High Fat-to-Muscle Ratio Was Associated with Increased Clinical Severity in Patients with Abdominal Trauma
Abstract
1. Introduction
2. Materials and Methods
2.1. Study Design and Patients
2.2. Data Collection
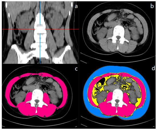
2.3. CT-Based Body Composition Assessment
2.4. Outcomes
2.5. Statistical Analysis
3. Results
4. Discussion
5. Conclusions
Supplementary Materials
Author Contributions
Funding
Institutional Review Board Statement
Informed Consent Statement
Data Availability Statement
Conflicts of Interest
References
- Lim, H.J.; Xue, H.; Wang, Y. Global trends in obesity. In Handbook of Eating and Drinking: Interdisciplinary Perspectives; Springer: Berlin/Heidelberg, Germany, 2020; pp. 1217–1235. [Google Scholar]
- Dixon, J.B. The effect of obesity on health outcomes. Mol. Cell. Endocrinol. 2010, 316, 104–108. [Google Scholar] [CrossRef] [PubMed]
- Sarma, S.; Sockalingam, S.; Dash, S. Obesity as a multisystem disease: Trends in obesity rates and obesity-related complications. Diabetes Obes. Metab. 2021, 23 (Suppl. 1), 3–16. [Google Scholar] [CrossRef]
- Karampela, I.; Chrysanthopoulou, E.; Christodoulatos, G.S.; Dalamaga, M. Is There an Obesity Paradox in Critical Illness? Epidemiologic and Metabolic Considerations. Curr. Obes. Rep. 2020, 9, 231–244. [Google Scholar] [CrossRef] [PubMed]
- Zhou, Q.; Wang, M.; Li, S.; Zhang, J.; Ma, Q.; Ding, Y.; Ge, H.; Shen, N.; Zheng, Y.; Sun, Y. Impact of body mass index on survival of medical patients with sepsis: A prospective cohort study in a university hospital in China. BMJ Open 2018, 8, e021979. [Google Scholar] [CrossRef]
- O’Brien, J.M., Jr.; Philips, G.S.; Ali, N.A.; Aberegg, S.K.; Marsh, C.B.; Lemeshow, S. The association between body mass index, processes of care, and outcomes from mechanical ventilation: A prospective cohort study. Crit. Care Med. 2012, 40, 1456–1463. [Google Scholar] [CrossRef] [PubMed]
- Bucholz, E.M.; Rathore, S.S.; Reid, K.J.; Jones, P.G.; Chan, P.S.; Rich, M.W.; Spertus, J.A.; Krumholz, H.M. Body mass index and mortality in acute myocardial infarction patients. Am. J. Med. 2012, 125, 796–803. [Google Scholar] [CrossRef] [PubMed]
- Farhat, A.; Grigorian, A.; Nguyen, N.T.; Smith, B.; Williams, B.J.; Schubl, S.D.; Joe, V.; Elfenbein, D.; Nahmias, J. Obese trauma patients have increased need for dialysis. Eur. J. Trauma Emerg. Surg. 2020, 46, 1327–1334. [Google Scholar] [CrossRef]
- Dvorak, J.E.; Lester, E.L.W.; Maluso, P.J.; Tatebe, L.; Schlanser, V.; Kaminsky, M.; Messer, T.; Dennis, A.J.; Starr, F.; Bokhari, F. The Obesity Paradox in the Trauma Patient: Normal May not Be Better. World J. Surg. 2020, 44, 1817–1823. [Google Scholar] [CrossRef]
- Cone, J.T.; Benjamin, E.R.; Alfson, D.B.; Biswas, S.; Demetriades, D. The effect of body mass index on outcomes following severe blunt chest trauma. Injury 2020, 51, 2076–2081. [Google Scholar] [CrossRef]
- Cone, J.T.; Benjamin, E.R.; Alfson, D.B.; Demetriades, D. Isolated severe blunt traumatic brain injury: Effect of obesity on outcomes. J. Neurosurg. 2020, 134, 1667–1674. [Google Scholar] [CrossRef] [PubMed]
- Wrba, L.; Halbgebauer, R.; Roos, J.; Huber-Lang, M.; Fischer-Posovszky, P. Adipose tissue: A neglected organ in the response to severe trauma? Cell Mol. Life Sci. 2022, 79, 207. [Google Scholar] [CrossRef]
- Johansen, K.L. Association of body composition with survival among patients on hemodialysis. Clin. J. Am. Soc. Nephrol. 2010, 5, 2144–2145. [Google Scholar] [CrossRef]
- Caan, B.J.; Cespedes Feliciano, E.M.; Kroenke, C.H. The Importance of Body Composition in Explaining the Overweight Paradox in Cancer-Counterpoint. Cancer Res. 2018, 78, 1906–1912. [Google Scholar] [CrossRef] [PubMed]
- Donini, L.M.; Pinto, A.; Giusti, A.M.; Lenzi, A.; Poggiogalle, E. Obesity or BMI Paradox? Beneath the Tip of the Iceberg. Front. Nutr. 2020, 7, 53. [Google Scholar] [CrossRef]
- Xia, W.; Barazanchi, A.W.H.; MacFater, W.S.; Hill, A.G. The impact of computed tomography-assessed sarcopenia on outcomes for trauma patients—A systematic review and meta-analysis. Injury 2019, 50, 1565–1576. [Google Scholar] [CrossRef]
- Shashaty, M.G.; Kalkan, E.; Bellamy, S.L.; Reilly, J.P.; Holena, D.N.; Cummins, K.; Lanken, P.N.; Feldman, H.I.; Reilly, M.P.; Udupa, J.K.; et al. Computed tomography-defined abdominal adiposity is associated with acute kidney injury in critically ill trauma patients*. Crit. Care Med. 2014, 42, 1619–1628. [Google Scholar] [CrossRef] [PubMed]
- Lee, H.S.; Kim, S.G.; Kim, J.K.; Lee, Y.K.; Noh, J.W.; Oh, J.; Kim, H.J.; Song, Y.R. Fat-to-Lean Mass Ratio Can Predict Cardiac Events and All-Cause Mortality in Patients Undergoing Hemodialysis. Ann. Nutr. Metab. 2018, 73, 241–249. [Google Scholar] [CrossRef] [PubMed]
- Kim, T.N.; Park, M.S.; Lim, K.I.; Yang, S.J.; Yoo, H.J.; Kang, H.J.; Song, W.; Seo, J.A.; Kim, S.G.; Kim, N.H.; et al. Skeletal muscle mass to visceral fat area ratio is associated with metabolic syndrome and arterial stiffness: The Korean Sarcopenic Obesity Study (KSOS). Diabetes Res. Clin. Pract. 2011, 93, 285–291. [Google Scholar] [CrossRef] [PubMed]
- Von Elm, E.; Altman, D.G.; Egger, M.; Pocock, S.J.; Gøtzsche, P.C.; Vandenbroucke, J.P. The Strengthening the Reporting of Observational Studies in Epidemiology (STROBE) statement: Guidelines for reporting observational studies. Lancet 2007, 370, 1453–1457. [Google Scholar] [CrossRef]
- Cirocchi, R.; Boselli, C.; Renzi, C.; Corsi, A.; Cagini, L.; Boccolini, A.; Noya, G.; Fingerhut, A. The surface landmarks of the abdominal wall: A plea for standardization. Arch. Med. Sci. 2014, 10, 566–569. [Google Scholar] [CrossRef]
- Zhou, B.F. Predictive values of body mass index and waist circumference for risk factors of certain related diseases in Chinese adults—Study on optimal cut-off points of body mass index and waist circumference in Chinese adults. Biomed. Environ. Sci. 2002, 15, 83–96. [Google Scholar] [PubMed]
- Kraus, M.S.; Selo, N.; Kiefer, L.S.; Esser, M.; Albtoush, O.M.; Weiss, J.; Wichmann, J.L.; Bamberg, F.; Othman, A.E. Advanced Virtual Monoenergetic Imaging: Improvement of Visualization and Differentiation of Intramuscular Lesions in Portal-Venous-phase Contrast-enhanced Dual-energy CT. Acad. Radiol. 2019, 26, 1457–1465. [Google Scholar] [CrossRef] [PubMed]
- Xi, F.; Tan, S.; Gao, T.; Ding, W.; Sun, J.; Wei, C.; Li, W.; Yu, W. Low skeletal muscle mass predicts poor clinical outcomes in patients with abdominal trauma. Nutrition 2021, 89, 111229. [Google Scholar] [CrossRef] [PubMed]
- Borggreve, A.S.; den Boer, R.B.; van Boxel, G.I.; de Jong, P.A.; Veldhuis, W.B.; Steenhagen, E.; van Hillegersberg, R.; Ruurda, J.P. The Predictive Value of Low Muscle Mass as Measured on CT Scans for Postoperative Complications and Mortality in Gastric Cancer Patients: A Systematic Review and Meta-Analysis. J. Clin. Med. 2020, 9, 199. [Google Scholar] [CrossRef]
- Kong, M.; Xu, M.; Zhou, Y.; Geng, N.; Lin, N.; Song, W.; Li, S.; Piao, Y.; Han, Z.; Guo, R.; et al. Assessing Visceral Obesity and Abdominal Adipose Tissue Distribution in Healthy Populations Based on Computed Tomography: A Large Multicenter Cross-Sectional Study. Front. Nutr. 2022, 9, 871697. [Google Scholar] [CrossRef]
- Seo, Y.G.; Song, H.J.; Song, Y.R. Fat-to-muscle ratio as a predictor of insulin resistance and metabolic syndrome in Korean adults. J. Cachexia Sarcopenia Muscle 2020, 11, 710–725. [Google Scholar] [CrossRef]
- Chen, Z.; Wittenberg, S.; Auer, T.A.; Bashkuev, M.; Gebert, P.; Fehrenbach, U.; Geisel, D.; Graef, F.; Maerdian, S.; Tsitsilonis, S. The Effect of Fat Distribution on the Inflammatory Response of Multiple Trauma Patients-A Retrospective Study. Life 2021, 11, 1243. [Google Scholar] [CrossRef] [PubMed]
- Yoon, S.B.; Choi, M.H.; Song, M.; Lee, J.H.; Lee, I.S.; Lee, M.A.; Hong, T.H.; Jung, E.S.; Choi, M.G. Impact of preoperative body compositions on survival following resection of biliary tract cancer. J. Cachexia Sarcopenia Muscle 2019, 10, 794–802. [Google Scholar] [CrossRef]
- Maia, L.A.; Cruz, F.F.; de Oliveira, M.V.; Samary, C.S.; Fernandes, M.V.S.; Trivelin, S.A.A.; Rocha, N.N.; Gama de Abreu, M.; Pelosi, P.; Silva, P.L.; et al. Effects of Obesity on Pulmonary Inflammation and Remodeling in Experimental Moderate Acute Lung Injury. Front. Immunol. 2019, 10, 1215. [Google Scholar] [CrossRef]
- Kordonowy, L.L.; Burg, E.; Lenox, C.C.; Gauthier, L.M.; Petty, J.M.; Antkowiak, M.; Palvinskaya, T.; Ubags, N.; Rincón, M.; Dixon, A.E.; et al. Obesity is associated with neutrophil dysfunction and attenuation of murine acute lung injury. Am. J. Respir. Cell. Mol. Biol. 2012, 47, 120–127. [Google Scholar] [CrossRef]
- Marques, M.B.; Langouche, L. Endocrine, metabolic, and morphologic alterations of adipose tissue during critical illness. Crit. Care Med. 2013, 41, 317–325. [Google Scholar] [CrossRef]
- Zhen, Y.; Ye, X.; Wang, L. Development of Nursing Rounds Checklist for Patients with Severe Abdominal Trauma. J. Nurs. 2021, 28, 15–19. [Google Scholar] [CrossRef]
- Gonzalez, M.C.; Pastore, C.A.; Orlandi, S.P.; Heymsfield, S.B. Obesity paradox in cancer: New insights provided by body composition. Am. J. Clin. Nutr. 2014, 99, 999–1005. [Google Scholar] [CrossRef]
- Tsujimoto, T.; Kajio, H. Abdominal Obesity Is Associated With an Increased Risk of All-Cause Mortality in Patients With HFpEF. J. Am. Coll. Cardiol. 2017, 70, 2739–2749. [Google Scholar] [CrossRef]
- Cheng, X.; Zhang, Y.; Wang, C.; Deng, W.; Wang, L.; Duanmu, Y.; Li, K.; Yan, D.; Xu, L.; Wu, C.; et al. The optimal anatomic site for a single slice to estimate the total volume of visceral adipose tissue by using the quantitative computed tomography (QCT) in Chinese population. Eur. J. Clin. Nutr. 2018, 72, 1567–1575. [Google Scholar] [CrossRef]
- Moisey, L.L.; Mourtzakis, M.; Cotton, B.A.; Premji, T.; Heyland, D.K.; Wade, C.E.; Bulger, E.; Kozar, R.A. Skeletal muscle predicts ventilator-free days, ICU-free days, and mortality in elderly ICU patients. Crit. Care 2013, 17, R206. [Google Scholar] [CrossRef]
- Poros, B.; Irlbeck, T.; Probst, P.; Volkmann, A.; Paprottka, P.; Bocker, W.; Irlbeck, M.; Weig, T. Impact of pathologic body composition assessed by CT-based anthropometric measurements in adult patients with multiple trauma: A retrospective analysis. Eur. J. Trauma Emerg. Surg. 2021, 47, 1089–1103. [Google Scholar] [CrossRef]
- McCusker, A.; Khan, M.; Kulvatunyou, N.; Zeeshan, M.; Sakran, J.V.; Hayek, H.; O’Keeffe, T.; Hamidi, M.; Tang, A.; Joseph, B. Sarcopenia defined by a computed tomography estimate of the psoas muscle area does not predict frailty in geriatric trauma patients. Am. J. Surg. 2019, 218, 261–265. [Google Scholar] [CrossRef]
- Docimo, S., Jr.; Lamparello, B.; Cohen, M.F.; Kopatsis, A.; Vinces, F. Utilizing quantitative measures of visceral adiposity in evaluating trauma patient outcomes. Int. J. Surg. 2015, 21, 51–56. [Google Scholar] [CrossRef]
- Collier, B.; Dossett, L.; Shipman, J.; Day, M.; Lawson, G.; Sawyer, R.; May, A. Visceral adiposity is not associated with inflammatory markers in trauma patients. J. Trauma 2010, 68, 57–61. [Google Scholar] [CrossRef]





| Characteristics | Overall (n = 328) | Underweight (n = 13) | Normal (n = 233) | Overweight (n = 60) | Obese (n = 22) | p Value | Low FTI/SMI (n = 164) | High FTI/SMI (n = 164) | p Value |
|---|---|---|---|---|---|---|---|---|---|
| Demographics | |||||||||
| Age, y | 43 (31, 53) | 32 (25, 60) | 43 (29, 53) | 47 (38, 51) | 40 (32, 46) | 0.259 | 40 (27, 51) | 46 (36, 54) | 0.001 * |
| Male | 266 (81.1) | 11 (84.6) | 188 (80.7) | 47 (78.3) | 20 (90.9) | 0.675 | 31 (18.9) | 31 (18.9) | 1.000 |
| Smoking history | 102 (31.1) | 6 (46.2) | 66 (28.3) | 23 (38.3) | 7 (31.8) | 0.298 | 50 (30.5) | 52 (31.7) | 0.811 |
| Alcohol consumption | 91 (27.7) | 4 (30.8) | 56 (24.0) | 21 (35.0) | 12 (54.5) | 0.083 | 36 (22.0) | 55 (33.5) | 0.019 * |
| Diabetes | 23 (7.0) | 0 (0) | 18 (7.7) | 4 (6.7) | 1 (4.5) | 0.971 | 6 (3.7) | 17 (10.4) | 0.017 * |
| Hypertension | 61 (18.6) | 2 (15.4) | 43 (18.5) | 12 (20.0) | 4 (18.2) | 0.991 | 23 (14.0) | 38 (23.2) | 0.033 * |
| Body composition | |||||||||
| BMI, kg/m2 | 22.2 (20.8, 24.0) | 17.6 (17.3, 18.0) | 21.6 (20.6, 22.6) | 25.1 (25.0, 26.0) | 29.4 (28.7, 30.9) | <0.001 * | 21.7 (20.3, 23.0) | 22.9 (21.3, 25.0) | <0.001 * |
| FTI/SMI | 1.5 (0.9, 2.0) | 0.7 (0.4, 1.0) | 1.4 (0.8, 2.0) | 1.6 (1.0, 2.1) | 2.1 (1.8, 2.7) | <0.001 * | 0.9 (0.5, 1.2) | 2.0 (1.7, 2.4) | <0.001 * |
| VATI/SMI | 0.8 (0.4, 1.1) | 0.4 (0.2, 0.6) | 0.7 (0.4, 1.1) | 0.9 (0.5, 1.2) | 1.3 (1.0, 1.5) | <0.001 * | 0.4 (0.3, 0.6) | 1.1 (1.0, 1.4) | <0.001 * |
| SATI/SMI | 0.6 (0.4, 0.9) | 0.3 (0.2, 0.4) | 0.6 (0.4, 0.9) | 0.7 (0.5, 0.9) | 0.9 (0.7, 1.3) | <0.001 * | 0.4 (0.2, 0.6) | 0.8 (0.7, 1.1) | <0.001 * |
| Clinical parameters | |||||||||
| GCS < 9 | 46 (14.0) | 1 (7.7) | 29 (12.4) | 9 (15.0) | 7 (31.8) | 0.109 | 19 (11.6) | 27 (16.5) | 0.203 |
| SBP < 90 mmHg | 16 (4.9) | 1 (7.7) | 10 (4.3) | 4 (6.7) | 1 (4.5) | 0.577 | 6 (3.7) | 10 (6.1) | 0.305 |
| HR > 120 beats/min | 32 (9.8) | 0 (0) | 27 (11.6) | 4 (6.7) | 1 (4.5) | 0.473 | 14 (8.5) | 18 (11.0) | 0.457 |
| RR > 20 beats/min | 63 (19.2) | 1 (7.7) | 47 (20.2) | 11 (18.3) | 4 (18.2) | 0.818 | 28 (17.1) | 35 (21.3) | 0.327 |
| Blunt trauma | 301 (91.8) | 13 (100.0) | 212 (91.0) | 56 (93.3) | 20 (90.9) | 0.832 | 154 (93.9) | 147 (89.6) | 0.160 |
| ISS ≥ 16 | 241 (73.5) | 8 (61.5) | 161 (69.1) | 53 (88.3) | 19 (86.4) | 0.008 * | 111 (67.7) | 130 (79.3) | 0.017 * |
| AIS score head ≥ 3 | 54 (16.5) | 3 (23.1) | 34 (14.6) | 13 (21.7) | 4 (18.2) | 0.458 | 25 (15.2) | 29 (17.7) | 0.551 |
| AIS score thorax ≥ 3 | 144 (43.9) | 5 (38.5) | 97 (41.6) | 31 (51.7) | 11 (50.0) | 0.485 | 61 (37.2) | 83 (50.6) | 0.014 * |
| AIS score abdomen ≥ 3 | 243 (74.1) | 9 (69.2) | 164 (70.4) | 49 (81.7) | 21 (95.5) | 0.031 * | 116 (70.7) | 127 (77.4) | 0.166 |
| AIS score extremities ≥ 3 | 56 (17.1) | 0 (0) | 36 (15.5) | 15 (25.0) | 5 (22.7) | 0.090 | 21 (12.8) | 35 (21.3) | 0.040 * |
| Laparotomy | 161 (49.1) | 5 (38.5) | 110 (47.2) | 35 (58.3) | 11 (50.0) | 0.395 | 75 (45.7) | 86 (52.4) | 0.224 |
| Outcomes | |||||||||
| 28-day mortality | 21 (6.4) | 0 (0) | 10 (4.3) | 8 (13.3) | 3 (13.6) | 0.025 * | 5 (3.0) | 16 (9.8) | 0.013 * |
| Mechanical ventilation | 101 (30.8) | 4 (30.8) | 65 (27.9) | 21 (35.0) | 11 (50.0) | 0.156 | 40 (24.4) | 61 (37.2) | 0.012 * |
| ICU length of stay, d | 5 (2, 10) | 7 (3, 13) | 4 (1, 10) | 6 (2, 10) | 6 (4, 32) | 0.030 * | 4 (1, 8) | 6 (2, 13) | 0.009 * |
| Hospital length of stay, d | 14 (9, 23) | 13 (9, 17) | 14 (9, 22) | 14 (9, 23) | 20 (13, 34) | 0.185 | 13 (9, 21) | 15 (10, 24) | 0.135 |
| Body Composition | Unadjusted | Model 1 | Model 2 | |||
|---|---|---|---|---|---|---|
| OR (95% CI) | p Value | OR (95% CI) | p Value | OR (95% CI) | p Value | |
| 28-day mortality | ||||||
| BMI (Overweight vs. Normal weight) | 3.43 (1.25–9.12) | 0.013 * | 3.43 (1.24–9.26) | 0.015 * | 4.47 (1.40–14.97) | 0.012 * |
| BMI (Obese vs. Normal weight) | 3.52 (0.74–12.71) | 0.072 | 4.04 (0.83–15.20) | 0.051 | 6.56 (1.07–36.57) | 0.032 * |
| FTI/SMI a (H vs. L) | 3.44 (1.31–10.72) | 0.019 * | 3.15 (1.19–9.87) | 0.030 * | 3.06 (1.08–10.16) | 0.046 * |
| VATI/SMI b (H vs. L) | 2.09 (0.85–5.66) | 0.121 | 1.81 (0.72–4.95) | 0.221 | 1.64 (0.60–4.84) | 0.346 |
| SATI/SMI c (H vs. L) | 3.44 (1.31–10.72) | 0.019 * | 3.31 (1.26–10.38) | 0.023 * | 3.33 (1.16–11.13) | 0.034 * |
| Mechanical ventilation | ||||||
| BMI (Overweight vs. Normal weight) | 1.39 (0.75–2.52) | 0.283 | 1.36 (0.73–2.48) | 0.328 | 1.14 (0.53–2.40) | 0.740 |
| BMI (Obese vs. Normal weight) | 2.58 (1.06–6.32) | 0.035 * | 2.70 (1.09–6.68) | 0.030 * | 1.85 (0.54–6.20) | 0.318 |
| FTI/SMI a (H vs. L) | 1.84 (1.14–2.97) | 0.012 * | 1.71 (1.06–2.80) | 0.030 * | 1.46 (0.79–2.73) | 0.227 |
| VATI/SMI b (H vs. L) | 2.48 (1.53–4.07) | <0.001 * | 2.27 (1.39–3.78) | 0.001 * | 1.99 (1.05–3.82) | 0.037 * |
| SATI/SMI c (H vs. L) | 1.45 (0.91–2.34) | 0.075 | 1.40 (0.87–2.27) | 0.165 | 1.27 (0.69–2.35) | 0.441 |
| ICU length of stay ≥ 5 d | ||||||
| BMI (Overweight vs. Normal weight) | 1.68 (0.95–3.02) | 0.079 | 1.69 (0.95–3.05) | 0.079 | 1.46 (0.77–2.79) | 0.247 |
| BMI (Obese vs. Normal weight) | 2.40 (0.97–6.47) | 0.066 | 2.31 (0.93–6.26) | 0.081 | 2.13 (0.76–6.35) | 0.156 |
| FTI/SMI a (H vs. L) | 1.80 (1.17–2.80) | 0.008 * | 1.80 (1.15–2.82) | 0.010 * | 1.75 (1.06–2.91) | 0.031 * |
| VATI/SMI b (H vs. L) | 1.63 (1.06–2.53) | 0.028 * | 1.63 (1.04–2.57) | 0.035 * | 1.39 (0.83–2.33) | 0.215 |
| SATI/SMI c (H vs. L) | 1.34 (0.87–2.07) | 0.185 | 1.33 (0.86–2.07) | 0.201 | 1.28 (0.79–2.10) | 0.321 |
Disclaimer/Publisher’s Note: The statements, opinions and data contained in all publications are solely those of the individual author(s) and contributor(s) and not of MDPI and/or the editor(s). MDPI and/or the editor(s) disclaim responsibility for any injury to people or property resulting from any ideas, methods, instructions or products referred to in the content. |
© 2023 by the authors. Licensee MDPI, Basel, Switzerland. This article is an open access article distributed under the terms and conditions of the Creative Commons Attribution (CC BY) license (https://creativecommons.org/licenses/by/4.0/).
Share and Cite
Li, J.; Xi, F.; He, Y.; Sun, C.; Yu, W.; Wang, X. High Fat-to-Muscle Ratio Was Associated with Increased Clinical Severity in Patients with Abdominal Trauma. J. Clin. Med. 2023, 12, 1503. https://doi.org/10.3390/jcm12041503
Li J, Xi F, He Y, Sun C, Yu W, Wang X. High Fat-to-Muscle Ratio Was Associated with Increased Clinical Severity in Patients with Abdominal Trauma. Journal of Clinical Medicine. 2023; 12(4):1503. https://doi.org/10.3390/jcm12041503
Chicago/Turabian StyleLi, Jiang, Fengchan Xi, Yuanchen He, Chuanrui Sun, Wenkui Yu, and Xiling Wang. 2023. "High Fat-to-Muscle Ratio Was Associated with Increased Clinical Severity in Patients with Abdominal Trauma" Journal of Clinical Medicine 12, no. 4: 1503. https://doi.org/10.3390/jcm12041503
APA StyleLi, J., Xi, F., He, Y., Sun, C., Yu, W., & Wang, X. (2023). High Fat-to-Muscle Ratio Was Associated with Increased Clinical Severity in Patients with Abdominal Trauma. Journal of Clinical Medicine, 12(4), 1503. https://doi.org/10.3390/jcm12041503

