Electrocardiographic Time-Intervals Waveforms as Potential Predictors for Severe Acute Kidney Injury in Critically Ill Patients
Abstract
1. Introduction
2. Materials and Methods
2.1. Study Protocol
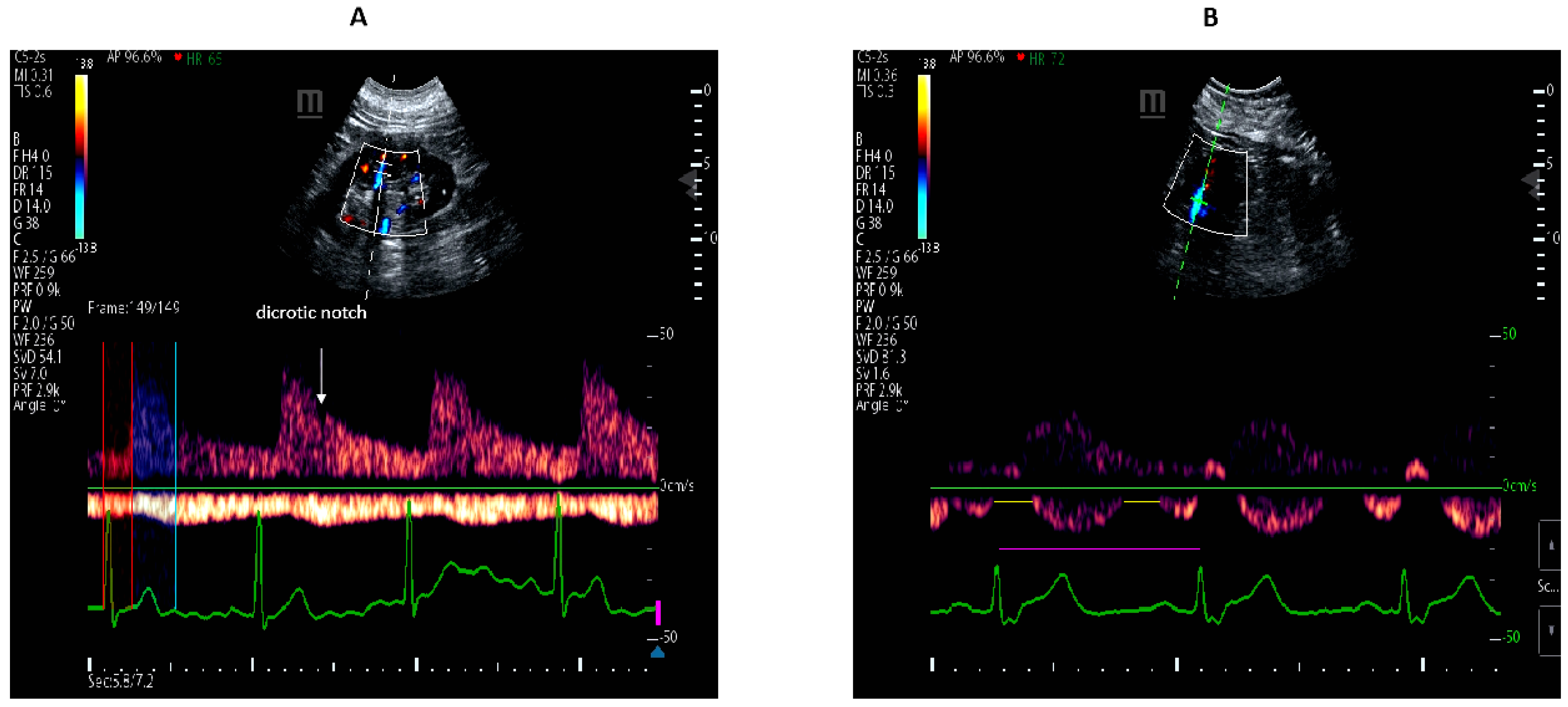
2.2. Color Doppler Ultrasonography
2.3. Calculated Parameters
2.4. Clinical and Laboratory Data
2.5. Statistical Analysis
3. Results
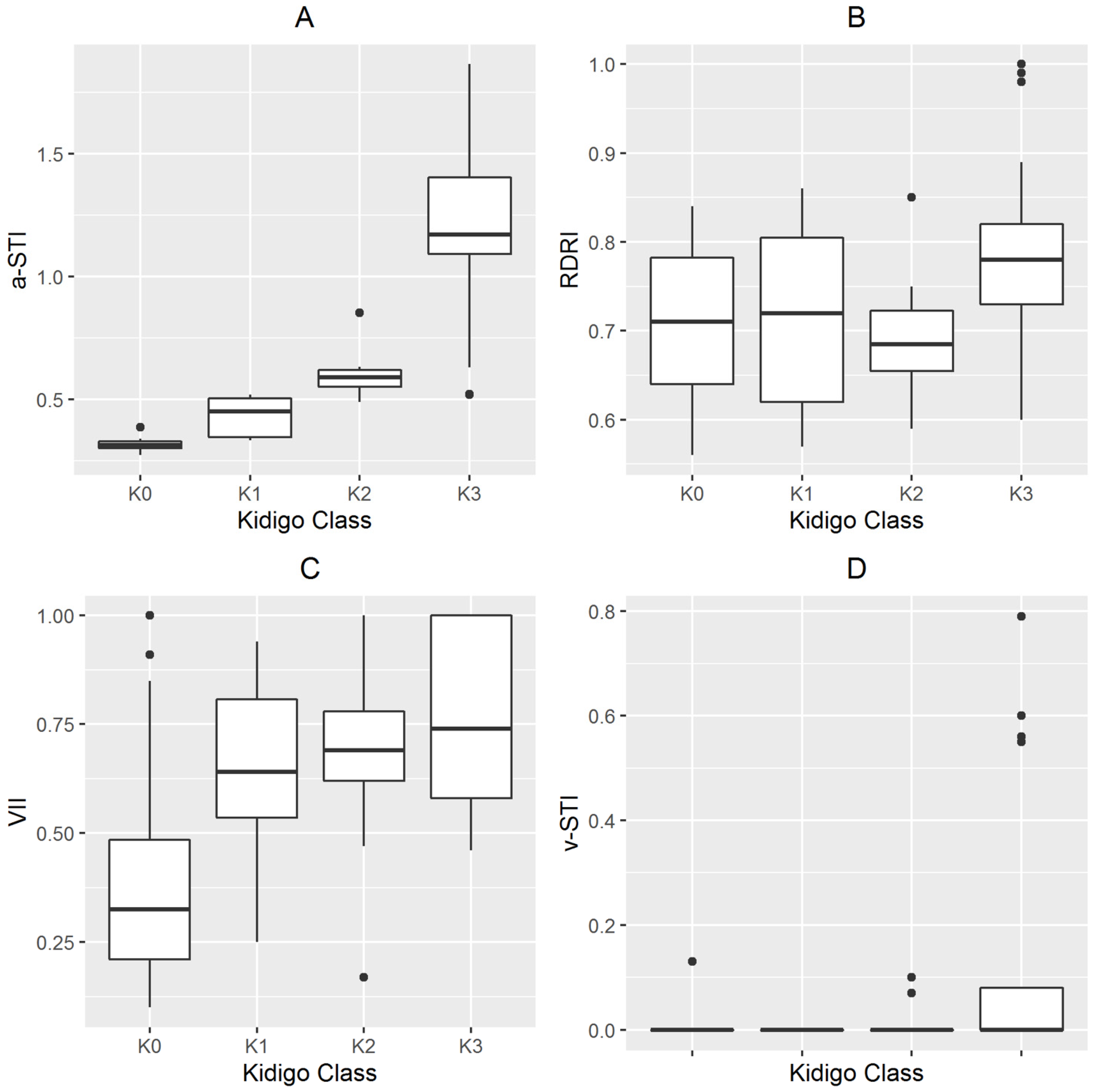
3.1. Comparisons of Predictive Values for the Diagnosis of AKI
3.2. Correlation Analysis of a-STI
4. Discussion
5. Conclusions
Author Contributions
Funding
Institutional Review Board Statement
Informed Consent Statement
Data Availability Statement
Acknowledgments
Conflicts of Interest
Abbreviations
| AKI | acute kidney injury |
| ICU | intensive care units |
| RDRI | renal Doppler resistive index |
| VII | venous impedance index |
| a-STI | arterial systolic time intervals |
| v-STI | venous systolic time intervals |
| Rp-ET | renal pre-ejection time |
| RET | renal ejection time |
References
- Thakar, C.V. Perioperative acute kidney injury. Adv. Chronic Kidney Dis. 2013, 20, 67–75. [Google Scholar] [CrossRef] [PubMed]
- Grams, M.E.; Sang, Y.; Coresh, J.; Ballew, S.; Matsushita, K.; Molnar, M.Z.; Szabo, Z.; Kalantar-Zadeh, K.; Kovesdy, C.P. Acute kidney injury after major surgery: A retrospective analysis of veterans health administration data. Am. J. Kidney Dis. 2016, 67, 872–880. [Google Scholar] [CrossRef] [PubMed]
- Gameiro, J.; Fonseca, J.A.; Neves, M.; Jorge, S.; Lopes, J.A. Acute kidney injury in major abdominal surgery: Incidence, risk factors, pathogenesis and outcomes. Ann. Intensive Care. 2018, 8, 22. [Google Scholar] [CrossRef] [PubMed]
- Chawla, L.S.; Bellomo, R.; Bihorac, A.; Goldstein, S.L.; Siew, E.D.; Bagshaw, S.M.; Bittleman, D.; Cruz, D.; Endre, Z.; Fitzgerald, R.L.; et al. Acute kidney disease and renal Recovery: Consensus report of the acute disease quality initiative (ADQI) 16 Workgroup. Nat. Rev. Nephrol. 2017, 13, 241–257. [Google Scholar] [CrossRef] [PubMed]
- Kellum, J.A.; Lameire, N. KDIGO AKI Guideline work group diagnosis, evaluation, and management of acute kidney injury: A KDIGO summary (Part 1). Crit. Care 2013, 17, 204. [Google Scholar] [CrossRef]
- Ronco, C.; Bellomo, R.; Kellum, J.A. Acute kidney injury. Lancet 2019, 394, 1949–1964. [Google Scholar] [CrossRef]
- Zarbock, A.; Kellum, J.A.; Schmidt, C.; Van Aken, H.; Wempe, C.; Pavenstädt, H.; Boanta, A.; Gerß, J.; Meersch, M. Effect of early vs delayed initiation of renal replacement therapy on mortality in critically ill patients with acute kidney injury: The ELAIN Randomized Clinical Trial. JAMA 2016, 315, 2190–2199. [Google Scholar] [CrossRef]
- Meersch, M.; Küllmar, M.; Schmidt, C.; Gerss, J.; Weinhage, T.; Margraf, A.; Ermert, T.; Kellum, J.A.; Zarbock, A. long-term clinical outcomes after early initiation of RRT in critically ill patients with AKI. J. Am. Soc. Nephrol. 2018, 29, 1011–1019. [Google Scholar] [CrossRef]
- Lerolle, N.; Guérot, E.; Faisy, C.; Bornstain, C.; Diehl, J.-L.; Fagon, J.-Y. Renal failure in septic shock: Predictive value of doppler-based renal arterial resistive index. Intensive Care Med. 2006, 32, 1553–1559. [Google Scholar] [CrossRef]
- Platt, J.F.; Rubin, J.M.; Ellis, J.H. Acute renal failure: Possible role of duplex doppler US in distinction between acute prerenal failure and acute tubular necrosis. Radiology 1991, 179, 419–423. [Google Scholar] [CrossRef]
- Myher, J.J.; Kuksis, A.; Pind, S. Molecular species of glycerophospholipids and sphingomyelins of human plasma: Comparison to red blood cells. Lipids 1989, 24, 408–418. [Google Scholar] [CrossRef] [PubMed]
- Tedesco, M.A.; Natale, F.; Mocerino, R.; Tassinario, G.; Calabrò, R. Renal Resistive Index and Cardiovascular Organ Damage in a Large Population of Hypertensive Patients. J. Hum. Hypertens. 2007, 21, 291–296. [Google Scholar] [CrossRef] [PubMed]
- Corradi, F.; Brusasco, C.; Vezzani, A.; Palermo, S.; Altomonte, F.; Moscatelli, P.; Pelosi, P. Hemorrhagic shock in polytrauma patients: Early detection with renal doppler resistive index measurements. Radiology 2011, 260, 112–118. [Google Scholar] [CrossRef] [PubMed]
- Corradi, F.; Brusasco, C.; Paparo, F.; Manca, T.; Santori, G.; Benassi, F.; Molardi, A.; Gallingani, A.; Ramelli, A.; Gherli, T.; et al. Renal doppler resistive index as a marker of oxygen supply and demand mismatch in postoperative cardiac surgery patients. Biomed. Res. Int. 2015, 2015, 763940. [Google Scholar] [CrossRef]
- Corradi, F.; Brusasco, C.; Via, G.; Tavazzi, G.; Forfori, F. Renal doppler-based assessment of regional organ perfusion in the critically ill patient. Shock 2021, 55, 842–843. [Google Scholar] [CrossRef]
- Corradi, F.; Via, G.; Tavazzi, G. What’s new in ultrasound-based assessment of organ perfusion in the critically ill: Expanding the bedside clinical monitoring window for hypoperfusion in shock. Intensive Care Med. 2020, 46, 775–779. [Google Scholar] [CrossRef]
- Darmon, M.; Bourmaud, A.; Reynaud, M.; Rouleau, S.; Meziani, F.; Boivin, A.; Benyamina, M.; Vincent, F.; Lautrette, A.; Leroy, C.; et al. Performance of doppler-based resistive index and semi-quantitative renal perfusion in predicting persistent aki: Results of a prospective multicenter study. Intensive Care Med. 2018, 44, 1904–1913. [Google Scholar] [CrossRef]
- Ichai, C.; Vinsonneau, C.; Souweine, B.; Armando, F.; Canet, E.; Clec’h, C.; Constantin, J.-M.; Darmon, M.; Duranteau, J.; Gaillot, T.; et al. Acute kidney injury in the perioperative period and in intensive care units (excluding renal replacement therapies). Ann. Intensive Care 2016, 6, 48. [Google Scholar] [CrossRef]
- Nijst, P.; Martens, P.; Dupont, M.; Tang, W.H.W.; Mullens, W. Intrarenal flow alterations during transition from euvolemia to intravascular volume expansion in heart failure patients. JACC Heart Fail. 2017, 5, 672–681. [Google Scholar] [CrossRef]
- Jeong, S.H.; Jung, D.C.; Kim, S.H.; Kim, S.H. Renal venous doppler ultrasonography in normal subjects and patients with diabetic nephropathy: Value of venous impedance index measurements. J. Clin. Ultrasound 2011, 39, 512–518. [Google Scholar] [CrossRef]
- Boudoulas, H.; Rittgers, S.E.; Lewis, R.P.; Leier, C.V.; Weissler, A.M. Changes in diastolic time with various pharmacologic agents: Implication for myocardial perfusion. Circulation 1979, 60, 164–169. [Google Scholar] [CrossRef] [PubMed]
- Husain-Syed, F.; Birk, H.-W.; Ronco, C.; Schörmann, T.; Tello, K.; Richter, M.J.; Wilhelm, J.; Sommer, N.; Steyerberg, E.; Bauer, P.; et al. Doppler-derived renal venous stasis index in the prognosis of right heart failure. J. Am. Heart Assoc. 2019, 8, e013584. [Google Scholar] [CrossRef] [PubMed]
- Porter, T.R.; Shillcutt, S.K.; Adams, M.S.; Desjardins, G.; Glas, K.E.; Olson, J.J.; Troughton, R.W. Guidelines for the use of echocardiography as a monitor for therapeutic intervention in adults: A report from the american society of echocardiography. J. Am. Soc. Echocardiogr. 2015, 28, 40–56. [Google Scholar] [CrossRef] [PubMed]
- Levey, A.S.; Eckardt, K.-U.; Tsukamoto, Y.; Levin, A.; Coresh, J.; Rossert, J.; De Zeeuw, D.; Hostetter, T.H.; Lameire, N.; Eknoyan, G. definition and classification of chronic kidney disease: A position statement from kidney disease: Improving global outcomes (KDIGO). Kidney Int. 2005, 67, 2089–2100. [Google Scholar] [CrossRef] [PubMed]
- Lewis, R.P.; Rittogers, S.E.; Froester, W.F.; Boudoulas, H. A critical review of the systolic time intervals. Circulation 1977, 56, 146–158. [Google Scholar] [CrossRef]
- Tavakolian, K. Systolic time intervals and new measurement methods. Cardiovasc. Eng. Technol. 2016, 7, 118–125. [Google Scholar] [CrossRef]
- Boudoulas, H. Systolic time intervals. Eur. Heart J. 1990, 11, 93–104. [Google Scholar] [CrossRef]
- Hassan, S.; Turner, P. Systolic time intervals: A review of the method in the non-invasive investigation of cardiac function in health, disease and clinical pharmacology. Postgrad. Med. J. 1983, 59, 423–434. [Google Scholar] [CrossRef]
- Salzman, S.H.; Wolfson, S.; Jackson, B.; Schechter, E. Epinephrine infusion in man. standardization, normal response, and abnormal response in idiopathic hypertrophic subaortic stenosis. Circulation 1971, 43, 137–144. [Google Scholar] [CrossRef]
- Hunt, D.; Sloman, G.; Clark, R.M.; Hoffmann, G. Effects of beta-adrenergic blockade on the systolic time intervals. Am. J. Med. Sci. 1970, 259, 97–113. [Google Scholar] [CrossRef]





| Characteristics | All Patients n = 63 | KDIGO 0 n = 28 | KDIGO 1 n = 8 | KDIGO 2 n = 10 | KDIGO 3 n = 17 | p |
|---|---|---|---|---|---|---|
| Male, n (%) | 45 (71) | 15 (54) | 8 (100) | 9 (90) | 13 (77) | 0.021 * |
| Age | 70 (63–76) | 65 (55–77) | 74 (71–79) | 71 (66–74) | 71 (66–77) | 0.147 |
| BMI, kg/m2 | 25 (23–27) | 25 (24–30) | 25 (22–27) | 24 (23–27) | 26 (23–27) | 0.302 |
| Hypertension, n (%) | 33 | 14 (50) | 6 (75) | 4 (40) | 9 (53) | 0.525 |
| Diabetes, n (%) | 11 | 4 (14) | 1 (13) | 0 (0) | 6 (35) | 0.112 |
| CHD, n (%) | 11 | 2 (7) | 2 (25) | 1 (10) | 6 (35) | 0.090 |
| SOFA score | 2 (0–5) | 2 (2–2) | 1 (1–2) | 0 (0–1) | 6 (0–8) | 0.003 § |
| HR (bpm) | 70 (65–92) | 70 (62–96) | 69 (57–86) | 83 (70–92) | 70 (66–89) | 0.752 |
| MAP, mmHg | 86 (67–94) | 85 (70–98) | 82 (67–92) | 74 (63–97) | 90 (69–94) | 0.846 |
| pH | 7.40 (7.35–7.43) | 7.41 (7.34–7.46) | 7.41 (7.38–7.43) | 7.42 (7.38–7.50) | 7.40 (7.35–7.42) | 0.777 |
| pO2, mmHg | 108 (87–146) | 100 (83–154) | 100 (89–103) | 109 (90–155) | 108 (87–151) | 0.968 |
| pCO2, mmHg | 41 (40–45) | 42 (40–49) | 41 (40–44) | 42 (34–47) | 41 (38–45) | 0.693 |
| HCO3, mmol/L | 26 (23–28) | 27 (24–28) | 26 (26–30) | 24 (21–28) | 25 (23–27) | 0.587 |
| Base excess | 1.4 (−1.9/3.9) | 1.7 (−0.37/4.58) | 1.8 (1.25/5.4) | −0.25 (−2.4/3.13) | 0.9 (−2–20/2.40) | 0.481 |
| Arterial lactate, mmol/L | 1.2 (1.0–2.2) | 1.2 (0.9–2.2) | 1.15 (1.03–1.53) | 1.6 (0.98–3.28) | 1.5 (1.00–2.50) | 0.396 |
| Serum K, mmol/L | 3.8 (3.6–4.3) | 3.8 (3.7–4.3) | 3.7 (3.5–4.3) | 3.8 (3.6–4) | 3.7 (3.6–4.3) | 0.585 |
| Serum Na, mmol/L | 136 (135–139) | 136 (134–139) | 136 (134–140) | 139 (135–143) | 136 (135–140) | 0.128 |
| SCr, mg/dL | 0.99 (0.79–1.22) | 0.81 (0.69–0.96) | 1.13 (1.02–1.39) | 1.15 (1–1.32) | 1.16 (0.85–1.30) | <0.001 # |
| NT-pro BNP, pg/mL | 97 (35–532) | 50 (33–108) | 164 (20–407) | 689 (35–1879) | 1327 (85–2950) | <0.001 ° |
| Urine output, mL/h | 1700 (1200–2600) | 1625 (1149–2902) | 2090 (1348–3325) | 2050 (1625–2565) | 1540 (800–2420) | 0.904 |
| RDRI | 0.73 (0.66–0.79) | 0.71 (0.64–0.79) | 0.77 (0.62–0.82) | 0.69 (0.64–0.74) | 0.78(0.73–0.86) | 0.076 |
| a-STI | 0.42 (0.32–0.63) | 0.31 (0.30–0.33) | 0.45 (0.35–0.51) | 0.59 (0.54–0.63) | 1.17 (1.07–1.42) | <0.001 ** |
| v-STI | 0 (0–0) | 0 (0–0) | 0 (0–0) | 0 (0–0.18) | 0 (0–0.32) | 0.026 §§ |
| VII | 0.56 (0.31–0.79) | 0.33 (0.21–0.52) | 0.64 (0.47–0.84) | 0.69 (0.58–0.84) | 0.74 (0.57–1) | <0.001 ## |
| Venous flow pattern, Discontinuous n (%) | 8 (13) | 1 (4) | 0 (0) | 2 (20) | 5 (29) | |
| Continuous n (%) | 55 (87) | 27 (96) | 8 (100) | 8 (80) | 12 (71) | 0.054 |
| LVEF (%) | 55 (48–66) | 59 (49–68) | 52 (49–59) | 52 (45–64) | 55 (43–66) | 0.355 |
| TAPSE (mm) | 25 (22–28) | 27 (22–29) | 24 (21–28) | 25 (22–28) | 23 (20–27) | 0.454 |
| CRRT, n (%) | 13 (21%) | 1 (4) | 0 (0) | 1 (10) | 11 (65) | <0.001 |
| Any AKI | ||||||
| Doppler parameter | ß | SE | HR | 95% CI | p | |
| a-STI | 0.779 | 0.370 | 2.180 | 1.055 | 4.504 | 0.035 |
| RDRI | 2.901 | 2.538 | 18.197 | 0.126 | 2630.557 | 0.253 |
| v-STI | −1.374 | 1.010 | 0.253 | 0.035 | 1.830 | 0.173 |
| VII | 1.409 | 0.750 | 4.091 | 0.940 | 17.807 | 0.60 |
| Severe AKI | ||||||
| Doppler parameter | ß | SE | HR | 95% CI | p | |
| a-STI | 2.599 | 0.675 | 13.477 | 3.580 | 50.507 | <0.001 |
| RDRI | 2.901 | 2.538 | 18.197 | 0.126 | 2630.557 | 0.253 |
| v-STI | −0.851 | 1.167 | 0.427 | 0.043 | 4.202 | 0.466 |
| VII | 0.184 | 1441 | 1.202 | 0.071 | 20.266 | 0.898 |
| Any AKI | ||||||||
| Doppler parameter | AUROC | SE | p | 95% CI | Cut-offs | S | Sp | |
| a-STI | 0.994 | 0.006 | <0.001 | 0.982 | 1.000 | 0.37 | 0.91 | 0.96 |
| RDRI | 0.571 | 0.072 | 0.336 | 0.429 | 0.713 | - | - | - |
| v-STI | 0.583 | 0.072 | 0.263 | 0.442 | 0.723 | - | - | - |
| VII | 0.859 | 0.052 | <0.001 | 0.758 | 0.960 | 0.55 | 0.86 | 0.86 |
| Severe AKI | ||||||||
| Doppler parameter | AUROC | SE | p | 95% CI | Cut-offs | S | Sp | |
| a-STI | 0.985 | 0.013 | <0.001 | 0.960 | 1.000 | 0.63 | 0.94 | 0.96 |
| RDRI | 0.720 | 0.073 | 0.009 | 0.574 | 0.577 | 0.76 | 0.63 | 0.72 |
| v-STI | 0.593 | 0.089 | 0.269 | 0.418 | 0.768 | - | - | - |
| VII | 0.759 | 0.061 | 0.002 | 0.640 | 0.878 | 0.55 | 0.94 | 60 |
Disclaimer/Publisher’s Note: The statements, opinions and data contained in all publications are solely those of the individual author(s) and contributor(s) and not of MDPI and/or the editor(s). MDPI and/or the editor(s) disclaim responsibility for any injury to people or property resulting from any ideas, methods, instructions or products referred to in the content. |
© 2023 by the authors. Licensee MDPI, Basel, Switzerland. This article is an open access article distributed under the terms and conditions of the Creative Commons Attribution (CC BY) license (https://creativecommons.org/licenses/by/4.0/).
Share and Cite
Corradi, F.; Santori, G.; Brusasco, C.; Robba, C.; Wong, A.; Di Nicolò, P.; Tecchi, L.; Dazzi, F.; Taddei, E.; Isirdi, A.; et al. Electrocardiographic Time-Intervals Waveforms as Potential Predictors for Severe Acute Kidney Injury in Critically Ill Patients. J. Clin. Med. 2023, 12, 700. https://doi.org/10.3390/jcm12020700
Corradi F, Santori G, Brusasco C, Robba C, Wong A, Di Nicolò P, Tecchi L, Dazzi F, Taddei E, Isirdi A, et al. Electrocardiographic Time-Intervals Waveforms as Potential Predictors for Severe Acute Kidney Injury in Critically Ill Patients. Journal of Clinical Medicine. 2023; 12(2):700. https://doi.org/10.3390/jcm12020700
Chicago/Turabian StyleCorradi, Francesco, Gregorio Santori, Claudia Brusasco, Chiara Robba, Adrian Wong, Pierpaolo Di Nicolò, Ludovica Tecchi, Federico Dazzi, Erika Taddei, Alessandro Isirdi, and et al. 2023. "Electrocardiographic Time-Intervals Waveforms as Potential Predictors for Severe Acute Kidney Injury in Critically Ill Patients" Journal of Clinical Medicine 12, no. 2: 700. https://doi.org/10.3390/jcm12020700
APA StyleCorradi, F., Santori, G., Brusasco, C., Robba, C., Wong, A., Di Nicolò, P., Tecchi, L., Dazzi, F., Taddei, E., Isirdi, A., Coccolini, F., Forfori, F., Tavazzi, G., & on behalf of UCARE Research Group. (2023). Electrocardiographic Time-Intervals Waveforms as Potential Predictors for Severe Acute Kidney Injury in Critically Ill Patients. Journal of Clinical Medicine, 12(2), 700. https://doi.org/10.3390/jcm12020700

