Indoleamine 2,3-Dioxygenase 1 (IDO1) in Kidney Transplantation: A Guardian against Rejection
Abstract
:1. Introduction
2. Materials and Methods
2.1. Collecting Patients and Samples
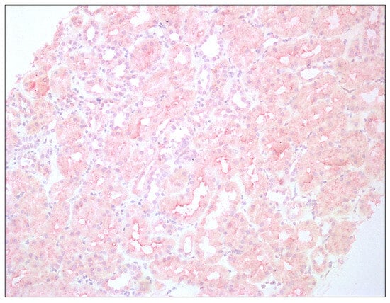
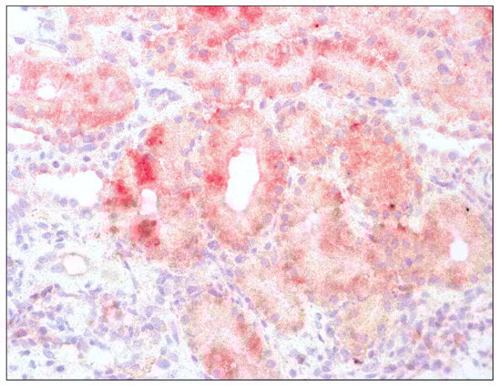
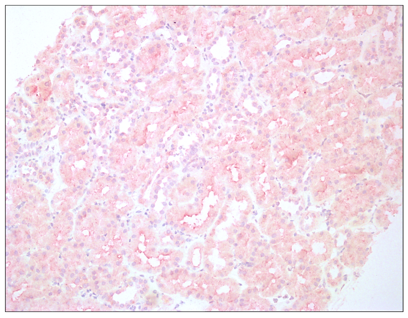
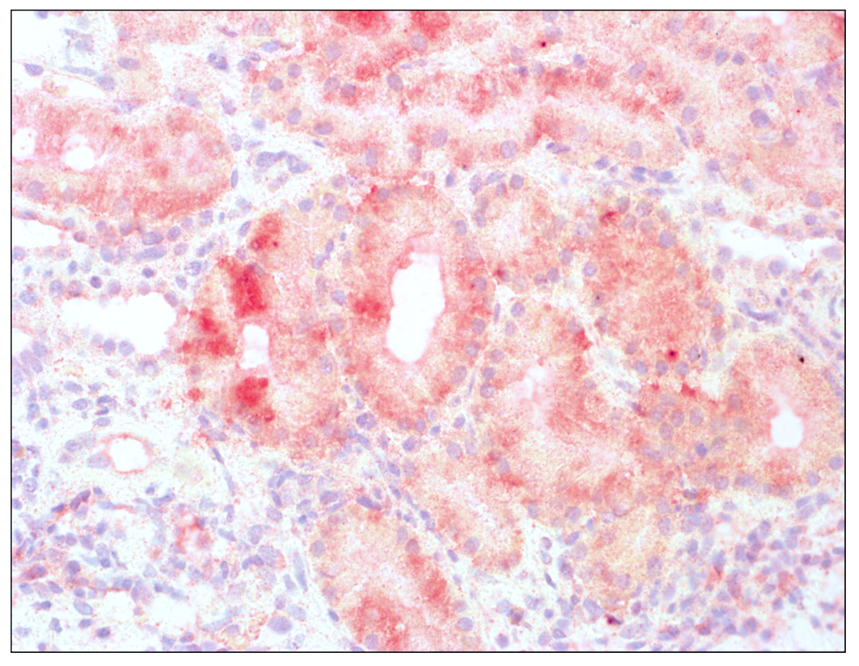
2.2. Histopathology and Staining Method
2.3. The Scoring System for IDO1 Expression
2.4. Sensitivity and Specificity of the Study
2.5. Statistical Tools and Software Used for Data Analysis
2.6. Proteinuria as an Additional Indication for Biopsy
2.7. Time Elapsed between Transplantation and Biopsy
3. Results
3.1. Characteristics of Patients
3.2. Rejection in Patients with Expression of IDO1
3.3. Analysis of the Occurrence of Antibody-Mediated Rejection
3.4. T-Cell Mediated Rejection Manifestation
3.5. Pure Types of Rejection
4. Discussion
4.1. Limitations of Immunohistochemistry for IDO1 Detection
4.1.1. Technical Limitations
4.1.2. Qualitative Nature of IHC
4.1.3. Timing and Dynamics of IDO1 Expression
4.1.4. Confounding Factors
4.1.5. Unknowns and Future Directions
5. Conclusions
Author Contributions
Funding
Institutional Review Board Statement
Informed Consent Statement
Data Availability Statement
Conflicts of Interest
Abbreviations
| IDO1 | indoleamine 2,3-dioxygenase 1 |
| TE | tubular epithelium |
| HLA antibody | human leukocyte antigen antibody |
| non-HLA antibody | non-human leukocyte antigen antibody |
| PRA | panel reactive antibody |
| AMR | antibody-mediated rejection |
| TCMR | T-cell-mediated rejection |
| MMF | mycophenolate mofetil |
| MPA | mycophenolic acid |
| HE | hematoxylin and eosin staining |
| PAS | periodic acid–Schiff staining |
| IHC | immunohistochemistry |
References
- Kostro, J.Z.; Hellmann, A.; Kobiela, J.; Skóra, I.; Lichodziejewska-Niemierko, M.; Dębska-Ślizień, A.; Śledziński, Z. Quality of Life After Kidney Transplantation: A Prospective Study. Transplant. Proc. 2016, 48, 50–54. [Google Scholar] [CrossRef]
- Schoot, T.S.; Goto, N.A.; van Marum, R.J.; Hilbrands, L.B.; Kerckhoffs, A.P.M. Dialysis or kidney transplantation in older adults? A systematic review summarizing functional, psychological, and quality of life-related outcomes after start of kidney replacement therapy. Int. Urol. Nephrol. 2022, 54, 2891–2900. [Google Scholar] [CrossRef] [PubMed]
- Milaniak, I.; Rużyczka, E.W.; Dębska, G.; Król, B.; Wierzbicki, K.; Tomaszek, L.; Przybyłowski, P. Level of Life Quality in Heart and Kidney Transplant Recipients: A Multicenter Study. Transplant. Proc. 2020, 52, 2081–2086. [Google Scholar] [CrossRef] [PubMed]
- Rodríguez Castellanos, F.E.; Domínguez Quintana, F.; Soto Abraham, V.; Mancilla Urrea, E. Classification of Acute Rejection Episodes in Kidney Transplantation: A Proposal Based on Factor Analysis. Iran. J. Kidney Dis. 2018, 12, 123–131. [Google Scholar] [PubMed]
- Wong, T.C.; Lo, C.M.; Fung, J.Y. Emerging drugs for prevention of T-cell mediated rejection in liver and kidney transplantation. Expert Opin. Emerg. Drugs 2017, 22, 123–136. [Google Scholar] [CrossRef] [PubMed]
- Halloran, P.F. Immunosuppressive drugs for kidney transplantation. N. Engl. J. Med. 2004, 351, 2715–2729. [Google Scholar] [CrossRef] [PubMed]
- Reyna-Sepulveda, F.; Badrudin, D.; Gala-Lopez, B.L. Graft survival after kidney transplantation with standard versus prolonged kidney procurement time. Can. J. Surg. 2022, 65, E573–E579. [Google Scholar] [CrossRef] [PubMed]
- Naqvi, S.A.A.; Tennankore, K.; Vinson, A.; Roy, P.C.; Abidi, S.S.R. Predicting Kidney Graft Survival Using Machine Learning Methods: Prediction Model Development and Feature Significance Analysis Study. J. Med. Internet Res. 2021, 23, e26843. [Google Scholar] [CrossRef]
- Einecke, G.; Reeve, J.; Gupta, G.; Böhmig, G.A.; Eskandary, F.; Bromberg, J.S.; Budde, K.; Halloran, P.F.; INTERCOMEX investigators. Factors associated with kidney graft survival in pure antibody-mediated rejection at the time of indication biopsy: Importance of parenchymal injury but not disease activity. Am. J. Transplant. 2021, 21, 1391–1401. [Google Scholar] [CrossRef]
- Sellarés, J.; de Freitas, D.G.; Mengel, M.; Reeve, J.; Einecke, G.; Sis, B.; Hidalgo, L.G.; Famulski, K.; Matas, A.; Halloran, P.F. Understanding the causes of kidney transplant failure: The dominant role of antibody-mediated rejection and nonadherence. Am. J. Transplant. 2012, 12, 388–399. [Google Scholar] [CrossRef]
- Becker, J.U.; Seron, D.; Rabant, M.; Roufosse, C.; Naesens, M. Evolution of the Definition of Rejection in Kidney Transplantation and Its Use as an Endpoint in Clinical Trials. Transpl. Int. 2022, 35, 10141. [Google Scholar] [CrossRef]
- Cooper, J.E. Evaluation and Treatment of Acute Rejection in Kidney Allografts. Clin. J. Am. Soc. Nephrol. 2020, 15, 430–438. [Google Scholar] [CrossRef] [PubMed]
- Wiśnicki, K.; Donizy, P.; Remiorz, A.; Janczak, D.; Krajewska, M.; Banasik, M. Significance of Indoleamine 2,3-Dioxygenase Expression in the Immunological Response of Kidney Graft Recipients. Diagnostics 2022, 12, 2353. [Google Scholar] [CrossRef] [PubMed]
- Mulley, W.R.; Nikolic-Paterson, D.J. Indoleamine 2,3-dioxygenase in transplantation. Nephrology 2008, 13, 204–211. [Google Scholar] [CrossRef] [PubMed]
- Abd El-Fattah, E.E. IDO/kynurenine pathway in cancer: Possible therapeutic approaches. J. Transl. Med. 2022, 20, 347. [Google Scholar] [CrossRef] [PubMed]
- Badawy, A.A.B. Kynurenine Pathway of Tryptophan Metabolism: Regulatory and Functional Aspects. Int. J. Tryptophan Res. 2017, 10, 1178646917691938. [Google Scholar] [CrossRef] [PubMed]
- Stone, T.W.; Williams, R.O. Interactions of IDO and the Kynurenine Pathway with Cell Transduction Systems and Metabolism at the Inflammation-Cancer Interface. Cancers 2023, 15, 2895. [Google Scholar] [CrossRef] [PubMed]
- Merlo, L.M.F.; DuHadaway, J.B.; Montgomery, J.D.; Peng, W.D.; Murray, P.J.; Prendergast, G.C.; Caton, A.J.; Muller, A.J.; Mandik-Nayak, L. Differential Roles of IDO1 and IDO2 in T and B Cell Inflammatory Immune Responses. Front. Immunol. 2020, 11, 1861. [Google Scholar] [CrossRef] [PubMed]
- Fallarino, F.; Grohmann, U.; Vacca, C.; Bianchi, R.; Orabona, C.; Spreca, A.; Fioretti, M.C.; Puccetti, P. T cell apoptosis by tryptophan catabolism. Cell Death Differ. 2002, 9, 1069–1077. [Google Scholar] [CrossRef]
- Lee, G.K.; Park, H.J.; Macleod, M.; Chandler, P.; Munn, D.H.; Mellor, A.L. Tryptophan deprivation sensitizes activated T cells to apoptosis prior to cell division. Immunology 2002, 107, 452–460. [Google Scholar] [CrossRef]
- Munn, D.H.; Shafizadeh, E.; Attwood, J.T.; Bondarev, I.; Pashine, A.; Mellor, A.L. Inhibition of T cell proliferation by macrophage tryptophan catabolism. J. Exp. Med. 1999, 189, 1363–1372. [Google Scholar] [CrossRef] [PubMed]
- Li, H.; Yuan, Y.; Chen, H.; Dai, H.; Li, J. Indoleamine 2,3-dioxygenase mediates the therapeutic effects of adipose-derived stromal/stem cells in experimental periodontitis by modulating macrophages through the kynurenine-AhR-NRF2 pathway. Mol. Metab. 2022, 66, 101617. [Google Scholar] [CrossRef] [PubMed]
- Huang, L.; Baban, B.; Johnson, B.A., 3rd; Mellor, A.L. Dendritic cells, indoleamine 2,3 dioxygenase and acquired immune privilege. Int. Rev. Immunol. 2010, 29, 133–155. [Google Scholar] [CrossRef] [PubMed]
- Harden, J.L.; Egilmez, N.K. Indoleamine 2,3-dioxygenase and dendritic cell tolerogenicity. Immunol. Investig. 2012, 41, 738–764. [Google Scholar] [CrossRef] [PubMed]
- Andersen, M.H. The specific targeting of immune regulation: T-cell responses against Indoleamine 2,3-dioxygenase. Cancer Immunol. Immunother. 2012, 61, 1289–1297. [Google Scholar] [CrossRef] [PubMed]
- Cook, C.H.; Bickerstaff, A.A.; Wang, J.J.; Nadasdy, T.; Della Pelle, P.; Colvin, R.B.; Orosz, C.G. Spontaneous renal allograft acceptance associated with “regulatory” dendritic cells and IDO. J. Immunol. 2008, 180, 3103–3112. [Google Scholar] [CrossRef] [PubMed]
- Lou, Q.; Liu, R.; Yang, X.; Li, W.; Huang, L.; Wei, L.; Tan, H.; Xiang, N.; Chan, K.; Chen, J.; et al. miR-448 targets IDO1 and regulates CD8+ T cell response in human colon cancer. J. Immunother. Cancer 2019, 7, 210. [Google Scholar] [CrossRef]
- Dey, S.; Sutanto-Ward, E.; Kopp, K.L.; DuHadaway, J.; Mondal, A.; Ghaban, D.; Lecoq, I.; Zocca, M.B.; Merlo, L.M.F.; Mandik-Nayak, L.; et al. Peptide vaccination directed against IDO1-expressing immune cells elicits CD8+ and CD4+ T-cell-mediated antitumor immunity and enhanced anti-PD1 responses. J. Immunother. Cancer 2020, 8, e000605. [Google Scholar] [CrossRef]
- Bauer, T.M.; Jiga, L.P.; Chuang, J.J.; Randazzo, M.; Opelz, G.; Terness, P. Studying the immunosuppressive role of indoleamine 2,3-dioxygenase: Tryptophan metabolites suppress rat allogeneic T-cell responses in vitro and in vivo. Transpl. Int. 2005, 18, 95–100. [Google Scholar] [CrossRef]
- Palafox, D.; Llorente, L.; Alberú, J.; Torres-Machorro, A.; Camorlinga, N.; Rodríguez, C.; Granados, J. The role of indoleamine 2,3 dioxygenase in the induction of immune tolerance in organ transplantation. Transplant. Rev. 2010, 24, 160–165. [Google Scholar] [CrossRef]
- Banasik, M.; Kuriata-Kordek, M.; Donizy, P.; Nowańska, K.; Wiśnicki, K.; Letachowicz, K.; Zmonarski, S.; Kamińska, D.; Mazanowska, O.; Dawiskiba, T.; et al. The Summarized Assessment of Endothelin A Receptor Expression in Renal Transplant Compartments Associated with Antibody-Mediated Rejection. Diagnostics 2021, 11, 2366. [Google Scholar] [CrossRef] [PubMed]
- Terasaki, P.I. Humoral theory of transplantation. Am. J. Transplant. 2003, 3, 665–673. [Google Scholar] [CrossRef]
- Jordan, S.C. Immune response to non-HLA antigens and renal allograft loss. Lancet 2019, 393, 854–856. [Google Scholar] [CrossRef] [PubMed]
- Dragun, D.; Hegner, B. Non-HLA antibodies post-transplantation: Clinical relevance and treatment in solid organ transplantation. Contrib. Nephrol. 2009, 162, 129–139. [Google Scholar] [PubMed]
- Lefaucheur, C.; Viglietti, D.; Bouatou, Y.; Philippe, A.; Pievani, D.; Aubert, O.; Duong Van Huyen, J.P.; Taupin, J.L.; Glotz, D.; Legendre, C.; et al. Non-HLA agonistic anti-angiotensin II type 1 receptor antibodies induce a distinctive phenotype of antibody-mediated rejection in kidney transplant recipients. Kidney Int. 2019, 96, 189–201. [Google Scholar] [CrossRef] [PubMed]
- Ahmad, I. Biopsy of the transplanted kidney. Semin. Interv. Radiol. 2004, 21, 275–281. [Google Scholar] [CrossRef] [PubMed]
- Williams, W.W.; Taheri, D.; Tolkoff-Rubin, N.; Colvin, R.B. Clinical role of the renal transplant biopsy. Nat. Rev. Nephrol. 2012, 8, 110–121. [Google Scholar] [CrossRef] [PubMed]
- Naik, R.H.; Shawar, S.H. Renal Transplantation Rejection; StatPearls Publishing: St. Petersburg, FL, USA, 2023. [Google Scholar]
- Chen, J.; Liverman, R.; Garro, R.; Jernigan, S.; Travers, C.; Winterberg, P.D. Acute cellular rejection treatment outcomes stratified by Banff grade in pediatric kidney transplant. Pediatr. Transplant. 2019, 23, e13334. [Google Scholar] [CrossRef]
- Donizy, P.; Wu, C.L.; Kopczynski, J.; Pieniazek, M.; Biecek, P.; Ryś, J.; Hoang, M.P. Prognostic Role of Tumoral PD-L1 and IDO1 Expression, and Intratumoral CD8+ and FoxP3+ Lymphocyte Infiltrates in 132 Primary Cutaneous Merkel Cell Carcinomas. Int. J. Mol. Sci. 2021, 22, 5489. [Google Scholar] [CrossRef]
- MCPyV Large T-Antigen (CM2B4) Antibody sc-136172 from Santa Cruz Biotechnology, Inc. Available online: https://www.scbt.com/p/mcpyv-large-t-antigen-antibody-cm2b4 (accessed on 18 July 2023).
- EnV FLEX TRS, High pH (50x) from Agilent Technologies. Available online: https://www.biocompare.com/11119-Chemicals-and-Reagents/12797965-EnV-FLEX-TRS-High-pH-50x/ (accessed on 18 July 2023).
- PT Link, Pre-Treatment Module for Tissue Specimens. Available online: https://www.agilent.com/en/product/pt-link-for-pre-treatment/pt-link-accessories/pt-link-pre-treatment-module-for-tissue-specimens-76929 (accessed on 18 July 2023).
- MMJ Biosystems. Available online: https://mmjbiosystems.com/product/autostainer-link-48/ (accessed on 18 July 2023).
- Liquid Permanent Red, Substrate-Chromogen. Available online: https://www.agilent.com/en/product/immunohistochemistry/ancillaries-for-ihc/chromogenic-substrates/permanent-red-substrate-chromogen-liquid-76724 (accessed on 18 July 2023).
- UpToDate. Available online: https://www.uptodate.com/contents/kidney-transplantation-in-adults-treatment-of-acute-t-cell-mediated-cellular-rejection (accessed on 24 August 2023).
- Sharif, A.; Shabir, S.; Chand, S.; Cockwell, P.; Ball, S.; Borrows, R. Meta-analysis of calcineurin-inhibitor-sparing regimens in kidney transplantation. J. Am. Soc. Nephrol. 2011, 22, 2107–2118. [Google Scholar] [CrossRef]
- Vavrincova-Yaghi, D.; Deelman, L.E.; van Goor, H.; Seelen, M.A.; Vavrinec, P.; Kema, I.P.; Gomolcak, P.; Benigni, A.; Henning, R.H.; Sandovici, M. Local gene therapy with indoleamine 2,3-dioxygenase protects against development of transplant vasculopathy in chronic kidney transplant dysfunction. Gene Ther. 2016, 23, 820. [Google Scholar] [CrossRef] [PubMed]
- Wang, Y.; Merchen, T.D.; Fang, X.; Lassiter, R.; Ho, C.S.; Jajosky, R.; Kleven, D.; Thompson, T.; Mohamed, E.; Yu, M.; et al. Regulation of indoleamine 2,3 dioxygenase and its role in a porcine model of acute kidney allograft rejection. J. Investig. Med. 2018, 66, 1109–1117. [Google Scholar] [CrossRef] [PubMed]
- Eleftheriadis, T.; Pissas, G.; Golfinopoulos, S.; Liakopoulos, V.; Stefanidis, I. Role of indoleamine 2,3-dioxygenase in ischemia-reperfusion injury of renal tubular epithelial cells. Mol. Med. Rep. 2021, 23, 472. [Google Scholar] [CrossRef] [PubMed]
- Li, C.; Sun, Z.; Yuan, F.; Zhao, Z.; Zhang, J.; Zhang, B.; Li, H.; Liu, T.; Dai, X. Mechanism of indoleamine 2,3-dioxygenase inhibiting cardiac allograft rejection in mice. J. Cell. Mol. Med. 2020, 24, 3438–3448. [Google Scholar] [CrossRef] [PubMed]
- Mbongue, J.C.; Nicholas, D.A.; Torrez, T.W.; Kim, N.S.; Firek, A.F.; Langridge, W.H.R. The Role of Indoleamine 2,3-Dioxygenase in Immune Suppression and Autoimmunity. Vaccines 2015, 3, 703–729. [Google Scholar] [CrossRef] [PubMed]
- Suarez-Fuentetaja, N.; Domenech-Garcia, N.; Paniagua-Martin, M.J.; Marzoa-Rivas, R.; Barge-Caballero, E.; Grille-Cancela, Z.; Pombo-Otero, J.; Muñiz-García, J.; Castro-Beiras, A.; Crespo-Leiro, M.G. Indoleamine, 2-3 dioxygenase activity could be an early marker of graft rejection in heart transplantation. Transplant. Proc. 2012, 44, 2645–2648. [Google Scholar] [CrossRef]
- Weng, M.Z.; Xu, Y.G.; Zhang, Y.; Zhang, J.Y.; Quan, Z.W.; Xu, J.M.; Peng, Z.H. Indoleamine 2,3-dioxygenase as a predictor of acute rejection after orthotopic liver transplantation in rat model. Transplant. Proc. 2011, 43, 3969–3972. [Google Scholar] [CrossRef] [PubMed]
- Halloran, P.F.; Reeve, J.; Madill-Thomsen, K.S.; Demko, Z.; Prewett, A.; Billings, P.; Trifecta Investigators. The Trifecta Study: Comparing Plasma Levels of Donor-derived Cell-Free DNA with the Molecular Phenotype of Kidney Transplant Biopsies. J. Am. Soc. Nephrol. 2022, 33, 387–400. [Google Scholar] [CrossRef]
- Fiore, A.; Murray, P.J. Tryptophan and indole metabolism in immune regulation. Curr. Opin. Immunol. 2021, 70, 7–14. [Google Scholar] [CrossRef]
- Na, N.; Luo, Y.; Zhao, D.; Yang, S.; Hong, L.; Li, H.; Miao, B.; Qiu, J. Prolongation of kidney allograft survival regulated by indoleamine 2, 3-dioxygenase in immature dendritic cells generated from recipient type bone marrow progenitors. Mol. Immunol. 2016, 79, 22–31. [Google Scholar] [CrossRef]
- Mellor, A.L.; Munn, D.; Chandler, P.; Keskin, D.; Johnson, T.; Marshall, B.; Jhaver, K.; Baban, B. Tryptophan catabolism and T cell responses. Adv. Exp. Med. Biol. 2003, 527, 27–35. [Google Scholar] [PubMed]
- Modoux, M.; Rolhion, N.; Mani, S.; Sokol, H. Tryptophan Metabolism as a Pharmacological Target. Trends Pharmacol. Sci. 2021, 42, 60–73. [Google Scholar] [CrossRef] [PubMed]
- Broekhuizen, M.; Danser, A.H.J.; Reiss, I.K.M.; Merkus, D. The Function of the Kynurenine Pathway in the Placenta: A Novel Pharmacotherapeutic Target? Int. J. Environ. Res. Public Health 2021, 18, 11545. [Google Scholar] [CrossRef] [PubMed]
- De Vries, L.V.; Minović, I.; Franssen, C.F.M.; van Faassen, M.; Sanders, J.S.F.; Berger, S.P.; Navis, G.; Kema, I.P.; Bakker, S.J.L. The tryptophan/kynurenine pathway, systemic inflammation, and long-term outcome after kidney transplantation. Am. J. Physiol. Ren. Physiol. 2017, 313, F475–F486. [Google Scholar] [CrossRef] [PubMed]
- Mizera, J.; Pilch, J.; Kamińska, D.; Krajewska, M.; Donizy, P.; Banasik, M. Chronic Active T-Cell Mediated Kidney Rejection as a Clinically Significant Type of Allograft Loss? Diagnostics 2022, 12, 3220. [Google Scholar] [CrossRef] [PubMed]
- Platten, M.; Nollen, E.A.A.; Röhrig, U.F.; Fallarino, F.; Opitz, C.A. Tryptophan metabolism as a common therapeutic target in cancer, neurodegeneration and beyond. Nat. Rev. Drug Discov. 2019, 18, 379–401. [Google Scholar] [CrossRef] [PubMed]
- Kraehenbuehl, L.; Weng, C.H.; Eghbali, S.; Wolchok, J.D.; Merghoub, T. Enhancing immunotherapy in cancer by targeting emerging immunomodulatory pathways. Nat. Rev. Clin. Oncol. 2022, 19, 37–50. [Google Scholar] [CrossRef] [PubMed]
- Tang, K.; Wu, Y.H.; Song, Y.; Yu, B. Indoleamine 2,3-dioxygenase 1 (IDO1) inhibitors in clinical trials for cancer immunotherapy. J. Hematol. Oncol. 2021, 14, 68. [Google Scholar] [CrossRef]
- Zhang, X.; Liu, X.; Zhou, W.; Du, Q.; Yang, M.; Ding, Y.; Hu, R. Blockade of IDO-Kynurenine-AhR Axis Ameliorated Colitis-Associated Colon Cancer via Inhibiting Immune Tolerance. Cell. Mol. Gastroenterol. Hepatol. 2021, 12, 1179–1199. [Google Scholar] [CrossRef]
- Cheong, J.E.; Sun, L. Targeting the IDO1/TDO2-KYN-AhR Pathway for Cancer Immunotherapy—Challenges and Opportunities. Trends Pharmacol. Sci. 2018, 39, 307–325. [Google Scholar] [CrossRef]
- Shi, D.; Wu, X.; Jian, Y.; Wang, J.; Huang, C.; Mo, S.; Li, Y.; Li, F.; Zhang, C.; Zhang, D.; et al. USP14 promotes tryptophan metabolism and immune suppression by stabilizing IDO1 in colorectal cancer. Nat. Commun. 2022, 13, 5644. [Google Scholar] [CrossRef]
- Xiang, Z.; Li, J.; Song, S.; Wang, J.; Cai, W.; Hu, W.; Ji, J.; Zhu, Z.; Zang, L.; Yan, R.; et al. A positive feedback between IDO1 metabolite and COL12A1 via MAPK pathway to promote gastric cancer metastasis. J. Exp. Clin. Cancer Res. 2019, 38, 314. [Google Scholar] [CrossRef]
- Cesario, A.; Rocca, B.; Rutella, S. The interplay between indoleamine 2,3-dioxygenase 1 (IDO1) and cyclooxygenase (COX)-2 in chronic inflammation and cancer. Curr. Med. Chem. 2011, 18, 2263–2271. [Google Scholar] [CrossRef]


| Patient Characteristics | IDO1 Expression in Tubules IDO1(+) Positive n = 76 | IDO1 Expression in Tubules IDO1(−) Negative n = 45 | p |
|---|---|---|---|
| Recipient’s age (years) | 39.8 ± 14 | 45.6 ± 14 | 0.03 |
| Male gender (n, %) | 54 (71%) | 31 (68.8%) | 0.8 |
| Number of HLA * ABDR ** mismatches | 3.52 ± 0.9 | 3.57 ± 1.3 | 0.84 |
| A | 1.32 ± 0.5 | 1.27 ± 0.5 | 0.71 |
| B | 1.48 ± 0.5 | 1.27 ± 0.6 | 0.08 |
| DR | 0.71 ± 0.5 | 1.027 ± 0.5 | 0.007 |
| Percentage of pre-sensitized patients | |||
| PRA *** < 10% | 37/49 (75.5%) | 19/29 (65.5%) | 0.34 |
| PRA 10–50% | 10/49 (23.1%) | 7/29 (13.5%) | 0.69 |
| PRA > 50% | 2/49 (4%) | 3/29 (10%) | 0.25 |
| Cold ischemia time (hours) | 22.2 ± 8.1 | 21.9 ± 8.6 | 0.87 |
| Donor male gender (n, %) | 36/59 (61%) | 17/30 (56%) | 0.69 |
| Donor age (years) | 46.8 ± 13.7 | 50.5 ± 17.3 | 0.34 |
| Initial Immunosuppression | IDO1 Expression in Tubules IDO1(+) Positive n = 76 | IDO1 Expression in Tubules IDO1(−) Negative n = 45 | p |
|---|---|---|---|
| Tacrolimus | 53 (70%) | 32 (71%) | 0.87 |
| Cyclosporin | 23 (30%) | 13 (29%) | 0.81 |
| MMF/MPA * | 76 (100%) | 45 (100%) | NS *** |
| Azathioprine | 2 (2.6%) | 0 (0%) | NS |
| Anti-CD25 ** therapy | 1 (1.3%) | 1 (2.2%) | 0.7 |
| Cause of Chronic Renal Failure | IDO1 Expression in Tubules IDO1(+) Positive n = 76 | IDO1 Expression in Tubules IDO1(−) Negative n = 45 | p |
|---|---|---|---|
| Chronic glomerulonephritis | 33 (43. 4%) | 18 (40%) | 0.66 |
| Diabetic nephropathy | 16 (21.3%) | 8 (17.8%) | 0.66 |
| Hypertonic nephropathy | 6 (8%) | 5 (11.1%) | 0.71 |
| Polycystic kidney disease | 8 (10.7%) | 3 (6.67%) | 0.47 |
| Pyelonephritis | 3 (4%) | 3 (6.67%) | 0.51 |
| Other | 10 (13.3%) | 8 (17.8%) | 0.49 |
| Biopsy Diagnosis | IDO1 Expression in Tubules IDO1(+) Positive n = 76 | IDO1 Expression in Tubules IDO1(−) Negative n = 45 | p |
|---|---|---|---|
| Rejections (all) | 25/76 (32.9%) | 28/45 (62.2%) | 0.0017 |
| AMR * (including pure and mixed AMR) | 4 (5.2%) | 9 (20%) | 0.0085 |
| TCMR ** (including pure and mixed TCMR) | 24 (31.6%) | 26 (57.8%) | 0.0046 |
| AMR (pure) | 1 (1.3%) | 2 (4.4%) | 0.28 |
| TCMR (pure) | 21 (27.69%) | 19 (42.2%) | 0.10 |
Disclaimer/Publisher’s Note: The statements, opinions and data contained in all publications are solely those of the individual author(s) and contributor(s) and not of MDPI and/or the editor(s). MDPI and/or the editor(s) disclaim responsibility for any injury to people or property resulting from any ideas, methods, instructions or products referred to in the content. |
© 2023 by the authors. Licensee MDPI, Basel, Switzerland. This article is an open access article distributed under the terms and conditions of the Creative Commons Attribution (CC BY) license (https://creativecommons.org/licenses/by/4.0/).
Share and Cite
Wiśnicki, K.; Donizy, P.; Hałoń, A.; Wawrzonkowski, P.; Janczak, D.; Krajewska, M.; Banasik, M. Indoleamine 2,3-Dioxygenase 1 (IDO1) in Kidney Transplantation: A Guardian against Rejection. J. Clin. Med. 2023, 12, 7531. https://doi.org/10.3390/jcm12247531
Wiśnicki K, Donizy P, Hałoń A, Wawrzonkowski P, Janczak D, Krajewska M, Banasik M. Indoleamine 2,3-Dioxygenase 1 (IDO1) in Kidney Transplantation: A Guardian against Rejection. Journal of Clinical Medicine. 2023; 12(24):7531. https://doi.org/10.3390/jcm12247531
Chicago/Turabian StyleWiśnicki, Krzysztof, Piotr Donizy, Agnieszka Hałoń, Patryk Wawrzonkowski, Dariusz Janczak, Magdalena Krajewska, and Mirosław Banasik. 2023. "Indoleamine 2,3-Dioxygenase 1 (IDO1) in Kidney Transplantation: A Guardian against Rejection" Journal of Clinical Medicine 12, no. 24: 7531. https://doi.org/10.3390/jcm12247531
APA StyleWiśnicki, K., Donizy, P., Hałoń, A., Wawrzonkowski, P., Janczak, D., Krajewska, M., & Banasik, M. (2023). Indoleamine 2,3-Dioxygenase 1 (IDO1) in Kidney Transplantation: A Guardian against Rejection. Journal of Clinical Medicine, 12(24), 7531. https://doi.org/10.3390/jcm12247531

