Effect of Intraperitoneal Chemotherapy with Regorafenib on IL-6 and TNF-α Levels and Peritoneal Cytology: Experimental Study in Rats with Colorectal Peritoneal Carcinomatosis
Abstract
1. Introduction
2. Materials and Methods
2.1. Protocol
2.2. Experimental Animals
2.3. Experimental Procedures
- Group A (control group): midline laparotomy was performed and isothermic normal saline was administered, without any other intervention.
- Group B (CRS group): midline laparotomy, right hemicolectomy, and cytoreductive surgery were performed.
- Group C (IPEC group): midline laparotomy was performed and intraperitoneal chemotherapy with regorafenib (BAY 73-4506, Selleck Chemicals, Houston, TX, USA) was administered.
- Group D (CRS + IPEC group): midline laparotomy, right hemicolectomy, and CRS were performed and IPEC with regorafenib was administered.
2.3.1. Flow Cytometry Analysis (FACS) of Serum Cytokines
2.3.2. Peritoneal Cytology
2.4. Primary and Secondary Outcomes
2.5. Sample Size Calculation and Statistical Analysis
3. Results
3.1. Primary Outcomes
3.1.1. Serum IL-6
3.1.2. Serum TNF-α
3.2. Secondary Outcomes
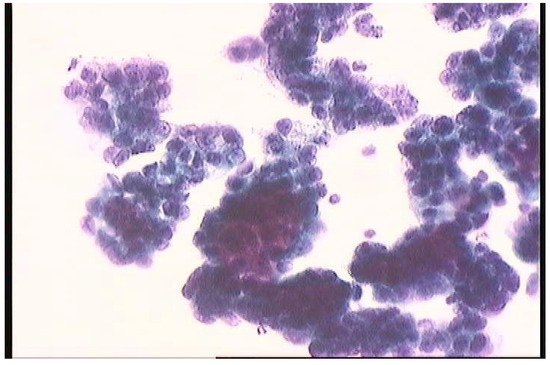
Peritoneal Cytology
4. Discussion
5. Conclusions
Author Contributions
Funding
Institutional Review Board Statement
Informed Consent Statement
Data Availability Statement
Conflicts of Interest
References
- Kranenburg, O.; van der Speeten, K.; de Hingh, I. Peritoneal Metastases from Colorectal Cancer: Defining and Addressing the Challenges. Front. Oncol. 2021, 11, 650098. [Google Scholar] [CrossRef] [PubMed]
- Sommariva, A.; Tonello, M.; Coccolini, F.; De Manzoni, G.; Delrio, P.; Pizzolato, E.; Gelmini, R.; Serra, F.; Rreka, E.; Pasqual, E.M.; et al. Colorectal Cancer with Peritoneal Metastases: The Impact of the Results of PROPHYLOCHIP, COLOPEC, and PRODIGE 7 Trials on Peritoneal Disease Management. Cancers 2022, 15, 165. [Google Scholar] [CrossRef] [PubMed]
- Kim, Y.J.; Kim, C.H. Treatment for Peritoneal Metastasis of Patients with Colorectal Cancer. Ann. Coloproctol. 2021, 37, 425–433. [Google Scholar] [CrossRef] [PubMed]
- Klaver, Y.L.B.; Lemmens, V.E.P.P.; Nienhuijs, S.W.; Luyer, M.D.P.; de Hingh, I.H.J.T. Peritoneal Carcinomatosis of Colorectal Origin: Incidence, Prognosis and Treatment Options. World J. Gastroenterol. 2012, 18, 5489–5494. [Google Scholar] [CrossRef] [PubMed]
- Rosa, F.; Galiandro, F.; Ricci, R.; Di Miceli, D.; Quero, G.; Fiorillo, C.; Cina, C.; Alfieri, S. Cytoreductive Surgery and Hyperthermic Intraperitoneal Chemotherapy (HIPEC) for Colorectal Peritoneal Metastases: Analysis of Short- and Long-Term Outcomes. Langenbeck’s Arch. Surg. 2021, 406, 2797–2805. [Google Scholar] [CrossRef] [PubMed]
- Mehta, S.S.; Bhatt, A.; Glehen, O. Cytoreductive Surgery and Peritonectomy Procedures. Indian J. Surg. Oncol. 2016, 7, 139–151. [Google Scholar] [CrossRef] [PubMed]
- MacArthur, K.M.; Nicholl, M.B. Principles and Innovations in Peritoneal Surface Malignancy Treatment. World J. Oncol. 2013, 4, 129–136. [Google Scholar] [CrossRef][Green Version]
- Bartoş, A.; Bartoş, D.; Raluca, S.; Mitre, C.; Hadade, A.; Iancu, I.; Cioltean, C.; Iancu, C.; Militaru, C.; Părău, A.; et al. Cytoreductive Surgery and Hyperthermic Intraperitoneal Chemotherapy for the Treatment of Peritoneal Carcinomatosis: Our Initial Experience. Chirurgia 2019, 114, 222–233. [Google Scholar] [CrossRef]
- Quénet, F.; Elias, D.; Roca, L.; Goéré, D.; Ghouti, L.; Pocard, M.; Facy, O.; Arvieux, C.; Lorimier, G.; Pezet, D.; et al. Cytoreductive Surgery plus Hyperthermic Intraperitoneal Chemotherapy versus Cytoreductive Surgery Alone for Colorectal Peritoneal Metastases (PRODIGE 7): A Multicentre, Randomised, Open-Label, Phase 3 Trial. Lancet Oncol. 2021, 22, 256–266. [Google Scholar] [CrossRef]
- Dhillon, S. Regorafenib: A Review in Metastatic Colorectal Cancer. Drugs 2018, 78, 1133–1144. [Google Scholar] [CrossRef]
- Arai, H.; Battaglin, F.; Wang, J.; Lo, J.H.; Soni, S.; Zhang, W.; Lenz, H.-J. Molecular Insight of Regorafenib Treatment for Colorectal Cancer. Cancer Treat. Rev. 2019, 81, 101912. [Google Scholar] [CrossRef] [PubMed]
- Kasprzak, A. The Role of Tumor Microenvironment Cells in Colorectal Cancer (Crc) Cachexia. Int. J. Mol. Sci. 2021, 22, 1565. [Google Scholar] [CrossRef] [PubMed]
- Zheng, J.; Wang, X.; Yu, J.; Zhan, Z.; Guo, Z. IL-6, TNF-α and IL-12p70 Levels in Patients with Colorectal Cancer and Their Predictive Value in Anti-Vascular Therapy. Front. Oncol. 2022, 12, 1–7. [Google Scholar] [CrossRef] [PubMed]
- Lemoine, L.; Sugarbaker, P.; Van der Speeten, K. Pathophysiology of Colorectal Peritoneal Carcinomatosis: Role of the Peritoneum. World J. Gastroenterol. 2016, 22, 7692–7707. [Google Scholar] [CrossRef]
- Gozalan, U.; Yasti, A.C.; Yuksek, Y.N.; Reis, E.; Kama, N.A. Peritoneal Cytology in Colorectal Cancer: Incidence and Prognostic Value. Am. J. Surg. 2007, 193, 672–675. [Google Scholar] [CrossRef] [PubMed]
- Bae, S.J.; Shin, U.S.; Ki, Y.-J.; Cho, S.S.; Moon, S.M.; Park, S.H. Role of Peritoneal Lavage Cytology and Prediction of Prognosis and Peritoneal Recurrence after Curative Surgery for Colorectal Cancer. Ann. Coloproctol. 2014, 30, 266–273. [Google Scholar] [CrossRef] [PubMed][Green Version]
- Percie du Sert, N.; Hurst, V.; Ahluwalia, A.; Alam, S.; Avey, M.T.; Baker, M.; Browne, W.J.; Clark, A.; Cuthill, I.C.; Dirnagl, U.; et al. The ARRIVE Guidelines 2.0: Updated Guidelines for Reporting Animal Research. PLoS Biol. 2020, 18, e3000410. [Google Scholar] [CrossRef]
- Helderman, R.F.C.P.A.; Löke, D.R.; Tanis, P.J.; Tuynman, J.B.; Ceelen, W.; de Hingh, I.H.; van der Speeten, K.; Franken, N.A.P.; Oei, A.L.; Kok, H.P.; et al. Preclinical In Vivo-Models to Investigate HIPEC.; Current Methodologies and Challenges. Cancers 2021, 13, 3430. [Google Scholar] [CrossRef]
- Bitsianis, S.; Mantzoros, I.; Gkiouliava, A.; Chatzakis, C.; Bekiari, C.; Loutzidou, L.; Ntampakis, G.; Christidis, P.; Domvri, K.; Porpodis, K.; et al. The Feasibility and Effect of Intraperitoneal Administration of Regorafenib on Peritoneal Carcinomatosis from Colorectal Cancer in the Rat. Ann. Ital. Chir. 2022, 93, 592–598. [Google Scholar]
- Sánchez-Hidalgo, J.M.; Rodríguez-Ortiz, L.; Arjona-Sánchez, Á.; Rufián-Peña, S.; Casado-Adam, Á.; Cosano-Álvarez, A.; Briceño-Delgado, J. Colorectal Peritoneal Metastases: Optimal Management Review. World J. Gastroenterol. 2019, 25, 3484–3502. [Google Scholar] [CrossRef]
- Siegel, R.L.; Wagle, N.S.; Cercek, A.; Smith, R.A.; Jemal, A. Colorectal Cancer Statistics, 2023. CA. Cancer J. Clin. 2023, 73, 233–254. [Google Scholar] [CrossRef] [PubMed]
- Nadler, A.; McCart, J.A.; Govindarajan, A. Peritoneal Carcinomatosis from Colon Cancer: A Systematic Review of the Data for Cytoreduction and Intraperitoneal Chemotherapy. Clin. Colon Rectal Surg. 2015, 28, 234–246. [Google Scholar] [CrossRef] [PubMed]
- Luo, J.; Wu, Z.; Lu, Y.; Xiong, K.; Wen, Q.; Zhao, L.; Wang, B.; Gui, Y.; Fu, S. Intraperitoneal Administration of Biocompatible Hyaluronic Acid Hydrogel Containing Multi-Chemotherapeutic Agents for Treatment of Colorectal Peritoneal Carcinomatosis. Int. J. Biol. Macromol. 2020, 152, 718–726. [Google Scholar] [CrossRef] [PubMed]
- Simkens, G.A.; Wintjens, A.G.W.E.; Rovers, K.P.; Nienhuijs, S.W.; de Hingh, I.H. Effective Strategies to Predict Survival of Colorectal Peritoneal Metastases Patients Eligible for Cytoreductive Surgery and Hipec. Cancer Manag. Res. 2021, 13, 5239–5249. [Google Scholar] [CrossRef] [PubMed]
- Grothey, A.; Prager, G.; Yoshino, T. The Mechanism of Action of Regorafenib in Colorectal Cancer: A Guide for the Community Physician. Clin. Adv. Hematol. Oncol. 2019, 17 (Suppl. S1), 1–19. [Google Scholar] [PubMed]
- Fukuoka, S.; Hara, H.; Takahashi, N.; Kojima, T.; Kawazoe, A.; Asayama, M.; Yoshii, T.; Kotani, D.; Tamura, H.; Mikamoto, Y.; et al. Regorafenib Plus Nivolumab in Patients With Advanced Gastric or Colorectal Cancer: An Open-Label, Dose-Escalation, and Dose-Expansion Phase Ib Trial (REGONIVO, EPOC1603). J. Clin. Oncol. Off. J. Am. Soc. Clin. Oncol. 2020, 38, 2053–2061. [Google Scholar] [CrossRef] [PubMed]
- Hansen, T.F.; Qvortrup, C.; Pfeiffer, P. Angiogenesis Inhibitors for Colorectal Cancer. A Review of the Clinical Data. Cancers 2021, 13, 1031. [Google Scholar] [CrossRef]
- Grünewald, S.; Stecklum, M.; Rizzo, M.; Rathjens, J.; Fiebig, L.; Zopf, D. Effects of Regorafenib on the Mononuclear/Phagocyte System and How These Contribute to the Inhibition of Colorectal Tumors in Mice. Eur. J. Med. Res. 2023, 28, 147. [Google Scholar] [CrossRef]
- Grothey, A.; Van Cutsem, E.; Sobrero, A.; Siena, S.; Falcone, A.; Ychou, M.; Humblet, Y.; Bouché, O.; Mineur, L.; Barone, C.; et al. Regorafenib Monotherapy for Previously Treated Metastatic Colorectal Cancer (CORRECT): An International, Multicentre, Randomised, Placebo-Controlled, Phase 3 Trial. Lancet 2013, 381, 303–312. [Google Scholar] [CrossRef]
- Li, J.; Qin, S.; Xu, R.; Yau, T.C.C.; Ma, B.; Pan, H.; Xu, J.; Bai, Y.; Chi, Y.; Wang, L.; et al. Regorafenib plus Best Supportive Care versus Placebo plus Best Supportive Care in Asian Patients with Previously Treated Metastatic Colorectal Cancer (CONCUR): A Randomised, Double-Blind, Placebo-Controlled, Phase 3 Trial. Lancet. Oncol. 2015, 16, 619–629. [Google Scholar] [CrossRef]
- Van Cutsem, E.; Martinelli, E.; Cascinu, S.; Sobrero, A.; Banzi, M.; Seitz, J.-F.; Barone, C.; Ychou, M.; Peeters, M.; Brenner, B.; et al. Regorafenib for Patients with Metastatic Colorectal Cancer Who Progressed After Standard Therapy: Results of the Large, Single-Arm, Open-Label Phase IIIb CONSIGN Study. Oncologist 2019, 24, 185–192. [Google Scholar] [CrossRef] [PubMed]
- Argilés, G.; Mulet, N.; Valladares-Ayerbes, M.; Viéitez, J.M.; Grávalos, C.; García-Alfonso, P.; Santos, C.; Tobeña, M.; García-Paredes, B.; Benavides, M.; et al. A Randomised Phase 2 Study Comparing Different Dose Approaches of Induction Treatment of Regorafenib in Previously Treated Metastatic Colorectal Cancer Patients (REARRANGE Trial). Eur. J. Cancer 2022, 177, 154–163. [Google Scholar] [CrossRef] [PubMed]
- Bekaii-Saab, T.S.; Ou, F.-S.; Ahn, D.H.; Boland, P.M.; Ciombor, K.K.; Heying, E.N.; Dockter, T.J.; Jacobs, N.L.; Pasche, B.C.; Cleary, J.M.; et al. Regorafenib Dose-Optimisation in Patients with Refractory Metastatic Colorectal Cancer (ReDOS): A Randomised, Multicentre, Open-Label, Phase 2 Study. Lancet. Oncol. 2019, 20, 1070–1082. [Google Scholar] [CrossRef] [PubMed]
- Xia, D.; Hu, C.; Hou, Y. Regorafenib Loaded Self-Assembled Lipid-Based Nanocarrier for Colorectal Cancer Treatment via Lymphatic Absorption. Eur. J. Pharm. Biopharm. Off. J. 2023, 185, 165–176. [Google Scholar] [CrossRef] [PubMed]
- Zopf, D.; Heinig, R.; Thierauch, K.-H.; Hirth-Dietrich, C.; Hafner, F.-T.; Christensen, O.; Lin, T.; Wilhelm, S.; Radtke, M. Abstract 1666: Regorafenib (BAY 73-4506): Preclinical Pharmacology and Clinical Identification and Quantification of Its Major Metabolites. Cancer Res. 2010, 70, 1666. [Google Scholar] [CrossRef]
- Wilhelm, S.M.; Dumas, J.; Adnane, L.; Lynch, M.; Carter, C.A.; Schütz, G.; Thierauch, K.H.; Zopf, D. Regorafenib (BAY 73-4506): A New Oral Multikinase Inhibitor of Angiogenic, Stromal and Oncogenic Receptor Tyrosine Kinases with Potent Preclinical Antitumor Activity. Int. J. Cancer 2011, 129, 245–255. [Google Scholar] [CrossRef] [PubMed]
- Zopf, D.; Fichtner, I.; Bhargava, A.; Steinke, W.; Thierauch, K.H.; Diefenbach, K.; Wilhelm, S.; Hafner, F.T.; Gerisch, M. Pharmacologic Activity and Pharmacokinetics of Metabolites of Regorafenib in Preclinical Models. Cancer Med. 2016, 5, 3176–3185. [Google Scholar] [CrossRef] [PubMed]
- Van der Speeten, K.; Anthony Stuart, O.; Sugarbaker, P.H. Pharmacology of Perioperative Intraperitoneal and Intravenous Chemotherapy in Patients with Peritoneal Surface Malignancy. Surg. Oncol. Clin. N. Am. 2012, 21, 577–597. [Google Scholar] [CrossRef]
- Verhulst, J. Effects of Bevacizumab and Hyperthermia in a Rodent Model of Hyperthermic Intraperitoneal Chemotherapy (HIPEC). Int. J. Hyperth. 2013, 29, 62–70. [Google Scholar] [CrossRef]
- Raue, W.; Kilian, M.; Braumann, C.; Atanassow, V.; Makareinis, A.; Caldenas, S.; Schwenk, W.; Hartmann, J. Multimodal Approach for Treatment of Peritoneal Surface Malignancies in a Tumour-Bearing Rat Model. Int. J. Colorectal Dis. 2010, 25, 245–250. [Google Scholar] [CrossRef]
- Klaver, Y.L.B.; Hendriks, T.; Lomme, R.M.L.M.; Rutten, H.J.T.; Bleichrodt, R.P.; De Hingh, I.H.J.T. Intraoperative Hyperthermic Intraperitoneal Chemotherapy after Cytoreductive Surgery for Peritoneal Carcinomatosis in an Experimental Model. Br. J. Surg. 2010, 97, 1874–1880. [Google Scholar] [CrossRef] [PubMed]
- Cohen, M.S.; Al-Kasspooles, M.F.; Williamson, S.K.; Henry, D.; Broward, M.; Roby, K.F. Combination Intraperitoneal Chemotherapy Is Superior to Mitomycin C or Oxaliplatin for Colorectal Carcinomatosis in Vivo. Ann. Surg. Oncol. 2010, 17, 296–303. [Google Scholar] [CrossRef] [PubMed]
- Nikiteas, N.I.; Tzanakis, N.; Gazouli, M.; Rallis, G.; Daniilidis, K.; Theodoropoulos, G.; Kostakis, A.; Peros, G. Serum IL-6, TNFalpha and CRP Levels in Greek Colorectal Cancer Patients: Prognostic Implications. World J. Gastroenterol. 2005, 11, 1639–1643. [Google Scholar] [CrossRef]
- Waldner, M.J.; Foersch, S.; Neurath, M.F. Interleukin-6--a Key Regulator of Colorectal Cancer Development. Int. J. Biol. Sci. 2012, 8, 1248–1253. [Google Scholar] [CrossRef]
- De Simone, V.; Franzè, E.; Ronchetti, G.; Colantoni, A.; Fantini, M.C.; Di Fusco, D.; Sica, G.S.; Sileri, P.; Macdonald, T.T.; Pallone, F.; et al. Th17-Type Cytokines, IL-6 and TNF-α Synergistically Activate STAT3 and NF-KB to Promote Colorectal Cancer Cell Growth. Oncogene 2015, 34, 3493–3503. [Google Scholar] [CrossRef] [PubMed]
- Ziprin, P.; Ridgway, P.F.; Pfistermüller, K.L.M.; Peck, D.H.; Darzi, A.W. ICAM-1 Mediated Tumor-Mesothelial Cell Adhesion Is Modulated by IL-6 and TNF-α: A Potential Mechanism by Which Surgical Trauma Increases Peritoneal Metastases. Cell Commun. Adhes. 2003, 10, 141–154. [Google Scholar] [CrossRef] [PubMed]
- Jonji, B.N.; Peri, G.; Bernasconi, S.; Sciacca, F.L.; Colotta, F.; Pelicci, P.; Lanfrancone, L.; Mantovani, A.; Perugia, U. Expression of adhesion molecules and chemotactic cytokines in cultured human mesothelial cells. J. Exp. Med. 1992, 176, 1165–1174. [Google Scholar] [CrossRef]
- Devilee, R.A.; Simkens, G.A.; van Oudheusden, T.R.; Rutten, H.J.; Creemers, G.J.; Ten Tije, A.J.; de Hingh, I.H. Increased Survival of Patients with Synchronous Colorectal Peritoneal Metastases Receiving Preoperative Chemotherapy Before Cytoreductive Surgery and Hyperthermic Intraperitoneal Chemotherapy. Ann. Surg. Oncol. 2016, 23, 2841–2848. [Google Scholar] [CrossRef]
- Ayhan, A.; Gultekin, M.; Taskiran, C.; Dursun, P.; Firat, P.; Bozdag, G.; Celik, N.Y.; Yuce, K. Ascites and Epithelial Ovarian Cancers: A Reappraisal with Respect to Different Aspects. Int. J. Gynecol. Cancer Off. J. Int. Gynecol. Cancer Soc. 2007, 17, 68–75. [Google Scholar] [CrossRef]
- Mezhir, J.J.; Shah, M.A.; Jacks, L.M.; Brennan, M.F.; Coit, D.G.; Strong, V.E. Positive Peritoneal Cytology in Patients with Gastric Cancer: Natural History and Outcome of 291 Patients. Ann. Surg. Oncol. 2010, 17, 3173–3180. [Google Scholar] [CrossRef]
- Lee, I.K.; Kim, D.H.; Gorden, D.L.; Lee, Y.S.; Sung, N.Y.; Park, G.S.; Kim, H.J.; Kang, W.K.; Park, J.K.; Ahn, C.H.; et al. Prognostic Value of CEA and CA 19-9 Tumor Markers Combined with Cytology from Peritoneal Fluid in Colorectal Cancer. Ann. Surg. Oncol. 2009, 16, 861–870. [Google Scholar] [CrossRef]
- Sugarbaker, P.H.; Deng, T.; Chang, D. Peritoneal Cytology as an Indicator of Peritoneal Metastases in Colorectal Cancer. J. Surg. Oncol. 2021, 124, 361–366. [Google Scholar] [CrossRef]
- Kanellos, I.; Zacharakis, E.; Kanellos, D.; Pramateftakis, M.G.; Betsis, D. Prognostic Significance of CEA Levels and Positive Cytology in Peritoneal Washings in Patients with Colorectal Cancer. Color. Dis. 2006, 8, 436–440. [Google Scholar] [CrossRef]





Disclaimer/Publisher’s Note: The statements, opinions and data contained in all publications are solely those of the individual author(s) and contributor(s) and not of MDPI and/or the editor(s). MDPI and/or the editor(s) disclaim responsibility for any injury to people or property resulting from any ideas, methods, instructions or products referred to in the content. |
© 2023 by the authors. Licensee MDPI, Basel, Switzerland. This article is an open access article distributed under the terms and conditions of the Creative Commons Attribution (CC BY) license (https://creativecommons.org/licenses/by/4.0/).
Share and Cite
Bitsianis, S.; Mantzoros, I.; Anestiadou, E.; Christidis, P.; Chatzakis, C.; Zapsalis, K.; Symeonidis, S.; Ntampakis, G.; Domvri, K.; Tsakona, A.; et al. Effect of Intraperitoneal Chemotherapy with Regorafenib on IL-6 and TNF-α Levels and Peritoneal Cytology: Experimental Study in Rats with Colorectal Peritoneal Carcinomatosis. J. Clin. Med. 2023, 12, 7267. https://doi.org/10.3390/jcm12237267
Bitsianis S, Mantzoros I, Anestiadou E, Christidis P, Chatzakis C, Zapsalis K, Symeonidis S, Ntampakis G, Domvri K, Tsakona A, et al. Effect of Intraperitoneal Chemotherapy with Regorafenib on IL-6 and TNF-α Levels and Peritoneal Cytology: Experimental Study in Rats with Colorectal Peritoneal Carcinomatosis. Journal of Clinical Medicine. 2023; 12(23):7267. https://doi.org/10.3390/jcm12237267
Chicago/Turabian StyleBitsianis, Stefanos, Ioannis Mantzoros, Elissavet Anestiadou, Panagiotis Christidis, Christos Chatzakis, Konstantinos Zapsalis, Savvas Symeonidis, Georgios Ntampakis, Kalliopi Domvri, Anastasia Tsakona, and et al. 2023. "Effect of Intraperitoneal Chemotherapy with Regorafenib on IL-6 and TNF-α Levels and Peritoneal Cytology: Experimental Study in Rats with Colorectal Peritoneal Carcinomatosis" Journal of Clinical Medicine 12, no. 23: 7267. https://doi.org/10.3390/jcm12237267
APA StyleBitsianis, S., Mantzoros, I., Anestiadou, E., Christidis, P., Chatzakis, C., Zapsalis, K., Symeonidis, S., Ntampakis, G., Domvri, K., Tsakona, A., Bekiari, C., Ioannidis, O., & Aggelopoulos, S. (2023). Effect of Intraperitoneal Chemotherapy with Regorafenib on IL-6 and TNF-α Levels and Peritoneal Cytology: Experimental Study in Rats with Colorectal Peritoneal Carcinomatosis. Journal of Clinical Medicine, 12(23), 7267. https://doi.org/10.3390/jcm12237267

