0.483 | 0.452 | 0.303 | 0.529 |
| Left (n = 13) | Right (n = 17) | Significance—p | |
|---|---|---|---|
| Kidney length (mm) | 108.8 ± 14.3 | 106.4 ± 11.1 | 0.341 |
| CBF-u (mL/100 g/min) | 265.3 ± 127.5 | 270.7 ± 150.4 | 0.934 * |
| CBF-m (mL/100 g/min) | 239.4 ± 99.5 | 254.4 ± 100.4 | 0.993 |
| CBF-l (mL/100 g/min) | 231.9 ± 94.5 | 275.2 ± 106.2 | 0.277 * |
| ACC (m/s2) | 6.78 ± 1.65 | 7.56 ± 3.12 | 0.773 * |
| ACT (ms) | 36.8 ± 8.8 | 35.7 ± 8.0 | 0.726 |
| RI (ratio) | 0.694 ± 0.121 | 0.707 ± 0.113 | 0.760 |
| EDV (cm/s) | 14.0 ± 5.3 | 13.2 ± 6.0 | 0.666 |
| dRI (ratio) | 0.741 ± 0.180 | 0.730 ± 0.165 | 0.730 |
| dPI (ratio) | 1.470 ± 0.592 | 1.410 ± 0.590 | 0.770 |
| dRCP (cm/s) | 0.539 ± 0.537 | 0.439 ± 0.387 | 0.680 * |
| Correlation Coefficient (n = 30) | Significance—p | |
|---|---|---|
| Age (years) | −0.541 * | 0.002 |
| BMI (kg/m2) | −0.108 | 0.584 |
| Kidney length (mm) | 0.240 | 0.218 |
| Creatinine (mg/dL) | −0.349 * | 0.058 |
| eGFR (mL/min/1.73 m2) | 0.606 | 0.001 |
| ACC (m/s2) | 0.104 * | 0.583 |
| ACT (ms) | 0.358 | 0.061 |
| RI (ratio) | −0.513 | 0.005 |
| EDV (cm/s) | 0.444 | 0.018 |
| dVmean (cm/s) | 0.515 | 0.004 |
| dRI (ratio) | −0.532 | 0.004 |
| dRCP (cm/s) | 0.581 * | <0.001 |
| Demographic and Kidney Function Model | Conventional Ultrasound Doppler Model | Dynamic Tissue Perfusion Measurement Model | Common Ultrasound Doppler Model | |
|---|---|---|---|---|
| Variables | Age | ACC | dVmean | RI |
| Creatinine | ACT | dRI | EDV | |
| eGFR | RI | dRCP | dRI | |
| BMI | EDV | dRCP | ||
| Result: | Age | RI | dRCP | dRCP |
| R2 | 0.317 | 0.290 | 0.320 | 0.317 |
| Significance—p | 0.001 | 0.003 | 0.001 | 0.001 |
Disclaimer/Publisher’s Note: The statements, opinions and data contained in all publications are solely those of the individual author(s) and contributor(s) and not of MDPI and/or the editor(s). MDPI and/or the editor(s) disclaim responsibility for any injury to people or property resulting from any ideas, methods, instructions or products referred to in the content. |
© 2023 by the authors. Licensee MDPI, Basel, Switzerland. This article is an open access article distributed under the terms and conditions of the Creative Commons Attribution (CC BY) license (https://creativecommons.org/licenses/by/4.0/).
Share and Cite
Lubas, A.; Zegadło, A.; Frankowska, E.; Klimkiewicz, J.; Jędrych, E.; Niemczyk, S. Ultrasound Doppler Flow Parameters Are Independently Associated with Renal Cortex Contrast-Enhanced Multidetector Computed Tomography Perfusion and Kidney Function. J. Clin. Med. 2023, 12, 2111. https://doi.org/10.3390/jcm12062111
Lubas A, Zegadło A, Frankowska E, Klimkiewicz J, Jędrych E, Niemczyk S. Ultrasound Doppler Flow Parameters Are Independently Associated with Renal Cortex Contrast-Enhanced Multidetector Computed Tomography Perfusion and Kidney Function. Journal of Clinical Medicine. 2023; 12(6):2111. https://doi.org/10.3390/jcm12062111
Chicago/Turabian StyleLubas, Arkadiusz, Arkadiusz Zegadło, Emilia Frankowska, Jakub Klimkiewicz, Ewelina Jędrych, and Stanisław Niemczyk. 2023. "Ultrasound Doppler Flow Parameters Are Independently Associated with Renal Cortex Contrast-Enhanced Multidetector Computed Tomography Perfusion and Kidney Function" Journal of Clinical Medicine 12, no. 6: 2111. https://doi.org/10.3390/jcm12062111
APA StyleLubas, A., Zegadło, A., Frankowska, E., Klimkiewicz, J., Jędrych, E., & Niemczyk, S. (2023). Ultrasound Doppler Flow Parameters Are Independently Associated with Renal Cortex Contrast-Enhanced Multidetector Computed Tomography Perfusion and Kidney Function. Journal of Clinical Medicine, 12(6), 2111. https://doi.org/10.3390/jcm12062111

