Surgical Challenges in Infective Endocarditis: State of the Art
Abstract
1. Introduction
2. Native Valve Endocarditis: Repair versus Replacement
3. Prosthetic Valve and Implantable Device Endocarditis
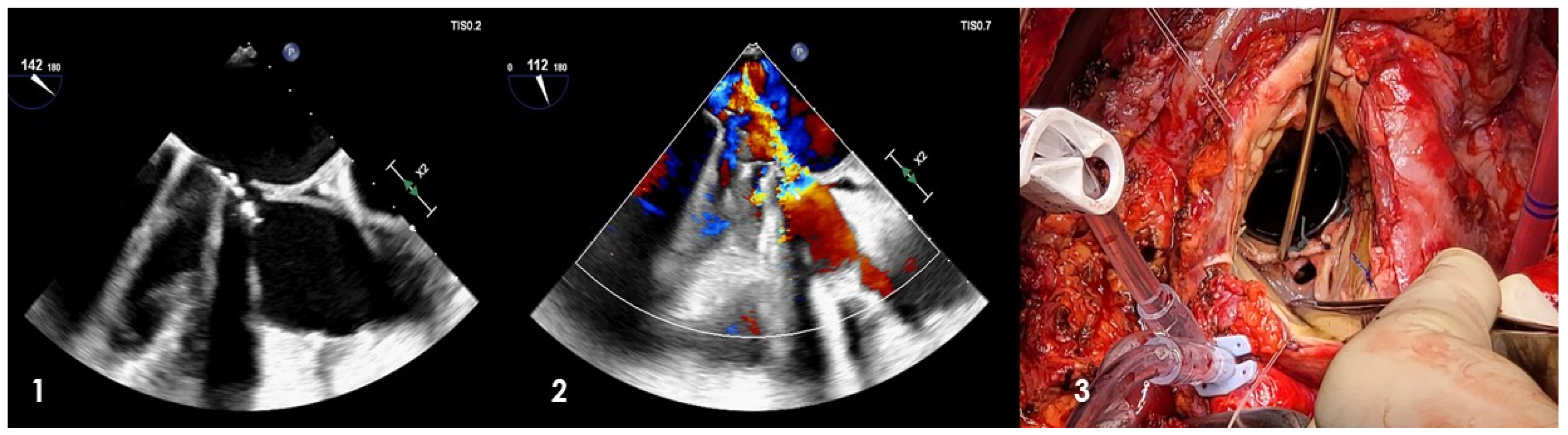
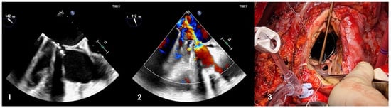
4. Surgery in Complex Infective Endocarditis: Current Trends
5. Conclusions
Author Contributions
Funding
Data Availability Statement
Conflicts of Interest
References
- Cahill, T.J.; Prendergast, B.D. Infective Endocarditis. Lancet 2016, 387, 882–893. [Google Scholar] [CrossRef]
- de Sa, D.D.C.; Tleyjeh, I.M.; Anavekar, N.S.; Schultz, J.C.; Thomas, J.M.; Lahr, B.D.; Bachuwar, A.; Pazdernik, M.; Steckelberg, J.M.; Wilson, W.R.; et al. Epidemiological trends of infective endocarditis: A population-based study in Olmsted County, Minnesota. Mayo Clin. Proc. 2010, 85, 422–426. [Google Scholar] [CrossRef] [PubMed]
- Prendergast, B.D.; Tornos, P. Surgery for infective endocarditis: Who and when? Circulation 2010, 121, 1141–1152. [Google Scholar] [CrossRef]
- Habib, G.; Lancellotti, P.; Antunes, M.J.; Bongiorni, M.G.; Casalta, J.-P.; Del Zotti, F.; Dulgheru, R.; El Khoury, G.; Erba, P.A.; Iung, B.; et al. 2015 ESC Guidelines for the management of infective endocarditis The Task Force for the Management of Infective Endocarditis of the European Society of Cardiology (ESC). Eur. Heart J. 2015, 36, 3075–3123. [Google Scholar] [CrossRef]
- AATS Surgical Treatment of Infective Endocarditis Consensus Guidelines Writing Committee Chairs; Pettersson, G.B.; Coselli, J.S.; Hussain, S.T.; Griffin, B.; Blackstone, E.H.; Gordon, S.M.; LeMaire, S.A.; Woc-Colburn, L.E. The American Association for Thoracic Surgery (AATS) consensus guidelines: Surgical treatment of infective endocarditis: Executive summary. J. Thorac. Cardiovasc. Surg. 2017, 153, 1241–1258.e29. [Google Scholar] [CrossRef] [PubMed]
- Fernandez-Felix, B.M.; Barca, L.V.; Garcia-Esquinas, E.; Correa-Pérez, A.; Fernández-Hidalgo, N.; Muriel, A.; Lopez-Alcalde, J.; Álvarez-Diaz, N.; Pijoan, J.I.; Ribera, A.; et al. Prognostic models for mortality after cardiac surgery in patients with infective endocarditis: A systematic review and aggregation of prediction models. Clin. Microbiol. Infect. 2021, 27, 1422–1430. [Google Scholar] [CrossRef]
- Chambers, H.F.; Bayer, A.S. Native-Valve infective endocarditis. N. Engl. J. Med. 2020, 383, 567–576. [Google Scholar] [CrossRef] [PubMed]
- Murdoch, D.R.; Corey, G.R.; Hoen, B.; Miro, J.M.; Fowler, V.G., Jr.; Bayer, A.S.; Karchmer, A.W.; Olaison, L.; Pappas, P.A.; Moreillon, P.; et al. Clinical presentation, etiology, and outcome of infective endocarditis in the 21st century: The International Collaboration on Endocarditis-Prospective Cohort Study. Arch. Intern. Med. 2009, 169, 463–473. [Google Scholar] [CrossRef]
- Hill, E.; Herijgers, P.; Herregods, M.-C.; Peetermans, W. Evolving trends in infective endocarditis. Clin. Microbiol. Infect. 2006, 12, 5–12. [Google Scholar] [CrossRef]
- Brescia, A.A.; Watt, T.M.; Rosenbloom, L.M.; Williams, A.M.; Bolling, S.F.; Romano, M.A.; Ailawadi, G.; Wagner, C.M.; Bergquist, C.S.; Murray, S.L.; et al. Patient and Surgeon Predictors of Mitral and Tricuspid Valve Repair for Infective Endocarditis. Semin. Thorac. Cardiovasc. Surg. 2022, 34, 67–77. [Google Scholar] [CrossRef]
- Harky, A.; Hof, A.; Garner, M.; Froghi, S.; Bashir, M. Mitral valve repair or replacement in native valve endocarditis? Systematic review and meta-analysis. J. Card. Surg. 2018, 33, 364–371. [Google Scholar] [CrossRef]
- Dreyfus, G.; Serraf, A.; Jebara, V.A.; Deloche, A.; Chauvaud, S.; Couetil, J.P.; Carpentier, A. Valve repair in acute endocarditis. Ann. Thorac. Surg. 1990, 49, 706–711. [Google Scholar] [CrossRef]
- Toyoda, N.; Itagaki, S.; Egorova, N.N.; Tannous, H.; Anyanwu, A.C.; El-Eshmawi, A.; Adams, D.H.; Chikwe, J. Real-world outcomes of surgery for native mitral valve endocarditis. J. Thorac. Cardiovasc. Surg. 2017, 154, 1906–1912. [Google Scholar] [CrossRef]
- Feringa, H.H.; Shaw, L.J.; Poldermans, D.; Hoeks, S.; van der Wall, E.E.; Dion, R.A.; Bax, J.J. Mitral valve repair and replacement in endocarditis: A systematic review of literature. Ann. Thorac. Surg. 2007, 83, 564–570. [Google Scholar] [CrossRef]
- He, K.; Song, J.; Luo, H.; Su, H.; Liang, W.; Bian, L.; Yue, H.; Wu, Z. Valve replacement or repair in native mitral valve infective endocarditis—Which is better? A meta-analysis and systematic review. J. Card. Surg. 2022, 37, 1004–1015. [Google Scholar] [CrossRef] [PubMed]
- Gammie, J.S.; O’brien, S.M.; Griffith, B.P.; Peterson, E.D. Surgical treatment of mitral valve endocarditis in North America. Ann. Thorac. Surg. 2005, 80, 2199–2204. [Google Scholar] [CrossRef]
- Kang, D.-H.; Kim, Y.-J.; Kim, S.-H.; Sun, B.J.; Kim, D.-H.; Yun, S.-C.; Song, J.-M.; Choo, S.J.; Chung, C.-H.; Song, J.-K.; et al. Early surgery versus conventional treatment for infective endocarditis. N. Engl. J. Med. 2012, 366, 2466–2473. [Google Scholar] [CrossRef] [PubMed]
- Habib, G.; Erba, P.A.; Iung, B.; Donal, E.; Cosyns, B.; Laroche, C.; Popescu, B.A.; Prendergast, B.; Tornos, P.; Sadeghpour, A.; et al. Clinical presentation, aetiology and outcome of infective endocarditis. Results of the ESC-EORP EURO-ENDO (European infective endocarditis) registry: A prospective cohort study. Eur. Heart J. 2019, 40, 3222–3233. [Google Scholar] [CrossRef] [PubMed]
- Mayer, K.; Aicher, D.; Feldner, S.; Kunihara, T.; Schafers, H.J. Repair versus replacement of the aortic valve in active infective endocarditis. Eur. J. Cardiothorac. Surg. 2012, 42, 122–127. [Google Scholar] [CrossRef]
- Aicher, D.; Kunihara, T.; Abou Issa, O.; Brittner, B.; Gräber, S.; Schäfers, H.J. Valve configuration determines long-term results after repair of the bicuspid aortic valve. Circulation 2011, 123, 178–185. [Google Scholar] [CrossRef] [PubMed]
- Boodhwani, M.; de Kerchove, L.; Glineur, D.; Poncelet, A.; Rubay, J.; Astarci, P.; Verhelst, R.; Noirhomme, P.; El Khoury, G. Repair-oriented classification of aortic insufficiency: Impact on surgical techniques and clinical outcomes. J. Thorac. Cardiovasc. Surg. 2009, 137, 286–294. [Google Scholar] [CrossRef]
- Ozaki, S.; Kawase, I.; Yamashita, H.; Uchida, S.; Takatoh, M.; Kiyohara, N. Midterm outcomes after aortic valve neocuspidization with glutaraldehyde-treated autologous pericardium. J. Thorac. Cardiovasc. Surg. 2018, 155, 2379–2387. [Google Scholar] [CrossRef] [PubMed]
- Takkenberg, J.J.; Klieverik, L.M.; Bekkers, J.A.; Kappetein, A.P.; Roos, J.W.; Eijkemans, M.J.; Bogers, A.J. Allografts for aortic valve or root replacement: Insights from an 18-year single-center prospective followup study. Eur. J. Cardiothorac. Surg. 2007, 31, 851–859. [Google Scholar] [CrossRef][Green Version]
- El-Hamamsy, I.; Clark, L.; Stevens, L.M.; Sarang, Z.; Melina, G.; Takkenberg, J.J.; Yacoub, M.H. Late outcomes following freestyle versus homograft aortic root replacement: Results from a prospective randomized trial. J. Am. Coll. Cardiol. 2010, 55, 368–376. [Google Scholar] [CrossRef] [PubMed]
- Klieverik, L.M.; Yacoub, M.H.; Edwards, S.; Bekkers, J.A.; Roos-Hesselink, J.W.; Kappetein, A.P.; Takkenberg, J.J.; Bogers, A.J. Surgical treatment of active native aortic valve endocarditis with allografts and mechanical prostheses. Ann. Thorac. Surg. 2009, 88, 1814–1821. [Google Scholar] [CrossRef] [PubMed]
- Shmueli, H.; Thomas, F.; Flint, N.; Setia, G.; Janjic, A.; Siegel, R.J. Right-Sided Infective Endocarditis 2020: Challenges and Updates in Diagnosis and Treatment. J. Am. Heart. Assoc. 2020, 9, e017293. [Google Scholar] [CrossRef]
- Seratnahaei, A.; Leung, S.W.; Charnigo, R.J.; Cummings, M.S.; Sorrell, V.L.; Smith, M.D. The changing “face” of endocarditis in Kentucky: An increase in tricuspid cases. Am. J. Med. 2014, 127, 786.e1–786.e6. [Google Scholar] [CrossRef]
- Yanagawa, B.; Elbatarny, M.; Verma, S.; Hill, S.; Mazine, A.; Puskas, J.D.; Friedrich, J.O. Surgical Management of Tricuspid Valve Infective Endocarditis: A Systematic Review and Meta-Analysis. Ann. Thorac. Surg. 2018, 106, 708–714. [Google Scholar] [CrossRef]
- Lee, H.-A.; Chou, A.-H.; Wu, V.C.-C.; Chan, Y.-S.; Cheng, Y.-T.; Chang, C.-H.; Chang, S.-H.; Hung, K.-C.; Chu, P.-H.; Chen, S.-W. Nationwide cohort study of tricuspid valve repair versus replacement for infective endocarditis. Eur. J. Cardiothorac. Surg. 2021, 59, 878–886. [Google Scholar] [CrossRef]
- Slaughter, M.S.; Badhwar, V.; Ising, M.; Ganzel, B.L.; Sell-Dottin, K.; Jawitz, O.K.; Zhang, S.; Trivedi, J.R. Optimum surgical treatment for tricuspid valve infective endocarditis: An analysis of the Society of Thoracic Surgeons national database. J. Thorac. Cardiovasc. Surg. 2021, 161, 1227–1235. [Google Scholar] [CrossRef]
- Goud, A.; Abdelqader, A.; Dahagam, C.; Padmanabhan, S. Isolated pulmonic valve endocarditis presenting as neck pain. J. Community Hosp. Intern. Med. Perspect. 2015, 5, 29647. [Google Scholar] [CrossRef]
- Ramadan, F.B.; Beanlands, D.S.; Burwash, I.G. Isolated pulmonic valve endocarditis in healthy hearts: A case report and review of the literature. Can. J. Cardiol. 2000, 16, 1282–1288. [Google Scholar]
- Chowdhury, M.A.; Moukarbel, G.V. Isolated pulmonary valve endocarditis. Cardiology 2016, 133, 79–82. [Google Scholar] [CrossRef]
- Hussain, S.T.; Shrestha, N.K.; Witten, J.; Gordon, S.M.; Houghtaling, P.L.; Tingleff, J.; Navia, J.L.; Blackstone, E.H.; Pettersson, G.B. Rarity of invasiveness in right-sided infective endocarditis. J. Thorac. Cardiovasc. Surg. 2018, 155, 54–61.e51. [Google Scholar] [CrossRef] [PubMed]
- Divekar, A.A.; Scholz, T.; Fernandez, J.D. Novel percutaneous transcatheter intervention for refractory active endocarditis as a bridge to surgery-AngioVac aspiration system. Catheter. Cardiovasc. Interv. 2013, 81, 1008–1012. [Google Scholar] [CrossRef]
- George, B.; Voelkel, A.; Kotter, J.; Leventhal, A.; Gurley, J. A novel approach to percutaneous removal of large tricuspid valve vegetations using suction filtration and veno-venous bypass: A single center experience. Catheter. Cardiovasc. Interv. 2017, 90, 1009–1015. [Google Scholar] [CrossRef] [PubMed]
- Patel, N.; Azemi, T.; Zaeem, F.; Underhill, D.; Gallagher, R.; Hagberg, R.; Sadiq, I. Vacuum assisted vegetation extraction for the management of large lead vegetations. J. Card. Surg. 2013, 28, 321–324. [Google Scholar] [CrossRef] [PubMed]
- Abubakar, H.; Rashed, A.; Subahi, A.; Yassin, A.S.; Shokr, M.; Elder, M. AngioVac system used for vegetation debulking in a patient with tricuspid valve endocarditis: A case report and review of the literature. Case Rep. Cardiol. 2017, 2017, 1923505. [Google Scholar] [CrossRef]
- Tornos, P.; Iung, B.; Permanyer-Miralda, G.; Baron, G.; Delahaye, F.; Gohlke-Bärwolf, C.; Butchart, E.G.; Ravaud, P.; Vahanian, A. Infective endocarditis in Europe: Lessons from the Euro heart survey. Heart 2005, 91, 571–575. [Google Scholar] [CrossRef] [PubMed]
- Hoen, B.; Alla, F.; Selton-Suty, C.; Béguinot, I.; Bouvet, A.; Briançon, S.; Casalta, J.-P.; Danchin, N.; Delahaye, F.; Etienne, J.; et al. Changing profile of infective endocarditis: Results of a 1-year survey in France. JAMA 2002, 288, 75–81. [Google Scholar] [CrossRef]
- Della Corte, A.; Di Mauro, M.; Dato, G.A.; Barili, F.; Cugola, D.; Gelsomino, S.; Santè, P.; Carozza, A.; Della Ratta, E.; Galletti, L.; et al. Surgery for prosthetic valve endocarditis: A retrospective study of a national registry. Eur. J. Cardiothorac. Surg. 2017, 52, 105–111. [Google Scholar] [CrossRef]
- Lalani, T.; Chu, V.H.; Park, L.P.; Cecchi, E.; Corey, G.R.; Durante-Mangoni, E.; Fowler, V.G., Jr.; Gordon, D.; Grossi, P.; Hannan, M.; et al. Inhospital and 1-year mortality in patients undergoing early surgery for prosthetic valve endocarditis. JAMA Intern. Med. 2013, 173, 1495–1504. [Google Scholar] [CrossRef]
- Alonso-Valle, H.; Fariñas-Álvarez, C.; García-Palomo, J.D.; Bernal, J.M.; Martín-Durán, R.; Díez, J.F.G.; Revuelta, J.M.; Fariñas, M.C. Clinical course and predictors of death in prosthetic valve endocarditis over a 20-year period. J. Thorac. Cardiovasc. Surg. 2010, 139, 887–893. [Google Scholar] [CrossRef]
- Weber, C.; Petrov, G.; Luehr, M.; Aubin, H.; Tugtekin, S.-M.; Borger, M.A.; Akhyari, P.; Wahlers, T.; Hagl, C.; Matschke, K.; et al. Surgical results for prosthetic versus native valve endocarditis: A multicenter analysis. J. Thorac. Cardiovasc. Surg. 2021, 161, 609–619.e10. [Google Scholar] [CrossRef]
- Østergaard, L.; Valeur, N.; Ihlemann, N.; Smerup, M.H.; Bundgaard, H.; Gislason, G.; Torp-Pedersen, C.; Bruun, N.E.; Køber, L.; Fosbøl, E.L. Incidence and factors associated with infective endocarditis in patients undergoing left-sided heart valve replacement. Eur. Heart J. 2018, 39, 2668–2675. [Google Scholar] [CrossRef] [PubMed]
- Grover, F.L.; Cohen, D.J.; Oprian, C.; Henderson, W.G.; Sethi, G.; Hammermeister, K. Determinants of the occurrence of and survival from prosthetic valve endocarditis. Experience of the veterans affairs cooperative study on valvular heart disease. J. Thorac. Cardiovasc. Surg. 1994, 108, 207–214. [Google Scholar] [CrossRef] [PubMed]
- Wang, A.; Athan, E.; Pappas, P.A.; Fowler, V.G., Jr.; Olaison, L.; Paré, C.; Almirante, B.; Muñoz, P.; Rizzi, M.; Naber, C.; et al. Contemporary clinical profile and outcome of prosthetic valve endocarditis. JAMA 2007, 297, 1354–1361. [Google Scholar] [CrossRef] [PubMed]
- Brennan, J.M.; Edwards, F.H.; Zhao, Y.; O’brien, S.; Booth, M.E.; Dokholyan, R.S.; Douglas, P.S.; Peterson, E.D. Long-term safety and effectiveness of mechanical versus biologic aortic valve prostheses in older patients: Results from the Society of Thoracic Surgeons Adult Cardiac Surgery National Database. Circulation 2013, 127, 1647–1655. [Google Scholar] [CrossRef] [PubMed]
- Rutledge, R.; Kim, B.J.; Applebaum, R.E. Actuarial analysis of the risk of prosthetic valve endocarditis in 1598 patients with mechanical and bioprosthetic valves. Arch. Surg. 1985, 120, 469–472. [Google Scholar] [CrossRef]
- Amat-Santos, I.J.; Ribeiro, H.B.; Urena, M.; Allende, R.; Houde, C.; Bédard, E.; Perron, J.; DeLarochellière, R.; Paradis, J.-M.; Dumont, E.; et al. Prosthetic valve endocarditis after transcatheter valve replacement. JACC Cardiovasc. Interv. 2015, 8, 334–346. [Google Scholar] [CrossRef] [PubMed]
- Kolte, D.; Goldsweig, A.; Kennedy, K.F.; Abbott, J.D.; Gordon, P.C.; Sellke, F.W.; Ehsan, A.; Sodha, N.; Sharaf, B.L.; Aronow, H.D. Comparison of incidence, predictors, and outcomes of early infective endocarditis after transcatheter aortic valve implantation versus surgical aortic valve replacement in the United States. Am. J. Cardiol. 2018, 122, 2112–2119. [Google Scholar] [CrossRef] [PubMed]
- Bjursten, H.; Rasmussen, M.; Nozohoor, S.; Götberg, M.; Olaison, L.; Rück, A.; Ragnarsson, S. Infective endocarditis after transcatheter aortic valve implantation: A nationwide study. Eur. Heart J. 2019, 40, 3263–3269. [Google Scholar] [CrossRef]
- Boeder, N.F.; Dörr, O.; Rixe, J.; Weipert, K.; Bauer, T.; Bayer, M.; Hamm, C.W.; Nef, H.M. Endocarditis after interventional repair of the mitral valve: Review of a dilemma. Cardiovasc. Revasc. Med. 2017, 18, 141–144. [Google Scholar] [CrossRef]
- Nataf, P.; Jault, F.; Dorent, R.; Vaissier, E.; Bors, V.; Pavie, A.; Cabrol, C.; Gandjbakhch, I. Extra-annular procedures in the surgical management of prosthetic valve endocarditis. Eur. Heart J. 1995, 16, 99–102. [Google Scholar] [CrossRef]
- Perrotta, S.; Lentini, S. Surgical management of severe damage of the aortic annulus. Hell. J. Cardiol. 2016, 57, 382–388. [Google Scholar] [CrossRef] [PubMed]
- David, T.E.; Kuo, J.; Armstrong, S. Aortic and mitral valve replacement with reconstruction of the intervalvular fibrous body. J. Thorac. Cardiovasc. Surg. 1997, 114, 766–771. [Google Scholar] [CrossRef]
- Davierwala, P.M.; Binner, C.; Subramanian, S.; Luehr, M.; Pfannmueller, B.; Etz, C.; Dohmen, P.; Misfeld, M.; Borger, M.A.; Mohr, F.W. Double valve replacement and reconstruction of the intervalvular fibrous body in patients with active infective endocarditis. Eur. J. Cardiothorac. Surg. 2014, 45, 146–152. [Google Scholar] [CrossRef]
- Navia, J.L.; Al-Ruzzeh, S.; Gordon, S.; Fraser, T.; Agüero, O.; Rodríguez, L. The incorporated aortomitral homograft: A new surgical option for double valve endocarditis. J. Thorac. Cardiovasc. Surg. 2010, 139, 1077–1081. [Google Scholar] [CrossRef]
- Greco, R.; Muretti, M.; Djordjevic, J.; Jin, X.Y.; Hill, E.; Renna, M.; Petrou, M. Surgical Complexity and Outcome of Patients Undergoing Re-do Aortic Valve Surgery. Open Heart 2020, 7, e001209. [Google Scholar] [CrossRef] [PubMed]
- Davierwala, P.M.; Marin-Cuartas, M.; Misfeld, M.; Deo, S.V.; Lehmann, S.; Garbade, J.; Holzhey, D.M.; Borger, M.A.; Bakhtiary, F. Five-year outcomes following complex reconstructive surgery for infective endocarditis involving the intervalvular fibrous body. Eur. J. Cardiothorac. Surg. 2020, 58, 1080–1087. [Google Scholar] [CrossRef]
- Manne, M.B.; Shrestha, N.K.; Lytle, B.W.; Nowicki, E.R.; Blackstone, E.; Gordon, S.M.; Pettersson, G.; Fraser, T.G. Outcomes after surgical treatment of native and prosthetic valve infective endocarditis. Ann. Thorac. Surg. 2012, 93, 489–493. [Google Scholar] [CrossRef]
- Croon, S.I.; Angkasuwan, A.; van Straten, A.H.; Khamooshian, A.; Elenbaas, T.W.; Soliman-Hamad, M.A. Surgical treatment and long-term outcome of aortic valve endocarditis with periannular abscess. Neth. Heart J. 2020, 28, 345–353. [Google Scholar] [CrossRef]
- Johnston, D.R.; Soltesz, E.G.; Vakil, N.; Rajeswaran, J.; Roselli, E.E.; Sabik, J.F.; Smedira, N.G.; Svensson, L.G.; Lytle, B.W.; Blackstone, E.H. Long-term durability of bioprosthetic aortic valves: Implications from 12,569 implants. Ann. Thorac. Surg. 2015, 99, 1239–1247. [Google Scholar] [CrossRef]
- Wang, M.; Furnary, A.P.; Li, H.-F.; Grunkemeier, G.L. Bioprosthetic Aortic Valve Durability: A Meta-Regression of Published Studies. Ann. Thorac. Surg. 2017, 104, 1080–1087. [Google Scholar] [CrossRef]
- Goldstone, A.B.; Chiu, P.; Baiocchi, M.; Lingala, B.; Patrick, W.L.; Fischbein, M.P.; Woo, Y.J. Mechanical or Biologic Prostheses for Aortic-Valve and Mitral-Valve Replacement. N. Engl. J. Med. 2017, 377, 1847–1857. [Google Scholar] [CrossRef]
- Chirillo, F.; Scotton, P.; Rocco, F.; Rigoli, R.; Borsatto, F.; Pedrocco, A.; De Leo, A.; Minniti, G.; Polesel, E.; Olivari, Z. Impact of a multidisciplinary management strategy on the outcome of patients with native valve infective endocarditis. Am. J. Cardiol. 2013, 112, 1171–1176. [Google Scholar] [CrossRef] [PubMed]
- Nappi, F.; Spadaccio, C.; Acar, C. Use of allogeneic tissue to treat infective valvular disease: Has everything been said? J. Thorac. Cardiovasc. Surg. 2017, 153, 824–828. [Google Scholar] [CrossRef] [PubMed]
- Fukushima, S.; Tesar, P.J.; Pearse, B.; Jalali, H.; Sparks, L.; Fraser, J.F.; Pohlner, P.G. Long-term clinical outcomes after aortic valve replacement using cryopreserved aortic allograft. J. Thorac. Cardiovasc. Surg. 2014, 148, 65–72.e2. [Google Scholar] [CrossRef]
- Kowert, A.; Vogt, F.; Beiras-Fernandez, A.; Reichart, B.; Kilian, E. Outcome after homograft redo operation in aortic position. Eur. J. Cardiothorac. Surg. 2012, 41, 404–408. [Google Scholar] [CrossRef] [PubMed][Green Version]




| European Society of Cardiology (ESC) Guidelines 2015 | American Association for Thoracic Surgery (AATS) Guidelines 2016 |
|---|---|
| Heart Failure | |
| Aortic or mitral native valve endocarditis (NVE) or prosthetic valve endocarditis (PVE) with significant acute regurgitation, obstruction, or fistula leading to cardiogenic shock (EMERGENCY, I, B) or exhibiting inadequate hemodynamic tolerance (URGENT, I, B). | Surgery when patients with IE present with valve dysfunction, resulting in symptoms of heart failure (I, B). |
| Uncontrolled Infection | |
| Locally uncontrollable infection requiring immediate attention (URGENT, I, B); infection stemming from fungi or highly resistant organisms (URGENT/ELECTIVE, I, C); continued presence of positive blood cultures, despite suitable antibiotic treatment and effective management of septic secondary sites (URGENT, IIa, B); prosthetic valve endocarditis (PVE) resulting from staphylococci or non-HACEK Gram-negative bacteria (URGENT/ELECTIVE, IIa, C). | Surgical intervention is recommended for individuals with left-sided infective endocarditis (IE) triggered by S. aureus, fungal agents, or other extensively resistant microorganisms (I, B). Surgery is also advisable when there are destructive penetrating lesions present (I, B) or in cases of persistent bacteremia or fever that extend beyond 5 to 7 days, despite the initiation of suitable antimicrobial treatment (I, B). Cases of prosthetic valve endocarditis (PVE) and recurring infections (IIa, C). |
| Prevention of Embolism | |
| Aortic or mitral native valve endocarditis (NVE) or prosthetic valve endocarditis (PVE) characterized by persistent vegetations exceeding 10 mm size after one or more embolic episodes, despite the administration of suitable antibiotic therapy (URGENT, I, B). In cases of severe valve stenosis or regurgitation with low surgical risk (URGENT, I, B). For aortic or mitral NVE or PVE featuring isolated very large vegetations (greater than 30 mm) (URGENT; IIa, B). In situations where aortic or mitral NVE or PVE presents with isolated large vegetations (over 15 mm) and no other evident indications for surgery (URGENT, IIb, C). | Existence of repeated embolic events and persistent vegetations, despite suitable antibiotic treatment (IIa, B); cases of native valve endocarditis (NVE) or prosthetic valve endocarditis (PVE) characterized by mobile vegetations exceeding 10 mm length, accompanied by clinical signs of embolic occurrences even after appropriate antimicrobial therapy, warrant immediate or urgent attention (IIb, B). |
| Right-sided Infective Endocarditis | |
| Microorganisms that are hard to eliminate or cases where bacteremia persists > 7 days, despite appropriate antimicrobial treatment; tricuspid valve vegetations that persist beyond 20 mm following recurrent pulmonary emboli, regardless of the presence or absence of concurrent right heart failure or right HF triggered by severe TR (IIa, C). | Native valve endocarditis (NVE) or prosthetic valve endocarditis (PVE), surgery if there is evident symptomatic and severe valve malfunction, sizable vegetations, or persistent infection indicated by continuous bacteremia or prolonged fever lasting beyond 5 to 7 days, despite appropriate antimicrobial treatment, or if septic pulmonary embolism (IIb, B). |
Disclaimer/Publisher’s Note: The statements, opinions and data contained in all publications are solely those of the individual author(s) and contributor(s) and not of MDPI and/or the editor(s). MDPI and/or the editor(s) disclaim responsibility for any injury to people or property resulting from any ideas, methods, instructions or products referred to in the content. |
© 2023 by the authors. Licensee MDPI, Basel, Switzerland. This article is an open access article distributed under the terms and conditions of the Creative Commons Attribution (CC BY) license (https://creativecommons.org/licenses/by/4.0/).
Share and Cite
Iaccarino, A.; Barbone, A.; Basciu, A.; Cuko, E.; Droandi, G.; Galbiati, D.; Romano, G.; Citterio, E.; Fumero, A.; Scarfò, I.; et al. Surgical Challenges in Infective Endocarditis: State of the Art. J. Clin. Med. 2023, 12, 5891. https://doi.org/10.3390/jcm12185891
Iaccarino A, Barbone A, Basciu A, Cuko E, Droandi G, Galbiati D, Romano G, Citterio E, Fumero A, Scarfò I, et al. Surgical Challenges in Infective Endocarditis: State of the Art. Journal of Clinical Medicine. 2023; 12(18):5891. https://doi.org/10.3390/jcm12185891
Chicago/Turabian StyleIaccarino, Alessandra, Alessandro Barbone, Alessio Basciu, Enea Cuko, Ginevra Droandi, Denise Galbiati, Giorgio Romano, Enrico Citterio, Andrea Fumero, Iside Scarfò, and et al. 2023. "Surgical Challenges in Infective Endocarditis: State of the Art" Journal of Clinical Medicine 12, no. 18: 5891. https://doi.org/10.3390/jcm12185891
APA StyleIaccarino, A., Barbone, A., Basciu, A., Cuko, E., Droandi, G., Galbiati, D., Romano, G., Citterio, E., Fumero, A., Scarfò, I., Manzo, R., La Canna, G., & Torracca, L. (2023). Surgical Challenges in Infective Endocarditis: State of the Art. Journal of Clinical Medicine, 12(18), 5891. https://doi.org/10.3390/jcm12185891

