Risk Factors of Proximal Screw Breakage of Locking Plate (ZPLP®) after MIPO for Distal Femur Fractures -Analysis of Patients with Plate Removal after Bony Union-
Abstract
:1. Introduction
2. Patients and Methods
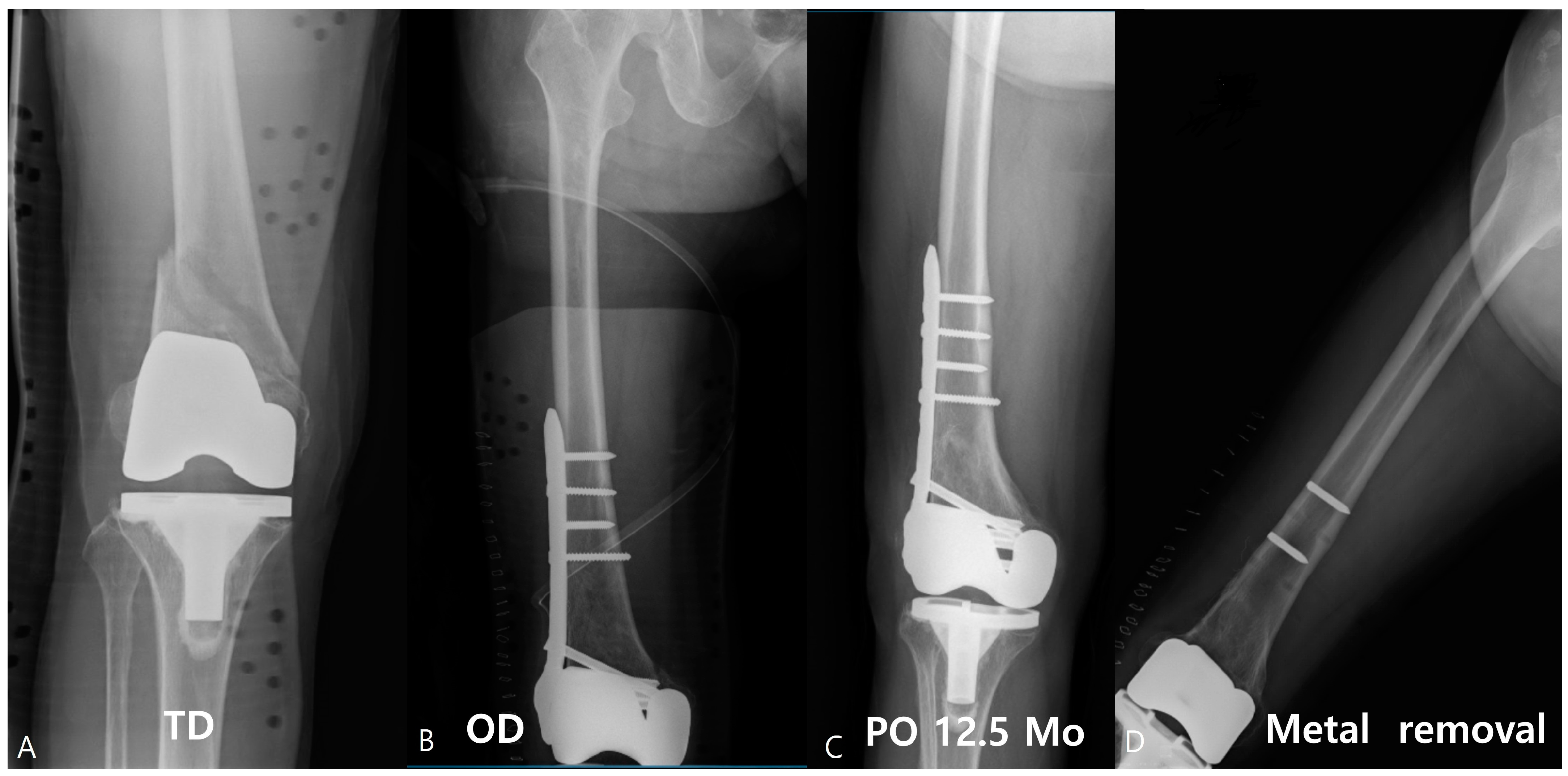
2.1. Surgical Technique
2.2. Evaluation
3. Results
3.1. Preoperative Risk Factor
3.2. Intraoperative Risk Factor
4. Discussion
5. Conclusions
Author Contributions
Funding
Institutional Review Board Statement
Informed Consent Statement
Data Availability Statement
Conflicts of Interest
References
- Arneson, T.J.; Melton, L.J., 3rd; Lewallen, D.G.; O’Fallon, W.M. Epidemiology of diaphyseal and distal femoral fractures in Rochester, Minnesota, 1965–1984. Clin. Orthop. Relat. Res. 1988, 234, 188–194. [Google Scholar] [CrossRef]
- Court-Brown, C.M.; Caesar, B. Epidemiology of adult fractures: A review. Injury 2006, 37, 691–697. [Google Scholar] [CrossRef]
- Crist, B.D.; Della Rocca, G.J.; Murtha, Y.M. Treatment of acute distal femur fractures. Orthopedics 2008, 31, 681. [Google Scholar] [CrossRef] [PubMed]
- Elsoe, R.; Ceccotti, A.A.; Larsen, P. Population-based epidemiology and incidence of distal femur fractures. Int. Orthop. 2018, 42, 191–196. [Google Scholar] [CrossRef]
- Khan, A.M.; Tang, Q.O.; Spicer, D. The epidemiology of adult distal femoral shaft fractures in a central London major trauma centre over five years. Open Orthop. J. 2017, 11, 1277–1291. [Google Scholar] [CrossRef] [PubMed]
- Martinet, O.; Cordey, J.; Harder, Y.; Maier, A.; Bühler, M.; Barraud, G. The epidemiology of fractures of the distal femur. Injury 2000, 31, 62–94. [Google Scholar] [CrossRef]
- Canton, G.; Giraldi, G.; Dussi, M.; Ratti, C.; Murena, L. Osteoporotic distal femur fractures in the elderly: Peculiarities and treatment strategies. Acta Bio. Medica Atenei Parm. 2019, 90, 25–32. [Google Scholar]
- Agarwal, S.; Sharma, R.K.; Jain, J.K. Periprosthetic fractures after total knee arthroplasty. J. Orthop. Surg. 2014, 22, 24–29. [Google Scholar] [CrossRef] [PubMed]
- Davison, B.L. Varus collapse of comminuted distal femur fractures after open reduction and internal fixation with a lateral condylar buttress plate. Am. J. Orthop. 2003, 32, 27–30. [Google Scholar] [PubMed]
- Mize, R.D. Surgical management of complex fractures of the distal femur. Clin. Orthop. Relat. Res. 1989, 240, 77–86. [Google Scholar] [CrossRef]
- Sommer, C.; Babst, R.; Müller, M.; Hanson, B. Locking Compression Plate Loosening and Plate Breakage: A Report of Four Cases. J. Orthop. Trauma 2004, 18, 571–577. [Google Scholar] [CrossRef] [PubMed]
- Egol, K.A.; Kubiak, E.N.; Fulkerson, E.; Kummer, F.J.; Koval, K.J. Biomechanics of locked plates and screws. J. Orthop. Trauma 2004, 18, 488–493. [Google Scholar] [CrossRef]
- Kubiak, E.N.; Fulkerson, E.; Strauss, E.; Egol, K.A. The evolution of locked plates. J. Bone Jt. Surg. 2006, 88 (Suppl. 4), 189–200. [Google Scholar]
- Perren, S.M. Evolution of the internal fixation of long bone fractures: The scientific basis of biological internal fixation: Choosing a new balance between stability and biology. J. Bone Jt. Surg. Br. Vol. 2002, 84, 1093–1110. [Google Scholar] [CrossRef]
- Rüedi, T.P.; Murphy, W.M.; Colton, C.L.; Fackelman, G.E.; Harder, Y. AO Principles of Fracture Management; Thieme: Stuttgart, Germany, 2000. [Google Scholar]
- Tepic, S.; Perren, S. The biomechanics of the PC-Fix internal fixator. Injury 1995, 26, B5–B10. [Google Scholar] [CrossRef]
- Ehlinger, M.; Adam, P.; Arlettaz, Y.; Moor, B.; DiMarco, A.; Brinkert, D.; Bonnomet, F. Minimally-invasive fixation of distal extra-articular femur fractures with locking plates: Limitations and failures. Orthop. Traumatol. Surg. Res. 2011, 97, 668–674. [Google Scholar] [CrossRef]
- Glassner, P.J.; Tejwani, N.C. Failure of Proximal Femoral Locking Compression Plate: A Case Series. J. Orthop. Trauma 2011, 25, 76–83. [Google Scholar] [CrossRef]
- Kandemir, U. Distal femur: Dynamization of plating. Injury 2018, 49, S44–S48. [Google Scholar] [CrossRef] [PubMed]
- Gautier, E.; Sommer, C. Guidelines for the clinical application of the LCP. Injury 2003, 34, 63–76. [Google Scholar] [CrossRef]
- Rozbruch, R.S.; Müller, U.; Gautier, E.; Ganz, R. The evolution of femoral shaft plating technique. Clin. Orthop. Relat. Res. 1998, 354, 195–208. [Google Scholar] [CrossRef] [PubMed]
- Stoffel, K.; Dieter, U.; Stachowiak, G.; Gächter, A.; Kuster, M.S. Biomechanical testing of the LCP--how can stability in locked internal fixators be controlled? Injury 2003, 34, B11–B19. [Google Scholar] [CrossRef] [PubMed]
- Gardner, M.J.; Helfet, D.L.; Lorich, G. Has locked plating completely replaced conventional plating? Am. J. Orthop. Belle Mead 2004, 33, 440–446. [Google Scholar]
- Gautier, E.; Perren, S.; Cordey, J. Effect of plate position relative to bending direction on the rigidity of a plate osteosynthesis. A theoretical analysis. Injury 2000, 31, 14–92. [Google Scholar] [CrossRef] [PubMed]
- Wagner, M. General principles for the clinical use of the LCP. Injury 2003, 34, B31–B42. [Google Scholar] [CrossRef] [PubMed]
- Hertel, R.; Eijer, H.; Meisser, A.; Hauke, C.; Perren, S. Biomechanical and biological considerations relating to the clinical use of the Point Contact-Fixator–evaluation of the device handling test in the treatment of diaphyseal fractures of the radius and/or ulna. Injury 2001, 32, 10–14. [Google Scholar] [CrossRef]
- Lv, H.; Chang, W.; Yuwen, P.; Yang, N.; Yan, X.; Zhang, Y. Are there too many screw holes in plates for fracture fixation? BMC Surg. 2017, 17, 46. [Google Scholar] [CrossRef]
- Bottlang, M.; Doornink, J.; Byrd, G.D.; Fitzpatrick, D.C.; Madey, S.M. A Nonlocking End Screw Can Decrease Fracture Risk Caused by Locked Plating in the Osteoporotic Diaphysis. J. Bone Jt. Surg. 2009, 91, 620–627. [Google Scholar] [CrossRef]
- Bottlang, M.; Doornink, J.; Fitzpatrick, D.C.; Madey, S.M. Far Cortical Locking Can Reduce Stiffness of Locked Plating Constructs While Retaining Construct Strength. J. Bone Jt. Surg. 2009, 91, 1985–1994. [Google Scholar] [CrossRef] [PubMed]
- Harvin, W.H.; Oladeji, L.O.; Della Rocca, G.J.; Murtha, Y.M.; Volgas, D.A.; Stannard, J.P.; Crist, B.D. Working length and proximal screw constructs in plate osteosynthesis of distal femur fractures. Injury 2017, 48, 2597–2601. [Google Scholar] [CrossRef]
- Bottlang, M.; Lesser, M.; Koerber, J.; Doornink, J.; von Rechenberg, B.; Augat, P.; Fitzpatrick, D.C.; Madey, S.M.; Marsh, J.L. Far cortical locking can improve healing of fractures stabilized with locking plates. J. Bone Jt. Surg. Am. Vol. 2010, 92, 1652. [Google Scholar] [CrossRef] [PubMed]
- Johnson, A.L.; Houlton, J.E.; Vannini, R. AO Principles of Fracture Management in the Dog and Cat; Georg Thieme: Stuttgart, Germany, 2005. [Google Scholar]
- Field, M.R.; Butler, R.; Wills, R.W.; Maxwell, W.M. Retrospective evaluation of perioperative and short term clinical outcomes in appendicular long bone skeleton fractures repaired via the string of pearls (SOP) locking plate system. BMC Vet. Res. 2018, 14, 386. [Google Scholar] [CrossRef] [PubMed]
- Moldovan, F.; Bățagă, T. Torque control during bone insertion of cortical screws. Procedia Manuf. 2020, 46, 484–490. [Google Scholar] [CrossRef]



| Risk Factor | Screw Breakage Group (N = 12) | Non-Breakage Group (N = 30) | p Value |
|---|---|---|---|
| Age | 67.4 | 55.5 | 0.023 |
| Sex (M:F) | 2:12 | 10:20 | 0.18 |
| BMI (kg/m2) | 26.0 | 24.3 | 0.20 |
| DEXA (T-score) | −2.37 | −1.87 | 0.18 |
| Rt:Lt | 9:3 | 11:19 | 0.025 |
| ASA | 2.1 | 1.9 | 0.32 |
| Underlying disease | 7 | 17 | 0.92 |
| Obesity | 1 | 2 | 0.85 |
| DM | 1 | 7 | 0.26 |
| Smoking | 0 | 1 | 0.52 |
| Dialysis | 0 | 0 | N/A |
| Postop period (Mo) | 24.8 | 21.3 | 0.60 |
| AO classification(A:B:C) | 11:0:1 | 19:1:10 | 0.18 |
| Fx. configuration1. Comminuted 2. Spiral 3. Oblique 4. Transverse | 5:3:2:2 | 9:8:6:7 | 0.89 |
| Periprosthetic fracture | 2 | 4 | 0.78 |
| Time from injury to surgery (day) | 3 | 2.3 | 0.32 |
| Risk Factor | Screw Breakage Group (N = 12) | Non-Breakage Group (N = 30) | p Value | |
|---|---|---|---|---|
| Operation Time (min) | 121 | 130 | 0.59 | |
| Length of plate (mm) | 273 | 279 | 0.72 | |
| Length of plate (holes) | 13.2 | 13.2 | 1.00 | |
| Plate span width | 3.53 | 4.93 | 0.17 | |
| Empty holes | 8.1 | 8.6 | 0.62 | |
| Wiring | 4 | 5 | 0.23 | |
| Filled screws | Total | 11.3 | 10.7 | 0.16 |
| Proximal | 4.25 | 3.96 | 0.12 | |
| Fracture site | 0.25 | 0.40 | 0.45 | |
| Distal | 6.83 | 6,53 | 0.25 | |
| Plate screw density | Total | 0.53 | 0.47 | 0.048 |
| Proximal | 0.48 | 0.44 | 0.47 | |
| Fracture site | 0.16 | 0.14 | 0.82 | |
| Distal | 0.96 | 0.91 | 0.16 | |
| Fixation crossing fracture line | 6 | 10 | 0.31 | |
| Screw at the proximal uppermost hole | ||||
| 1: cortical | 9 | 12 | ||
| 2: locking unicortical | 0 | 11 | ||
| 3: locking bicortical | 3 | 7 | 0.039 | |
Disclaimer/Publisher’s Note: The statements, opinions and data contained in all publications are solely those of the individual author(s) and contributor(s) and not of MDPI and/or the editor(s). MDPI and/or the editor(s) disclaim responsibility for any injury to people or property resulting from any ideas, methods, instructions or products referred to in the content. |
© 2023 by the authors. Licensee MDPI, Basel, Switzerland. This article is an open access article distributed under the terms and conditions of the Creative Commons Attribution (CC BY) license (https://creativecommons.org/licenses/by/4.0/).
Share and Cite
Yoo, J.; Kwak, D.; Kim, J.; Kwon, S.; Kwon, J.; Hwang, J. Risk Factors of Proximal Screw Breakage of Locking Plate (ZPLP®) after MIPO for Distal Femur Fractures -Analysis of Patients with Plate Removal after Bony Union-. J. Clin. Med. 2023, 12, 6345. https://doi.org/10.3390/jcm12196345
Yoo J, Kwak D, Kim J, Kwon S, Kwon J, Hwang J. Risk Factors of Proximal Screw Breakage of Locking Plate (ZPLP®) after MIPO for Distal Femur Fractures -Analysis of Patients with Plate Removal after Bony Union-. Journal of Clinical Medicine. 2023; 12(19):6345. https://doi.org/10.3390/jcm12196345
Chicago/Turabian StyleYoo, Jehyun, Daekyung Kwak, Joongil Kim, Seungcheol Kwon, Junhyuk Kwon, and Jihyo Hwang. 2023. "Risk Factors of Proximal Screw Breakage of Locking Plate (ZPLP®) after MIPO for Distal Femur Fractures -Analysis of Patients with Plate Removal after Bony Union-" Journal of Clinical Medicine 12, no. 19: 6345. https://doi.org/10.3390/jcm12196345
APA StyleYoo, J., Kwak, D., Kim, J., Kwon, S., Kwon, J., & Hwang, J. (2023). Risk Factors of Proximal Screw Breakage of Locking Plate (ZPLP®) after MIPO for Distal Femur Fractures -Analysis of Patients with Plate Removal after Bony Union-. Journal of Clinical Medicine, 12(19), 6345. https://doi.org/10.3390/jcm12196345

