When Atrial Fibrillation Meets Cerebral Amyloid Angiopathy: Current Evidence and Strategies
Abstract
1. Introduction
1.1. Cerebral Amyloid Angiopathy
1.2. Epidemiology of CAA
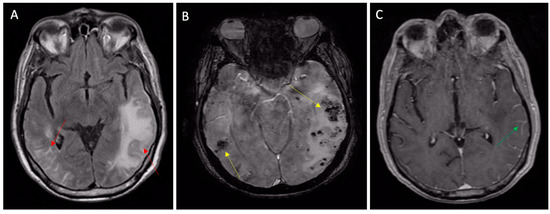
2. CAA Clinical Presentation
2.1. CAA Is Generally Asymptomatic for Several Years
2.2. Treatment/Management
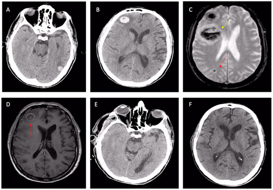
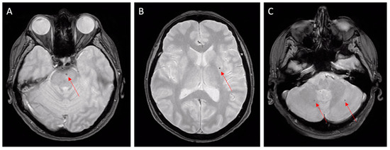
2.3. Diagnosis of CAA
2.4. Differential Diagnosis (Table 3)
| Clinical Condition | Main Radiological Characteristics |
|---|---|
| Hypertensive microangiopathy | Hemorrhages are typically located in the basal ganglia, in the bridge, and in the cerebellum; they are not associated with subarachnoid hemorrhage or superficial siderosis. |
| Infective endocarditis | Combination of acute SAH, cSS, CMBs, cortical/sub cortical hematomas, cortical/subcortical abscess, small pial enhancement on post-contrast imaging, ischemic stroke, or focal stenosis on vascular exploration. Note that radiological features can rapidly change under antibiotics. |
| Heart surgery/left-ventricle assist devices | Combination of acute SAH, cSS, parenchymal hematomas, CMBs, cerebral atrophy, or white matter leucopathy. |
| Multiple cavernomatosis | The lesions have a random distribution and size, although the classic cavernous malformations are not distinguishable from CAA-related brain microhemorrhages. Often, the lesions have the typical “popcorn” appearance. |
| Hemorrhagic metastases | Lesions have a variable size and can often be larger than micro-hemorrhages. They present contrast media enhancement. |
| Widespread axonal damage | Lesions are typically located at the junction of the gray-white substance, in the corpus callosum and, in the most serious cases, in the brain stem. |
| Neurocysticercosis | Calcific nodular component visible on CT or MRI in susceptibility-weighted images, random distribution. |
| Fat embolism syndrome | It has a typical “starfield” presentation. Lesions also show limited diffusion in diffusion MRI sequences. |
| Radiation-induced vasculopathy | Microemorrhagic foci have a very similar appearance to CAA, but with a distribution limited to the treated area. |
2.5. Implications of a Missed Diagnosis
3. Managing Atrial Fibrillation in CAA Patients
3.1. AF, CAA, and Anticoagulants
3.2. Left-Atrial Appendage Percutaneous Occlusion
3.3. Catheter Ablation of Atrial Fibrillation
4. Conclusions
Funding
Conflicts of Interest
References
- Miyasaka, Y.; Barnes, M.E.; Gersh, B.J.; Cha, S.S.; Bailey, K.R.; Abhayaratna, W.P.; Seward, J.B.; Tsang, T.S. Secular trends in incidence of atrial fibrillation in Olmsted County, Minnesota, 1980 to 2000, and implications on the projections for future prevalence. Circulation 2006, 114, 119–125. [Google Scholar] [CrossRef] [PubMed]
- Heeringa, J.; van der Kuip, D.A.; Hofman, A.; Kors, J.A.; van Herpen, G.; Stricker, B.H.; Stijnen, T.; Lip, G.Y.; Witteman, J.C. Prevalence, incidence and lifetime risk of atrial fibrillation: The Rotterdam study. Eur. Heart J. 2006, 27, 949–953. [Google Scholar] [CrossRef] [PubMed]
- Hindricks, G.; Potpara, T.; Dagres, N.; Arbelo, E.; Bax, J.J.; Blomström-Lundqvist, C.; Boriani, G.; Castella, M.; Dan, G.-A.; Dilaveris, P.E.; et al. 2020 ESC Guidelines for the diagnosis and management of atrial fibrillation developed in collaboration with the European Association of Cardio-Thoracic Surgery (EACTS): The Task Force for the diagnosis and management of atrial fibrillation of the European Society of Cardiology (ESC) Developed with the special contribution of the European Heart Rhythm Association (EHRA) of the ESC. Eur. Heart J. 2021, 42, 373–498. [Google Scholar] [CrossRef] [PubMed]
- Hart, R.G.; Pearce, L.A.; Aguilar, M.I. Meta-analysis: Antithrombotic therapy to prevent stroke in patients who have nonvalvular atrial fibrillation. Ann. Intern. Med. 2007, 146, 857–867. [Google Scholar] [CrossRef] [PubMed]
- Connolly, S.J.; Ezekowitz, M.D.; Yusuf, S.; Eikelboom, J.; Oldgren, J.; Parekh, A.; Pogue, J.; Reilly, P.A.; Themeles, E.; Varrone, J.; et al. Dabigatran versus Warfarin in Patients with Atrial Fibrillation. N. Engl. J. Med. 2009, 361, 1139–1151. [Google Scholar] [CrossRef]
- Patel, M.R.; Mahaffey, K.W.; Garg, J.; Pan, G.; Singer, D.E.; Hacke, W.; Breithardt, G.; Halperin, J.L.; Hankey, G.J.; Piccini, J.P.; et al. Rivaroxaban versus warfarin in nonvalvular atrial fibrillation. N. Engl. J. Med. 2011, 365, 883–891. [Google Scholar] [CrossRef] [PubMed]
- Granger, C.B.; Alexander, J.H.; McMurray, J.J.; Lopes, R.D.; Hylek, E.M.; Hanna, M.; Al-Khalidi, H.R.; Ansell, J.; Atar, D.; Avezum, A.; et al. Apixaban versus warfarin in patients with atrial fibrillation. N. Engl. J. Med. 2011, 365, 981–992. [Google Scholar] [CrossRef]
- Giugliano, R.P.; Ruff, C.T.; Braunwald, E.; Murphy, S.A.; Wiviott, S.D.; Halperin, J.L.; Waldo, A.L.; Ezekowitz, M.D.; Weitz, J.I.; Spinar, J.; et al. Edoxaban versus warfarin in patients with atrial fibrillation. N. Engl. J. Med. 2013, 369, 2093–2104. [Google Scholar] [CrossRef]
- Sheth, K.N. Spontaneous Intracerebral Hemorrhage. N. Engl. J. Med. 2022, 387, 1589–1596. [Google Scholar] [CrossRef]
- Banerjee, G.; Carare, R.; Cordonnier, C.; Greenberg, S.M.; Schneider, J.A.; Smith, E.E.; Buchem, M.v.; Grond, J.v.d.; Verbeek, M.M.; Werring, D.J. The increasing impact of cerebral amyloid angiopathy: Essential new insights for clinical practice. J. Neurol. Neurosurg. Psychiatry 2017, 88, 982–994. [Google Scholar] [CrossRef]
- Yamada, M. Cerebral amyloid angiopathy: An overview. Neuropathology 2000, 20, 8–22. [Google Scholar] [CrossRef] [PubMed]
- Charidimou, A.; Gang, Q.; Werring, D.J. Sporadic cerebral amyloid angiopathy revisited: Recent insights into pathophysiology and clinical spectrum. J. Neurol. Neurosurg. Psychiatry 2012, 83, 124–137. [Google Scholar] [CrossRef] [PubMed]
- Keable, A.; Fenna, K.; Yuen, H.M.; Johnston, D.A.; Smyth, N.R.; Smith, C.; Al-Shahi Salman, R.; Samarasekera, N.; Nicoll, J.A.; Attems, J.; et al. Deposition of amyloid beta in the walls of human leptomeningeal arteries in relation to perivascular drainage pathways in cerebral amyloid angiopathy. Biochim. Biophys. Acta 2016, 1862, 1037–1046. [Google Scholar] [CrossRef]
- Caulo, M.; Tampieri, D.; Brassard, R.; Christine Guiot, M.; Melanson, D. Cerebral amyloid angiopathy presenting as nonhemorrhagic diffuse encephalopathy: Neuropathologic and neuroradiologic manifestations in one case. AJNR Am. J. Neuroradiol. 2001, 22, 1072–1076. [Google Scholar]
- Ronsin, S.; Deiana, G.; Geraldo, A.F.; Durand-Dubief, F.; Thomas-Maisonneuve, L.; Formaglio, M.; Desestret, V.; Meyronet, D.; Nighoghossian, N.; Berthezene, Y.; et al. Pseudotumoral presentation of cerebral amyloid angiopathy-related inflammation. Neurology 2016, 86, 912–919. [Google Scholar] [CrossRef] [PubMed]
- Yamada, M. Cerebral amyloid angiopathy: Emerging concepts. J. Stroke 2015, 17, 17–30. [Google Scholar] [CrossRef]
- Walker, D.A.; Broderick, D.F.; Kotsenas, A.L.; Rubino, F.A. Routine use of gradient-echo MRI to screen for cerebral amyloid angiopathy in elderly patients. Am. J. Roentgenol. 2004, 182, 1547–1550. [Google Scholar] [CrossRef]
- Jäkel, L.; De Kort, A.M.; Klijn, C.J.M.; Schreuder, F.; Verbeek, M.M. Prevalence of cerebral amyloid angiopathy: A systematic review and meta-analysis. Alzheimer’s Dement. 2022, 18, 10–28. [Google Scholar] [CrossRef]
- Miller-Thomas, M.M.; Sipe, A.L.; Benzinger, T.L.; McConathy, J.; Connolly, S.; Schwetye, K.E. Multimodality Review of Amyloid-related Diseases of the Central Nervous System. Radiographics 2016, 36, 1147–1163. [Google Scholar] [CrossRef]
- Biffi, A.; Greenberg, S.M. Cerebral amyloid angiopathy: A systematic review. J. Clin. Neurol. 2011, 7, 1–9. [Google Scholar] [CrossRef]
- Yamada, M.; Naiki, H. Cerebral amyloid angiopathy. Prog. Mol. Biol. Transl. Sci. 2012, 107, 41–78. [Google Scholar] [CrossRef] [PubMed]
- Banerjee, G.; Collinge, J.; Fox, N.C.; Lashley, T.; Mead, S.; Schott, J.M.; Werring, D.J.; Ryan, N.S. Clinical considerations in early-onset cerebral amyloid angiopathy. Brain 2023, 146, 3991–4014. [Google Scholar] [CrossRef]
- Vonsattel, J.P.; Myers, R.H.; Hedley-Whyte, E.T.; Ropper, A.H.; Bird, E.D.; Richardson, E.P., Jr. Cerebral amyloid angiopathy without and with cerebral hemorrhages: A comparative histological study. Ann. Neurol. 1991, 30, 637–649. [Google Scholar] [CrossRef] [PubMed]
- Caetano, A.; Pinto, M.; Calado, S.; Viana-Baptista, M. Amyloid spells and high blood pressure: Imminent danger? Case Rep. Neurol. 2015, 7, 39–43. [Google Scholar] [CrossRef] [PubMed]
- Xu, X.; Xu, H.; Zhang, Z. Cerebral amyloid angiopathy-related cardiac injury: Focus on cardiac cell death. Front. Cell Dev. Biol. 2023, 11, 1156970. [Google Scholar] [CrossRef]
- Itoh, Y.; Yamada, M.; Hayakawa, M.; Otomo, E.; Miyatake, T. Cerebral amyloid angiopathy: A significant cause of cerebellar as well as lobar cerebral hemorrhage in the elderly. J. Neurol. Sci. 1993, 116, 135–141. [Google Scholar] [CrossRef]
- Samarasekera, N.; Smith, C.; Al-Shahi Salman, R. The association between cerebral amyloid angiopathy and intracerebral haemorrhage: Systematic review and meta-analysis. J. Neurol. Neurosurg. Psychiatry 2012, 83, 275–281. [Google Scholar] [CrossRef]
- Sharma, R.; Dearaugo, S.; Infeld, B.; O’Sullivan, R.; Gerraty, R.P. Cerebral amyloid angiopathy: Review of clinico-radiological features and mimics. J. Med. Imaging Radiat. Oncol. 2018, 62, 451–463. [Google Scholar] [CrossRef]
- Banerjee, G.; Wilson, D.; Ambler, G.; Osei-Bonsu Appiah, K.; Shakeshaft, C.; Lunawat, S.; Cohen, H.; Yousry, T.D.; Lip, G.Y.H.; Muir, K.W.; et al. Cognitive Impairment before Intracerebral Hemorrhage Is Associated with Cerebral Amyloid Angiopathy. Stroke 2018, 49, 40–45. [Google Scholar] [CrossRef]
- Mendonca, M.D.; Caetano, A.; Pinto, M.; Cruz e Silva, V.; Viana-Baptista, M. Stroke-Like Episodes Heralding a Reversible Encephalopathy: Microbleeds as the Key to the Diagnosis of Cerebral Amyloid Angiopathy–Related Inflammation—A Case Report and Literature Review. J. Stroke Cerebrovasc. Dis. 2015, 24, e245–e250. [Google Scholar] [CrossRef]
- Charidimou, A.; Baron, J.C.; Werring, D.J. Transient focal neurological episodes, cerebral amyloid angiopathy, and intracerebral hemorrhage risk: Looking beyond TIAs. Int. J. Stroke 2013, 8, 105–108. [Google Scholar] [CrossRef]
- Autieri, V.; Gaillard, N.; Mourand, I.; Laurent-Chabalier, S.; Mura, T.; Trandafir, C.; Wacongne, A.; de Champfleur, N.M.; Thouvenot, E.; Pereira, F.; et al. Primary acute convexity subarachnoid hemorrhage in older patients: Analysis of baseline, clinical and MRI characteristics including quantitative surface study and topographical probabilistic mapping of convexity subarachnoid hemorrhage. Acta Neurol. Belg. 2023, 123, 519–527. [Google Scholar] [CrossRef] [PubMed]
- Linn, J. Central sulcus focal subarachnoid hemorrhage in the elderly: Cerebral amyloid angiopathy is the most frequent cause. AJNR Am. J. Neuroradiol. 2011, 32, E161, Replied on AJNR. Am. J. Neuroradiol. 2011, 32, E162. [Google Scholar] [CrossRef] [PubMed]
- Vales-Montero, M.; García-Pastor, A.; Iglesias-Mohedano, A.M.; Esteban-de Antonio, E.; Salgado-Cámara, P.; García-Domínguez, J.M.; Vázquez-Alén, P.; Díaz-Otero, F.; Fernández-Bullido, Y.; Gil-Núñez, A. Cerebral amyloid angiopathy-related transient focal neurological episodes: A transient ischemic attack mimic with an increased risk of intracranial hemorrhage. J. Neurol. Sci. 2019, 406, 116452. [Google Scholar] [CrossRef] [PubMed]
- Charidimou, A.; Peeters, A.; Fox, Z.; Gregoire, S.M.; Vandermeeren, Y.; Laloux, P.; Jäger, H.R.; Baron, J.C.; Werring, D.J. Spectrum of transient focal neurological episodes in cerebral amyloid angiopathy: Multicentre magnetic resonance imaging cohort study and meta-analysis. Stroke 2012, 43, 2324–2330. [Google Scholar] [CrossRef] [PubMed]
- Malhotra, K.; Theodorou, A.; Katsanos, A.H.; Zompola, C.; Shoamanesh, A.; Boviatsis, E.; Paraskevas, G.P.; Spilioti, M.; Cordonnier, C.; Werring, D.J.; et al. Prevalence of Clinical and Neuroimaging Markers in Cerebral Amyloid Angiopathy: A Systematic Review and Meta-Analysis. Stroke 2022, 53, 1944–1953. [Google Scholar] [CrossRef] [PubMed]
- Caetano, A.; Ladeira, F.; Barbosa, R.; Calado, S.; Viana-Baptista, M. Cerebral amyloid angiopathy—The modified Boston criteria in clinical practice. J. Neurol. Sci. 2018, 384, 55–57. [Google Scholar] [CrossRef] [PubMed]
- Martucci, M.; Sarria, S.; Toledo, M.; Coscojuela, P.; Vert, C.; Siurana, S.; Auger, C.; Rovira, A. Cerebral amyloid angiopathy-related inflammation: Imaging findings and clinical outcome. Neuroradiology 2014, 56, 283–289. [Google Scholar] [CrossRef]
- Kuhn, J.; Sharman, T. Cerebral Amyloid Angiopathy; StatPearls Publishing: Treasure Island, FL, USA, 2023. [Google Scholar]
- Arima, H.; Tzourio, C.; Anderson, C.; Woodward, M.; Bousser, M.-G.; MacMahon, S.; Neal, B.; Chalmers, J. Effects of Perindopril-Based Lowering of Blood Pressure on Intracerebral Hemorrhage Related to Amyloid Angiopathy. Stroke 2010, 41, 394–396. [Google Scholar] [CrossRef]
- Chung, K.K.; Anderson, N.E.; Hutchinson, D.; Synek, B.; Barber, P.A. Cerebral amyloid angiopathy related inflammation: Three case reports and a review. J. Neurol. Neurosurg. Psychiatry 2011, 82, 20–26. [Google Scholar] [CrossRef]
- Kinnecom, C.; Lev, M.H.; Wendell, L.; Smith, E.E.; Rosand, J.; Frosch, M.P.; Greenberg, S.M. Course of cerebral amyloid angiopathy-related inflammation. Neurology 2007, 68, 1411–1416. [Google Scholar] [CrossRef]
- Charidimou, A.; Boulouis, G.; Frosch, M.P.; Baron, J.C.; Pasi, M.; Albucher, J.F.; Banerjee, G.; Barbato, C.; Bonneville, F.; Brandner, S.; et al. The Boston criteria version 2.0 for cerebral amyloid angiopathy: A multicentre, retrospective, MRI-neuropathology diagnostic accuracy study. Lancet Neurol. 2022, 21, 714–725. [Google Scholar] [CrossRef]
- Rieu, Z.; Kim, R.E.; Lee, M.; Kim, H.W.; Kim, D.; Yong, J.; Kim, J.; Lee, M.; Lim, H.; Kim, J. A Fully Automated Visual Grading System for White Matter Hyperintensities of T2-Fluid Attenuated Inversion Recovery Magnetic Resonance Imaging. J. Integr. Neurosci. 2023, 22, 57. [Google Scholar] [CrossRef]
- Zhang, D.; Zhang, J.; Zhang, B.; Zhang, J.; He, M. Association of Blood Pressure, White Matter Lesions, and Regional Cerebral Blood Flow. Med. Sci. Monit. 2021, 27, e929958. [Google Scholar] [CrossRef] [PubMed]
- Jaeger, M.; Deiana, G.; Nash, S.; Bar, J.Y.; Cotton, F.; Dailler, F.; Fischer, C.; Rode, G.; Boisson, D.; Luauté, J. Prognostic factors of long-term outcome in cases of severe traumatic brain injury. Ann. Phys. Rehabil. Med. 2014, 57, 436–451. [Google Scholar] [CrossRef] [PubMed][Green Version]
- Naganuma, T.; Takemoto, Y.; Shoji, T.; Ishimura, E.; Okamura, M.; Nakatani, T. Cerebral Microbleeds Predict Intracerebral Hemorrhage in Hemodialysis Patients. Stroke 2015, 46, 2107–2112. [Google Scholar] [CrossRef]
- Leclercq, L.; Mechtouff, L.; Hermier, M.; Cho, T.H.; Nighoghossian, N.; Ducray, F. Intravascular large B-cell lymphoma mimicking cerebral amyloid angiopathy-related inflammation. Rev. Neurol. 2018, 174, 265–266. [Google Scholar] [CrossRef]
- Thurnher, M.M.; Boban, J.; Röggla, M.; Staudinger, T. Distinct pattern of microsusceptibility changes on brain magnetic resonance imaging (MRI) in critically ill patients on mechanical ventilation/oxygenation. Neuroradiology 2021, 63, 1651–1658. [Google Scholar] [CrossRef]
- Salvi, F.; Pastorelli, F.; Plasmati, R.; Morelli, C.; Rapezzi, C.; Bianchi, A.; Mascalchi, M. Brain Microbleeds 12 Years after Orthotopic Liver Transplantation in Val30Met Amyloidosis. J. Stroke Cerebrovasc. Dis. 2015, 24, e149–e151. [Google Scholar] [CrossRef] [PubMed]
- Das, A.S.; Jordan, S.A.; McKeown, M.; Li, K.; Dmytriw, A.A.; Regenhardt, R.W.; Feske, S.K. Screening neuroimaging in neurologically asymptomatic patients with infective endocarditis. J. Neuroimaging 2022, 32, 1001–1008. [Google Scholar] [CrossRef] [PubMed]
- Vitali, P.; Savoldi, F.; Segati, F.; Melazzini, L.; Zanardo, M.; Fedeli, M.P.; Benedek, A.; Di Leo, G.; Menicanti, L.; Sardanelli, F. MRI versus CT in the detection of brain lesions in patients with infective endocarditis before or after cardiac surgery. Neuroradiology 2022, 64, 905–913. [Google Scholar] [CrossRef]
- Murase, S.; Okazaki, S.; Yoshioka, D.; Watanabe, K.; Gon, Y.; Todo, K.; Sasaki, T.; Sakaguchi, M.; Misumi, Y.; Toda, K.; et al. Abnormalities of brain imaging in patients after left ventricular assist device support following explantation. J. Heart Lung Transpl. 2020, 39, 220–227. [Google Scholar] [CrossRef] [PubMed]
- Yoshioka, D.; Okazaki, S.; Toda, K.; Murase, S.; Saito, S.; Domae, K.; Miyagawa, S.; Yoshikawa, Y.; Daimon, T.; Sakaguchi, M.; et al. Prevalence of Cerebral Microbleeds in Patients with Continuous-Flow Left Ventricular Assist Devices. J. Am. Heart Assoc. 2017, 6, e005955. [Google Scholar] [CrossRef] [PubMed]
- Patel, N.; Banahan, C.; Janus, J.; Horsfield, M.A.; Cox, A.; Li, X.; Cappellugola, L.; Colman, J.; Egan, V.; Garrard, P.; et al. Perioperative Cerebral Microbleeds after Adult Cardiac Surgery. Stroke 2019, 50, 336–343. [Google Scholar] [CrossRef]
- Mechtouff, L.; Piegay, F.; Traclet, J.; Philit, F.; Boissonnat, P.; Hermier, M.; Durieu, I.; Cho, T.H.; Nighoghossian, N.; Mornex, J.F. Tacrolimus-related cerebral microbleeds after lung transplantation. Case Rep. Transpl. 2013, 2013, 708961. [Google Scholar] [CrossRef] [PubMed]
- Blitstein, M.K.; Tung, G.A. MRI of cerebral microhemorrhages. AJR Am. J. Roentgenol. 2007, 189, 720–725. [Google Scholar] [CrossRef]
- Hurford, R.; Charidimou, A.; Werring, D. Symptomatic lobar intracerebral haemorrhage preceded by transient focal neurological episodes. BMJ Case Rep. 2013, 2013, bcr2013008687. [Google Scholar] [CrossRef]
- van Etten, E.S.; Gurol, M.E.; van der Grond, J.; Haan, J.; Viswanathan, A.; Schwab, K.M.; Ayres, A.M.; Algra, A.; Rosand, J.; van Buchem, M.A.; et al. Recurrent hemorrhage risk and mortality in hereditary and sporadic cerebral amyloid angiopathy. Neurology 2016, 87, 1482–1487. [Google Scholar] [CrossRef]
- Haley, K.E.; Greenberg, S.M.; Gurol, M.E. Cerebral microbleeds and macrobleeds: Should they influence our recommendations for antithrombotic therapies? Curr. Cardiol. Rep. 2013, 15, 425. [Google Scholar] [CrossRef]
- Eckman, M.H.; Rosand, J.; Knudsen, K.A.; Singer, D.E.; Greenberg, S.M. Can patients be anticoagulated after intracerebral hemorrhage? A decision analysis. Stroke 2003, 34, 1710–1716. [Google Scholar] [CrossRef]
- Pezzini, A.; Grassi, M.; Paciaroni, M.; Zini, A.; Silvestrelli, G.; Del Zotto, E.; Caso, V.; Dell’Acqua, M.L.; Giossi, A.; Volonghi, I.; et al. Antithrombotic medications and the etiology of intracerebral hemorrhage: MUCH-Italy. Neurology 2014, 82, 529–535. [Google Scholar] [CrossRef]
- DeSimone, C.V.; Graff-Radford, J.; El-Harasis, M.A.; Rabinstein, A.A.; Asirvatham, S.J.; Holmes, D.R. Cerebral Amyloid Angiopathy. Diagn. Clin. Implic. Manag. Strateg. Atr. Fibrillation 2017, 70, 1173–1182. [Google Scholar] [CrossRef]
- DeSimone, C.V.; Graff-Radford, J.; El-Harasis, M.A.; Rabinstein, A.A.; Asirvatham, S.J.; Holmes, D.R., Jr. Cerebral amyloid angiopathy and implications for atrial fibrillation management. Lancet 2017, 390, 9–11. [Google Scholar] [CrossRef] [PubMed]
- Stoker, T.B.; Evans, N.R. Managing Risk after Intracerebral Hemorrhage in Concomitant Atrial Fibrillation and Cerebral Amyloid Angiopathy. Stroke 2016, 47, e190–e192. [Google Scholar] [CrossRef] [PubMed][Green Version]
- Poon, M.T.C.; Fonville, A.F.; Al-Shahi Salman, R. Long-term prognosis after intracerebral haemorrhage: Systematic review and meta-analysis. J. Neurol. Neurosurg. Psychiatry 2014, 85, 660–667. [Google Scholar] [CrossRef] [PubMed]
- Boutitie, L.; Verny, M.; Alamowitch, S.; Zerah, L. Cerebral amyloid angiopathy and atrial fibrillation: Anticoagulant dilemma. Geriatr. Psychol. Neuropsychiatr. Vieil. 2023, 21, 81–89. [Google Scholar] [CrossRef] [PubMed]
- Chatterjee, S.; Sardar, P.; Biondi-Zoccai, G.; Kumbhani, D.J. New oral anticoagulants and the risk of intracranial hemorrhage: Traditional and Bayesian meta-analysis and mixed treatment comparison of randomized trials of new oral anticoagulants in atrial fibrillation. JAMA Neurol. 2013, 70, 1486–1490. [Google Scholar] [CrossRef] [PubMed]
- Merella, P.; Lorenzoni, G.; Delitala, A.P.; Sechi, F.; Decandia, F.; Viola, G.; Berne, P.; Deiana, G.; Mazzone, P.; Casu, G. Left Atrial Appendage Occlusion in High Bleeding Risk Patients. J. Interv. Cardiol. 2019, 2019, 6704031. [Google Scholar] [CrossRef]
- Merella, P.; Lorenzoni, G.; Marziliano, N.; Berne, P.; Viola, G.; Pischedda, P.; Casu, G. Nonvalvular atrial fibrillation in high-hemorrhagic-risk patients: State of the art of percutaneous left atrial appendage occlusion. J. Cardiovasc. Med. 2019, 20, 1–9. [Google Scholar] [CrossRef]
- Michael, G.; Rafael, W.; Gerhard, H.; John, M.; Camm, A.J.; Gregory, Y.H.L.; Laurent, F.; Tim, R.B.; Thorsten, L.; Jacqueline, S.; et al. EHRA/EAPCI expert consensus statement on catheter-based left atrial appendage occlusion—An update. EP Eur. 2020, 22, 184. [Google Scholar]
- January, C.T.; Wann, L.S.; Calkins, H.; Chen, L.Y.; Cigarroa, J.E.; Cleveland, J.C.; Ellinor, P.T.; Ezekowitz, M.D.; Field, M.E.; Furie, K.L.; et al. 2019 AHA/ACC/HRS Focused Update of the 2014 AHA/ACC/HRS Guideline for the Management of Patients with Atrial Fibrillation: A Report of the American College of Cardiology/American Heart Association Task Force on Clinical Practice Guidelines and the Heart Rhythm Society in Collaboration with the Society of Thoracic Surgeons. Circulation 2019, 140, e125–e151. [Google Scholar] [CrossRef] [PubMed]
- Merella, P.; Talanas, G.; Lorenzoni, G.; Denurra, C.; Atzori, E.; Casu, G. Percutaneous Left Atrial Appendage Occlusion: What the Practising Physician Should Know. Eur. Cardiol. Rev. 2023, 18, e57. [Google Scholar] [CrossRef] [PubMed]
- Reddy, V.Y.; Mobius-Winkler, S.; Miller, M.A.; Neuzil, P.; Schuler, G.; Wiebe, J.; Sick, P.; Sievert, H. Left atrial appendage closure with the Watchman device in patients with a contraindication for oral anticoagulation: The ASAP study (ASA Plavix Feasibility Study with Watchman Left Atrial Appendage Closure Technology). J. Am. Coll. Cardiol. 2013, 61, 2551–2556. [Google Scholar] [CrossRef] [PubMed]
- Charidimou, A.; Shoamanesh, A.; Al-Shahi Salman, R.; Cordonnier, C.; Perry, L.A.; Sheth, K.N.; Biffi, A.; Rosand, J.; Viswanathan, A. Cerebral amyloid angiopathy, cerebral microbleeds and implications for anticoagulation decisions: The need for a balanced approach. Int. J. Stroke 2018, 13, 117–120. [Google Scholar] [CrossRef] [PubMed]
- Renou, P.; Thambo, J.B.; Iriart, X.; Nicot, S.; Kabore, N.; Jalal, Z.; Olindo, S.; Debruxelles, S.; Poli, M.; Rouanet, F.; et al. Left Atrial Appendage Closure in Patients with Atrial Fibrillation and Previous Intracerebral Hemorrhage. J. Stroke Cerebrovasc. Dis. 2017, 26, 545–551. [Google Scholar] [CrossRef] [PubMed]
- Horstmann, S.; Zugck, C.; Krumsdorf, U.; Rizos, T.; Rauch, G.; Geis, N.; Hardt, S.; Veltkamp, R. Left atrial appendage occlusion in atrial fibrillation after intracranial hemorrhage. Neurology 2014, 82, 135–138. [Google Scholar] [CrossRef]
- Fahmy, P.; Spencer, R.; Tsang, M.; Gooderham, P.; Saw, J. Left Atrial Appendage Closure for Atrial Fibrillation Is Safe and Effective after Intracranial or Intraocular Hemorrhage. Can. J. Cardiol. 2016, 32, 349–354. [Google Scholar] [CrossRef]
- Nielsen-Kudsk, J.E.; Johnsen, S.P.; Wester, P.; Damgaard, D.; Airaksinen, J.; Lund, J.; De Backer, O.; Pakarinen, S.; Odenstedt, J.; Vikman, S.; et al. Left atrial appendage occlusion versus standard medical care in patients with atrial fibrillation and intracerebral haemorrhage: A propensity score-matched follow-up study. EuroIntervention 2017, 13, 371–378. [Google Scholar] [CrossRef]
- Tzikas, A.; Freixa, X.; Llull, L.; Gafoor, S.; Shakir, S.; Omran, H.; Giannakoulas, G.; Berti, S.; Santoro, G.; Kefer, J.; et al. Patients with intracranial bleeding and atrial fibrillation treated with left atrial appendage occlusion: Results from the Amplatzer Cardiac Plug registry. Int. J. Cardiol. 2017, 236, 232–236. [Google Scholar] [CrossRef]
- Casu, G.; D’Angelo, G.; Ugo, F.; Ronco, F.; Simonetto, F.; Barbierato, M.; Magni, V.; Boccuzzi, G.; Margonato, A.; Moroni, F.; et al. Left atrial appendage occlusion in atrial fibrillation patients with previous intracranial bleeding: A national multicenter study. Int. J. Cardiol. 2021, 328, 75–80. [Google Scholar] [CrossRef]
- Gallo, F.; Ronco, F.; D’Amico, G.; Della Rocca, D.G.; Mazzone, P.; Bordignon, S.; Casu, G.; Giannini, F.; Berti, S.; Horton, R.P.; et al. Clinical outcomes of left atrial appendage occlusion in patients with previous intracranial or gastrointestinal bleeding: Insights from the LOGIC (Left atrial appendage Occlusion in patients with Gastrointestinal or IntraCranial bleeding) International Multicenter Registry. Catheter. Cardiovasc. Interv. 2023, 101, 1144–1153. [Google Scholar] [CrossRef]
- Biffi, A.; Halpin, A.; Towfighi, A.; Gilson, A.; Busl, K.; Rost, N.; Smith, E.E.; Greenberg, M.S.; Rosand, J.; Viswanathan, A. Aspirin and recurrent intracerebral hemorrhage in cerebral amyloid angiopathy. Neurology 2010, 75, 693–698. [Google Scholar] [CrossRef]
- Wilson, D.; Werring, D.J. Antithrombotic therapy in patients with cerebral microbleeds. Curr. Opin. Neurol. 2017, 30, 38–47. [Google Scholar] [CrossRef]
- Schwartz, R.S.; Holmes, D.R.; Van Tassel, R.A.; Hauser, R.; Henry, T.D.; Mooney, M.; Matthews, R.; Doshi, S.; Jones, R.M.; Virmani, R. Left atrial appendage obliteration: Mechanisms of healing and intracardiac integration. JACC Cardiovasc. Interv. 2010, 3, 870–877. [Google Scholar] [CrossRef]
- Boersma, L.V.; Ince, H.; Kische, S.; Pokushalov, E.; Schmitz, T.; Schmidt, B.; Gori, T.; Meincke, F.; Protopopov, A.V.; Betts, T.; et al. Efficacy and safety of left atrial appendage closure with WATCHMAN in patients with or without contraindication to oral anticoagulation: 1-Year follow-up outcome data of the EWOLUTION trial. Heart Rhythm 2017, 14, 1302–1308. [Google Scholar] [CrossRef]
- Bodagh, N.; Kotadia, I.; Gharaviri, A.; Zelaya, F.; Birns, J.; Bhalla, A.; Sommerville, P.; Niederer, S.; O’Neill, M.; Williams, S.E. The Impact of Atrial Fibrillation Treatment Strategies on Cognitive Function. J. Clin. Med. 2023, 12, 3050. [Google Scholar] [CrossRef]
- Bodagh, N.; Yap, R.; Kotadia, I.; Sim, I.; Bhalla, A.; Somerville, P.; O’Neill, M.; Williams, S.E. Impact of catheter ablation versus medical therapy on cognitive function in atrial fibrillation: A systematic review. J. Interv. Card. Electrophysiol. 2022, 65, 271–286. [Google Scholar] [CrossRef]




| Lobar ICH | Sudden Onset of Headache, Focal Neurological Signs, Seizures, or Altered State of Consciousness. |
|---|---|
| Cognitive impairment | Cognitive impairment not otherwise explained. Three possible variants: gradual, stepped, or rapidly progressive (expression of a greater inflammatory component). |
| Inflammatory forms | Subacute or rapidly progressive cognitive decline; possible epileptic manifestations. Susceptible to anti-inflammatory therapy response. Sometimes associated with TIA-LIKE presentations. |
| TFNEs (transient focal neurological episodes) | Recurrent and often stereotyped episodes of focal deficits (paresthesia, hyposthenia, aphasia) of variable duration between a few seconds and a few minutes. They often represent the clinical manifestation of subarachnoid hemorrhages. Brain CT can be negative. They can be interpreted as TIA and they could lead to the dangerous prescription of anticoagulant or antiplatelet therapy. |
| CAA Probability | Diagnostic Criteria |
|---|---|
| Definite CAA | Full brain post-mortem examination demonstrating:
|
| Probable CAA with supporting pathology | Clinical data and pathological tissue demonstrating:
|
| Probable CAA | For patients aged 50 years and older, clinical data and pathological tissue demonstrating:
|
| Possible CAA | For patients aged 50 years and older, clinical data and pathological tissue demonstrating:
|
Disclaimer/Publisher’s Note: The statements, opinions and data contained in all publications are solely those of the individual author(s) and contributor(s) and not of MDPI and/or the editor(s). MDPI and/or the editor(s) disclaim responsibility for any injury to people or property resulting from any ideas, methods, instructions or products referred to in the content. |
© 2023 by the authors. Licensee MDPI, Basel, Switzerland. This article is an open access article distributed under the terms and conditions of the Creative Commons Attribution (CC BY) license (https://creativecommons.org/licenses/by/4.0/).
Share and Cite
Merella, P.; Casu, G.; Chessa, P.; Atzori, E.; Bandino, S.; Deiana, G. When Atrial Fibrillation Meets Cerebral Amyloid Angiopathy: Current Evidence and Strategies. J. Clin. Med. 2023, 12, 7704. https://doi.org/10.3390/jcm12247704
Merella P, Casu G, Chessa P, Atzori E, Bandino S, Deiana G. When Atrial Fibrillation Meets Cerebral Amyloid Angiopathy: Current Evidence and Strategies. Journal of Clinical Medicine. 2023; 12(24):7704. https://doi.org/10.3390/jcm12247704
Chicago/Turabian StyleMerella, Pierluigi, Gavino Casu, Paola Chessa, Enrico Atzori, Stefano Bandino, and Gianluca Deiana. 2023. "When Atrial Fibrillation Meets Cerebral Amyloid Angiopathy: Current Evidence and Strategies" Journal of Clinical Medicine 12, no. 24: 7704. https://doi.org/10.3390/jcm12247704
APA StyleMerella, P., Casu, G., Chessa, P., Atzori, E., Bandino, S., & Deiana, G. (2023). When Atrial Fibrillation Meets Cerebral Amyloid Angiopathy: Current Evidence and Strategies. Journal of Clinical Medicine, 12(24), 7704. https://doi.org/10.3390/jcm12247704
