Cardiac Post-Chest Radiotherapy Complications in a 50-Year-Old Patient with Hodgkin Lymphoma
Abstract
:1. Introduction
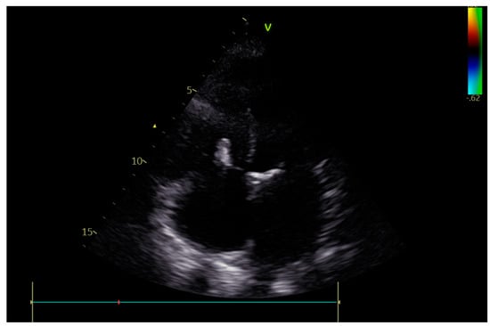
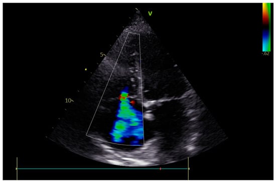
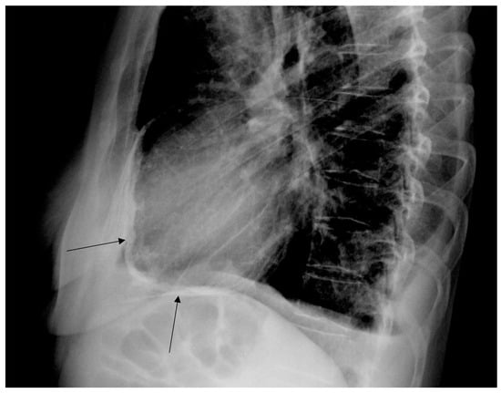
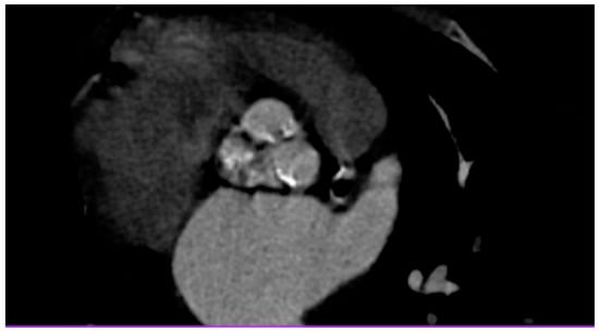
2. Case Report
3. Discussion
3.1. Pericarditis
3.2. Coronary Artery Disease
3.3. Valvular Defects
4. Conclusions
Author Contributions
Funding
Institutional Review Board Statement
Informed Consent Statement
Data Availability Statement
Conflicts of Interest
References
- Lyon, A.R.; López-Fernández, T.; Couch, L.S.; Asteggiano, R.; Aznar, M.C.; Bergler-Klein, J.; Boriani, G.; Cardinale, D.; Cordoba, R.; Cosyns, B.; et al. 2022 ESC Guidelines on cardio-oncology developed in collaboration with the European Hematology Association (EHA), the European Society for Therapeutic Radiology and Oncology (ESTRO) and the International Cardio-Oncology Society (IC-OS). Eur. Heart J. 2022, 43, 4229–4361. [Google Scholar] [CrossRef] [PubMed]
- Bergom, C.; Bradley, J.A.; Ng, A.K.; Samson, P.; Robinson, C.; Lopez-Mattei, J.; Mitchell, J.D. Past, Present, and Future of Radiation-Induced Cardiotoxicity: Refinements in Targeting, Surveillance, and Risk Stratification. Cardio Oncol. 2021, 3, 343–359. [Google Scholar] [CrossRef]
- Mulrooney, D.A.; Yeazel, M.W.; Kawashima, T.; Mertens, A.C.; Mitby, P.; Stovall, M.; Donldson, S.S.; Green, D.M.; Sklar, C.A.; Robison, L.L.; et al. Cardiac outcomes in a cohort of adult survivors of childhood and adolescent cancer: Retrospective analysis of the childhood cancer survivor study cohort. BMJ 2009, 339, 34. [Google Scholar] [CrossRef] [PubMed]
- Płońska-Gościniak, E.; Piotrowski, G.; Wojakowski, W.; Gościniak, P.; Olszowska, M.; Lesiak, M.; Klotzka, A.; Grygier, M.; Deja, M.; Kasprzak, J.D.; et al. Management of valvular heart disease in patients with cancer: Multidisciplinary team, cancer-therapy related cardiotoxicity, diagnosis, transcatheter intervention, and cardiac surgery. Expert opinion of the Association on Valvular Heart Disease, Association. Pol. Heart J. 2023, 81, 82–101. [Google Scholar]
- Desai, M.Y.; Cremer, P.C.; Schoenhagen, P. Thoracic Aortic Calcification: Diagnostic, Prognostic, and Management Considerations. JACC Cardiovasc. Imaging 2018, 11, 1012–1026. [Google Scholar] [CrossRef] [PubMed]
- Fukada, J.; Shigematsu, N.; Takeuchi, H.; Ohashi, T.; Saikawa, Y.; Takaishi, H.; Hanada, T.; Shiraishi, Y.; Kitagawa, Y.; Fukuda, K. Symptomatic pericardial effusion after chemoradiation therapy in esophageal cancer patients. Int. J. Radiat. Oncol. Biol. Phys. 2013, 87, 487–493. [Google Scholar] [CrossRef] [PubMed]
- Desai, M.Y.; Windecker, S.; Lancelotti, P.; Bax, J.J.; Griffin, B.P.; Cahlon, O.; Johnston, D.R. Prevention, Diagnosis, and Management of Radiation-Associated Cardiac Disease: JACC Scientific Expert Panel. J. Am. Coll. Cardiol. 2019, 74, 905–927. [Google Scholar] [CrossRef] [PubMed]
- Taylor, C.W.; Nisbet, A.; McGale, P.; Goldman, U.; Darby, S.C.; Hall, P.; Gagilardi, G. Cardiac doses from Swedish breast cancer radiotherapy since the 1950s. Radiother. Oncol. 2009, 90, 127–135. [Google Scholar] [CrossRef] [PubMed]
- Wennstig, A.K.; Garmo, H.; Isacsson, U.; Gagilardi, G.; Rintela, N.; Lagerqwist, B.; Holmberg, L.; Blomqvist, C.; Sund, M.; Nilsson, G. The relationship between dose radiations to coronary arteries and location of coronary stenosis requiring intervention in breast cancer survivors. Radiat. Oncol. 2019, 14, 40. [Google Scholar] [CrossRef] [PubMed]
- Crestanello, J.A.; McGregor, C.G.A.; Danielson, G.K.; Daly, R.C.; Dearani, J.A.; Orszulak, T.A.; Mullany, C.J.; Puga, F.J.; Zehr, K.J.; Schleck, C.; et al. Mitral and tricuspid valve repair in patients with previous mediastinal radiation therapy. Ann. Thorac. Surg. 2004, 78, 826–831. [Google Scholar] [CrossRef]
- Baumgartner, H.; Falk, V.; Bax, J.J.; De Bonis, M.; Hamm, C.; Holm, P.J.; Iung, B.; Lancelotti, P.; Lansac, E.; Rodriguez Munoz, D.; et al. 2017 ESC/EACTS Guidelines for the management of valvular heart disease. Eur. Heart J. 2017, 38, 2739–2791. [Google Scholar] [CrossRef]
- Krasiński, Z.; Urbanek, T.; Undas, A.; Rupa-Matysek, J.; Araszkiewicz, A.; Derwich, K.; Klotzka, A.; Antoniewicz, A.; Begier-Karasińska, B.; Piwkowski, C.; et al. Guidelines on the prevention and treatment of venous thromboembolism in cancer patients treated surgically, including patients under 18 years of age. Acta Angiol. 2021, 27, 81–112. [Google Scholar] [CrossRef]
- Valgimigli, M.; Frigoli, E.; Vranckx, P.; Ozaki, Y.; Morice, M.C.; Chevalier, B.; Onuma, Y.; Windecker, S.; Delorme, L.; Kala, P.; et al. Impact of Medication Nonadherence in a Clinical Trial of Dual Antiplatelet Therapy. J. Am. Coll. Cardiol. 2022, 80, 766–778. [Google Scholar] [CrossRef] [PubMed]
- Asch, F.M.; Grayburn, P.A.; Siegel, R.J.; Kar, S.; Scott Lim, D.; Zaroff, J.G.; Mishell, J.M.; Whisenant, B.; Mack, M.J.; Lindenfeld, J.; et al. Echocardiographic Outcomes After Transcatheter Leaflet Approximation in Patients with Secondary Mitral Regurgitation: The COAPT Trial. J. Am. Coll. Cardiol. 2019, 74, 2969–2979. [Google Scholar] [CrossRef] [PubMed]






Disclaimer/Publisher’s Note: The statements, opinions and data contained in all publications are solely those of the individual author(s) and contributor(s) and not of MDPI and/or the editor(s). MDPI and/or the editor(s) disclaim responsibility for any injury to people or property resulting from any ideas, methods, instructions or products referred to in the content. |
© 2023 by the authors. Licensee MDPI, Basel, Switzerland. This article is an open access article distributed under the terms and conditions of the Creative Commons Attribution (CC BY) license (https://creativecommons.org/licenses/by/4.0/).
Share and Cite
Klotzka, A.; Sobańska, K.; Iwańczyk, S.; Grygier, M.; Woźniak, P.; Błaszyk, M.; Rozwadowska, N.; Lesiak, M. Cardiac Post-Chest Radiotherapy Complications in a 50-Year-Old Patient with Hodgkin Lymphoma. J. Clin. Med. 2023, 12, 6506. https://doi.org/10.3390/jcm12206506
Klotzka A, Sobańska K, Iwańczyk S, Grygier M, Woźniak P, Błaszyk M, Rozwadowska N, Lesiak M. Cardiac Post-Chest Radiotherapy Complications in a 50-Year-Old Patient with Hodgkin Lymphoma. Journal of Clinical Medicine. 2023; 12(20):6506. https://doi.org/10.3390/jcm12206506
Chicago/Turabian StyleKlotzka, Aneta, Karolina Sobańska, Sylwia Iwańczyk, Marek Grygier, Patrycja Woźniak, Maciej Błaszyk, Natalia Rozwadowska, and Maciej Lesiak. 2023. "Cardiac Post-Chest Radiotherapy Complications in a 50-Year-Old Patient with Hodgkin Lymphoma" Journal of Clinical Medicine 12, no. 20: 6506. https://doi.org/10.3390/jcm12206506
APA StyleKlotzka, A., Sobańska, K., Iwańczyk, S., Grygier, M., Woźniak, P., Błaszyk, M., Rozwadowska, N., & Lesiak, M. (2023). Cardiac Post-Chest Radiotherapy Complications in a 50-Year-Old Patient with Hodgkin Lymphoma. Journal of Clinical Medicine, 12(20), 6506. https://doi.org/10.3390/jcm12206506

