Prognostic Potential of Cyclin D1 Expression in Colorectal Cancer
Abstract
1. Introduction
2. Materials and Methods
2.1. Patients and Tissue Samples
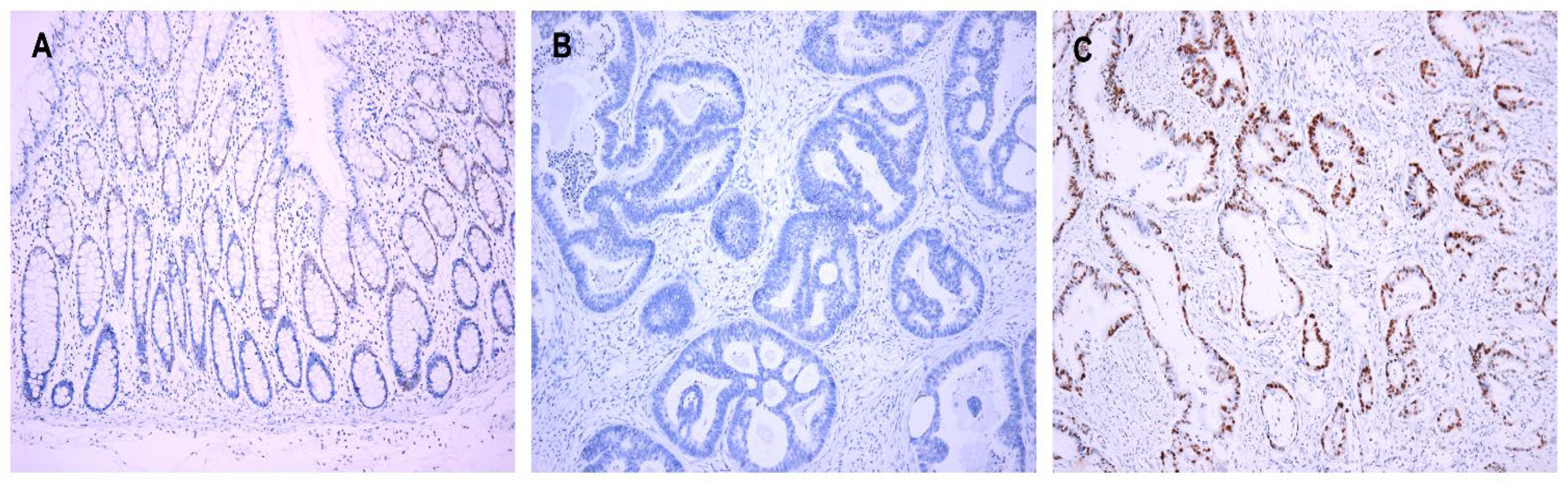
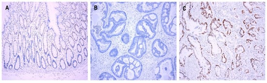
2.2. Immunohistochemical Analysis
2.3. Molecular Analysis
2.4. Statistical Analysis
3. Results
3.1. Clinicopathological Characteristics
3.2. Cyclin D1 Expression
3.3. Prognostic Significance of Cyclin D1 Expression
4. Discussion
5. Conclusions
Author Contributions
Funding
Institutional Review Board Statement
Informed Consent Statement
Data Availability Statement
Acknowledgments
Conflicts of Interest
References
- Inaba, T.; Matsushime, H.; Valentine, M.; Roussel, M.F.; Sherr, C.J.; Look, A.T. Genomic organization, chromosomal localization, and independent expression of human cyclin D genes. Genomics 1992, 13, 565–574. [Google Scholar] [CrossRef] [PubMed]
- Kato, J.; Matsushime, H.; Hiebert, S.W.; Ewen, M.E.; Sherr, C.J. Direct binding of cyclin D to the retinoblastoma gene product (pRb) and pRb phosphorylation by the cyclin D-dependent kinase CDK4. Genes Dev. 1993, 7, 331–342. [Google Scholar] [PubMed]
- Tchakarska, G.; Sola, B. The double dealing of cyclin D1. Cell Cycle 2020, 19, 163–178. [Google Scholar] [CrossRef] [PubMed]
- Pestell, R.G. New roles of cyclin D1. Am. J. Pathol. 2013, 183, 3–9. [Google Scholar] [CrossRef]
- Wang, C.; Li, Z.; Lu, Y.; Du, R.; Katiyar, S.; Yang, J.; Fu, M.; Leader, J.E.; Quong, A.; Novikoff, P.M.; et al. Cyclin D1 repression of nuclear respiratory factor 1 integrates nuclear DNA synthesis and mitochondrial function. Proc. Natl. Acad. Sci. USA 2006, 103, 11567–11572. [Google Scholar] [CrossRef] [PubMed]
- Sakamaki, T.; Casimiro, M.C.; Ju, X.; Quong, A.A.; Katiyar, S.; Liu, M.; Jiao, X.; Li, A.; Zhang, X.; Lu, Y.; et al. Cyclin D1 determines mitochondrial function in vivo. Mol. Cell. Biol. 2006, 26, 5449–5469. [Google Scholar] [CrossRef] [PubMed]
- Qie, S.; Diehl, J.A. Cyclin D1, cancer progression, and opportunities in cancer treatment. J. Mol. Med. 2016, 94, 1313–1326. [Google Scholar] [CrossRef]
- Thoma, O.M.; Neurath, M.F.; Waldner, M.J. Cyclin-dependent kinase inhibitors and their therapeutic potential in colorectal cancer treatment. Front. Pharmacol. 2021, 12, 757120. [Google Scholar] [CrossRef]
- Musgrove, E.A.; Caldon, C.E.; Barraclough, J.; Stone, A.; Sutherland, R.L. Cyclin D as a therapeutic target in cancer. Nat. Rev. Cancer 2011, 11, 558–572. [Google Scholar] [CrossRef]
- Gao, X.; Leone, G.W.; Wang, H. Cyclin D-CDK4/6 functions in cancer. Adv. Cancer Res. 2020, 148, 147–169. [Google Scholar] [PubMed]
- Ziemke, E.K.; Dosch, J.S.; Maust, J.D.; Shettigar, A.; Sen, A.; Welling, T.H.; Hardiman, K.M.; Sebolt-Leopold, J.S. Sensitivity of KRAS-mutant colorectal cancers to combination therapy that cotargets MEK and CDK4/6. Clin. Cancer Res. 2016, 22, 405–414. [Google Scholar] [CrossRef] [PubMed]
- Siegel, R.L.; Miller, K.D.; Fuchs, H.E.; Jemal, A. Cancer statistics, 2022. CA Cancer J. Clin. 2022, 72, 7–33. [Google Scholar] [CrossRef] [PubMed]
- Annual Report of Cancer Statistics in Korea in 2017. Available online: http://ncc.re.kr/cancerStatsList.ncc?searchKey=total&searchValue=&pageNum=1 (accessed on 16 June 2020).
- Li, Y.; Wei, J.; Xu, C.; Zhao, Z.; You, T. Prognostic significance of cyclin D1 expression in colorectal cancer: A meta-analysis of observational studies. PLoS ONE 2014, 9, e94508. [Google Scholar] [CrossRef]
- Binabaj, M.M.; Bahrami, A.; Khazaei, M.; Avan, A.; Ferns, G.A.; Soleimanpour, S.; Ryzhikov, M.; Hassanian, S.M. The Prognostic Value of Small Noncoding microRNA-21 Expression in the Survival of Cancer Patients: A Meta-Analysis. Crit. Rev. Eukaryot. Gene Expr. 2020, 30, 207–221. [Google Scholar] [CrossRef]
- McKay, J.A.; Douglas, J.J.; Ross, V.G.; Curran, S.; Loane, J.F.; Ahmed, F.Y.; Cassidy, J.; McLeod, H.L.; Murray, G.I. Analysis of key cell-cycle checkpoint proteins in colorectal tumours. J. Pathol. 2002, 196, 386–393. [Google Scholar] [CrossRef] [PubMed]
- Hilska, M.; Collan, Y.U.; VJ, O.L.; Kossi, J.; Hirsimaki, P.; Laato, M.; Roberts, P.J. The significance of tumor markers for proliferation and apoptosis in predicting survival in colorectal cancer. Dis. Colon Rectum 2005, 48, 2197–2208. [Google Scholar] [CrossRef]
- Bondi, J.; Husdal, A.; Bukholm, G.; Nesland, J.M.; Bakka, A.; Bukholm, I.R. Expression and gene amplification of primary (A, B1, D1, D3, and E) and secondary (C and H) cyclins in colon adenocarcinomas and correlation with patient outcome. J. Clin. Pathol. 2005, 58, 509–514. [Google Scholar] [CrossRef]
- Von Stockmar-Von Wangenheim, C.A.; Monig, S.P.; Schneider, P.M.; Landsberg, S.; Drebber, U.; Holscher, A.H.; Dienes, H.P.; Baldus, S.E. p16, cyclin D1 and Rb expression in colorectal carcinomas: Correlations with clinico-pathological parameters and prognosis. Mol. Med. Rep. 2008, 1, 27–32. [Google Scholar]
- Ogino, S.; Nosho, K.; Irahara, N.; Kure, S.; Shima, K.; Baba, Y.; Toyoda, S.; Chen, L.; Giovannucci, E.L.; Meyerhardt, J.A.; et al. A cohort study of cyclin D1 expression and prognosis in 602 colon cancer cases. Clin. Cancer Res. 2009, 15, 4431–4438. [Google Scholar] [CrossRef]
- Fang, Y.J.; Lu, Z.H.; Wang, G.Q.; Pan, Z.Z.; Zhou, Z.W.; Yun, J.P.; Zhang, M.F.; Wan, D.S. Elevated expressions of MMP7, TROP2, and survivin are associated with survival, disease recurrence, and liver metastasis of colon cancer. Int. J. Color. Dis. 2009, 24, 875–884. [Google Scholar] [CrossRef]
- Belt, E.J.; Brosens, R.P.; Delis-van Diemen, P.M.; Bril, H.; Tijssen, M.; van Essen, D.F.; Heymans, M.W.; Belien, J.A.; Stockmann, H.B.; Meijer, S.; et al. Cell cycle proteins predict recurrence in stage II and III colon cancer. Ann. Surg. Oncol. 2012, 19 (Suppl. S3), S682–S692. [Google Scholar] [CrossRef]
- Jang, K.Y.; Kim, Y.N.; Bae, J.S.; Chung, M.J.; Moon, W.S.; Kang, M.J.; Lee, D.G.; Park, H.S. Expression of cyclin D1 is associated with beta-catenin expression and correlates with good prognosis in colorectal adenocarcinoma. Transl. Oncol. 2012, 5, 370–378. [Google Scholar] [CrossRef]
- Maeda, K.; Chung, Y.S.; Kang, S.M.; Ogawa, M.; Onoda, N.; Nakata, B.; Nishiguchi, Y.; Ikehara, T.; Okuno, M.; Sowa, M. Overexpression of cyclin D1 and p53 associated with disease recurrence in colorectal adenocarcinoma. Int. J. Cancer 1997, 74, 310–315. [Google Scholar] [CrossRef]
- Maeda, K.; Chung, Y.; Kang, S.; Ogawa, M.; Onoda, N.; Nishiguchi, Y.; Ikehara, T.; Nakata, B.; Okuno, M.; Sowa, M. Cyclin D1 overexpression and prognosis in colorectal adenocarcinoma. Oncology 1998, 55, 145–151. [Google Scholar] [CrossRef] [PubMed]
- McKay, J.A.; Douglas, J.J.; Ross, V.G.; Curran, S.; Murray, G.I.; Cassidy, J.; McLeod, H.L. Cyclin D1 protein expression and gene polymorphism in colorectal cancer. Aberdeen Colorectal Initiative. Int. J. Cancer 2000, 88, 77–81. [Google Scholar] [CrossRef]
- Bhatavdekar, J.M.; Patel, D.D.; Chikhlikar, P.R.; Shah, N.G.; Vora, H.H.; Ghosh, N.; Trivedi, T.I. Molecular markers are predictors of recurrence and survival in patients with Dukes B and Dukes C colorectal adenocarcinoma. Dis. Colon Rectum 2001, 44, 523–533. [Google Scholar] [CrossRef]
- Holland, T.A.; Elder, J.; McCloud, J.M.; Hall, C.; Deakin, M.; Fryer, A.A.; Elder, J.B.; Hoban, P.R. Subcellular localisation of cyclin D1 protein in colorectal tumours is associated with p21(WAF1/CIP1) expression and correlates with patient survival. Int. J. Cancer 2001, 95, 302–306. [Google Scholar] [CrossRef] [PubMed]
- Bahnassy, A.A.; Zekri, A.R.; El-Houssini, S.; El-Shehaby, A.M.; Mahmoud, M.R.; Abdallah, S.; El-Serafi, M. Cyclin A and cyclin D1 as significant prognostic markers in colorectal cancer patients. BMC Gastroenterol. 2004, 4, 22. [Google Scholar] [CrossRef] [PubMed]
- Bondi, J.; Bukholm, G.; Nesland, J.M.; Bukholm, I.R. Expression of non-membranous beta-catenin and gamma-catenin, c-Myc and cyclin D1 in relation to patient outcome in human colon adenocarcinomas. APMIS 2004, 112, 49–56. [Google Scholar] [CrossRef]
- Moore, H.G.; Shia, J.; Klimstra, D.S.; Ruo, L.; Mazumdar, M.; Schwartz, G.K.; Minsky, B.D.; Saltz, L.; Guillem, J.G. Expression of p27 in residual rectal cancer after preoperative chemoradiation predicts long-term outcome. Ann. Surg. Oncol. 2004, 11, 955–961. [Google Scholar] [CrossRef]
- Kouraklis, G.; Theocharis, S.; Vamvakas, P.; Vagianos, C.; Glinavou, A.; Giaginis, C.; Sioka, C. Cyclin D1 and Rb protein expression and their correlation with prognosis in patients with colon cancer. World J. Surg. Oncol. 2006, 4, 5. [Google Scholar] [CrossRef]
- Lyall, M.S.; Dundas, S.R.; Curran, S.; Murray, G.I. Profiling markers of prognosis in colorectal cancer. Clin. Cancer Res. 2006, 12, 1184–1191. [Google Scholar] [CrossRef]
- Mao, Y.; Li, Z.; Lou, C.; Zhang, Y. Expression of phosphorylated Stat5 predicts expression of cyclin D1 and correlates with poor prognosis of colonic adenocarcinoma. Int. J. Color. Dis. 2011, 26, 29–35. [Google Scholar] [CrossRef] [PubMed]
- Tsai, H.L.; Yeh, Y.S.; Chang, Y.T.; Yang, I.P.; Lin, C.H.; Kuo, C.H.; Juo, S.H.; Wang, J.Y. Co-existence of cyclin D1 and vascular endothelial growth factor protein expression is a poor prognostic factor for UICC stage I–III colorectal cancer patients after curative resection. J. Surg. Oncol. 2013, 107, 148–154. [Google Scholar] [CrossRef]
- Amin, M.B.; Edge, S.B.; Greene, F.L.; Schilsky, R.L.; Gaspar, L.E.; Washington, M.K.; Sullivan, D.C.; Brookland, R.K.; Brierley, J.D.; Balch, C.M.; et al. AJCC Cancer Staging Manual, 8th ed.; Springer Nature: Cham, Switzerland, 2017. [Google Scholar]
- Nagtegaal, I.; Arends, M.; Odze, R.; Lam, A. Tumours of the Colon and Rectum. In WHO Classification of Tumours: Digestive System Tumours, 5th ed.; Carneiro, F., Ochiai, A., Chan, J., Oliva, E., Cheung, N.-Y., Rous, B., Cree, I., Singh, R., Eds.; International Agency for Research on Cancer (IARC): Lyon, France, 2019; pp. 157–192. [Google Scholar]
- Kim, H.C.; Kang, Y.R.; Ji, W.; Kim, Y.J.; Yoon, S.; Lee, J.C.; Choi, C.M. Frequency and clinical features of BRAF mutations among patients with stage III/IV lung adenocarcinoma without EGFR/ALK aberrations. OncoTargets Ther. 2019, 12, 6045–6052. [Google Scholar] [CrossRef] [PubMed]
- Pellestor, F.; Paulasova, P. The peptide nucleic acids, efficient tools for molecular diagnosis (Review). Int. J. Mol. Med. 2004, 13, 521–525. [Google Scholar] [CrossRef] [PubMed]
- Grossi, F.; Spizzo, R.; Bordo, D.; Cacitti, V.; Valent, F.; Rossetto, C.; Follador, A.; Di Terlizzi, S.; Aita, M.; Morelli, A.; et al. Prognostic stratification of stage IIIA pN2 non-small cell lung cancer by hierarchical clustering analysis of tissue microarray immunostaining data: An Alpe Adria Thoracic Oncology Multidisciplinary Group study (ATOM 014). J. Thorac. Oncol. 2010, 5, 1354–1360. [Google Scholar] [CrossRef]
- Ahlin, C.; Lundgren, C.; Embretsen-Varro, E.; Jirstrom, K.; Blomqvist, C.; Fjallskog, M. High expression of cyclin D1 is associated to high proliferation rate and increased risk of mortality in women with ER-positive but not in ER-negative breast cancers. Breast Cancer Res. Treat. 2017, 164, 667–678. [Google Scholar] [CrossRef]
- Levidou, G.; Saetta, A.A.; Karlou, M.; Thymara, I.; Pratsinis, H.; Pavlopoulos, P.; Isaiadis, D.; Diamantopoulou, K.; Patsouris, E.; Korkolopoulou, P. D-type cyclins in superficial and muscle-invasive bladder urothelial carcinoma: Correlation with clinicopathological data and prognostic significance. J. Cancer Res. Clin. Oncol. 2010, 136, 1563–1571. [Google Scholar] [CrossRef] [PubMed]
- Watanabe, A.; Cornelison, R.; Hostetter, G. Tissue microarrays: Applications in genomic research. Expert Rev. Mol. Diagn. 2005, 5, 171–181. [Google Scholar] [CrossRef]
- Torlakovic, E.; Nielsen, S.; Vyberg, M. Antibody selection in immunohistochemical detection of cyclin D1 in mantle cell lymphoma. Am. J. Clin. Pathol. 2005, 124, 782–789. [Google Scholar] [CrossRef] [PubMed]
- Han, E.K.; Sgambato, A.; Jiang, W.; Zhang, Y.J.; Santella, R.M.; Doki, Y.; Cacace, A.M.; Schieren, I.; Weinstein, I.B. Stable overexpression of cyclin D1 in a human mammary epithelial cell line prolongs the S-phase and inhibits growth. Oncogene 1995, 10, 953–961. [Google Scholar] [PubMed]
- Sofer-Levi, Y.; Resnitzky, D. Apoptosis induced by ectopic expression of cyclin D1 but not cyclin E. Oncogene 1996, 13, 2431–2437. [Google Scholar] [PubMed]
- Lundgren, K.; Brown, M.; Pineda, S.; Cuzick, J.; Salter, J.; Zabaglo, L.; Howell, A.; Dowsett, M.; Landberg, G.; TransATAC investigators. Effects of cyclin D1 gene amplification and protein expression on time to recurrence in postmenopausal breast cancer patients treated with anastrozole or tamoxifen: A TransATAC study. Breast Cancer Res. 2012, 14, R57. [Google Scholar] [CrossRef]
- Park, Y.H.; Kim, S.U.; Lee, B.K.; Kim, H.S.; Song, I.S.; Shin, H.J.; Han, Y.H.; Chang, K.T.; Kim, J.M.; Lee, D.S.; et al. Prx I suppresses K-ras-driven lung tumorigenesis by opposing redox-sensitive ERK/cyclin D1 pathway. Antioxid. Redox Signal. 2013, 19, 482–496. [Google Scholar] [CrossRef]
- Montalto, F.I.; De Amicis, F. Cyclin D1 in cancer: A molecular connection for cell cycle control, adhesion and invasion in tumor and stroma. Cells 2020, 9, 2648. [Google Scholar] [CrossRef] [PubMed]
- Arber, N.; Hibshoosh, H.; Moss, S.F.; Sutter, T.; Zhang, Y.; Begg, M.; Wang, S.; Weinstein, I.B.; Holt, P.R. Increased expression of cyclin D1 is an early event in multistage colorectal carcinogenesis. Gastroenterology 1996, 110, 669–674. [Google Scholar] [CrossRef]
- Khor, T.O.; Gul, Y.A.; Ithnin, H.; Seow, H.F. A comparative study of the expression of Wnt-1, WISP-1, survivin and cyclin-D1 in colorectal carcinoma. Int. J. Color. Dis. 2006, 21, 291–300. [Google Scholar] [CrossRef]
- Pysz, M.A.; Hao, F.; Hizli, A.A.; Lum, M.A.; Swetzig, W.M.; Black, A.R.; Black, J.D. Differential regulation of cyclin D1 expression by protein kinase C α and ε signaling in intestinal epithelial cells. J. Biol. Chem. 2014, 289, 22268–22283. [Google Scholar] [CrossRef]
- Pysz, M.A.; Leontieva, O.V.; Bateman, N.W.; Uronis, J.M.; Curry, K.J.; Threadgill, D.W.; Janssen, K.P.; Robine, S.; Velcich, A.; Augenlicht, L.H.; et al. PKC α tumor suppression in the intestine is associated with transcriptional and translational inhibition of cyclin D1. Exp. Cell Res. 2009, 315, 1415–1428. [Google Scholar] [CrossRef]


| Study | Country (yr) | IHC | N | Clone Used | Cyclin D1High | Outcome | ||
|---|---|---|---|---|---|---|---|---|
| Cut-Off Level | N (%) | Stage | Survival | |||||
| N ≥ 200 | ||||||||
| Present | Korea | TMA | 495 | SP4 | Score ≥ 1 | 389 (78.6) | TNM | Better OS and RFS |
| McKay [16] | UK (2002) | Whole section | 249 | P2D11F11 | >5% | 137 (55.0) | Duke | Better OS |
| Hilska [17] | Finland (2005) | TMA | 363 | P2D11F11 | ≥1% | 99 (27.3) | Duke | Better OS |
| Bondi [18] | Norway (2005) | Whole section | 219 | NS | ≥5% | 24 (11.0) | Duke | Not related to OS |
| Von Stockmar–Von Wangenheim [19] | Germany (2008) | Whole section | 200 | P2D11F11 | >5% | 150 (75.0) | TNM | Not related to OS |
| Ogino [20] | USA (2009) | TMA | 602 | SP4 | >50% | 330 (54.8) | TNM | Better CSS |
| Fang [21] | China (2009) | TMA | 532 | NS | ≥10% | 380 (71.4) | TNM | Not related to OS |
| Belt [22] | Netherlands (2012) | TMA | 379 | NS | Score ≥ 8 | 211 (55.7) | TNM | Not related to OS |
| Jang [23] | Korea (2012) | TMA | 217 | SP4 | ≥30% | 158 (72.5) | TNM | Better OS and RFS |
| Li [14] | China (2014) | Meta-analysis | 22 studies | − | − | − | − | Worse OS and DFS |
| Binabaj [15] | Iran (2020) | Meta-analysis | 15 studies | − | − | − | − | Not related to OS |
| N < 200 | ||||||||
| Maeda [24] | Japan (1997) | Whole section | 101 | NS | >50% | 14 (13.9) | TNM | Worse DFS |
| Maeda [25] | Japan (1998) | Whole section | 123 | NS | >50% | 20 (16.3) | TNM | Worse OS and DFS |
| McKay [26] | UK (2000) | Whole section | 100 | P2D11F11 | >50% | 8 (8.0) | Duke | Worse OS |
| Bhatavdekar [27] | India (2001) | Whole section | 98 | P2D11F11 | ≥1% | 30 (30.6) | Duke | Worse OS |
| Holland [28] | UK (2001) | Whole section | 126 | DCS-6 | >10% | 74 (58.7) * | Duke | Better OS |
| Bahnassy [29] | Egypt (2004) | Whole section | 60 | DCS-6 | Index ≥ 6.1 | 41 (68.3) | TNM | Worse OS |
| Bondi [30] | Norway (2004) | Whole section | 162 | NS | >5% | NS | Duke | Not related to OS |
| Moore [31] | USA (2004) | Whole section | 40 | DCS-6 | >10% | 6 (15.0) | TNM | Not related to RFS |
| Kouraklis [32] | Greece (2006) | Whole section | 111 | NS | >5% | 71 (63.9) | Duke | Not related to OS ** |
| Lyall [33] | UK (2006) | Whole section | 90 | P2D11F11 | >5% | 46 (51.1) | TNM | Not related to OS |
| Mao [34] | China (2011) | Whole section | 169 | NS | >5% | 95 (56.2) | TNM | Worse OS |
| Tsai [35] | Taiwan (2013) | Whole section | 100 | NS | Score ≥ 2 | 49 (49.0) | TNM | Not related to OS and DFS |
| Clinicopathological Factors, N (%) | Total | Cyclin D1Low | Cyclin D1High | p | |
|---|---|---|---|---|---|
| 106 (21.4) | 389 (78.6) | ||||
| Age (yr, mean ± SD) | 65.6 ± 11.1 | 62.9 ± 12.7 | 0.037 * | ||
| Age (yr) | ≤50 | 78 (15.8) | 12 (15.4) | 66 (84.6) | 0.178 |
| >50 | 417 (84.2) | 94 (22.5) | 323 (77.5) | ||
| Sex | Male | 293 (59.2) | 74 (25.3) | 219 (74.7) | 0.014 * |
| Female | 202 (40.8) | 32 (15.8) | 170 (84.2) | ||
| Tumor size (cm, mean ± SD) | 5.3 ± 2.4 | 5.3 ± 2.4 | 0.921 | ||
| Growth pattern (n = 471) § | Polypoid | 33 (7.0) | 10 (30.3) | 23 (69.7) | 0.450 |
| Ulcerofungating | 231 (49.0) | 47 (20.3) | 184 (79.7) | ||
| Ulceroinfiltrative | 207 (44.0) | 43 (20.8) | 164 (79.2) | ||
| Differentiation | Low grade | 471 (95.2) | 99 (21.0) | 372 (79.0) | 0.442 |
| High grade | 24 (4.8) | 7 (29.2) | 17 (70.8) | ||
| Lymphovascular invasion | Absent | 298 (60.2) | 64 (21.5) | 234 (78.5) | 1.000 |
| Present | 197 (39.8) | 42 (21.3) | 155 (78.7) | ||
| Perineural invasion | Absent | 319 (64.4) | 62 (19.4) | 257 (80.6) | 0.138 |
| Present | 176 (35.6) | 45 (25.1) | 131 (74.9) | ||
| Margin status | No involvement | 460 (92.9) | 97 (21.1) | 363 (78.9) | 0.523 |
| Involved by cancer | 35 (7.1) | 9 (25.7) | 26 (74.3) | ||
| Chemotherapy | Absent | 120 (24.2) | 32 (26.7) | 88 (73.3) | 0.125 |
| Present | 375 (75.8) | 74 (19.7) | 301 (80.3) | ||
| Radiotherapy | Absent | 437 (88.3) | 98 (22.4) | 339 (77.6) | 0.172 |
| Present | 58 (11.7) | 8 (13.8) | 50 (86.2) | ||
| Nodal metastasis | Absent | 244 (49.3) | 48 (19.7) | 196 (80.3) | 0.381 |
| Present | 251 (50.7) | 58 (23.1) | 193 (76.9) | ||
| T category | T1 | 4 (0.8) | 0 | 4 (100) | 0.263 |
| T2 | 25 (5.1) | 9 (36.0) | 16 (64.0) | ||
| T3 | 400 (80.8) | 83 (20.7) | 317 (79.3) | ||
| T4 | 66 (13.3) | 14 (21.2) | 52 (78.8) | ||
| N category | N0 | 244 (49.3) | 48 (19.7) | 196 (80.3) | 0.455 |
| N1 | 144 (29.1) | 36 (25.0) | 108 (75.0) | ||
| N2 | 107 (21.6) | 22 (20.6) | 85 (79.4) | ||
| Stage grouping | Stage I | 5 (1.0) | 3 (60.0) | 2 (40.0) | 0.069 |
| Stage II | 237 (47.9) | 45 (19.0) | 192 (81.0) | ||
| Stage III | 251 (50.7) | 57 (22.7) | 194 (77.3) | ||
| Stage IV | 2 (0.4) | 1 (50.0) | 1 (50.0) | ||
| KRAS (n = 242) § | Absent | 149 (61.6) | 23 (15.4) | 126 (84.6) | 0.092 |
| Present | 93 (38.4) | 23 (24.7) | 70 (75.3) | ||
| BRAF (n = 206) § | Absent | 193 (93.7) | 39 (20.2) | 154 (79.8) | 0.470 |
| Present | 13 (6.3) | 1 (7.7) | 12 (92.3) | ||
| Characteristics | Univariate | Multivariate | |||
|---|---|---|---|---|---|
| 5-YSR (%) | p | HR (95% CI) | p | ||
| Cyclin D1 expression | Cyclin D1Low | 77.4 | 0.031 * | 0.561 (0.319–0.987) | 0.045 * |
| Cyclin D1High | 86.2 | ||||
| Age (yr) § | 1.031 (1.006–1.056) | 0.013 * | 1.030 (1.006–1.056) | 0.016 * | |
| Age (yr) | ≤50 | 86.8 | 0.631 | ||
| >50 | 83.7 | ||||
| Sex | Male | 82.0 | 0.059 | ||
| Female | 87.3 | ||||
| Tumor size (cm) § | 1.041 (0.935–1.159) | 0.465 | |||
| Growth pattern (n = 471) ¶ | Polypoid | 89.5 | 0.921 | ||
| Ulcerofungating | 84.7 | ||||
| Ulceroinfiltrative | 84.5 | ||||
| Differentiation | Low grade | 84.0 | 0.966 | ||
| High grade | 90.6 | ||||
| Lymphovascular invasion | Absent | 84.9 | 0.573 | ||
| Present | 83.3 | ||||
| Perineural invasion | Absent | 84.6 | 0.247 | ||
| Present | 82.8 | ||||
| Margin status | No involvement | 84.4 | 0.164 | ||
| Involved by cancer | 61.6 | ||||
| Chemotherapy | Absent | 80.0 | 0.014 * | 0.650 (0.353–1.198) | 0.168 |
| Present | 85.6 | ||||
| Radiotherapy | Absent | 84.9 | 0.409 | ||
| Present | 76.9 | ||||
| Nodal metastasis | Absent | 86.9 | 0.147 | ||
| Present | 81.5 | ||||
| T category | T1–T3 | 84.8 | 0.314 | ||
| T4 | 80.2 | ||||
| N category | N0 | 86.9 | 0.159 | ||
| N1 | 85.4 | ||||
| N2 | 75.3 | ||||
| Stage grouping | Stages I–II | 87.2 | 0.090 | ||
| Stages III–IV | 84.5 | ||||
| KRAS (n = 242) ¶ | Absent | 88.9 | 0.132 | ||
| Present | 77.0 | ||||
| BRAF (n = 206) ¶ | Absent | 85.4 | 0.281 | ||
| Present | 79.5 | ||||
| Characteristics | Univariate | Multivariate | |||
|---|---|---|---|---|---|
| 5-YSR (%) | p | HR (95% CI) | p | ||
| Cyclin D1 expression | Cyclin D1Low | 55.7 | 0.010 * | 0.688 (0.476–0.994) | 0.046 * |
| Cyclin D1High | 69.1 | ||||
| Age (yr) § | 1.013 (0.999–1.028) | 0.072 | |||
| Age (yr) | ≤50 | ||||
| >50 | |||||
| Sex | Male | 60.0 | 0.014 * | 0.588 (0.408–0.846) | 0.004 * |
| Female | 76.4 | ||||
| Tumor size (cm) § | 1.020 (0.953–1.092) | 0.569 | |||
| Growth pattern (n = 471) ¶ | Polypoid | 72.7 | 0.689 | ||
| Ulcerofungating | 68.9 | ||||
| Ulceroinfiltrative | 63.5 | ||||
| Differentiation | Low grade | 67.1 | 0.017 * | 1.147 (0.745–2.694) | 0.287 |
| High grade | 46.2 | ||||
| Lymphovascular invasion | Absent | 68.2 | 0.123 | ||
| Present | 63.2 | ||||
| Perineural invasion | Absent | 67.8 | 0.113 | ||
| Present | 62.6 | ||||
| Margin status | No involvement | 68.5 | 0.011 * | 1.679 (0.985–2.865) | 0.057 |
| Involved by cancer | 41.9 | ||||
| Chemotherapy | Absent | 57.5 | 0.043 * | 0.607 (0.413–0.892) | 0.011 * |
| Present | 68.5 | ||||
| Radiotherapy | Absent | 68.2 | 0.100 | ||
| Present | 45.0 | ||||
| Nodal metastasis | Absent | 73.1 | 0.021 * | 1.445 (1.015–2.057) | 0.041 * |
| Present | 59.3 | ||||
| T category | T1-pT3 | 68.8 | <0.001 * | 2.134 (1.408–3.233) | <0.001 * |
| T4 | 47.8 | ||||
| N category | N0 | 73.1 | 0.059 | ||
| N1 | 60.4 | ||||
| N2 | 57.5 | ||||
| Stage grouping | Stages I–II | 73.8 | 0.009 * | ||
| Stages III–IV | 58.8 | ||||
| KRAS (n = 242) ¶ | Absent | 69.0 | 0.313 | ||
| Present | 47.2 | ||||
| BRAF (n = 206) ¶ | Absent | 59.1 | 0.979 | ||
| Present | 72.7 | ||||
Disclaimer/Publisher’s Note: The statements, opinions and data contained in all publications are solely those of the individual author(s) and contributor(s) and not of MDPI and/or the editor(s). MDPI and/or the editor(s) disclaim responsibility for any injury to people or property resulting from any ideas, methods, instructions or products referred to in the content. |
© 2023 by the authors. Licensee MDPI, Basel, Switzerland. This article is an open access article distributed under the terms and conditions of the Creative Commons Attribution (CC BY) license (https://creativecommons.org/licenses/by/4.0/).
Share and Cite
Jun, S.-Y.; Kim, J.; Yoon, N.; Maeng, L.-S.; Byun, J.H. Prognostic Potential of Cyclin D1 Expression in Colorectal Cancer. J. Clin. Med. 2023, 12, 572. https://doi.org/10.3390/jcm12020572
Jun S-Y, Kim J, Yoon N, Maeng L-S, Byun JH. Prognostic Potential of Cyclin D1 Expression in Colorectal Cancer. Journal of Clinical Medicine. 2023; 12(2):572. https://doi.org/10.3390/jcm12020572
Chicago/Turabian StyleJun, Sun-Young, Jiyoung Kim, Nara Yoon, Lee-So Maeng, and Jae Ho Byun. 2023. "Prognostic Potential of Cyclin D1 Expression in Colorectal Cancer" Journal of Clinical Medicine 12, no. 2: 572. https://doi.org/10.3390/jcm12020572
APA StyleJun, S.-Y., Kim, J., Yoon, N., Maeng, L.-S., & Byun, J. H. (2023). Prognostic Potential of Cyclin D1 Expression in Colorectal Cancer. Journal of Clinical Medicine, 12(2), 572. https://doi.org/10.3390/jcm12020572

